Antiviral Properties of Moringa oleifera Leaf Extracts against Respiratory Viruses
Abstract
1. Introduction
2. Materials and Methods
2.1. Moringa Leaf Extract Preparation
2.1.1. Conventional Extraction
2.1.2. Microwave-Assisted Extraction (MAE)
2.2. Cell Lines and Viruses
2.3. Cytotoxicity Assay
2.4. Antiviral Assay
- Co-treatment assay: extracts, at selected concentrations, and virus at multiplicity of infection (MOI) of 0.01, were mixed in a 1:1 ratio and added simultaneously to the cell monolayer for the time of viral adsorption;
- Virus pre-treatment assay: the viral suspension, containing 104 PFU, was preincubated with extracts for 1 h at 37 °C. Then, the mixture (extract and virus) was diluted and dispensed on the cell monolayer for the time of viral adsorption;
- Cell pre-treatment assay: the cell monolayer was first treated with extracts for 1 h; then, cells were covered with viral suspension for the time of viral adsorption;
- Post-infection assay: the cell monolayer was first infected with the virus at the time of viral adsorption. Then, the cells were washed and treated with extracts for 1 h.
- (a)
- Attachment assay: cells were seeded at an initial density of 1.3 × 105 cells/well in a 24-well plate and incubated at 37 °C overnight to obtain a monolayer. The next day, the cells were pre-cooled at 4 °C for 30 min and co-treated with the virus (MOI = 0.01) and extracts at 4 °C for the time of viral adsorption. Then, the supernatant was removed, and the monolayer was washed. The plate was filled with CMC and incubated at 37 °C for 48 h.
- (b)
- Entry assay: the cells were plated as described above and pre-cooled to 4 °C for 30 min. The cells were infected with the virus (MOI = 0.01) and incubated at 4 °C for the time of adsorption. After removing the supernatant, the cells were washed, treated with the extracts, and incubated at 37 °C for 1 h. At the end of treatment, the plate was filled with CMC and incubated at 37 °C for 48 h.
2.5. High-Performance Liquid Chromatography (HPLC) Investigation
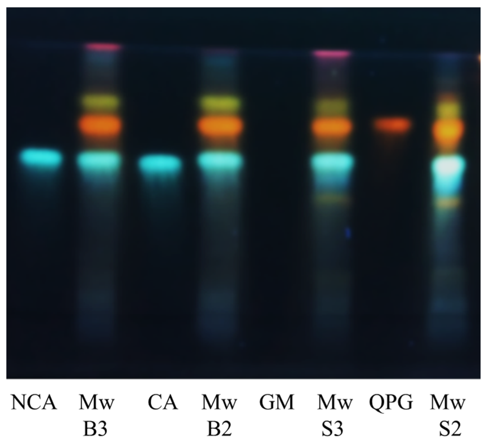
2.6. High-Performance Thin Layer Chromatography (HPTLC) Analysis
2.7. Statistical Analysis and Selectivity Index Calculation
3. Results
3.1. Cytotoxicity
3.2. Inhibitory Activity of M. oleifera Extracts by Plaque Reduction Assay
3.2.1. Antiviral Activity against HCoV-229E
3.2.2. Antiviral Activity against MeV
3.2.3. Temperature-Shift Assays to Assess Mode of Action
3.3. Qualitative and Quantitative Analysis of the Main Bioactive Compounds in the M. oleifera Extracts
4. Discussion
5. Conclusions
Supplementary Materials
Author Contributions
Funding
Institutional Review Board Statement
Informed Consent Statement
Data Availability Statement
Conflicts of Interest
References
- Lin, C.Y.; Hwang, D.; Chiu, N.C.; Weng, L.C.; Liu, H.F.; Mu, J.J.; Liu, C.P.; Chi, H. Increased Detection of Viruses in Children with Respiratory Tract Infection Using PCR. Int. J. Environ. Res. Public Health 2020, 17, 564. [Google Scholar] [CrossRef]
