Frequent Infection of Human Cancer Xenografts with Murine Endogenous Retroviruses in Vivo
Abstract
:1. Introduction
2. Materials and Methods
2.1. Cell Lines and Virus Infections
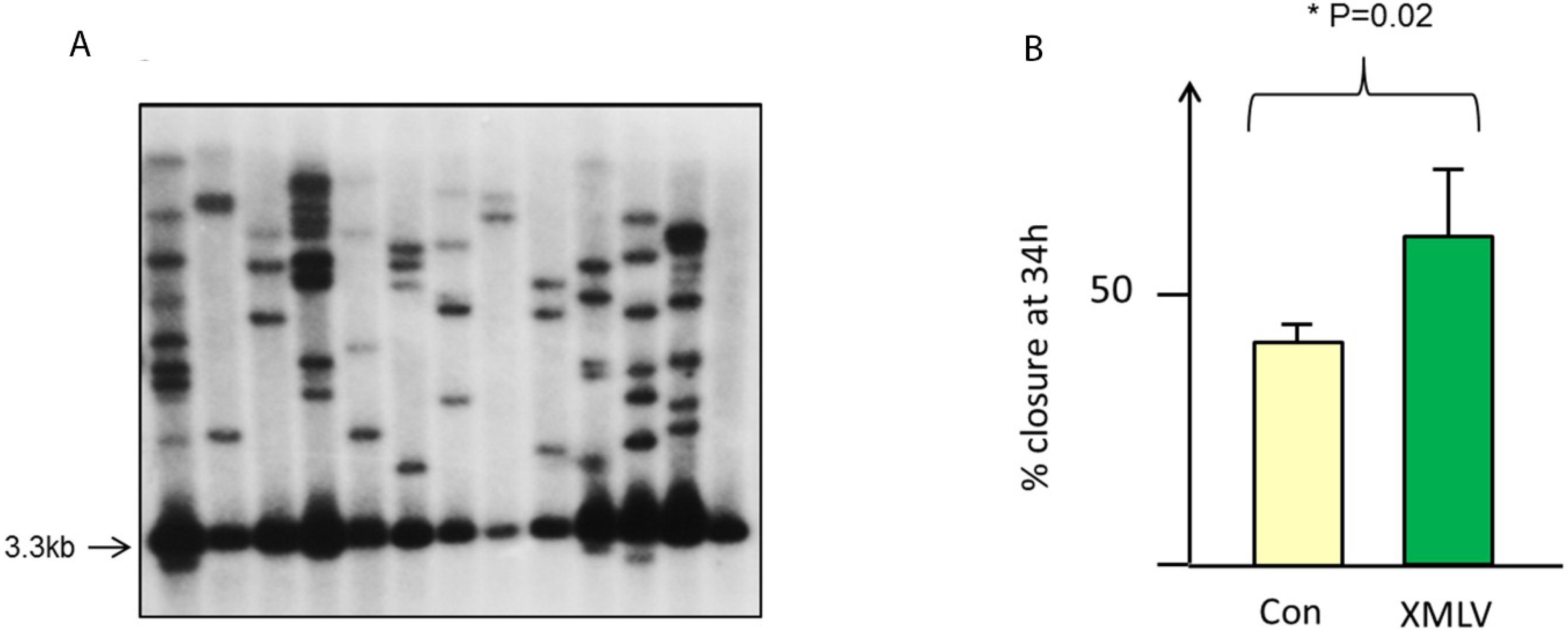
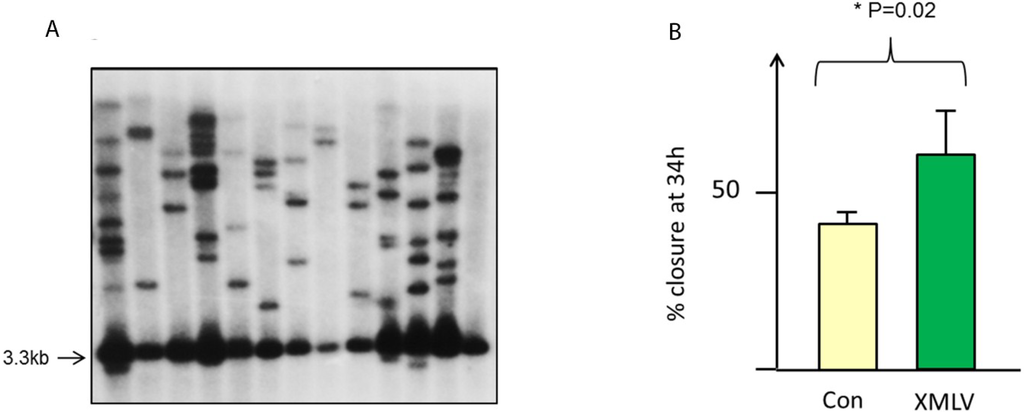
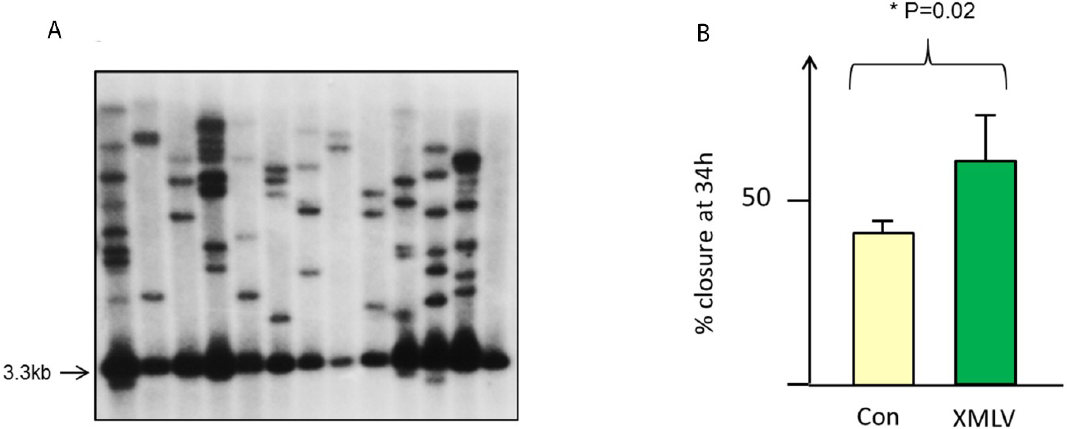
2.2. Southern Blot Hybridization of Single Cell Clones
2.3. RNA Extraction and Microarray Analysis
2.4. Quantitative Real-Time PCR
2.5. Wound Healing Assay
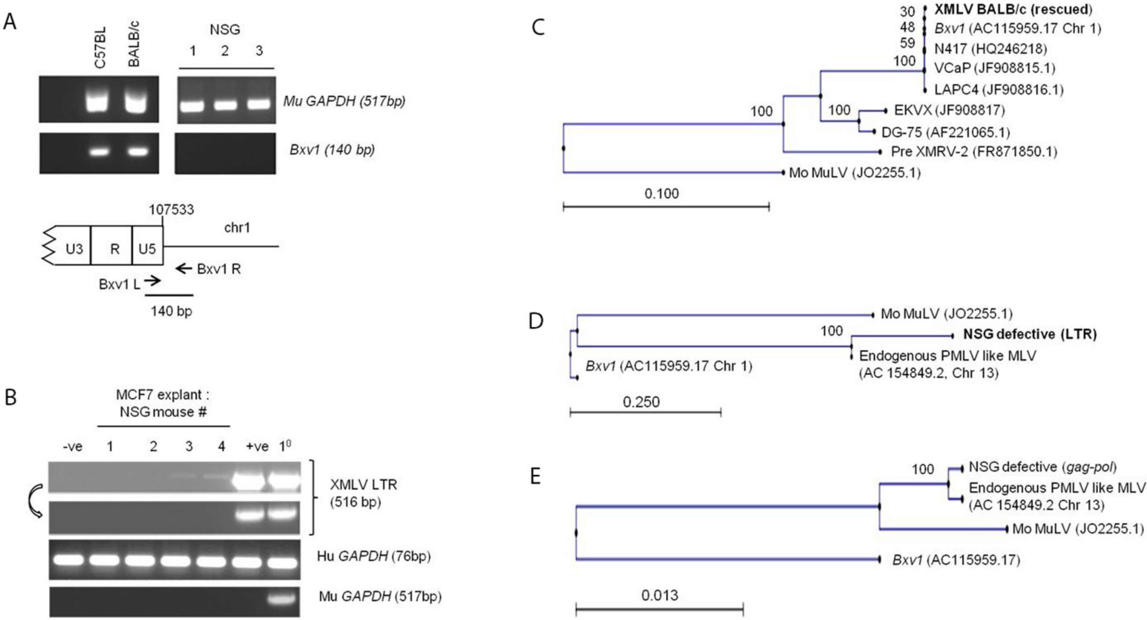
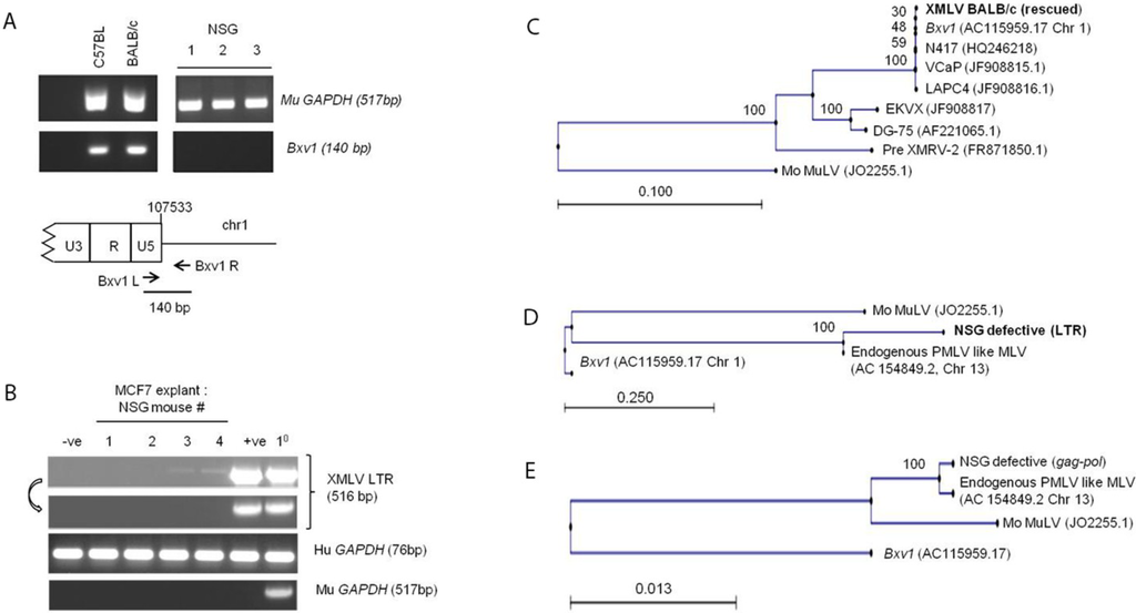
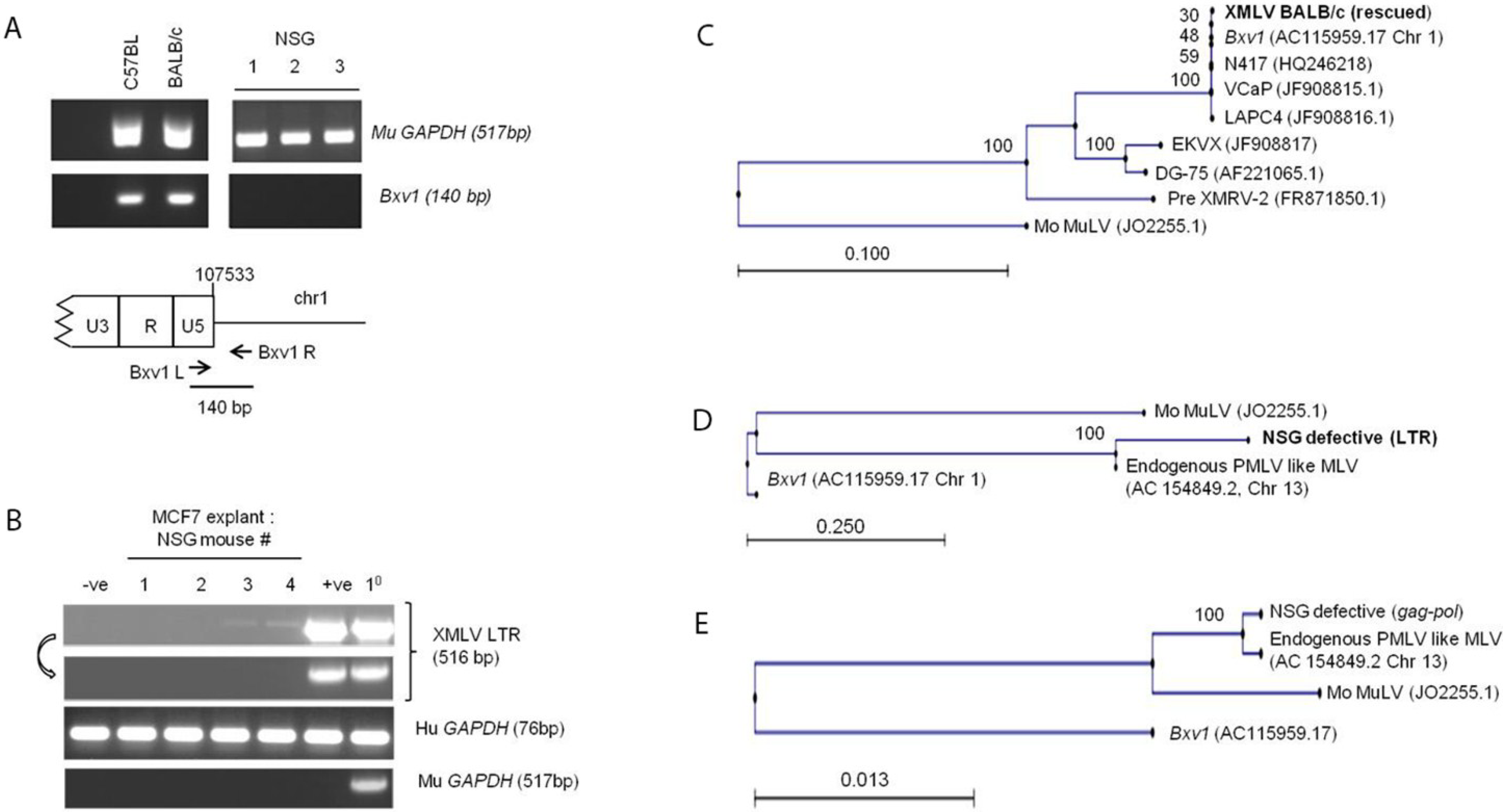
2.6. PCR Detection of Bxv-1 and XMLV
2.7. Animal Experiments
2.8. Phylogenetic Analyses
2.9. Microarray Analysis
3. Results
3.1. Frequent Recovery of XMLV from MCF7 Xenografts in BALB/c Mice


3.2. Susceptibility of Human Cell Lines to Recovered XMLV Infection
| Target cell | Origin | Susceptibility a | Titre b |
|---|---|---|---|
| MCF7 | Mammary carcinoma | ++++ | >104 |
| CEM | T-cell leukemia (ALL) | +++ | 101 |
| CEM-SS | CEM subclone | +++ | 101 |
| K562 | Myelogenous leukemia (CML) | +++ | ND |
| 293T | Embryonic kidney | ++++ | >102 |
| Raji | Burkitt lymphoma | +++++ | ND |
| CD34+ | Cord blood | ++ | ND |
| Kyo-1 | Myelogenous leukemia (CML) | ++ | 0 |
| U937 | Histiocytic lymphoma | ++ | ND |
| Jurkat | T-cell leukemia | ++ | ND |
| THP-1 | Monocytic leukemia | ++ | ND |
| MDA MB 231 | Mammary carcinoma | ++ | ND |
| Reh | Acute lymphocytic leukemia | + | 0 |
| PBMC | Primary blood mononuclear | + | 0 |
3.3. Phenotypic Effects of XMLV Infection

3.4. Effects of XMLV Infection on the Human Transcriptome


4. Discussion
Acknowledgments
Author Contributions
Supplementary Information
Conflicts of Interest
