Severe Neurologic Disease in a Horse Caused by Tick-Borne Encephalitis Virus, Austria, 2021
Abstract
:1. Introduction
2. Materials and Methods
2.1. Serological Tests—ELISA and Virus Neutralization (VN) Tests
2.2. Investigation of the Liquor Cerebrospinalis
2.3. Pathology and Histopathology
2.4. Immunofluorescent and Molecular Tests Performed on Brain Tissue
2.5. RNAscope In Situ Hybridization
3. Results
3.1. Anamnesis and Clinical Findings
3.2. Treatment and Outcome
3.3. Complete Blood Count and Biochemistry
3.4. Results of the Virological Investigations of Whole Blood
3.5. Serology
3.6. Cerebrospinal Fluid
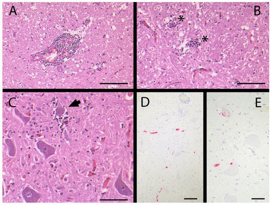
3.7. Pathology and Histopathology
3.8. Results of the DFA Test for Rabies and Molecular Tests for the Presence of Nucleic Acids of Neuropathogenic Viruses in Brain Tissue
3.9. RNAscope In Situ Hybridization for TBEV RNA
4. Discussion
5. Conclusions
Supplementary Materials
Author Contributions
Funding
Institutional Review Board Statement
Data Availability Statement
Acknowledgments
Conflicts of Interest
References
- Hubálek, Z.; Rudolf, I.; Nowotny, N. Chapter 5: Arboviruses Pathogenic for Domestic and Wild Animals. In Advances in Virus Research; Elsevier: Amsterdam, The Netherlands, 2014; Volume 89, pp. 201–275. [Google Scholar]
- Chiffi, G.; Grandgirard, D.; Leib, S.L.; Chrdle, A.; Růžek, D. Tick-borne Encephalitis: A Comprehensive Review of the Epidemiology, Virology, and Clinical Picture. Rev. Med. Virol. 2023, 33, e2470. [Google Scholar] [CrossRef] [PubMed]
- Leschnik, M.W.; Kirtz, G.C.; Thalhammer, J.G. Tick-Borne Encephalitis (TBE) in Dogs. Int. J. Med. Microbiol. 2002, 291, 66–69. [Google Scholar] [CrossRef]
- Weissenböck, H.; Suchy, A.; Holzmann, H. Tick-Borne Encephalitis in Dogs: Neuropathological Findings and Distribution of Antigen. Acta Neuropathol. 1998, 95, 361–366. [Google Scholar] [CrossRef] [PubMed]
- Salat, J.; Ruzek, D. Tick-Borne Encephalitis in Domestic Animals. Acta Virol. 2020, 64, 226–232. [Google Scholar] [CrossRef] [PubMed]
- Rushton, J.O.; Lecollinet, S.; Hubálek, Z.; Svobodová, P.; Lussy, H.; Nowotny, N. Tick-Borne Encephalitis Virus in Horses, Austria, 2011. Emerg. Infect. Dis. 2013, 19, 635–637. [Google Scholar] [CrossRef]
- de Heus, P.; Kolodziejek, J.; Hubálek, Z.; Dimmel, K.; Racher, V.; Nowotny, N.; Cavalleri, J.M.V. West Nile Virus and Tick-Borne Encephalitis Virus Are Endemic in Equids in Eastern Austria. Viruses 2021, 13, 1873. [Google Scholar] [CrossRef]
- Holzmann, H.; Aberle, S.W.; Stiasny, K.; Werner, P.; Mischak, A.; Zainer, B.; Netzer, M.; Koppi, S.; Bechter, E.; Heinz, F.X. Tick-Borne Encephalitis from Eating Goat Cheese in a Mountain Region of Austria. Emerg. Infect. Dis. 2009, 15, 1671–1673. [Google Scholar] [CrossRef]