- Pinky, L.; Dobrovolny, H.M. Coinfections of the Respiratory Tract: Viral Competition for Resources. PLoS ONE 2016, 11, e0155589. [Google Scholar] [CrossRef]
- Kleinehr, J.; Wilden, J.J.; Boergeling, Y.; Ludwig, S.; Hrincius, E.R. Metabolic Modifications by Common Respiratory Viruses and Their Potential as New Antiviral Targets. Viruses 2021, 13, 2068. [Google Scholar] [CrossRef]
- Berry, M.; Gamieldien, J.; Fielding, B.C. Identification of new respiratory viruses in the new millennium. Viruses 2015, 7, 996–1019. [Google Scholar] [CrossRef]
- Fazel, P.; Sedighian, H.; Behzadi, E.; Kachuei, R.; Imani Fooladi, A.A. Interaction Between SARS-CoV-2 and Pathogenic Bacteria. Curr. Microbiol. 2023, 80, 223. [Google Scholar] [CrossRef]
- Morgene, M.F.; Botelho-Nevers, E.; Grattard, F.; Pillet, S.; Berthelot, P.; Pozzetto, B.; Verhoeven, P.O. Staphylococcus aureus colonization and non-influenza respiratory viruses: Interactions and synergism mechanisms. Virulence 2018, 9, 1354–1363. [Google Scholar] [CrossRef]
- Kim, D.; Quinn, J.; Pinsky, B.; Shah, N.H.; Brown, I. Rates of Co-infection Between SARS-CoV-2 and Other Respiratory Pathogens. JAMA 2020, 323, 2085–2086. [Google Scholar] [CrossRef]
- Regina Malveste Ito, C.; Santos, M.O.; de Oliveira Cunha, M.; de Araujo, K.M.; de Souza, G.R.L.; Rezio, G.S.; de Brito, P.N.; Rezende, A.P.C.; Fonseca, J.G.; Wastowski, I.J.; et al. Rhinovirus infection and co-infection in children with severe acute respiratory infection during the COVID-19 pandemic period. Virulence 2024, 15, 2310873. [Google Scholar] [CrossRef]
- Hsu, C.H.; Chen, H.P.; Chen, P.L.; Chan, Y.J. Detection of influenza and non-influenza respiratory viruses in lower respiratory tract specimens among hospitalized adult patients and analysis of the clinical outcome. J. Microbiol. Immunol. Infect. 2022, 55, 820–828. [Google Scholar] [CrossRef]
- Helmy, Y.A.; Fawzy, M.; Elaswad, A.; Sobieh, A.; Kenney, S.P.; Shehata, A.A. The COVID-19 Pandemic: A Comprehensive Review of Taxonomy, Genetics, Epidemiology, Diagnosis, Treatment, and Control. J. Clin. Med. 2020, 9, 1225. [Google Scholar] [CrossRef]
- Li, Y.D.; Chi, W.Y.; Su, J.H.; Ferrall, L.; Hung, C.F.; Wu, T.C. Coronavirus vaccine development: From SARS and MERS to COVID-19. J. Biomed. Sci. 2020, 27, 104. [Google Scholar] [CrossRef] [PubMed]
- Piret, J.; Boivin, G. Viral Interference between Respiratory Viruses. Emerg. Infect. Dis. 2022, 28, 273–281. [Google Scholar] [CrossRef]
- Thomford, N.E.; Senthebane, D.A.; Rowe, A.; Munro, D.; Seele, P.; Maroyi, A.; Dzobo, K. Natural Products for Drug Discovery in the 21st Century: Innovations for Novel Drug Discovery. Int. J. Mol. Sci. 2018, 19, 1578. [Google Scholar] [CrossRef] [PubMed]
- Al_husnan, L.A.; Alkahtani, M.D.F. Impact of Moringa aqueous extract on pathogenic bacteria and fungi in vitro. Ann. Agric. Sci. 2016, 61, 247–250. [Google Scholar] [CrossRef]
