Specific and Sensitive Visual Proviral DNA Detection of Major Pathogenic Avian Leukosis Virus Subgroups Using CRISPR-Associated Nuclease Cas13a
Abstract
1. Introduction
2. Materials and Methods
2.1. Viruses and Nucleic Acid Extraction
2.2. RPA Primer Design and crRNA Preparation
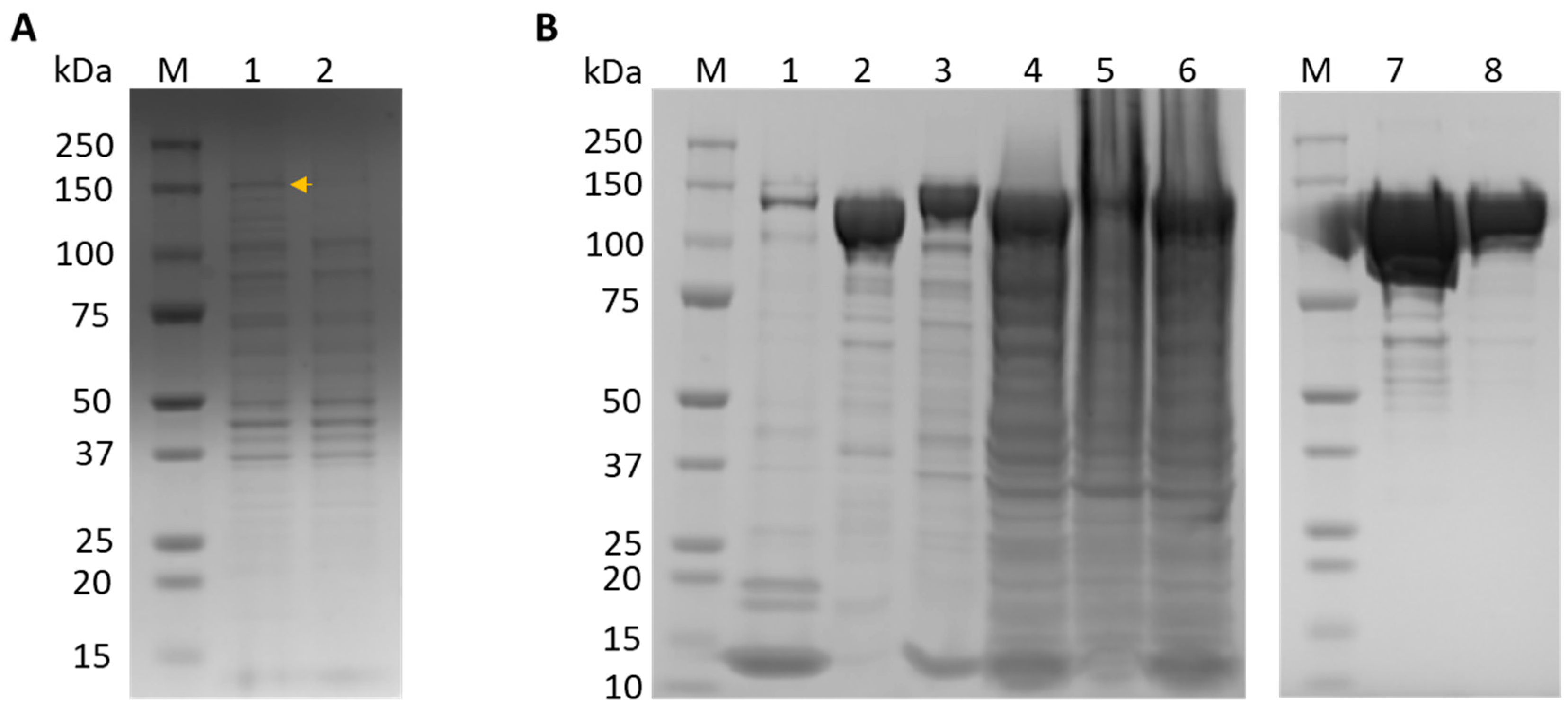
2.3. Expression and Purification of LwaCas13a
2.4. LwaCas13a Detection Assay
2.5. Specificity and Sensitivity of the Assay
2.6. Application of the Assay on Field Samples
3. Results
3.1. Design of Primers and crRNAs and crRNA Preparation
3.2. Expression and Purification of LwaCas13a
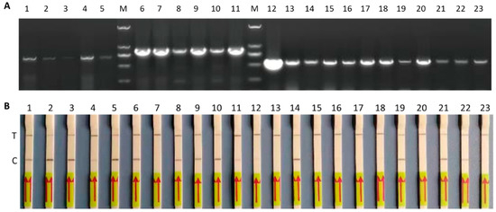
3.3. Validation of the LwaCas13a Lateral Flow Detection
3.4. Specificity and Sensitivity of the Cas13a Lateral Flow Detection
3.5. Assay Performance on Field Samples
4. Discussion
5. Conclusions
Author Contributions
Funding
Institutional Review Board Statement
Informed Consent Statement
Data Availability Statement
Conflicts of Interest
References
- Payne, L.N.; Nair, V. The long view: 40 years of avian leukosis research. Avian Pathol. J. World Vet. Poult. Assoc. 2012, 41, 11–19. [Google Scholar] [CrossRef] [PubMed]
- Venugopal, K. Avian leukosis virus subgroup J: A rapidly evolving group of oncogenic retroviruses. Res. Vet. Sci. 1999, 67, 113–119. [Google Scholar] [CrossRef] [PubMed]
- Fenton, S.P.; Reddy, M.R.; Bagust, T.J. Single and concurrent avian leukosis virus infections with avian leukosis virus-J and avian leukosis virus-A in australian meat-type chickens. Avian Pathol. J. World Vet. Poult. Assoc. 2005, 34, 48–54. [Google Scholar] [CrossRef] [PubMed][Green Version]
- Spencer, J.L.; Benkel, B.; Chan, M.; Nadin-Davis, S. Evidence for virus closely related to avian myeloblastosis-associated virus type 1 in a commercial stock of chickens. Avian Pathol. J. World Vet. Poult. Assoc. 2003, 32, 383–390. [Google Scholar] [CrossRef] [PubMed]
- Li, T.; Xie, J.; Liang, G.; Ren, D.; Sun, S.; Lv, L.; Xie, Q.; Shao, H.; Gao, W.; Qin, A.; et al. Co-infection of vvMDV with multiple subgroups of avian leukosis viruses in indigenous chicken flocks in China. BMC Vet. Res. 2019, 15, 288. [Google Scholar] [CrossRef] [PubMed]