References
- Todaro, G.J.; Arnstein, P.; Parks, W.P.; Lennette, E.H.; Huebner, R.J. A type-C virus in human rhabdomyosarcoma cells after inoculation into NIH Swiss mice treated with antithymocyte serum. Proc. Natl. Acad. Sci. USA 1973, 70, 859–862. [Google Scholar] [CrossRef] [PubMed]
- Wunderli, H.; Mickey, D.D.; Paulson, D.F. C-type virus particles in human urogenital tumours after heterotransplantation into nude mice. Br. J. Cancer 1979, 39, 35–42. [Google Scholar] [CrossRef] [PubMed]
- Delviks-Frankenberry, K.; Cingoz, O.; Coffin, J.M.; Pathak, V.K. Recombinant origin, contamination, and de-discovery of XMRV. Curr. Opin. Virol. 2012, 2, 499–507. [Google Scholar] [CrossRef] [PubMed]
- Paprotka, T.; Delviks-Frankenberry, K.A.; Cingoz, O.; Martinez, A.; Kung, H.J.; Tepper, C.G.; Hu, W.S.; Fivash, M.J., Jr.; Coffin, J.M.; Pathak, V.K. Recombinant origin of the retrovirus XMRV. Science 2011, 333, 97–101. [Google Scholar] [CrossRef]
- Takeuchi, Y.; McClure, M.O.; Pizzato, M. Identification of gammaretroviruses constitutively released from cell lines used for human immunodeficiency virus research. J. Virol. 2008, 82, 12585–12588. [Google Scholar] [CrossRef] [PubMed]
- Lin, Z.; Puetter, A.; Coco, J.; Xu, G.; Strong, M.J.; Wang, X.; Fewell, C.; Baddoo, M.; Taylor, C.; Flemington, E.K. Detection of murine leukemia virus in the Epstein-Barr virus-positive human B-cell line JY, using a computational RNA-Seq-based exogenous agent detection pipeline, PARSES. J. Virol. 2012, 86, 2970–2977. [Google Scholar] [CrossRef] [PubMed]
- Cao, S.; Strong, M.J.; Wang, X.; Moss, W.N.; Concha, M.; Lin, Z.; O’Grady, T.; Baddoo, M.; Fewell, C.; Renne, R.; et al. High-throughput RNA sequencing-based virome analysis of 50 lymphoma cell lines from the Cancer Cell Line Encyclopedia project. J. Virol. 2015, 89, 713–729. [Google Scholar] [CrossRef] [PubMed]