- Leone, A.; Spada, A.; Battezzati, A.; Schiraldi, A.; Aristil, J.; Bertoli, S. Moringa oleifera Seeds and Oil: Characteristics and Uses for Human Health. Int. J. Mol. Sci. 2016, 17, 2141. [Google Scholar] [CrossRef]
- Ghimire, S.; Subedi, L.; Acharya, N.; Gaire, B.P. Moringa oleifera: A Tree of Life as a Promising Medicinal Plant for Neurodegenerative Diseases. J. Agric. Food Chem. 2021, 69, 14358–14371. [Google Scholar] [CrossRef]
- Arora, S.; Arora, S. Nutritional significance and therapeutic potential of Moringa oleifera: The wonder plant. J. Food Biochem. 2021, 45, e13933. [Google Scholar] [CrossRef] [PubMed]
- Sharma, K.; Kumar, M.; Waghmare, R.; Suhag, R.; Gupta, O.P.; Lorenzo, J.M.; Prakash, S.; Radha; Rais, N.; Sampathrajan, V.; et al. Moringa (Moringa oleifera Lam.) polysaccharides: Extraction, characterization, bioactivities, and industrial application. Int. J. Biol. Macromol. 2022, 209, 763–778. [Google Scholar] [CrossRef]
- Natsir, N.; Yonathan, Y.; Nugroho, J.J.; Trilaksana, A.C.; Rovani, C.A.; Tanumihardja, M.; Muslimin, L. Antibacterial and smear layer removal efficacy of moringa (Moringa oleifera): An in vitro study. J. Taibah Univ. Med. Sci. 2023, 18, 1493–1499. [Google Scholar] [CrossRef]
- Xiong, Y.; Riaz Rajoka, M.S.; Zhang, M.; He, Z. Isolation and identification of two new compounds from the seeds of Moringa oleifera and their antiviral and anti-inflammatory activities. Nat. Prod. Res. 2022, 36, 974–983. [Google Scholar] [CrossRef]
- Rahayu, I.; Timotius, K.H. Phytochemical Analysis, Antimutagenic and Antiviral Activity of Moringa oleifera L. Leaf Infusion: In Vitro and In Silico Studies. Molecules 2022, 27, 4017. [Google Scholar] [CrossRef] [PubMed]
- Ansari, S.; Charantimath, S.; Fernandes, A.; Malik, J.B.; Panta, P. Comparison of Effectiveness of Moringa Oleifera Leaves Extract Gel (2%) with Retino A (0.1%) Cream for Treatment of Oral Leukoplakia: Double Blinded Randomized Control Trial. Gulf J. Oncol. 2023, 1, 12–18. [Google Scholar] [PubMed]
- Jikah, A.N.; Edo, G.I. Moringa oleifera: A valuable insight into recent advances in medicinal uses and pharmacological activities. J. Sci. Food Agric. 2023, 103, 7343–7361. [Google Scholar] [CrossRef] [PubMed]
- Pareek, A.; Pant, M.; Gupta, M.M.; Kashania, P.; Ratan, Y.; Jain, V.; Pareek, A.; Chuturgoon, A.A. Moringa oleifera: An Updated Comprehensive Review of Its Pharmacological Activities, Ethnomedicinal, Phytopharmaceutical Formulation, Clinical, Phytochemical, and Toxicological Aspects. Int. J. Mol. Sci. 2023, 24, 2098. [Google Scholar] [CrossRef] [PubMed]
- Tolba, H.M.N.; Elmaaty, A.A.; Farag, G.K.; Mansou, D.A.; Elakkad, H.A. Immunological effect of Moringa Oleifera leaf extract on vaccinated and non-vaccinated Hubbard chickens experimentally infected with Newcastle virus. Saudi J. Biol. Sci. 2022, 29, 420–426. [Google Scholar] [CrossRef]
