RETRACTED: Fabrication, Optimization, and Evaluation of Rotigotine-Loaded Chitosan Nanoparticles for Nose-To-Brain Delivery
Abstract
1. Introduction
2. Materials and Methods
2.1. Preparation and Optimization of Rotigotine Nanoparticles
2.2. Characterization of Rotigotine-Loaded Chitosan Nanoparticles
2.2.1. Nanoparticle Size, Size Distribution, and Zeta Potential
2.2.2. Transmission Electron Microscopy (TEM)
2.2.3. Field Emission Scanning Electron Microscope (FESEM)
2.2.4. Atomic Force Microscopy (AFM) Studies
2.2.5. X-ray Diffraction (XRD) and Fourier-Transform Infrared Spectroscopy (FTIR) Studies
2.2.6. Determination of Entrapment Efficiency (%EE)
2.3. Mucoadhesive Strength of Nanoparticles
2.4. In Vitro Release of Rotigotine from Polymeric Nanoparticles
2.5. Ex Vivo Drug Permeation Study Using Goat Nasal Mucosa
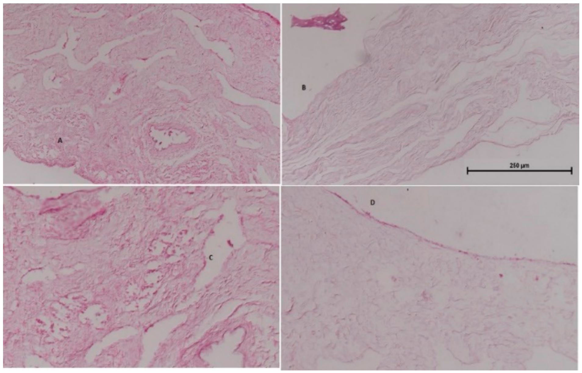
2.6. Histopathological Examination of Nasal Mucosa
3. Result and Discussion
3.1. Preparation and Optimization of Placebo Chitosan Nanoparticles
3.2. Development and Optimization of Rotigotine-Loaded Chitosan Nanoparticles (CS NPs)
3.3. Effect of Increase in CS Concentration at Fixed Drug Concentration
3.4. Characterization of Optimized Nanoparticles
3.5. XRD and FTIR Studies
3.6. In Vitro Release Studies
3.7. Ex Vivo Nasal Permeation Study
3.8. Nasal Histopathology Study
4. Conclusions
Author Contributions
Funding
Acknowledgments
Conflicts of Interest
References
- Verma, R.; Nehru, B. Effect of centrophenoxine against rotenone-induced oxidative stress in an animal model of Parkinson’s disease. Neurochem. Int. 2009, 55, 369–375. [Google Scholar] [CrossRef] [PubMed]
- Fahn, S. Levodopa in the treatment of Parkinson’s disease. J. Neural Transm. 2006, 71, 1–15. [Google Scholar]
- Jenner, P. Avoidance of dyskinesia: Preclinical evidence for continuous dopaminergic stimulation. Neurology 2004, 13, 47–55. [Google Scholar] [CrossRef]
- Md, S.; Haque, S.; Sahni, J.K.; Baboota, S.; Ali, J. New non-oral drug delivery systems for Parkinson’s disease treatment. Expert Opin. Drug Deliv. 2011, 8, 359–374. [Google Scholar] [CrossRef] [PubMed]
- Li, X.; Zhang, R.; Liang, R.; Liu, W.; Wang, C.; Su, Z.; Sun, F.; Li, Y. Preparation and characterization of sustained-release rotigotine film-forming gel. Int. J. Pharm. 2014, 460, 273–279. [Google Scholar] [CrossRef]
- Nugroho, A.K.; Li, G.; Grossklaus, A.; Danhof, M.; Bouwstra, J.A. Transdermal iontophoresis of rotigotine: Influence of concentration, temperature and current density in human skin in vitro. J. Control. Release 2004, 96, 159–167. [Google Scholar] [CrossRef] [PubMed]
- Chaudhuri, K.R. Crystallisation within transdermal rotigotine patch: Is there cause for concern? Expert Opin. Drug Deliv. 2008, 5, 1169–1171. [Google Scholar] [CrossRef] [PubMed]