- Zhang, Y.A.; Maitra, A.; Hsieh, J.T.; Rudin, C.M.; Peacock, C.D.; Karikari, C.; Brekken, R.A.; Stastny, V.; Gao, B.; Girard, L.; et al. Frequent detection of infectious xenotropic murine leukemia virus (XMLV) in human cultures established from mouse xenografts. Cancer Biol. Ther. 2011, 12, 617–628. [Google Scholar] [CrossRef] [PubMed]
- Coulson-Thomas, V.J.; Gesteira, T.F.; Hascall, V.; Kao, W. Umbilical cord mesenchymal stem cells suppress host rejection: The role of the glycocalyx. J. Biol. Chem. 2014, 289, 23465–23481. [Google Scholar] [CrossRef] [PubMed]
- Marusyk, A.; Tabassum, D.P.; Altrock, P.M.; Almendro, V.; Michor, F.; Polyak, K. Non-cell-autonomous driving of tumour growth supports sub-clonal heterogeneity. Nature 2014, 514, 54–58. [Google Scholar] [CrossRef] [PubMed]
- Dobbin, Z.C.; Katre, A.A.; Steg, A.D.; Erickson, B.K.; Shah, M.M.; Alvarez, R.D.; Conner, M.G.; Schneider, D.; Chen, D.; Landen, C.N. Using heterogeneity of the patient-derived xenograft model to identify the chemoresistant population in ovarian cancer. Oncotarget 2014, 5, 8750–8764. [Google Scholar] [PubMed]
- Hempel, H.A.; Burns, K.H.; de Marzo, A.M.; Sfanos, K.S. Infection of Xenotransplanted Human Cell Lines by Murine Retroviruses: A Lesson Brought Back to Light by XMRV. Front Oncol. 2013, 3, 156. [Google Scholar] [CrossRef] [PubMed]
- Vaughan, A.E.; Mendoza, R.; Aranda, R.; Battini, J.L.; Miller, A.D. Xpr1 is an atypical G-protein-coupled receptor that mediates xenotropic and polytropic murine retrovirus neurotoxicity. J. Virol. 2012, 86, 1661–1669. [Google Scholar] [CrossRef] [PubMed]
