Mosquito-Independent Transmission of West Nile virus in Farmed Saltwater Crocodiles (Crocodylus porosus)
Abstract
1. Introduction
2. Materials and Methods
2.1. Cell Culture and Virus
2.2. Sequencing and Phylogenetic Analysis
2.3. Experimental Animals and Housing
2.4. Experimental Infection
2.5. RT-PCR, qRT-PCR and Sequencing
2.5.1. Water
2.5.2. Cloacal and Oral Swabs
2.5.3. Skin Samples
2.5.4. Plasma Samples
2.6. Virus Isolation and Titration
2.7. Histopathology and Immunohistochemistry (IHC)
2.8. Serology
3. Results
3.1. Isolation of WNVKUN from Skin Lesions and Plasma
3.2. Sequence Analysis of Virus RNA from Skin Lesions
3.3. WNVKUN Replication in C. porosus Derived Cell Lines
3.4. Experimental WNV-Infection in Hatchling C. porosus
3.4.1. Clinical Observations
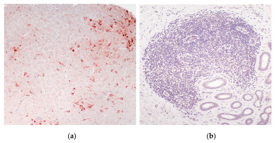
3.4.2. Gross and Histopathology
3.4.3. Virus Detection by qRT-PCR, Isolation and Immunohistochemistry
3.4.4. Detection of WNVKUN-Specific Antibodies Pre- and Post-Infection
4. Discussion
5. Conclusions
Supplementary Materials
Author Contributions
Funding
Acknowledgments
Conflicts of Interest
References
- Murgue, B.; Zeller, H.; Deubel, V. The ecology and epidemiology of West Nile virus in Africa, Europe and Asia. Curr. Top. Microbiol. Immunol. 2002, 267, 195–221. [Google Scholar]
- Hall, R.A. The emergence of West Nile virus: The Australian connection. Viral Immunol. 2000, 13, 447–461. [Google Scholar] [CrossRef] [PubMed]
- Scherret, J.H.; Poidinger, M.; Mackenzie, J.S.; Broom, A.K.; Deubel, V.; Lipkin, W.I.; Gould, E.A.; Hall, R.A. The relationships between West Nile and Kunjin viruses. Emerg. Infect. Dis. 2001, 7, 697–705. [Google Scholar] [CrossRef] [PubMed]
- Prow, N.A.; Edmonds, J.H.; Williams, D.T.; Setoh, Y.X.; Bielefeldt-Ohmann, H.; Suen, W.W.; Hobson-Peters, J.; van den Hurk, A.F.; Pyke, A.T.; Hall-Mendelin, S.; et al. Virulence and evolution of West Nile Virus, Australia, 1960–2012. Emerg. Infect. Dis. 2016, 22, 1353–1362. [Google Scholar] [CrossRef] [PubMed]
- Hall, R.A.; Broom, A.K.; Smith, D.W.; Mackenzie, J.S. The ecology and epidemiology of Kunjin virus. Curr. Top. Microbiol. Immunol. 2002, 267, 253–269. [Google Scholar] [PubMed]
- Frost, M.J.; Zhang, J.; Edmonds, J.H.; Prow, N.A.; Gu, X.; Davis, R.; Hornitzky, C.; Arzey, K.E.; Finlaison, D.; Hick, P.; et al. Characterization of virulent West Nile virus Kunjin strain, Australia. Emerg. Infect. Dis. 2012, 18, 792–800. [Google Scholar] [CrossRef] [PubMed]
- Ariel, E. Viruses in reptiles. Vet. Res. 2011, 42, 100. [Google Scholar] [CrossRef] [PubMed]
- Marschang, R.E. Viruses infecting reptiles. Viruses 2011, 3, 2087–2126. [Google Scholar] [CrossRef]
- Jacobson, E.R.; Ginn, P.E.; Troutman, J.M.; Farina, L.; Stark, L.; KLenk, K.; Burkhalter, K.L.; Komar, N. West Nile virus infection in farmed American alligators (Alligator mississippiensis) in Florida. J. Wildl. Dis. 2005, 41, 96–106. [Google Scholar] [CrossRef]
- Newarez, J.G. Lymphohistiocytic Proliferative Syndrome of Alligators (Alligator Mississipiensis): A Cutaneous Manifestation of West Nile Virus. Ph.D. Thesis, Louisiana State University, Baton Rouge, LA, USA, 2007. [Google Scholar]
