Abstract
I was fortunate to be associated with the lab of Stephen Oroszlan at the US National Cancer Institute from ~1982 until his conversion to Emeritus status in 1995. His lab made groundbreaking discoveries on retroviral proteins during that time, including many features that could not have been inferred or anticipated from straightforward sequence information. Building on the Oroszlan lab results, my colleagues and I demonstrated that the zinc fingers in nucleocapsid proteins play a crucial role in genomic RNA encapsidation; that the N-terminal myristylation of the Gag proteins of many retroviruses is important for their association with the plasma membrane before particle assembly is completed; and that gammaretroviruses initially synthesize their Env protein as an inactive precursor and then truncate the cytoplasmic tail of the transmembrane protein, activating Env fusogenicity, during virus maturation. We also elucidated several aspects of the mechanism of translational suppression in pol gene expression in gammaretroviruses; amazingly, this is a fundamentally different mechanism of suppression from that in most other retroviral genera.
Dr. Stephen Oroszlan joined the National Cancer Institute-Frederick Cancer Research Center in 1976 and maintained a research laboratory there until his conversion to Emeritus status in 1995. In this relatively brief time-span, he and his laboratory made many fundamental discoveries that helped to lay the foundation for contemporary retrovirology. I had the extraordinary good fortune to be located “across the hall” from the Oroszlan lab, and I heard about many of these discoveries while they were still in progress. In this paper I will briefly tell four stories of my own research on retroviruses; it will be clear that each of them is based on the findings of the Oroszlan lab.
Much of the basic work of the Oroszlan lab consisted of determining amino acid sequences of proteins obtained from retrovirus particles. While sequencing of DNA and RNA has now become so routine and so fast that sequences are practically taken for granted, this was not true when Steve and his lab were conducting this research (both Maxam–Gilbert and Sanger DNA-sequencing methods were only introduced around 1977). Moreover, retroviral proteins are, like those of many viruses, initially synthesized as polyproteins and then produced by proteolytic cleavage of these polyproteins. Therefore, the termini of these cleavage products cannot be inferred from a DNA sequence, which will only determine the amino-acid sequence of the polyprotein. Thus, one of the fundamental contributions of the Oroszlan lab was the painstaking work of purifying proteins from viruses and determining their N- and C-terminal sequences. (This “maturation cleavage” of the polyproteins is absolutely essential for virus replication. In most cases it is carried out by virus-coded proteases; these are among the crucial targets in the highly active antiviral therapy used today to control human immunodeficiency virus-1 (HIV-1) replication in infected people. Identification of the cleavage sites also reveals the target sites and preferences for these viral proteases; this information was invaluable in the development of protease inhibitors.) This careful analysis of the viral proteins also led to the identification of post-translational modifications and to examples of “recoding”, in which the amino acid sequence of the protein does not correspond exactly to the sequence predicted from the sequence of the template mRNA. I will describe examples of each of these phenomena in the sections below.
1. “Cysteine Arrays” in Nucleocapsid Proteins
The taxonomy of retroviruses uses the convention of the family Retroviridae, with two subfamilies of Orthoretrovirinae and Spumaretrovirinae. There are six genera (each with multiple species) within the Orthoretrovirinae, or Orthoretrovirus subfamily, most of which will be mentioned below. Spumaretrovirinae members differ in many important respects from orthoretroviruses and will not be considered further in this report. All orthoretroviruses contain a small, very basic protein called the “nucleocapsid” (NC) protein. This protein coats the RNA in the interior of the mature virion. Using the classical techniques of protein chemistry, Henderson et al. [1] determined the entire 56-residue sequence of the NC protein of two murine leukemia virus (MLV) isolates in 1981. In discussing their findings, they noted the presence of a specific arrangement of cysteines, glycines, and histidines, i.e., C-X2-C-X3-G-H-X4-C. This sequence motif, which they called a “cysteine array”, had previously been observed to occur twice within the NC protein of avian retroviruses (MLV and avian retroviruses are in different retroviral genera, namely, gammaretroviruses and alpharetroviruses respectively, and there is very little sequence conservation between them). In the next few years, sequences were obtained for many retroviral NC proteins, and it was striking to note that each of them contained one or two perfectly matching copies of this array (except for occasional substitutions of the glycine). Remarkably, the same sequence motif was also found in the Drosophila transposable element copia and in cauliflower mosaic virus, in which virions contain DNA but, as in retroviruses, sequences are copied between RNA and DNA in the replication cycle [2].
Jeremy Berg made an important contribution to the field by suggesting that the regularly spaced cysteine and histidine residues in these proteins might coordinate a metal ion [3]. This ion might be zinc, as in the “zinc-finger” motif discovered in another nucleic acid-binding protein by Miller et al. [4]. In any case, the absolute conservation and spacing in the arrays seemed to signal some significant function, and methods for site-directed mutagenesis had recently become available. Rob Gorelick, a postdoc working with Lou Henderson in the Oroszlan lab, came to work with me around 1986, with the intention of changing individual conserved residues in the cysteine array of MLV.
In a series of mutants, Rob replaced each of the cysteine codons in the NC of a replication-competent MLV clone with a serine codon. This merely changes a single sulfur atom to an oxygen atom in the protein, but it disrupts its putative ability to coordinate a zinc ion. He then transfected the mutant genomes into cultured hamster cells and characterized the mutant viruses produced by these cells [5]. The results were striking and illuminating: the mutant genomes directed the production of superficially normal mature virions, but these particles contained very little viral RNA, as tested by Northern analysis. (The absence of a band of genomic RNA in these Northern blots could conceivably reflect degradation of the RNA, rather than a failure to encapsidate it. We subsequently obtained strong evidence against this alternative hypothesis by reverse transcription polymerase chain reaction (PCR) [6]). These fundamental results demonstrated that the conserved cysteines play a critical role in the packaging of the viral genomic RNA during virus particle assembly. Moreover, quantitation of packaged viral RNA and of the infectivity of the mutant particles revealed that the deficit in infectivity could not be fully explained by the deficit in viral RNA content [5]. In turn, this shows that the conserved cysteines are required for other viral functions, as well as for viral RNA encapsidation.
The functions of these conserved residues in NC proteins have been extensively investigated in subsequent years. Rob was interested in making analogous mutations in HIV-1, and ignored my well-intentioned, if naïve, advice that making the same mutant in a different virus (HIV) was unnecessary because it would merely give the same answer as he had already obtained in MLV. In fact, changes in the conserved cysteines in the two arrays in HIV-1 NC were found to impair encapsidation of viral RNA [7,8], just as I had predicted; but on the other hand, these results also earned Rob the offer of a research position in the new AIDS Vaccine Program in Frederick.
It also became clear that the conserved cysteines and histidines do indeed coordinate a zinc ion within the virion [9,10], as suggested [3]. Folding around the zinc evidently imposes a very specific 3-dimensional shape upon the stretch between the first and last cysteine in each array, while in contrast, the remainder of the NC protein appears quite flexible [11,12,13]. Aromatic and other hydrophobic residues within these zinc fingers engage in stacking interactions with guanosines in nucleic acids; this seems to be an important component in the specific binding of NC proteins to RNAs [11,12], in addition to the non-specific, electrostatic binding of the highly basic protein to the negatively charged nucleic acids.
Adding significant complexity, the NC proteins of most retroviruses contain two zinc fingers; their functions are not redundant and how their functions are divided between them is not understood [14]. Interestingly, MLV mutants in which cysteines and histidines are exchanged, so that they still retain the four zinc-coordinating residues but are structurally different from wild-type, successfully package viral RNA but are still defective with respect to viral replication [15]. NC proteins are crucial cofactors in reverse transcription, largely because of their nucleic acid chaperone activity, and the zinc fingers are major contributors to this activity [16]. The same is true of the zinc fingers in the parent Gag protein which, thanks to its chaperone activity, anneals a cellular tRNA molecule to the viral RNA in the assembling virion, positioning the tRNA to prime DNA synthesis in the next round of infection [17].
