Rapid and Visual Detection of Type 2 Porcine Reproductive and Respiratory Syndrome Virus by Real-Time Fluorescence-Based Reverse Transcription Recombinase-Aided Amplification
Abstract
1. Introduction
2. Materials and Methods
2.1. Virus and Clinical Samples
2.2. Nucleic Acid Extraction
2.3. Primer Screening and Probe Design
2.4. RF-RT-RAA Assay Establishment
2.5. Specificity Test
2.6. Standard Plasmid Construction
2.7. RF-RT-RAA and RT-PCR Sensitivity Tests
2.8. Repeatability and Reproducibility Tests
2.9. Clinical Sample Detection
3. Results
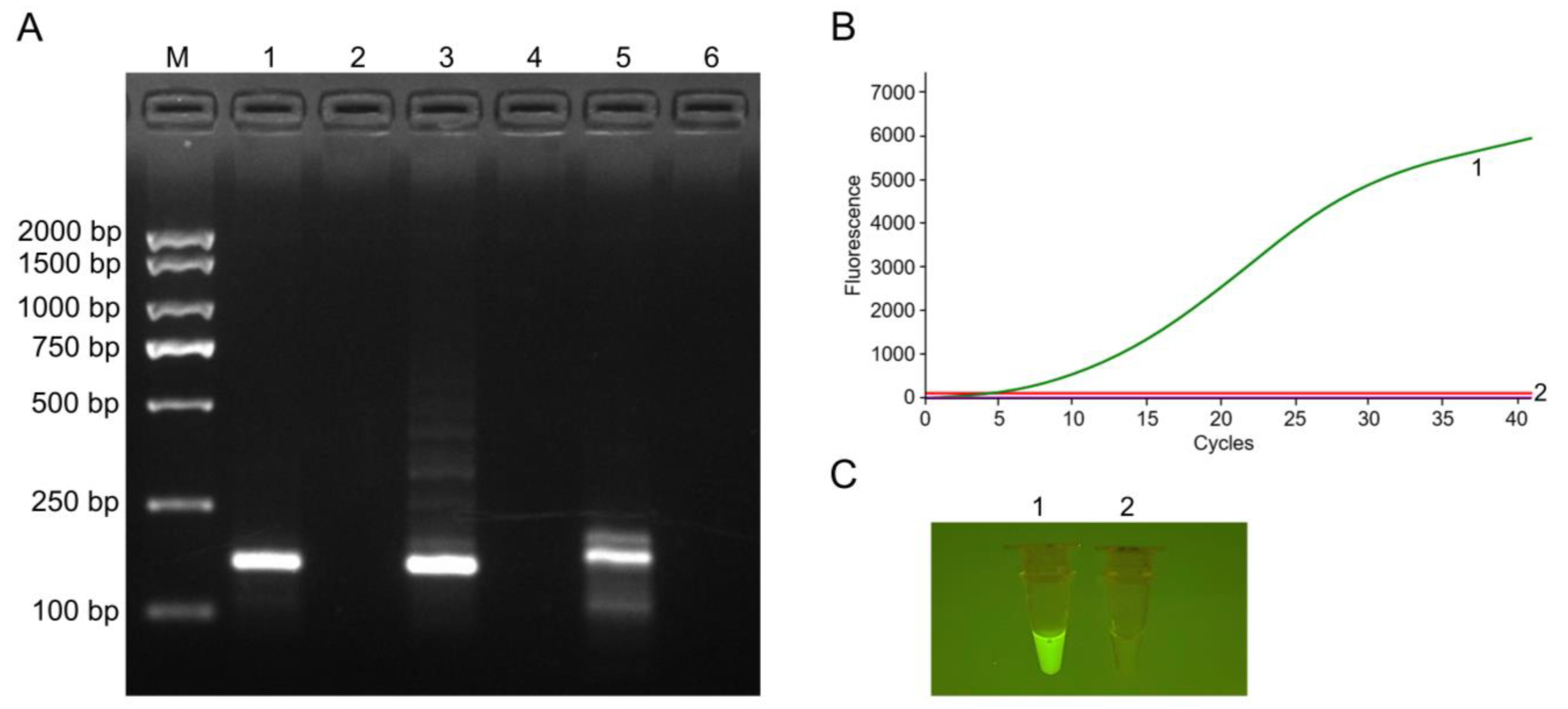
3.1. Primers Screening and RF-RT-RAA Assay Establishment
3.2. Specificity Test
3.3. Comparison of the Sensitivity of RF-RT-RAA and RT-PCR
3.4. Repeatability and Reproducibility Tests
3.5. Clinical Sample Detection
4. Discussion
5. Conclusions
Supplementary Materials
Author Contributions
Funding
Institutional Review Board Statement
Informed Consent Statement
Data Availability Statement
Conflicts of Interest
References
- Kappes, M.A.; Faaberg, K.S. PRRSV structure, replication and recombination: Origin of phenotype and genotype diversity. Virology 2015, 479–480, 475–486. [Google Scholar] [CrossRef] [PubMed]
- Lunney, J.K.; Benfield, D.A.; Rowland, R.R. Porcine reproductive and respiratory syndrome virus: An update on an emerging and re-emerging viral disease of swine. Virus Res. 2010, 154, 1–6. [Google Scholar] [CrossRef]
- Wensvoort, G.; Terpstra, C.; Pol, J.M.; Ter Laak, E.A.; Bloemraad, M.; de Kluyver, E.P.; Kragten, C.; van Buiten, L.; den Besten, A.; Wagenaar, F.; et al. Mystery swine disease in The Netherlands: The isolation of Lelystad virus. Vet. Q. 1991, 13, 121–130. [Google Scholar] [CrossRef] [PubMed]
- Nelsen, C.J.; Murtaugh, M.P.; Faaberg, K.S. Porcine reproductive and respiratory syndrome virus comparison: Divergent evolution on two continents. J. Virol. 1999, 73, 270–280. [Google Scholar] [CrossRef] [PubMed]
- Jiang, Y.; Li, G.; Yu, L.; Li, L.; Zhang, Y.; Zhou, Y.; Tong, W.; Liu, C.; Gao, F.; Tong, G. Genetic Diversity of Porcine Reproductive and Respiratory Syndrome Virus (PRRSV) From 1996 to 2017 in China. Front. Microbiol. 2020, 11, 618. [Google Scholar] [CrossRef]
- Tian, K. NADC30-Like Porcine Reproductive and Respiratory Syndrome in China. Open Virol. J. 2017, 11, 59–65. [Google Scholar] [CrossRef]
