Tissue Distribution of Parrot Bornavirus 4 (PaBV-4) in Experimentally Infected Young and Adult Cockatiels (Nymphicus hollandicus)
Abstract
1. Introduction
2. Materials and Methods
3. Results
3.1. Clinical Symptoms (Published in Gartner et al., 2021)
3.2. Necropsy (Published in Gartner et al., 2021)
3.3. RT-PCR (Published in Gartner et al., 2021)
3.4. Serology (Published in Gartner et al., 2021)
3.5. Virus Isolation (Published in Gartner et al., 2021)
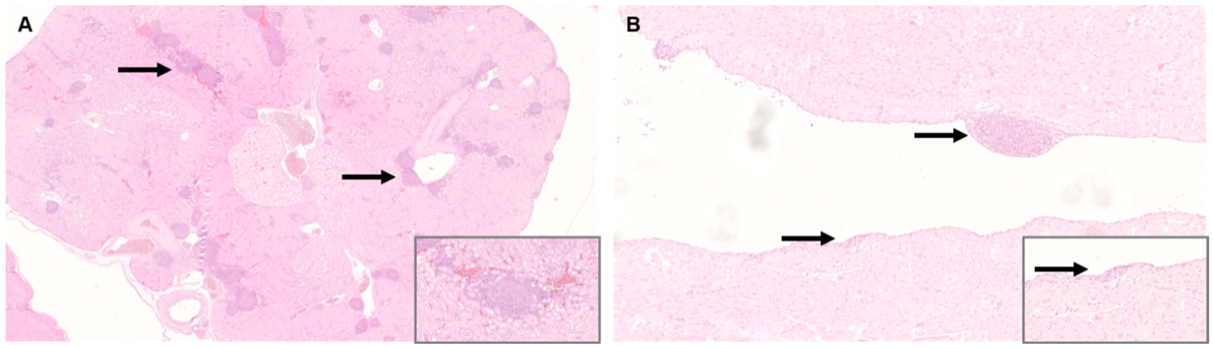
3.6. Histology
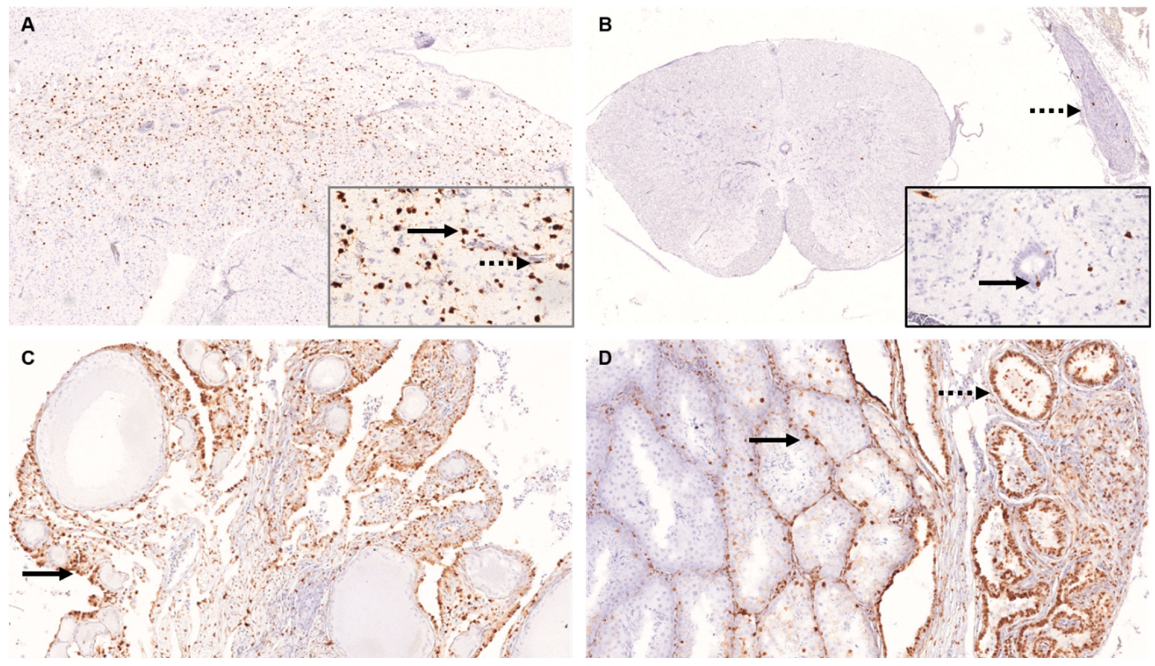
3.7. Immunohistochemistry for the Detection of PaBV 4 Phosphoprotein
3.8. In Situ Hybridisation for the Detection of Viral RNA
4. Discussion
5. Conclusions
Supplementary Materials
Author Contributions
Funding
Institutional Review Board Statement
Data Availability Statement
Conflicts of Interest
References
- Rubbenstroth, D.; Briese, T.; Dürrwald, R.; Horie, M.; Hyndman, T.H.; Kuhn, J.H.; Nowotny, N.; Payne, S.; Stenglein, M.D.; Tomonaga, K.; et al. ICTV Virus Taxonomy Profile: Bornaviridae. J. Gen. Virol. 2021, 102. [Google Scholar] [CrossRef] [PubMed]
- Postler, T.; Briese, T.; Dürrwald, R.; Horie, M.; Hyndman, T.; Nowotny, N.; Pfaff, F.; Rubbenstroth, D.; Tomonaga, K.; Kuhn, J. Rename All Species in the Family to Comply the ICTV-Mandated Binomial Format (Mononegavirales: Bornaviridae). Available online: https://ictv.global/ictv/proposals/2021.010M.R.Bornaviridae_sprename.zip (accessed on 25 September 2022).