- Bagó, Z.; Bauder, B.; Kolodziejek, J.; Nowotny, N.; Weissenböck, H. Tickborne Encephalitis in a Mouflon (Ovis Ammon Musimon). Vet. Rec. 2002, 150, 218–220. [Google Scholar] [CrossRef]
- Martello, E.; Gillingham, E.L.; Phalkey, R.; Vardavas, C.; Nikitara, K.; Bakonyi, T.; Gossner, C.M.; Leonardi-Bee, J. Systematic Review on the Non-Vectorial Transmission of Tick-Borne Encephalitis Virus (TBEv). Ticks Tick Borne Dis. 2022, 13, 102028. [Google Scholar] [CrossRef]
- Süss, J. Tick-Borne Encephalitis 2010: Epidemiology, Risk Areas, and Virus Strains in Europe and Asia-An Overview. Ticks Tick Borne Dis. 2011, 2, 2–15. [Google Scholar] [CrossRef]
- Randolph, S.E.; Green, R.M.; Peacey, M.F.; Rogers, D.J. Seasonal Synchrony: The Key to Tick-Borne Encephalitis Foci Identified by Satellite Data. Parasitology 2000, 121, 15–23. [Google Scholar] [CrossRef] [PubMed]
- Jenkins, V.A.; Silbernagl, G.; Baer, L.R.; Hoet, B. The Epidemiology of Infectious Diseases in Europe in 2020 versus 2017–2019 and the Rise of Tick-Borne Encephalitis (1995–2020). Ticks Tick Borne Dis. 2022, 13, 101972. [Google Scholar] [CrossRef] [PubMed]
- Balogh, Z.; Egyed, L.; Ferenczi, E.; Bán, E.; Szomor, K.N.; Takács, M.; Berencsi, G. Experimental Infection of Goats with Tick-Borne Encephalitis Virus and Possibilities to Prevent Virus Transmission by Raw Goat Milk. Intervirology 2012, 55, 194–200. [Google Scholar] [CrossRef] [PubMed]
- Zimna, M.; Brzuska, G.; Salát, J.; Svoboda, P.; Baranska, K.; Szewczyk, B.; Růžek, D.; Krol, E. Functional Characterization and Immunogenicity of a Novel Vaccine Candidate against Tick-Borne Encephalitis Virus Based on Leishmania-Derived Virus-like Particles. Antivir. Res. 2023, 209, 105511. [Google Scholar] [CrossRef]
- Salát, J.; Formanová, P.; Huňady, M.; Eyer, L.; Palus, M.; Ruzek, D. Development and Testing of a New Tick-Borne Encephalitis Virus Vaccine Candidate for Veterinary Use. Vaccine 2018, 36, 7257–7261. [Google Scholar] [CrossRef]
- Waldvogel, A.; Matile, H.; Wegmann, C.; Wyler, R.; Kunz, C. Zeckenenzephalitis Beim Pferd. Schweiz. Arch. Tierheilkd. 1981, 123, 227–233. [Google Scholar]
- Luckschander, N.; Kölbl, S.; Enzesberger, O.; Zipko, H.T.; Thalhammer, J.G. Frühsommermeningoenzephalitis- (FSME-)Infektion in Einer Österreichischen Pferdepopulation. Tierarztl. Prax. 1999, 27, 235–238. [Google Scholar]
- Conze, T.M.; Bagó, Z.; Revilla-Fernández, S.; Schlegel, J.; Goehring, L.S.; Matiasek, K. Tick-Borne Encephalitis Virus (Tbev) Infection in Two Horses. Viruses 2021, 13, 1775. [Google Scholar] [CrossRef]
- Fouché, N.; Oesch, S.; Ziegler, U.; Gerber, V. Clinical Presentation and Laboratory Diagnostic Work-up of a Horse with Tick-Borne Encephalitis in Switzerland. Viruses 2021, 13, 1474. [Google Scholar] [CrossRef]