- Stieler, K.; Schumacher, U.; Horst, A.K.; Fischer, N. XMRV induces cell migration, cytokine expression and tumor angiogenesis: Are 22Rv1 cells a suitable prostate cancer model? PLoS ONE 2012, 7, e42321. [Google Scholar] [CrossRef] [PubMed]
- Vaillant, F.; Blyth, K.; Terry, A.; Bell, M.; Cameron, E.R.; Neil, J.; Stewart, M. A full-length Cbfa1 gene product perturbs T-cell development and promotes lymphomagenesis in synergy with myc. Oncogene 1999, 18, 7124–7134. [Google Scholar] [CrossRef] [PubMed]
- Kilbey, A.; Blyth, K.; Wotton, S.; Terry, A.; Jenkins, A.; Bell, M.; Hanlon, L.; Cameron, E.R.; Neil, J.C. Runx2 disruption promotes immortalization and confers resistance to oncogene-induced senescence in primary murine fibroblasts. Cancer Res. 2007, 67, 11263–11271. [Google Scholar] [CrossRef] [PubMed]
- Thompson, A.M.; Steel, C.M.; Foster, M.E.; Kerr, D.; Paterson, D.; Deane, D.; Hawkins, R.A.; Carter, D.C.; Evans, H.J. Gene expression in oestrogen-dependent human breast cancer xenograft tumours. Br. J. Cancer 1990, 62, 78–84. [Google Scholar] [CrossRef] [PubMed]
- Todaro, G.J.; Sherr, C.J.; Benveniste, R.E.; Lieber, M.M.; Melnick, J.L. Type C viruses of baboons: Isolation from normal cell cultures. Cell 1974, 2, 55–61. [Google Scholar] [CrossRef] [PubMed]
- Kozak, C.; Rowe, W.P. Genetic mapping of xenotropic leukemia virus-inducing loci in two mouse strains. Science 1978, 199, 1448–1449. [Google Scholar] [CrossRef] [PubMed]
- Stoye, J.P.; Moroni, C. Phenotypic mixing of retroviruses in mitogen-stimulated lymphocytes: Analysis of xenotropic and defective endogenous mouse viruses. J. Gen. Virol. 1984, 65, 317–326. [Google Scholar] [CrossRef] [PubMed]
