Comparison of Recombinant MVA Selection Methods Based on F13L, D4R and K1L Genes
Abstract
:1. Introduction
2. Materials and Methods
2.1. Cells and Viruses
2.2. Plasmids
2.3. Generation of Recombinant MVA
2.4. RK-13 Cells Infection and Plaques Isolation
2.5. BHK-21 Cells Infection (Virus Serial Passaging)
2.6. Purification of MVA by Plaque Isolation
2.7. Cloning by the Limiting Dilution Method
2.8. Determination of Infectious Titers
2.9. Generation of a BHK-21-Based Cell Line Expressing the D4R Gene
2.10. Isolation of Virus DNA and PCR Performance
3. Results
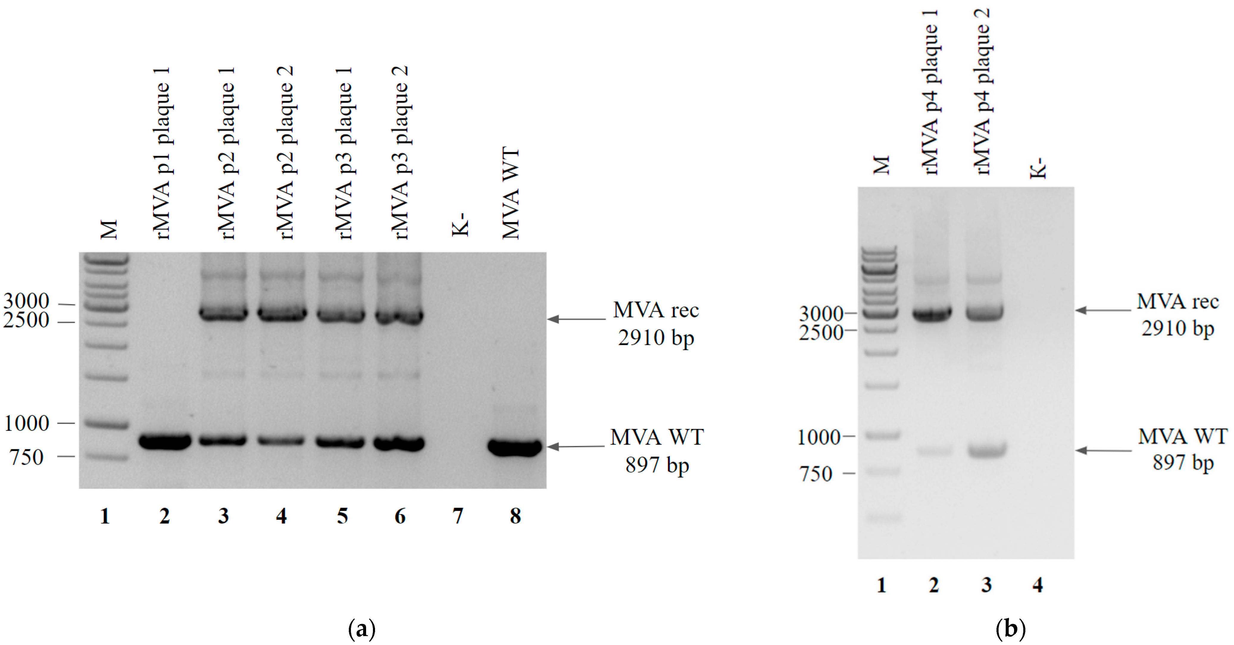
3.1. K1L-Based Selection
3.2. F13L-Based Selection
3.3. D4R-Based Selection
4. Discussion
Author Contributions
Funding
Institutional Review Board Statement
Informed Consent Statement
Data Availability Statement
Conflicts of Interest
References
- Volz, A.; Sutter, G. Modified Vaccinia Virus Ankara: History, Value in Basic Research, and Current Perspectives for Vaccine Development. Adv. Virus Res. 2017, 97, 187–263. [Google Scholar] [CrossRef] [PubMed]
- Drexler, I.; Heller, K.; Wahren, B.; Erfle, V.; Sutter, G. Highly attenuated modified vaccinia virus Ankara replicates in baby hamster kidney cells, a potential host for virus propagation, but not in various human transformed and primary cells. J. Gen. Virol. 1998, 79, 347–352. [Google Scholar] [CrossRef] [PubMed]
- Stickl, H.; Hochstein-Mintzel, V.; Mayr, A.; Huber, H.C.; Schafer, H.; Holzner, A. MVA vaccination against smallpox: Clinical tests with an attenuated live vaccinia virus strain (MVA). Dtsch. Med. Wochenschr. 1974, 99, 2386–2392. [Google Scholar] [CrossRef] [PubMed]
- Ramírez, J.C.; Gherardi, M.M.; Esteban, M. Biology of Attenuated Modified Vaccinia Virus Ankara Recombinant Vector in Mice: Virus Fate and Activation of B- and T-Cell Immune Responses in Comparison with the Western Reserve Strain and Advantages as a Vaccine. J. Virol. 2000, 74, 923–933. [Google Scholar] [CrossRef] [PubMed] [Green Version]
- Sánchez-Puig, J.M.; Blasco, R. Isolation of vaccinia MVA recombinants using the viral F13L gene as the selective marker. BioTechniques 2005, 39, 665–674. [Google Scholar] [CrossRef] [PubMed]
- Falkner, F.G.; Moss, B. Escherichia coli gpt gene provides dominant selection for vaccinia virus open reading frame expression vectors. J. Virol. 1988, 62, 1849–1854. [Google Scholar] [CrossRef] [PubMed] [Green Version]
- Kochneva, G.; Zonov, E.; Grazhdantseva, A.; Yunusova, A.; Sibolobova, G.; Popov, E.; Taranov, O.; Netesov, S.; Chumakov, P.; Ryabchikova, E. Apoptin enhances the oncolytic properties of vaccinia virus and modifies mechanisms of tumor regression. Oncotarget 2014, 5, 11269–11282. [Google Scholar] [CrossRef] [PubMed]
- Sutter, G.; Moss, B. Nonreplicating vaccinia vector efficiently expresses recombinant genes. Proc. Natl. Acad. Sci. USA 1992, 89, 10847–10851. [Google Scholar] [CrossRef] [PubMed] [Green Version]
