Development and Percutaneous Permeation Study of Escinosomes, Escin-Based Nanovesicles Loaded with Berberine Chloride
Abstract
1. Introduction
2. Materials and Methods
2.1. Materials
2.2. HPLC-DAD Analytical Method
2.3. Development and Optimisation of Nanovesicles
2.4. Physical Characterization of Nanovesicles
2.5. Technological Characterization of Nanovesicles
2.6. Stability Studies
2.7. Release of Active Constituents from the Vesicles
2.8. Hyaluronidase Inhibition Assay
2.9. Skin-PAMPA™: In Vitro Simulation of Stratum Corneum Permeation by Vesiscles
2.10. Histological Evaluation of Rabbit Ear Skin and Human Abdominal Skin
2.11. Percutaneous Penetration Studies using Rabbit Ear Skin
2.12. Histological Studies of Rabbit Ear Skin after Percutaneous Penetration Studies
3. Results
3.1. Development and Optimisation of Nanovesicles
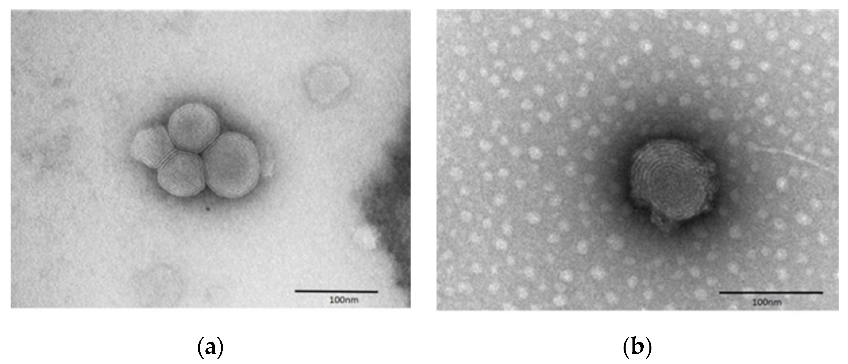
3.2. Physical Characterization of Nanovesicles
3.3. Technological Characterization of Nanovesicles
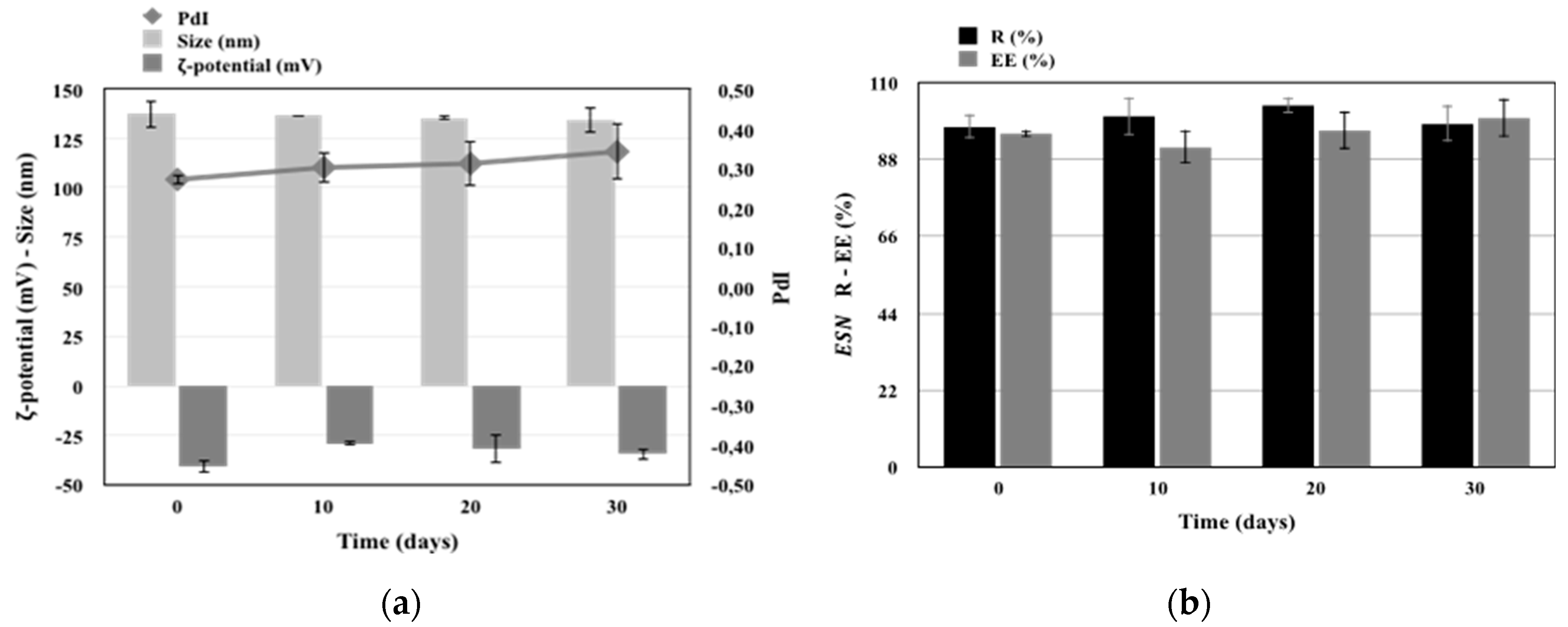
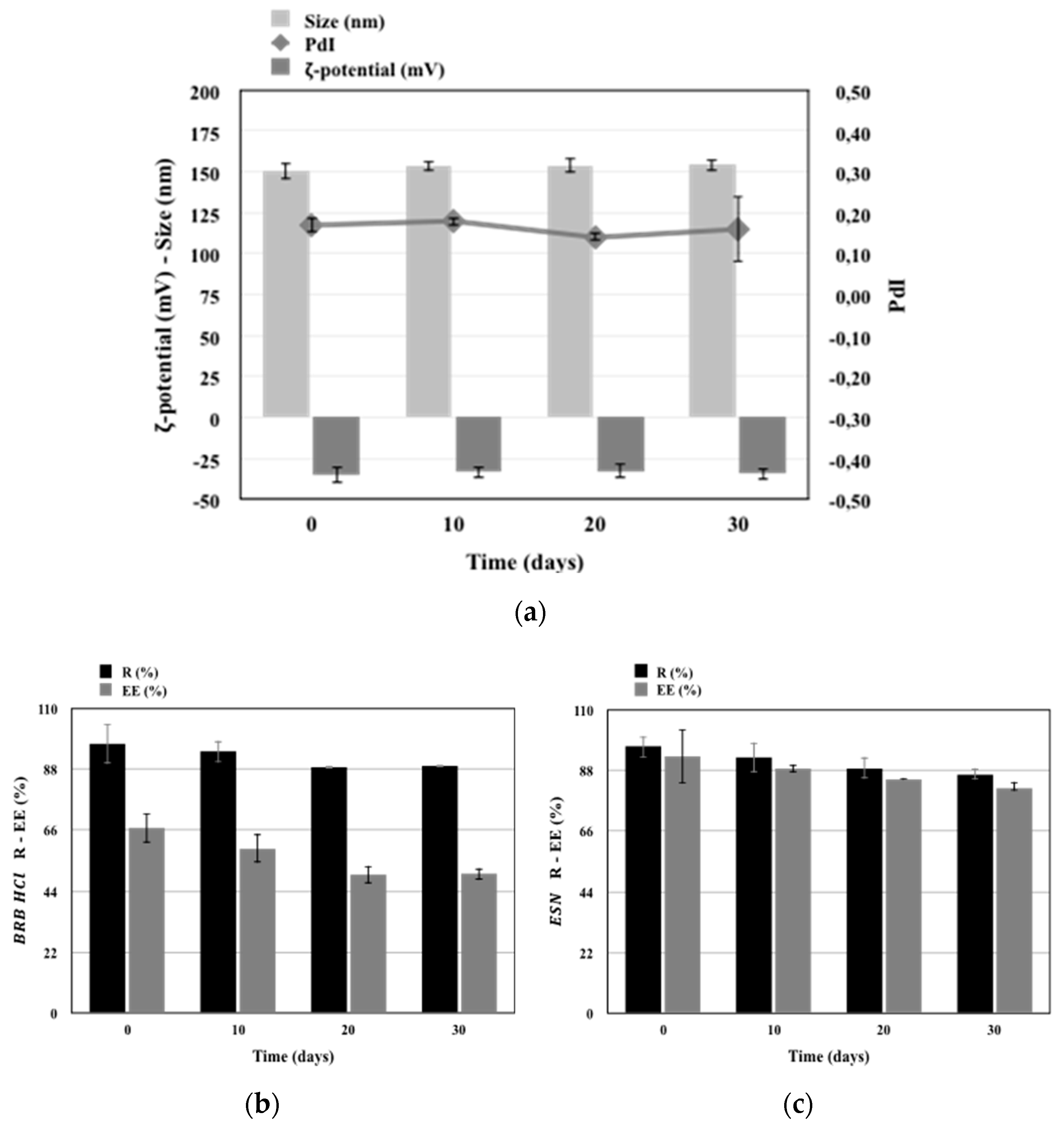
3.4. Stability Studies of the Developed Nanocarriers
3.5. Release Studies of ESN and BRB from Vesicles
3.6. Hyaluronidase Inhibition Assay
3.7. Skin-PAMPA™ in Vitro Permeation
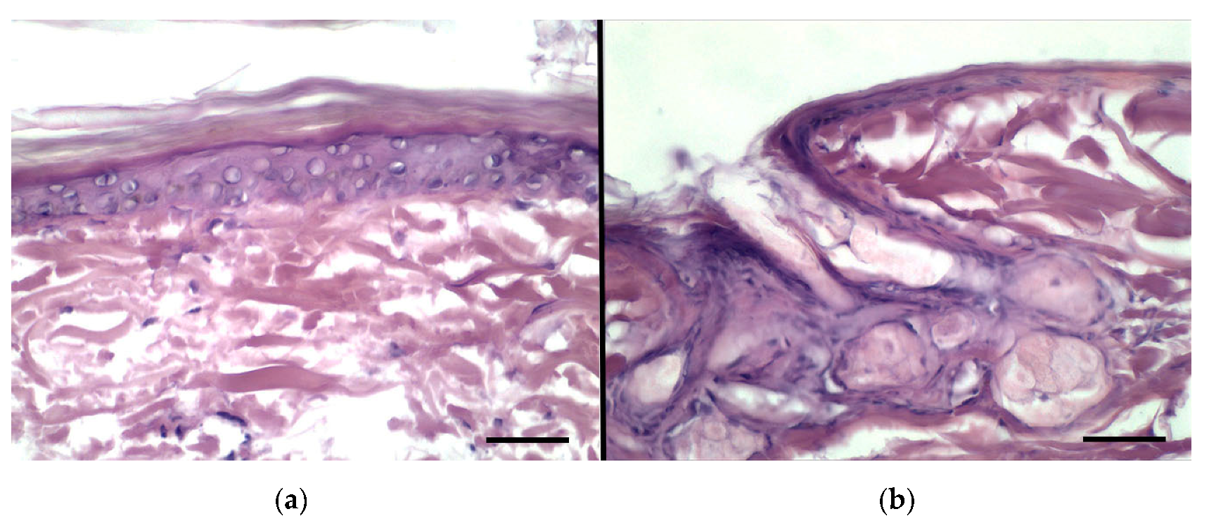
3.8. Histological Evaluation of Rabbit Ear Skin and Human Abdominal Skin
3.9. Percutaneous Penetration Studies and Subsequent Histological Analysis Using Rabbit Ear Skin
4. Discussion
5. Conclusions
Author Contributions
Funding
Acknowledgments
Conflicts of Interest
References
- Korting, H.C.; Schäfer-Korting, M. Carriers in the topical treatment of skin disease. In Drug Delivery; Springer: Berlin/Heidelberg, Germany, 2010; pp. 435–468. [Google Scholar]
- Patzelt, A.; Mak, W.C.; Jung, S.; Knorr, F.; Meinke, M.C.; Richter, H.; Rühl, E.; Cheung, K.Y.; Tran, N.B.N.N.; Lademann, J. Do nanoparticles have a future in dermal drug delivery? J. Control. Release 2017, 246, 174–182. [Google Scholar] [CrossRef] [PubMed]
- Bilia, A.R.; Bergonzi, M.C.; Guccione, C.; Manconi, M.; Fadda, A.M.; Sinico, C. Vesicles and micelles: Two versatile vectors for the delivery of natural products. J. Drug Deliv. Sci. Technol. 2016, 32, 241–255. [Google Scholar] [CrossRef]
- Sinico, C.; Caddeo, C.; Valenti, D.; Fadda, A.M.; Bilia, A.R.; Vincieri, F.F. Liposomes as carriers for verbascoside: Stability and skin permeation studies. J. Liposome Res. 2008, 18, 83–90. [Google Scholar] [CrossRef] [PubMed]
