Egyptian Novel Goose Parvovirus in Immune Organs of Naturally Infected Ducks: Next-Generation Sequencing, Immunohistochemical Signals, and Comparative Analysis of Pathological Changes Using Multiple Correspondence and Hierarchical Clustering Approach
Abstract
1. Introduction
2. Materials and Methods
2.1. Ethics Considerations
2.2. Clinical, Postmortem Examination and Sample Collection
2.3. Histopathological and Immunohistochemical (IHC) Examination
2.4. DNA Extraction, Conventional and TaqMan Real-Time PCR Amplification
2.5. Multiple Correspondence Analysis (MCA) and Hierarchical Clustering Analysis (HCA)
2.6. Next-Generation Sequencing (NGS)
3. Results
3.1. Clinical and Postmortem Examination
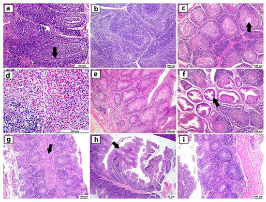
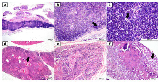
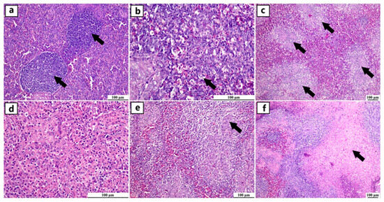
3.2. Histopathological and Immunohistochemical Findings
3.3. Conventional and Real-Time PCR Results
3.4. MCA and HCA Results
- Apparently normal spleen, bursa of Fabricius, and the thymus were strongly related to adult Muscovy and Native ducks and closer to each other on the MCA plot.
- Atrophy of immune system organs, including pale atrophied spleen, atrophied bursa of Fabricius, and atrophied thymus (with or without hemorrhage), was closely related to young Pekin ducks on the MCA plot.
- The less frequently recorded macroscopic lesions, including mottled, enlarged, and congested spleen, enlarged bursa of Fabricius, and congested and enlarged thymus (with or without hemorrhage), were not related to a particular age or breed on the MCA plot.
- Cluster 1 (the blue cluster) could be called the cluster of apparently normal immune system organs in adult Muscovy and Native ducks.
- Cluster 2 (the red cluster) could be called the cluster of atrophy of immune system organs in young Pekin ducks.
- Cluster 3 (the green cluster) involved the less representative breed (Mule breed) and the less frequent macroscopic lesions of immune organs.
- Young ducks, mainly Pekin, showed several microscopic lesions, including spleen lymphoid depletion, reactive spleen (with or without reticular cell hyperplasia), bursal atrophied follicles, and thymus lymphoid depletion (with or without epithelial cell vacuolation).
- Adult Native and Pekin ducks were mainly characterized by bursal lymphoid depletion (with or without interfollicular edema and inflammation), spleen reticular cell hyperplasia, and thymus atrophy (with or without epithelial cell vacuolation).
- Normal histological features were less likely to be found microscopically and were only observed in Muscovy ducks.
- The first cluster (the blue cluster) combined young Pekin ducks characterized by spleen lymphoid depletion, reactive spleen (with or without reticular cell hyperplasia), bursal atrophied follicles, and thymus lymphoid depletion (with or without epithelial cell vacuolation).
- The second cluster (the red cluster) combined adult Native and Pekin ducks characterized by bursal lymphoid depletion (with or without interfollicular edema and inflammation), spleen reticular cell hyperplasia, and thymus atrophy (with or without epithelial cell vacuolation).
- The third cluster (the green cluster) combined the category of normal histological features, which was rarely found and only predominant in the Muscovy breed.
