New Viruses from the Ectoparasite Mite Varroa destructor Infesting Apis mellifera and Apis cerana
Abstract
1. Introduction
2. Materials and Methods
2.1. Sample Collection
2.2. Samples Preparation
2.3. Transcriptome and Virome Analysis
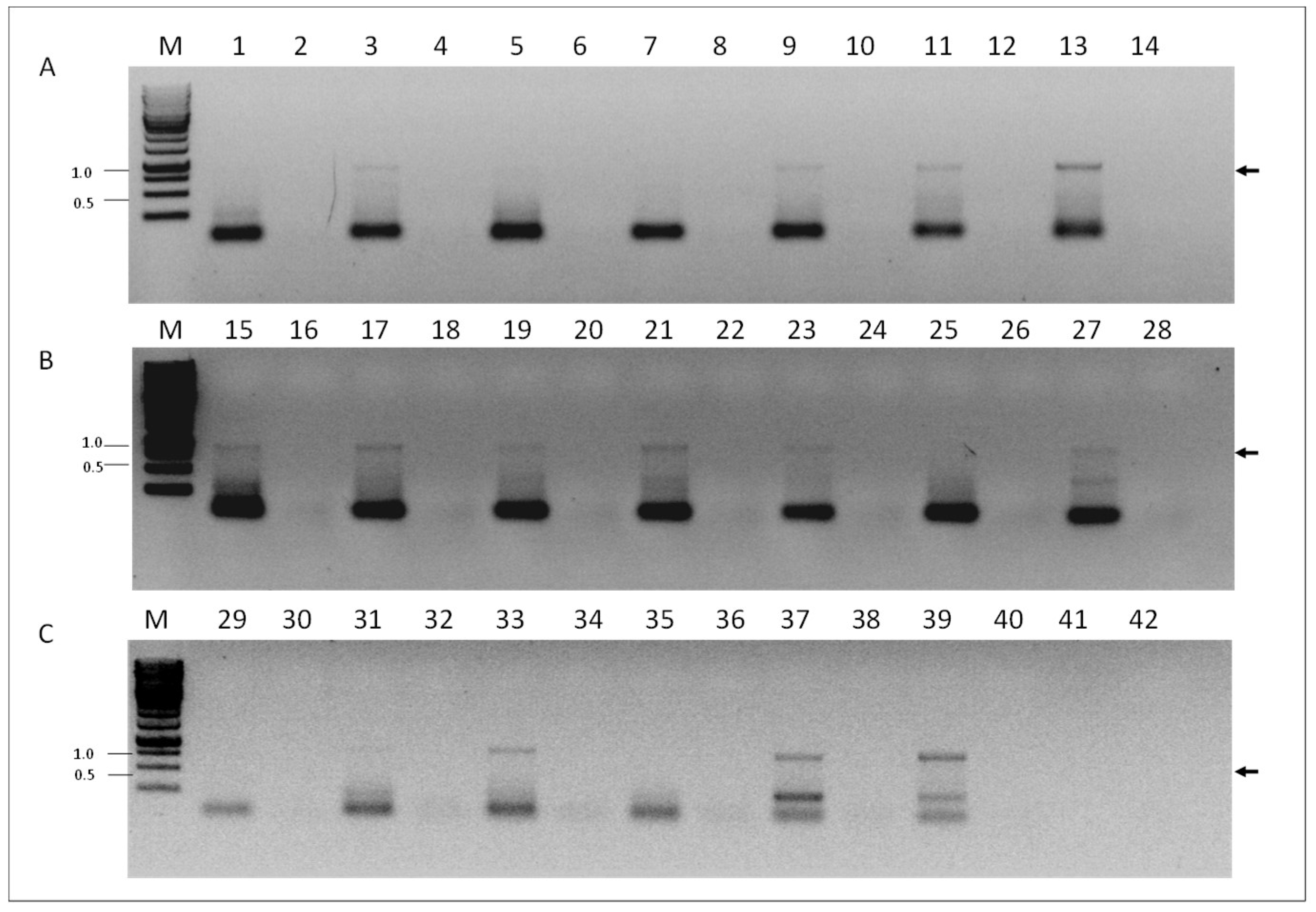
2.4. RT-PCR
2.5. VOV-1 Prevalence
2.6. qRT-PCR
2.7. Replication Assay
2.8. Bioinformatic Identification of Contigs
2.9. Molecular Phylogenetic Analysis
3. Results
3.1. Metagenomic Analysis of Viruses in A. mellifera, A. cerana and Their V. destructor Mites
- identification of the most common honeybee viruses: Acute bee paralysis virus (ABPV), Israeli acute paralysis virus (IAPV) in IB1, IV4, and SB2; Apis mellifera filamentous virus (AmFV) in AB3; Bee Macula-like virus/Varroa Macula-like virus (BeeMLV/VdMLV) and Black queen cell virus (BQCV) in all the libraries except for BCER and VCER; Deformed wing virus (DWV) in all the libraries; Lake Sinai virus (LSV) in IB1; and Sacbrood virus (SBV) in IB1, IV4, SV5, and AV6 (details are provided in Materials and Methods and in Table 3).
- discovery of two new viruses that we designed Varroa orthomyxovirus-1 (VOV-1), an orthomyxovirus with low homology to other viruses from the Orthomyxoviridae family, and Varroa destructor virus-4 VDV-4 (Table 3 and see below).
3.2. Varroa Orthomyxovirus-1 and the Hubei Virga-like 14 Homolog Virus
4. Discussion
Supplementary Materials
Author Contributions
Funding
Acknowledgments
Conflicts of Interest
References
- Rosenkranz, P.; Aumeier, P.; Ziegelmann, B. Biology and control of Varroa destructor. J. Invertebr. Pathol. 2010, 103, S96–S119. [Google Scholar] [CrossRef] [PubMed]
- Bowen-Walker, P.L.; Martin, S.J.; Gunn, A. The transmission of deformed wing virus between honeybees (Apis mellifera L.) by the ectoparasitic mite Varroa jacobsoni Oud. J. Invertebr. Pathol. 1999, 73, 101–106. [Google Scholar] [CrossRef] [PubMed]
- Chen, Y.; Pettis, J.S.; Evans, J.D.; Kramer, M.; Feldlaufer, M.F. Transmission of Kashmir bee virus by the ectoparasitic mite Varroa destructor. Apidologie 2004, 35, 441–448. [Google Scholar] [CrossRef]
- Shen, M.; Cui, L.; Ostiguy, N.; Cox-Foster, D. Intricate transmission routes and interactions between picorna-like viruses (Kashmir bee virus and sacbrood virus) with the honeybee host and the parasitic varroa mite. J. Gen. Virol. 2005, 86, 2281–2289. [Google Scholar] [CrossRef] [PubMed]