The array with an absolutely invariant spacing of cysteines and histidines, discussed here, is found in all orthoretroviruses and also in retroelements found in plants, flies, and yeast. These elements are only very distantly related to each other, and so the common sequence motif was a very strong hint that it had some profound functional significance. As discussed here, this turned out to be correct: it functions in RNA encapsidation during particle assembly, and also during reverse transcription. In this case, the motif could have been noted by anyone comparing sequences of such disparate genomes, using either protein- or nucleic acid-sequencing methods. The Oroszlan lab deserves credit not only for determining the sequences of a wide variety of retrovirus NC proteins, but for the perspicacity to realize that this conserved motif deserved further study. I was blessed with the good fortune of proximity to the lab and specifically the enterprising spirit of Rob Gorelick, who initiated the mutagenesis studies described above and helped uncover the multiple functions of NC proteins in a series of investigations spanning many years.
3. C-Terminal Truncation of Murine Leukemia Virus (MLV) Transmembrane Env Protein
All retrovirus particles contain the virus-coded Env protein. This protein is synthesized as a large precursor. Unlike Gag, it begins with a signal peptide, is translated in the rough endoplasmic reticulum, and trafficked through the secretory pathway to the cell surface. It is cleaved by the cellular protease, furin, into a large N-terminal fragment and a smaller C-terminal fragment. The N-terminal fragment, named surface glycoprotein (SU), is always glycosylated. The C-terminal fragment spans the plasma membrane in the virus-producing cell (and also the lipid bilayer at the surface of the virion), and is called the transmembrane protein (TM). Thus TM contains a stretch on the external side of the plasma membrane or viral membrane, called the ectodomain; a stretch of hydrophobic residues spanning the membrane; and a stretch on the cytoplasmic side of the plasma membrane or the inside of the virus particle, called the cytoplasmic tail. After cleavage of the precursor, SU and TM are held together in a complex, frequently by disulfide bonds, and three of these SU-TM heterodimers are associated into trimers on the virion. In the most general terms, when the virus infects a new host cell, the SU protein on the surface of the virion engages with a receptor on the surface of the cell; this interaction then leads to large conformational changes in the Env complex; the end result of these changes is that TM catalyzes the fusion of the viral and cellular membranes, so that the contents of the virion are deposited in the cytoplasm of the new host cell, where they will initiate the next cycle of infection.
The pathways by which the Env polyprotein precursors were processed into the SU and TM proteins in mature retrovirus particles were gradually worked out, using metabolic labeling and peptide mapping, initially largely by the lab of Ralph Arlinghaus. The murine leukemia viruses (prototype members of the gammaretrovirus genus) were the first for which this maturation pathway was thoroughly characterized. A major milestone in the analysis of gammaretrovirus biology was the publication, in 1981, of the complete DNA sequence of the Moloney MLV viral genome [43]; this made it possible to trace any experimentally determined protein sequence to its origin in the genome.
Unlike what is seen in most other genera, maturation of gammaretroviral Env proteins includes an additional cleavage: not only is the precursor cleaved into SU and TM, but the C-terminal 16 residues (roughly half of the cytoplasmic tail) are removed from TM. This was originally discovered using an approach which seemed like science fiction at the time, although it is now completely routine: beginning with the newly available sequence of MLV RNA [43], Green et al. synthesized a peptide representing the extreme C-terminus of the env gene, and raised a rabbit antiserum to the peptide. They found that this antiserum reacted with the intracellular Env precursors, but not with the TM protein in virions [44]. Interestingly, several lines of evidence suggested that this cleavage event, unlike the cleavage of the Env precursor into SU and TM, is catalyzed by the viral protease, and, like the cleavage of the Gag and Gag-Pol precursors, is a step in MLV maturation. For example, it does not occur in cells expressing Env but not Gag and Gag-Pol [45]. The Oroszlan lab later performed a careful census of the viral proteins in MLV particles, and showed that the 16-residue cleavage product is quantitatively retained within the mature virion (that is, it is in a 1:1 molar ratio to TM) [46], suggesting that it is not removed from the precursor before the particle has been fully formed.
The nomenclature regarding these MLV TM protein derivatives can be very confusing. The final TM protein has been called p15E (it is necessary to specify “E” for “envelope” to distinguish it from the Gag protein MA, which is called p15; the numbers here reflect the apparent molecular weight of the protein as estimated from its mobility in sodium dodecyl sulfate polyacrylamide gel electrophoresis (SDS-PAGE)). In this naming system, the TM precursor, still containing the 16 residues at its C-terminus, is called Pre15E, while the 16-residue cleavage product is called p2E. In some other papers, the TM precursor was called p15E and the mature form was p12E. However, an alternative terminology was introduced by Richard Lerner’s lab and is now generally accepted. They dubbed the 16-residue peptide the “R peptide” (explaining that this is because it is encoded at the “right” end of the genome, if 5′ to 3′ is, like English text, read from left to right [47]. However, some have suggested that “R” might really stand for Richard. In the long run, we may never know.)
In any event, it is evident that MLV encodes a TM protein that is 16 residues longer at its C-terminus than the TM protein which is present in the mature, infectious virion. This was quite unexpected, and raised the obvious question Why? Why does it take this complicated pathway, rather than simply encoding the mature TM protein? What is the functional significance of those 16 amino acids?
To gain insight into the functional significance of the R peptide and its removal during virus maturation, we made two mutants at the cleavage site [48]. In one, we introduced a stop codon, so that the viral genome encoded the mature, truncated form of the TM protein, rather than the wild-type extended form. (We originally called this mutant “p2E-“ but will now refer to it as “R-“.) In the other, we replaced the hydrophobic amino acid, leucine, at the N-terminal side of the cleavage site with the strongly polar amino acid arginine, anticipating that this drastic change in the sequence would prevent cleavage.
Very briefly, we found that both of the mutant TM proteins were incorporated into virus particles. The substitution of arginine for leucine blocked the cleavage, as expected. The deletion of the R peptide reduced the efficiency with which the virions infect new cells by about 10-fold, while we estimated that the mutation blocking the cleavage reduced infectivity approximately 100-fold. As R is evidently normally removed from the TM protein during virus maturation, we believe that the mature, truncated protein is never present in virus-producing cells. Thus it was of great interest to express R- Env in cells and look for any biological activity of the protein under these unnatural conditions.