- Iqbal, B.; Ali, J.; Baboota, S. Recent advances and development in epidermal and dermal drug deposition enhancement technology. Int. J. Dermatol. 2018, 57, 646–660. [Google Scholar] [CrossRef] [PubMed]
- Gillet, A.; Lecomte, F.; Hubert, P.; Ducat, E.; Evrard, B.; Piel, G. Skin penetration behaviour of liposomes as a function of their composition. Eur. J. Pharm. Biopharm. 2011, 79, 43–53. [Google Scholar] [CrossRef] [PubMed]
- Matos, C.; Lobão, P. Non-steroidal anti-inflammatory drugs loaded liposomes for topical treatment of inflammatory and degenerative conditions. Curr. Med. Chem. 2019. [Google Scholar] [CrossRef] [PubMed]
- Fernández-García, R.; Lalatsa, A.; Statts, L.; Bolás-Fernández, F.; Ballesteros, M.P.; Serrano, D.R. Transferosomes as nanocarriers for drugs across the skin: Quality by design from lab to industrial scale. Int. J. Pharm. 2019, 118817. [Google Scholar] [CrossRef]
- Carita, A.C.; Eloy, J.O.; Chorilli, M.; Lee, R.J.; Leonardi, G.R. Recent advances and perspectives in liposomes for cutaneous drug delivery. Curr. Med. Chem. 2018, 25, 606–635. [Google Scholar] [CrossRef]
- Cevc, G.; Vierl, U.; Mazgareanu, S. Functional characterisation of novel analgesic product based on self-regulating drug carriers. Int. J. Pharm. 2008, 360, 18–28. [Google Scholar] [CrossRef]
- Bilia, A.R.; Piazzini, V.; Risaliti, L.; Vanti, G.; Casamonti, M.; Wang, M.; Bergonzi, M.C. Nanocarriers: A successful tool to increase solubility, stability and optimise bioefficacy of natural constituents. Curr. Med. Chem. 2019. [Google Scholar] [CrossRef]
- Bilia, A.R.; Piazzini, V.; Guccione, C.; Risaliti, L.; Asprea, M.; Capecchi, G.; Bergonzi, M.C. Improving on nature: The role of nanomedicine in the development of clinical natural drugs. Planta Med. 2017, 83, 366–381. [Google Scholar] [CrossRef] [PubMed]
- Bilia, A.R.; Piazzini, V.; Asprea, M.; Risaliti, L.; Vanti, G.; Bergonzi, M.C. Plants Extracts Loaded in Nanocarriers: An Emergent Formulating Approach. Nat. Prod. Commun. 2018, 13. [Google Scholar] [CrossRef]
- Vincken, J.P.; Heng, L.; de Groot, A.; Gruppen, H. Saponins, classification and occurrence in the plant kingdom. Phytochemistry 2007, 68, 275–297. [Google Scholar] [CrossRef] [PubMed]