- De Miranda, J.R.; Genersch, E. Deformed wing virus. J. Invertebr. Pathol. 2010, 103 (Suppl. 1), S48–S61. [Google Scholar] [CrossRef] [PubMed]
- Roberts, J.M.K.; Anderson, D.L.; Tay, W.T. Multiple host shifts by the emerging honeybee parasite, Varroa jacobsoni. Mol. Ecol. 2015, 24, 2379–2391. [Google Scholar] [CrossRef] [PubMed]
- Chen, Y.P.; Siede, R. Honey bee viruses. In Advances in Virus Research; Academic Press: Cambridge, MA, USA, 2007; pp. 33–80. ISSN 0065-3527. [Google Scholar]
- Nielsen, S.L.; Nicolaisen, M.; Kryger, P. Incidence of acute bee paralysis virus, black queen cell virus, chronic bee paralysis virus, deformed wing virus, Kashmir bee virus and sacbrood virus in honey bees Apis mellifera in Denmark. Apidologie 2008, 39, 310–314. [Google Scholar] [CrossRef]
- Gauthier, L.; Cornman, S.; Hartmann, U.; Cousserans, F.; Evans, J.D.; de Miranda, J.R.; Neumann, P. The Apis mellifera filamentous virus genome. Viruses 2015, 7, 3798–3815. [Google Scholar] [CrossRef]
- Amakpe, F.; Smet, L.D.; Brunain, M.; Ravoet, J.; Jacobs, F.J.; Reybroeck, W.; Sinsin, B.; de Graaf, D.C. Discovery of Lake Sinai virus and an unusual strain of acute bee paralysis virus in West African apiaries. Apidologie 2016, 47, 35–47. [Google Scholar] [CrossRef]
- Brutscher, L.M.; McMenamin, A.J.; Flenniken, M.L. The Buzz about honey bee viruses. PLoS Pathog. 2016, 12, e1005757. [Google Scholar] [CrossRef]
- Martin, S.J. The role of varroa and viral pathogens in the collapse of honeybee colonies: A modelling approach: Collapse of varroa-infested honeybee colonies. J. Appl. Ecol. 2002, 38, 1082–1093. [Google Scholar] [CrossRef]
- Santillán-Galicia, M.T.; Ball, B.V.; Clark, S.J.; Alderson, P.G. Transmission of Deformed wing virus and Slow paralysis virus to adult bees (Apis mellifera L.) by Varroa destructor. J. Apic. Res. 2010, 49, 141–148. [Google Scholar]
- Di Prisco, G.; Pennacchio, F.; Caprio, E.; Boncristiani, H.F.; Evans, J.D.; Chen, Y. Varroa destructor is an effective vector of Israeli acute paralysis virus in the honeybee, Apis mellifera. J. Gen. Virol. 2011, 92, 151–155. [Google Scholar] [CrossRef] [PubMed]
- Francis, R.M.; Nielsen, S.L.; Kryger, P. Varroa-virus Interaction in collapsing honey bee colonies. PLoS ONE 2013, 8, e57540. [Google Scholar] [CrossRef] [PubMed]
- Gisder, S.; Aumeier, P.; Genersch, E. Deformed wing virus: Replication and viral load in mites (Varroa destructor). J. Gen. Virol. 2009, 90, 463–467. [Google Scholar] [CrossRef] [PubMed]
