Productive Propagation of Rift Valley Fever Phlebovirus Vaccine Strain MP-12 in Rousettus aegyptiacus Fruit Bats
Abstract
1. Introduction
2. Materials and Methods
2.1. Virus and Cell Culture
2.2. RVFV MP12 Exposure of R. aegyptiacus Bats
2.3. Serology
2.4. Detection of RVFV-Specific RNA
2.5. Virus Isolation
2.6. Necropsy, Histopathology, and Immunohistochemistry
3. Results
3.1. Experimental Setup
3.2. Molecular Analysis
3.3. Re-Isolation of MP-12 Virus
3.4. Serology
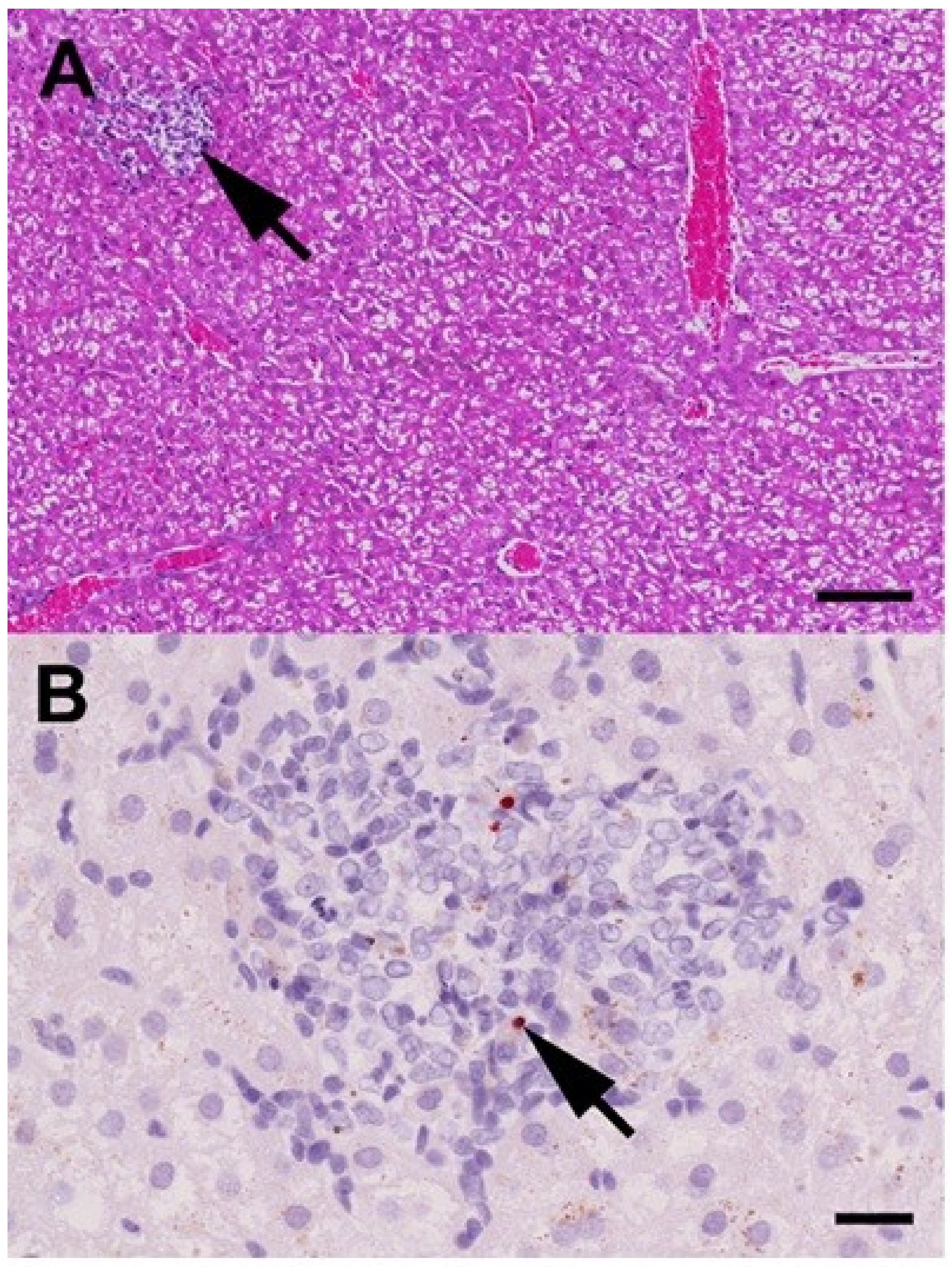
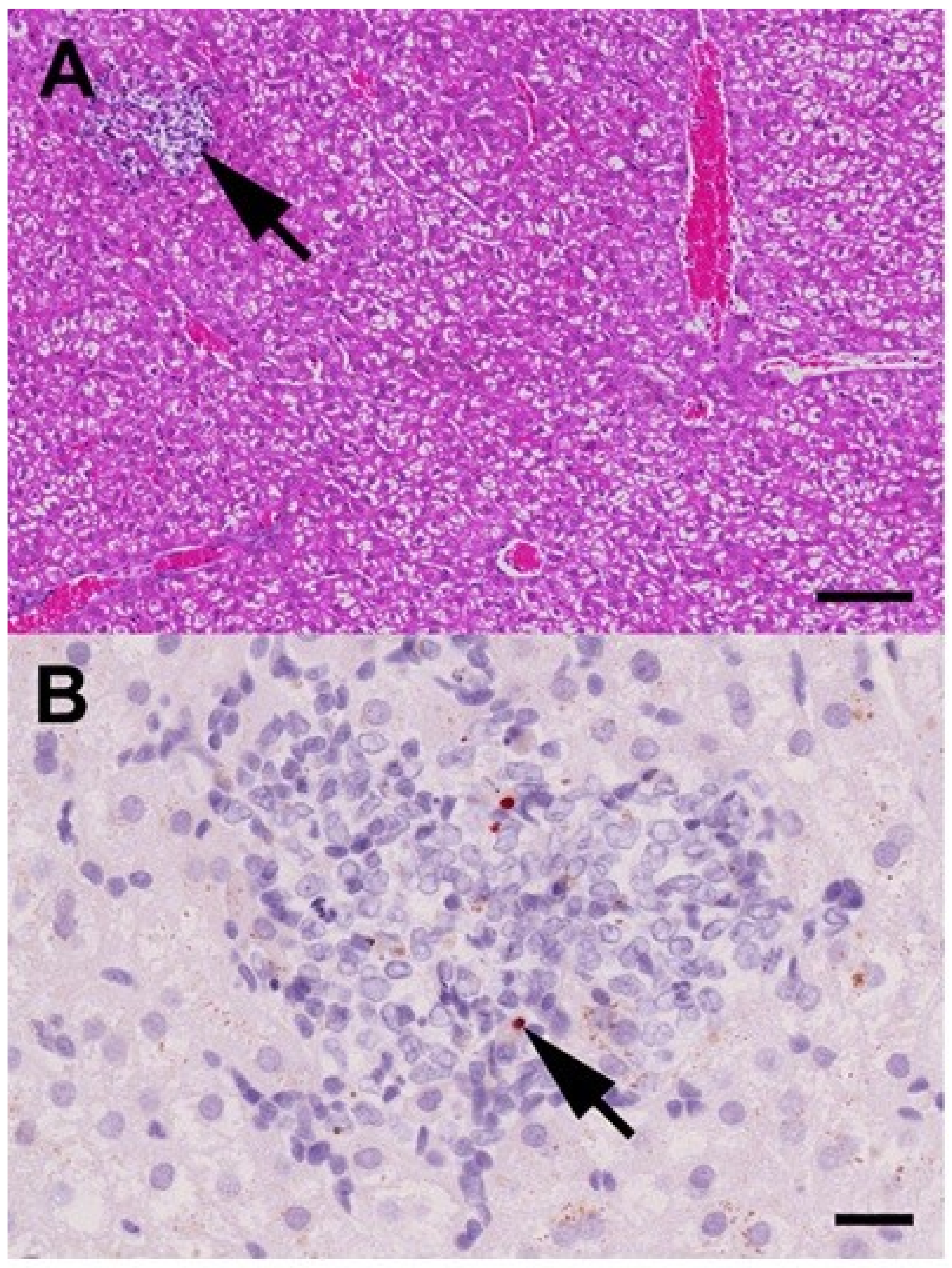
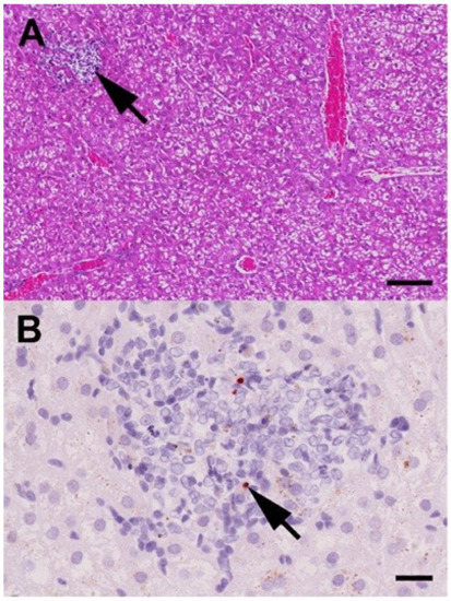
3.5. Pathology
4. Discussion
Supplementary Materials
Author Contributions
Funding
Acknowledgments
Conflicts of Interest
References
- Pepin, M.; Bouloy, M.; Bird, B.H.; Kemp, A.; Paweska, J. Rift Valley fever virus (Bunyaviridae: Phlebovirus): An update on pathogenesis, molecular epidemiology, vectors, diagnostics and prevention. Vet. Res. 2010, 41, 61. [Google Scholar] [CrossRef] [PubMed]
- Chevalier, V.; Pepin, M.; Plee, L.; Lancelot, R. Rift Valley fever—A threat for Europe? Eurosurveillance 2010, 15, 19506. [Google Scholar] [PubMed]
- Bird, B.H.; Ksiazek, T.G.; Nichol, S.T.; Maclachlan, N.J. Rift Valley fever virus. J. Am. Vet. Med. Assoc. 2009, 234, 883–893. [Google Scholar] [CrossRef] [PubMed]
- LaBeaud, A.D.; Pfeil, S.; Muiruri, S.; Dahir, S.; Sutherland, L.J.; Traylor, Z.; Gildengorin, G.; Muchiri, E.M.; Morrill, J.; Peters, C.J.; et al. Factors associated with severe human Rift Valley fever in Sangailu, Garissa County, Kenya. PLoS Negl. Trop. Dis. 2015, 9, e0003548. [Google Scholar] [CrossRef] [PubMed]
- McMillen, C.M.; Hartman, A.L. Rift Valley fever in animals and humans: Current perspectives. Antivir. Res. 2018, 156, 29–37. [Google Scholar] [CrossRef] [PubMed]
- Kortekaas, J. One Health approach to Rift Valley fever vaccine development. Antivir. Res. 2014, 106, 24–32. [Google Scholar] [CrossRef] [PubMed]