- Gallelli, L. Escin: A review of its anti-edematous, anti-inflammatory, and venotonic properties. Drug Des. Dev. Ther. 2019, 13, 3425–3437. [Google Scholar] [CrossRef] [PubMed]
- Sreij, R.; Dargel, C.; Moleiro, L.H.; Monroy, F.; Hellweg, T. Aescin incorporation and nanodomain formation in dmpc model membranes. Langmuir 2017, 33, 12351–12361. [Google Scholar] [CrossRef]
- De Groot, C.; Müsken, M.; Müller-Goymann, C.C. Novel Colloidal Microstructures of β-Escin and the Liposomal Components Cholesterol and DPPC. Planta Med. 2018, 84, 1219–1227. [Google Scholar] [CrossRef]
- Hou, Q.; He, W.J.; Wu, Y.S.; Hao, H.J.; Xie, X.Y.; Fu, X.B. Berberine: A traditional natural product with novel biological activities. Altern. Ther. Health Med. 2019, in press. [Google Scholar]
- Spinozzi, S.; Colliva, C.; Camborata, C.; Roberti, M.; Ianni, C.; Neri, F.; Calvarese, C.; Lisotti, A.; Mazzella, G.; Roda, A. Berberine and its metabolites: Relationship between physicochemical properties and plasma levels after administration to human subjects. J. Nat. Prod. 2014, 77, 766–772. [Google Scholar] [CrossRef]
- Torky, A.S.; Freag, M.S.; Nasra, M.M.; Abdallah, O.Y. Novel skin penetrating berberine oleate complex capitalizing on hydrophobic ion pairing approach. Int. J. Pharm. 2018, 549, 76–86. [Google Scholar] [CrossRef]
- Leto, I.; Coronnello, M.; Righeschi, C.; Bergonzi, M.C.; Mini, E.; Bilia, A.R. Enhanced efficacy of artemisinin loaded in transferrin-conjugated liposomes versus stealth liposomes against HCT-8 colon cancer cells. ChemMedChem 2016, 11, 1745–1751. [Google Scholar] [CrossRef]
- Asprea, M.; Tatini, F.; Piazzini, V.; Rossi, F.; Bergonzi, M.C.; Bilia, A.R. Stable, Monodisperse, and Highly Cell-Permeating Nanocochleates from Natural Soy Lecithin Liposomes. Pharmaceutics 2019, 11, 34. [Google Scholar] [CrossRef] [PubMed]
- Isacchi, B.; Bergonzi, M.C.; Iacopi, R.; Ghelardini, C.; Galeotti, N.; Bilia, A.R. Liposomal formulation to increase stability and prolong antineuropathic activity of verbascoside. Planta Med. 2017, 83, 412–419. [Google Scholar] [CrossRef] [PubMed]
- Bhattacharjee, S. DLS and zeta potential—What they are and what they are not? J. Control. Release 2016, 235, 337–351. [Google Scholar] [CrossRef] [PubMed]
