Cyclosporine Lipid Nanocapsules as Thermoresponsive Gel for Dry Eye Management: Promising Corneal Mucoadhesion, Biodistribution and Preclinical Efficacy in Rabbits
Abstract
1. Introduction
2. Materials and Methods
2.1. Formulation Preparation
2.1.1. Preparation of Blank and CsA-Loaded LNCs
2.1.2. Preparation of Poloxamer In Situ Gels (Pin situ gels)
2.1.3. Preparation of Chitosan/Poloxamer In Situ Gel (CPin situ gel)
2.1.4. Preparation of LNC In-Situ Gels
2.2. In Vitro Characterization
2.2.1. Characterization of In-Situ Gels
Determination of Gelling Temperature
Determination of Gelling Time
Viscosity Measurement
2.2.2. Colloidal Characterization of LNC as Dispersion and in In-Situ Gel
2.2.3. Microscopical Examination
2.3. Entrapment Efficiency (%EE) and Drug Loading
2.4. Stability Testing of LNC Dispersion and LNC In-Situ Gels
2.5. Ex Vivo Mucoadhesion Study
2.6. In Vivo Studies in Rabbits
2.6.1. Ethics Statement
2.6.2. Animals
2.6.3. Corneal Biodistribution Study
2.6.4. Efficacy in the Dry Eye Rabbit Model
2.6.5. Ocular Irritation Assessment in Rabbits
2.7. Statistics
3. Results and Discussion
3.1. LNC Characteristics
3.2. HPLC Data
3.3. CsA Loading and Entrapment Efficiency (EE)
3.4. Gel Characteristics (PIn Situ gel and LNC-PIn Situ gel)
3.5. Effect of Poloxamer on LNC Colloidal Properties
3.6. Compatibility of Poloxamer with LNC Ingredients
3.7. Storage Stability Data at 4 °C of CsA-LNCdispersion and LNCin situ gel
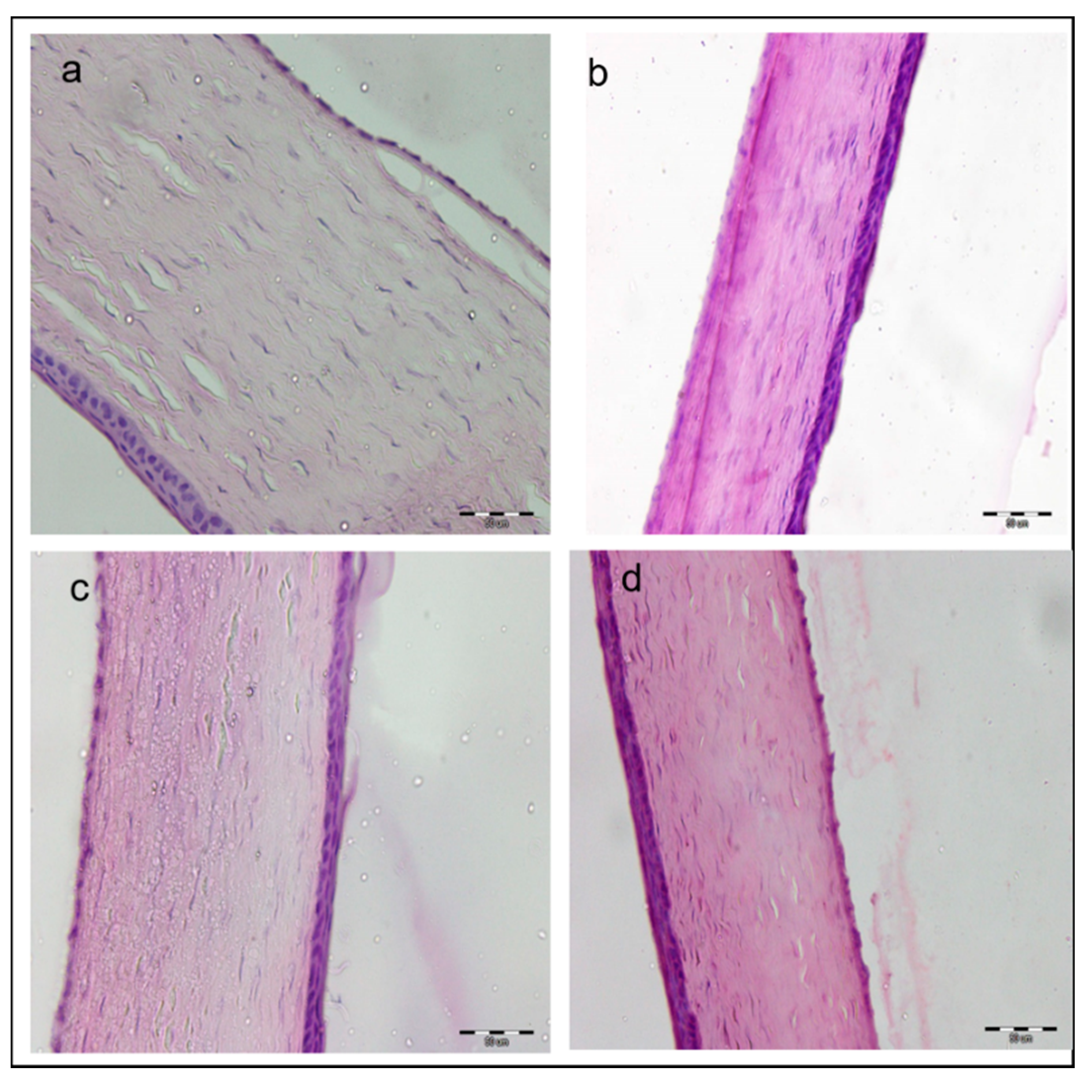
3.8. Ex Vivo Results
Mucoadhesive Force
3.9. In Vivo Data
3.9.1. Corneal Biodistribution
3.9.2. Comparative In Vivo Efficacy in the Dry Eye Rabbit Model
3.9.3. Ocular Irritation Test
4. Conclusions
Supplementary Materials
Author Contributions
Funding
Institutional Review Board Statement
Informed Consent Statement
Acknowledgments
Conflicts of Interest
References
- Ahmed, T.A.; Aljaeid, B.M. A potential in situ gel formulation loaded with novel fabricated poly(lactide-co-glycolide) nanoparticles for enhancing and sustaining the ophthalmic delivery of ketoconazole. Int. J. Nanomed. 2017, 12, 1863–1875. [Google Scholar] [CrossRef] [PubMed]
- Willcox, M.D.P.; Argüeso, P.; Georgiev, G.A.; Holopainen, J.M.; Laurie, G.W.; Millar, T.J.; Papas, E.B.; Rolland, J.P.; Schmidt, T.A.; Stahl, U.; et al. TFOS DEWS II Tear Film Report. Ocul. Surf. 2017, 15, 366–403. [Google Scholar] [CrossRef] [PubMed]
- Stapleton, F.; Alves, M.; Bunya, V.Y.; Jalbert, I.; Lekhanont, K.; Malet, F.; Na, K.-S.; Schaumberg, D.; Uchino, M.; Vehof, J.; et al. TFOS DEWS II Epidemiology Report. Ocul. Surf. 2017, 15, 334–365. [Google Scholar] [CrossRef]
- Javadi, M.-A.; Feizi, S. Dry Eye Syndrome. J. Ophthalmic Vis. Res. 2011, 6, 192–198. [Google Scholar] [PubMed]
- Agarwal, P.; Rupenthal, I.D. Modern approaches to the ocular delivery of cyclosporine A. Drug Discov. Today 2016, 21, 977–988. [Google Scholar] [CrossRef] [PubMed]