- Stieler, K.; Schindler, S.; Schlomm, T.; Hohn, O.; Bannert, N.; Simon, R.; Minner, S.; Schindler, M.; Fischer, N. No detection of XMRV in blood samples and tissue sections from prostate cancer patients in Northern Europe. PLoS ONE 2011, 6, e25592. [Google Scholar] [CrossRef] [PubMed]
- Kozak, C.A.; Rowe, W.P. Genetic mapping of xenotropic murine leukemia virus-inducing loci in five mouse strains. J. Exp. Med. 1980, 152, 219–228. [Google Scholar] [CrossRef] [PubMed]
- Hoggan, M.D.; O’Neill, R.R.; Kozak, C.A. Nonecotropic murine leukemia viruses in BALB/c and NFS/N mice: Characterization of the BALB/c Bxv-1 provirus and the single NFS endogenous xenotrope. J. Virol. 1986, 60, 980–986. [Google Scholar] [PubMed]
- King, S.R.; Horowitz, J.M.; Risser, R. Nucleotide conservation of endogenous ecotropic murine leukemia proviruses in inbred mice: Implications for viral origin and dispersal. Virology 1987, 157, 543–547. [Google Scholar] [CrossRef] [PubMed]
- Pearson, T.; Greiner, D.L.; Shultz, L.D. Humanized SCID mouse models for biomedical research. Curr. Top. Microbiol. Immunol. 2008, 324, 25–51. [Google Scholar] [PubMed]
- Leonard, S.M.; Perry, T.; Woodman, C.B.; Kearns, P. Sequential treatment with cytarabine and decitabine has an increased anti-leukemia effect compared to cytarabine alone in xenograft models of childhood acute myeloid leukemia. PLoS ONE 2014, 9, e87475. [Google Scholar] [CrossRef] [PubMed]
- Harris, R.S.; Bishop, K.N.; Sheehy, A.M.; Craig, H.M.; Petersen-Mahrt, S.K.; Watt, I.N.; Neuberger, M.S.; Malim, M.H. DNA deamination mediates innate immunity to retroviral infection. Cell 2003, 113, 803–809. [Google Scholar] [CrossRef] [PubMed]
