Histological Studies on a Newly Isolated Bacillus subtilis D10 Protease in the Debridement of Burn Wound Eschars Using Mouse Model
Abstract
1. Introduction
2. Materials and Methods
2.1. Source of the Protease-Producing Bacterium
2.2. Protease Production, Assay, and Quantification
2.3. Enzyme Purification
2.4. In Vitro Protease Specificity
2.5. In Vivo Study
2.6. Experimental Design
2.7. Wound Creation
2.8. Group Treatments
2.9. Histological Assays
3. Results
3.1. Enzyme Separation
3.2. In Vitro Specificity of the Bacterial Protease
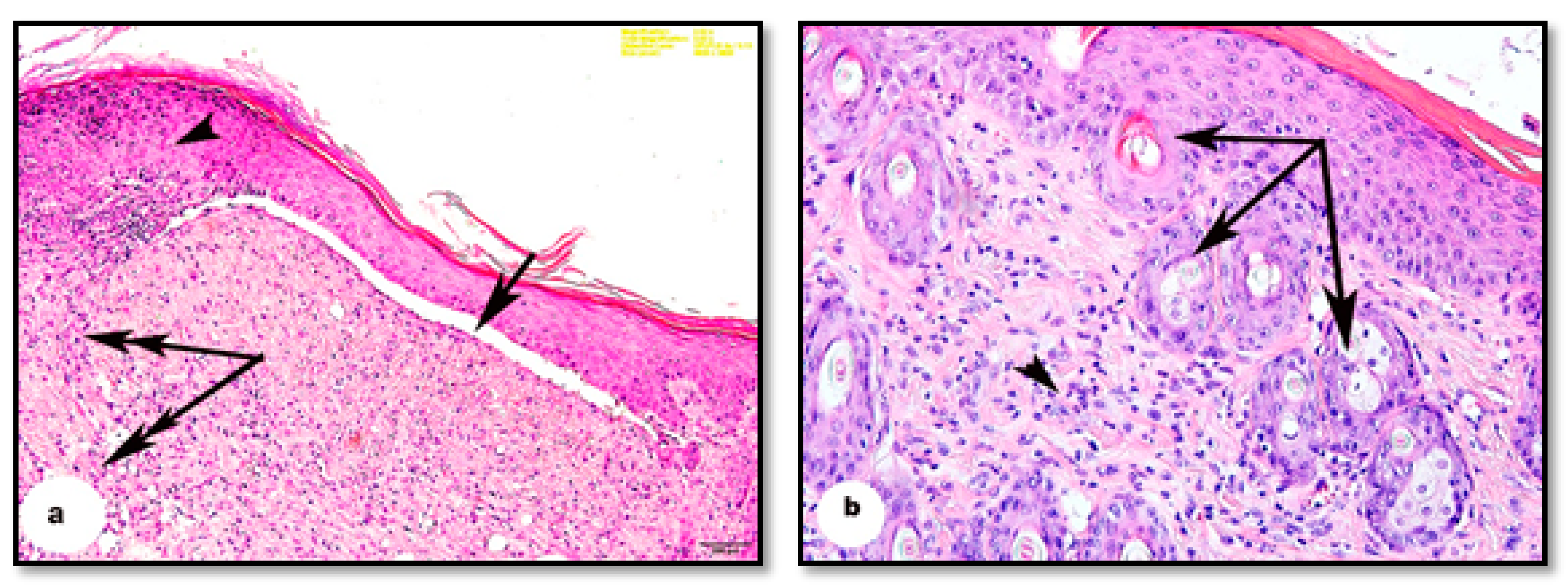
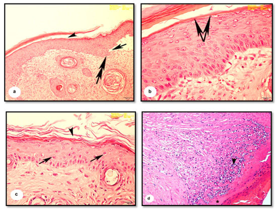
3.3. Haematoxylin and Eosin Staining
3.4. Masson Trichrome Staining
4. Discussion
5. Conclusions
Supplementary Materials
Author Contributions
Funding
Institutional Review Board Statement
Informed Consent Statement
Data Availability Statement
Acknowledgments
Conflicts of Interest
References
- Jeschke, M.G.; Pinto, R.; Costford, S.R.; Amini-Nik, S. Threshold age and burn size associated with poor outcomes in the elderly after burn injury. Burns 2016, 42, 276–281. [Google Scholar] [CrossRef] [PubMed]
- Jeschke, M.G.; Chinkes, D.L.; Finnerty, C.C.; Kulp, G.; Suman, O.E.; Norbury, W.B.; Branski, L.K.; Gauglitz, G.G.; Mlcak, R.P.; Herndon, D.N. Pathophysiologic response to severe burn injury. Ann. Surg. 2008, 248, 387–401. [Google Scholar] [CrossRef]
- Williams, F.N.; Herndon, D.N.; Jeschke, M.G. The hypermetabolic response to burn injury and interventions to modify this response. Clin. Plast. Surg. 2009, 36, 583–596. [Google Scholar] [CrossRef] [PubMed]
- Nasiri, E.; Hosseinimehr, S.J.; Azadbakht, M.; Akbari, J.; Enayati-Fard, R.; Azizi, S.; Azadbakht, M. The Healing Effect of Arnebia euchroma ointment versus silver sulfadiazine on burn wounds in rat. World J. Plast. Surg. 2015, 4, 134–144. [Google Scholar] [PubMed]
- Apsari, R.; Nahdliyatun, E.; Winarni, D. The regeneration of thermal wound on mice skin (Mus Musculus) after Q-Switch Nd: YAG laser irradiation for cancer therapy candidate. AIP Conf. Proc. 2017, 1888, 020015. [Google Scholar] [CrossRef]
- Shahzad, F.; Ahmad, S.; Ahmad, H.; Rashid, Q.A.; Parveen, N.; Javed, F.; Khan, R.; Ashraf, M.Z.; Naseer, F. Production of proteases by genetically improved Bacillus subtilis for enhanced skin penetration of antibacterial topical formulation. J. Biotechnol. Biomater. 2015, 5, 186. [Google Scholar] [CrossRef]
- Menna, C.; Calista, N.; Aurino, L.; Dwijayanti, A. Aloe vera vs. Silver sulfadiazine for treating second–degree burn wounds: Evidence-based case report. Int. J. App. Pharm. 2019, 11, 146–148. [Google Scholar] [CrossRef]
- Hermans, M.H. Results of an internet survey on the treatment of partial-thickness burns, full-thickness burns, and donor sites. J. Burn Care Res. 2007, 28, 835–847. [Google Scholar] [CrossRef] [PubMed]