- Grassin-Delyle, S.; Buenestado, A.; Naline, E.; Faisy, C.; Blouquit-Laye, S.; Couderc, L.-J.; Le Guen, M.; Fischler, M.; Devillier, P. Intranasal drug delivery: Anefficient and non-invasive route for systemic administration: Focus on opioids. Pharmacol. Ther. 2012, 134, 366–379. [Google Scholar] [CrossRef]
- Liu, Z.; Jiang, M.; Kang, T.; Miao, D.; Gu, G.; Song, Q.; Yao, L.; Hu, Q.; Tu, Y.; Pang, Z.; et al. Lactoferrin-modified PEG-co-PCL nanoparticles for enhanced brain delivery of NAP peptide following intranasal administration. Biomaterials 2013, 34, 3870–3881. [Google Scholar] [CrossRef]
- Md, S.; Khan, R.A.; Mustafa, G.; Chuttani, K.; Baboota, S.; Sahni, J.K.; Ali, J. Bromocriptine loaded chitosan nanoparticles intended for direct nose to brain delivery: Pharmacodynamic, Pharmacokinetic and Scintigraphy study in mice model. Eur. J. Pharm. Sci. 2013, 48, 393–405. [Google Scholar] [CrossRef]
- Zhao, Z.; Lou, S.; Hu, Y.; Zhu, J.; Zhang, C. A Nano-in-Nano Polymer–Dendrimer Nanoparticle-Based Nanosystem for Controlled Multidrug Delivery. Mol. Pharm. 2017, 14, 2697–2710. [Google Scholar] [CrossRef] [PubMed]
- Anselmo, A.C.; Zhang, M.; Kumar, S.; Vogus, D.R.; Menegatti, S.; Helgeson, M.E.; Mitragotri, S. Elasticity of Nanoparticles Influences Their Blood Circulation, Phagocytosis, Endocytosis, and Targeting. ACS Nano 2015, 9, 3169–3177. [Google Scholar] [CrossRef] [PubMed]
- Lou, S.; Zhao, Z.; Dezort, M.; Lohneis, T.; Zhang, C. Multifunctional Nanosystem for Targeted and Controlled Delivery of Multiple Chemotherapeutic Agents for the Treatment of Drug-Resistant Breast Cancer. ACS Omega 2018, 3, 9210–9219. [Google Scholar] [CrossRef] [PubMed]
- Anselmo, A.C.; Mitragotri, S. Nanoparticles in the clinic. Bioeng. Transl. Med. 2016, 1, 10–29. [Google Scholar] [CrossRef] [PubMed]
- Wang, A.; Wang, L.; Sun, K.; Liu, W.; Sha, C.; Li, Y. Preparation of rotigotine-Loaded microspheres and their combination use with L-DOPA to modify dyskinesias in 6-OHDA-lesioned rats. Pharm. Res. 2012, 29, 2367–2376. [Google Scholar] [CrossRef]
- Bi, C.; Wang, A.; Chu, Y.; Liu, S.; Mu, H.; Liu, W.; Wu, Z.; Sun, K.; Li, Y. Intranasal delivery of rotigotine to the brain with lactoferrin-modified PEG-PLGA nanoparticles for Parkinson’s disease treatment. Int. J. Nanomed. 2016, 11, 6547–6559. [Google Scholar] [CrossRef]
- Yin, Y.; Chen, D.; Qiao, M.; Lu, Z.; Hu, H. Preparation and evaluation of lectin-conjugated PLGA nanoparticles for oral delivery of thymopentin. J. Control. Release 2006, 116, 337–345. [Google Scholar] [CrossRef]
- Samson, G.; de la Calera, A.G.; Dupuis-Girod, S.; Faure, F.; Decullier, E. Ex vivo study of bevacizumab transport through porcine nasal mucosa. Eur. J. Pharm. Biopharm. 2012, 80, 465–469. [Google Scholar] [CrossRef]