- Liu, H.; Ma, K.; Liu, M.; Yang, C.; Huang, X.; Zhao, Y.; Qi, K. Histologic findings and viral antigen distribution in natural coinfection of layer hens with subgroup J avian leukosis virus, marek’s disease virus, and reticuloendotheliosis virus. J. Vet. Diagn. Investig. 2019, 31, 761–765. [Google Scholar] [CrossRef] [PubMed]
- Yun, B.; Li, D.; Zhu, H.; Liu, W.; Qin, L.; Liu, Z.; Wu, G.; Wang, Y.; Qi, X.; Gao, H.; et al. Development of an antigen-capture Elisa for the detection of avian leukosis virus p27 antigen. J. Virol. Methods 2013, 187, 278–283. [Google Scholar] [CrossRef] [PubMed]
- Dai, M.; Feng, M.; Liu, D.; Cao, W.; Liao, M. Development and application of SYBR Green I real-time PCR assay for the separate detection of subgroup J Avian leukosis virus and multiplex detection of avian leukosis virus subgroups A and B. Virol. J. 2015, 12, 52. [Google Scholar] [CrossRef] [PubMed][Green Version]
- Qin, L.; Gao, Y.; Ni, W.; Sun, M.; Wang, Y.; Yin, C.; Qi, X.; Gao, H.; Wang, X. Development and application of real-time PCR for detection of subgroup j avian leukosis virus. J. Clin. Microbiol. 2013, 51, 149–154. [Google Scholar] [CrossRef]
- Wang, Y.; Kang, Z.; Gao, Y.; Qin, L.; Chen, L.; Wang, Q.; Li, J.; Gao, H.; Qi, X.; Lin, H.; et al. Development of loop-mediated isothermal amplification for rapid detection of avian leukosis virus subgroup A. J. Virol. Methods 2011, 173, 31–36. [Google Scholar] [CrossRef]
- Zhang, X.; Liao, M.; Jiao, P.; Luo, K.; Zhang, H.; Ren, T.; Zhang, G.; Xu, C.; Xin, C.; Cao, W. Development of a loop-mediated isothermal amplification assay for rapid detection of subgroup J avian leukosis virus. J. Clin. Microbiol. 2010, 48, 2116–2121. [Google Scholar] [CrossRef] [PubMed]
- Gootenberg, J.S.; Abudayyeh, O.O.; Lee, J.W.; Essletzbichler, P.; Dy, A.J.; Joung, J.; Verdine, V.; Donghia, N.; Daringer, N.M.; Freije, C.A.; et al. Nucleic acid detection with CRISPR-Cas13a/C2c2. Science 2017, 356, 438–442. [Google Scholar] [CrossRef] [PubMed]
- Zhao, L.; Qiu, M.; Li, X.; Yang, J.; Li, J. Crispr-cas13a system: A novel tool for molecular diagnostics. Front. Microbiol. 2022, 13, 1060947. [Google Scholar] [CrossRef] [PubMed]
- Kellner, M.J.; Koob, J.G.; Gootenberg, J.S.; Abudayyeh, O.O.; Zhang, F. Sherlock: Nucleic acid detection with CRISPR nucleases. Nat. Protoc. 2019, 14, 2986–3012. [Google Scholar] [CrossRef] [PubMed]