- Wardhana, A.; Nindita, E. The use of PHMB (polyhexamethilene biguanide) and Betaine Surfactant irrigation solution and gel in burn injuries. In Proceedings of the 15th European Burns Association Congress, Vienna, Austria, 31 August 2013. [Google Scholar]
- Hosseini, S.V.; Tanideh, N.; Kohanteb, J.; Ghodrati, Z.; Mehrabani, D.; Yarmohammadi, H. Comparison between Alpha and silver sulfadiazine ointments in treatment of Pseudomonas infections in 3rd-degree burns. Int. J. Surg. 2007, 5, 23–26. [Google Scholar] [CrossRef]
- Hassanein, W.A.; Kotb, E.; Awny, N.M.; El-Zawahry, Y.A. Fibrinolysis and anticoagulant potential of a metallo protease produced by Bacillus subtilis K42. J. Biosci. 2011, 36, 773–779. [Google Scholar] [CrossRef]
- Hooper, N.M. Essays in Biochemistry, Proteases in Biology and Medicine; Portland Press Ltd.: London, UK, 2002; Volume 38. [Google Scholar]
- de Lencastre Novaes, L.C.; Jozala, A.F.; Lopes, A.M.; de Carvalho Santos-Ebinuma, V.; Mazzola, P.G.; Pessoa Junior, A. Stability, purification, and applications of bromelain: A review. Biotechnol. Prog. 2016, 32, 5–13. [Google Scholar] [CrossRef]
- Valachova, I.; Majtan, T.; Takac, P.; Majtan, J. Identification and characterisation of different proteases in Lucilia sericata medicinal maggots involved in maggot debridement therapy. J. Appl. Biomed. 2014, 12, 171–177. [Google Scholar] [CrossRef]
- Baron, E.J.; Finedgold, S.M. Bailey and Scott’s Diagnostic Microbiology, 8th ed.; Mosby Company: St. Louis, MO, USA, 1990. [Google Scholar] [CrossRef]
- Pratush, A.; Gupta, A.; Bhalla, T.C. Microbiology Application, Microbial Proteases: Prospects and Challenges; Bhalla Publishers: Dehradun, India, 2013; pp. 30–48. [Google Scholar]
- Ben Ayed, H.; Bardaa, S.; Moalla, D.; Jridi, M.; Maalej, H.; Sahnoun, Z. Wound healing and in vitro antioxidant activities of lipopeptides mixture produced by Bacillus mojavensis A21. Process Biochem. 2015, 50, 1023–1030. [Google Scholar] [CrossRef]
- Durham, D.R.; Fortney, D.Z.; Nanney, L.B. Preliminary evaluation of vibriolysin, a novel proteolytic enzyme composition suitable for the debridement of burn wound eschar. J. Burn Care Rehabil. 1993, 14, 544–551. [Google Scholar] [CrossRef]
- Kotb, E. The biotechnological potential of subtilisin-like fibrinolytic enzyme from a newly isolated Lactobacillus Plantarum KSK-II in blood destaining and antimicrobials. Biotechnol. Prog. 2015, 31, 316–324. [Google Scholar] [CrossRef] [PubMed]
- Andrews, A.T. Electrophoresis, Theory Techniques and Biochemical and Clinical Applications, 2nd ed.; Clarendon Press: Oxford, UK; New York, NY, USA, 1986. [Google Scholar] [CrossRef]
- Kotb, E. Purification and partial characterization of a chymotrypsin-like serine fibrinolytic enzyme from Bacillus amyloliquefaciens FCF-11 using corn husk as a novel substrate. World J. Microbiol. Biotechnol. 2014, 30, 2071–2080. [Google Scholar] [CrossRef] [PubMed]