- Shah, B.; Khunt, D.; Misra, M.; Padh, H. Application of Box-Behnken design for optimization and development of quetiapine fumarate loaded chitosan nanoparticles for brain delivery via intranasal route. Int. J. Biol. Macromol. 2016, 89, 206–218. [Google Scholar] [CrossRef]
- Md, S.; Kumar, M.; Baboota, S.; Sahni, J.K.; Ali, J. Preparation, Characterization and Evaluation of Bromocriptine Loaded Chitosan Nanoparticles for Intranasal Delivery. Sci. Adv. Mater. 2012, 4, 949–960. [Google Scholar]
- Fan, W.; Yan, W.; Xu, Z.; Ni, H. Formation mechanism of monodisperse, low molecular weight chitosan nanoparticles by ionic gelation technique. Colloids Surf. B 2012, 90, 21–27. [Google Scholar] [CrossRef] [PubMed]
- Pan, Y.; Li, Y.; Zhao, H.; Zheng, J.; Xu, H.; Wei, G. Bioadhesive polysaccharide in protein delivery system: Chitosan nanoparticles improve the intestinal absorption of insulin in vivo. Int. J. Pharm. 2002, 249, 139–147. [Google Scholar] [CrossRef]
- Hu, Y.; Jiang, X.; Ding, Y.; Ge, H.; Yuan, Y.; Yang, C. Synthesis and characterization of chitosan–poly(acrylic acid) nanoparticles. Biomaterials 2002, 23, 3193–3201. [Google Scholar] [CrossRef]
- Berger, J.; Reist, M.; Mayer, J.M.; Felt, O.; Peppas, N.A.; Gurny, R. Structure and interactions in covalently and ionically crosslinked chitosan hydrogels for biomedical applications. Eur. J. Pharm. Biopharm. 2004, 57, 19–34. [Google Scholar] [CrossRef]
- Hu, B.; Pan, C.; Sun, Y.; Hou, Z.; Ye, H.; Zeng, X. Optimization of fabrication parameters to produce chitosan–tripolyphosphate nanoparticles for delivery of tea catechins. J. Agric. Food. Chem. 2008, 56, 7451–7458. [Google Scholar] [CrossRef] [PubMed]
- Ankola, D.D.; Viswanad, B.; Bhardwaj, V.; Rao, P.R.; Kumar, M.N.V. Development of potent oral nanoparticulate formulation of coenzyme Q10 for treatment of hypertension: Can the simple nutritional supplements be used as first line therapeutic agents for prophylaxis/therapy? Eur. J. Pharm. Biopharm. 2007, 67, 361–369. [Google Scholar] [CrossRef]
- Luo, Y.; Zhang, B.; Cheng, W.H.; Wang, Q. Preparation, characterization and evaluation of selenite-loaded chitosan/TPP nanoparticles with or without zein coating. Carbohydr. Polym. 2010, 82, 942–951. [Google Scholar] [CrossRef]
- Wu, Y.; Yang, W.; Wang, C.; Hu, J.; Fu, S. Chitosan NPs as a novel delivery system for ammonium glycyrrhizinate. Int. J. Pharm. 2005, 295, 235–245. [Google Scholar] [CrossRef]
- Fazil, M.; Md, S.; Haque, S.; Sahni, J.K.; Baboota, S.; Ali, J. Development and Evaluation of Rivastigmine loaded Chitosan Nanoparticles for Brain Targeting. Eur. J. Pharm. Sci. 2012, 47, 6–15. [Google Scholar] [CrossRef]