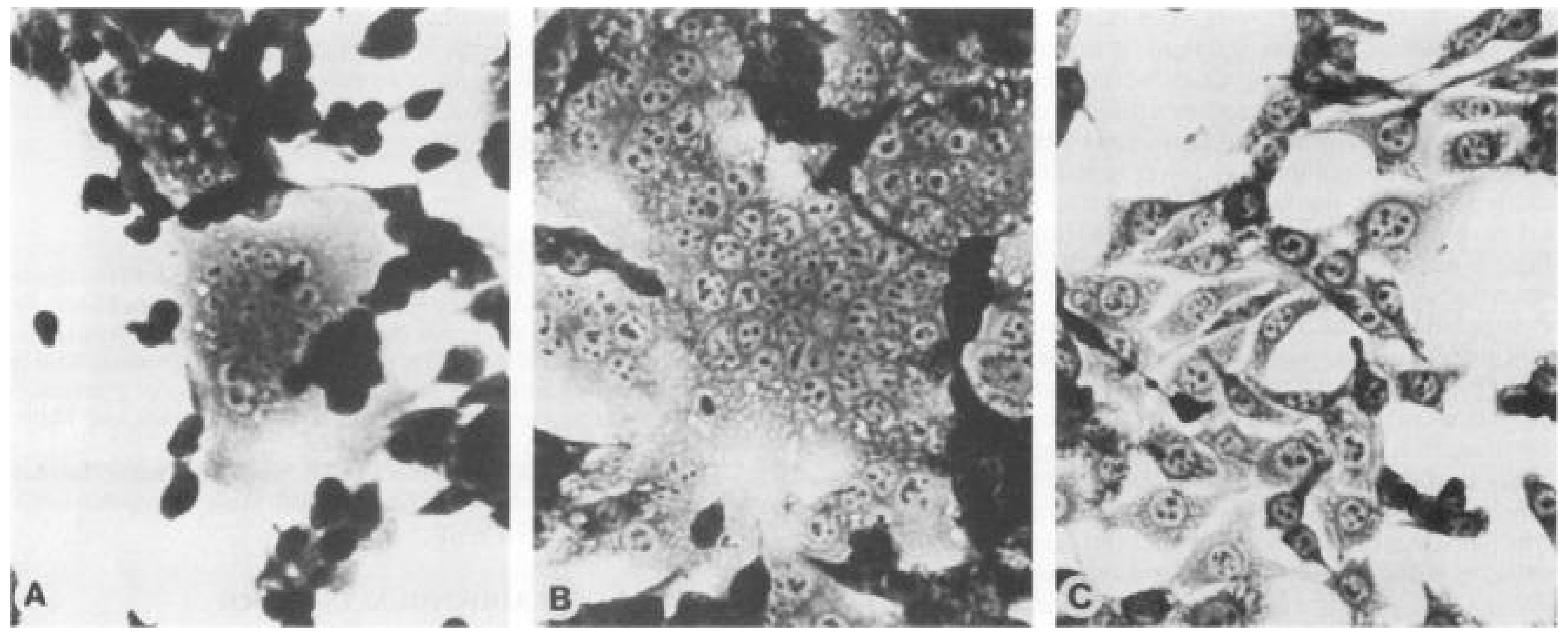
In fact the results of these experiments were dramatic and illuminating. We found that when cells expressing R- Env (but not wild-type Env) were co-cultivated with cells displaying receptors for the virus, massive, rapid cell-cell fusion occurred (see Figure 1). In other words, the R- Env protein, which is the form present in mature, infectious virions, is highly active in inducing membrane fusion when it encounters the receptor on another membrane, while the full-length, immature form of the protein is not. This membrane fusion is, of course, the normal function of Env. The results suggest that the R peptide suppresses this fusogenic activity until the virus has been released from the virus-producing cell and undergoes maturation. Similar results were also reported at around the same time by Ragheb and Anderson [49].
Figure 1.
Syncytium Formation Induced by Expression of R- MLV Env. HEK 293T cells were transfected with a plasmid directing the expression of R- Env (A,B) or wild-type Env (C). Forty-eight hours later on’mouse cells were added to the cultures. The cultures were fixed and stained 3½ (A) or 24 (B,C) after addition of mouse cells (from ref. [48]).
A simple extension of these experiments revealed another intriguing property of MLV Env proteins [50,51]. As noted above, they are in trimers on the cell and viral surfaces. MLV Envs are polymorphic: that is, the Env proteins of different MLV isolates enter cells via distinct cell surface receptors [52,53]. We expressed two different Env proteins in the same cells [50]: one was R- (that is, fusogenic) with its SU directed towards one receptor, and the other R+, with an SU specific for a different receptor. We showed, by co-immunoprecipitation, that the two Env proteins were physically associated with each other. We then co-cultivated these cells with target cells displaying only the receptor for the full-length Env, not the R- Env, and observed a high level of cell-cell fusion. This fusion must result from the activity of the R- Env; in essence, this is complementation between the two Envs, with one binding a receptor on the target cell and the other inducing membrane fusion. The results suggest that in a mixed Env trimer, contact of the SU domain of one monomer with its receptor triggers the fusogenic action of the TM domain of another monomer.
How the R peptide suppresses the fusogenicity of MLV TM proteins is not understood. It is crucial to recognize that the machinery in TM for catalyzing membrane fusion is on the exterior side of the membrane, but it is sensitive to the effects of the R peptide, which is on the interior side. Fusion is initiated upon contact between the SU glycoprotein, located on the exterior side, and its receptor on a target membrane. In MLV, SU and TM are linked together by a disulfide bond [54], and the contact between SU and the receptor leads to rearrangement of the disulfides and loss of this covalent linkage between SU and TM [55]. One important clue emerged from the cryo-electron microscopic studies of Henrik Garoff and his colleagues [56]. They isolated Env trimers from MLV virions by solubilization with a non-ionic detergent, and noted a striking structural difference between the full-length and R- Env complexes: in the full-length complex, the C-terminal ends are closely associated with each other, but in the R- complex, the ends are splayed out. These results suggest that the R peptide holds the cytoplasmic tails together in the trimers and prevents the conformational change necessary for initiating fusion.
The roles of the different TM domains in membrane fusion have recently been further investigated by Marc Johnson and his colleagues, using detailed genetic mapping techniques [57,58]. Based on their results, they suggest that TM trimers contain coiled coils in their ectodomains and in their cytoplasmic tails and that these trimeric interfaces, which are on opposite sides of the membrane, must be aligned for successful TM function.
The power of the R peptide in suppressing the fusogenicity of a viral envelope protein was dramatically illustrated by appending it to HA2, the fusion protein of influenza virus [59]. This protein differs from that of MLV in that low pH is the trigger for fusogenicity. Despite this stark difference, the MLV R peptide inhibits fusion by HA. It would be very interesting to determine the effects of this addition on the 3-dimensional structure of HA protein, to see whether it tightens the trimeric association of cytoplasmic tails in this case as well as in MLV [56].
The presence of an inhibitory sequence at the C-terminus of an immature fusion protein is not confined to gammaretroviruses such as MLV. Mason-Pfizer monkey virus, a betaretrovirus, appears to have a very analogous system [60]. The viral protease appears to cleave the cytoplasmic tail in equine infectious anemia virus, enhancing viral infectivity [61]. In addition, there are many reports in the literature suggesting that fusogenicity of the Env proteins of lentiviruses, including HIV and simian immunodeficiency viruses, is inhibited by their long cytoplasmic tails (e.g., see [62,63,64]; the same may be true of the deltaretrovirus human T-cell leukemia virus [65]). In general, however, the biological significance of these observations is not clear.
One study concluded that HIV-1 could, under specific circumstances, evolve a system with striking analogy to the R peptide regulation discussed above in MLV. The HIV lipid bilayer is highly enriched in cholesterol. Waheed et al. [66] propagated HIV-1 in cultured cells in the presence of amphotericin B methyl ester (AME), a compound that binds cholesterol, and observed that AME inhibited virus replication. They were then able to select AME-resistant viral mutants. When these mutants were analyzed, they were found to have undergone sequence changes in the cytoplasmic tail of TM, and that these changes enabled the viral protease to cleave the tail, similar to the removal of the R peptide in MLV maturation. Experimentally induced truncations of the tail also led to AME resistance.
In conclusion, the R peptide seems to act as a “safety catch”, preventing activation of Env fusogenicity before the virus is released. We do not know why natural selection has led to this regulatory system in MLV. One possibility is that it is beneficial for the virus to prevent membrane fusion events, which would entail irreversible triggering of the Env fusion machinery, within the virus-producing cell; the suppression of activity in the cell would thus preserve the functional capabilities of Env for use in infection of a new host cell. Alternatively, the presence of a fusogenic Env protein within the virus-producing cell, with the possibility of encountering a receptor at an intracellular membrane, might be highly toxic to the cell; in this case, the benefit to the virus might lie in the protection of the virus-producing cell from this Env-induced damage. It must be remembered that MLV is, as far as we can detect, quite harmless to the cell, and when cultures of permissive cells are infected, they will continue to grow well and produce MLV indefinitely. These two hypothetical explanations for the selective advantage of the R peptide safety catch are, of course, not mutually exclusive.