- Caplen, H.; Peters, C.J.; Bishop, D.H. Mutagen-directed attenuation of Rift Valley fever virus as a method for vaccine development. J. Gen. Virol. 1985, 66 Pt 10, 2271–2277. [Google Scholar] [CrossRef]
- Hubbard, K.A.; Baskerville, A.; Stephenson, J.R. Ability of a mutagenized virus variant to protect young lambs from Rift Valley fever. Am. J. Vet. Res. 1991, 52, 50–55. [Google Scholar] [PubMed]
- Morrill, J.C.; Carpenter, L.; Taylor, D.; Ramsburg, H.H.; Quance, J.; Peters, C.J. Further evaluation of a mutagen-attenuated Rift Valley fever vaccine in sheep. Vaccine 1991, 9, 35–41. [Google Scholar] [CrossRef]
- Morrill, J.C.; Jennings, G.B.; Caplen, H.; Turell, M.J.; Johnson, A.J.; Peters, C.J. Pathogenicity and immunogenicity of a mutagen-attenuated Rift Valley fever virus immunogen in pregnant ewes. Am. J. Vet. Res. 1987, 48, 1042–1047. [Google Scholar] [PubMed]
- Morrill, J.C.; Mebus, C.A.; Peters, C.J. Safety and efficacy of a mutagen-attenuated Rift Valley fever virus vaccine in cattle. Am. J. Vet. Res. 1997, 58, 1104–1109. [Google Scholar] [PubMed]
- Morrill, J.C.; Peters, C.J. Pathogenicity and neurovirulence of a mutagen-attenuated Rift Valley fever vaccine in rhesus monkeys. Vaccine 2003, 21, 2994–3002. [Google Scholar] [CrossRef]
- Pittman, P.R.; Norris, S.L.; Brown, E.S.; Ranadive, M.V.; Schibly, B.A.; Bettinger, G.E.; Lokugamage, N.; Korman, L.; Morrill, J.C.; Peters, C.J. Rift Valley fever MP-12 vaccine Phase 2 clinical trial: Safety, immunogenicity, and genetic characterization of virus isolates. Vaccine 2016, 34, 523–530. [Google Scholar] [CrossRef] [PubMed]
- Hunter, P.; Erasmus, B.J.; Vorster, J.H. Teratogenicity of a mutagenised Rift Valley fever virus (MVP 12) in sheep. Onderstepoort J. Vet. Res. 2002, 69, 95–98. [Google Scholar] [PubMed]