- Moore, J.; Jironkin, A.; Chandler, D.; Burroughs, N.; Evans, D.J.; Ryabov, E.V. Recombinants between Deformed wing virus and Varroa destructor virus-1 may prevail in Varroa destructor-infested honeybee colonies. J. Gen. Virol. 2011, 92, 156–161. [Google Scholar] [CrossRef] [PubMed]
- Mondet, F.; de Miranda, J.R.; Kretzschmar, A.; Le Conte, Y.; Mercer, A.R. On the front line: Quantitative virus dynamics in honeybee (Apis mellifera L.) colonies along a new expansion front of the parasite Varroa destructor. PLoS Pathog. 2014, 10, e1004323. [Google Scholar] [CrossRef] [PubMed]
- Nazzi, F.; Brown, S.P.; Annoscia, D.; Del Piccolo, F.; Di Prisco, G.; Varricchio, P.; Della Vedova, G.; Cattonaro, F.; Caprio, E.; Pennacchio, F. Synergistic parasite-pathogen interactions mediated by host immunity can drive the collapse of honeybee colonies. PLoS Pathog. 2012, 8, e1002735. [Google Scholar] [CrossRef]
- Ryabov, E.V.; Wood, G.R.; Fannon, J.M.; Moore, J.D.; Bull, J.C.; Chandler, D.; Mead, A.; Burroughs, N.; Evans, D.J. A virulent strain of Deformed wing virus (DWV) of honeybees (Apis mellifera) prevails after Varroa destructor-mediated, or in vitro, transmission. PLoS Pathog. 2014, 10, e1004230. [Google Scholar] [CrossRef]
- Carreck, N.L.; Ball, B.V.; Martin, S.J. Honey bee colony collapse and changes in viral prevalence associated with Varroa destructor. J. Apic. Res. 2010, 49, 93–94. [Google Scholar] [CrossRef]
- Dainat, B.; Evans, J.D.; Chen, Y.P.; Gauthier, L.; Neumann, P. Predictive markers of honey bee colony collapse. PLoS ONE 2012, 7, e32151. [Google Scholar] [CrossRef] [PubMed]
- Levin, S.; Sela, N.; Chejanovsky, N. Two novel viruses associated with the Apis mellifera pathogenic mite Varroa destructor. Sci. Rep. 2016, 6, 37710. [Google Scholar] [CrossRef] [PubMed]
- Haddad, N.J.; Horth, L.; Al-Shagour, B.; Adjlane, N.; Loucif-Ayad, W. Next-generation sequence data demonstrate several pathogenic bee viruses in Middle East and African honey bee subspecies (Apis mellifera syriaca, Apis mellifera intermissa) as well as their cohabiting pathogenic mites (Varroa destructor). Virus Genes 2018, 54, 694–705. [Google Scholar] [CrossRef] [PubMed]
- Haig, D.A.; Woodall, J.P.; Danskin, D. Thogoto Virus: A hitherto undescribed agent isolated from ticks in Kenya. Microbiology 1965, 38, 389–394. [Google Scholar] [CrossRef] [PubMed]
- Calisher, C.H.; Karabatsos, N.; Filipe, A.R. Antigenic uniformity of topotype strains of Thogoto virus from Africa, Europe, and Asia. Am. J. Trop. Med. Hyg. 1987, 37, 670–673. [Google Scholar] [CrossRef] [PubMed]