- Avadi, M.R.; Sadeghi, A.M.M.; Mohammadpour, N.; Abedin, S.; Atyabi, F.; Dinarvand, R.; Rafiee-Tehrani, M. Preparation and characterization of insulin nanoparticles using chitosan and Arabic gum with ionic gelation method. Nanomed. Nanotech. Biol. Med. 2010, 6, 58–63. [Google Scholar] [CrossRef]
- Hans, M.L.; Lowman, A.M. Biodegradable NPs for drug delivery and targeting. Curr. Opin. Solid State Mater. Sci. 2002, 6, 319–327. [Google Scholar] [CrossRef]
- Rassu, G.; Soddu, E.; Posadino, A.M.; Pintus, G.; Sarmentod, B.; Giunchedi, P.; Gavini, E. Nose-to-brain delivery of BACE1 siRNA loaded in solid lipid nanoparticles for Alzheimer’s therapy. Colloid Surf. B Biointerfaces 2017, 152, 296–301. [Google Scholar] [CrossRef]
- Washington, N.; Steele, R.J.C.; Jackson, S.J.; Bush, D.; Mason, J.; Gill, D.A.; Pitt, K.; Rawlins, D.A. Determination of baseline human nasal pH and the effect of intranasally administered buffers. Int. J. Pharm. 2000, 198, 139–146. [Google Scholar] [CrossRef]
- Lungare, S.; Hallam, K.; Badhan, R.K.S. Phytochemical-loaded mesoporous silica nanoparticles for nose-to-brain olfactory drug delivery. Int. J. Pharm. 2016, 513, 280–293. [Google Scholar] [CrossRef] [PubMed]
- Gomathi, T.; Sudha, P.N.; Florence, J.A.K.; Venkatesan, J.; Anil, S. Fabrication of letrozole formulation using chitosan nanoparticles through ionic gelation method. Int. J. Biol. Macromol. 2017, 104, 1820–1832. [Google Scholar] [CrossRef] [PubMed]
- Trapani, A.; De Giglio, E.; Cafagna, D.; Denora, N.; Agrimi, G.; Cassano, T.; Gaetani, S.; Cuomo, V.; Trapani, G. Characterization and evaluation of chitosan nanoparticles for dopamine brain delivery. Int. J. Pharm. 2011, 419, 296–307. [Google Scholar] [CrossRef]
- Papadimitriou, S.; Bikiaris, D.; Avgoustakis, K.; Karavas, E.; Georgarakis, M. Chitosan nanoparticles loaded with dorzolamide and pramipexole. Carbohydr. Polym. 2008, 73, 44–54. [Google Scholar] [CrossRef]
- Liu, S.; Yang, S.; Ho, P.C. Intranasal administration of carbamazepine loaded carboxymethyl chitosan nanoparticles for drug delivery to the brain. Asian J. Pharm. Sci. 2018, 13, 72–78. [Google Scholar] [CrossRef]
- Siepmann, J.; Siepmann, F. Mathematical modeling of drug delivery. Int. J. Pharm. 2008, 364, 328–343. [Google Scholar] [CrossRef]













| Formulation Code | Drug Conc. | Conc of CS and TPP (% W/V) | Volume of TPP (mL) | CS/TPP Ratio | PS (nm) ± SD | PDI ± SD | ZP (mV) ± SD |
|---|---|---|---|---|---|---|---|
| F5D | 0.5 mg/mL | 0.05 | 5 | 2:1 | 64.93 ± 0.87 | 0.266 ± 0.20 | 25.40 ± 0.20 |
| F6D | 6 | 1.67:1 | 75.7 ± 0.75 | 0.222 ± 0.05 | 18.6 ± 0.6 | ||
| F7D | 7 | 1.42:1 | 163.4 ± 1.7 | 0.248 ± 0.05 | 16.1 ± 0.4 | ||
| F13D | 0.1 | 5 | 2:1 | 111.6 ± 0.1 | 0.371 ± 0.06 | 34.3 ± 4.6 | |
| F14D | 6 | 1.67:1 | 99.65 ± 4.07 | 0.246 ± 0.01 | 20.2 ± 4.5 | ||