- Abd Rani, N.Z.; Husain, K.; Kumolosasi, E. Moringa Genus: A Review of Phytochemistry and Pharmacology. Front. Pharmacol. 2018, 9, 108. [Google Scholar] [CrossRef]
- Giugliano, R.; Buonocore, C.; Zannella, C.; Chianese, A.; Palma Esposito, F.; Tedesco, P.; De Filippis, A.; Galdiero, M.; Franci, G.; de Pascale, D. Antiviral Activity of the Rhamnolipids Mixture from the Antarctic Bacterium Pseudomonas gessardii M15 against Herpes Simplex Viruses and Coronaviruses. Pharmaceutics 2021, 13, 2121. [Google Scholar] [CrossRef]
- Giugliano, R.; Della Sala, G.; Buonocore, C.; Zannella, C.; Tedesco, P.; Palma Esposito, F.; Ragozzino, C.; Chianese, A.; Morone, M.V.; Mazzella, V.; et al. New Imidazolium Alkaloids with Broad Spectrum of Action from the Marine Bacterium Shewanella aquimarina. Pharmaceutics 2023, 15, 2139. [Google Scholar] [CrossRef]
- Ambrosino, A.; Chianese, A.; Zannella, C.; Piccolella, S.; Pacifico, S.; Giugliano, R.; Franci, G.; De Natale, A.; Pollio, A.; Pinto, G.; et al. Galdieria sulphuraria: An Extremophilic Alga as a Source of Antiviral Bioactive Compounds. Mar. Drugs 2023, 21, 383. [Google Scholar] [CrossRef]
- Chianese, A.; Zannella, C.; Monti, A.; De Filippis, A.; Doti, N.; Franci, G.; Galdiero, M. The Broad-Spectrum Antiviral Potential of the Amphibian Peptide AR-23. Int. J. Mol. Sci. 2022, 23, 883. [Google Scholar] [CrossRef]
- Admane, N.; Cavallo, G.; Hadjila, C.; Cavalluzzi, M.M.; Rotondo, N.P.; Salerno, A.; Cannillo, J.; Difonzo, G.; Caponio, F.; Ippolito, A.; et al. Biostimulant Formulations and Moringa oleifera Extracts to Improve Yield, Quality, and Storability of Hydroponic Lettuce. Molecules 2023, 28, 373. [Google Scholar] [CrossRef]
- Harden, E.A.; Falshaw, R.; Carnachan, S.M.; Kern, E.R.; Prichard, M.N. Virucidal activity of polysaccharide extracts from four algal species against herpes simplex virus. Antiviral Res. 2009, 83, 282–289. [Google Scholar] [CrossRef] [PubMed]
- Cilloniz, C.; Luna, C.M.; Hurtado, J.C.; Marcos, M.A.; Torres, A. Respiratory viruses: Their importance and lessons learned from COVID-19. Eur. Respir. Rev. 2022, 31, 220051. [Google Scholar] [CrossRef] [PubMed]
- Boncristiani, H.F.; Criado, M.F.; Arruda, E. Respiratory Viruses. Encycl. Microbiol. 2009, 500–518. [Google Scholar] [CrossRef]
- Cavalluzzi, M.M.; Lamonaca, A.; Rotondo, N.P.; Miniero, D.V.; Muraglia, M.; Gabriele, P.; Corbo, F.; De Palma, A.; Budriesi, R.; De Angelis, E.; et al. Microwave-Assisted Extraction of Bioactive Compounds from Lentil Wastes: Antioxidant Activity Evaluation and Metabolomic Characterization. Molecules 2022, 27, 7471. [Google Scholar] [CrossRef] [PubMed]
- Caputo, L.; Quintieri, L.; Cavalluzzi, M.M.; Lentini, G.; Habtemariam, S. Antimicrobial and Antibiofilm Activities of Citrus Water-Extracts Obtained by Microwave-Assisted and Conventional Methods. Biomedicines 2018, 6, 70. [Google Scholar] [CrossRef] [PubMed]