4. Readthrough Suppression at the End of the MLV gag Gene
All orthoretroviruses encode Gag, the building block of the virus particle, and a far smaller amount of Gag-Pol, a fusion protein in which the viral enzymes are attached to (or near) the C-terminal end of Gag. It seems likely that synthesizing the enzymes fused to Gag is a way of ensuring their encapsidation into nascent virions, since the Gag moiety of the Gag-Pol fusion protein can presumably engage in homotypic interactions with the Gag proteins during virus assembly. Since the enzymes (reverse transcriptase and integrase, and—except in alpharetroviruses—protease) are only used catalytically, it is not surprising that they are produced at much lower levels (on the order of 1/20) than Gag. In fact, many experiments have shown that the ratio of Gag-Pol to Gag is critical for viral replication: both too much and too little Gag-Pol is highly detrimental.
How the viral genome directs the cell to synthesize large amounts of Gag and small amounts of Gag-Pol is an interesting problem with unexpected answers. The coding sequences for the enzymes are immediately 3′ of the gag gene in the viral genomes. Many virologists around 1980 tended to assume that the cell would splice a small fraction of the viral transcripts so as to remove the stop codon at the end of gag, allowing a few ribosomes to continue translation beyond gag and into pol. However, the attempts to find the hypothetical spliced RNA were uniformly unsuccessful, eventually forcing investigators to search for other possibilities.
Based on careful analysis of pulse-chase data of MLV-infected cells using monospecific antisera, Jamjoom et al. [67] pointed out that both Gag and reverse transcriptase (RT) seemed to be formed from a very large common precursor, but that Gag is synthesized in much larger quantities than RT. To explain these observations, they suggested that there might be some kind of translational control limiting translation of RT. Another fascinating early clue was reported in 1978 by Philipson et al. [68]. They purified the genomic RNA from MLV virions and added it to rabbit reticulocyte extracts for in vitro translation. They found that under these conditions, the RNA encoded primarily Gag and a much smaller amount (estimated at 1/50) of a Gag-Pol fusion protein, just as Jamjoom et al. had seen in infected cells [67]. However, if the in vitro translation system was supplemented with a purified amber (i.e., UAG) suppressor tRNA, the amount of Gag decreased and the amount of Gag-Pol increased. These findings led them to propose that the gag and pol genes are separated by a UAG in the viral RNA and that for some reason, termination at this UAG termination codon is normally somewhat inefficient. In fact, when the sequence was published a few years later, the prediction that the two genes are separated by a single UAG codon was confirmed [43]. Translation of a UAG codon at a frequency of 2–10% of that of a sense codon, while inefficient compared to the sense codons, is estimated to be ~1000 times the normal readthrough of UAG [69].
The actual mechanism of MLV pol expression was clarified by a single discovery in the Oroszlan lab a few years later [70]. Yoshinaka and Luftig had previously detected protease activity in MLV particles [71] and had accumulated evidence that this protease was responsible for the maturation of the virions. Yoshinaka came to work in the Oroszlan lab and, over a period of several years, performed the Herculean task of purifying the minuscule amount of protease from MLV particles in quantities sufficient for direct biochemical analysis. He found that the N-terminal sequence of the viral protease was T L D D Q G G Q… Comparison of this amino-acid sequence with the published sequence of viral RNA [43] immediately revealed the mechanism of synthesis of protease (the N-terminal portion of “Pol”, the precursor of the virus-coded enzymes). The last four codons of the gag open reading frame are T L D D. They are followed by the UAG termination codon separating gag from pol, and then the pol sequence, beginning with G G Q. This result showed that the Gag-Pol fusion protein is made by the inefficient translation of UAG as glutamine, and is then cleaved before the threonine, four residues N-terminal to the inserted glutamine. In fact, as the Oroszlan lab had already shown, the great majority of NC protein (the C-terminal cleavage product of the Gag polyprotein precursor) is also lacking the TLDD, the last four residues encoded by gag [46]; in other words, the viral protease normally cuts both the Gag and Gag-Pol proteins on the N-terminal side of the threonine.
I spent the next few years studying the mechanism of MLV pol expression in a close collaboration with Judith Levin of the National Institute of Child Health and Human Development, together with Ya-Xiong Feng, an extremely talented, knowledgeable scientist who started in Dr. Levin’s lab and later, because of the complexities of her visa situation, moved to my lab. We were also joined, in the early stages of this work, by Dolph Hatfield, a tRNA expert in the National Cancer Institute.
Our first experiments addressed the identity of the tRNA responsible for insertion of glutamine in response to the UAG codon. We were very surprised to read a paper by Yoshiyuki Kuchino, a prominent member of the tRNA community, reporting that the abundance of a minor species of glutamine tRNA, possessing activity capable of translating a UAG within the tobacco mosaic virus genome, is greatly increased by MLV infection [72]. Ya-Xiong and Dolph tried to follow up on this report. They programmed a reticulocyte lysate in vitro translation system with transcripts of cloned MLV DNA and showed that the translation past the end of gag in this system was dependent upon added tRNA [73]. However, they found the same level of this translational-suppression activity in extracts from control as from MLV-infected mouse cells. Moreover, the chromatographic profiles of glutamine acceptor activity from infected and control cells were indistinguishable. Thus, their conclusions differed from those of Kuchino et al. [72]: the data obtained by our group [73] indicate that the UAG at the end of MLV gag is translated as glutamine by a normal cellular tRNA.
It was of interest to determine whether normal mammalian cells also contain tRNAs capable of translating UAA and UGA in the context of the end of MLV gag. Therefore, we replaced the UAG with UGA or UAA, and tested for suppression of these termination codons, both in vitro and in mammalian cells [74]. We found that MLV genomes containing either of these codons in place of the wild-type UAG were fully replication-competent, with no obvious quantitative or qualitative phenotypic differences from wild-type MLV. Thus, the hamster cells and mouse cells we used in these experiments contained tRNAs which could translate UGA and UAA, as well as UAG. This was particularly noteworthy in the case of UAA, since suppression of this termination codon had not previously been described in cells of higher eukaryotes. When transcripts from these mutant genomes were tested in reticulocyte lysates, we found that UGA was translated as efficiently as UAG, but UAA was not; however, supplementation of the lysates with additional tRNA from mouse cells or rabbit liver led to translation of UAA at the same level as UAG or UAA.
These results [74] show that mammalian cells contain tRNAs which can insert amino acids in response to UAA or UGA, as well as UAG, in the context of the MLV gag-pol junction. What is the normal function of these tRNAs? Assuming that they participate in “normal” cellular protein synthesis, what amino acids do they insert? As an approach to this question, we performed experiments to identify the amino acids inserted in response to these termination codons in the MLV context [75]. These experiments were completely dependent upon the expertise of the Oroszlan lab, particularly that of Terry Copeland. We designed a very small construct for in vitro transcription, with only 7 codons on the 5′ side of the termination codon. The construct included 2 MLV codons 5′ of and 19 codons 3′ of the termination codon; this turned out to be sufficient viral sequence to induce suppression. We then transcribed this construct, translated the RNAs in reticulocyte lysates in which one amino acid was radioactive, and then analyzed the translation product by Edman degradation and measurement of the radioactivity released after each step. These measurements showed that UAA, like the wild-type UAG, is translated as glutamine; in contrast, UGA could be translated as cysteine, tryptophan, or arginine.