- Isacchi, B.; Fabbri, V.; Galeotti, N.; Bergonzi, M.C.; Karioti, A.; Ghelardini, C.; Vannucchi, M.G.; Bilia, A.R. Salvianolic acid B and its liposomal formulations: Anti-hyperalgesic activity in the treatment of neuropathic pain. Eur. J. Pharm. Sci. 2011, 44, 552–558. [Google Scholar] [CrossRef]
- Isacchi, B.; Arrigucci, S.; Marca, G.L.; Bergonzi, M.C.; Vannucchi, M.G.; Novelli, A.; Bilia, A.R. Conventional and long-circulating liposomes of artemisinin: Preparation, characterization, and pharmacokinetic profile in mice. J. Liposome Res. 2011, 21, 237–244. [Google Scholar] [CrossRef]
- Nava, G.; Piñón, E.; Mendoza, L.; Mendoza, N.; Quintanar, D.; Ganem, A. Formulation and In Vitro, Ex Vivo and In Vivo evaluation of elastic liposomes for transdermal delivery of ketorolac tromethamine. Pharmaceutics 2011, 3, 954–970. [Google Scholar] [CrossRef]
- Righeschi, C.; Coronnello, M.; Mastrantoni, A.; Isacchi, B.; Bergonzi, M.C.; Mini, E.; Bilia, A.R. Strategy to provide a useful solution to effective delivery of dihydroartemisinin: Development, characterization and In Vitro studies of liposomal formulations. Colloids Surf. B Biointerfaces 2014, 116, 121–127. [Google Scholar] [CrossRef]
- Isacchi, B.; Bergonzi, M.C.; Grazioso, M.; Righeschi, C.; Pietretti, A.; Severini, C.; Bilia, A.R. Artemisinin and artemisinin plus curcumin liposomal formulations: Enhanced antimalarial efficacy against Plasmodium berghei-infected mice. Eur. J. Pharm. Biopharm. 2012, 80, 528–534. [Google Scholar] [CrossRef]
- Moreno-Bautista, G.; Tam, K.C. Evaluation of dialysis membrane process for quantifying the In Vitro drug-release from colloidal drug carriers. Colloids Surf. A Physicochem. Eng. Asp. 2011, 389, 299–303. [Google Scholar] [CrossRef]
- Asprea, M.; Leto, I.; Bergonzi, M.C.; Bilia, A.R. Thyme essential oil loaded in nanocochleates: Encapsulation efficiency, In Vitro release study and antioxidant activity. LWT Food Sci. Technol. 2017, 77, 497–502. [Google Scholar] [CrossRef]
- Murata, T.; Miyase, T.; Yoshizaki, F. Hyaluronidase inhibitors from Keiskea japonica. Chem. Pharm. Bull. 2012, 60, 121–128. [Google Scholar] [CrossRef] [PubMed]
- Sinkó, B.; Garrigues, T.M.; Balogh, G.T.; Nagy, Z.K.; Tsinman, O.; Avdeef, A.; Takács-Novák, K. Skin–PAMPA: A new method for fast prediction of skin penetration. Eur. J. Pharm. Sci. 2012, 45, 698–707. [Google Scholar] [CrossRef] [PubMed]
- Avdeef, A. Absorption and Drug Development: Solubility, Permeability, and Charge State; John Wiley & Sons: Hoboken, NJ, USA, 2012. [Google Scholar]