- Magouras, I.; Schoster, A.; Fouché, N.; Gerber, V.; Groschup, M.H.; Ziegler, U.; Fricker, R.; Griot, C.; Vögtlin, A. Neurological Disease Suspected to Be Caused by Tick-Borne Encephalitis Virus Infection in 6 Horses in Switzerland. J. Vet. Intern. Med. 2022, 36, 2254–2262. [Google Scholar] [CrossRef]
- Topp, A.K.; Springer, A.; Mischke, R.; Rieder, J.; Feige, K.; Ganter, M.; Nagel-Kohl, U.; Nordhoff, M.; Boelke, M.; Becker, S.; et al. Seroprevalence of Tick-Borne Encephalitis Virus in Wild and Domestic Animals in Northern Germany. Ticks Tick Borne Dis. 2023, 14, 102220. [Google Scholar] [CrossRef] [PubMed]
- Pautienius, A.; Armonaite, A.; Simkute, E.; Zagrabskaite, R.; Buitkuviene, J.; Alpizar-Jara, R.; Grigas, J.; Zakiene, I.; Zienius, D.; Salomskas, A.; et al. Cross-Sectional Study on the Prevalence and Factors Influencing Occurrence of Tick-Borne Encephalitis in Horses in Lithuania. Pathogens 2021, 10, 140. [Google Scholar] [CrossRef] [PubMed]
- Napp, S.; Llorente, F.; Beck, C.; Jose-cunilleras, E.; Soler, M.; Pailler-garcía, L.; Amaral, R.; Aguilera-sepúlveda, P.; Pifarré, M.; Molina-lópez, R.; et al. Widespread Circulation of Flaviviruses in Horses and Birds in Northeastern Spain (Catalonia) between 2010 and 2019. Viruses 2021, 13, 2404. [Google Scholar] [CrossRef] [PubMed]
- Beck, C.; Desprès, P.; Paulous, S.; Vanhomwegen, J.; Lowenski, S.; Nowotny, N.; Durand, B.; Garnier, A.; Blaise-Boisseau, S.; Guitton, E.; et al. A High-Performance Multiplex Immunoassay for Serodiagnosis of Flavivirus-Associated Neurological Diseases in Horses. BioMed Res. Int. 2015, 2015, 678084. [Google Scholar] [CrossRef] [PubMed]
- Beck, C.; Jimenez-Clavero, M.A.; Leblond, A.; Durand, B.; Nowotny, N.; Leparc-Goffart, I.; Zientara, S.; Jourdain, E.; Lecollinet, S. Flaviviruses in Europe: Complex Circulation Patterns and Their Consequences for the Diagnosis and Control of West Nile Disease. Int. J. Environ. Res. Public Health 2013, 10, 6049–6083. [Google Scholar] [CrossRef]
- Cleton, N.B.; van Maanen, K.; Bergervoet, S.A.; Bon, N.; Beck, C.; Godeke, G.J.; Lecollinet, S.; Bowen, R.; Lelli, D.; Nowotny, N.; et al. A Serological Protein Microarray for Detection of Multiple Cross-Reactive Flavivirus Infections in Horses for Veterinary and Public Health Surveillance. Transbound. Emerg. Dis. 2017, 64, 1801–1812. [Google Scholar] [CrossRef]
- Cavalleri, J.V.; Korbacska-Kutasi, O.; Leblond, A.; Paillot, R.; Pusterla, N.; Steinmann, E.; Tomlinson, J. European College of Equine Internal Medicine Consensus Statement on Equine Flaviviridae Infections in Europe. J. Vet. Intern. Med. 2022, 36, 1858–1871. [Google Scholar] [CrossRef]