How can we explain the choice of amino acids inserted at these termination codons? In fact, each of them is encoded by a triplet differing from the termination codon at only one base: glutamine is encoded by CAA and CAG, and perhaps it is not surprising that tRNAs with anticodons pairing with these triplets could also pair with UAA and UAG, exploiting “first-position wobble” pairing. We have no information on whether UAA and UAG are translated by the same or different glutamine tRNAs. Of the three amino acids inserted in response to UGA, tryptophan is normally encoded by UGG, cysteine by UGU and UGC, and arginine by CGA, all differing at only one position from UGA. It is also fascinating to note that there is precedent for suppression in mammalian systems of UAG as leucine [76] and UGA as serine [77], but these are not observed in the MLV context. This raises the possibility that the context not only dictates translation of a termination codon, but also the identity of the tRNA that will participate in the translation. It seems possible that this is partially responsible for the discrepancy between the results of our group [73] and those of Kuchino [72]: the assay used in the latter study for detecting glutamine suppressor tRNA relied on translation of a UAG in tobacco mosaic virus RNA, not MLV RNA.
We also used the rabbit reticulocyte in vitro translation system to investigate the “context” in the MLV RNA responsible for inducing readthrough suppression [78]. Immediately 3′ of the UAG, there is an 8-base purine-rich sequence; this is followed by a sequence that can be folded into a stem-loop. This loop would contain 6 C residues. Nineteen residues beyond this stem is a run of 6 G’s. It thus seems possible that these bases form a pseudoknot, in which the bases in the loop of a stem-loop are paired with bases distal to the loop [79]. We used a construct containing the 57 bases that are 3′ to the termination codon in MLV, as we had found [75] that these were sufficient for suppression. We found [78] that each single-base change we made in the 8-base sequence prevented readthrough, but changes to the sequence that preserved the potential base-pairing in the putative pseudoknot were permitted. Thus, the results indicated that the signal for suppression involved both the 8-base sequence and the pseudoknot. Parallel analyses by Felsenstein and Goff [80] and Wills et al. [69] reached generally similar conclusions about the nature of the context promoting suppression.
One study of the structure of the MLV pseudoknot came to particularly interesting conclusions [81]. Houck-Loomis et al. performed nuclear magnetic resonance (NMR) on the pseudoknot over a range of pH values. Their data indicate that the RNA is in equilibrium between two different conformations, one of which leads to very efficient UAG translation, while the other does not. In other words, the efficiency of readthrough, according to this proposal, corresponds to the fraction of the molecules that are in the active conformation. Further, they showed that the pH of the buffer in in vitro translation has a very strong effect on readthrough frequency, and that this effect agrees with their model of the two structures. They identified a specific adenosine residue which is protonated at the lower pH, leading to the shift in conformation of the pseudoknot. They also tested specific mutants, and again found perfect agreement between the effects on the structure and the effects on translational suppression in vitro. Their work suggests that translation of the UAG is not inefficient, as we might have assumed; rather, they propose that it is highly efficient on those mRNA molecules that are in the active conformation. Further tests of this hypothesis are eagerly anticipated.
Inspection of the (now widely available) DNA sequences shows that there is a fundamental difference between pol expression in different retroviral genera. In gammaretroviruses (see above) and epsilonretroviruses, the gag and pol genes are in the same reading frame, separated by a single termination codon. However, in other orthoretroviruses, the pol gene is in the (-1) frame relative to gag, and the gag and pol reading frames overlap. In these viral genera, Gag-Pol is again expressed by means of highly unusual behavior of the translational apparatus. At a specific point within the overlap region, a fraction of the translating ribosomes inserts an amino acid, but only advances two, rather than three bases. This “ribosomal frameshift” puts this subset of the ribosomes into the pol (-1) frame, and from there they proceed to translate Pol. This mechanism was first described in the alpharetrovirus Rous sarcoma virus by Jacks and Varmus [82], and they subsequently characterized it in some detail in the lentivirus HIV-1 [83]. In some genera, there are two successive frameshifts, rather than one [84]: these frameshifts are more efficient than those in single-frameshift viruses such as alpharetroviruses and lentiviruses. The contexts dictating the frameshift have been studied in detail. While they are different from that in MLV, they resemble it in that they all appear to involve a cis-acting sequence in the immediate vicinity of the frameshift and a large downstream structure such as a pseudoknot. It has often been proposed that this structure causes the translating ribosomes to stall, leading to the frameshift or readthrough suppression in a fraction of these events.
It is amazing to realize that while the different genera all use translational mechanisms to achieve the same result, i.e., the synthesis of a relatively large amount of Gag protein and a far smaller amount of Gag-Pol, the two mechanisms described above are completely distinct: one is an abnormal response to a termination codon, while the other occurs before the ribosomes reach the termination codon and is completely independent of the termination codon. This is but one of the myriad examples of the extraordinary diversity found among viruses.
5. Coda
I have here recounted four scientific stories that I was involved in; it is obvious in each case that the questions I addressed arose directly from the discoveries of the Oroszlan lab. It was an exciting time and I learned an enormous amount from my interactions with these colleagues. From a broader perspective, it is important to note that the knowledge we gained from the “basic research” on animal retroviruses, from the Oroszlan lab and many others, was of inestimable practical value: it made it possible to devise, relatively quickly, life-saving highly active antiviral therapies against the new retrovirus, HIV, when it appeared [85].
Funding
Work in the author’s laboratory is supported by the Intramural Research Program of the NIH, National Cancer Institute, Center for Cancer Research.
Institutional Review Board Statement
Not applicable.
Informed Consent Statement
Not applicable.
