Development of Loop-Mediated Isothermal Amplification (LAMP) Assay for In-Field Detection of American Plum Line Pattern Virus
Abstract
1. Introduction
2. Materials and Methods
2.1. Field Survey
2.2. RNA Extraction
2.3. One-Step RT-PCR
2.4. Sequence Analyses
2.5. Design of LAMP Primers
2.6. APLPV LAMP Assay Optimization
2.7. In-Field LAMP Assay
3. Results
3.1. Field Survey
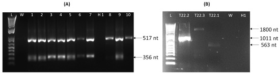
3.2. One-Step RT-PCR
3.3. Sequence Analyses
3.4. LAMP Primers
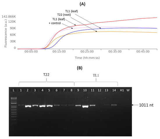
3.5. LAMP Assay
3.6. LAMP Assay in the Field
4. Discussion
Supplementary Materials
Author Contributions
Funding
Institutional Review Board Statement
Informed Consent Statement
Data Availability Statement
Acknowledgments
Conflicts of Interest
References
- Myrta, A.; Herranz, M.C.; Choueiri, E.; Pallás, V. Chapter 35: American plum line pattern virus. In Virus and Virus-like Diseases of Pome and Stone Fruits; The American Phytopathological Society: St. Paul, MN, USA, 2011; pp. 181–183. [Google Scholar]
- Fulton, R.W. Ilar-Like Characteristics of American Plum Line Pattern Virus and Its Serological Detection in Prunus. Phytopathology 1982, 72, 1345–1348. [Google Scholar] [CrossRef]
- Myrta, A.; Abbadi, H.; Herranz, M.C.; Al Rwahnih, M.; Di Terlizzi, B.; Minafra, A.; Pallás, V. First report of American plum line pattern virus (APLPV) in Albania, Italy and Tunisia. J. Plant Pathol. 2002, 84, 188. [Google Scholar]
- Myrta, A.; Sanchez-Navarro, J.; Potere, O.; Boscia, D.; Pallás, V. First report of American plum line pattern virus in flowering cherry in Italy. J. Plant Pathol. 2009, 91, S4.45–S44.96. [Google Scholar]
- Choueiri, E.; Myrta, A.; Herranz, M.C.; Hobeika, C.; Digiaro, M.; Pallás, V. First report of american plum line pattern virus in lebanon. J. Plant Pathol. 2006, 88, 227. [Google Scholar]
- Cheong, J.; Kim, C.S.; Kinard, G.; Li, R. Evaluation of the status of the virus and viroid infection in flowering cherry (Prunus yedoensis) collections in Korea and the U.S. J. Plant Pathol. 2015, 97, 321–326. [Google Scholar]
- Kinoti, W.M.; Constable, F.E.; Nancarrow, N.; Plummer, K.M.; Rodoni, B. Generic Amplicon Deep Sequencing to Determine Ilarvirus Species Diversity in Australian Prunus. Front. Microbiol. 2017, 8, 1219. [Google Scholar] [CrossRef]
- Alayasa, N.; Rwahnih, M.A.; Myrta, A.; Herranz, M.C.; Minafra, A.; Boscia, D.; Castellano, M.A.; Pallás, V. Identification and characterization of an American plum line pattern virus isolate from palestine. J. Plant Pathol. 2003, 85, 3–7. [Google Scholar]
- Scott, S.W.; Zimmerman, M.T. American plum line pattern virus is a distinct ilarvirus. Acta Hortic. 2001, 550, 221–228. [Google Scholar] [CrossRef]
- Herranz, M.C.; Al Rwahnih, M.; Sánchez-Navarro, J.A.; Elena, S.F.; Choueiri, E.; Myrta, A.; Pallás, V. Low genetic variability in the coat and movement proteins of American plum line pattern virus isolates from different geographic origins. Arch. Virol. 2008, 153, 367–373. [Google Scholar] [CrossRef]
- Cation, D.; Berkeley, G.H.; Milbrath, J.A.; Willison, R.S.; Zeller, S.M. Line pattern. In Virus Diseases and Other Disorders with Viruslike Symptoms of Stone Fruits in North America; U. S. Government Printing Office, Ed.; Agriculture Handbook; Department of Agriculture: Washington, DC, USA, 1951; Volume 10, pp. 177–182. [Google Scholar]