3.5. NGS and Phylogenetic Analysis
4. Discussion
5. Conclusions
Supplementary Materials
Author Contributions
Funding
Institutional Review Board Statement
Informed Consent Statement
Data Availability Statement
Acknowledgments
Conflicts of Interest
References
- Kapgate, S.S.; Kumanan, K.; Vijayarani, K.; Barbuddhe, S.B. Avian parvovirus: Classification, phylogeny, pathogenesis and diagnosis. Avian Pathol. 2018, 47, 536–545. [Google Scholar] [CrossRef] [PubMed]
- Palya, V.J. Parvovirus infections of waterfowl. In Diseases of Poultry, 14th ed.; Swayne, D.E., Boulianne, M., Logue, C.M., McDougald, L.R., Nair, V., Suarez, D.L., Wit, S., Grimes, T., Johnson, D., Kromm, M., et al., Eds.; John Wiley & Sons: Hoboken, NJ, USA, 2020; pp. 474–484. [Google Scholar]
- Irvine, R.; Holmes, P. Diagnosis and control of goose parvovirus. Practice 2010, 32, 382–386. [Google Scholar] [CrossRef]
- Chen, H.; Tang, Y.; Dou, Y.; Zheng, X.; Diao, Y. Evidence for vertical transmission of novel duck-origin goose parvovirus-related parvovirus. Transbound. Emerg. Dis. 2016, 63, 243–247. [Google Scholar] [CrossRef]
- Ning, K.; Liang, T.; Wang, M.; Dong, Y.; Qu, S.; Zhang, D. Pathogenicity of a variant goose parvovirus, from short beak and dwarfism syndrome of Pekin ducks, in goose embryos and goslings. Avian Pathol. 2018, 47, 391–399. [Google Scholar] [CrossRef] [PubMed]
- Fang, D. Recommendation of gosling plague. Chin. J. Vet. Med. 1962, 8, 19–20. [Google Scholar]
- Derzsy, D. A viral disease of goslings. I. Epidemiological, clinical, pathological and etiological studies. Acta Vet. Acad. Sci. Hung. 1967, 17, 443–448. [Google Scholar] [PubMed]
- Gough, R.E.; Spackman, D.; Collins, M.S. Isolation and characterization of a parvovirus from goslings. Vet. Rec. 1981, 108, 399–400. [Google Scholar] [CrossRef] [PubMed]
- Jestin, V.; Le Bras, M.; Cherbonnel, M.; Le Gall-Recul’e, G.; Bennejean, G. Demonstration of very pathogenic parvovirus (Derzsy disease virus) in Muscovy duck farms. Rec. Med. Vet. 1991, 167, 849–857. [Google Scholar]
- Palya, V.; Zolnai, A.; Benyeda, Z.; Kovács, E.; Kardi, V.; Mató, T. Short beak and dwarfism syndrome of mule duck is caused by a distinct lineage of goose parvovirus. Avian Pathol. 2009, 38, 175–180. [Google Scholar] [CrossRef]
- Yu, K.; Ma, X.; Sheng, Z.; Qi, L.; Liu, C.; Wang, D.; Huang, B.; Li, F.; Song, M. Identification of goose-origin parvovirus as a cause of newly emerging beak atrophy and dwarfism syndrome in ducklings. J. Clin. Microbiol. 2016, 54, 1999–2007. [Google Scholar] [CrossRef] [PubMed]
- Matczuk, A.K.; Chmielewska-Władyka, M.; Siedlecka, M.; Bednarek, K.J.; Wieliczko, A. Short beak and dwarfism syndrome in ducks in Poland caused by novel goose parvovirus. Animals 2020, 10, 2397. [Google Scholar] [CrossRef] [PubMed]
- Chen, H.; Dou, Y.; Tang, Y.; Zhang, Z.; Zheng, X.; Niu, X.; Yang, J.; Yu, X.; Diao, Y. Isolation and genomic characterization of a duck-origin GPV-related parvovirus from Cherry Valley ducklings in China. PLoS ONE 2015, 10, e0140284. [Google Scholar] [CrossRef] [PubMed]