- Newarez, J.G.; Mitchell, M.A.; Morgan, T.; Roy, A.; Johson, A. Association of West Nile virus with lymphohistiocytic proliferative cutaneous lesions in American alligators (Alligator mississippiensis) detected by RT-PCR. J. Zoo Wildl. Med. 2008, 39, 562–566. [Google Scholar] [CrossRef]
- Isberg, S.R.; Moran, J.L.; De Araujo, R.; Elliott, N.; Melville, L. First evidence of Kunjin strain of West Nile virus associated with saltwater crocodile (Crocodylus porosus) skin lesions. Aust. Vet. J. 2019, 97, 390–393. [Google Scholar] [CrossRef] [PubMed]
- Jansen, C.C.; Webb, C.E.; Northill, J.A.; Ritchie, S.A.; Russell, R.C.; van den Hurk, A.F. Vector competence of Australian mosquito species from a Northern American strain of West Nile virus. Vector Borne Zoonotic Dis. 2008, 8, 805–811. [Google Scholar] [CrossRef]
- Kay, B.H.; Fanning, I.D.; Carley, J.G. Vector competence of Culex pipiens quinquefasciatus for Murray Valley encephalitis, Kunjin, and Ross River viruses from Australia. Am. J. Trop. Med. Hyg. 1982, 31, 844–848. [Google Scholar] [CrossRef] [PubMed]
- Isberg, S.R.; Chen, Y.; Barker, S.G.; Moran, C. Analysis of microsatellites and parentage testing in saltwater crocodiles. J. Hered. 2004, 122, 361–369. [Google Scholar] [CrossRef] [PubMed]
- Prow, N.A.; Setoh, Y.X.; Biron, R.M.; Sester, D.P.; Kim, K.S.; Hobson-Peters, J.; Hall, R.A.; Bielefeldt-Ohmann, H. The West Nile virus-like flavivirus Koutango is highly virulent in mice due to delayed viral clearance and the induction of a poor neutralizing antibody response. J. Virol. 2014, 88, 9947–9962. [Google Scholar] [CrossRef] [PubMed]
- Melville, L.; Davis, S.; Shilton, C.; Isberg, S.; Chong, A.; Gongora, J. Hunting Viruses in Crocodiles. Viral and Endogenous Retroviral Detection and Characterization in Farmed Crocodiles; Australian Government Rural Industries Research and Development Corporation, RIRDC Publication: Melbourne, Australia, 2012. [Google Scholar]
- Reed, L.J.; Muench, H. A simple method of estimating fifty per cent endpoints. Am. J. Epidemiol. 1938, 27, 493–497. [Google Scholar] [CrossRef]
- Pyke, A.T.; Smith, I.L.; van den Hurk, A.F.; Northill, J.A.; Chuan, T.F.; Westacott, A.J.; Smith, G.A. Detection of Australasian Flavivirus encephalitic viruses using rapid fluorogenic TaqMan RT-PCR assays. J. Virol. Methods 2004, 117, 161–167. [Google Scholar] [CrossRef]
- Huelsenbeck, J.P.; Ronquist, F. MRBAYES: Bayesian inference of phylogenetic trees. Bioinformatics 2001, 17, 754–755. [Google Scholar] [CrossRef]
- Isberg, S.R.; Thomson, P.C.; Nicholas, F.W.; Barker, S.G.; Moran, C. Quantitative analysis of production traits in saltwater crocodiles (Crocodylus porosus): I. reproductive traits. J. Anim. Breed. Genet. 2005, 122, 361–369. [Google Scholar] [CrossRef]
- Miles, L.G.; Isberg, S.R.; Thomson, P.C.; Glenn, T.C.; Lance, S.L.; Dalzell, P.; Moran, C. QTL mapping for two commercial traits in farmed saltwater crocodiles (Crocodylus porosus). Anim. Genet. 2010, 41, 142–149. [Google Scholar] [CrossRef]
- Finger, J.W.J.; Thomson, P.C.; Adams, A.L.; Benedict, S.; Moran, C.; Isberg, S.R. Reference levels for corticosterone and immune function in farmed saltwater crocodiles (Crocodylus porosus) hatchlings using current Code of Practice guidelines. Gen. Comp. Endocrinol. 2015, 212, 63–72. [Google Scholar] [CrossRef] [PubMed]