- Kirkpatrick, H.C.; Cheney, P.W.; Lindner, R.C. Mechanical transmission of plum line pattern virus. Plant Dis. Rep. 1964, 48, 616–618. [Google Scholar]
- Wood, G.A. Contribution of plum and cherry rootstocks to virus incidence in New Zealand stone fruit trees. N. Z. J. Crop Hortic. Sci. 1997, 25, 131–139. [Google Scholar] [CrossRef]
- Nome, S.F.; Haelterman, R.M.; Docampo, D.M. Viruses in Prunus spp. in fruit-growing regions of temperate climate in Argentina. Fitopatologia 2000, 35, 255–261. [Google Scholar]
- Jarrar, S.; Myrta, A.; Di Terlizzi, B.; Savino, V. Viruses of stone fruits in palestine. Acta Hortic. 2001, 550, 245–248. [Google Scholar] [CrossRef]
- Candresse, T.; Faure, C.; Theil, S.; Marais, A. First Report of American plum line pattern virus Infecting Flowering Cherry (Prunus serrulata) in Japan. Plant Dis. 2017, 101, 1561. [Google Scholar] [CrossRef]
- Untiveros, M.; Perez-Egusquiza, Z.; Clover, G. PCR assays for the detection of members of the genus Ilarvirus and family Bromoviridae. J. Virol. Methods 2010, 165, 97–104. [Google Scholar] [CrossRef] [PubMed]
- OEPP/EPPO. American plum line pattern ilarvirus. Bull. OEPP/EPPO Bull. 2006, 36, 157–160. [Google Scholar] [CrossRef]
- Sánchez-Navarro, J.A.; Aparicio, F.; Herranz, M.C.; Minafra, A.; Myrta, A.; Pallás, V. Simultaneous detection and identification of eight stone fruit viruses by one-step RT-PCR. Eur. J. Plant Pathol. 2005, 111, 77–84. [Google Scholar] [CrossRef]
- Rwahnih, M.A.; Myrta, A.; Herranz, M.C.; Pallás, V. Monitoring american plum line pattern virus in plum by elisa and dot-blot hybridisation throughout the year. J. Plant Pathol. 2004, 86, 167–169. [Google Scholar]
- Osman, F.; Rwahnih, M.A.; Rowhani, A. Improved detection of ilarviruses and nepoviruses affecting fruit trees using quantitative rt-qPCR. J. Plant Pathol. 2014, 96, 577–583. [Google Scholar]
- Lee, D.-S.; Lee, J.; Lee, S.-J.; Lim, S.; Chun, J. Development of an RT-PCR assay and its positive clone for plant quarantine inspections of American plum line pattern virus in Korea. Korean J. Agric. Sci. 2022, 49, 821–831. [Google Scholar] [CrossRef]
- Panno, S.; Matić, S.; Tiberini, A.; Caruso, A.G.; Bella, P.; Torta, L.; Stassi, R.; Davino, A.S. Loop Mediated Isothermal Amplification: Principles and Applications in Plant Virology. Plants 2020, 9, 461. [Google Scholar] [CrossRef] [PubMed]
- Saade, M.; Aparicio, F.; Sánchez-Navarro, J.A.; Herranz, M.C.; Myrta, A.; Di Terlizzi, B.; Pallás, V. Simultaneous detection of the three ilarviruses affecting stone fruit trees by nonisotopic molecular hybridization and multiplex reverse-transcription polymerase chain reaction. Phytopathology 2000, 90, 1330–1336. [Google Scholar] [CrossRef] [PubMed]
- Larkin, M.A.; Blackshields, G.; Brown, N.P.; Chenna, R.; McGettigan, P.A.; McWilliam, H.; Valentin, F.; Wallace, I.M.; Wilm, A.; Lopez, R.; et al. Clustal W and Clustal X version 2.0. Bioinformatics 2007, 23, 2947–2948. [Google Scholar] [CrossRef]
- Efron, B.; Halloran, E.; Holmes, S. Bootstrap confidence levels for phylogenetic trees. Proc. Natl. Acad. Sci. USA 1996, 93, 7085–7090. [Google Scholar] [CrossRef]
- Nei, M.; Kumar, S. Molecular Evolution and Phylogenetics; Oxford University Press: New York, NY, USA, 2000; p. 10016. [Google Scholar]