- Rissmann, M.; Ulrich, R.; Schroder, C.; Hammerschmidt, B.; Hanke, D.; Mroz, C.; Groschup, M.H.; Eiden, M. Vaccination of alpacas against Rift Valley fever virus: Safety, immunogenicity and pathogenicity of MP-12 vaccine. Vaccine 2017, 35, 655–662. [Google Scholar] [CrossRef] [PubMed]
- Wilson, W.C.; Bawa, B.; Drolet, B.S.; Lehiy, C.; Faburay, B.; Jasperson, D.C.; Reister, L.; Gaudreault, N.N.; Carlson, J.; Ma, W.; et al. Evaluation of lamb and calf responses to Rift Valley fever MP-12 vaccination. Vet. Microbiol. 2014, 172, 44–50. [Google Scholar] [CrossRef] [PubMed]
- Han, H.J.; Wen, H.L.; Zhou, C.M.; Chen, F.F.; Luo, L.M.; Liu, J.W.; Yu, X.J. Bats as reservoirs of severe emerging infectious diseases. Virus Res. 2015, 205, 1–6. [Google Scholar] [CrossRef] [PubMed]
- Moratelli, R.; Calisher, C.H. Bats and zoonotic viruses: Can we confidently link bats with emerging deadly viruses? Mem. Inst. Oswaldo Cruz 2015, 110, 1–22. [Google Scholar] [CrossRef] [PubMed]
- Calisher, C.H.; Childs, J.E.; Field, H.E.; Holmes, K.V.; Schountz, T. Bats: Important reservoir hosts of emerging viruses. Clin. Microbiol. Rev. 2006, 19, 531–545. [Google Scholar] [CrossRef] [PubMed]
- O’Shea, T.J.; Cryan, P.M.; Cunningham, A.A.; Fooks, A.R.; Hayman, D.T.; Luis, A.D.; Peel, A.J.; Plowright, R.K.; Wood, J.L. Bat flight and zoonotic viruses. Emerg. Infect. Dis. 2014, 20, 741–745. [Google Scholar] [CrossRef] [PubMed]
- George, D.B.; Webb, C.T.; Farnsworth, M.L.; O’Shea, T.J.; Bowen, R.A.; Smith, D.L.; Stanley, T.R.; Ellison, L.E.; Rupprecht, C.E. Host and viral ecology determine bat rabies seasonality and maintenance. Proc. Natl. Acad. Sci. USA 2011, 108, 10208–10213. [Google Scholar] [CrossRef] [PubMed]
- Hayman, D.T. As the bat flies. Science 2016, 354, 1099–1100. [Google Scholar] [CrossRef] [PubMed]
- Plowright, R.K.; Eby, P.; Hudson, P.J.; Smith, I.L.; Westcott, D.; Bryden, W.L.; Middleton, D.; Reid, P.A.; McFarlane, R.A.; Martin, G.; et al. Ecological dynamics of emerging bat virus spillover. Proc. Biol. Sci. 2015, 282, 20142124. [Google Scholar] [CrossRef] [PubMed]