- Zádori, Z.; Stefancsik, R.; Rauch, T.; Kisary, J. Analysis of the complete nucleotide sequences of goose and Muscovy duck parvoviruses indicates common ancestral origin with adeno-associated virus 2. Virology 1995, 212, 562–573. [Google Scholar] [CrossRef] [PubMed]
- Chang, P.-C.; Shien, J.-H.; Wang, M.-S.; Shieh, H.K. Phylogenetic analysis of parvoviruses isolated in Taiwan from ducks and geese. Avian Pathol. 2000, 29, 45–49. [Google Scholar] [CrossRef] [PubMed]
- Chen, S.; Wang, S.; Cheng, X.; Xiao, S.; Zhu, X.; Lin, F.; Wu, N.; Wang, J.; Huang, M.; Zheng, M.; et al. Isolation and characterization of a distinct duck-origin goose parvovirus causing an outbreak of duckling short beak and dwarfism syndrome in China. Arch. Virol. 2016, 161, 2407–2416. [Google Scholar] [CrossRef] [PubMed]
- Bian, G.; Ma, H.; Luo, M.; Gong, F.; Li, B.; Wang, G.; Mohiuddin, M.; Liao, M.; Yuan, J. Identification and genomic analysis of two novel duck-origin GPV-related parvovirus in China. BMC Vet. Res. 2019, 15, 88. [Google Scholar] [CrossRef]
- Liu, W.-J.; Yang, Y.-T.; Zou, H.-Y.; Chen, S.-J.; Yang, C.; Tian, Y.-B.; Huang, Y.-M. Identification of recombination in novel goose parvovirus isolated from domesticated Jing-Xi partridge ducks in South China. Virus Genes 2020, 56, 600–609. [Google Scholar] [CrossRef]
- Weichert, W.S.; Parker, J.S.L.; Wahid, A.T.M.; Chang, S.F.; Meier, E.; Parrish, C.R. Assaying for structural variation in the parvovirus capsid and its role in infection. Virology 1998, 250, 106–117. [Google Scholar] [CrossRef] [PubMed]
- Tu, M.; Liu, F.; Chen, S.; Wang, M.; Cheng, A. Role of capsid proteins in parvoviruses infection. Virol. J. 2015, 12, 114. [Google Scholar] [CrossRef]
- Tatár-Kis, T.; Mató, T.; Markos, B.; Palya, V. Phylogenetic analysis of Hungarian goose parvovirus isolates and vaccine strains. Avian Pathol. 2004, 33, 438–444. [Google Scholar] [CrossRef]
- Wang, C.Y.; Shieh, H.K.; Shien, J.H.; Ko, C.Y.; Chang, P.C. Expression of capsid proteins and non-structural proteins of waterfowl parvoviruses in Escherichia coli and their use in serological assays. Avian Pathol. 2005, 34, 376–382. [Google Scholar] [CrossRef]
- Tarasiuk, K.; Holec-Gąsior, L.; Ferra, B.; Rapak, A. The development of an indirect ELISA for the detection of goose parvovirus antibodies using specific VP3 subunits as the coating antigen. BMC Vet. Res. 2019, 15, 274. [Google Scholar] [CrossRef]
- Zhou, J.; Li, C.; Tang, A.; Li, H.; Yu, Z.; Chen, Z.; Guo, X.; Liu, G. Immunogenicity of an inactivated novel goose parvovirus vaccine for short beak and dwarfism syndrome in Cherry Valley ducks. Arch. Virol. 2022, 167, 881–889. [Google Scholar] [CrossRef] [PubMed]
- Wan, C.; Shi, S.; Chen, C.; Chen, H.; Cheng, L.; Fu, Q.; Fu, G.; Liu, R.; Huang, Y. Development of a PCR assay for detection and differentiation of Muscovy duck and goose parvoviruses based on NS gene characterization. J. Vet. Med. Sci. 2018, 80, 1861–1866. [Google Scholar] [CrossRef]
- Wan, C.; Cheng, L.; Chen, C.; Liu, R.; Shi, S.; Fu, G.; Chen, H.; Fu, Q.; Huang, Y. A duplex PCR assay for the simultaneous detection and differentiation of Muscovy duck parvovirus and goose parvovirus. Mol. Cell. Probes 2019, 47, 101439. [Google Scholar] [CrossRef] [PubMed]