- Nicoli, S.; Santi, P. Suitability of excised rabbit ear skin—Fresh and frozen—For evaluating transdermal permeation of estradiol. Drug Deliv. 2007, 14, 195–199. [Google Scholar] [CrossRef] [PubMed]
- Patel, P.; Schmieder, S.; Krishnamurthy, K. Research techniques made simple: Drug delivery techniques, Part 2: Commonly used techniques to assess topical drug bioavailability. J. Investig. Dermatol. 2016, 136, e43–e49. [Google Scholar] [CrossRef]
- Desmedt, B.; Courselle, P.; De Beer, J.O.; Rogiers, V.; Deconinck, E.; De Paepe, K. In Vitro dermal absorption: Sample application and seal quality in a Franz diffusion cell system. Skin Pharmacol. Physiol. 2015, 28, 245–249. [Google Scholar] [CrossRef]
- Lai, F.; Sinico, C.; De Logu, A.; Zaru, M.; Müller, R.H.; Fadda, A.M. SLN as a topical delivery system for Artemisia arborescens essential oil: In Vitro antiviral activity and skin permeation study. Int. J. Nanomed. 2007, 2, 419. [Google Scholar]
- Facino, R.M.; Carini, M.; Stefani, R.; Aldini, G.; Saibene, L. Anti-elastase and anti-hyaluronidase activities of saponins and sapogenins from Hedera helix, Aesculus hippocastanum, and Ruscus aculeatus: Factors contributing to their efficacy in the treatment of venous insufficiency. Arch. Pharm. 1995, 328, 720–724. [Google Scholar] [CrossRef]
- Girish, K.S.; Kemparaju, K.; Nagaraju, S.; Vishwanath, B.S. Hyaluronidase inhibitors: A biological and therapeutic perspective. Curr. Med. Chem. 2009, 16, 2261–2288. [Google Scholar] [CrossRef]
- Lehman, P.A.; Raney, S.G.; Franz, T.J. Percutaneous absorption in man: In Vitro-In Vivo correlation. Skin Pharmacol. Physiol. 2011, 24, 224–230. [Google Scholar] [CrossRef]
- Falconieri, M.C.; Adamo, M.; Monasterolo, C.; Bergonzi, M.C.; Coronnello, M.; Bilia, A.R. New dendrimer-based nanoparticles enhance curcumin solubility. Planta Med. 2017, 83, 420–425. [Google Scholar] [CrossRef]
- Bilia, A.R.; Bergonzi, M.C.; Isacchi, B.; Antiga, E.; Caproni, M. Curcumin nanoparticles potentiate therapeutic effectiveness of acitrein in moderate-to-severe psoriasis patients and control serum cholesterol levels. J. Pharm. Pharmacol. 2018. [Google Scholar] [CrossRef] [PubMed]
- Guccione, C.; Bergonzi, M.C.; Awada, K.M.; Piazzini, V.; Bilia, A.R. Lipid nanocarriers for oral delivery of Serenoa repens CO2 extract: A study of microemulsion and self-microemulsifying drug delivery systems. Planta Med. 2018. [Google Scholar] [CrossRef] [PubMed]