- Abbott, T.R.; Dhamdhere, G.; Liu, Y.; Lin, X.; Goudy, L.; Zeng, L.; Chemparathy, A.; Chmura, S.; Heaton, N.S.; Debs, R.; et al. Development of CRISPR as an antiviral strategy to combat SARS-CoV-2 and influenza. Cell 2020, 181, 865–876.e12. [Google Scholar] [CrossRef] [PubMed]
- Chang, Y.; Deng, Y.; Li, T.; Wang, J.; Wang, T.; Tan, F.; Li, X.; Tian, K. Visual detection of porcine reproductive and respiratory syndrome virus using CRISPR-Cas13a. Transbound. Emerg. Dis. 2020, 67, 564–571. [Google Scholar] [CrossRef] [PubMed]
- Chen, Y.; Yang, S.; Peng, S.; Li, W.; Wu, F.; Yao, Q.; Wang, F.; Weng, X.; Zhou, X. N1-methyladenosine detection with CRISPR-Cas13a/C2c2. Chem. Sci. 2019, 10, 2975–2979. [Google Scholar] [CrossRef] [PubMed]
- Huang, J.; Liu, Y.; He, Y.; Yang, X.; Li, Y. CRISPR-Cas13a based visual detection assays for feline calicivirus circulating in Southwest China. Front. Vet. Sci. 2022, 9, 913780. [Google Scholar] [CrossRef]
- Liu, Y.; Xu, H.; Liu, C.; Peng, L.; Khan, H.; Cui, L.; Huang, R.; Wu, C.; Shen, S.; Wang, S.; et al. CRISPR-cas13a nanomachine based simple technology for avian influenza a (H7N9) virus on-site detection. J. Biomed. Nanotechnol. 2019, 15, 790–798. [Google Scholar] [CrossRef]
- Myhrvold, C.; Freije, C.A.; Gootenberg, J.S.; Abudayyeh, O.O.; Metsky, H.C.; Durbin, A.F.; Kellner, M.J.; Tan, A.L.; Paul, L.M.; Parham, L.A.; et al. Field-deployable viral diagnostics using CRISPR-Cas13. Science 2018, 360, 444–448. [Google Scholar] [CrossRef]
- Qin, P.; Park, M.; Alfson, K.J.; Tamhankar, M.; Carrion, R.; Patterson, J.L.; Griffiths, A.; He, Q.; Yildiz, A.; Mathies, R.; et al. Rapid and fully microfluidic Ebola virus detection with CRISPR-Cas13a. ACS Sens. 2019, 4, 1048–1054. [Google Scholar] [CrossRef]
- Broughton, J.P.; Deng, X.; Yu, G.; Fasching, C.L.; Servellita, V.; Singh, J.; Miao, X.; Streithorst, J.A.; Granados, A.; Sotomayor-Gonzalez, A.; et al. CRISPR-Cas12-based detection of SARS-CoV-2. Nat. Biotechnol. 2020, 38, 870–874. [Google Scholar] [CrossRef] [PubMed]
- Arizti-Sanz, J.; Freije, C.A.; Stanton, A.C.; Petros, B.A.; Boehm, C.K.; Siddiqui, S.; Shaw, B.M.; Adams, G.; Kosoko-Thoroddsen, T.F.; Kemball, M.E.; et al. Streamlined inactivation, amplification, and Cas13-based detection of SARS-CoV-2. Nat. Commun. 2020, 11, 5921. [Google Scholar] [CrossRef] [PubMed]