- Woźniakowski, G.; Samorek-Salamonowicz, E.; Kozdruń, W. Quantitative analysis of waterfowl parvoviruses in geese and Muscovy ducks by real-time polymerase chain reaction: Correlation between age, clinical symptoms and DNA copy number of waterfowl parvoviruses. BMC Vet. Res. 2012, 8, 29. [Google Scholar] [CrossRef] [PubMed]
- Wan, C.; Chen, C.; Cheng, L.; Liu, R.; Shi, S.; Fu, G.; Chen, H.; Fu, Q.; Huang, Y. Specific detection and differentiation of classic goose parvovirus and novel goose parvovirus by TaqMan real-time PCR assay, coupled with host specificity. BMC Vet. Res. 2019, 15, 389. [Google Scholar] [CrossRef] [PubMed]
- Shen, H.; Huang, J.; Yan, Z.; Yin, L.; Li, Q.; Zhou, Q.; Chen, F. Isolation and characterization of a recombinant Muscovy duck parvovirus circulating in Muscovy ducks in South China. Arch. Virol. 2020, 165, 2931–2936. [Google Scholar] [CrossRef] [PubMed]
- Liu, H.; Yang, C.; Liu, M.; Ma, K.; Huang, X.; Zhao, Y.; Hu, D.; Qi, K. Pathological lesions in the immune organs of ducklings following experimental infection with goose parvovirus. Res. Vet. Sci. 2019, 125, 212–217. [Google Scholar] [CrossRef]
- Luo, Q.; Xu, J.; Huang, C.; Lei, X.; Cheng, D.; Liu, W.; Cheng, A.; Tang, L.; Fang, J.; Ou, Y.; et al. Impacts of duck-origin parvovirus infection on Cherry Valley ducklings from the perspective of gut microbiota. Front. Microbiol. 2019, 10, 624. [Google Scholar] [CrossRef] [PubMed]
- Soliman, M.A.; Erfan, A.M.; Samy, M.; Mahana, O.; Nasef, S.A. Detection of novel goose parvovirus disease associated with short beak and dwarfism syndrome in commercial ducks. Animals 2020, 10, 1833. [Google Scholar] [CrossRef] [PubMed]
- Chen, H.; Dou, Y.; Tang, Y.; Zheng, X.; Niu, X.; Yang, J.; Yu, X.; Diao, Y. Experimental reproduction of beak atrophy and dwarfism syndrome by infection in Cherry Valley ducklings with a novel goose parvovirus-related parvovirus. Vet. Microbiol. 2016, 183, 16–20. [Google Scholar] [CrossRef] [PubMed]
- Eid, A.A.M.; Lebdah, M.A.; Helal, S.S.; Seadawy, M.G.; El-Gohary, A.; Mousa, M.R.; El-Deeb, A.H.; Mohamed, F.F.; ElBakrey, R.M. Short beak and dwarfism syndrome among Pekin ducks: First detection, full genome sequencing, and immunohistochemical signals of novel goose parvovirus in tongue tissue. Vet. Pathol. 2024, 61, 829–838. [Google Scholar] [CrossRef]
- Ning, K.; Wang, M.; Qu, S.; Lv, J.; Yang, L.; Zhang, D. Pathogenicity of Pekin duck- and goose-origin parvoviruses in Pekin ducklings. Vet. Microbiol. 2017, 210, 17–23. [Google Scholar] [CrossRef] [PubMed]
- Bancroft, J.D. Histochemical Techniques; Butterworth-Heinemann: Oxford, UK, 2013. [Google Scholar]
- Samiullah, M.; Rizvi, F.; Anjum, A.D.; Shah, M.F.A. Raising hyperimmune serum against avian paramyxovirus (APMV-1) and pigeon paramyxovirus (PPMV-1) in rabbits and their cross reactivity. Pak. J. Biol. Sci. 2006, 9, 2184–2186. [Google Scholar] [CrossRef]
- Page, M.; Thorpe, R. Purification of IgG Using Protein A or Protein G. In Protein Protocols Handbook, 1st ed.; Walker, J.M., Ed.; Humana Press: Totowa, NJ, USA, 1996; pp. 733–734. [Google Scholar]