- Grossi, C.; Guccione, C.; Isacchi, B.; Bergonzi, M.C.; Luccarini, I.; Casamenti, F.; Bilia, A.R. Development of blood-brain barrier permeable nanoparticles as potential carriers for Salvianolic Acid B to CNS. Planta Med. 2017, 83, 382–391. [Google Scholar] [CrossRef] [PubMed]
- Guccione, C.; Oufir, M.; Piazzini, V.; Eigenmann, D.E.; Jähne, E.A.; Zabela, V.; Faleschini, M.T.; Bergonzi, M.C.; Smiesko, M.; Hamburger, M.; et al. Andrographolide-loaded nanoparticles for brain delivery: Formulation, characterisation and In Vitro permeability using hCMEC/D3 cell line. Eur. J. Pharm. Biopharm. 2017, 119, 253–263. [Google Scholar] [CrossRef]
- Bilia, A.R.; Nardiello, P.; Piazzini, V.; Leri, M.; Bergonzi, M.C.; Bucciantini, M.; Casamenti, F. Successful brain delivery of andrographolide loaded in human albumin nanoparticles to TgCRND8 mice, an Alzheimer’s Disease mouse model. Front. Pharmacol. 2019, 10, 910. [Google Scholar] [CrossRef]
- Battu, S.K.; Repka, M.A.; Maddineni, S.; Chittiboyina, A.G.; Avery, M.A.; Majumdar, S. Physicochemical characterization of berberine chloride: A perspective in the development of a solution dosage form for oral delivery. Aaps Pharmscitech 2010, 11, 1466–1475. [Google Scholar] [CrossRef]
- Abudayeh, Z.H.; Al Azzam, K.M.; Naddaf, A.; Karpiuk, U.V.; Kislichenko, V.S. Determination of four major saponins in skin and endosperm of seeds of Horse Chestnut (Aesculus hippocastanum L.) using High Performance Liquid Chromatography with positive confirmation by Thin Layer Chromatography. Adv. Pharm. Bull. 2015, 5, 587–591. [Google Scholar] [CrossRef][Green Version]
- Perez-Cullell, N.; Coderch, L.; de la Maza, A.; Parra, J.L.; Estelrich, J. Influence of the fluidity of liposome compositions on percutaneous absorption. Drug Deliv. 2000, 7, 7–13. [Google Scholar] [CrossRef]










| Formulation | Composition (Ratio w/w) | Sonication Time (s)/Sonication Cycles | AHD (nm) | PdI |
|---|---|---|---|---|
| CL | P90G-CHOL (33:10) | 150 s | 106.2 ± 8.1 | 0.24 ± 0.01 |
| ECL | ESN-P90G-CHOL (5:33:10) | 60 s | 180.7 ± 3.2 | 0.40 ± 0.01 |
| ECL | ESN-P90G-CHOL (5:33:10) | 150 s | 152.6 ± 9.1 | 0.39 ± 0.03 |
| ECL | ESN-P90G-CHOL (5:33:10) | 300 s/5 cycles | 142.9 ± 3.1 | 0.38 ± 0.02 |