- Lallemand, F.; Felt-Baeyens, O.; Besseghir, K.; Behar-Cohen, F.; Gurny, R. Cyclosporine A delivery to the eye: A pharmaceutical challenge. Eur. J. Pharm. Biopharm. 2003, 56, 307–318. [Google Scholar] [CrossRef]
- Luschmann, C.; Tessmar, J.; Schoeberl, S.; Strauss, O.; Framme, C.; Luschmann, K.; Goepferich, A. Developing an in situ nanosuspension: A novel approach towards the efficient administration of poorly soluble drugs at the anterior eye. Eur. J. Pharm. Sci. 2013, 50, 385–392. [Google Scholar] [CrossRef]
- Rodriguez-Aller, M.; Guillarme, D.; El Sanharawi, M.; Behar-Cohen, F.; Veuthey, J.-L.; Gurny, R. In vivo distribution and ex vivo permeation of cyclosporine A prodrug aqueous formulations for ocular application. J. Control. Release 2013, 170, 153–159. [Google Scholar] [CrossRef]
- De Oliveira, R.C.; Wilson, S.E. Practical guidance for the use of cyclosporine ophthalmic solutions in the management of dry eye disease. Clin. Ophthalmol. 2019, 13, 1115–1122. [Google Scholar] [CrossRef]
- Guada, M.; Sebastián, V.; Irusta, S.; Feijoó, E.; Del Carmen Dios-Viéitez, M.; Blanco-Prieto, M.J. Lipid nanoparticles for cyclosporine a administration: Development, characterization, and in vitro evaluation of their immunosuppression activity. Int. J. Nanomed. 2015, 10, 6541. [Google Scholar]
- Di Tommaso, C.; Bourges, J.-L.; Valamanesh, F.; Trubitsyn, G.; Torriglia, A.; Jeanny, J.-C.; Behar-Cohen, F.; Gurny, R.; Möller, M. Novel micelle carriers for cyclosporin A topical ocular delivery: In vivo cornea penetration, ocular distribution and efficacy studies. Eur. J. Pharm. Biopharm. 2012, 81, 257–264. [Google Scholar] [CrossRef]
- Lallemand, F.; Schmitt, M.; Bourges, J.-L.; Gurny, R.; Benita, S.; Garrigue, J.-S. Cyclosporine A delivery to the eye: A comprehensive review of academic and industrial efforts. Eur. J. Pharm. Biopharm. 2017, 117, 14–28. [Google Scholar] [CrossRef]
- Qi, J.; Wu, W.; Wang, K.; Weng, T.; Tian, Z.; Lu, Y.; Hu, K.; Yin, Z. Enhancement of oral bioavailability of cyclosporine A: Comparison of various nanoscale drug-delivery systems. Int. J. Nanomed. 2014, 9, 4991–4999. [Google Scholar] [CrossRef]
- Yavuz, B.; Pehlivan, S.B.; Ünlü, N. An Overview on Dry Eye Treatment: Approaches for Cyclosporin A Delivery. Sci. World J. 2012, 2012, 1–11. [Google Scholar] [CrossRef]
- Huynh, N.; Passirani, C.; Saulnier, P.; Benoit, J. Lipid nanocapsules: A new platform for nanomedicine. Int. J. Pharm. 2009, 379, 201–209. [Google Scholar] [CrossRef]
- Morille, M.; Montier, T.; Legras, P.; Carmoy, N.; Brodin, P.; Pitard, B.; Benoît, J.-P.; Passirani, C. Long-circulating DNA lipid nanocapsules as new vector for passive tumor targeting. Biomaterials 2010, 31, 321–329. [Google Scholar] [CrossRef] [PubMed]