Data Availability Statement
Not applicable.
Acknowledgments
Work in the author’s laboratory is supported by the Intramural Research Program of the NIH, National Cancer Institute, Center for Cancer Research.
Conflicts of Interest
The author declares no conflict of interest.
References
- Henderson, L.E.; Copeland, T.D.; Sowder, R.C.; Smythers, G.W.; Oroszlan, S. Primary structure of the low molecular weight nucleic acid-binding proteins of murine leukemia viruses. J. Biol. Chem. 1981, 256, 8400–8406. [Google Scholar] [CrossRef]
- Covey, S.N. Amino acid sequence homology in gag region of reverse transcribing elements and the coat protein gene of cauliflower mosaic virus. Nucleic Acids Res. 1986, 14, 623–633. [Google Scholar] [CrossRef]
- Berg, J.M. Potential metal-binding domains in nucleic acid binding proteins. Science 1986, 232, 485–487. [Google Scholar] [CrossRef]
- Miller, J.; McLachlan, A.D.; Klug, A. Repetitive zinc-binding domains in the protein transcription factor IIIA from Xenopus oocytes. EMBO J. 1985, 4, 1609–1614. [Google Scholar] [CrossRef] [PubMed]
- Gorelick, R.J.; Henderson, L.E.; Hanser, J.P.; Rein, A. Point mutants of Moloney murine leukemia virus that fail to package viral RNA: Evidence for specific RNA recognition by a “zinc finger- like” protein sequence. Proc. Natl. Acad. Sci. USA 1988, 85, 8420–8424. [Google Scholar] [CrossRef] [PubMed]
- Rein, A.; Harvin, D.P.; Mirro, J.; Ernst, S.M.; Gorelick, R.J. Evidence that a central domain of nucleocapsid protein is required for RNA packaging in murine leukemia virus. J. Virol. 1994, 68, 6124–6129. [Google Scholar] [CrossRef] [PubMed]
- Aldovini, A.; Young, R.A. Mutations of RNA and protein sequences involved in human immunodeficiency virus type 1 packaging result in production of noninfectious virus. J. Virol. 1990, 64, 1920–1926. [Google Scholar] [CrossRef] [PubMed]
- Gorelick, R.J.; Nigida, S.M.; Bess, J.W., Jr.; Arthur, L.O., Jr.; Henderson, L.E.; Rein, A. Noninfectious human immunodeficiency virus type 1 mutants deficient in genomic RNA. J. Virol. 1990, 64, 3207–3211. [Google Scholar] [CrossRef] [PubMed]
- Bess, J.W., Jr.; Powell, P.J.; Issaq, H.J.; Schumack, L.J.; Grimes, M.K.; Henderson, L.E.; Arthur, L.O. Tightly bound zinc in human immunodeficiency virus type 1, human T-cell leukemia virus type I, and other retroviruses. J. Virol. 1992, 66, 840–847. [Google Scholar] [CrossRef]
- Summers, M.F.; Henderson, L.E.; Chance, M.R.; Bess, J.W., Jr.; South, T.L.; Blake, P.R.; Sagi, I.; Perez-Alvarado, G.; Sowder, R.C., 3rd; Hare, D.R.; et al. Nucleocapsid zinc fingers detected in retroviruses: EXAFS studies of intact viruses and the solution-state structure of the nucleocapsid protein from HIV-1. Protein Sci. 1992, 1, 563–574. [Google Scholar] [CrossRef] [PubMed]
- Amarasinghe, G.K.; De Guzman, R.N.; Turner, R.B.; Chancellor, K.J.; Wu, Z.R.; Summers, M.F. NMR structure of the HIV-1 nucleocapsid protein bound to stem-loop SL2 of the psi-RNA packaging signal. Implications for genome recognition. J. Mol. Biol. 2000, 301, 491–511. [Google Scholar] [CrossRef] [PubMed]
- De Guzman, R.N.; Wu, Z.R.; Stalling, C.C.; Pappalardo, L.; Borer, P.N.; Summers, M.F. Structure of the HIV-1 nucleocapsid protein bound to the SL3 psi-RNA recognition element. Science 1998, 279, 384–388. [Google Scholar] [CrossRef] [PubMed]
- Green, L.M.; Berg, J.M. Retroviral nucleocapsid protein-metal ion interactions: Folding and sequence variants. Proc. Natl. Acad. Sci. USA 1990, 87, 6403–6407. [Google Scholar] [CrossRef] [PubMed]
- Gorelick, R.J.; Chabot, D.J.; Rein, A.; Henderson, L.E.; Arthur, L.O. The two zinc fingers in the human immunodeficiency virus type 1 nucleocapsid protein are not functionally equivalent. J. Virol. 1993, 64, 4027–4036. [Google Scholar] [CrossRef]
- Gorelick, R.J.; Chabot, D.J.; Ott, D.E.; Gagliardi, T.D.; Rein, A.; Henderson, L.E.; Arthur, L.O. Genetic analysis of the zinc finger in the Moloney murine leukemia virus nucleocapsid domain: Replacement of zinc-coordinating residues with other zinc-coordinating residues yields noninfectious particles containing genomic RNA. J. Virol. 1996, 70, 2593–2597. [Google Scholar] [CrossRef]
- Levin, J.G.; Guo, J.; Rouzina, I.; Musier-Forsyth, K. Nucleic Acid Chaperone Activity of HIV-1 Nucleocapsid Protein: Critical Role in Reverse Transcription and Molecular Mechanism. Prog. Nucleic Acid Res. Mol. Biol. 2005, 80, 217–286. [Google Scholar]
- Rein, A. Nucleic acid chaperone activity of retroviral Gag proteins. Rna Biol. 2010, 7, 700–705. [Google Scholar] [CrossRef]
- Henderson, L.E.; Krutzsch, H.C.; Oroszlan, S. Myristyl amino-terminal acylation of murine retrovirus proteins: An unusual post-translational protein modification. Proc. Natl. Acad. Sci. USA 1983, 80, 339–343. [Google Scholar] [CrossRef]
- Carr, S.A.; Biemann, K.; Shoji, S.; Parmelee, D.C.; Titani, K. n-Tetradecanoyl is the NH2-terminal blocking group of the catalytic subunit of cyclic AMP-dependent protein kinase from bovine cardiac muscle. Proc. Natl. Acad. Sci. USA 1982, 79, 6128–6131. [Google Scholar] [CrossRef]
- Schultz, A.M.; Oroszlan, S. In vivo modification of retroviral gag gene-encoded polyproteins by myristic acid. J. Virol. 1983, 46, 355–361. [Google Scholar] [CrossRef]
- Rein, A.; McClure, M.R.; Rice, N.R.; Luftig, R.B.; Schultz, A.M. Myristylation site in Pr65gag is essential for virus particle formation by Moloney murine leukemia virus. Proc. Natl. Acad. Sci. USA 1986, 83, 7246–7250. [Google Scholar] [CrossRef]
- Schultz, A.M.; Rein, A. Unmyristylated Moloney murine leukemia virus Pr65gag is excluded from virus assembly and maturation events. J. Virol. 1989, 63, 2370–2373. [Google Scholar] [CrossRef]
- Mervis, R.J.; Ahmad, N.; Lillehoj, E.P.; Raum, M.G.; Salazar, F.H.; Chan, H.W.; Venkatesan, S. The gag gene products of human immunodeficiency virus type 1: Alignment within the gag open reading frame, identification of posttranslational modifications, and evidence for alternative gag precursors. J. Virol. 1988, 62, 3993–4002. [Google Scholar] [CrossRef]
- Veronese, F.D.; Copeland, T.D.; Oroszlan, S.; Gallo, R.C.; Sarngadharan, M.G. Biochemical and immunological analysis of human immunodeficiency virus gag gene products p17 and p24. J. Virol. 1988, 62, 795–801. [Google Scholar] [CrossRef] [PubMed]
- Bryant, M.; Ratner, L. Myristoylation-dependent replication and assembly of human immunodeficiency virus 1. Proc. Natl. Acad. Sci. USA 1990, 87, 523–527. [Google Scholar] [CrossRef]
- Crist, R.M.; Datta, S.A.; Stephen, A.G.; Soheilian, F.; Mirro, J.; Fisher, R.J.; Nagashima, K.; Rein, A. Assembly properties of human immunodeficiency virus type 1 Gag-leucine zipper chimeras: Implications for retrovirus assembly. J. Virol. 2009, 83, 2216–2225. [Google Scholar] [CrossRef] [PubMed]
- O’Carroll, I.P.; Crist, R.M.; Mirro, J.; Harvin, D.; Soheilian, F.; Kamata, A.; Nagashima, K.; Rein, A. Functional redundancy in HIV-1 viral particle assembly. J. Virol. 2012, 86, 12991–12996. [Google Scholar] [CrossRef] [PubMed]