- Chakrabarti, S.; Brechling, K.; Moss, B. Vaccinia virus expression vector: Coexpression of beta-galactosidase provides visual screening of recombinant virus plaques. Mol. Cell. Biol. 1985, 5, 3403–3409. [Google Scholar] [CrossRef] [PubMed]
- Pavot, V.; Sebastian, S.; Turner, A.V.; Matthews, J.; Gilbert, S.C. Generation and Production of Modified Vaccinia Virus Ankara (MVA) as a Vaccine Vector. Methods Mol. Biol. 2017, 1581, 97–119. [Google Scholar] [CrossRef] [PubMed]
- Orlova, O.; Glazkova, D.; Tsyganova, G.; Antoshkina, I.; Mintaev, R.; Tikhonov, A.; Bogoslovskaya, E.; Shipulin, G. Application of real-time PCR to significantly reduce the time to obtain recombinant MVA virus. J. Virol. Methods 2021, 289, 114056. [Google Scholar] [CrossRef] [PubMed]
- Staib, C.; Drexler, I.; Ohlmann, M.; Wintersperger, S.; Erfle, V.; Sutter, G. Transient Host Range Selection for Genetic Engineering of Modified Vaccinia Virus Ankara. BioTechniques 2000, 28, 1137–1148. [Google Scholar] [CrossRef] [PubMed]
- Ricci, P.S.; Schäfer, B.; Kreil, T.R.; Falkner, F.G.; Holzer, G.W. Selection of recombinant MVA by rescue of the essential D4R gene. Virol. J. 2011, 8. [Google Scholar] [CrossRef] [PubMed] [Green Version]
- Omelchenko, D.O.; Glazkova, D.V.; Bogoslovskaya, E.V.; Urusov, F.A.; Zhogina, Y.A.; Tsyganova, G.M.; Shipulin, G.A. Protection of Lymphocytes Against HIV using Lentivirus Vector Carrying a Combination of TRIM5α-HRH Genes and microRNA Against CCR5. Mol. Biol. 2018, 52, 251–261. [Google Scholar] [CrossRef]
- Staib, C.; Drexler, I.; Sutter, G. Construction and Isolation of Recombinant MVA. Vaccinia Virus Poxvirol. 2008, 77–99. [Google Scholar] [CrossRef]
- Sánchez-Puig, J.M.; Lorenzo, M.M.; Blasco, R. Isolation of Recombinant MVA Using F13L Selection. Methods Mol. Biol. 2012, 93–111. [Google Scholar] [CrossRef]
- Kuroda, H.; Kutner, R.H.; Bazan, N.G.; Reiser, J. Simplified lentivirus vector production in protein-free media using polyethylenimine-mediated transfection. J. Virol. Methods 2009, 157, 113–121. [Google Scholar] [CrossRef] [PubMed]
- Kugler, F.; Drexler, I.; Protzer, U.; Hoffmann, D.; Moeini, H. Generation of recombinant MVA-norovirus: A comparison study of bacterial artificial chromosome- and marker-based systems. Virol. J. 2019, 16, 100. [Google Scholar] [CrossRef] [PubMed]
- di Lullo, G.; Soprana, E.; Panigada, M.; Palini, A.; Erfle, V.; Staib, C.; Sutter, G.; Siccardi, A.G. Marker gene swapping facilitates recombinant Modified Vaccinia Virus Ankara production by host-range selection. J. Virol. Methods 2009, 156, 37–43. [Google Scholar] [CrossRef] [PubMed]











| Number | Primer Sequence (Restriction Site) |
|---|---|
| 1 | CAGCATCGATTGCGATAGCCATGTATCTACTAATCAG (ClaI) |
| 2 | GCAGATCGATGGAAATCTATCTTATATACAC (ClaI) |
| 3 | GGGGAGCTCGATAAAGTTTCGAAACAGCAAA (SacI) |
| 4 | CATTTTGGGATCCCAGGTACCGGTGCAA (BamHI) |
| 5 | GAGAGAATTCGGGTATCTAGCCACAGTA (EcoRI) |
| 6 | CACAGGGCCCCTCTAGATATGTATTTAA (ApaI) |
| 7 | CCCGGGATCCATCGATGAAGGACAGTTCTA (BamHI) |