- Patchsung, M.; Jantarug, K.; Pattama, A.; Aphicho, K.; Suraritdechachai, S.; Meesawat, P.; Sappakhaw, K.; Leelahakorn, N.; Ruenkam, T.; Wongsatit, T.; et al. Clinical validation of a Cas13-based assay for the detection of SARS-CoV-2 RNA. Nat. Biomed. Eng. 2020, 4, 1140–1149. [Google Scholar] [CrossRef] [PubMed]
- Gao, Q.; Yun, B.; Wang, Q.; Jiang, L.; Zhu, H.; Gao, Y.; Qin, L.; Wang, Y.; Qi, X.; Gao, H.; et al. Development and application of a multiplex PCR method for rapid differential detection of subgroup A, B, and J Avian leukosis viruses. J. Clin. Microbiol. 2014, 52, 37–44. [Google Scholar] [CrossRef] [PubMed]
- Payne, L.N.; Gillespie, A.M.; Howes, K. Unsuitability of chicken sera for detection of exogenous ALV by the group-specific antigen Elisa. Vet. Rec. 1993, 132, 555–557. [Google Scholar] [CrossRef] [PubMed]
- Sacco, M.A.; Howes, K.; Smith, L.P.; Nair, V.K. Assessing the roles of endogenous retrovirus EAV-hp in avian leukosis virus subgroup J emergence and tolerance. J. Virol. 2004, 78, 10525–10535. [Google Scholar] [CrossRef] [PubMed]
- Venugopal, K.; Smith, L.M.; Howes, K.; Payne, L.N. Antigenic variants of J subgroup avian leukosis virus: Sequence analysis reveals multiple changes in the ENV gene. J. Gen. Virol. 1998, 79 Pt 4, 757–766. [Google Scholar] [CrossRef] [PubMed]
- Smith, L.M.; Brown, S.R.; Howes, K.; McLeod, S.; Arshad, S.S.; Barron, G.S.; Venugopal, K.; McKay, J.C.; Payne, L.N. Development and application of polymerase chain reaction (PCR) tests for the detection of subgroup J avian leukosis virus. Virus Res. 1998, 54, 87–98. [Google Scholar] [CrossRef]
- Boyle, D.S.; Lehman, D.A.; Lillis, L.; Peterson, D.; Singhal, M.; Armes, N.; Parker, M.; Piepenburg, O.; Overbaugh, J. Rapid detection of HIV-1 proviral DNA for early infant diagnosis using recombinase polymerase amplification. mBio 2013, 4, e00135-13. [Google Scholar] [CrossRef]
- Wessels, H.H.; Mendez-Mancilla, A.; Guo, X.; Legut, M.; Daniloski, Z.; Sanjana, N.E. Massively parallel Cas13 screens reveal principles for guide RNA design. Nat. Biotechnol. 2020, 38, 722–727. [Google Scholar] [CrossRef] [PubMed]







| Targets | Sequences (5′-3′) | Product Sizes (bp) |
|---|---|---|
| ALV-A | H5: GGATGAGGTGACTAAGAAAG | 694 |