- Milani, G.; Curci, F.; Cavalluzzi, M.M.; Crupi, P.; Pisano, I.; Lentini, G.; Clodoveo, M.L.; Franchini, C.; Corbo, F. Optimization of Microwave-Assisted Extraction of Antioxidants from Bamboo Shoots of Phyllostachys pubescens. Molecules 2020, 25, 215. [Google Scholar] [CrossRef]
- Ivanov, K.A.; Ziebuhr, J. Human coronavirus 229E nonstructural protein 13: Characterization of duplex-unwinding, nucleoside triphosphatase, and RNA 5′-triphosphatase activities. J. Virol. 2004, 78, 7833–7838. [Google Scholar] [CrossRef] [PubMed]
- Rota, P.A.; Moss, W.J.; Takeda, M.; de Swart, R.L.; Thompson, K.M.; Goodson, J.L. Measles. Nat. Rev. Dis. Primers 2016, 2, 16049. [Google Scholar] [CrossRef]
- Kou, X.; Li, B.; Olayanju, J.B.; Drake, J.M.; Chen, N. Nutraceutical or Pharmacological Potential of Moringa oleifera Lam. Nutrients 2018, 10, 343. [Google Scholar] [CrossRef] [PubMed]
- Anwar, F.; Latif, S.; Ashraf, M.; Gilani, A.H. Moringa oleifera: A food plant with multiple medicinal uses. Phytother. Res. 2007, 21, 17–25. [Google Scholar] [CrossRef]
- Nguyen, V.; Taine, E.G.; Meng, D.; Cui, T.; Tan, W. Chlorogenic Acid: A Systematic Review on the Biological Functions, Mechanistic Actions, and Therapeutic Potentials. Nutrients 2024, 16, 924. [Google Scholar] [CrossRef]
- Chen, X.; Wu, Y.; Chen, C.; Gu, Y.; Zhu, C.; Wang, S.; Chen, J.; Zhang, L.; Lv, L.; Zhang, G.; et al. Identifying potential anti-COVID-19 pharmacological components of traditional Chinese medicine Lianhuaqingwen capsule based on human exposure and ACE2 biochromatography screening. Acta Pharm. Sin. B 2021, 11, 222–236. [Google Scholar] [CrossRef]
- Ho, W.Y.; Shen, Z.H.; Chen, Y.; Chen, T.H.; Lu, X.; Fu, Y.S. Therapeutic implications of quercetin and its derived-products in COVID-19 protection and prophylactic. Heliyon 2024, 10, e30080. [Google Scholar] [CrossRef]
- Lipipun, V.; Kurokawa, M.; Suttisri, R.; Taweechotipatr, P.; Pramyothin, P.; Hattori, M.; Shiraki, K. Efficacy of Thai medicinal plant extracts against herpes simplex virus type 1 infection in vitro and in vivo. Antivir. Res. 2003, 60, 175–180. [Google Scholar] [CrossRef]
- Waiyaput, W.; Payungporn, S.; Issara-Amphorn, J.; Panjaworayan, N.T. Inhibitory effects of crude extracts from some edible Thai plants against replication of hepatitis B virus and human liver cancer cells. BMC Complement. Altern. Med. 2012, 12, 246. [Google Scholar] [CrossRef]
- Ryu, W.-S. Chapter 3—Virus Life Cycle. In Molecular Virology of Human Pathogenic Viruses; Ryu, W.-S., Ed.; Academic Press: Boston, MA, USA, 2017; pp. 31–45. [Google Scholar]
- Blau, D.M.; Holmes, K.V. Human coronavirus HCoV-229E enters susceptible cells via the endocytic pathway. Adv. Exp. Med. Biol. 2001, 494, 193–198. [Google Scholar] [CrossRef]
- Navaratnarajah, C.K.; Leonard, V.H.; Cattaneo, R. Measles virus glycoprotein complex assembly, receptor attachment, and cell entry. Curr. Top. Microbiol. Immunol. 2009, 329, 59–76. [Google Scholar] [CrossRef]