- Davies, C.R.; Jones, L.D.; Green, B.M.; Nuttall, P.A. In vivo reassortment of Thogoto virus (a tick-borne influenza-like virus) following oral infection of Rhipicephalus appendiculatus ticks. J. Gen. Virol. 1987, 68 Pt 9, 2331–2338. [Google Scholar] [CrossRef]
- Mateo, R.I.; Xiao, S.-Y.; Lei, H.; DA ROSA, A.P.T.; Tesh, R.B. Dhori virus (Orthomyxoviridae: Thogotovirus) infection in mice: A model of the pathogenesis of severe orthomyxovirus infection. Am. J. Trop. Med. Hyg. 2007, 76, 785–790. [Google Scholar] [CrossRef] [PubMed]
- Horsington, J.; Zhang, Z. Analysis of foot-and-mouth disease virus replication using strand-specific quantitative RT-PCR. J. Virol. Methods 2007, 144, 149–155. [Google Scholar] [CrossRef]
- Levin, S.; Galbraith, D.; Sela, N.; Erez, T.; Grozinger, C.M.; Chejanovsky, N. Presence of Apis Rhabdovirus-1 in populations of pollinators and their parasites from two continents. Front. Microbiol. 2017, 8, 2482. [Google Scholar] [CrossRef]
- Haas, B.J.; Papanicolaou, A.; Yassour, M.; Grabherr, M.; Blood, P.D.; Bowden, J.; Couger, M.B.; Eccles, D.; Li, B.; Lieber, M.; et al. De novo transcript sequence reconstruction from RNA-seq using the Trinity platform for reference generation and analysis. Nat. Protoc. 2013, 8, 1494–1512. [Google Scholar] [CrossRef]
- Altschul, S.F.; Madden, T.L.; Schäffer, A.A.; Zhang, J.; Zhang, Z.; Miller, W.; Lipman, D.J. Gapped BLAST and PSI-BLAST: A new generation of protein database search programs. Nucleic Acids Res. 1997, 25, 3389–3402. [Google Scholar] [CrossRef] [PubMed]
- De Miranda, J.R.; Bailey, L.; Ball, B.V.; Blanchard, P.; Budge, G.E.; Chejanovsky, N.; Chen, Y.P.; Gauthier, L.; Genersch, E.; de Graaf, D.C.; et al. Standard methods for virus research in Apis mellifera. J. Apic. Res. 2013, 52, 32. [Google Scholar] [CrossRef]
- Tamura, K.; Stecher, G.; Peterson, D.; Filipski, A.; Kumar, S. MEGA6: Molecular evolutionary genetics analysis version 6.0. Mol. Biol. Evol. 2013, 30, 2725–2729. [Google Scholar] [CrossRef] [PubMed]
- Langmead, B.; Salzberg, S.L. Fast gapped-read alignment with Bowtie 2. Nat. Methods 2012, 9, 357–359. [Google Scholar] [CrossRef] [PubMed]
- Katoh, K.; Standley, D.M. MAFFT multiple sequence alignment software version 7: Improvements in performance and usability. Mol. Biol. Evol. 2013, 30, 772–780. [Google Scholar] [CrossRef] [PubMed]