- Zhang, H.L.; Zhang, W.L.; Xiang, L.R.; Leng, C.L.; Tian, Z.J.; Tang, Y.D.; Cai, X.H. Emergence of novel porcine reproductive and respiratory syndrome viruses (ORF5 RFLP 1-7-4 viruses) in China. Vet. Microbiol. 2018, 222, 105–108. [Google Scholar] [CrossRef]
- Xu, H.; Song, S.; Zhao, J.; Leng, C.; Fu, J.; Li, C.; Tang, Y.D.; Xiang, L.; Peng, J.; Wang, Q.; et al. A potential endemic strain in China: NADC34-like porcine reproductive and respiratory syndrome virus. Transbound. Emerg. Dis. 2020, 67, 1730–1738. [Google Scholar] [CrossRef]
- Xia, W.; Wu, Z.; Guo, C.; Zhu, S.; Zhang, X.; Xia, X.; Sun, H. Recombinant adenovirus-delivered soluble CD163 and sialoadhesin receptors protected pigs from porcine reproductive and respiratory syndrome virus infection. Vet. Microbiol. 2018, 219, 1–7. [Google Scholar] [CrossRef]
- Xiao, Y.H.; Wang, T.T.; Zhao, Q.; Wang, C.B.; Lv, J.H.; Nie, L.; Gao, J.M.; Ma, X.C.; Hsu, W.H.; Zhou, E.M. Development of indirect ELISAs for differential serodiagnosis of classical and highly pathogenic porcine reproductive and respiratory syndrome virus. Transbound. Emerg. Dis. 2014, 61, 341–349. [Google Scholar] [CrossRef]
- Peng, Z.; Zhao, T.; Liang, W.; Song, W.; Gao, Z.; Tang, X.; Chen, H.; Wu, B. RT-PCR detection of porcine reproductive and respiratory syndrome virus based on the ORF5 gene in mainland China, 2012–2015. Acta Virol. 2017, 61, 336–340. [Google Scholar] [CrossRef] [PubMed]
- Xiao, S.; Chen, Y.; Wang, L.; Gao, J.; Mo, D.; He, Z.; Liu, X. Simultaneous detection and differentiation of highly virulent and classical Chinese-type isolation of PRRSV by real-time RT-PCR. J. Immunol. Res. 2014, 2014, 809656. [Google Scholar] [CrossRef] [PubMed]
- Zhang, H.L.; Tang, Y.D.; Liu, C.X.; Xiang, L.R.; Zhang, W.L.; Leng, C.L.; Wang, Q.; An, T.Q.; Peng, J.M.; Tian, Z.J.; et al. Adaptions of field PRRSVs in Marc-145 cells were determined by variations in the minor envelope proteins GP2a-GP3. Vet. Microbiol. 2018, 222, 46–54. [Google Scholar] [CrossRef] [PubMed]
- Zhang, L.; Liu, Y.B.; Chen, L.; Wang, J.H.; Ning, Y.B. Rapid and sensitive detection of PRRSV by a reverse transcription-loop-mediated isothermal amplification assay. Virol. Sin. 2011, 26, 252–259. [Google Scholar] [CrossRef]