- Mesalam, N.M.; Aldhumri, S.A.; Gabr, S.A.; Ibrahim, M.A.; Al-Mokaddem, A.K.; Abdel-Moneim, A.-M.E. Putative abrogation impacts of Ajwa seeds on oxidative damage, liver dysfunction and associated complications in rats exposed to carbon tetrachloride. Mol. Biol. Rep. 2021, 48, 5305–5318. [Google Scholar] [CrossRef]
- Burns, R. Immunochemical Protocols, 3rd ed.; Humana Press: Totowa, NJ, USA, 2005. [Google Scholar]
- El-Araby, I.E.; Moawed, S.A.; Hassan, F.A.M.; Gouda, H.F. A combined approach of multiple correspondence analysis and hierarchical cluster analysis for profiling relationships among categorical risk predictors: A bluetongue case study. Slov. Vet. Res. 2023, 60, 307–315. [Google Scholar] [CrossRef]
- Zhang, K.-Y.; Gao, Y.-Z.; Du, M.-Z.; Liu, S.; Dong, C.; Guo, F.-B. Vgas: A Viral Genome Annotation System. Front. Microbiol. 2019, 10, 184. [Google Scholar] [CrossRef] [PubMed]
- Xiao, S.; Chen, S.; Cheng, X.; Lin, F.; Wang, S.; Zhu, X.; Yu, B.; Huang, M.; Wang, J.; Wu, N.; et al. The newly emerging duck-origin goose parvovirus in China exhibits a wide range of pathogenicity to main domesticated waterfowl. Vet. Microbiol. 2017, 203, 252–256. [Google Scholar] [CrossRef]
- Zhu, J.; Yang, Y.; Zhang, X.; Chen, B.; Liu, G.; Bao, E. Characterizing two novel goose parvoviruses with different origins. Transbound. Emerg. Dis. 2022, 69, 2952–2962. [Google Scholar] [CrossRef]
- Li, C.; Li, Q.; Chen, Z.; Liu, G. Novel duck parvovirus identified in Cherry Valley ducks (Anas platyrhynchos domesticus), China. Infect. Genet. Evol. 2016, 44, 278–280. [Google Scholar] [CrossRef] [PubMed]
- Ning, K.; Liang, T.; Wang, M.; Dong, Y.; Qu, S.; Zhang, D. Genetic detection and characterization of goose parvovirus: Implications for epidemiology and pathogenicity in Cherry Valley pekin ducks. Infect. Genet. Evol. 2017, 51, 101–103. [Google Scholar] [CrossRef]
- Glávits, R.; Zolnai, A.; Szabó, É.; Ivanics, É.; Zarka, P.; Mató, T.; Palya, V. Comparative pathological studies on domestic geese (Anser anser domestica) and Muscovy ducks (Cairina moschata) experimentally infected with parvovirus strains of goose and Muscovy duck origin. Acta Vet. Hung. 2005, 53, 73–89. [Google Scholar] [CrossRef] [PubMed]
- Fu, Q.; Huang, Y.; Wan, C.; Fu, G.; Qi, B.; Cheng, L.; Shi, S.; Chen, H.; Liu, R.; Chen, Z. Genomic and pathogenic analysis of a Muscovy duck parvovirus strain causing short beak and dwarfism syndrome without tongue protrusion. Res. Vet. Sci. 2017, 115, 393–400. [Google Scholar] [CrossRef] [PubMed]
- Niu, Y.; Zhao, L.; Liu, B.; Liu, J.; Yang, F.; Yin, H.; Huo, H.; Chen, H. Comparative genetic analysis and pathological characteristics of goose parvovirus isolated in Heilongjiang, China. Virol. J. 2018, 15, 27. [Google Scholar] [CrossRef] [PubMed]
- Zhu, L.Q.; Ding, X.Y.; Tao, J.; Wang, J.Y.; Zhang, X.J.; Wang, X.B.; Hu, Y.; Li, H.F.; Chen, K.W.; Zhu, G.Q. Identification of target cells for Goose parvovirus infection in the immune system organs. Acta Virol. 2010, 54, 211–215. [Google Scholar] [CrossRef] [PubMed]