- Isberg, S.R.; Thomson, P.C.; Nicholas, F.W.; Barker, S.G.; Moran, C. Quantitative analysis of production traits in saltwater crocodiles (Crocodylus porosus): II. age at slaughter. J. Anim. Breed. Genet. 2005, 122, 370–377. [Google Scholar] [CrossRef] [PubMed]
- Van den Hurk, A.F.; Hall-Mendelin, S.; Townsend, M.; Kurucz, N.; Edwards, J.; Ehlers, G.; Rodwell, C.; Moore, F.A.; McMahon, J.L.; Northill, J.A.; et al. Applications of a sugar-based surveillance system to track arboviruses in wild mosquito populations. Vector Borne Zoonotic Dis. 2014, 14, 66–73. [Google Scholar] [CrossRef] [PubMed]
- Bielefeldt-Ohmann, H.; Bosco-Lauth, A.; Hartwig, A.E.; Uddin, M.J.; Barcelon, J.; Suen, W.W.; Wang, W.; Hall, R.A.; Bowen, R.A. Characterization of non-lethal West Nile Virus (WNV) infection in horses: Subclinical pathology and innate immune response. Microb. Pathog. 2017, 103, 71–79. [Google Scholar] [CrossRef] [PubMed]
- Hall, R.A.; Broom, A.K.; Hartnett, A.C.; Howard, M.J.; Mackenzie, J.S. Immunodominant epitopes on the NS1 protein of MVE and KUN viruses serve as targets for a blocking ELISA to detect virus-specific antibodies in sentinel animal serum. J. Virol. Methods. 1995, 51, 201–210. [Google Scholar] [CrossRef]
- Prow, N.A.; Tan, C.S.; Wang, W.; Hobson-Peters, J.; Kidd, L.; Barton, A.; Wright, J.; Hall, R.A.; Bielefeldt-Ohmann, H. Natural exposure of horses to mosquito-borne flaviviruses in south-east Queensland, Australia. Int. J. Environ. Res. Public Health 2013, 10, 4432. [Google Scholar] [CrossRef]
- Suen, W.W.; Imoda, M.; Thomas, A.W.; Nasir, N.N.B.M.; Tearnsing, N.; Wang, W.; Bielefeldt-Ohmann, H. An acute stress model in New Zealand white rabbits exhibits altered immune response to infection with West Nile Virus. Pathogens 2019, 8, 195. [Google Scholar] [CrossRef]
- Setoh, Y.X.; Prow, N.A.; Rawle, D.J.; Tan, C.S.; Edmonds, J.H.; Hall, R.A.; Khromykh, A.A. Systematic analysis of viral genes responsible for differential virulence between American and Australian West Nile virus strains. J. Gen. Virol. 2015, 96, 1297–1308. [Google Scholar] [CrossRef]
- Voermans, J.J.C.; Pas, S.D.; van der Linden, A.; Geurts van Kessel, C.; Koopmans, M.; van der Eijk, A.; Reusken, C.B.E.M. Whole-blood testing for diagnosis of acute Zika virus infections in routine diagnostic setting. Emerg. Infect. Dis. 2019, 25, 1394–1396. [Google Scholar] [CrossRef]
- Klenk, K.; Snow, J.; Morgan, K.; Bowen, R.; Stephens, M.; Foster, F.; Gordy, P.; Beckett, S.; Koman, N.; Gubler, D.; et al. Alligators as West Nile virus amplifiers. Emerg. Infect. Dis. 2004, 10, 2150–2155. [Google Scholar] [CrossRef]
- Althouse, B.M.; Hanley, K.A. The tortoise or the hare? Impacts of within-host dynamics on transmission success of arthropod-borne viruses. Philos Trans. R. Soc. Lond. B Biol. Sci. 2015, 370, 20140299. [Google Scholar] [CrossRef] [PubMed]
- Hanley, K.A.; Azar, S.R.; Campos, R.K.; Vasilakis, N.; Rossi, S.L. Support for the transmission-clearance trade-off hypothesis from a study of Zika virus delivered by mosquito bite to mice. Viruses 2019, 11, 1072. [Google Scholar] [CrossRef] [PubMed]