- Walker, P.J.; Siddell, S.G.; Lefkowitz, E.J.; Mushegian, A.R.; Adriaenssens, E.M.; Alfenas-Zerbini, P.; Davison, A.J.; Dempsey, D.M.; Dutilh, B.E.; García, M.L.; et al. Changes to Virus Taxonomy and to the International Code of Virus Classification and Nomenclature Ratified by the International Committee on Taxonomy of Viruses (2021). Arch. Virol. 2021, 166, 2633–2648. [Google Scholar] [CrossRef] [PubMed]
- Rubbenstroth, D. Avian Bornavirus Research—A Comprehensive Review. Viruses 2022, 14, 1513. [Google Scholar] [CrossRef]
- Honkavuori, K.S.; Shivaprasad, H.L.; Williams, B.L.; Quan, P.L.; Hornig, M.; Street, C.; Palacios, G.; Hutchison, S.K.; Franca, M.; Egholm, M.; et al. Novel Borna Virus in Psittacine Birds with Proventricular Dilatation Disease. Emerg. Infect. Dis. 2008, 14, 1883–1886. [Google Scholar] [CrossRef] [PubMed]
- Kistler, A.L.; Gancz, A.; Clubb, S.; Skewes-Cox, P.; Fischer, K.; Sorber, K.; Chiu, C.Y.; Lublin, A.; Mechani, S.; Farnoushi, Y.; et al. Recovery of Divergent Avian Bornaviruses from Cases of Proventricular Dilatation Disease: Identification of a Candidate Etiologic Agent. Virol. J. 2008, 5, 88. [Google Scholar] [CrossRef]
- Tizard, I.; Shivaprasad, H.L.; Guo, J.; Hameed, S.; Ball, J.; Payne, S. The Pathogenesis of Proventricular Dilatation Disease. Anim. Health Res. Rev. 2016, 17, 110–126. [Google Scholar] [CrossRef] [PubMed]
- Hoppes, S.M.; Shivaprasad, H.L. Update on Avian Bornavirus and Proventricular Dilatation Disease: Diagnostics, Pathology, Prevalence, and Control. Vet. Clin. North. Am. Exot Anim. Pract 2020, 23, 337–351. [Google Scholar] [CrossRef]
- Kuhn, J.H.; Adkins, S.; Alioto, D.; Alkhovsky, S.V.; Amarasinghe, G.K.; Anthony, S.J.; Avšič-Županc, T.; Ayllón, M.A.; Bahl, J.; Balkema-Buschmann, A.; et al. 2020 Taxonomic Update for Phylum Negarnaviricota (Riboviria: Orthornavirae), Including the Large Orders Bunyavirales and Mononegavirales. Arch. Virol. 2020, 165, 3023–3072. [Google Scholar] [CrossRef]
- Shi, M.; Lin, X.-D.; Chen, X.; Tian, J.-H.; Chen, L.-J.; Li, K.; Wang, W.; Eden, J.-S.; Shen, J.-J.; Liu, L.; et al. The Evolutionary History of Vertebrate RNA Viruses. Nature 2018, 556, 197–202. [Google Scholar] [CrossRef]
- Amarasinghe, G.K.; Ayllón, M.A.; Bào, Y.; Basler, C.F.; Bavari, S.; Blasdell, K.R.; Briese, T.; Brown, P.A.; Bukreyev, A.; Balkema-Buschmann, A.; et al. Taxonomy of the Order Mononegavirales: Update 2019. Arch. Virol. 2019, 164, 1967–1980. [Google Scholar] [CrossRef]
- Cadar, D.; Allendorf, V.; Schulze, V.; Ulrich, R.G.; Schlottau, K.; Ebinger, A.; Hoffmann, B.; Hoffmann, D.; Rubbenstroth, D.; Ismer, G.; et al. Introduction and Spread of Variegated Squirrel Bornavirus 1 (VSBV-1) between Exotic Squirrels and Spill-over Infections to Humans in Germany. Emerg. Microbes Infect. 2021, 10, 602–611. [Google Scholar] [CrossRef]
- Schulze, V.; Lurz, P.W.W.; Ferrari, N.; Romeo, C.; Steele, M.A.; Marino, S.; Mazzamuto, M.V.; Calvignac-Spencer, S.; Schlottau, K.; Beer, M.; et al. Search for Polyoma-, Herpes-, and Bornaviruses in Squirrels of the Family Sciuridae. Virol. J. 2020, 17, 42. [Google Scholar] [CrossRef]