- Heurtault, B.; Saulnier, P.; Pech, B.; Proust, J.; Benoit, J. A Novel Phase Inversion-Based Process for the Preparation of Lipid Nanocarriers. Pharm. Res. 2002, 19, 875–880. [Google Scholar] [CrossRef] [PubMed]
- Heurtault, B.; Saulnier, P.; Pech, B.; Venier-Julienne, M.-C.; Proust, J.-E.; Phan-Tan-Luu, R.; Benoît, J.-P. The influence of lipid nanocapsule composition on their size distribution. Eur. J. Pharm. Sci. 2003, 18, 55–61. [Google Scholar] [CrossRef]
- Abozaid, D.; Ramadan, A.; Barakat, H.; Khalafallah, N. Acyclovir lipid nanocapsules gel for oromucosal delivery: A preclinical evidence of efficacy in the chicken pouch membrane model. Eur. J. Pharm. Sci. 2018, 121, 228–235. [Google Scholar] [CrossRef] [PubMed]
- Lagarce, F.; Alyaa, R.; Pierre, L.; Tessier-Marteau, A.; Thomas, O.; Macchi, L.; Saulnier, P.; Benoit, J.-P.; Ramadan, A.; Legras, P. Oral fondaparinux: Use of lipid nanocapsules as nanocarriers and in vivo pharmacokinetic study. Int. J. Nanomed. 2011, 6, 2941–2951. [Google Scholar] [CrossRef] [PubMed]
- Vrignaud, S.; Anton, N.; Gayet, P.; Benoit, J.-P.; Saulnier, P. Reverse micelle-loaded lipid nanocarriers: A novel drug delivery system for the sustained release of doxorubicin hydrochloride. Eur. J. Pharm. Biopharm. 2011, 79, 197–204. [Google Scholar] [CrossRef] [PubMed]
- Roger, E.; Lagarce, F.; Garcion, E.; Benoit, J.-P. Lipid nanocarriers improve paclitaxel transport throughout human intestinal epithelial cells by using vesicle-mediated transcytosis. J. Control. Release 2009, 140, 174–181. [Google Scholar] [CrossRef] [PubMed]
- Amara, R.O.; Ramadan, A.; El-Moslemany, R.M.; Eissa, M.M.; El-Azzouni, M.Z.; El-Khordagui, L.K. Praziquantel–lipid nanocapsules: An oral nanotherapeutic with potential Schistosoma mansoni tegumental targeting. Int. J. Nanomed. 2018, 13, 4493–4505. [Google Scholar] [CrossRef]
- El-Sheridy, N.A.; Ramadan, A.A.; Eid, A.A.; El-Khordagui, L.K. Itraconazole lipid nanocapsules gel for dermatological applications: In vitro characteristics and treatment of induced cutaneous candidiasis. Colloids Surf. B Biointerfaces 2019, 181, 623–631. [Google Scholar] [CrossRef]
- Lamprecht, A.; Bouligand, Y.; Benoit, J.-P. New lipid nanocapsules exhibit sustained release properties for amiodarone. J. Control. Release 2002, 84, 59–68. [Google Scholar] [CrossRef]
- Formica, M.; Gamboa, G.U.; Tártara, L.; Luna, J.; Benoit, J.; Palma, S. Triamcinolone acetonide-loaded lipid nanocapsules for ophthalmic applications. Int. J. Pharm. 2020, 573, 118795. [Google Scholar] [CrossRef]
- Formica, M.L.; Legeay, S.; Bejaud, J.; Montich, G.G.; Gamboa, G.V.U.; Benoit, J.-P.; Palma, S.D. Novel hybrid lipid nanocapsules loaded with a therapeutic monoclonal antibody—Bevacizumab—And Triamcinolone acetonide for combined therapy in neovascular ocular pathologies. Mater. Sci. Eng. C 2021, 119, 111398. [Google Scholar] [CrossRef] [PubMed]
