Development and Application of Indirect ELISA for IBDV VP2 Antibodies Detection in Poultry
Abstract
1. Introduction
2. Materials and Methods
2.1. Plasmids, Bacterial Strains, Antibodies, and Sera
2.2. Expression and Purification of IBDV-VLPs
2.3. Identification of IBDV-VLP
2.4. Development and Optimization of VP2-ELISA
2.5. Determination of the Cut-Off Value
2.6. Specificity Assay
2.7. Sensitivity Assay
2.8. Repeatability Assay
2.9. Detection of Laboratory Samples
2.9.1. IBD Live Vaccine Immunization Experiment and Serum Sample Detection
2.9.2. Avian Quadrivalent Vaccine Immunization Experiment and Serum Sample Detection
2.10. Detection of Clinical Samples
2.11. Statistical Analysis
3. Results
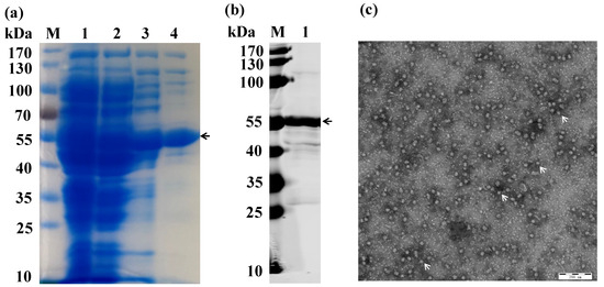
3.1. Preparation and Identification of IBDV-VLPs
3.2. Development and Optimization of VP2-ELISA
3.3. Evaluation of VP2-ELISA
3.4. Detection of Serum Samples from Laboratory Immunized Chickens
3.4.1. Detection of Serum Samples from Chickens Immunized with IBD Live Vaccine
3.4.2. Detection of Serum Samples from Chickens Immunized with Avian Quadrivalent Vaccine Containing IBD VP2
3.5. Detection of Clinical Serum Samples
4. Discussion
5. Conclusions
Author Contributions
Funding
Institutional Review Board Statement
Informed Consent Statement
Data Availability Statement
Conflicts of Interest
References
- Müller, H.; Islam, M.R.; Raue, R. Research on infectious bursal disease—The past, the present and the future. Vet. Microbiol. 2003, 97, 153–165. [Google Scholar] [CrossRef] [PubMed]
- Zhang, W.; Wang, X.; Gao, Y.; Qi, X. The Over-40-Years-Epidemic of Infectious Bursal Disease Virus in China. Viruses 2022, 14, 2253. [Google Scholar] [CrossRef] [PubMed]
- Petit, S.; Lejal, N.; Huet, J.; Delmas, B. Active residues and viral substrate cleavage sites of the protease of the birnavirus infectious pancreatic necrosis virus. J. Virol. 2000, 74, 2057–2066. [Google Scholar] [CrossRef]
- Irigoyen, N.; Caston, J.; Rodriguez, J. Host proteolytic activity is necessary for infectious bursal disease virus capsid protein assembly. J. Biol. Chem. 2012, 287, 24473–24482. [Google Scholar] [CrossRef]
- Irigoyen, N.; Garriga, D.; Navarro, A.; Verdaguer, N.; Rodriguez, J.; Caston, J. Autoproteolytic activity derived from the infectious bursal disease virus capsid protein. J. Biol. Chem. 2009, 284, 8064–8072. [Google Scholar] [CrossRef]
- Saugar, I.; Luque, D.; Oña, A.; Rodriguez, J.; Carrascosa, J.; Trus, B.; Castón, J. Structural polymorphism of the major capsid protein of a double-stranded RNA Virus: An Amphipathic α Helix as a Molecular Switch. Structure 2005, 13, 1007–1017. [Google Scholar] [CrossRef]
- Birghan, C.; Mundt, E.; Gorbalenya, A. A non-canonical lon proteinase lacking the ATPase domain employs the ser-Lys catalytic dyad to exercise broad control over the life cycle of a double-stranded RNA virus. EMBO J. 2000, 19, 114–123. [Google Scholar] [CrossRef] [PubMed]
- Bao, K.; Qi, X.; Li, Y.; Gong, M.; Wang, X.; Zhu, P. Cryo-EM structures of infectious bursal disease viruses with different virulences provide insights into their assembly and invasion. Sci. Bull. 2022, 67, 646–654. [Google Scholar] [CrossRef]