- Hoffmann, B.; Tappe, D.; Höper, D.; Herden, C.; Boldt, A.; Mawrin, C.; Niederstrasser, O.; Muller, T.; Jenckel, M.; van der Grinten, E.; et al. A Variegated Squirrel Bornavirus Associated with Fatal Human Encephalitis. N. Engl. J. Med. 2015, 373, 154–162. [Google Scholar] [CrossRef]
- Schlottau, K.; Forth, L.; Angstwurm, K.; Hoper, D.; Zecher, D.; Liesche, F.; Hoffmann, B.; Kegel, V.; Seehofer, D.; Platen, S.; et al. Fatal Encephalitic Borna Disease Virus 1 in Solid-Organ Transplant Recipients. N. Engl. J. Med. 2018, 379, 1377–1379. [Google Scholar] [CrossRef] [PubMed]
- Korn, K.; Coras, R.; Bobinger, T.; Herzog, S.M.; Lücking, H.; Stöhr, R.; Huttner, H.B.; Hartmann, A.; Ensser, A. Fatal Encephalitis Associated with Borna Disease Virus 1. N. Engl. J. Med. 2018, 379, 1375–1377. [Google Scholar] [CrossRef] [PubMed]
- Tappe, D.; Pörtner, K.; Frank, C.; Wilking, H.; Ebinger, A.; Herden, C.; Schulze, C.; Muntau, B.; Eggert, P.; Allartz, P.; et al. Investigation of Fatal Human Borna Disease Virus 1 Encephalitis Outside the Previously Known Area for Human Cases, Brandenburg, Germany - a Case Report. BMC Infect. Dis 2021, 21, 787. [Google Scholar] [CrossRef]
- Niller, H.H.; Angstwurm, K.; Rubbenstroth, D.; Schlottau, K.; Ebinger, A.; Giese, S.; Wunderlich, S.; Banas, B.; Forth, L.F.; Hoffmann, D.; et al. Zoonotic Spillover Infections with Borna Disease Virus 1 Leading to Fatal Human Encephalitis, 1999–2019: An Epidemiological Investigation. Lancet Infect. Dis. 2020, 20, 467–477. [Google Scholar] [CrossRef]
- Coras, R.; Korn, K.; Kuerten, S.; Huttner, H.B.; Ensser, A. Severe Bornavirus-Encephalitis Presenting as Guillain-Barré-Syndrome. Acta Neuropathol. 2019, 137, 1017–1019. [Google Scholar] [CrossRef]
- Liesche, F.; Ruf, V.; Zoubaa, S.; Kaletka, G.; Rosati, M.; Rubbenstroth, D.; Herden, C.; Goehring, L.; Wunderlich, S.; Wachter, M.F.; et al. The Neuropathology of Fatal Encephalomyelitis in Human Borna Virus Infection. Acta Neuropathol. 2019, 138, 653–665. [Google Scholar] [CrossRef]
- Eisermann, P.; Rubbenstroth, D.; Cadar, D.; Thomé-Bolduan, C.; Eggert, P.; Schlaphof, A.; Leypoldt, F.; Stangel, M.; Fortwängler, T.; Hoffmann, F.; et al. Active Case Finding of Current Bornavirus Infections in Human Encephalitis Cases of Unknown Etiology, Germany, 2018–2020. Emerg. Infect. Dis. J. 2021, 27, 1371. [Google Scholar] [CrossRef]
- Bourg, M.; Herzog, S.; Encarnação, J.A.; Nobach, D.; Lange-Herbst, H.; Eickmann, M.; Herden, C. Bicolored White-Toothed Shrews as Reservoir for Borna Disease Virus, Bavaria, Germany. Emerg. Infect. Dis. 2013, 19, 2064–2066. [Google Scholar] [CrossRef] [PubMed]
- Puorger, M.E.; Hilbe, M.; Müller, J.P.; Kolodziejek, J.; Nowotny, N.; Zlinszky, K.; Ehrensperger, F. Distribution of Borna Disease Virus Antigen and RNA in Tissues of Naturally Infected Bicolored White-Toothed Shrews, Crocidura Leucodon, Supporting Their Role as Reservoir Host Species. Vet. Pathol. 2010, 47, 236–244. [Google Scholar] [CrossRef] [PubMed]
- Hilbe, M.; Herrsche, R.; Kolodziejek, J.; Nowotny, N.; Zlinszky, K.; Ehrensperger, F. Shrews as Reservoir Hosts of Borna Disease Virus. Emerg. Infect. Dis. 2006, 12, 675–677. [Google Scholar] [CrossRef] [PubMed]
- Tappe, D.; Schlottau, K.; Cadar, D.; Hoffmann, B.; Balke, L.; Bewig, B.; Hoffmann, D.; Eisermann, P.; Fickenscher, H.; Krumbholz, A.; et al. Occupation-Associated Fatal Limbic Encephalitis Caused by Variegated Squirrel Bornavirus 1, Germany, 2013. Emerg. Infect. Dis. 2018, 24, 978–987. [Google Scholar] [CrossRef] [PubMed]