- Sahu, T.; Patel, T.; Sahu, S.; Gidwani, B. Skin cream as topical drug delivery system: A review. J. Pharm. Biol. Sci. 2016, 4, 149–154. [Google Scholar]
- Bancroft, J.D.; Gamble, M. Theory and Practice of Histological Techniques, 5th ed.; Churchill Livingstone: London, UK, 2002. [Google Scholar]
- Pearse, A. Histochemistry, Theoretical and Applied, 4th ed.; Churchill Livingstone: Edinburgh, UK, 1985. [Google Scholar] [CrossRef]
- Kotb, E.; El-Zawahry, Y.A.; Saleh, G. Isolation of a putative virulence agent, cytotoxic serine-elastase from a newly isolated Pseudomonas aeruginosa ZuhP13. J. Biosci. 2019, 44, 1–10. [Google Scholar] [CrossRef]
- Orgill, D.P.; Liu, P.Y.; Ritterbush, L.S.; Skrabut, E.M.; Samuels, J.A.; Shames, S.L. Debridement of porcine burns with a highly purified, ananain-based cysteine protease preparation. J. Burn Care Rehabil. 1996, 17, 311–322. [Google Scholar] [CrossRef]
- Xiao, M.; Li, L.; Li, C.; Zhang, P.; Hu, Q.; Ma, L.; Zhang, H. Role of autophagy and apoptosis in wound tissue of deep second-degree burn in rats. Acad. Emerg. Med. 2014, 21, 383–391. [Google Scholar] [CrossRef]
- Edgar, D.W.; Fish, J.; Gomez, M.; Wood, F. Local and systemic treatments for acute oedema after burn injury: A systemic review of the literature. Burn Care Res. 2011, 32, 334–347. [Google Scholar] [CrossRef]
- Rowan, M.P.; Canicio, L.C.; Elster, E.A.; Burmeister, D.M.; Rose, L.F.; Natesan, S.; Chan, R.K.; Christy, R.J.; Chung, K.K. Burn wound healing and treatment: Review and advancements. Crit. Care 2015, 19, 243. [Google Scholar] [CrossRef]
- Jeschke, M.G.; van Baar, M.E.; Choudhry, M.A.; Chung, K.K.; Gibran, N.S.; Logsetty, S. Burn injury. Nat. Rev. Dis. Primers 2020, 6, 11. [Google Scholar] [CrossRef] [PubMed]
- Chaudhary, M.; Bonde, D.; Patil, S.; Gawande, M.; Hande, A.; Jain, D. Histopathological evaluation of tissue undergoing thermal insult. J. Forensic Dent. Sci. 2016, 8, 110. [Google Scholar] [CrossRef][Green Version]
- Sadiq, A.; Shah, A.; Jeschke, M.G.; Belo, C.; Hayat, M.Q.; Murad, S.; Amini-Nik, S. The Role of serotonin during skin healing in post-thermal injury. Int. J. Mol. Sci. 2018, 19, 1034. [Google Scholar] [CrossRef] [PubMed]
- Baskaran, H.; Toner, M.; Yarmush, M.L.; Berthiaume, F. Poloxamer-188 improves capillary blood flow and tissue viability in a cutaneous burn wound. J. Surg. Res. 2001, 101, 56–61. [Google Scholar] [CrossRef]
- Mahajan, A.L.; Tenorio, X.; Pepper, M.S.; Baetens, D.; Montandon, D.; Schlaudraff, K.; Pittet, B. Progressive tissue injury in burns is reduced by rNAPc2. Burns 2006, 32, 957–963. [Google Scholar] [CrossRef] [PubMed]
- Gurtner, G.C.; Werner, S.; Barrandon, Y.; Longaker, M.T. Wound repair and regeneration. Nature 2008, 453, 314–321. [Google Scholar] [CrossRef] [PubMed]