- Guindon, S.; Dufayard, J.-F.; Lefort, V.; Anisimova, M.; Hordijk, W.; Gascuel, O. New algorithms and methods to estimate maximum-likelihood phylogenies: Assessing the performance of PhyML 3.0. Syst. Biol. 2010, 59, 307–321. [Google Scholar] [CrossRef] [PubMed]
- Remnant, E.J.; Shi, M.; Buchmann, G.; Blacquière, T.; Holmes, E.C.; Beekman, M.; Ashe, A. A Diverse range of novel RNA viruses in geographically distinct honey bee populations. J. Virol. 2017, 91, e00158-17. [Google Scholar] [CrossRef]
- Shi, M.; Lin, X.-D.; Tian, J.-H.; Chen, L.-J.; Chen, X.; Li, C.-X.; Qin, X.-C.; Li, J.; Cao, J.-P.; Eden, J.-S.; et al. Redefining the invertebrate RNA virosphere. Nature 2016, 540, 539–543. [Google Scholar] [CrossRef]
- Debat, H.J. An RNA virome associated to the golden orb-weaver spider Nephila clavipes. Front. Microbiol. 2017, 8, 2097. [Google Scholar] [CrossRef]
- Ai, H.; Yan, X.; Han, R. Occurrence and prevalence of seven bee viruses in Apis mellifera and Apis cerana apiaries in China. J. Invertebr. Pathol. 2012, 109, 160–164. [Google Scholar] [CrossRef]
- Choe, S.E.; Nguyen, L.T.K.; Noh, J.H.; Koh, H.B.; Jean, Y.H.; Kweon, C.H.; Kang, S.W. Prevalence and distribution of six bee viruses in Korean Apis cerana populations. J. Invertebr. Pathol. 2012, 109, 330–333. [Google Scholar] [CrossRef] [PubMed]
- Forsgren, E.; Wei, S.; Ding, G.; Liu, Z.; Tran, T.V.; Tang, P.T.; Truong, T.A.; Dinh, T.Q.; Fries, I. Preliminary observations on possible pathogen spill-over from Apis mellifera to Apis cerana. Apidologie 2015, 46, 265–275. [Google Scholar] [CrossRef]
- Chanpanitkitchote, P.; Chen, Y.; Evans, J.D.; Li, W.; Li, J.; Hamilton, M.; Chantawannakul, P. Acute bee paralysis virus occurs in the Asian honey bee Apis cerana and parasitic mite Tropilaelaps mercedesae. J. Invertebr. Pathol. 2018, 151, 131–136. [Google Scholar] [CrossRef] [PubMed]
- Rana, B.; Garg, I.; Khurana, S.P.; Verma, L.; Agrawal, H. Thai sacbrood virus of honeybees (Apis cerana indica F) in north-west Himalayas. Indian J. Virol. 1986, 2, 127–131. [Google Scholar]
- Chantawannakul, P.; de Guzman, L.I.; Li, J.; Williams, G.R. Parasites, pathogens, and pests of honeybees in Asia. Apidologie 2016, 47, 301–324. [Google Scholar] [CrossRef]
- Li, J.; Qin, H.; Wu, J.; Sadd, B.M.; Wang, X.; Evans, J.D.; Peng, W.; Chen, Y. The prevalence of parasites and pathogens in Asian honeybees Apis cerana in China. PLoS ONE 2012, 7, e47955. [Google Scholar] [CrossRef]