- World Organisation for Animal Health (WOAH). Chapter 3.1.25 West Nile Fever. In Manual of Diagnostic Tests and Vaccines for Terrestrial Animals 2022; World Organisation for Animal Health: Paris, France, 2022; pp. 697–711. [Google Scholar]
- Weissenböck, H.; Bagó, Z.; Kolodziejek, J.; Hager, B.; Palmetzhofer, G.; Dürrwald, R.; Nowotny, N. Infections of Horses and Shrews with Bornaviruses in Upper Austria: A Novel Endemic Area of Borna Disease. Emerg. Microbes Infect. 2017, 6, e52. [Google Scholar] [CrossRef]
- World Organisation for Animal Health (WOAH). Chapter 3.1.18. Rabies (Infection with Rabies Virus and Other Lyssaviruses). In Manual of Diagnostic Tests and Vaccines for Terrestrial Animals; World Organisation for Animal Health: Paris, France, 2022; pp. 578–614. [Google Scholar]
- Kolodziejek, J.; Marinov, M.; Kiss, B.J.; Alexe, V.; Nowotny, N. The Complete Sequence of a West Nile Virus Lineage 2 Strain Detected in a Hyalomma Marginatum Marginatum Tick Collected from a Song Thrush (Turdus Philomelos) in Eastern Romania in 2013 Revealed Closest Genetic Relationship to Strain Volgograd 2007. PLoS ONE 2014, 9, e109905. [Google Scholar] [CrossRef]
- Schindler, A.R.; Vögtlin, A.; Hilbe, M.; Puorger, M.; Zlinszky, K.; Ackermann, M.; Ehrensperger, F. Reverse Transcription Real-Time PCR Assays for Detection and Quantification of Borna Disease Virus in Diseased Hosts. Mol. Cell Probes 2007, 21, 47–55. [Google Scholar] [CrossRef]
- Vina-Rodriguez, A.; Eiden, M.; Keller, M.; Hinrichs, W.; Groschup, M.H. A Quantitative Real-Time RT-PCR Assay for the Detection of Venezuelan Equine Encephalitis Virus Utilizing a Universal Alphavirus Control RNA. BioMed Res. Int. 2016, 2016, 8543204. [Google Scholar] [CrossRef]
- Lambert, A.J.; Martin, D.A.; Lanciotti, R.S. Detection of North American Eastern and Western Equine Encephalitis Viruses by Nucleic Acid Amplification Assays. J. Clin. Microbiol. 2003, 41, 379–385. [Google Scholar] [CrossRef] [PubMed]
- Scaramozzino, N.; Crance, J.M.; Jouan, A.; DeBriel, D.A.; Stoll, F.; Garin, D. Comparison of Flavivirus Universal Primer Pairs and Development of a Rapid, Highly Sensitive Heminested Reverse Transcription-PCR Assay for Detection of Flaviviruses Targeted to a Conserved Region of the NS5 Gene Sequences. J. Clin. Microbiol. 2001, 39, 1922–1927. [Google Scholar] [CrossRef] [PubMed]
- Schwaiger, M.; Cassinotti, P. Development of a Quantitative Real-Time RT-PCR Assay with Internal Control for the Laboratory Detection of Tick Borne Encephalitis Virus (TBEV) RNA. J. Clin. Virol. Off. Publ. Pan Am. Soc. Clin. Virol. 2003, 27, 136–145. [Google Scholar] [CrossRef] [PubMed]
- Leutenegger, C.M.; Madigan, J.E.; Mapes, S.; Thao, M.; Estrada, M.; Pusterla, N. Detection of EHV-1 Neuropathogenic Strains Using Real-Time PCR in the Neural Tissue of Horses with Myeloencephalopathy. Vet. Rec. 2008, 162, 688–690. [Google Scholar] [CrossRef]