- Tamura, K.; Stecher, G.; Kumar, S. MEGA11: Molecular Evolutionary Genetics Analysis Version 11. Mol. Biol. Evol. 2021, 38, 3022–3027. [Google Scholar] [CrossRef]
- Rozas, J.; Ferrer-Mata, A.; Sánchez-DelBarrio, J.C.; Guirao-Rico, S.; Librado, P.; Ramos-Onsins, S.E.; Sánchez-Gracia, A. DnaSP 6: DNA Sequence Polymorphism Analysis of Large Data Sets. Mol. Biol. Evol. 2017, 34, 3299–3302. [Google Scholar] [CrossRef]
- Muhire, B.M.; Varsani, A.; Martin, D.P. SDT: A virus classification tool based on pairwise sequence alignment and identity calculation. PLoS ONE 2014, 9, e108277. [Google Scholar] [CrossRef] [PubMed]
- Matić, S.; Candian, V.; D’Errico, C.; Pierro, R.; Panno, S.; Davino, S.; Noris, E.; Tedeschi, R. In-Field LAMP Detection of Flavescence Dorée Phytoplasma in Crude Extracts of the Scaphoideus titanus Vector. Agronomy 2022, 12, 1645. [Google Scholar] [CrossRef]
- Yaseen, T.; Drago, S.; Valentini, F.; Elbeaino, T.; Stampone, G.; Digiaro, M.; D’Onghia, A.M. On-site detection of Xylella fastidiosa in host plants and in “spy insects” using the real-time loop-mediated isothermal amplification method. Phytopathol. Mediterr. 2015, 54, 488–496. [Google Scholar]
- Öztürk, Y.; Çevik, B. Genetic Diversity in the Coat Protein Genes of Prune dwarf virus Isolates from Sweet Cherry Growing in Turkey. Plant Pathol. J. 2015, 31, 41–49. [Google Scholar] [CrossRef] [PubMed]
- Fiore, N.; Fajardo, T.V.; Prodan, S.; Herranz, M.C.; Aparicio, F.; Montealegre, J.; Elena, S.F.; Pallás, V.; Sánchez-Navarro, J. Genetic diversity of the movement and coat protein genes of South American isolates of Prunus necrotic ringspot virus. Arch. Virol. 2008, 153, 909–919. [Google Scholar] [CrossRef] [PubMed]
- Zhang, Z.-Y.; Liu, X.-J.; Li, D.-W.; Yu, J.-L.; Han, C.-G. Rapid detection of wheat yellow mosaic virus by reverse transcription loop-mediated isothermal amplification. Virol. J. 2011, 8, 550. [Google Scholar] [CrossRef]
- Du, L.; Shi, W.; Li, X.; Lan, Y.; Sun, F.; Fan, Y.; Zhou, T.; Zhou, Y. A reverse-transcription loop-mediated isothermal amplification (RT-LAMP) assay for detecting the pathogen of maize rough dwarf disease in China. Australas. Plant Pathol. 2019, 48, 485–489. [Google Scholar] [CrossRef]
- Francois, P.; Tangomo, M.; Hibbs, J.; Bonetti, E.J.; Boehme, C.C.; Notomi, T.; Perkins, M.D.; Schrenzel, J. Robustness of a loop-mediated isothermal amplification reaction for diagnostic applications. FEMS Immunol. Med. Microbiol. 2011, 62, 41–48. [Google Scholar] [CrossRef] [PubMed]
- Oscorbin, I.; Filipenko, M. Bst polymerase—A humble relative of Taq polymerase. Comput. Struct. Biotechnol. J. 2023, 21, 4519–4535. [Google Scholar] [CrossRef]
- Marra, M.; D’Errico, C.; Montemurro, C.; Ratti, C.; Baldoni, E.; Matic, S.; Accotto, G.P. Fast and Sensitive Detection of Soil-Borne Cereal Mosaic Virus in Leaf Crude Extract of Durum Wheat. Viruses 2023, 15, 140. [Google Scholar] [CrossRef]
- Kogovšek, P.; Hodgetts, J.; Hall, J.; Prezelj, N.; Nikolić, P.; Mehle, N.; Lenarčič, R.; Rotter, A.; Dickinson, M.; Boonham, N.; et al. LAMP assay and rapid sample preparation method for on-site detection of flavescence dorée phytoplasma in grapevine. Plant Pathol. 2015, 64, 286–296. [Google Scholar] [CrossRef]
- Meinecke, C.D.; Vos, L.; Yilmaz, N.; Steenkamp, E.T.; Wingfield, M.J.; Wingfield, B.D.; Villari, C. A LAMP Assay for Rapid Detection of the Pitch Canker Pathogen Fusarium circinatum. Plant Dis. 2023, 107, 2916–2923. [Google Scholar] [CrossRef]