- Campbell, S.; Fisher, R.J.; Towler, E.M.; Fox, S.; Issaq, H.J.; Wolfe, T.; Phillips, L.R.; Rein, A. Modulation of HIV-like particle assembly in vitro by inositol phosphates. Proc. Natl. Acad. Sci. USA 2001, 98, 10875–10879. [Google Scholar] [CrossRef] [PubMed]
- Campbell, S.; Rein, A. In vitro assembly properties of human immunodeficiency virus type 1 Gag protein lacking the p6 domain. J Virol. 1999, 73, 2270–2279. [Google Scholar] [CrossRef]
- Datta, S.A.; Zuo, X.; Clark, P.K.; Campbell, S.J.; Wang, Y.X.; Rein, A. Solution Properties of Murine Leukemia Virus Gag Protein: Differences from HIV-1 Gag. J. Virol. 2011, 85, 12733–12741. [Google Scholar] [CrossRef]
- Palmiter, R.D.; Gagnon, J.; Vogt, V.M.; Ripley, S.; Eisenman, R.N. The NH2-terminal sequence of the avian oncovirus gag precursor polyprotein (Pr76gag). Virology 1978, 91, 423–433. [Google Scholar] [CrossRef]
- Tobin, G.J.; Sowder, R.C., 2nd; Fabris, D.; Hu, M.Y.; Battles, J.K.; Fenselau, C.; Henderson, L.E.; Gonda, M.A. Amino acid sequence analysis of the proteolytic cleavage products of the bovine immunodeficiency virus Gag precursor polypeptide. J. Virol. 1994, 68, 7620–7627. [Google Scholar] [CrossRef] [PubMed]
- Rhee, S.S.; Hunter, E. Myristylation is required for intracellular transport but not for assembly of D-type retrovirus capsids. J. Virol. 1987, 61, 1045–1053. [Google Scholar] [CrossRef] [PubMed]
- Daley, G.Q.; Van Etten, R.A.; Jackson, P.K.; Bernards, A.; Baltimore, D. Nonmyristoylated Abl proteins transform a factor-dependent hematopoietic cell line. Mol. Cell. Biol. 1992, 12, 1864–1871. [Google Scholar] [CrossRef]
- Prywes, R.; Foulkes, J.G.; Rosenberg, N.; Baltimore, D. Sequences of the A-MuLV protein needed for fibroblast and lymphoid cell transformation. Cell 1983, 34, 569–579. [Google Scholar] [CrossRef]
- Yi, C.R.; Rosenberg, N. Mutations affecting the MA portion of the v-Abl protein reveal a conserved role of Gag in Abelson murine leukemia virus (MLV) and Moloney MLV. J. Virol. 2008, 82, 5307–5315. [Google Scholar] [CrossRef]
- Takeya, T.; Hanafusa, H. Structure and sequence of the cellular gene homologous to the RSV src gene and the mechanism for generating the transforming virus. Cell 1983, 32, 881–890. [Google Scholar] [CrossRef]
- Cross, F.R.; Garber, E.A.; Pellman, D.; Hanafusa, H. A short sequence in the p60src N terminus is required for p60src myristylation and membrane association and for cell transformation. Mol. Cell. Biol. 1984, 4, 1834–1842. [Google Scholar] [CrossRef] [PubMed]
- Kamps, M.P.; Buss, J.E.; Sefton, B.M. Mutation of NH2-terminal glycine of p60src prevents both myristoylation and morphological transformation. Proc. Natl. Acad. Sci. USA 1985, 82, 4625–4628. [Google Scholar] [CrossRef] [PubMed]
- Schultz, A.M.; Henderson, L.E.; Oroszlan, S.; Garber, E.A.; Hanafusa, H. Amino terminal myristylation of the protein kinase p60src, a retroviral transforming protein. Science 1985, 227, 427–429. [Google Scholar] [CrossRef]
- Dick, R.A.; Vogt, V.M. Membrane interaction of retroviral Gag proteins. Front. Microbiol. 2014, 5, 187. [Google Scholar] [CrossRef]
- Zhu, Y.; Luo, S.; Sabo, Y.; Wang, C.; Tong, L.; Goff, S.P. Heme Oxygenase 2 Binds Myristate to Regulate Retrovirus Assembly and TLR4 Signaling. Cell Host Microbe 2017, 21, 220–230. [Google Scholar] [CrossRef]
- Shinnick, T.M.; Lerner, R.A.; Sutcliffe, J.G. Nucleotide sequence of Moloney murine leukaemia virus. Nature 1981, 293, 543–548. [Google Scholar] [CrossRef]
- Green, N.; Shinnick, T.M.; Witte, O.; Ponticelli, A.; Sutcliffe, J.G.; Lerner, R.A. Sequence-specific antibodies show that maturation of Moloney leukemia virus envelope polyprotein involves removal of a COOH-terminal peptide. Proc. Natl. Acad. Sci. USA 1981, 78, 6023–6027. [Google Scholar] [CrossRef]
- Schultz, A.; Rein, A. Maturation of murine leukemia virus env proteins in the absence of other viral proteins. Virology 1985, 145, 335–339. [Google Scholar] [CrossRef]
- Henderson, L.E.; Sowder, R.; Copeland, T.D.; Smythers, G.; Oroszlan, S. Quantitative separation of murine leukemia virus proteins by reversed- phase high-pressure liquid chromatography reveals newly described gag and env cleavage products. J. Virol. 1984, 52, 492–500. [Google Scholar] [CrossRef] [PubMed]
- Sutcliffe, J.G.; Shinnick, T.M.; Verma, I.M.; Lerner, R.A. Nucleotide sequence of Moloney leukemia virus: 3’ end reveals details of replications, analogy to bacterial transposons, and an unexpected gene. Proc. Natl. Acad. Sci. USA 1980, 77, 3302–3306. [Google Scholar] [CrossRef] [PubMed]
- Rein, A.; Mirro, J.; Haynes, J.G.; Ernst, S.M.; Nagashima, K. Function of the cytoplasmic domain of a retroviral transmembrane protein: p15E-p2E cleavage activates the membrane fusion capability of the murine leukemia virus Env protein. J. Virol. 1994, 68, 1773–1781. [Google Scholar] [CrossRef] [PubMed]
- Ragheb, J.A.; Anderson, W.F. pH-independent murine leukemia virus ecotropic envelope-mediated cell fusion: Implications for the role of the R peptide and p12E TM in viral entry. J. Virol. 1994, 68, 3220–3231. [Google Scholar] [CrossRef] [PubMed]
- Rein, A.; Yang, C.; Haynes, J.A.; Mirro, J.; Compans, R.W. Evidence for cooperation between murine leukemia virus Env molecules in mixed oligomers. J. Virol. 1998, 72, 3432–3435. [Google Scholar] [CrossRef] [PubMed]
- Zhao, Y.; Lee, S.; Anderson, W.F. Functional interactions between monomers of the retroviral envelope protein complex. J. Virol. 1997, 71, 6967–6972. [Google Scholar] [CrossRef] [PubMed]
- Rein, A. Interference grouping of murine leukemia viruses: A distinct receptor for the MCF-recombinant viruses in mouse cells. Virology 1982, 120, 251–257. [Google Scholar] [CrossRef]
- Rein, A.; Schultz, A. Different recombinant murine leukemia viruses use different cell surface receptors. Virology 1984, 136, 144–152. [Google Scholar] [CrossRef]
- Pinter, A.; Fleissner, E. The presence of disulfide-linked gp70-p15(E) complexes in AKR murine leukemia virus. Virology 1977, 83, 417–422. [Google Scholar] [CrossRef]
- Wallin, M.; Ekstrom, M.; Garoff, H. Isomerization of the intersubunit disulphide-bond in Env controls retrovirus fusion. EMBO J. 2004, 23, 54–65. [Google Scholar] [CrossRef]
- Loving, R.; Wu, S.R.; Sjoberg, M.; Lindqvist, B.; Garoff, H. Maturation cleavage of the murine leukemia virus Env precursor separates the transmembrane subunits to prime it for receptor triggering. Proc. Natl. Acad. Sci. USA 2012, 109, 7735–7740. [Google Scholar] [CrossRef] [PubMed]
- Janaka, S.K.; Gregory, D.A.; Johnson, M.C. Retrovirus glycoprotein functionality requires proper alignment of the ectodomain and the membrane-proximal cytoplasmic tail. J. Virol. 2013, 87, 12805–12813. [Google Scholar] [CrossRef] [PubMed]
- Salamango, D.J.; Johnson, M.C. Characterizing the Murine Leukemia Virus Envelope Glycoprotein Membrane-Spanning Domain for Its Roles in Interface Alignment and Fusogenicity. J. Virol. 2015, 89, 12492. [Google Scholar] [CrossRef] [PubMed]