- Laoprasopwattana, K.; Libraty, D.H.; Endy, T.P.; Nisalak, A.; Chunsuttiwat, S.; Ennis, F.A.; Rothman, A.L.; Green, S. Antibody-dependent cellular cytotoxicity mediated by plasma obtained before secondary dengue virus infections: Potential involvement in early control of viral replication. J. Infect. Dis. 2007, 195, 1108–1116. [Google Scholar] [CrossRef] [PubMed]
- Sarker, S.; Wang, Y.; Warren-Smith, B.; Helbig, K.J. Dynamic changes in host gene expression following in vitro viral mimic stimulation in crocodile cells. Front. Immunol. 2017, 8, 1634. [Google Scholar] [CrossRef]
- Ohmann, H.B.; McDougall, L.; Potter, A. Secondary in vitro B lymphocyte (antibody) response to microbial antigens: Use in appraisal of vaccine immunogenicity and cytokine immunoregulation. Vaccine 1991, 9, 170–176. [Google Scholar]
- Conley, K.J.; Shilton, C.M.C. Pathology of Wildlife and Zoo Animals, 1st ed.; Terio, K.A., McAloose, D., St. Leger, J., Eds.; Academic Press: Cambridge, MA, USA, 2018. [Google Scholar]
- Jacobson, E.R. Infectious Diseases and Pathology of Reptiles, 1st ed.; CRC Press: Boca Raton, FL, USA, 2007. [Google Scholar]
- Grayfer, L.; De Jesús Andino, F.; Chen, G.; Chinchar, G.V.; Robert, J. Immune evasion strategies of ranaviruses and innate immune responses to these emerging pathogens. Viruses 2012, 4, 1075–1092. [Google Scholar] [CrossRef]
- Sharma, S.; Thomas, P.G. The two faces of heterologous immunity: Protection or immunopathology. J. Leuk. Biol. 2014, 95, 405–416. [Google Scholar] [CrossRef]
- Kaye, S.; Wang, W.; Miller, C.; McLuckie, A.; Beatty, J.A.; Grant, C.K.; VandeWoude, S.; Bielefeldt-Ohmann, H. Role of feline immunodeficiency virus in lymphomagenesis–going alone or colluding? ILAR J. 2016, 57, 24–33. [Google Scholar] [CrossRef]
- Hall, R.A.; Bielefeldt-Ohmann, H.; McLean, B.J.; O’Brien, C.A.; Colmant, A.M.; Piyasena, T.B.; Harrison, J.J.; Newton, N.D.; Barnard, R.T.; Prow, N.A.; et al. Commensal viruses of mosquitoes: Host restriction, transmission, and interaction with arboviral pathogens. Evol. Bioinform. Online 2017, 12, 35–44. [Google Scholar] [CrossRef]
- Colmant, A.M.; Bielefeldt-Ohmann, H.; Hobson-Peters, J.; Suen, W.W.; O’Brien, C.A.; van den Hurk, A.F.; Hall, R.A. A newly discovered flavivirus in the yellow fever virus group displays restricted replication in vertebrates. J. Gen. Virol. 2016, 97, 1087–1093. [Google Scholar] [CrossRef]
- Pauvolid-Corrêa, A.; Campos, Z.; Juliano, R.; Velez, J.; Nogueira, R.M.; Komar, N. Serological evidence of widespread circulation of West Nile virus and other flaviviruses in equines of the Pantanal, Brazil. PLoS Negl. Trop. Dis. 2014, 8, e2706. [Google Scholar] [CrossRef] [PubMed]
- Stromsland, K.; Zimmerman, L.M. Relationships between parasitic infection and natural antibodies, age, and sex in a long-lived vertebrate. J. Exp. Zool 2017, 327, 407–412. [Google Scholar] [CrossRef] [PubMed]
- Keenan, S.W.; Summers Engel, A.; Elsey, R.M. The alligator gut microbiome and implications for archosaur symbioses. Sci. Rep. 2013, 3, 2877. [Google Scholar] [CrossRef] [PubMed]