| envA: AGAGAAAGAGGGGCGTCTAAGGAGA | ||
| ALV-B | H5: GGATGAGGTGACTAAGAAAG | 846 |
| envB: ATGGACCAATTCTGACTCATT | ||
| ALV-J | H5: GGATGAGGTGACTAAGAAAG | 545 |
| H7: CGAACCAAAGGTAACACACG |
| Primer | Sequence (5′-3′) | Sizes |
|---|---|---|
| ALV-A1-F | GAAATTAATACGACTCACTATAGGGACTGGCGGTCCTGACAACAGCACCACCCTCACT | 143 bp |
| ALV-A1-R | GTAATATTAGTAATGTTAGGGAGAGACTGGGAAC | |
| ALV-A2-F | GAAATTAATACGACTCACTATAGGGGATATGTCTCTGATACAAATTGCGCCACCT | 170 bp |
| ALV-A2-R | CAGCTGTAGTTCAGGTGGCTCATCCCACATAG | |
| ALV-A3-F | GAAATTAATACGACTCACTATAGGGCGGAAACTGACCGGTTAGTCTCGTCAGCTGACT | 147 bp |
| ALV-A3-R | AACCTAACAGCTGTAGTTCAGGTGGCTCATCC | |
| ALV-A4-F | GAAATTAATACGACTCACTATAGGGATATGTCTCTGATACAAATTGCGCCACCTCGGA | 176 bp |
| ALV-A4-R | AACCTAACAGCTGTAGTTCAGGTGGCTCATCCCA | |
| ALV-A5-F | GAAATTAATACGACTCACTATAGGGCTGATACAAATTGCGCCACCTCGGAAACTGAC | 165 bp |
| ALV-A5-R | CTAACAGCTGTAGTTCAGGTGGCTCATCCCA | |
| ALV-A6-F | GAAATTAATACGACTCACTATAGGGAAACTGACCGGTTAGTCTCGTCAGCTGACT | 165 bp |
| ALV-A6-R | TAATGTTAGGGAGAGACTGGGAACCTAACAG | |
| crRNA IVT template for A1-A6 | CTGACAACAGCACCACCCTCACTTATCGGTTTTAGTCCCCTTCGTTTTTGGGGTAGTCTAAATCCCCTATAGTGAGTCGTATTAATTTC | |
| ALV-B1-F | GAAATTAATACGACTCACTATAGGGCTAATATTACTCAGATCCCTAGTGTGGCTGG | 134 bp |
| ALV-B1-R | AGGATTGCTCCCTGGGTCAGTCAAGAGGATG | |
| ALV-B2-F | GAAATTAATACGACTCACTATAGGGTGGGACCGGAGACAAGTTACACACATCCTCTTG | 157 bp |
| ALV-B2-R | TGTAGCCATATGCACCGCAATATTCACTTCCCAT | |
| ALV-B3-F | GAAATTAATACGACTCACTATAGGGCTCTTGACTGACCCAGGGAGCAATCCTTTC | 155 bp |
| ALV-B3-R | GAGCAATTGTACATCTCCCAAAATCTGTAG | |
| crRNA IVT template for B1-B3 | TCTAACTCCTCGAAACCGTTTACAGTAGGTTTTAGTCCCCTTCGTTTTTGGGGTAGTCTAAATCCCCTATAGTGAGTCGTATTAATTTC | |
| ALV-J1-F | GAAATTAATACGACTCACTATAGGGGATATTTTAGGGTCTCAGATGATCAAGAACGGAAC | 142 bp |
| ALV-J1-R | CTTCCACCCCACCAGTCCCATTAAAATTCCCATCA | |
| ALV-J2-F | GAAATTAATACGACTCACTATAGGGCTTGATAAAGGCTCTTAACACAAACCTCCCTTG | 191 bp |
| ALV-J2-R | CTTCCACCCCACCAGTCCCATTAAAATTCCCATCA | |
| ALV-J3-F | GAAATTAATACGACTCACTATAGGGGTACGTGTGTTACCTTTGGTTCGATGTGCT | 172 bp |
| ALV-J3-R | GATTGGTTGACATAGGGTCTTATACGAGGGTC | |
| crRNA IVT template for J1-J3 | GCTATAAAGAGAACAATCACAGCAGAGTGTTTTAGTCCCCTTCGTTTTTGGGGTAGTCTAAATCC CCTATAGTGAGTCGTATTAATTC | |
| ALV-J4-F | GAAATTAATACGACTCACTATAGGGCATTTCTGACTGGGCACCCTGGGAAGGTGAGC | 147 bp |