- Wang, W.; Wang, C.; Zhang, Z.; Zhang, P.; Zhai, X.; Li, X.; Zhang, T. Recombinase-aided amplification-lateral flow dipstick assay-a specific and sensitive method for visual detection of avian infectious laryngotracheitis virus. Poult. Sci. 2021, 100, 100895. [Google Scholar] [CrossRef]
- Xia, W.; Chen, K.; Liu, W.; Yin, Y.; Yao, Q.; Ban, Y.; Pu, Y.; Zhan, X.; Bian, H.; Yu, S.; et al. Rapid and visual detection of Mycoplasma synoviae by recombinase-aided amplification assay combined with a lateral flow dipstick. Poult. Sci. 2022, 101, 101860. [Google Scholar] [CrossRef]
- Fan, X.; Li, L.; Zhao, Y.; Liu, Y.; Liu, C.; Wang, Q.; Dong, Y.; Wang, S.; Chi, T.; Song, F.; et al. Clinical Validation of Two Recombinase-Based Isothermal Amplification Assays (RPA/RAA) for the Rapid Detection of African Swine Fever Virus. Front. Microbiol. 2020, 11, 1696. [Google Scholar] [CrossRef]
- Li, X.; Wang, C.; Zhang, Z.; Wang, C.; Wang, W.; Zhao, Z.; Li, J.; Shang, Z.; Lv, J.; Zhang, T. Fast detection of duck circovirus by real-time fluorescence-based recombinase-aided amplification. Poult. Sci. 2022, 101, 101707. [Google Scholar] [CrossRef]
- Wu, T.; Ge, Y.; Zhao, K.; Zhu, X.; Chen, Y.; Wu, B.; Zhu, F.; Zhu, B.; Cui, L. A reverse-transcription recombinase-aided amplification assay for the rapid detection of N gene of severe acute respiratory syndrome coronavirus 2(SARS-CoV-2). Virology 2020, 549, 1–4. [Google Scholar] [CrossRef]
- Wu, X.; Liu, Y.; Gao, L.; Yan, Z.; Zhao, Q.; Chen, F.; Xie, Q.; Zhang, X. Development and Application of a Reverse-Transcription Recombinase-Aided Amplification Assay for Porcine Epidemic Diarrhea Virus. Viruses 2022, 14, 591. [Google Scholar] [CrossRef]
- Tu, F.; Yang, X.; Xu, S.; Chen, D.; Zhou, L.; Ge, X.; Han, J.; Zhang, Y.; Guo, X.; Yang, H. Development of a fluorescent probe-based real-time reverse transcription recombinase-aided amplification assay for the rapid detection of classical swine fever virus. Transbound. Emerg. Dis. 2021, 68, 2017–2027. [Google Scholar] [CrossRef] [PubMed]
- Ruedas-Torres, I.; Rodriguez-Gomez, I.M.; Sanchez-Carvajal, J.M.; Larenas-Munoz, F.; Pallares, F.J.; Carrasco, L.; Gomez-Laguna, J. The jigsaw of PRRSV virulence. Vet. Microbiol. 2021, 260, 109168. [Google Scholar] [CrossRef] [PubMed]