- Nobach, D.; Bourg, M.; Herzog, S.; Lange-Herbst, H.; Encarnação, J.A.; Eickmann, M.; Herden, C. Shedding of Infectious Borna Disease Virus-1 in Living Bicolored White-Toothed Shrews. PLoS ONE 2015, 10, e0137018. [Google Scholar] [CrossRef]
- Petzold, J.; van den Brand, J.M.A.; Nobach, D.; Hoffmann, B.; Hoffmann, D.; Fast, C.; Reusken, C.B.E.M.; van Run, P.R.W.A.; Schlottau, K.; Beer, M.; et al. Distribution of Zoonotic Variegated Squirrel Bornavirus 1 in Naturally Infected Variegated and Prevost’s Squirrels. Sci. Rep. 2019, 9, 11402. [Google Scholar] [CrossRef]
- Schlottau, K.; Jenckel, M.; van den Brand, J.; Fast, C.; Herden, C.; Höper, D.; Homeier-Bachmann, T.; Thielebein, J.; Mensing, N.; Diender, B.; et al. Variegated Squirrel Bornavirus 1 in Squirrels, Germany and the Netherlands. Emerg. Infect. Dis. 2017, 23, 477–481. [Google Scholar] [CrossRef]
- Herzog, S.; Kompter, C.; Frese, K.; Rott, R. Replication of Borna Disease Virus in Rats: Age-Dependent Differences in Tissue Distribution. Med. Microbiol. Immunol. 1984, 173, 171–177. [Google Scholar] [CrossRef]
- Hallensleben, W.; Schwemmle, M.; Hausmann, J.; Stitz, L.; Volk, B.; Pagenstecher, A.; Staeheli, P. Borna Disease Virus-Induced Neurological Disorder in Mice: Infection of Neonates Results in Immunopathology. J. Virol. 1998, 72, 4379–4386. [Google Scholar] [CrossRef]
- Tizard, I.; Ball, J.; Stoica, G.; Payne, S. The Pathogenesis of Bornaviral Diseases in Mammals. Anim. health Res. Rev. 2016, 17, 92–109. [Google Scholar] [CrossRef]
- Rott, R.; Herzog, S.; Richt, J.; Stitz, L. Immune-Mediated Pathogenesis of Borna Disease. Zent. Für Bakteriol. Mikrobiol. Und Hygiene. Ser. A Med. Microbiol. Infect. Dis. Virol. Parasitol. 1988, 270, 295–301. [Google Scholar] [CrossRef]
- Stitz, L.; Bilzer, T.; Planz, O. The Immunopathogenesis of Borna Disease Virus Infection. Front. Biosci. 2002, 7, 541–555. [Google Scholar] [CrossRef] [PubMed]
- Piepenbring, A.K.; Enderlein, D.; Herzog, S.; Kaleta, E.F.; Heffels-Redmann, U.; Ressmeyer, S.; Herden, C.; Lierz, M. Pathogenesis of Avian Bornavirus in Experimentally Infected Cockatiels. Emerg. Infect. Dis. 2012, 18, 234–241. [Google Scholar] [CrossRef]
- Berhane, Y.; Smith, D.A.; Newman, S.; Taylor, M.; Nagy, E.; Binnington, B.; Hunter, B. Peripheral Neuritis in Psittacine Birds with Proventricular Dilatation Disease. Avian Pathol. J. WVPA 2001, 30, 563–570. [Google Scholar] [CrossRef]
- Rubbenstroth, D.; Brosinski, K.; Rinder, M.; Olbert, M.; Kaspers, B.; Korbel, R.; Staeheli, P. No Contact Transmission of Avian Bornavirus in Experimentally Infected Cockatiels (Nymphicus Hollandicus) and Domestic Canaries (Serinus Canaria Forma Domestica). Vet. Microbiol. 2014, 172, 146–156. [Google Scholar] [CrossRef] [PubMed]
- Delnatte, P.; Mak, M.; Ojkic, D.; Raghav, R.; DeLay, J.; Smith, D.A. Detection of Avian Bornavirus in Multiple Tissues of Infected Psittacine Birds Using Real-Time Reverse Transcription Polymerase Chain Reaction. J. Vet. Diagn. Investig. Off. Publ. Am. Assoc. Vet. Lab. Diagn. Inc. 2014, 26, 266–271. [Google Scholar] [CrossRef]