- Weissenböck, H.; Bakonyi, T.; Rossi, G.; Mani, P.; Nowotny, N. Usutu Virus, Italy, 1996. Emerg. Infect. Dis. 2013, 19, 274–277. [Google Scholar] [CrossRef]
- Matiasek, K.; Pfaff, F.; Weissenböck, H.; Wylezich, C.; Kolodziejek, J.; Tengstrand, S.; Ecke, F.; Nippert, S.; Starcky, P.; Litz, B.; et al. Mystery of Fatal ‘Staggering Disease’ Unravelled: Novel Rustrela Virus Causes Severe Meningoencephalomyelitis in Domestic Cats. Nat. Commun. 2023, 14, 624. [Google Scholar] [CrossRef]
- Spearman, C. The Method of ´right and Wrong Cases´ (´constant Stimuli´) without Gauss’s Formulae. Br. J. Psychol. 1908, 2, 227–242. [Google Scholar] [CrossRef]
- Kärber, G. Beitrag Zur Kollektiven Behandlung Pharmakologischer Reihenversuche. Arch. Exp. Pathol. Pharmakol. 1931, 162, 480–483. [Google Scholar] [CrossRef]
- Gothe, L.M.R.; Ganzenberg, S.; Ziegler, U.; Obiegala, A.; Lohmann, K.L.; Sieg, M.; Vahlenkamp, T.W.; Groschup, M.H.; Hörügel, U.; Pfeffer, M. Horses as Sentinels for the Circulation of Flaviviruses in Eastern–Central Germany. Viruses 2023, 15, 1108. [Google Scholar] [CrossRef]
- Klaus, C.; Hörügel, U.; Hoffmann, B.; Beer, M. Tick-Borne Encephalitis Virus (TBEV) Infection in Horses: Clinical and Laboratory Findings and Epidemiological Investigations. Vet. Microbiol. 2013, 163, 368–372. [Google Scholar] [CrossRef] [PubMed]
- Bürki, F.; Nowotny, N.; Hinaidy, B.; Pallan, C. Die Ätiologie Der Lipizzanerseuche in Piber 1983: Equines Herpesvirus 1. Wien Tierarztl Monatsschr 1984, 71, 312–320. [Google Scholar]
- Weissenböck, H.; Suchy, A.; Caplazi, P.; Herzog, S.; Nowotny, N. Borna Disease in Austrian Horses. Vet. Rec. 1998, 143, 21–22. [Google Scholar] [CrossRef] [PubMed]
- Nowotny, N.; Kolodziejek, J.; Jehle, C.O.; Suchy, A.; Staeheli, P.; Schwemmle, M. Isolation and Characterization of a New Subtype of Borna Disease Virus. J. Virol. 2000, 74, 5655–5658. [Google Scholar] [CrossRef] [PubMed]
- de Heus, P.; Kolodziejek, J.; Camp, J.V.; Dimmel, K.; Bagó, Z.; Van den Hoven, R.; Cavalleri, J.-M.V.; Nowotny, N. Emergence of West Nile Virus Lineage 2 in Europe: Characteristics of the First Seven Cases of West Nile Neuroinvasive Disease in Horses in Austria. Transbound. Emerg. Dis. 2019, 67, 1189–1197. [Google Scholar] [CrossRef]
- Bennett, A.J.; Paskey, A.C.; Ebinger, A.; Pfaff, F.; Priemer, G.; Höper, D.; Breithaupt, A.; Heuser, E.; Ulrich, R.G.; Kuhn, J.H.; et al. Relatives of Rubella Virus in Diverse Mammals. Nature 2020, 586, 424–428. [Google Scholar] [CrossRef]
- Weiss, V.; Weidinger, P.; Matt, J.; Weissenbacher-Lang, C.; Nowotny, N.; Weissenböck, H. Rustrela Virus-Associated Encephalomyelitis (‘Staggering Disease’) in Cats from Eastern Austria, 1994–2016. Viruses 2023, 15, 1621. [Google Scholar] [CrossRef]