| F20D | 0.15 | 5 | 2:1 | 182.8 ± 1.0 | 0.617 ± 0.11 | 28.7 ± 0.6 |
| Formulation Code | Conc. of CS (% W/V) | Conc. of Rotigotine (mg/mL) | PS (nm) ± SD | PDI ± SD | ZP (mV) ± SD | % EE ± SD |
|---|---|---|---|---|---|---|
| F5D | 0.05 | 0.5 | 64.93 ± 0.87 | 0.266 ± 0.20 | 25.40 ± 0.20 | 93.29 ± 0.03 |
| G5D | 0.10 | 101.50 ± 0.70 | 0.241 ± 0.01 | 17.50 ± 0.61 | 92.07 ± 0.02 | |
| H5D | 0.15 | 153.67 ± 0.80 | 0.375 ± 0.01 | 17.27 ± 0.06 | 91.91 ± 0.03 |
| Formulation Code | Conc. of Rotigotine (mg/mL) | PS ± SD (nm) | PDI ± SD | ZP ± SD (mV) | %EE± SD |
|---|---|---|---|---|---|
| F5D1 | 0.25 | 73.37 ± 0.17 | 0.384 ± 0.01 | 28.80 ± 0.30 | 97.11 ± 0.03 |
| F5D2 | 0.50 | 75.37 ± 3.37 | 0.368 ± 0.02 | 25.53 ± 0.45 | 96.08 ± 0.01 |
| F5D3 | 1.00 | 78.23 ± 1.31 | 0.279 ± 0.01 | 24.00 ± 0.53 | 94.63 ± 0.00 |
| F5D4 | 1.5 | 146.4 ± 3.3 | 0.40 ± 0.01 | 20.30 ± 0.60 | 87.7 ± 3.8 |
| Formulation | Particle Size ± SD (nm) | PDI ± SD | ZP ± SD (mV) | EE (%) ± SD | % Mucoadhesion ± SD |
|---|---|---|---|---|---|
| Placebo CS NPs | 64.54 ± 1.06 | 0.287 ± 0.009 | 25.73 ± 1.18 | - | 92.60 ± 0.90% |
| Rotigotine-loaded Cs NPs | 75.37 ± 3.37 | 0.368 ± 0.02 | 25.53 ± 0.45 | 96.08 ± 0.01 | 80.98 ± 1.78% |
© 2019 by the authors. Licensee MDPI, Basel, Switzerland. This article is an open access article distributed under the terms and conditions of the Creative Commons Attribution (CC BY) license (http://creativecommons.org/licenses/by/4.0/).
Share and Cite
Tzeyung, A.S.; Md, S.; Bhattamisra, S.K.; Madheswaran, T.; Alhakamy, N.A.; Aldawsari, H.M.; Radhakrishnan, A.K. RETRACTED: Fabrication, Optimization, and Evaluation of Rotigotine-Loaded Chitosan Nanoparticles for Nose-To-Brain Delivery. Pharmaceutics 2019, 11, 26. https://doi.org/10.3390/pharmaceutics11010026
Tzeyung AS, Md S, Bhattamisra SK, Madheswaran T, Alhakamy NA, Aldawsari HM, Radhakrishnan AK. RETRACTED: Fabrication, Optimization, and Evaluation of Rotigotine-Loaded Chitosan Nanoparticles for Nose-To-Brain Delivery. Pharmaceutics. 2019; 11(1):26. https://doi.org/10.3390/pharmaceutics11010026
Chicago/Turabian StyleTzeyung, Angeline Shak., Shadab Md, Subrat Kumar Bhattamisra, Thiagarajan Madheswaran, Nabil A. Alhakamy, Hibah M. Aldawsari, and Ammu K. Radhakrishnan. 2019. "RETRACTED: Fabrication, Optimization, and Evaluation of Rotigotine-Loaded Chitosan Nanoparticles for Nose-To-Brain Delivery" Pharmaceutics 11, no. 1: 26. https://doi.org/10.3390/pharmaceutics11010026
APA StyleTzeyung, A. S., Md, S., Bhattamisra, S. K., Madheswaran, T., Alhakamy, N. A., Aldawsari, H. M., & Radhakrishnan, A. K. (2019). RETRACTED: Fabrication, Optimization, and Evaluation of Rotigotine-Loaded Chitosan Nanoparticles for Nose-To-Brain Delivery. Pharmaceutics, 11(1), 26. https://doi.org/10.3390/pharmaceutics11010026