- Abdullahi, A.; Amini-Nik, S.; Jeschke, M.G. Animal models in burn research. Cell. Mol. Life Sci. 2014, 71, 3241–3255. [Google Scholar] [CrossRef]
- Sjodahl, J.; Emmer, A.; Vincent, J.; Roeraade, J. Characterization of proteinases from Antarctic krill (Euphausia superba). Protein Expr. Purif. 2002, 26, 153–161. [Google Scholar] [CrossRef]
- McCarty, S.M.; Percival, S.L. Proteases and Delayed Wound Healing. Adv. Wound Care 2013, 2, 438–447. [Google Scholar] [CrossRef] [PubMed]
- Darby, I.A.; Laverdet, B.; Bonte, F.; Desmouliere, A. Fibroblasts and myofibroblasts in wound healing. Clin. Cosmet. Investig. Dermatol. 2014, 7, 301–311. [Google Scholar] [CrossRef] [PubMed]
- Werner, E.; Muller, G. The origin of Metazoan complexity: Porifera as integrated animals. Int. Comp. Biol. 2003, 43, 3–10. [Google Scholar] [CrossRef]
- Kendall, R.T.; Feghali-Bostwick, C.A. Fibroblasts in fibrosis: Novel roles and mediators. Front. Pharmacol. 2014, 27, 123. [Google Scholar] [CrossRef] [PubMed]








| Purification Step | Total Activity (U) | Specific Activity (U/mg) | Purification Folds | Recovery (%) |
|---|---|---|---|---|
| Crude supernatant | 513,122.5 | 39.9 | 1.0 | 100.0 |
| Ammonium sulfate fractionation | 221,362.3 | 832.5 | 20.9 | 43.1 |
| DEAE-Sepharose CL-6B | 145,325.0 | 3021.2 | 75.7 | 28.3 |
| Sephadex G-100 | 90,258.2 | 3347.6 | 83.9 | 17.6 |
Publisher’s Note: MDPI stays neutral with regard to jurisdictional claims in published maps and institutional affiliations. |
© 2021 by the authors. Licensee MDPI, Basel, Switzerland. This article is an open access article distributed under the terms and conditions of the Creative Commons Attribution (CC BY) license (https://creativecommons.org/licenses/by/4.0/).
Share and Cite
Al-Dhuayan, I.; Kotb, E.; Alqosaibi, A.; Mahmoud, A. Histological Studies on a Newly Isolated Bacillus subtilis D10 Protease in the Debridement of Burn Wound Eschars Using Mouse Model. Pharmaceutics 2021, 13, 923. https://doi.org/10.3390/pharmaceutics13070923
Al-Dhuayan I, Kotb E, Alqosaibi A, Mahmoud A. Histological Studies on a Newly Isolated Bacillus subtilis D10 Protease in the Debridement of Burn Wound Eschars Using Mouse Model. Pharmaceutics. 2021; 13(7):923. https://doi.org/10.3390/pharmaceutics13070923
Chicago/Turabian StyleAl-Dhuayan, Ibtesam, Essam Kotb, Amany Alqosaibi, and Amal Mahmoud. 2021. "Histological Studies on a Newly Isolated Bacillus subtilis D10 Protease in the Debridement of Burn Wound Eschars Using Mouse Model" Pharmaceutics 13, no. 7: 923. https://doi.org/10.3390/pharmaceutics13070923
APA StyleAl-Dhuayan, I., Kotb, E., Alqosaibi, A., & Mahmoud, A. (2021). Histological Studies on a Newly Isolated Bacillus subtilis D10 Protease in the Debridement of Burn Wound Eschars Using Mouse Model. Pharmaceutics, 13(7), 923. https://doi.org/10.3390/pharmaceutics13070923