- Rinder, M.; Ackermann, A.; Kempf, H.; Kaspers, B.; Korbel, R.; Staeheli, P. Broad Tissue and Cell Tropism of Avian Bornavirus in Parrots with Proventricular Dilatation Disease. J. Virol. 2009, 83, 5401–5407. [Google Scholar] [CrossRef]
- Leal de Araújo, J.; Rodrigues-Hoffmann, A.; Giaretta, P.R.; Guo, J.; Heatley, J.; Tizard, I.; Rech, R.R. Distribution of Viral Antigen and Inflammatory Lesions in the Central Nervous System of Cockatiels (Nymphicus Hollandicus) Experimentally Infected with Parrot Bornavirus 2. Vet. Pathol. 2019, 56, 106–117. [Google Scholar] [CrossRef]
- Piepenbring, A.K.; Enderlein, D.; Herzog, S.; Al-Ibadi, B.; Heffels-Redmann, U.; Heckmann, J.; Lange-Herbst, H.; Herden, C.; Lierz, M. Parrot Bornavirus (PaBV)-2 Isolate Causes Different Disease Patterns in Cockatiels than PaBV-4. Avian Pathol. J. WVPA 2016, 45, 156–168. [Google Scholar] [CrossRef]
- Heckmann, J.; Enderlein, D.; Gartner, A.M.; Bücking, B.; Herzog, S.; Heffels-Redmann, U.; Malberg, S.; Herden, C.; Lierz, M. Wounds as the Portal of Entrance for Parrot Bornavirus 4 (PaBV-4) and Retrograde Axonal Transport in Experimentally Infected Cockatiels (Nymphicus Hollandicus). Avian Dis. 2019, 64, 247–253. [Google Scholar] [CrossRef]
- Leal de Araújo, J.; Rech, R.R.; Heatley, J.J.; Guo, J.; Giaretta, P.R.; Tizard, I.; Rodrigues-Hoffmann, A. From Nerves to Brain to Gastrointestinal Tract: A Time-Based Study of Parrot Bornavirus 2 (PaBV-2) Pathogenesis in Cockatiels (Nymphicus Hollandicus). PLoS ONE 2017, 12, e0187797. [Google Scholar] [CrossRef] [PubMed]
- Gartner, A.M.; Link, J.; Bücking, B.; Enderlein, D.; Herzog, S.; Petzold, J.; Malberg, S.; Herden, C.; Lierz, M. Age-Dependent Development and Clinical Characteristics of an Experimental Parrot Bornavirus-4 (PaBV-4) Infection in Cockatiels (Nymphicus Hollandicus). Avian Pathology 2021, 50, 138–150. [Google Scholar] [CrossRef]
- Lierz, M.; Piepenbring, A.; Herden, C.; Oberhauser, K.; Heffels-Redmann, U.; Enderlein, D. Vertical Transmission of Avian Bornavirus in Psittacines. Emerg. Infect. Dis. 2011, 17, 2390–2391. [Google Scholar] [CrossRef] [PubMed]
- Kerski, A.; Arne, H.d.K.; Siwo, R. de Kloet Vertical Transmission of Avian Bornavirus in Psittaciformes: Avian Bornavirus RNA and Anti-Avian Bornavirus Antibodies in Eggs, Embryos, and Hatchlings Obtained from Infected Sun Conures (Aratinga Solstitialis). Avian Dis. 2012, 56, 471–478. [Google Scholar] [CrossRef]
- Wüst, E.; Malberg, S.; Petzold, J.; Enderlein, D.; Heffels-Redmann, U.; Herzog, S.; Herden, C.; Lierz, M. Experimental Infection of Embryonic Cells and Embryonated Eggs of Cockatiels (Nymphicus Hollandicus) with Two Parrot Bornavirus Isolates (PaBV-4 and PaBV-2). Viruses 2022, 14, 1984. [Google Scholar] [CrossRef]
- Rubbenstroth, D.; Rinder, M.; Stein, M.; Hoper, D.; Kaspers, B.; Brosinski, K.; Horie, M.; Schmidt, V.; Legler, M.; Korbel, R.; et al. Avian Bornaviruses Are Widely Distributed in Canary Birds (Serinus Canaria f. Domestica). Vet. Microbiol. 2013, 165, 287–295. [Google Scholar] [CrossRef] [PubMed]
- Monaco, E.; Hoppes, S.; Guo, J.; Tizard, I. The Detection of Avian Bornavirus within Psittacine Eggs. J. Avian Med. Surg. 2012, 26, 144–148. [Google Scholar] [CrossRef] [PubMed]