- Thu, H.T.; Thi, N.; Lien, K.; Linh, M.T.; Le, T.H.; Thi, N.; Reddy, K.E.; Yoo, M.S.; Kim, Y.H.; Cho, Y.S.; et al. Prevalence of bee viruses among Apis cerana populations in Vietnam. J. Apic. Res. 2016, 55, 379–385. [Google Scholar] [CrossRef]
- Dalmon, A.; Desbiez, C.; Coulon, M.; Thomasson, M.; Le Conte, Y.; Alaux, C.; Vallon, J.; Moury, B. Evidence for positive selection and recombination hotspots in Deformed wing virus (DWV). Sci. Rep. 2017, 7, 41045. [Google Scholar] [CrossRef]
- Natsopoulou, M.E.; McMahon, D.P.; Doublet, V.; Frey, E.; Rosenkranz, P.; Paxton, R.J. The virulent, emerging genotype B of Deformed wing virus is closely linked to overwinter honeybee worker loss. Sci. Rep. 2017, 7, 5242. [Google Scholar] [CrossRef]
- Martin, S.J.; Highfield, A.C.; Brettell, L.; Villalobos, E.M.; Budge, G.E.; Powell, M.; Nikaido, S.; Schroeder, D.C. Global honey bee viral landscape altered by a parasitic mite. Science 2012, 336, 1304–1306. [Google Scholar] [CrossRef]
- Highfield, A.C.; Nagar, A.E.; Mackinder, L.C.M.; Noël, L.M.-L.J.; Hall, M.J.; Martin, S.J.; Schroeder, D.C. Deformed wing virus implicated in overwintering honeybee colony losses. Appl. Environ. Microbiol. 2009, 75, 7212–7220. [Google Scholar] [CrossRef] [PubMed]
- Boecking, O.; Ritter, W. Grooming and removal behavior of Apis mellifera intermissa in Tunisia against Varroa jacobsoni. J. Apic. Res. 1993, 32, 127–134. [Google Scholar] [CrossRef]
- Adjlane, N.; Dainat, B.; Gauthier, L.; Dietemann, V. Atypical viral and parasitic pattern in Algerian honey bee subspecies Apis mellifera intermissa and A. m. sahariensis. Apidologie 2016, 47, 631–641. [Google Scholar] [CrossRef]
- Contreras-Gutiérrez, M.A.; Nunes, M.R.T.; Guzman, H.; Uribe, S.; Suaza Vasco, J.D.; Cardoso, J.F.; Popov, V.L.; Widen, S.G.; Wood, T.G.; Vasilakis, N.; et al. Sinu virus, a novel and divergent orthomyxovirus related to members of the genus Thogotovirus isolated from mosquitoes in Colombia. Virology 2017, 501, 166–175. [Google Scholar] [CrossRef] [PubMed]
- Temmam, S.; Monteil-Bouchard, S.; Robert, C.; Baudoin, J.-P.; Sambou, M.; Aubadie-Ladrix, M.; Labas, N.; Raoult, D.; Mediannikov, O.; Desnues, C. Characterization of viral communities of biting midges and identification of novel Thogotovirus species and Rhabdovirus genus. Viruses 2016, 8, 77. [Google Scholar] [CrossRef] [PubMed]
- Bolling, B.G.; Weaver, S.C.; Tesh, R.B.; Vasilakis, N. Insect-specific virus discovery: Significance for the Arbovirus community. Viruses 2015, 7, 4911–4928. [Google Scholar] [CrossRef] [PubMed]