| ALV-J4-R | TAACCACGCACACAAGTATCATTTGAAAGAAG | |
| ALV-J5-F | GAAATTAATACGACTCACTATAGGGGGATGAGGTGACTAAGAAAGATGAGGCGAGC | 183 bp |
| ALV-J5-R | ACACAAGTATCATTTGAAAGAAGAAGTAACC | |
| crRNA IVT template for J4-J5 | CAAGAAAGACCCGGAGAAGACACCCTTGGTTTTAGTCCCCTTCGTTTTTGGGGTAGTCTAAATCCCCTATAGTGAGTCGTATTAATTTC | |
Disclaimer/Publisher’s Note: The statements, opinions and data contained in all publications are solely those of the individual author(s) and contributor(s) and not of MDPI and/or the editor(s). MDPI and/or the editor(s) disclaim responsibility for any injury to people or property resulting from any ideas, methods, instructions or products referred to in the content. |
© 2024 by the authors. Licensee MDPI, Basel, Switzerland. This article is an open access article distributed under the terms and conditions of the Creative Commons Attribution (CC BY) license (https://creativecommons.org/licenses/by/4.0/).
Share and Cite
Xu, Q.; Zhang, Y.; Sadigh, Y.; Tang, N.; Chai, J.; Cheng, Z.; Gao, Y.; Qin, A.; Shen, Z.; Yao, Y.; et al. Specific and Sensitive Visual Proviral DNA Detection of Major Pathogenic Avian Leukosis Virus Subgroups Using CRISPR-Associated Nuclease Cas13a. Viruses 2024, 16, 1168. https://doi.org/10.3390/v16071168
Xu Q, Zhang Y, Sadigh Y, Tang N, Chai J, Cheng Z, Gao Y, Qin A, Shen Z, Yao Y, et al. Specific and Sensitive Visual Proviral DNA Detection of Major Pathogenic Avian Leukosis Virus Subgroups Using CRISPR-Associated Nuclease Cas13a. Viruses. 2024; 16(7):1168. https://doi.org/10.3390/v16071168
Chicago/Turabian StyleXu, Qingqing, Yaoyao Zhang, Yashar Sadigh, Na Tang, Jiaqian Chai, Ziqiang Cheng, Yulong Gao, Aijian Qin, Zhiqiang Shen, Yongxiu Yao, and et al. 2024. "Specific and Sensitive Visual Proviral DNA Detection of Major Pathogenic Avian Leukosis Virus Subgroups Using CRISPR-Associated Nuclease Cas13a" Viruses 16, no. 7: 1168. https://doi.org/10.3390/v16071168
APA StyleXu, Q., Zhang, Y., Sadigh, Y., Tang, N., Chai, J., Cheng, Z., Gao, Y., Qin, A., Shen, Z., Yao, Y., & Nair, V. (2024). Specific and Sensitive Visual Proviral DNA Detection of Major Pathogenic Avian Leukosis Virus Subgroups Using CRISPR-Associated Nuclease Cas13a. Viruses, 16(7), 1168. https://doi.org/10.3390/v16071168