| Virus (Family) | Primer/Probe Name | Sequence (5′-3′) | Amplicon Length | Reference |
|---|---|---|---|---|
| TBEV (Flaviviridae) | TBE1-F TBE1-R TBE1-P(WT) | GGGCGGTTCTTGTTCTCC ACACATCACCTCCTTGTCAGACT TGAGCCACCATCACCCAGACACA | 67 bp | RT-qPCR; [37] |
| TBE1-6895F TBE4-7128R | GGACTGGTTGCAGCCAATGA AGATGCCACGGCACTGTTGA | 233 bp | RT-PCR; modified from [9] | |
| EHV-1 (Herpesviridae) | EHV1-29F EHV1-82R EHV1-P | ATCTGGCCGGGCTTCAAC GGTCACCCACCTCGAACGT ATCCGTCRACTACTCG | 53 bp | qPCR; modified from [38] |
| BoDV-1 (Bornaviridae) | BoDV1-F(p24) BoDV1-R(p24) BoDV1-P(p24) | TCCCTGGAGGACGAAGAAGAT CTTCCGTGGYCTTGGTGACC CCAGACACTACGACGGGAACGA | 69 bp | RT-qPCR; modified from [33] |
| USUV (Flaviviridae) | USUV-9721F USUV-9795R USUV-9746P | GCCAATGCCCTGCACTTT TCCCGAGGAGGGTTTCCA CGATGTCCAAGGTCAGAAAAGACGTGC | 74 bp | RT-qPCR; [39] |
| WNV (Flaviviridae) | WNV-8F WNV-118R WNV-67P | CGCCTGTGTGAGCTGACAAA GCCCTCCTGGTTTCTTAGACATC TGCGAGCTGTTTCTTAGCACGA | 110 bp | RT-qPCR; in-house method for WNV lineages 1 and 2 [32] |
| RusV (Matonaviridae) | RusV-234F RusV-323R RusV-256P | CCCCGTGTTCCTAGGCAC TCGCCCCATTCWACCCAATT GTGAGCGACCACCCAGCACTCCA | 89 bp | RT-qPCR; [40] |
| Flaviviruses (Flaviviridae) | MAMD cFD2 FS 778 | AACATGATGGGRAARAGRGARAA GTGTCCCAGCCGGCGGTGTCATCAGC AARGGHAGYMCDGCHATHTGG | 252 bp | RT-PCR; [36] |
| EEEV (Togaviridae) | EEE Fwd EEE Rev EEE probe | ACACCGCACCCTGATTTTACA CTTCCAAGTGACCTGGTCGTC TGCACCCGGACCATCCGACCT | 69 bp | RT-qPCR; [35] |
| WEEV (Togaviridae) | WEE Fwd WEE Rev WEE probe | CTGAAAGTCGGCCTGCGTAT CGCCATTGACGAACGTATCC ATACGGCAATACCACCGCGCACC | 67 bp | RT-qPCR; [35] |
| VEEV (Togaviridae) | VEE Fwd VEE Rev VEE probe | TCCATGCTAATGCYAGAGCGTTTTCGCA TGGCGCACTTCCAATGTCHAGGAT TGATCGARACGGAGGTRGAMCCATCC | 98 bp | RT-qPCR; [34] |
| Parameter | Emergency Admission * (2 Days after Onset of Signs) | Reference Range * Emergency Laboratory | 1 Day after Admission** (3 Days after Onset of Signs) | Reference Range ** Central Laboratory |
|---|---|---|---|---|
| Leukocytes (/µL) | 10,240 | 4900–11,100 | 9230 | 5000–10,000 |
| Neutrophils (/µL) | 7220 | 2500–6900 | 6691 | 3000–7000 |
| Lymphocytes (/µL) | 2320 | 1000–4500 | 1661 | 1000–4500 |
| Monocytes (/µL) | 660 | 200–600 | 563 | <500 |
| Eosinophils (/µL) | 20 | 0–800 | 221 | <500 |
| Basophils (/µL) | 20 | 0–100 | 92 | <200 |
| LUS (/µL) | - | - | 9 | <100 |
| Urea (mg/dL) | - | - | 11.2 | 20–40 |
| BUN (mg/dL) | 9 | 10–25 | - | - |
| Creatinine (mg/dL) | 1.3 | 0.8–2.2 | 0.9 | <2 |
| Total protein (g/dL) | - | - | 7.1 | 5.5–7.5 |
| Albumin (g/dL) | 2.9 | 1.9–3.2 | 3.2 | 2.4–4.5 |
| GLDH (U/L) | - | - | 3 | <13 |
| GGT (U/L) | - | - | 13 | <30 |
| Triglycerides (mg/dL) | - | - | 109 | <50 |
| Creatine kinase (U/L) | - | - | 1101 | <200 |