- Raghav, R.; Taylor, M.; Delay, J.; Ojkic, D.; Pearl, D.L.; Kistler, A.L.; Derisi, J.L.; Ganem, D.; Smith, D.A. Avian Bornavirus Is Present in Many Tissues of Psittacine Birds with Histopathologic Evidence of Proventricular Dilatation Disease. J. Vet. Diagn. Investig. Off. Publ. Am. Assoc. Vet. Lab. Diagn. Inc. 2010, 22, 495–508. [Google Scholar] [CrossRef]
- Al-Ibadi, B.I.H. Avian Borna Virus in Psittacine Birds : Viral Distribution, Tropism and Immune Response. Dissertation. Doctoral Dissertation, Justus Liebig University, Giessen, Germany, 2015. [Google Scholar]
- Herden, C.; Herzog, S.; Wehner, T.; Zink, C.; Richt, J.A.; Frese, K. Comparison of Different Methods of Diagnosing Borna Disease in Horses Post Mortem. Equine Infect. Dis. 1999, 286–290. [Google Scholar]
- Hameed, S.S.; Guo, J.; Tizard, I.; Shivaprasad, H.L.; Payne, S. Studies on Immunity and Immunopathogenesis of Parrot Bornaviral Disease in Cockatiels. Virology 2018, 515, 81–91. [Google Scholar] [CrossRef]






| Score | Overview in 40× Magnification in % | Overview in 400× Magnification, Mean of Cells in 5 HPFs 1 |
|---|---|---|
| − | 0 | 0 |
| + | 1–15 | 1–30 |
| ++ | 15–40 | 30–80 |
| +++ | 40–65 | 80–150 |
| ++++ | >65 | >150 |
| Tissue | Histopathology | ||||
|---|---|---|---|---|---|
| Infected as | Character of Lesions | ||||
| adults | juveniles | ||||
| Mean score | Affected animals | Mean score | Affected animals | ||
| Nervous System | |||||
| Brain | +(+) | 11/11 * | (+) | 5/11 | Non-purulent encephalitis, plexuschorioiditis; satellitosis, gliosis |
| Spinal cord | +(+) | 11/11 | + | 10/11 | Non-purulent (meningo)myelitis, ganglioneuritis; satellitosis, gliosis |
| N. ischiadicus | (+) | 4/6 | - | 2/8 | Non-purulent neuritis |
| Eye | + | 7/11 | + | 6/11 | Mixed conjunctivitis, uveitis, iridocyclitis, optic neuritis, lymphoid hyperplasia |
| Digestive System | |||||
| Crop | + | 9/11 | + | 8/11 | Non-purulent ganglionitis, neuritis; lymphoid hyperplasia |
| Proventriculus | (+) | 5/11 | +(+) | 8/11 | |
| Gizzard | + | 7/11 | + | 6/11 | |
| Intestine | + | 8/11 | +(+) | 8/11 | |
| Liver | + | 10/11 | + | 8/11 | Non-purulent periportal infiltration |
| Pancreas | (+) | 4/11 | + | 6/11 | Non-purulent infiltration/lymphoid hyperplasia |
| Respiratory System | |||||
| Trachea | - | 1/11 | - | 0/9 | Mixed tracheitis |
| Lung | (+) | 4/11 | + | 6/11 | Non-purulent infiltration/BALT-hyperplasia |
| Urogenital System | |||||
| Kidney | +(+) | 11/11 | ++(+) | 10/11 | Non-purulent interstitial nephritis/lymphoid hyperplasia, mononuclear pelvic infiltrates |
| Gonads | + | 7/11 | + | 6/10 | Non-purulent infiltration/lymphoid hyperplasia |
| Other Organs | |||||
| Adrenal Gland | ++ | 9/9 | + | 9/9 | Non-purulent adrenalitis/ganglioneuritis |
| Heart | + | 9/11 | + | 7/11 | Non-purulent ganglionitis |
| Spleen | +(+) | 9/11 | + | 4/11 | Follicular hyperplasia |
| Skeletal Muscle | - | 0/11 | (+) | 2/11 | Non-purulent perivascular interstitial infiltrates |
| Skin | + | 11/11 | + | 9/11 | Non-purulent dermatitis, lymphoid hyperplasia |
| Tissue | Immunohistochemistry | ||||
|---|---|---|---|---|---|
| Infected as | Labelled structures and cells | ||||
| adults | juveniles | ||||
| Mean Score | Affected animals | Mean Score | Affected animals | ||
| Nervous System | |||||