| ECL | ESN-P90G-CHOL (5:33:10) | 300 s | 132.4 ± 0.5 | 0.36 ± 0.01 |
| ECL | ESN-P90G-CHOL (5:33:10) | 600 s/5 cycles | 127.3 ± 6.2 | 0.38 ± 0.03 |
| EL | ESN-P90G (5:33) | 30 s | 139.1 ± 1.2 | 0.27 ± 0.01 |
| EL | ESN-P90G (5:33) | 60 s/5 cycles | 137.4 ± 6.9 | 0.26 ± 0.01 |
| EL | ESN-P90G (5:33) | 60 s | 103.2 ± 2.3 | 0.34 ± 0.04 |
| EL | ESN-P90G (5:33) | 150 s | 104.1 ± 11.5 | 0.41 ± 0.03 |
| EL | ESN-P90G (5:33) | 180 s | 107.9 ± 2.9 | 0.43 ± 0.01 |
| EL | ESN-P90G (5:33) | 300 s | 117.9 ± 12.1 | 0.40 ± 0.02 |
| EL | ESN-P90G (5:33) | 600 s/5 cycles | 70.0 ± 1.4 | 0.40 ± 0.01 |
| Formulation | Composition (Ratio w/w) | Sonication Time (s)/Sonication Cycles | AHD (nm) | PdI |
|---|---|---|---|---|
| B-CL | BRB+P90G-CHOL (1.3:33:10) | 150 s | 164.0 ± 25.7 | 0.28 ± 0.04 |
| B-CL | BRB+P90G-CHOL (1.3:33:10) | 300 s/5cycles | 124.4 ± 7.6 | 0.31 ± 0.06 |
| B-CL | BRB+P90G-CHOL (1.3:33:10) | 600 s/5 cycles | 106.5 ± 18.1 | 0.26 ± 0.02 |
| B-ECL | BRB+ESN-P90G-CHOL (1.3:5:33:10) | 150 s | 178.5 ± 9.6 | 0.25 ± 0.02 |
| B-ECL | BRB+ESN-P90G-CHOL (1.3:5:33:10) | 180 s | 187.8 ± 1.9 | 0.23 ± 0.03 |
| B-ECL | BRB+ESN-P90G-CHOL (1.3:5:33:10) | 300 s/5 cycles | 178.0 ± 6.3 | 0.23 ± 0.00 |
| B-ECL | BRB+ESN-P90G-CHOL (1.3:5:33:10) | 300 s | 191.7 ± 1.6 | 0.22 ± 0.02 |
| B-ECL | BRB+ESN-P90G-CHOL (1.3:5:33:10) | 600 s/5 cycles | 166.1 ± 23.2 | 0.20 ± 0.02 |
| B-EL | BRB+ESN-P90G (1.3:5:33) | 150 s | 238.9 ± 79.7 | 0.26 ± 0.05 |
| B-EL | BRB+ESN-P90G (1.3:5:33) | 180 s | 195.9 ± 2.8 | 0.22 ± 0.02 |
| B-EL | BRB+ESN-P90G (1.3:5:33) | 300 s/5 cycles | 227.0 ± 76.7 | 0.23 ± 0.05 |
| B-EL | BRB+ESN-P90G (1.3:5:33) | 300 s | 275.6 ± 20.9 | 0.26 ± 0.04 |
| B-EL | BRB+ESN-P90G (1.3:5:33) | 600 s/5 cycles | 150.1 ± 5.2 | 0.17 ± 0.02 |
| Formulation | Composition (Ratio w/w) | AHD (nm) | PdI | ζ-Potential (mV) | Deformability |
|---|---|---|---|---|---|
| CL | P90G-CHOL (33:10) | 106.2 ± 8.1 | 0.24 ± 0.01 | −26.9 ± 1.3 | 1.05 ± 0.04 |
| ECL | ESN-P90G-CHOL (5:33:10) | 127.3 ± 6.2 | 0.38 ± 0.03 | −31.4 ± 2.5 | * |
| EL | ESN-P90G (5:33) | 137.4 ± 6.9 | 0.26 ± 0.01 | −40.5 ± 3.1 | 0.89 ± 0.01 |
| B-CL | BRB + P90G-CHOL (1.3:33:10) | 106.5 ± 18.1 | 0.26 ± 0.02 | −29.5 ± 0.2 | 1.02 ± 0.01 |
| B-ECL | BRB + ESN-P90G-CHOL (1.3:5:33:10) | 166.1 ± 23.2 | 0.22 ± 0.02 | −30.1 ± 0.4 | * |
| B-EL | BRB + ESN-P90G (1.3:5:33) | 150.1 ± 5.2 | 0.17 ± 0.02 | −34.8 ± 5.1 | 1.09 ± 0.01 |
