Comparison of a Prototype SARS-CoV-2 Lateral Flow IMMUNOASSAY with the BinaxNOWTM COVID-19 Antigen CARD
Abstract
1. Introduction
2. Materials and Methods
2.1. Monoclonal Antibody Production
2.2. Indirect ELISA
2.3. Lateral Flow Immunoassay (LFI) Prototype Development
2.4. LFI Testing with Live SARS-CoV-2 Virus
2.5. Sequence Confirmation of SARS-CoV-2 in Clinical Specimens
3. Results
3.1. Monoclonal Antibody Production and Reactivity
3.2. 1CV7/1CV14 LFI Demonstrate no Cross-Reactivity with Tested Viruses
3.3. 1CV7/1CV14 LFI and BinaxNOWTM LFI Are Reactive with Multiple SARS-CoV-2 Variants
3.4. 1CV7/1CV14 LFI and the BinaxNOWTM LFI Have High Analytical Sensitivity for Detection of Delta and Omicron Variants
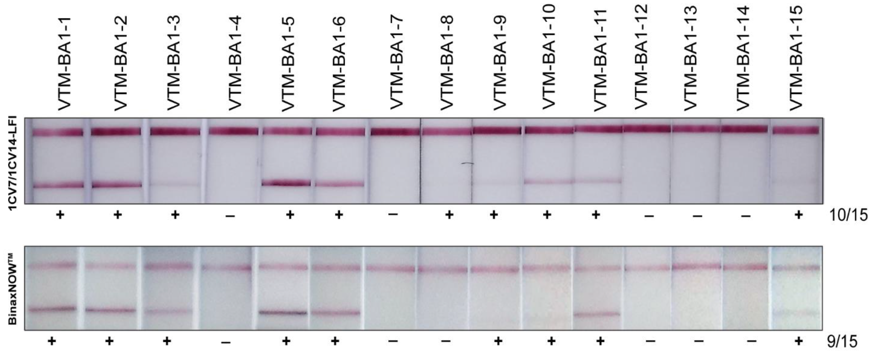
3.5. 1CV7/1CV14 LFI Identified More Omicron-Positive VTM Samples Than the BinaxNOWTM LFI
4. Discussion
Supplementary Materials
Author Contributions
Funding
Institutional Review Board Statement
Informed Consent Statement
Data Availability Statement
Acknowledgments
Conflicts of Interest
References
- Wu, F.; Zhao, S.; Yu, B.; Chen, Y.-M.; Wang, W.; Song, Z.-G.; Hu, Y.; Tao, Z.-W.; Tian, J.-H.; Pei, Y.-Y.; et al. A New Coronavirus Associated with Human Respiratory Disease in China. Nature 2020, 579, 265–269. [Google Scholar] [CrossRef] [PubMed]
- WHO Coronavirus (COVID-19) Dashboard. WHO Coronavirus (COVID-19) Dashboard with Vaccination Data. Available online: https://covid19.who.int/ (accessed on 8 June 2022).
- U.S. Food and Drug Administration (FDA). COVID-19 Vaccines. Available online: https://www.fda.gov/emergency-preparedness-and-response/coronavirus-disease-2019-covid-19/covid-19-vaccines (accessed on 6 April 2022).
- U.S. Food and Drug Administration. FDA Combating COVID-19 With Therapeutics; US Food and Drug Administration: Silver Spring, MD, USA, 2020.
- U.S. Food and Drug Administration (FDA). In Vitro Diagnostics EUAs. Available online: https://www.fda.gov/medical-devices/coronavirus-disease-2019-covid-19-emergency-use-authorizations-medical-devices/in-vitro-diagnostics-euas (accessed on 6 April 2022).
- Bielecki, M.; Züst, R.; Siegrist, D.; Meyerhofer, D.; Crameri, G.A.G.; Stanga, Z.; Stettbacher, A.; Buehrer, T.W.; Deuel, J.W. Social Distancing Alters the Clinical Course of COVID-19 in Young Adults: A Comparative Cohort Study. Clin. Infect. Dis. 2021, 72, 598–603. [Google Scholar] [CrossRef] [PubMed]
- Chan, J.F.W.; Kok, K.H.; Zhu, Z.; Chu, H.; To, K.K.W.; Yuan, S.; Yuen, K.Y. Genomic Characterization of the 2019 Novel Human-Pathogenic Coronavirus Isolated from a Patient with Atypical Pneumonia after Visiting Wuhan. Emerg. Microbes Infect. 2020, 9, 221–236. [Google Scholar] [CrossRef] [PubMed]
- Centers for Disease Control and Prevention (CDC). Nucleic Acid Amplification Tests (NAATs). Available online: https://www.cdc.gov/coronavirus/2019-ncov/lab/naats.html (accessed on 6 April 2022).