- Kingdon, J. East African Mammals. An Atlas of Evolution in Africa Vol. II, Part A (Insectivores and Bats), Vol. II, Part B (Hares and Rodents) (1974). Afr. J. Ecol. 1977, 15, 89–90. [Google Scholar]
- Oelofsen, M.J.; van der Ryst, E. Could bats act as reservoir hosts for Rift Valley fever virus? Onderstepoort J. Vet. Res. 1999, 66, 51–54. [Google Scholar]
- Olive, M.M.; Goodman, S.M.; Reynes, J.M. The role of wild mammals in the maintenance of Rift Valley fever virus. J. Wildl. Dis. 2012, 48, 241–266. [Google Scholar] [CrossRef] [PubMed]
- Boiro, I.; Konstaninov, O.K.; Numerov, A.D. Isolation of Rift Valley fever virus from bats in the Republic of Guinea. Bull. Soc. Pathol. Exot. Filiales 1987, 80, 62–67. [Google Scholar] [PubMed]
- Butenko, A.M. Arbovirus circulation in the Republic of Guinea. Med. Parazitol (Mosk). 1996, 2, 40–45. [Google Scholar]
- Eckerle, I.; Ehlen, L.; Kallies, R.; Wollny, R.; Corman, V.M.; Cottontail, V.M.; Tschapka, M.; Oppong, S.; Drosten, C.; Muller, M.A. Bat airway epithelial cells: A novel tool for the study of zoonotic viruses. PLoS ONE 2014, 9, e84679. [Google Scholar] [CrossRef] [PubMed]
- Mourya, D.T.; Yadav, P.D.; Basu, A.; Shete, A.; Patil, D.Y.; Zawar, D.; Majumdar, T.D.; Kokate, P.; Sarkale, P.; Raut, C.G.; et al. Malsoor virus, a novel bat phlebovirus, is closely related to severe fever with thrombocytopenia syndrome virus and heartland virus. J. Virol. 2014, 88, 3605–3609. [Google Scholar] [CrossRef] [PubMed]
- Jansen van Vuren, P.; Wiley, M.R.; Palacios, G.; Storm, N.; Markotter, W.; Birkhead, M.; Kemp, A.; Paweska, J.T. Isolation of a novel orthobunyavirus from bat flies (Eucampsipoda africana). J. Gen. Virol. 2017, 98, 935–945. [Google Scholar] [CrossRef] [PubMed]