- Gupta, H.; Velpandian, T.; Jain, S. Ion-and pH-activated novel in-situ gel system for sustained ocular drug delivery. J. Drug Target. 2010, 18, 499–505. [Google Scholar] [CrossRef] [PubMed]
- Ranch, K.; Patel, H.; Chavda, L.; Koli, A.; Maulvi, F.; Parikh, R.K. Development of in situ ophthalmic gel of dexamethasone sodium phosphate and chloramphenicol: A viable alternative to conventional eye drops. J. Appl. Pharm. Sci. 2017, 7, 101–108. [Google Scholar]
- Sapino, S.; Chirio, D.; Peira, E.; Rubio, E.A.; Brunella, V.; Jadhav, S.A.; Chindamo, G.; Gallarate, M. Ocular Drug Delivery: A Special Focus on the Thermosensitive Approach. Nanomaterials 2019, 9, 884. [Google Scholar] [CrossRef] [PubMed]
- Giuliano, E.; Paolino, D.; Fresta, M.; Cosco, D. Mucosal Applications of Poloxamer 407-Based Hydrogels: An Overview. Pharmaceutics 2018, 10, 159. [Google Scholar] [CrossRef]
- Morsi, N.; Ghorab, D.; Refai, H.; Teba, H. Ketoroloac tromethamine loaded nanodispersion incorporated into thermosensitive in situ gel for prolonged ocular delivery. Int. J. Pharm. 2016, 506, 57–67. [Google Scholar] [CrossRef] [PubMed]
- Khan, S.; Warade, S.; Singhavi, D.J. Improvement in Ocular Bioavailability and Prolonged Delivery of Tobramycin Sulfate Following Topical Ophthalmic Administration of Drug-Loaded Mucoadhesive Microparticles Incorporated in Thermosensitive in Situ Gel. J. Ocul. Pharmacol. Ther. 2018, 34, 287–297. [Google Scholar] [CrossRef] [PubMed]
- Imam, S.S.; Bukhari, S.N.A.; Ahmad, J.; Ali, A. Formulation and optimization of levofloxacin loaded chitosan nanoparticle for ocular delivery: In-vitro characterization, ocular tolerance and antibacterial activity. Int. J. Biol. Macromol. 2018, 108, 650–659. [Google Scholar] [CrossRef]
- Al-Kassas, R.; Wen, J.; Cheng, A.E.-M.; Kim, A.M.-J.; Liu, S.S.M.; Yu, J. Transdermal delivery of propranolol hydrochloride through chitosan nanoparticles dispersed in mucoadhesive gel. Carbohydr. Polym. 2016, 153, 176–186. [Google Scholar] [CrossRef] [PubMed]
- Fathalla, Z.M.; Vangala, A.; Longman, M.; Khaled, K.A.; Hussein, A.K.; El-Garhy, O.H.; Alany, R.G. Poloxamer-based thermoresponsive ketorolac tromethamine in situ gel preparations: Design, characterisation, toxicity and transcorneal permeation studies. Eur. J. Pharm. Biopharm. 2017, 114, 119–134. [Google Scholar] [CrossRef]
- Yang, Z.; Nie, S.; Hsiao, W.L.W.; Pam, W. Thermoreversible Pluronic® F127-based hydrogel containing liposomes for the controlled delivery of paclitaxel: In vitro drug release, cell cytotoxicity, and uptake studies. Int. J. Nanomed. 2011, 6, 151–166. [Google Scholar] [CrossRef] [PubMed]
- Varshosaz, J.; Tabbakhian, M.; Salmani, Z. Designing of a Thermosensitive Chitosan/Poloxamer In Situ Gel for Ocular Delivery of Ciprofloxacin. Open Drug Deliv. J. 2008, 2, 61–70. [Google Scholar] [CrossRef]