- Li, M.; Li, Z.N.; Yao, Q.; Yang, C.; Steinhauer, D.A.; Compans, R.W. Murine leukemia virus R Peptide inhibits influenza virus hemagglutinin-induced membrane fusion. J. Virol. 2006, 80, 6106–6114. [Google Scholar] [CrossRef] [PubMed]
- Brody, B.A.; Rhee, S.S.; Hunter, E. Postassembly cleavage of a retroviral glycoprotein cytoplasmic domain removes a necessary incorporation signal and activates fusion activity. J. Virol. 1994, 68, 4620–4627. [Google Scholar] [CrossRef]
- Rice, N.R.; Henderson, L.E.; Sowder, R.C.; Copeland, T.D.; Oroszlan, S.; Edwards, J.F. Synthesis and processing of the transmembrane envelope protein of equine infectious anemia virus. J. Virol. 1990, 64, 3770–3778. [Google Scholar] [CrossRef]
- Earl, P.L.; Koenig, S.; Moss, B. Biological and immunological properties of human immunodeficiency virus type 1 envelope glycoprotein: Analysis of proteins with truncations and deletions expressed by recombinant vaccinia viruses. J. Virol. 1991, 65, 31–41. [Google Scholar] [CrossRef]
- Ritter, G.D., Jr.; Mulligan, M.J.; Lydy, S.L.; Compans, R.W. Cell fusion activity of the simian immunodeficiency virus envelope protein is modulated by the intracytoplasmic domain. Virology 1993, 197, 255–264. [Google Scholar] [CrossRef] [PubMed]
- Zingler, K.; Littman, D.R. Truncation of the cytoplasmic domain of the simian immunodeficiency virus envelope glycoprotein increases Env incorporation into particles and fusogenicity and infectivity. J. Virol. 1993, 67, 2824–2831. [Google Scholar] [CrossRef] [PubMed]
- Kim, F.J.; Manel, N.; Boublik, Y.; Battini, J.L.; Sitbon, M. Human T-cell leukemia virus type 1 envelope-mediated syncytium formation can be activated in resistant Mammalian cell lines by a carboxy-terminal truncation of the envelope cytoplasmic domain. J. Virol. 2003, 77, 963–969. [Google Scholar] [CrossRef] [PubMed]
- Waheed, A.A.; Ablan, S.D.; Roser, J.D.; Sowder, R.C.; Schaffner, C.P.; Chertova, E.; Freed, E.O. HIV-1 escape from the entry-inhibiting effects of a cholesterol-binding compound via cleavage of gp41 by the viral protease. Proc. Natl. Acad. Sci. USA 2007, 104, 8467–8471. [Google Scholar] [CrossRef]
- Jamjoom, G.A.; Naso, R.B.; Arlinghaus, R.B. Further characterization of intracellular precursor polyproteins of Rauscher leukemia virus. Virology 1977, 78, 11–34. [Google Scholar] [CrossRef]
- Philipson, L.; Andersson, P.; Olshevsky, U.; Weinberg, R.; Baltimore, D.; Gesteland, R. Translation of MuLV and MSV RNAs in nuclease-treated reticulocyte extracts: Enhancement of the gag-pol polypeptide with yeast suppressor tRNA. Cell 1978, 13, 189–199. [Google Scholar] [CrossRef]
- Wills, N.M.; Gesteland, R.F.; Atkins, J.F. Evidence that a downstream pseudoknot is required for translational read-through of the Moloney murine leukemia virus gag stop codon. Proc. Natl. Acad. Sci. USA 1991, 88, 6991–6995. [Google Scholar] [CrossRef]
- Yoshinaka, Y.; Katoh, I.; Copeland, T.D.; Oroszlan, S. Murine leukemia virus protease is encoded by the gag-pol gene and is synthesized through suppression of an amber termination codon. Proc. Natl. Acad. Sci. USA 1985, 82, 1618–1622. [Google Scholar] [CrossRef]
- Yoshinaka, Y.; Luftig, R.B. Properties of a P70 proteolytic factor of murine leukemia viruses. Cell 1977, 12, 709–719. [Google Scholar] [CrossRef]
- Kuchino, Y.; Beier, H.; Akita, N.; Nishimura, S. Natural UAG suppressor glutamine tRNA is elevated in mouse cells infected with Moloney murine leukemia virus. Proc. Natl. Acad. Sci. USA 1987, 84, 2668–2672. [Google Scholar] [CrossRef]
- Feng, Y.X.; Hatfield, D.L.; Rein, A.; Levin, J.G. Translational readthrough of the murine leukemia virus gag gene amber codon does not require virus-induced alteration of tRNA. J. Virol. 1989, 63, 2405–2410. [Google Scholar] [CrossRef] [PubMed]
- Feng, Y.X.; Levin, J.G.; Hatfield, D.L.; Schaefer, T.S.; Gorelick, R.J.; Rein, A. Suppression of UAA and UGA termination codons in mutant murine leukemia viruses. J. Virol. 1989, 63, 2870–2873. [Google Scholar] [CrossRef] [PubMed]
- Feng, Y.X.; Copeland, T.D.; Oroszlan, S.; Rein, A.; Levin, J.G. Identification of amino acids inserted during suppression of UAA and UGA termination codons at the gag-pol junction of Moloney murine leukemia virus. Proc. Natl. Acad. Sci. USA 1990, 87, 8860–8863. [Google Scholar] [CrossRef]
- Valle, R.P.; Morch, M.D.; Haenni, A.L. Novel amber suppressor tRNAs of mammalian origin. EMBO J. 1987, 6, 3049–3055. [Google Scholar] [CrossRef]
- Hatfield, D. Recognition of nonsense codons in mammalian cells. Proc. Natl. Acad. Sci. USA 1972, 69, 3014–3018. [Google Scholar] [CrossRef]
- Feng, Y.X.; Yuan, H.; Rein, A.; Levin, J.G. Bipartite signal for read-through suppression in murine leukemia virus mRNA: An eight-nucleotide purine-rich sequence immediately downstream of the gag termination codon followed by an RNA pseudoknot. J. Virol. 1992, 66, 5127–5132. [Google Scholar] [CrossRef]
- Pleij, C.W. Pseudoknots: A new motif in the RNA game. Trends Biochem. Sci. 1990, 15, 143–147. [Google Scholar] [CrossRef]
- Felsenstein, K.M.; Goff, S.P. Mutational analysis of the gag-pol junction of Moloney murine leukemia virus: Requirements for expression of the gag-pol fusion protein. J. Virol. 1992, 66, 6601–6608. [Google Scholar] [CrossRef]
- Houck-Loomis, B.; Durney, M.A.; Salguero, C.; Shankar, N.; Nagle, J.M.; Goff, S.P.; D’Souza, V.M. An equilibrium-dependent retroviral mRNA switch regulates translational recoding. Nature 2011, 480, 561–564. [Google Scholar] [CrossRef]
- Jacks, T.; Varmus, H.E. Expression of the Rous sarcoma virus pol gene by ribosomal frameshifting. Science 1985, 230, 1237–1242. [Google Scholar] [CrossRef] [PubMed]
- Jacks, T.; Power, M.D.; Masiarz, F.R.; Luciw, P.A.; Barr, P.J.; Varmus, H.E. Characterization of ribosomal frameshifting in HIV-1 gag-pol expression. Nature 1988, 331, 280–283. [Google Scholar] [CrossRef] [PubMed]
- Hizi, A.; Henderson, L.E.; Copeland, T.D.; Sowder, R.C.; Hixson, C.V.; Oroszlan, S. Characterization of mouse mammary tumor virus gag-pro gene products and the ribosomal frameshift site by protein sequencing. Proc. Natl. Acad. Sci. USA 1987, 84, 7041–7045. [Google Scholar] [CrossRef] [PubMed]
- Barre-Sinoussi, F.; Chermann, J.C.; Rey, F.; Nugeyre, M.T.; Chamaret, S.; Gruest, J.; Dauguet, C.; Axler-Blin, C.; Vezinet-Brun, F.; Rouzioux, C.; et al. Isolation of a T-lymphotropic retrovirus from a patient at risk for acquired immune deficiency syndrome (AIDS). Science 1983, 220, 868–871. [Google Scholar] [CrossRef] [PubMed]
Publisher’s Note: MDPI stays neutral with regard to jurisdictional claims in published maps and institutional affiliations. |
© 2021 by the author. Licensee MDPI, Basel, Switzerland. This article is an open access article distributed under the terms and conditions of the Creative Commons Attribution (CC BY) license (http://creativecommons.org/licenses/by/4.0/).