- Drake, J.W.; Holland, J.J. Mutation Rates among RNA Viruses. Proc. Natl. Acad. Sci. USA 1999, 96, 13910–13913. [Google Scholar] [CrossRef]
- Moya, A.; Elena, S.F.; Bracho, A.; Miralles, R.; Barrio, E. The Evolution of RNA Viruses: A Population Genetics View. Proc. Natl. Acad. Sci. USA 2000, 97, 6967–6973. [Google Scholar] [CrossRef] [PubMed]
- McLean, G.; Kamil, J.; Lee, B.; Moore, P.; Schulz, T.F.; Muik, A.; Sahin, U.; Türeci, Ö.; Pather, S. The Impact of Evolving SARS-CoV-2 Mutations and Variants on COVID-19 Vaccines. mBio 2022, 13, e02979-21. [Google Scholar] [CrossRef] [PubMed]
- CoVariants: 21A (Delta). Available online: https://covariants.org/variants/21A.Delta (accessed on 3 April 2022).
- CoVariants: 21K (Omicron). Available online: https://covariants.org/variants/21K.Omicron (accessed on 31 March 2022).
- U.S. Food and Drug Administration (FDA). SARS-CoV-2 Viral Mutations: Impact on COVID-19 Tests. Available online: https://www.fda.gov/medical-devices/coronavirus-covid-19-and-medical-devices/sars-cov-2-viral-mutations-impact-covid-19-tests (accessed on 6 April 2022).
- Cao, L.; Xu, T.; Liu, X.; Ji, Y.; Huang, S.; Peng, H.; Li, C.; Guo, D. The Impact of Accumulated Mutations in SARS-CoV-2 Variants on the QPCR Detection Efficiency. Front. Cell. Infect. Microbiol. 2022, 12. [Google Scholar] [CrossRef] [PubMed]
- Ko, K.K.; Abdul Rahman, N.B.; Tan, S.Y.L.; Chan, K.X.; Goh, S.S.; Sim, J.H.C.; Lim, K.L.; Tan, W.L.; Chan, K.S.; Oon, L.L.; et al. SARS-CoV-2 N Gene G29195T Point Mutation May Affect Diagnostic Reverse Transcription-PCR Detection. Microbiol. Spectr. 2022, 10, e02223-21. [Google Scholar] [CrossRef] [PubMed]
- Jarvis, J.N.; Percival, A.; Bauman, S.; Pelfrey, J.; Meintjes, G.; Williams, G.N.; Longley, N.; Harrison, T.; Kozel, T.R. Evaluation of a Novel Point-of-Care Cryptococcal Antigen Test on Serum, Plasma, and Urine from Patients With HIV-Associated Cryptococcal Meningitis. Clin. Infect. Dis. 2011, 53, 1019–1023. [Google Scholar] [CrossRef] [PubMed]
- Pollock, N.R.; Jacobs, J.R.; Tran, K.; Cranston, A.E.; Smith, S.; O’Kane, C.Y.; Roady, T.J.; Moran, A.; Scarry, A.; Carroll, M.; et al. Performance and Implementation Evaluation of the Abbott BinaxNOW Rapid Antigen Test in a High-Throughput Drive-Through Community Testing Site in Massachusetts. J. Clin. Microbiol. 2021, 59, e00083-21. [Google Scholar] [CrossRef] [PubMed]
- CoVariants: 22C (Omicron). Available online: https://covariants.org/variants/22C.Omicron (accessed on 8 June 2022).
- CoVariants: 21L (Omicron). Available online: https://covariants.org/variants/21L.Omicron (accessed on 8 June 2022).
- CoVariants: 22A (Omicron). Available online: https://covariants.org/variants/22A.Omicron (accessed on 28 July 2022).
- BINAXNOW COVID-19 AG CARD (PN 195-000)—INSTRUCTIONS FOR USE. Available online: https://www.fda.gov/media/141570/download (accessed on 6 April 2022).
- Quidel. Technical Bulletin Sofia® SARS Antigen FIA, Sofia 2 Flu + SARS Antigen FIA, and QuickVue® SARS Antigen Test Detection of SARS-CoV-2 and SARS-CoV. Available online: https://www.quidel.com/sites/default/files/product/documents/TB10181000EN00.pdf (accessed on 7 April 2022).
- Chen, H.; Cui, Y.; Han, X.; Hu, W.; Sun, M.; Zhang, Y.; Wang, P.-H.; Song, G.; Chen, W.; Lou, J. Liquid–liquid phase separation by SARS-CoV-2 nucleocapsid protein and RNA. Cell Res. 2020, 30, 1143–1145. [Google Scholar] [CrossRef]
- Marusich, M.F. Efficient hybridoma production using previously frozen splenocytes. J. Immunol. Methods 1988, 114, 155–159. [Google Scholar] [CrossRef] [PubMed]
- Centers for Disease Control and Prevention (CDC). CDC’s Influenza SARS-CoV-2 Multiplex Assay and Required Supplies. Available online: https://www.cdc.gov/coronavirus/2019-ncov/lab/multiplex.html (accessed on 22 August 2022).