- Gan, L.; Gan, Y.; Zhu, C.; Zhang, X.; Zhu, J. Novel microemulsion in situ electrolyte-triggered gelling system for ophthalmic delivery of lipophilic cyclosporine A: In vitro and in vivo results. Int. J. Pharm. 2009, 365, 143–149. [Google Scholar] [CrossRef] [PubMed]
- Gupta, A.; Garg, S.; Khar, R.K. Measurement of bioadhesive strength of mucoadhesive buccal tablets: Design of an in-vitro assembly. Indian Drugs Bombay 1993, 30, 152. [Google Scholar]
- Phan, C.-M.; Walther, H.; Gao, H.; Rossy, J.; Subbaraman, L.N.; Jones, L. Development of an In Vitro Ocular Platform to Test Contact Lenses. J. Vis. Exp. 2016, 2016, 53907. [Google Scholar] [CrossRef] [PubMed]
- Bitton, E.; Wittich, W. Influence of eye position on the Schirmer tear test. Contact Lens Anterior Eye 2014, 37, 257–261. [Google Scholar] [CrossRef] [PubMed]
- Hwang, S.-J.; Karn, P.R.; Kim, H.D.; Kang, H.; Sun, B.K.; Jin, S.-E. Supercritical fluid-mediated liposomes containing cyclosporin A for the treatment of dry eye syndrome in a rabbit model: Comparative study with the conventional cyclosporin a emulsion. Int. J. Nanomed. 2014, 9, 3791. [Google Scholar] [CrossRef]
- Peng, Y.; Yu, Y.; Lin, L.; Liu, X.; Zhang, X.; Wang, P.; Hoffman, P.; Kim, S.Y.; Zhang, F.; Linhardt, R.J. Glycosaminoglycans from bovine eye vitreous humour and interaction with collagen type II. Glycoconj. J. 2018, 35, 119–128. [Google Scholar] [CrossRef]
- Hirsjärvi, S.; Dufort, S.; Gravier, J.; Texier, I.; Yan, Q.; Bibette, J.; Sancey, L.; Josserand, V.; Passirani-Malleret, C.; Benoit, J.-P.; et al. Influence of size, surface coating and fine chemical composition on the in vitro reactivity and in vivo biodistribution of lipid nanocapsules versus lipid nanoemulsions in cancer models. Nanomed. Nanotechnol. Biol. Med. 2013, 9, 375–387. [Google Scholar] [CrossRef] [PubMed]
- Kim, J.H.; Jang, S.W.; Han, S.D.; Hwang, H.D.; Choi, H.-G. Development of a novel ophthalmic ciclosporin A-loaded nanosuspension using top-down media milling methods. Die Pharm. 2011, 66, 491–495. [Google Scholar]
- Zhai, Y.; Yang, X.; Zhao, L.; Wang, Z.; Zhai, G. Lipid nanocapsules for transdermal delivery of ropivacaine: In vitro and in vivo evaluation. Int. J. Pharm. 2014, 471, 103–111. [Google Scholar] [CrossRef]
- Lin, H.-R.; Sung, K.C.; Vong, W.-J. In Situ Gelling of Alginate/Pluronic Solutions for Ophthalmic Delivery of Pilocarpine. Biomacromolecules 2004, 5, 2358–2365. [Google Scholar] [CrossRef]
- Al Khateb, K.; Ozhmukhametova, E.K.; Mussin, M.N.; Seilkhanov, S.K.; Rakhypbekov, T.K.; Lau, W.M.; Khutoryanskiy, V.V. In situ gelling systems based on Pluronic F127/Pluronic F68 formulations for ocular drug delivery. Int. J. Pharm. 2016, 502, 70–79. [Google Scholar] [CrossRef]
- Din, F.U.; Mustapha, O.; Kim, D.W.; Rashid, R.; Park, J.H.; Choi, J.Y.; Ku, S.K.; Yong, C.S.; Kim, J.O.; Choi, H.-G. Novel dual-reverse thermosensitive solid lipid nanoparticle-loaded hydrogel for rectal administration of flurbiprofen with improved bioavailability and reduced initial burst effect. Eur. J. Pharm. Biopharm. 2015, 94, 64–72. [Google Scholar] [CrossRef]