| NGS Libraries | Library Code | Accession Number * |
|---|---|---|
| A. m. ligustica | IB1 | PRJNA329428 |
| A. m. syriaca | SB2 | PRJNA437728 |
| A. m. intermissa | AB3 | PRJNA437730 |
| A. cerana | BCER | PRJNA475853 |
| V. destructor from A. m. ligustica | IV4 | PRJNA329427 |
| V. destructor from A. m. syriaca | SV5 | PRJNA437729 |
| V. destructor from A. m. intermissa | AV6 | PRJNA437731 |
| V. destructor from A. cerana | VCER | PRJNA475855 |
| Virus | Accession Numbers |
|---|---|
| Varroa orthomyxovirus-1 (VOV-1) | MK032465 |
| MK032466 | |
| MK032467 | |
| MK032468 | |
| MK032469 | |
| MK032470 | |
| Varroa destructor virus-4 | MK032464 |
| A. mellifera ligustica | A. mellifera syriaca | A. mellifera intermissa | A. cerana | |||||
|---|---|---|---|---|---|---|---|---|
| Library | ||||||||
| Virus | IB1 | IV4 | SB2 | SV5 | AB3 | AV6 | BCER | VCER |
| Acute bee paralysis virus (ABPV+IAPV) | + | + | + | |||||
| Aphis glycines virus-1 (ApGlV1) | + | |||||||
| Apis mellifera filamentous virus (AmFV) | + | |||||||
| Apis rhabdovirus-1/Bee rhabdovirus (ARV-1/BRV-1) | + | + | + | + | + | + | ||
| Apis rhabdovirus-2 (ARV-2) | + | + | + | + | + | + | ||
| Bee/Varroa destructor Macula-like virus (BeeMLV/ VdMLV) | + | + | + | + | + | + | + | |
| Beihai horseshoe crab virus-1 | + | |||||||
| Black queen cell virus (BQCV) | + | + | + | + | + | + | ||
| Cyclovirus | + | + | + | |||||
| Deformed wing virus (DWV) | + | + | + | + | + | + | + | + |
| Varroa orthomyxovirus-1 (VOV-1) | + | + | + | + | ||||
| Hubei picorna-like virus-29 | + | |||||||
| Hubei virga-like virus-14 (Varroa destructor virus 4, VDV-4) | + | |||||||
| Lake Sinai virus (LSV) | + | |||||||
| Sacbrood virus (SBV) | + | + | + | + | ||||
| Varroa destructor virus-2 (VDV-2) | + | + | + | + | ||||
| Varroa destructor virus-3 (VDV-3) | + | + | + | |||||
| VOV-1 Segments | Length of Contig (na) | Similarity to THOV/DHOV | THOV/DHOV Proteins |
|---|---|---|---|
| 1 | 2198 | 58% | PB2 (DHOV) |
| 2 | 1899 | 29% | PB1 (DHOV) |
| 3 | 358 | 46% | PA (DHOV) |
| 4 | 232 | 41% | GP (THOV) |
| 5 | 1442 | 39% | NP (DHOV) |
| 6 | 983 | 23% | M (THOV) |
| Location | Hive # | Sample Type | N | VOV-1 Genomic Copies |
|---|---|---|---|---|
| ARO (C) | 7 | Mite | 1 | 3.54 × 105 |
| ARO (C) | 13 | Mite | 1 | 1.22 × 106 |
| ARO (C) | 19 | Mite | 1 | 4.43 × 105 |
| ARO (C) | 81 | Mite | 1 | 9.40 × 104 |
| ARO (C) | 7 | Mite | 1 | 5.34 × 105 |