| Brain | ++ | 11/11 * | (+) | 11/11 | Neurons (incl. spinal ganglia), neuronal processes, glial cells, meninges, vessel walls, mononuclear cells |
| Spinal Cord | ++ | 11/11 | +(+) | 11/11 | |
| N. ischiadicus | + | 4/5 | + | 4/5 | Nerve fibres, endoneurium, vessel walls |
| Eye | + | 7/11 | + | 7/10 | Retinal cells, conjunctival epithelium, conjunctival glands, skin follicular cells, skin nerves, corneal epithelium, fibrocytes, vessel walls, iris, mononuclear cells, ganglion cells, and nerve fibres of N. opticus |
| Digestive System | |||||
| Crop | +(+) | 10/11 | + | 10/11 | Ganglion cells, nerve fibres, fibrocytes, epithelial cells, smooth muscle cells of lamina muscularis, vessel walls, mononuclear cells |
| Proventriculus | + | 7/10 | +(+) | 11/11 | |
| Gizzard | + | 5/8 | + | 10/11 | |
| Intestine | + | 10/11 | +(+) | 11/11 | |
| Liver | - | 0/11 | - | 0/11 | - |
| Pancreas | - | 1/11 | (+) | 6/11 | Leukocytes, reticular cells, ganglion cells, vessel walls |
| Respiratory System | |||||
| Trachea | - | 0/10 | (+) | 3/10 | Nerve fibres, vessel walls, smooth muscle cells, and fibrocytes of tracheal wall |
| Lung | (+) | 7/11 | + | 8/11 | Bronchial epithelial cells, smooth muscle cells and fibrocytes bronchiolar walls, respiratory macrophages, type 2 pneumocytes, vessel walls, nerve fibres, ganglion cells, mononuclear cells |
| Urogenital System | |||||
| Kidney | (+) | 5/11 | + | 9/10 | Tubular cells, Bowman’s capsule and mesangium of glomeruli, mononuclear cells, fibrocytes, vessel walls |
| Ovary/Oviduct | (+) | 4/6 | (+) | 5/6 | Follicular epithelium, oviduct epithelium, nerve fibres, fibrocytes, smooth muscle cells, vessel walls |
| Testes | - | 0/4 | (+) | 2/4 | Fibrocytes, spermatozoa, epithelial cells of seminiferous tubules |
| Other Organs | |||||
| Adrenal Gland | +(+) | 7/8 | +(+) | 8/9 | Ganglion cells (medulla), epithelial cells (cortex), mononuclear cells, vessel walls, fibrocytes |
| Heart | (+) | 10/11 | + | 11/11 | Ganglia, nerve fibres, mononuclear cells, vessel walls, fibrocytes, cardiomyocytes |
| Spleen | (+) | 5/11 | + | 8/11 | Mononuclear cells, smooth muscle cells, fibrocytes, vessel walls, nerve fibres |
| Skeletal Muscle | - | 3/11 | (+) | 6/11 | Nerve fibres, vessel walls, fibrocytes |
| Skin | (+) | 5/11 | + | 9/11 | Follicular epithelium, skin nerve fibres, smooth muscle cells, fibrocytes, mononuclear cells, epidermal epithelium |
| Tissue | In situ Hybridisation | ||||||
|---|---|---|---|---|---|---|---|
| B 0,1 | C 0,1 | C 1,0 | D 1,0 | J 8 | J 10 | Labelled Cells | |
| Nervous System | |||||||
| Brain | n/a | +(+) | +++ | +(+) | +++ | n/a | Neurons (incl. spinal ganglia), neuronal processes, glial cells, ependymal cells, mononuclear cells, vessel walls, meninges |
| Spinal cord | n/a | - | ++ | + | +(+) | n/a | |
| N. ischiadicus | n/a | - | - | n/a | n/a | n/a | - |
| Eye | n/a | ++ | + | (+) | ++ | n/a | Retinal cells, conjunctival epithelium, corneal epithelium, connective tissue, iris |
| Digestive System | |||||||
| Crop | + | ++ | n/a | n/a | ++ | n/a | Ganglion cells, nerve fibres, fibrocytes, smooth muscle cells of all GIT layers, epithelium, mononuclear cells, vessel walls, adjacent fatty tissue |
| Proventriculus | + | ++++ | n/a | n/a | +++ | n/a | |