- Xiong, Y.; Rajoka, M.S.R.; Mehwish, H.M.; Zhang, M.; Liang, N.; Li, C.; He, Z. Virucidal activity of Moringa A from Moringa oleifera seeds against Influenza A Viruses by regulating TFEB. Int. Immunopharmacol. 2021, 95, 107561. [Google Scholar] [CrossRef]
- Cao, Y.; Zhang, S.; Huang, Y.; Zhang, S.; Wang, H.; Bao, W. The Aqueous Leaf Extract of M. oleifera Inhibits PEDV Replication through Suppressing Oxidative Stress-Mediated Apoptosis. Animals 2022, 12, 458. [Google Scholar] [CrossRef]







| Cultivar | H2O | 50% EtOH | 70% EtOH | |||
|---|---|---|---|---|---|---|
| MAE Extraction | Maceration Extraction | MAE Extraction | Maceration Extraction | MAE Extraction | Maceration Extraction | |
| Salento | MwS1 | - | MwS2 | MaS2 | MwS3 | MaS3 |
| Barletta | MwB1 | - | MwB2 | MaB2 | MwB3 | MaB3 |
| Extract | Yield (%) |
|---|---|
| MwS1 | 27.4% |
| MwB1 | 25.0% |
| MwS2 | 17.2% |
| MwB2 | 17.9% |
| MaS2 | 21.0% |
| MaB2 | 21.6% |
| MwS3 | 18.4% |
| MwB3 | 19.0% |
| MaS3 | 22.4% |
| MaB3 | 23.2% |
Disclaimer/Publisher’s Note: The statements, opinions and data contained in all publications are solely those of the individual author(s) and contributor(s) and not of MDPI and/or the editor(s). MDPI and/or the editor(s) disclaim responsibility for any injury to people or property resulting from any ideas, methods, instructions or products referred to in the content. |
© 2024 by the authors. Licensee MDPI, Basel, Switzerland. This article is an open access article distributed under the terms and conditions of the Creative Commons Attribution (CC BY) license (https://creativecommons.org/licenses/by/4.0/).
Share and Cite
Giugliano, R.; Ferraro, V.; Chianese, A.; Della Marca, R.; Zannella, C.; Galdiero, F.; Fasciana, T.M.A.; Giammanco, A.; Salerno, A.; Cannillo, J.; et al. Antiviral Properties of Moringa oleifera Leaf Extracts against Respiratory Viruses. Viruses 2024, 16, 1199. https://doi.org/10.3390/v16081199
Giugliano R, Ferraro V, Chianese A, Della Marca R, Zannella C, Galdiero F, Fasciana TMA, Giammanco A, Salerno A, Cannillo J, et al. Antiviral Properties of Moringa oleifera Leaf Extracts against Respiratory Viruses. Viruses. 2024; 16(8):1199. https://doi.org/10.3390/v16081199
Chicago/Turabian StyleGiugliano, Rosa, Valeria Ferraro, Annalisa Chianese, Roberta Della Marca, Carla Zannella, Francesca Galdiero, Teresa M. A. Fasciana, Anna Giammanco, Antonio Salerno, Joseph Cannillo, and et al. 2024. "Antiviral Properties of Moringa oleifera Leaf Extracts against Respiratory Viruses" Viruses 16, no. 8: 1199. https://doi.org/10.3390/v16081199
APA StyleGiugliano, R., Ferraro, V., Chianese, A., Della Marca, R., Zannella, C., Galdiero, F., Fasciana, T. M. A., Giammanco, A., Salerno, A., Cannillo, J., Rotondo, N. P., Lentini, G., Cavalluzzi, M. M., De Filippis, A., & Galdiero, M. (2024). Antiviral Properties of Moringa oleifera Leaf Extracts against Respiratory Viruses. Viruses, 16(8), 1199. https://doi.org/10.3390/v16081199