| Group | Control (No Injection) | 1 × 105 IU 1 WNVKUN Challenge | In-Contact Controls for 105 IU Injected | 1 × 104 IU WNVKUN Challenge | In-Contact Controls for 104 IU Injected |
|---|---|---|---|---|---|
| N | 7 | 10 | 6 | 11 | 6 |
| Position in Polyprotein 1 | Protein | Position in Protein | WNVny99 | WNVkun (mrm61c) | WNVkun (nsw2011) | Crocodile-Derived WNV | nt Position in Assembly |
|---|---|---|---|---|---|---|---|
| 20 | C | 20 | G | G | G | E | 104 |
| 108 | prM | 3 | K | K | R | K | 404 |
| 166 | prM | 61 | Y | H | Y | H | 578 |
| 207 | prM | 102 | T | T | T | A | 701 |
| 837 | NS1 | 46 | I | I | V | I | 2591 |
| 1026 | NS1 | 235 | G | G | G | E | 3158 |
| 1192 | NS2A | 49 | I | I | I | V | 3656 |
| 1355 | NS2A | 212 | L | F | F | L | 4145 |
| 1719 | NS3 | 214 | N | N | N | S | 5237 |
| 2210 | NS4A | 86 | V | V | V | I | 6710 |
| 2683 | NS5 | 155 | E | E | E | Q | 8129 |
| 2797 | NS5 | 269 | K | K | K | R | 8471 |
| 2978 | NS5 | 450 | H | H | H | Y | 9014 |
| Group | Day p.i. | |||||||||
|---|---|---|---|---|---|---|---|---|---|---|
| 0 | 1 | 2 | 3 | 4 | 5 | 6 | 7 | 8 | 9 | |
| 105 IU | 0/10 | 0/3 | 1/4 | 1/3 | 1/3 | 2/4 | 0/3 | 0/3 | 0/2 | 0/3 |
| 105 IU in-contact | 0/6 | 0/2 | 0/2 | 0/2 | 0/2 | 0/2 | 0/2 | 0/1 | 0/2 | 0/2 |
| 104 IU | 0/11 | 0/3 | 0/4 | 0/4 | 0/3 | 3/4 | 0/4 | 0/3 | 0/2 | 0/4 |
| 104 IU in-contact | 0/6 | 0/2 | 0/2 | 0/2 | 0/2 | 0/2 | 0/2 | 0/2 | 0/1 | 0/2 |
| Control | 0/7 | 0/2 | 0/2 | 0/2 | 0/2 | 0/2 | 0/2 | 0/2 | 0/1 | 0/2 |
© 2020 by the authors. Licensee MDPI, Basel, Switzerland. This article is an open access article distributed under the terms and conditions of the Creative Commons Attribution (CC BY) license (http://creativecommons.org/licenses/by/4.0/).
Share and Cite
Habarugira, G.; Moran, J.; Colmant, A.M.G.; Davis, S.S.; O’Brien, C.A.; Hall-Mendelin, S.; McMahon, J.; Hewitson, G.; Nair, N.; Barcelon, J.; et al. Mosquito-Independent Transmission of West Nile virus in Farmed Saltwater Crocodiles (Crocodylus porosus). Viruses 2020, 12, 198. https://doi.org/10.3390/v12020198
Habarugira G, Moran J, Colmant AMG, Davis SS, O’Brien CA, Hall-Mendelin S, McMahon J, Hewitson G, Nair N, Barcelon J, et al. Mosquito-Independent Transmission of West Nile virus in Farmed Saltwater Crocodiles (Crocodylus porosus). Viruses. 2020; 12(2):198. https://doi.org/10.3390/v12020198
Chicago/Turabian StyleHabarugira, Gervais, Jasmin Moran, Agathe M.G. Colmant, Steven S. Davis, Caitlin A. O’Brien, Sonja Hall-Mendelin, Jamie McMahon, Glen Hewitson, Neelima Nair, Jean Barcelon, and et al. 2020. "Mosquito-Independent Transmission of West Nile virus in Farmed Saltwater Crocodiles (Crocodylus porosus)" Viruses 12, no. 2: 198. https://doi.org/10.3390/v12020198
APA StyleHabarugira, G., Moran, J., Colmant, A. M. G., Davis, S. S., O’Brien, C. A., Hall-Mendelin, S., McMahon, J., Hewitson, G., Nair, N., Barcelon, J., Suen, W. W., Melville, L., Hobson-Peters, J., Hall, R. A., Isberg, S. R., & Bielefeldt-Ohmann, H. (2020). Mosquito-Independent Transmission of West Nile virus in Farmed Saltwater Crocodiles (Crocodylus porosus). Viruses, 12(2), 198. https://doi.org/10.3390/v12020198