- Van Dong, H.; Tran, G.T.H.; Nguyen, H.T.T.; Nguyen, T.M.; Trinh, D.Q.; Le, V.P.; Choowongkomon, K.; Rattanasrisomporn, J. Epidemiological analysis and genetic characterization of parvovirus in ducks in Northern Vietnam reveal evidence of recombination. Animals 2022, 12, 2846. [Google Scholar] [CrossRef] [PubMed]
- Takehara, K.; Saitoh, M.; Kiyono, M.; Nakamura, M. Distribution of attenuated goose parvoviruses in Muscovy ducklings. J. Vet. Med. Sci. 1998, 60, 341–344. [Google Scholar] [CrossRef] [PubMed][Green Version]
- Yang, J.-L.; Cheng, A.-C.; Wang, M.-S.; Pan, K.-C.; Li, M.; Guo, Y.-F.; Li, C.-F.; Zhu, D.-K.; Chen, X.-Y. Development of a fluorescent quantitative real-time polymerase chain reaction assay for the detection of Goose parvovirus in vivo. Virol. J. 2009, 6, 142. [Google Scholar] [CrossRef] [PubMed]
- Wan, C.; Liu, R.; Chen, C.; Cheng, L.; Shi, S.; Fu, G.; Chen, H.; Fu, Q.; Huang, Y. Novel goose parvovirus in domestic Linwu sheldrakes with short beak and dwarfism syndrome, China. Transbound. Emerg. Dis. 2019, 66, 1834–1839. [Google Scholar] [CrossRef]
- Li, Y.; Jia, J.; Mi, Q.; Li, Y.; Gao, Y.; Zhu, G.; Wang, J. Molecular characteristics and phylogenetic analysis of novel goose parvovirus strains associated with short beak and dwarfism syndrome. Arch. Virol. 2021, 166, 2495–2504. [Google Scholar] [CrossRef] [PubMed]
- Chen, Y.; Afumba, R.; Pang, F.; Yuan, R.; Dong, H. Advances in research on genetic relationships of waterfowl parvoviruses. J. Vet. Res. 2021, 65, 391–399. [Google Scholar] [CrossRef]
- Fan, W.; Sun, Z.; Shen, T.; Xu, D.; Huang, K.; Zhou, J.; Song, S.; Yan, L. Analysis of evolutionary processes of species jump in waterfowl parvovirus. Front. Microbiol. 2017, 8, 421. [Google Scholar] [CrossRef] [PubMed]











| PCR Type | Primer Name | Nucleotide Sequence (5′-3′) | PCR bp | Reference |
|---|---|---|---|---|
| Conventional | MDPV-F1 | GATGAATGCTGTAGTGCAGGAGGA | 549 | [25] |
| GPV-F1 | TTTGGCHGCCCCTTTACCTGATCC | |||
| NGPV-R | ATTTTTCCCTCCTCCCACCA | |||
| TaqMan Real-time | GPV-qF | TAGGGAGGAGTTAGAAGA | - | [28] |
| GPV-qR | TACTTATGACAATTCTATGGATG | |||
| GPV-qP | ACCTGGTAATTGTTCYTGCTTCTCT |
| PCR Type | Breed | No. of Tested Tissue Pools | Organ | No. of NGPV-Positive Pools/No of Tested Tissue Pools | Total No. of NGPV-Positive Tissue Pools | Total No. of NGPV-Negative Tissue Pools |
|---|---|---|---|---|---|---|
| Real-time | Pekin | 45 | Bursa | 14/15 | 33 | 12 |
| Thymus | 9/15 | |||||
| Spleen | 10/15 | |||||
| Mule | 3 | Bursa | 1/1 | 2 | 1 | |
| Thymus | 1/1 | |||||
| Spleen | 0/1 | |||||
| Conventional | Muscovy | 21 | Bursa | 2/7 | 9 | 12 |
| Thymus | 3/7 | |||||
| Spleen | 4/7 | |||||
| Native | 6 | Bursa | 2/2 | 5 | 1 | |
| Thymus | 2/2 | |||||
| Spleen | 1/2 | |||||
| Total | - | 75 | - | 49/75 | 49 | 26 |
| Sequence_ID | Whole Genome Length (bp) | Replication Protein (NS) | Capsid Protein (VP) | Nucleotide Identity with Classical GPV B Strain | VP Sequence of LB Strain | VP Sequence of Hoekstra Strain | ||||||||
|---|---|---|---|---|---|---|---|---|---|---|---|---|---|---|