- Hao, J.; Wang, X.; Bi, Y.; Teng, Y.; Wang, J.; Li, F.; Li, Q.; Zhang, J.; Guo, F.; Liu, J. Fabrication of a composite system combining solid lipid nanoparticles and thermosensitive hydrogel for challenging ophthalmic drug delivery. Colloids Surf. B Biointerfaces 2014, 114, 111–120. [Google Scholar] [CrossRef] [PubMed]
- Almeida, H.; Amaral, M.H.; Lobão, P.; Lobo, J.M.S. In situ gelling systems: A strategy to improve the bioavailability of ophthalmic pharmaceutical formulations. Drug Discov. Today 2014, 19, 400–412. [Google Scholar] [CrossRef] [PubMed]
- Desai, S.D.; Blanchard, J. Pluronic® F127-based ocular delivery system containing biodegradable polyisobutylcyanoacrylate nanocapsules of pilocarpine. Drug Deliv. 2000, 7, 201–207. [Google Scholar]
- Heurtault, B.; Saulnier, P.; Pech, B.; Proust, J.-E.; Benoit, J.-P. Physico-chemical stability of colloidal lipid particles. Biomaterials 2003, 24, 4283–4300. [Google Scholar] [CrossRef]
- Morsi, N.; Ibrahim, M.; Refai, H.; El Sorogy, H. Nanoemulsion-based electrolyte triggered in situ gel for ocular delivery of acetazolamide. Eur. J. Pharm. Sci. 2017, 104, 302–314. [Google Scholar] [CrossRef]
- Qi, H.; Chen, W.; Huang, C.; Li, L.; Chen, C.; Li, W.; Wu, C. Development of a poloxamer analogs/carbopol-based in situ gelling and mucoadhesive ophthalmic delivery system for puerarin. Int. J. Pharm. 2007, 337, 178–187. [Google Scholar] [CrossRef]
- Şenyiğit, Z.A.; Karavana, S.Y.; Ozdemir, D.I.; Caliskan, C.; Waldner, C.; Sen, S.; Bernkop-Schnürch, A.; Baloglu, E. Design and evaluation of an intravesical delivery system for superficial bladder cancer: Preparation of gemcitabine HCl-loaded chitosan–thioglycolic acid nanoparticles and comparison of chitosan/poloxamer gels as carriers. Int. J. Nanomed. 2015, 10, 6493–6507. [Google Scholar] [CrossRef] [PubMed]
- Bastiat, G.; Pritz, C.O.; Roider, C.; Fouchet, F.; Lignières, E.; Jesacher, A.; Glueckert, R.; Ritsch-Marte, M.; Schrott-Fischer, A.; Saulnier, P.; et al. A new tool to ensure the fluorescent dye labeling stability of nanocarriers: A real challenge for fluorescence imaging. J. Control. Release 2013, 170, 334–342. [Google Scholar] [CrossRef]
- Simonsson, C.; Bastiat, G.; Pitorre, M.; Klymchenko, A.S.; Bejaud, J.; Mely, Y.; Benoit, J.-P. Inter-nanocarrier and nanocarrier-to-cell transfer assays demonstrate the risk of an immediate unloading of dye from labeled lipid nanocapsules. Eur. J. Pharm. Biopharm. 2016, 98, 47–56. [Google Scholar] [CrossRef]
- Ban, J.; Zhang, Y.; Huang, X.; Deng, G.; Hou, D.; Chen, Y.; Lu, Z. Corneal permeation properties of a charged lipid nanoparticle carrier containing dexamethasone. Int. J. Nanomed. 2017, 12, 1329–1339. [Google Scholar] [CrossRef]