- Sturzel, C.M.; Palesch, D.; Khalid, M.; Wissing, S.; Fischer, N.; Munch, J. Utilization of replication-competent XMRV reporter-viruses reveals severe viral restriction in primary human cells. PLoS ONE 2013, 8, e74427. [Google Scholar] [CrossRef] [PubMed]
- Schoggins, J.W. Interferon-stimulated genes: Roles in viral pathogenesis. Curr. Opin. Virol. 2014, 6, 40–46. [Google Scholar] [CrossRef] [PubMed]
- Schoggins, J.W.; Rice, C.M. Innate immune responses to hepatitis C virus. Curr. Top. Microbiol. Immunol. 2013, 369, 219–242. [Google Scholar] [PubMed]
- Schoggins, J.W.; Rice, C.M. Interferon-stimulated genes and their antiviral effector functions. Curr. Opin. Virol. 2011, 1, 519–525. [Google Scholar] [CrossRef] [PubMed]
- Bystry, R.S.; Aluvihare, V.; Welch, K.A.; Kallikourdis, M.; Betz, A.G. B cells and professional APCs recruit regulatory T cells via CCL4. Nat. Immunol. 2001, 2, 1126–1132. [Google Scholar] [CrossRef] [PubMed]
- Cousins, R.J.; McMahon, R.J. Integrative aspects of zinc transporters. J. Nutr. 2000, 130, 1384S–1387S. [Google Scholar] [PubMed]
- Bottger, P.; Pedersen, L. Two highly conserved glutamate residues critical for type III sodium-dependent phosphate transport revealed by uncoupling transport function from retroviral receptor function. J. Biol. Chem. 2002, 277, 42741–42747. [Google Scholar] [CrossRef] [PubMed]
- Giovannini, D.; Touhami, J.; Charnet, P.; Sitbon, M.; Battini, J.L. Inorganic phosphate export by the retrovirus receptor XPR1 in metazoans. Cell Rep. 2013, 3, 1866–1873. [Google Scholar] [CrossRef] [PubMed]
- Bouain, N.; Shahzad, Z.; Rouached, A.; Khan, G.A.; Berthomieu, P.; Abdelly, C.; Poirier, Y.; Rouached, H. Phosphate and zinc transport and signalling in plants: Toward a better understanding of their homeostasis interaction. J. Exp. Bot. 2014, 65, 5725–5741. [Google Scholar] [CrossRef] [PubMed]