| ARO (C) | 401 | Mite | 1 | 6.32 × 105 |
| ARO (C) | 401 | Mite | 1 | 2.50 × 105 |
| ARO (C) | 6 | Mite | 1 | 4.23 × 105 |
| ARO (C) | 7 | Mite | 1 | 2.69 × 105 |
| ARO (C) | 13 | Mite | 1 | 4.00 × 105 |
| ARO (C) | 13 | Mite | 1 | 1.83 × 104 |
| ARO (C) | 19 | Mite | 1 | 4.62 × 105 |
| ARO (C) | 19 | Mites | 1 | 5.11 × 102 |
| ARO (C) | 11 | Mites | 1 | 4.19 × 105 |
| ARO (C) | 9 | Mites (p) | 6 | 3.27 × 104 |
| ARO (C) | 10 | Mites (p) | 6 | 2.85 × 104 |
| ARO (C) | 7 | Mites (p) | 6 | 2.95 × 104 |
| ARO (C) | 38 | Mites (p) | 6 | 2.01 × 104 |
| ARO (C) | 401 | Mites (p) | 6 | 1.44 × 104 |
| Nitzanei Oz (C) | 1 | Mites(p) | 6 | 2.73 × 104 |
| Haifa (N) | 1 | Mite (p) | 6 | 1.35 × 104 |
| Lehavot Habashan (N) | 1 | Mite (p) | 6 | 1.64 × 105 |
| Lehavot Habashan (N) | 2 | Mites (p) | 6 | 4.88 × 105 |
| Lehavot Habashan (N) | 4 | Mites (p) | 6 | 2.33 × 103 |
| ARO (C) | MIX | Mites (p) | 6 | 3.08 × 105 |
| Kfar Rut (C) | 17 | Bees (p) | 10 | 2.01 × 104 |
| Dan (N) | 14 | Bees (p) | 10 | 4.91 × 102 |
| Kfar Rut (S) | 43 | Bees (p) | 10 | 1.38 × 105 |
| Yad Mordehai (S) | 13 | Bees (p) | 10 | 1.25 × 103 |
| Yad Mordehai (S) | 36 | Bees (p) | 10 | 9.99 × 104 |
© 2019 by the authors. Licensee MDPI, Basel, Switzerland. This article is an open access article distributed under the terms and conditions of the Creative Commons Attribution (CC BY) license (http://creativecommons.org/licenses/by/4.0/).
Share and Cite
Levin, S.; Sela, N.; Erez, T.; Nestel, D.; Pettis, J.; Neumann, P.; Chejanovsky, N. New Viruses from the Ectoparasite Mite Varroa destructor Infesting Apis mellifera and Apis cerana. Viruses 2019, 11, 94. https://doi.org/10.3390/v11020094
Levin S, Sela N, Erez T, Nestel D, Pettis J, Neumann P, Chejanovsky N. New Viruses from the Ectoparasite Mite Varroa destructor Infesting Apis mellifera and Apis cerana. Viruses. 2019; 11(2):94. https://doi.org/10.3390/v11020094
Chicago/Turabian StyleLevin, Sofia, Noa Sela, Tal Erez, David Nestel, Jeffery Pettis, Peter Neumann, and Nor Chejanovsky. 2019. "New Viruses from the Ectoparasite Mite Varroa destructor Infesting Apis mellifera and Apis cerana" Viruses 11, no. 2: 94. https://doi.org/10.3390/v11020094
APA StyleLevin, S., Sela, N., Erez, T., Nestel, D., Pettis, J., Neumann, P., & Chejanovsky, N. (2019). New Viruses from the Ectoparasite Mite Varroa destructor Infesting Apis mellifera and Apis cerana. Viruses, 11(2), 94. https://doi.org/10.3390/v11020094