| Number | Name | Sequence (5′-3′) | Gene | Primer Position (nt) * | Final Concentration in LAMP Reaction |
|---|---|---|---|---|---|
| 1 | F3_AMP | TCTATCTAAGGCTGTGCTAG | Movement protein | 357–376 | 0.25 μM |
| B3_AMP | TCATAGGAGGTCTCTCCTTC | 525–544 | 0.25 μM | ||
| FIP_AMP | CGGAGACTTCATAGGCGAGATTTAA-GATGACGAATTGGACTAGGT | 418–442 (F1c) + 378–397 (F2) | 2.5 μM | ||
| BIP_AMP | TCAACAAATAGGGAGATTCCGGA-TCGTAGATCTGCTTGGAAC | 462–484 (B1c) + 506–524 (B2) | 2.5 μM | ||
| LB_AMP | TACTTTGGGCAGATGTCCCA | 485–504 | 1.25 μM | ||
| 2 | F3_ACP | CTCGCGGTGAGATTGAAACT | Coat protein | 89–108 | 0.25 μM |
| B3_ACP | TACTGACCAGCGGTCGTC | 261–278 | 0.25 μM | ||
| FIP_ACP | TCCCACTCCGTGCGTATGGA-TATAACACCTGCGCGAAGTG | 160–179 (F1c) + (F2) 120–139 | 2.5 μM | ||
| BIP_ACP | TGGTAGGTCCTTCTGTGGGTGC-AGAGGCAACTGCCTCTCC | 182–203 (B1c) + 241–258 (B2) | 2.5 μM | ||
| LF_ACP | CGAGGAACTGGTGGACCAC | 140–158 | 1.25 μM | ||
| LB_ACP | CCGTTTAATTCAGGGGCCTCACAA | 204–227 | 1.25 μM |
| Polymorphism Parameter | CP | MP |
|---|---|---|
| Number of isolates | 14 | 13 |
| Analyzed region | 1–654 | 1–802 |
| Number of polymorphic sites, S | 37 | 60 |
| Number of mutations, Eta | 40 | 62 |
| Nucleotide diversity, π | 0.01406 | 0.01613 |
| θ (S) | 0.02120 | 0.02531 |
| θ (π) | 0.01433 | 0.01648 |
| ds | 0.04196 | 0.05152 |
| dNS | 0.00387 | 0.00568 |
| Tajima’s D | −1.56786 | −1.58895 |
| Fu and Li’s D | −1.86773 | −1.86663 |
| Fu and Li’s F | −2.05034 | −2.05147 |
| Flowering Cherry Trees | Samples | LAMP Tp (Min) * | |
|---|---|---|---|
| ELISA Buffer | TET Buffer | ||
| T22 | Root | 13.02 ± 0.76 | nd |
| TL1 | Leaf | 10.80 ± 1.12 | 16.35 ± 3.00 |
| TL2-TL19 ** | Leaf | nd *** | nd |
| Positive control | Leaf | 10.50 | 10.49 |
| Negative control | Leaf | nd | nd |
Disclaimer/Publisher’s Note: The statements, opinions and data contained in all publications are solely those of the individual author(s) and contributor(s) and not of MDPI and/or the editor(s). MDPI and/or the editor(s) disclaim responsibility for any injury to people or property resulting from any ideas, methods, instructions or products referred to in the content. |
© 2024 by the authors. Licensee MDPI, Basel, Switzerland. This article is an open access article distributed under the terms and conditions of the Creative Commons Attribution (CC BY) license (https://creativecommons.org/licenses/by/4.0/).
Share and Cite
Matić, S.; Myrta, A. Development of Loop-Mediated Isothermal Amplification (LAMP) Assay for In-Field Detection of American Plum Line Pattern Virus. Viruses 2024, 16, 1572. https://doi.org/10.3390/v16101572
Matić S, Myrta A. Development of Loop-Mediated Isothermal Amplification (LAMP) Assay for In-Field Detection of American Plum Line Pattern Virus. Viruses. 2024; 16(10):1572. https://doi.org/10.3390/v16101572
Chicago/Turabian StyleMatić, Slavica, and Arben Myrta. 2024. "Development of Loop-Mediated Isothermal Amplification (LAMP) Assay for In-Field Detection of American Plum Line Pattern Virus" Viruses 16, no. 10: 1572. https://doi.org/10.3390/v16101572
APA StyleMatić, S., & Myrta, A. (2024). Development of Loop-Mediated Isothermal Amplification (LAMP) Assay for In-Field Detection of American Plum Line Pattern Virus. Viruses, 16(10), 1572. https://doi.org/10.3390/v16101572