- Wagh, V.D.; Apar, D.U. Cyclosporine A Loaded PLGA Nanoparticles for Dry Eye Disease:In VitroCharacterization Studies. J. Nanotechnol. 2014, 2014, 1–10. [Google Scholar] [CrossRef]
- Chen, Y.; Lu, Y.; Zhong, Y.; Wang, Q.; Wu, W.; Gao, S. Ocular delivery of cyclosporine A based on glyceryl monooleate/poloxamer 407 liquid crystalline nanoparticles: Preparation, characterization, in vitrocorneal penetration and ocular irritation. J. Drug Target. 2012, 20, 856–863. [Google Scholar] [CrossRef]
- Dey, S.; Patel, J.; Anand, B.S.; Jain-Vakkalagadda, B.; Kaliki, P.; Pal, D.; Ganapathy, V.; Mitra, A.K. Molecular evidence and functional expression of P-glycoprotein (MDR1) in human and rabbit cornea and corneal epithelial cell lines. Investig. Opthalmology Vis. Sci. 2003, 44, 2909–2918. [Google Scholar] [CrossRef] [PubMed]
- Yenice, I.; Mocan, M.C.; Palaska, E.; Bochot, A.; Bilensoy, E.; Vural, I.; Irkec, M.; Hincal, A.A.; Hıncal, A.A. Hyaluronic acid coated poly-ε-caprolactone nanospheres deliver high concentrations of cyclosporine A into the cornea. Exp. Eye Res. 2008, 87, 162–167. [Google Scholar] [CrossRef] [PubMed]
- Burgalassi, S.; Panichi, L.; Chetoni, P.; Saettone, M.F.; Boldrini, E. Development of a simple dry eye model in the albino rabbit and evaluation of some tear substitutes. Ophthalmic Res. 1999, 31, 229–235. [Google Scholar] [CrossRef]
- Luschmann, C.; Herrmann, W.; Strauß, O.; Luschmann, K.; Goepferich, A. Ocular delivery systems for poorly soluble drugs: An in-vivo evaluation. Int. J. Pharm. 2013, 455, 331–337. [Google Scholar] [CrossRef] [PubMed]
- Li, N.; Zhuang, C.; Wang, M.; Sun, X.; Nie, S.; Pan, W. Liposome coated with low molecular weight chitosan and its potential use in ocular drug delivery. Int. J. Pharm. 2009, 379, 131–138. [Google Scholar] [CrossRef] [PubMed]
- Institute for in Vitro Sciences. Guidelines for Histopathological Evaluation of Bovine Corneas as an Endpoint of the Bovine Corneal Opacity and Permeability (Bcop) Assay; OECD: Maryland, MD, USA, 2016. [Google Scholar]







| In Situ Gel | Poloxamer% w/w | Chitosan% w/v | Gelling Temperature, °C | Gelling Time, (Seconds) | Viscosity at 25 °C (Centipoise) | Viscosity at 37 °C (Centipoise) |
|---|---|---|---|---|---|---|
| Pin situ gel | 17.5 | - | 63.8 ± 0.59 | >120 | 1.74 ± 1.5 | 3.49 ± 4 |
| 20 | - | 46.4± 1.65 | >120 | 6.97 ± 1.5 | 16.57 ± 4 | |
| 22.5 | - | 39.9 ± 0.75 | 71.8 s ± 7.5 | 13.08 ± 2.62 | 174.4 ± 41 | |
| 25 | - | 34.8 ± 0.32 | 15.77 s ± 1.28 | 31.39 ± 5.23 | 1143 ± 199 | |
| CPin situ gel | 17.5 | 0.5 | a | >120 | 33.13 ± 4 | 32.3 ± 4 |
| 20 | 0.5 | 42.6 ± 0.50 | >120 | 42.7 ± 4 | 43.6 ± 14.4 | |
| 22.5 | 0.5 | 36.9 ± 0.29 | 51.74 s ± 1.6 | 66.27 ± 4 | 235.5 ± 50.9 | |
| 25 | 0.5 | 31.8 ± 0.91 | 12.65 s ± 0.55 | 101.2 ± 8.4 | 1252.2 ± 163 | |
| LNC-Pin situ gel | 17.5 | - | 39.5 ± 0.2 | 57.6 s ± 6.37 | 34.88 ± 4 | 240.7 ± 66.7 |