- Gao, M.; Cui, J.; Ren, Y.; Suo, S.; Li, G.; Sun, X.; Su, D.; Opriessnig, T.; Ren, X. Development and evaluation of a novel reverse transcription loop-mediated isothermal amplification (RT-LAMP) assay for detection of type II porcine reproductive and respiratory syndrome virus. J. Virol. Methods 2012, 185, 18–23. [Google Scholar] [CrossRef] [PubMed]
- Wang, J.C.; Yuan, W.Z.; Han, Q.A.; Wang, J.F.; Liu, L.B. Reverse transcription recombinase polymerase amplification assay for the rapid detection of type 2 porcine reproductive and respiratory syndrome virus. J. Virol. Methods 2017, 243, 55–60. [Google Scholar] [CrossRef]
- Tian, X.X.; Wang, T.; Cui, X.Y.; Huang, X.Y.; Sun, Y.; Xia, D.S.; Yang, Y.B.; Cai, X.H.; An, T.Q. Rapid visual detection of porcine reproductive and respiratory syndrome virus via recombinase polymerase amplification combined with a lateral flow dipstick. Arch. Virol. 2022, 167, 493–499. [Google Scholar] [CrossRef]
- Chen, W.; Fan, J.; Li, Z.; Zhang, Y.; Qin, Y.; Wu, K.; Li, X.; Li, Y.; Fan, S.; Zhao, M. Development of Recombinase Aided Amplification Combined With Disposable Nucleic Acid Test Strip for Rapid Detection of Porcine Circovirus Type 2. Front. Vet. Sci. 2021, 8, 676294. [Google Scholar] [CrossRef]
- Wang, W.; Wang, C.; Zhang, Z.; Zhang, P.; Yao, S.; Liu, J.; Zhai, X.; Zhang, T. Research Note: Rapid detection of avian infectious laryngotracheitis virus with real-time fluorescence-based recombinase-aided amplification. Poult. Sci. 2020, 99, 4809–4813. [Google Scholar] [CrossRef]
- Qiu, W.; Meng, K.; Liu, Y.; Zhang, Y.; Wang, Z.; Chen, Z.; Yang, J.; Sun, W.; Guo, L.; Ren, S.; et al. Simultaneous detection of classical PRRSV, highly pathogenic PRRSV and NADC30-like PRRSV by TaqMan probe real-time PCR. J. Virol. Methods 2019, 282, 113774. [Google Scholar] [CrossRef]




| Primer/ Probe | Sequence (5′-3′) | Position | Product Size (bp) |
|---|---|---|---|
| ORF6 F1 | CGCAAGTACATTCTGGCCCCTGCCCACCAC | 316–345 | 161 |
| ORF6 R1 | CTGCCACCCAACACGAGGCCATTCAACCCG | 447–476 | |
| ORF6 F2 | GCCGCAAGTACATTCTGGCCCCTGCCCACCA | 314–344 | 165 |
| ORF6 R2 | TTCTGCCACCCAACACGAGGCCATTCAACC | 449–478 | |
| ORF6 F3 | TTGTGCTTGCTAGGCCGCAAGTACATTCTG | 301–330 | 174 |
| ORF6 R3 | GCCACCCAACACGAGGCCATTCAACCCGGG | 445–474 | |
| Probe | CGATTGCGGCAAATGATAACCACGCATTTG /i6FAMdT//THF/G/iBHQ1dT/CCGGCGTCCCGGCT (C3-Spacer) | 371–418 |
| Templates (Copies/μL) | Repeatability | Reproducibility | ||
|---|---|---|---|---|
| Ct (Mean ± SD) | CV | Ct (Mean ± SD) | CV | |