| Whole Length (bp) | Start Site (bp) | End Site (bp) | Whole Length (bp) | Start Site (bp) | End Site (bp) | Whole Genome Level | NS Level | VP Level | VP1/VP2 | VP3 | VP1/VP2 | VP3 | ||
| GPV-EgyArmy-ZU-202-2022 | 5107 | 1884 | 537 | 2420 | 2199 | 2439 | 4637 | 96.28% | 96.92% | 96.59% | 96.16% | 96.97% | 98.65% | 98.99% |
| GPV-EgyArmy-ZU-239-2022 | 5106 | 1884 | 538 | 2421 | 2199 | 2440 | 4638 | 96.18% | 96.76% | 96.45% | 96.61% | 96.97% | 94.58% | 98.99% |
| GPV-EgyArmy-ZU-274-2022 | 5101 | 1884 | 538 | 2421 | 2199 | 2440 | 4638 | 96.20% | 96.82% | 96.50% | 96.61% | 96.97% | 94.58% | 98.99% |
Disclaimer/Publisher’s Note: The statements, opinions and data contained in all publications are solely those of the individual author(s) and contributor(s) and not of MDPI and/or the editor(s). MDPI and/or the editor(s) disclaim responsibility for any injury to people or property resulting from any ideas, methods, instructions or products referred to in the content. |
© 2025 by the authors. Licensee MDPI, Basel, Switzerland. This article is an open access article distributed under the terms and conditions of the Creative Commons Attribution (CC BY) license (https://creativecommons.org/licenses/by/4.0/).
Share and Cite
Lebdah, M.A.; Eid, A.A.M.; ElBakrey, R.M.; El-Gohary, A.E.; Seadawy, M.G.; Mousa, M.R.; Gouda, H.F.; Goda, N.I.A.; El-Hosseny, M.F.; El-tahlawy, A.S.; et al. Egyptian Novel Goose Parvovirus in Immune Organs of Naturally Infected Ducks: Next-Generation Sequencing, Immunohistochemical Signals, and Comparative Analysis of Pathological Changes Using Multiple Correspondence and Hierarchical Clustering Approach. Viruses 2025, 17, 96. https://doi.org/10.3390/v17010096
Lebdah MA, Eid AAM, ElBakrey RM, El-Gohary AE, Seadawy MG, Mousa MR, Gouda HF, Goda NIA, El-Hosseny MF, El-tahlawy AS, et al. Egyptian Novel Goose Parvovirus in Immune Organs of Naturally Infected Ducks: Next-Generation Sequencing, Immunohistochemical Signals, and Comparative Analysis of Pathological Changes Using Multiple Correspondence and Hierarchical Clustering Approach. Viruses. 2025; 17(1):96. https://doi.org/10.3390/v17010096
Chicago/Turabian StyleLebdah, Mohamed A., Amal A. M. Eid, Reham M. ElBakrey, Abd Elgalil. El-Gohary, Mohamed G. Seadawy, Mohamed R. Mousa, Hagar F. Gouda, Nehal I. A. Goda, Mostafa F. El-Hosseny, Ahmed S. El-tahlawy, and et al. 2025. "Egyptian Novel Goose Parvovirus in Immune Organs of Naturally Infected Ducks: Next-Generation Sequencing, Immunohistochemical Signals, and Comparative Analysis of Pathological Changes Using Multiple Correspondence and Hierarchical Clustering Approach" Viruses 17, no. 1: 96. https://doi.org/10.3390/v17010096
APA StyleLebdah, M. A., Eid, A. A. M., ElBakrey, R. M., El-Gohary, A. E., Seadawy, M. G., Mousa, M. R., Gouda, H. F., Goda, N. I. A., El-Hosseny, M. F., El-tahlawy, A. S., Sami, R., Al-Eisa, R. A., & Helal, S. S. (2025). Egyptian Novel Goose Parvovirus in Immune Organs of Naturally Infected Ducks: Next-Generation Sequencing, Immunohistochemical Signals, and Comparative Analysis of Pathological Changes Using Multiple Correspondence and Hierarchical Clustering Approach. Viruses, 17(1), 96. https://doi.org/10.3390/v17010096