| 20 | - | 34.0 ± 0.4 | 11.5 s ± 0.6 | 94.17 ± 7.4 | 1087.1 ± 254.9 | |
| 22.5 | - | 32.6 ± 0.1 | 8.9 s ± 0.93 | 266.8 ± 4.5 | 1787.7 ± 200 | |
| 25 | - | 30.0 ± 1.35 | b | 1021.8 ± 216.7 | c | |
| LNC-CPin situ gel | 17.5 | 0.5 | 45.1 ± 0.56 | 46.5 s ± 4.3 | 66.27 ± 3 | 375.4 ± 25.1 |
| 20 | 0.5 | 34.2 ± 0.47 | 11.4 s ± 0.26 | 136.9 ± 15.9 | 1315.5 ± 129.4 | |
| 22.5 | 0.5 | 28.9 ± 1.15 | 6.1 s ± 0.75 | 342.7 ± 32.77 | 2002.3 ± 96.7 | |
| 25 | 0.5 | 24.6 ± 1.0 | b | 1598.5 ± 103.9 | c |
| Group Days | STT Value ± SD (mm) | |||||
|---|---|---|---|---|---|---|
| Saline | AS | AS/ CsA-NE | AS/CsA in Castor Oil | AS/0.05% CsA-LNC-CPin situ gel | AS/0.1% CsA-LNC-CPin situ gel | |
| 0 | 10 ± 1.0 | 6.8 ± 1.3 | 10.3 ± 1.5 | 11.0 ± 4.0 | 10.3 ± 2.6 | 14.4 ± 6.1 |
| 3 | 11.3 ± 3.1 | 2.2 ± 0.4 | 2.0 ± 1.7 | 4.3 ± 2.3 | 5.5 ± 2.5 | 3.8 ± 0.8 |
| 5 | 10.3 ± 3.8 | 2.8 ± 1.1 | 6.0 ± 3.0 | 5.0 ± 1.7 | 10.5 ± 4.2 | 12.4 ± 4.3 |
| 7 | 11.7 ± 3.2 | 2.8 ± 1.2 | 10.7 ± 3.3 | 5.8 ± 0.8 | 12.0 ± 2.45 | 17.1 ± 4.7 |
| 10 | 11.7 ± 3.2 | 3.1 ± 0.9 | 10.2 ± 3.9 | 6.7 ± 3.0 | 12.2 ± 2.0 | 16.0 ± 3.7 |
Publisher’s Note: MDPI stays neutral with regard to jurisdictional claims in published maps and institutional affiliations. |
© 2021 by the authors. Licensee MDPI, Basel, Switzerland. This article is an open access article distributed under the terms and conditions of the Creative Commons Attribution (CC BY) license (http://creativecommons.org/licenses/by/4.0/).
Share and Cite
Eldesouky, L.M.; El-Moslemany, R.M.; Ramadan, A.A.; Morsi, M.H.; Khalafallah, N.M. Cyclosporine Lipid Nanocapsules as Thermoresponsive Gel for Dry Eye Management: Promising Corneal Mucoadhesion, Biodistribution and Preclinical Efficacy in Rabbits. Pharmaceutics 2021, 13, 360. https://doi.org/10.3390/pharmaceutics13030360
Eldesouky LM, El-Moslemany RM, Ramadan AA, Morsi MH, Khalafallah NM. Cyclosporine Lipid Nanocapsules as Thermoresponsive Gel for Dry Eye Management: Promising Corneal Mucoadhesion, Biodistribution and Preclinical Efficacy in Rabbits. Pharmaceutics. 2021; 13(3):360. https://doi.org/10.3390/pharmaceutics13030360
Chicago/Turabian StyleEldesouky, Lubna M., Riham M. El-Moslemany, Alyaa A. Ramadan, Mahmoud H. Morsi, and Nawal M. Khalafallah. 2021. "Cyclosporine Lipid Nanocapsules as Thermoresponsive Gel for Dry Eye Management: Promising Corneal Mucoadhesion, Biodistribution and Preclinical Efficacy in Rabbits" Pharmaceutics 13, no. 3: 360. https://doi.org/10.3390/pharmaceutics13030360
APA StyleEldesouky, L. M., El-Moslemany, R. M., Ramadan, A. A., Morsi, M. H., & Khalafallah, N. M. (2021). Cyclosporine Lipid Nanocapsules as Thermoresponsive Gel for Dry Eye Management: Promising Corneal Mucoadhesion, Biodistribution and Preclinical Efficacy in Rabbits. Pharmaceutics, 13(3), 360. https://doi.org/10.3390/pharmaceutics13030360