| Gizzard | + | +++ | n/a | n/a | +++ | n/a | |
| Intestine | + | +++ | n/a | n/a | ++ | n/a | |
| Liver | n/a | (+) | n/a | n/a | (+) | (+) | Vessel walls, fibrocytes |
| Pancreas | n/a | ++ | n/a | n/a | + | ++ | Exocrine cells, fibrocytes, vessel walls, mononuclear cells |
| Respiratory System | |||||||
| Trachea | n/a | n/a | n/a | n/a | n/a | +(+) | Epithelium |
| Lung | n/a | + | n/a | n/a | + | + | Bronchial epithelium, smooth muscle cells, mononuclear cells, fibrocytes, vessel walls, pneumocytes, respiratory macrophages |
| Urogenital System | |||||||
| Kidney | n/a | ++ | n/a | n/a | +(+) | ++++ | Tubular cells, Bowman’s capsule and mesangium of glomeruli, mononuclear cells, fibrocytes, vessel walls |
| Ovary | n/a | +++ | n/a | n/a | n/a | n/a | Follicle epithelium, fibrocytes, smooth muscle cells |
| Oviduct | n/a | +++ | n/a | n/a | n/a | n/a | Oviduct epithelium, fibrocytes, smooth muscle cells, mononuclear cells |
| Testis | n/a | n/a | n/a | n/a | + | + | Fibrocytes, smooth muscle cells, Sertoli cells, spermatogonia |
| Other organs | |||||||
| Adrenal gland | n/a | n/a | n/a | + | n/a | n/a | Ganglion cells, mononuclear cells |
| Heart | n/a | + | n/a | n/a | + | ++ | Ganglion cells, nerve fibres, endocardium, smoot muscle cells of vessel walls, connective tissue, cardiomyocytes |
| Spleen | n/a | + | n/a | n/a | + | ++ | Mononuclear cells (lymphocytes, monocytes, reticular cells), fibrocytes, vessel walls |
| Skeletal Muscle | n/a | (+) | n/a | n/a | (+) | n/a | Vessel walls, nerve fibres |
| Skin | n/a | ++ | n/a | n/a | +(+) | n/a | Follicular epithelium, nerve fibres fibrocytes, smooth muscle cells, vessel walls, mononuclear cells, epidermal epithelium |
Publisher’s Note: MDPI stays neutral with regard to jurisdictional claims in published maps and institutional affiliations. |
© 2022 by the authors. Licensee MDPI, Basel, Switzerland. This article is an open access article distributed under the terms and conditions of the Creative Commons Attribution (CC BY) license (https://creativecommons.org/licenses/by/4.0/).
Share and Cite
Petzold, J.; Gartner, A.M.; Malberg, S.; Link, J.B.; Bücking, B.; Lierz, M.; Herden, C. Tissue Distribution of Parrot Bornavirus 4 (PaBV-4) in Experimentally Infected Young and Adult Cockatiels (Nymphicus hollandicus). Viruses 2022, 14, 2181. https://doi.org/10.3390/v14102181
Petzold J, Gartner AM, Malberg S, Link JB, Bücking B, Lierz M, Herden C. Tissue Distribution of Parrot Bornavirus 4 (PaBV-4) in Experimentally Infected Young and Adult Cockatiels (Nymphicus hollandicus). Viruses. 2022; 14(10):2181. https://doi.org/10.3390/v14102181
Chicago/Turabian StylePetzold, Jana, Anna Maria Gartner, Sara Malberg, Jessica Bianca Link, Bianca Bücking, Michael Lierz, and Christiane Herden. 2022. "Tissue Distribution of Parrot Bornavirus 4 (PaBV-4) in Experimentally Infected Young and Adult Cockatiels (Nymphicus hollandicus)" Viruses 14, no. 10: 2181. https://doi.org/10.3390/v14102181
APA StylePetzold, J., Gartner, A. M., Malberg, S., Link, J. B., Bücking, B., Lierz, M., & Herden, C. (2022). Tissue Distribution of Parrot Bornavirus 4 (PaBV-4) in Experimentally Infected Young and Adult Cockatiels (Nymphicus hollandicus). Viruses, 14(10), 2181. https://doi.org/10.3390/v14102181