| Formulation | ESN | BRB | ||||
|---|---|---|---|---|---|---|
| ESN% w/v | R% | EE% | BRB% w/v | R% | EE% | |
| CL | / | / | / | / | / | / |
| E-CL | 0.5% | 98.04 ± 0.12 | 97.14 ± 0.72 | / | / | / |
| EL | 0.5% | 97.34 ± 3.40 | 95.46 ± 0.93 | / | / | / |
| B-CL | / | / | / | 0.13% | 95.76 ± 2.58 | 44.10 ± 0.71 |
| B-ECL | 0.5% | 98.02 ± 0.23 | 94.80 ± 0.11 | 0.13% | 96.21 ± 0.32 | 47.60 ± 0.56 |
| B-EL | 0.5% | 96.50 ± 3.90 | 93.16 ± 9.68 | 0.13% | 97.06 ± 7.10 | 66.70 ± 5.33 |
| Formulation | Pe (10−6 cm/s) |
|---|---|
| B-CL | 2.06 ± 0.01 |
| B-ECL | 4.30 ± 1.87 |
| B-EL | 2.16 ±0.02 |
| B-SOL | 1.12 ± 0.03 |
| Piroxicam | 0.24 ± 0.10 |
| Progesterone | 1.19 ± 0.35 |
| Formulation | BRB | ||
|---|---|---|---|
| A24 (%) | S24 (%) | TA24 (%) | |
| B-SOL | 0.60 ± 0.37 | 0.92 ± 0.17 | 1.52 ± 0.05 |
| B-EL | 0.32 ± 0.01 | 0.19 ± 0.06 | 0.51 ± 0.03 |
| B-ECL | 0.33 ± 0.03 | 0.24 ± 0.04 | 0.57 ± 0.06 |
| B-CL | 0.32 ± 0.13 | 0.79 ± 0.11 | 1.11 ± 0.04 |
© 2019 by the authors. Licensee MDPI, Basel, Switzerland. This article is an open access article distributed under the terms and conditions of the Creative Commons Attribution (CC BY) license (http://creativecommons.org/licenses/by/4.0/).
Share and Cite
Vanti, G.; Bani, D.; Salvatici, M.C.; Bergonzi, M.C.; Bilia, A.R. Development and Percutaneous Permeation Study of Escinosomes, Escin-Based Nanovesicles Loaded with Berberine Chloride. Pharmaceutics 2019, 11, 682. https://doi.org/10.3390/pharmaceutics11120682
Vanti G, Bani D, Salvatici MC, Bergonzi MC, Bilia AR. Development and Percutaneous Permeation Study of Escinosomes, Escin-Based Nanovesicles Loaded with Berberine Chloride. Pharmaceutics. 2019; 11(12):682. https://doi.org/10.3390/pharmaceutics11120682
Chicago/Turabian StyleVanti, Giulia, Daniele Bani, Maria Cristina Salvatici, Maria Camilla Bergonzi, and Anna Rita Bilia. 2019. "Development and Percutaneous Permeation Study of Escinosomes, Escin-Based Nanovesicles Loaded with Berberine Chloride" Pharmaceutics 11, no. 12: 682. https://doi.org/10.3390/pharmaceutics11120682
APA StyleVanti, G., Bani, D., Salvatici, M. C., Bergonzi, M. C., & Bilia, A. R. (2019). Development and Percutaneous Permeation Study of Escinosomes, Escin-Based Nanovesicles Loaded with Berberine Chloride. Pharmaceutics, 11(12), 682. https://doi.org/10.3390/pharmaceutics11120682