| Ammonia (µmol/L) | - | - | below detection | <7 |
| Serum amyloid A (mg/L) | - | - | 755 | <10 |
| Sodium (mmol/L) | 136 | 136–145 | - | - |
| Potassium (mmol/L) | 3.68 | 3.5–5.1 | - | - |
| Chloride (mmol/L) | 100 | 98–107 | - | - |
| Ionized calcium (mmol/L) | 1.45 | 1.15–1.33 | - | - |
| Lactate (mmol/L) | 2.8 | 1.0–1.8 | 2.8 | <1 |
| Antibody | Test | Company | Result | Interpretation |
|---|---|---|---|---|
| WNV IgG | ID Screen West Nile Competition Multi-Species IgG ELISA | Innovative Diagnostics | 13.75% S/P | positive |
| WNV IgM | ID Screen West Nile IgM Capture ELISA | Innovative Diagnostics | 2.35% S/P | negative |
| TBEV IgG | IMMUNOZYM FSME (TBE) IgG All Species ELISA | Progen | >500 U/mL | positive |
| TBEV IgM | VetLine TBE/FSME Multi-Species IgM ELISA | NovaTec Immunodiagnostica | 29.17 RU | borderline |
| TBEV | VN (isolate Salzburg/Milk/1432/2020) | AGES in-house method | titer 1:226 | positive |
| WNV 1 and 2 | VN (2.2 neutralization protocol) | WOAH | titer < 1:5 (both) | negative |
Disclaimer/Publisher’s Note: The statements, opinions and data contained in all publications are solely those of the individual author(s) and contributor(s) and not of MDPI and/or the editor(s). MDPI and/or the editor(s) disclaim responsibility for any injury to people or property resulting from any ideas, methods, instructions or products referred to in the content. |
© 2023 by the authors. Licensee MDPI, Basel, Switzerland. This article is an open access article distributed under the terms and conditions of the Creative Commons Attribution (CC BY) license (https://creativecommons.org/licenses/by/4.0/).
Share and Cite
de Heus, P.; Bagó, Z.; Weidinger, P.; Lale, D.; Trachsel, D.S.; Revilla-Fernández, S.; Matiasek, K.; Nowotny, N. Severe Neurologic Disease in a Horse Caused by Tick-Borne Encephalitis Virus, Austria, 2021. Viruses 2023, 15, 2022. https://doi.org/10.3390/v15102022
de Heus P, Bagó Z, Weidinger P, Lale D, Trachsel DS, Revilla-Fernández S, Matiasek K, Nowotny N. Severe Neurologic Disease in a Horse Caused by Tick-Borne Encephalitis Virus, Austria, 2021. Viruses. 2023; 15(10):2022. https://doi.org/10.3390/v15102022
Chicago/Turabian Stylede Heus, Phebe, Zoltán Bagó, Pia Weidinger, Dilara Lale, Dagmar S. Trachsel, Sandra Revilla-Fernández, Kaspar Matiasek, and Norbert Nowotny. 2023. "Severe Neurologic Disease in a Horse Caused by Tick-Borne Encephalitis Virus, Austria, 2021" Viruses 15, no. 10: 2022. https://doi.org/10.3390/v15102022
APA Stylede Heus, P., Bagó, Z., Weidinger, P., Lale, D., Trachsel, D. S., Revilla-Fernández, S., Matiasek, K., & Nowotny, N. (2023). Severe Neurologic Disease in a Horse Caused by Tick-Borne Encephalitis Virus, Austria, 2021. Viruses, 15(10), 2022. https://doi.org/10.3390/v15102022