- Jackson, R.J.; Binet, M.R.; Lee, L.J.; Ma, R.; Graham, A.I.; McLeod, C.W.; Poole, R.K. Expression of the PitA phosphate/metal transporter of Escherichia coli is responsive to zinc and inorganic phosphate levels. FEMS Microbiol. Lett. 2008, 289, 219–224. [Google Scholar] [CrossRef] [PubMed]
- Sfanos, K.S.; Aloia, A.L.; Hicks, J.L.; Esopi, D.M.; Steranka, J.P.; Shao, W.; Sanchez-Martinez, S.; Yegnasubramanian, S.; Burns, K.H.; Rein, A.; et al. Identification of replication competent murine gammaretroviruses in commonly used prostate cancer cell lines. PLoS ONE 2011, 6, e20874. [Google Scholar] [CrossRef] [PubMed]
- Triviai, I.; Ziegler, M.; Bergholz, U.; Oler, A.J.; Stubig, T.; Prassolov, V.; Fehse, B.; Kozak, C.A.; Kroger, N.; Stocking, C. Endogenous retrovirus induces leukemia in a xenograft mouse model for primary myelofibrosis. Proc. Natl. Acad. Sci. USA 2014, 111, 8595–8600. [Google Scholar] [CrossRef] [PubMed]
- Laurent, F.; Tchenio, T.; Buckle, M.; Hazan, U.; Bury-Mone, S. XMRV low level of expression in human cells delays superinfection interference and allows proviral copies to accumulate. Virology 2014, 456–457, 28–38. [Google Scholar] [CrossRef] [PubMed]
- Adamson, E.D.; Mercola, D. Egr1 transcription factor: Multiple roles in prostate tumor cell growth and survival. Tumour Biol. 2002, 23, 93–102. [Google Scholar] [CrossRef] [PubMed]
- Schoggins, J.W.; MacDuff, D.A.; Imanaka, N.; Gainey, M.D.; Shrestha, B.; Eitson, J.L.; Mar, K.B.; Richardson, R.B.; Ratushny, A.V.; Litvak, V.; et al. Pan-viral specificity of IFN-induced genes reveals new roles for cGAS in innate immunity. Nature 2014, 505, 691–695. [Google Scholar] [CrossRef] [PubMed]