| 103 | 4.43 ± 0.25 | 5.64% | 4.30 ± 0.26 | 6.05% |
| 102 | 5.73 ± 0.21 | 3.66% | 5.67 ± 0.31 | 5.47% |
| 101 | 8.13 ± 0.45 | 5.54% | 7.83 ± 0.51 | 6.51% |
| Methods | RT-qPCR | Coincidence Rate | |||
|---|---|---|---|---|---|
| Positive | Negative | Total | |||
| RF-RT-RAA (real-time fluorescence read-out) | Positive | 46 | 0 | 46 | 100% |
| Negative | 0 | 41 | 41 | ||
| Total | 46 | 41 | 87 | ||
| RF-RT-RAA (visually observed) | Positive | 44 | 0 | 44 | 97.7% |
| Negative | 2 | 41 | 43 | ||
| Total | 46 | 41 | 87 | ||
Publisher’s Note: MDPI stays neutral with regard to jurisdictional claims in published maps and institutional affiliations. |
© 2022 by the authors. Licensee MDPI, Basel, Switzerland. This article is an open access article distributed under the terms and conditions of the Creative Commons Attribution (CC BY) license (https://creativecommons.org/licenses/by/4.0/).
Share and Cite
Xia, W.; Chen, Y.; Ding, X.; Liu, X.; Lu, H.; Guo, C.; Zhang, H.; Wu, Z.; Huang, J.; Fan, Z.; et al. Rapid and Visual Detection of Type 2 Porcine Reproductive and Respiratory Syndrome Virus by Real-Time Fluorescence-Based Reverse Transcription Recombinase-Aided Amplification. Viruses 2022, 14, 2526. https://doi.org/10.3390/v14112526
Xia W, Chen Y, Ding X, Liu X, Lu H, Guo C, Zhang H, Wu Z, Huang J, Fan Z, et al. Rapid and Visual Detection of Type 2 Porcine Reproductive and Respiratory Syndrome Virus by Real-Time Fluorescence-Based Reverse Transcription Recombinase-Aided Amplification. Viruses. 2022; 14(11):2526. https://doi.org/10.3390/v14112526
Chicago/Turabian StyleXia, Wenlong, Yao Chen, Xue Ding, Xiaoming Liu, Huipeng Lu, Changming Guo, Hua Zhang, Zhijun Wu, Jing Huang, Zhongjun Fan, and et al. 2022. "Rapid and Visual Detection of Type 2 Porcine Reproductive and Respiratory Syndrome Virus by Real-Time Fluorescence-Based Reverse Transcription Recombinase-Aided Amplification" Viruses 14, no. 11: 2526. https://doi.org/10.3390/v14112526
APA StyleXia, W., Chen, Y., Ding, X., Liu, X., Lu, H., Guo, C., Zhang, H., Wu, Z., Huang, J., Fan, Z., Yu, S., Sun, H., Zhu, S., & Wu, Z. (2022). Rapid and Visual Detection of Type 2 Porcine Reproductive and Respiratory Syndrome Virus by Real-Time Fluorescence-Based Reverse Transcription Recombinase-Aided Amplification. Viruses, 14(11), 2526. https://doi.org/10.3390/v14112526