- Fan, X.; Li, B.; Zhu, L.; Shen, Y.; Zhou, H.; Ding, G.; Li, J.; Jiang, Y.; Cui, W.; Tang, L.; et al. Development and evaluation of immunogenicity and protective efficacy of two recombinant attenuated newcastle disease viruses expressing the VP2 protein of infectious bursal disease virus. Poult. Sci. 2025, 104, 105253. [Google Scholar] [CrossRef]
- Ji, P.; Li, T.; Wu, Y.; Zhao, Q.; Li, L.; Shi, X.; Jiang, W.; Wang, J.; Wang, P.; Wang, T.; et al. Virus-like Particle Vaccines of Infectious Bursal Disease Virus Expressed in Escherichia coli Are Highly Immunogenic and Protect against Virulent Strain. Viruses 2023, 15, 2178. [Google Scholar] [CrossRef]
- Dey, S.; Pathak, D.; Ramamurthy, N.; Maity, H.; Chellappa, M. Infectious bursal disease virus in chickens: Prevalence, impact, and management strategies. Vet. Med. 2019, 10, 85–97. [Google Scholar] [CrossRef]
- Fahey, K.; Erny, K.; Crooks, J. A conformational immunogen on VP2 of infectious bursal disease virus that induces virus-neutralizing antibodies that passively protect chickens. J. Gen. Virol. 1989, 70, 1473–1481. [Google Scholar] [CrossRef] [PubMed]
- Qin, Y.; Zheng, S.J. Infectious Bursal Disease Virus-Host Interactions: Multifunctional Viral Proteins that Perform Multiple and Differing Jobs. Int. J. Mol. Sci. 2017, 18, 161. [Google Scholar] [CrossRef] [PubMed]
- Wang, Y.; Jiang, N.; Fan, L.; Gao, L.; Li, K.; Gao, Y.; Niu, X.; Zhang, W.; Cui, H.; Liu, A.; et al. Development of a viral-like particle candidate vaccine against novel variant infectious bursal disease virus. Vaccines 2021, 9, 142. [Google Scholar] [CrossRef] [PubMed]
- Li, K.; Liu, Y.; Zhang, Y.; Gao, L.; Liu, C.; Cui, H.; Qi, X.; Gao, Y.; Zhong, L.; Wang, X. Protective efficacy of a novel recombinant Marek’s disease virus vector vaccine against infectious bursal disease in chickens with or without maternal antibodies. Vet. Immunol. Immunopathol. 2017, 186, 55–59. [Google Scholar] [CrossRef]
- Criado, M.F.; Kassa, A.; Bertran, K.; Kwon, J.H.; e Silva, M.S.; Killmaster, L.; Ross, T.M.; Mebatsion, T.; Swayne, D.E. Efficacy of multivalent recombinant herpesvirus of turkey vaccines against high pathogenicity avian influenza, infectious bursal disease, and Newcastle disease viruses. Vaccine 2023, 41, 2893–2904. [Google Scholar] [CrossRef]
- Singh, N.K.; Dey, S.; Mohan, C.M.; Kataria, J.M.; Vakharia, V.N. Evaluation of four enzyme linked immunosorbent assays for the detection of antibodies to infectious bursal disease in chickens. J. Virol. Methods 2010, 165, 277–282. [Google Scholar] [CrossRef]
- Lee, C.; Ko, T.; Chou, C.; Yoshimura, M.; Doong, S.; Wang, M.; Wang, A. Crystal structure of infectious bursal disease virus VP2 subviral particle at 2.6A resolution: Implications in virion assembly and immunogenicity. J. Struct. Biol. 2006, 155, 74–86. [Google Scholar] [CrossRef]
- Khudainazarova, N.S.; Granovskiy, D.L.; Kondakova, O.A.; Ryabchevskaya, E.M.; Kovalenko, A.O.; Evtushenko, E.A.; Arkhipenko, M.V.; Nikitin, N.A.; Karpova, O.V. Prokaryote- and eukaryote-based expression systems: Advances in post-pandemic viral antigen production for vaccines. Int. J. Mol. Sci. 2024, 25, 11979. [Google Scholar] [CrossRef]
- Hurisa, T.T.; Abayneh, T.; Sori, T.; Chengh, G.; Fang, Y.; Bayisa, B.; Akalu, M.; Sherefa, K.; Ayele, G.; Geresu, A.; et al. Development of an in-house indirect ELISA kit for the serological detection of antibodies against infectious bursal disease in chickens. BMC Vet. Res. 2025, 21, 293. [Google Scholar] [CrossRef]