- Hartley, P.D.; Tillett, R.L.; AuCoin, D.P.; Sevinsky, J.R.; Xu, Y.; Gorzalski, A.; Pandori, M.; Buttery, E.; Hansen, H.; Picker, M.A.; et al. Genomic surveillance of Nevada patients revealed prevalence of unique SARS-CoV-2 variants bearing mutations in the RdRp gene. J. Genet. Genom. 2021, 48, 40–51. [Google Scholar] [CrossRef] [PubMed]
- Tillett, R.L.; Sevinsky, J.R.; Hartley, P.D.; Kerwin, H.; Crawford, N.; Gorzalski, A.; Laverdure, C.; Verma, S.C.; Rossetto, C.C.; Jackson, D.; et al. Genomic evidence for reinfection with SARS-CoV-2: A case study. Lancet Infect. Dis. 2021, 21, 52–58. [Google Scholar] [CrossRef]
- Gorzalski, A.J.; Tian, H.; Laverdure, C.; Morzunov, S.; Verma, S.C.; VanHooser, S.; Pandori, M.W. High-Throughput Transcription-mediated amplification on the Hologic Panther is a highly sensitive method of detection for SARS-CoV-2. J. Clin. Virol. 2020, 129, 104501. [Google Scholar] [CrossRef]
- Aksamentov, I.; Roemer, C.; Hodcroft, E.B.; Neher, R.A. Nextclade: Clade assignment, mutation calling and quality control for viral genomes. J. Open Source Softw. 2021, 6, 3773. [Google Scholar] [CrossRef]
- Hardick, J.; Gallagher, N.; Sachithanandham, J.; Fall, A.; Siddiqui, Z.; Pekosz, A.; Manabe, Y.C.; Mostafa, H.H. Evaluation of Four Point of Care (POC) Antigen Assays for the Detection of the SARS-CoV-2 Variant Omicron. Microbiol. Spectr. 2022, 10, e01025-22. [Google Scholar] [CrossRef] [PubMed]
- Osterman, A.; Badell, I.; Basara, E.; Stern, M.; Kriesel, F.; Eletreby, M.; Öztan, G.N.; Huber, M.; Autenrieth, H.; Knabe, R.; et al. Impaired Detection of Omicron by SARS-CoV-2 Rapid Antigen Tests. Med. Microbiol. Immunol. 2022, 211, 105–117. [Google Scholar] [CrossRef] [PubMed]





Publisher’s Note: MDPI stays neutral with regard to jurisdictional claims in published maps and institutional affiliations. |
© 2022 by the authors. Licensee MDPI, Basel, Switzerland. This article is an open access article distributed under the terms and conditions of the Creative Commons Attribution (CC BY) license (https://creativecommons.org/licenses/by/4.0/).
Share and Cite
Hill, H.J.; Uppal, T.; Hau, D.; Pandit, S.G.; Arias-Umana, J.; Foster, A.J.; Gorzalski, A.; Pflughoeft, K.J.; Burnham-Marusich, A.R.; Reed, D.E.; et al. Comparison of a Prototype SARS-CoV-2 Lateral Flow IMMUNOASSAY with the BinaxNOWTM COVID-19 Antigen CARD. Viruses 2022, 14, 2609. https://doi.org/10.3390/v14122609
Hill HJ, Uppal T, Hau D, Pandit SG, Arias-Umana J, Foster AJ, Gorzalski A, Pflughoeft KJ, Burnham-Marusich AR, Reed DE, et al. Comparison of a Prototype SARS-CoV-2 Lateral Flow IMMUNOASSAY with the BinaxNOWTM COVID-19 Antigen CARD. Viruses. 2022; 14(12):2609. https://doi.org/10.3390/v14122609
Chicago/Turabian StyleHill, Haydon J., Timsy Uppal, Derrick Hau, Sujata G. Pandit, Jose Arias-Umana, Abigail J. Foster, Andrew Gorzalski, Kathryn J. Pflughoeft, Amanda R. Burnham-Marusich, Dana E. Reed, and et al. 2022. "Comparison of a Prototype SARS-CoV-2 Lateral Flow IMMUNOASSAY with the BinaxNOWTM COVID-19 Antigen CARD" Viruses 14, no. 12: 2609. https://doi.org/10.3390/v14122609
APA StyleHill, H. J., Uppal, T., Hau, D., Pandit, S. G., Arias-Umana, J., Foster, A. J., Gorzalski, A., Pflughoeft, K. J., Burnham-Marusich, A. R., Reed, D. E., Gates-Hollingsworth, M. A., Gumbleton, L., Verma, S. C., & AuCoin, D. P. (2022). Comparison of a Prototype SARS-CoV-2 Lateral Flow IMMUNOASSAY with the BinaxNOWTM COVID-19 Antigen CARD. Viruses, 14(12), 2609. https://doi.org/10.3390/v14122609