| 8 | CCCGGAATTCTTATTAATTAAGTTTGTGCC (EcoRI) |
| 9 | GGGGAGCTCGATAAAGTTTCGAAACAGCAAA (SacI) |
| 10 | CCCGGATCCTTAAATTTTTAACGATTTACTGTGGCTAGATACCCAATCTCTCTCAAAT (BamHI) |
| 11 | GCAGGATCCAGGCGTTTGTATTCGCTTGG (BamHI) |
| 12 | CTAGATCCTTTAATAAATAAACCCTTGAGCC (BamHI) |
| 13 | CCCGGAGCTCTGTGAGCTACTGTAGGTG (SacI) |
| 14 | CCCGTCTAGATTATATCAAATTAGATACC (XbaI) |
| 15 | CCCGGAATTCGCTTTAGTGAAATTTTAAC (EcoRI) |
| 16 | CCCGGGGCCCACTATTGTTGTTCATATCCACG (ApaI) |
| 17 | AGAGTCTAGAATCGATGAAGGACAGTTCTATACATAG (XbaI) |
| 18 | AGAGGAATTCTTATTAATTAAGTTTGTGCCCCAGTTTG (EcoRI) |
| 19 | CCCGGAGCTCTGTGAGCTACTGTAGGTG (SacI) |
| 20 | CCCGGGATCCTTAATAAATAAACCCTTGAGCC (BamHI) |
| Selection Method | Primer | Sequence | PCR Product Size | Thermocycling Conditions |
|---|---|---|---|---|
| K1L | TKL new | GCTACCACCGCAATAGATCCT | 897 bp for wild-type MVA; 2910 bp for rMVA-K1L | Initial denaturation at 95° for 5 min; followed by 40 cycles at 95° for 30 s, 55° for 30 s, 72° for 4 min; and a final extension at 72° for 5 min. |
| TKR new | CTAATATACCGTGTCGCTGTAAC | |||
| F13L | a49 | CCTCAGTTTCAATATCTCCTTCCTG | 2539 bp for wild-type MVA; 2322 bp for MVA ΔF13L; 3095 bp for rMVA F13Lrev | Initial denaturation at 95° for 5 min; followed by 40 cycles at 95° for 30 s, 52° for 30 s, 72° for 4 min; and a final extension at 72° for 5 min. |
| a50 | GTTTTTATATGTGTTTGATCTAACGAG | |||
| D4R | a58 | ACCTTCCAACTGTGGATACTCTG | 2430 bp for wild-type MVA; 2625 bp for MVA ΔD4R; 2960 bp for rMVA D4Rrev | Initial denaturation at 95° for 5 min; followed by 40 cycles at 95° for 30 s, 52° for 30 s, 72° for 4 min; and a final extension at 72° for 5 min. |
| a59 | TCGAATGAAATAAACCCTGGT |
Publisher’s Note: MDPI stays neutral with regard to jurisdictional claims in published maps and institutional affiliations. |
© 2022 by the authors. Licensee MDPI, Basel, Switzerland. This article is an open access article distributed under the terms and conditions of the Creative Commons Attribution (CC BY) license (https://creativecommons.org/licenses/by/4.0/).
Share and Cite
Antoshkina, I.V.; Glazkova, D.V.; Urusov, F.A.; Bogoslovskaya, E.V.; Shipulin, G.A. Comparison of Recombinant MVA Selection Methods Based on F13L, D4R and K1L Genes. Viruses 2022, 14, 528. https://doi.org/10.3390/v14030528
Antoshkina IV, Glazkova DV, Urusov FA, Bogoslovskaya EV, Shipulin GA. Comparison of Recombinant MVA Selection Methods Based on F13L, D4R and K1L Genes. Viruses. 2022; 14(3):528. https://doi.org/10.3390/v14030528
Chicago/Turabian StyleAntoshkina, Irina V., Dina V. Glazkova, Felix A. Urusov, Elena V. Bogoslovskaya, and German A. Shipulin. 2022. "Comparison of Recombinant MVA Selection Methods Based on F13L, D4R and K1L Genes" Viruses 14, no. 3: 528. https://doi.org/10.3390/v14030528
APA StyleAntoshkina, I. V., Glazkova, D. V., Urusov, F. A., Bogoslovskaya, E. V., & Shipulin, G. A. (2022). Comparison of Recombinant MVA Selection Methods Based on F13L, D4R and K1L Genes. Viruses, 14(3), 528. https://doi.org/10.3390/v14030528