- Burrough, E.R.; Derscheid, R.J.; Mainenti, M.; Piñeyro, P.; Baum, D.H. The diagnostic process for infectious disease diagnosis in animals. J. Am. Vet. Med. Assoc. 2024, 263 (Suppl. 1), S6–S16. [Google Scholar] [CrossRef] [PubMed]
- Wang, W.; Song, Y.; Liu, L.; Zhang, Y.; Wang, T.; Zhang, W.; Li, K.; Qi, X.; Gao, Y.; Gao, L.; et al. Neutralizing-antibody-mediated protection of chickens against infectious bursal disease via one-time vaccination with inactivated recombinant Lactococcus lactis expressing a fusion protein constructed from the RCK protein of Salmonella enterica and VP2 of infectious bursal disease virus. Microb. Cell Factories 2019, 18, 21. [Google Scholar]
- Gómez, E.; Cassani, M.; Lucero, M.; Parreño, V.; Chimeno, S.; Berinstein, A. Development of diagnostic tools for IBDV detection using plants as bioreactors. AMB Express 2020, 10, 95. [Google Scholar] [CrossRef]
- Fan, L.; Wu, T.; Hussain, A.; Gao, Y.; Zeng, X.; Wang, Y.; Gao, L.; Li, K.; Wang, Y.; Liu, C.; et al. Novel variant strains of infectious bursal disease virus isolated in China. Vet. Microbiol. 2019, 230, 212–220. [Google Scholar] [CrossRef] [PubMed]




| Sera | Intra Batch CV% | Inter Batch CV% | ||
|---|---|---|---|---|
| X ± SD | CV% | X ± SD | CV% | |
| 1 | 1.737 ± 0.005 | 0.3% | 1.992 ± 0.034 | 1.7% |
| 2 | 2.032 ± 0.021 | 1.0% | 2.045 ± 0.034 | 1.6% |
| 3 | 1.849 ± 0.008 | 0.4% | 2.141 ± 0.033 | 1.5% |
| VP2-ELISA | IBDV-ELISA | ||
|---|---|---|---|
| Positive | Negative | Total | |
| Positive | 231 | 0 | 231 |
| Negative | 5 | 37 | 42 |
| Total | 236 | 37 | 273 |
| Coincidence | 97.9% | 100% | 98.2% |
Disclaimer/Publisher’s Note: The statements, opinions and data contained in all publications are solely those of the individual author(s) and contributor(s) and not of MDPI and/or the editor(s). MDPI and/or the editor(s) disclaim responsibility for any injury to people or property resulting from any ideas, methods, instructions or products referred to in the content. |
© 2025 by the authors. Licensee MDPI, Basel, Switzerland. This article is an open access article distributed under the terms and conditions of the Creative Commons Attribution (CC BY) license (https://creativecommons.org/licenses/by/4.0/).
Share and Cite
Zhang, W.; Wang, Y.; Wang, G.; Yu, H.; Huang, M.; Zhang, Y.; Liu, R.; Wang, S.; Cui, H.; Zhang, Y.; et al. Development and Application of Indirect ELISA for IBDV VP2 Antibodies Detection in Poultry. Viruses 2025, 17, 871. https://doi.org/10.3390/v17070871
Zhang W, Wang Y, Wang G, Yu H, Huang M, Zhang Y, Liu R, Wang S, Cui H, Zhang Y, et al. Development and Application of Indirect ELISA for IBDV VP2 Antibodies Detection in Poultry. Viruses. 2025; 17(7):871. https://doi.org/10.3390/v17070871
Chicago/Turabian StyleZhang, Wenying, Yulong Wang, Guodong Wang, Hangbo Yu, Mengmeng Huang, Yulong Zhang, Runhang Liu, Suyan Wang, Hongyu Cui, Yanping Zhang, and et al. 2025. "Development and Application of Indirect ELISA for IBDV VP2 Antibodies Detection in Poultry" Viruses 17, no. 7: 871. https://doi.org/10.3390/v17070871
APA StyleZhang, W., Wang, Y., Wang, G., Yu, H., Huang, M., Zhang, Y., Liu, R., Wang, S., Cui, H., Zhang, Y., Chen, Y., Gao, Y., & Qi, X. (2025). Development and Application of Indirect ELISA for IBDV VP2 Antibodies Detection in Poultry. Viruses, 17(7), 871. https://doi.org/10.3390/v17070871