- Decaussin, G.; Leclerc, V.; Ooka, T. The lytic cycle of Epstein-Barr virus in the nonproducer Raji line can be rescued by the expression of a 135-kilodalton protein encoded by the BALF2 open reading frame. J. Virol. 1995, 69, 7309–7314. [Google Scholar] [PubMed]
© 2015 by the authors; licensee MDPI, Basel, Switzerland. This article is an open access article distributed under the terms and conditions of the Creative Commons Attribution license (http://creativecommons.org/licenses/by/4.0/).
Share and Cite
Naseer, A.; Terry, A.; Gilroy, K.; Kilbey, A.; Watts, C.; Mackay, N.; Bell, M.; Mason, S.; Blyth, K.; Cameron, E.; et al. Frequent Infection of Human Cancer Xenografts with Murine Endogenous Retroviruses in Vivo. Viruses 2015, 7, 2014-2029. https://doi.org/10.3390/v7042014
Naseer A, Terry A, Gilroy K, Kilbey A, Watts C, Mackay N, Bell M, Mason S, Blyth K, Cameron E, et al. Frequent Infection of Human Cancer Xenografts with Murine Endogenous Retroviruses in Vivo. Viruses. 2015; 7(4):2014-2029. https://doi.org/10.3390/v7042014
Chicago/Turabian StyleNaseer, Asif, Anne Terry, Kathryn Gilroy, Anna Kilbey, Ciorsdaidh Watts, Nancy Mackay, Margaret Bell, Susan Mason, Karen Blyth, Ewan Cameron, and et al. 2015. "Frequent Infection of Human Cancer Xenografts with Murine Endogenous Retroviruses in Vivo" Viruses 7, no. 4: 2014-2029. https://doi.org/10.3390/v7042014
APA StyleNaseer, A., Terry, A., Gilroy, K., Kilbey, A., Watts, C., Mackay, N., Bell, M., Mason, S., Blyth, K., Cameron, E., & Neil, J. C. (2015). Frequent Infection of Human Cancer Xenografts with Murine Endogenous Retroviruses in Vivo. Viruses, 7(4), 2014-2029. https://doi.org/10.3390/v7042014