- Muller, M.A.; Devignot, S.; Lattwein, E.; Corman, V.M.; Maganga, G.D.; Gloza-Rausch, F.; Binger, T.; Vallo, P.; Emmerich, P.; Cottontail, V.M.; et al. Evidence for widespread infection of African bats with Crimean-Congo hemorrhagic fever-like viruses. Sci. Rep. 2016, 6, 26637. [Google Scholar] [CrossRef] [PubMed]
- Kading, R.C.; Schountz, T. Flavivirus Infections of Bats: Potential Role in Zika Virus Ecology. Am. J. Trop. Med. Hyg. 2016, 95, 993–996. [Google Scholar] [CrossRef] [PubMed]
- OIE. OIE Terrestrial Manual 2014. In Manual of Diagnostic Tests and Vaccines for Terrestrial Animals; Chapter 2.1.14—Rift Valley Fever; OIE: Paris, France, 2008. [Google Scholar]
- Ninove, L.; Nougairede, A.; Gazin, C.; Thirion, L.; Delogu, I.; Zandotti, C.; Charrel, R.N.; De Lamballerie, X. RNA and DNA bacteriophages as molecular diagnosis controls in clinical virology: A comprehensive study of more than 45,000 routine PCR tests. PLoS ONE 2011, 6, e16142. [Google Scholar] [CrossRef] [PubMed]
- Jackel, S.; Eiden, M.; El Mamy, B.O.; Isselmou, K.; Vina-Rodriguez, A.; Doumbia, B.; Groschup, M.H. Molecular and serological studies on the Rift Valley fever outbreak in Mauritania in 2010. Transbound. Emerg. Dis. 2013, 60 (Suppl. 2), 31–39. [Google Scholar] [CrossRef] [PubMed]
- Jackel, S.; Eiden, M.; Dauber, M.; Balkema-Buschmann, A.; Brun, A.; Groschup, M.H. Generation and application of monoclonal antibodies against Rift Valley fever virus nucleocapsid protein NP and glycoproteins Gn and Gc. Arch. Virol. 2014, 159, 535–546. [Google Scholar] [CrossRef] [PubMed]
- Kading, R.C.; Kityo, R.M.; Mossel, E.C.; Borland, E.M.; Nakayiki, T.; Nalikka, B.; Nyakarahuka, L.; Ledermann, J.P.; Panella, N.A.; Gilbert, A.T.; et al. Neutralizing antibodies against flaviviruses, Babanki virus, and Rift Valley fever virus in Ugandan bats. Infect. Ecol. Epidemiol. 2018, 8, 1439215. [Google Scholar] [CrossRef] [PubMed]



| ID 6210 (3 dpi) | ID 9988 (7 dpi) | |||||
| Sample Type | PCR (Copies/μL) | Virus Isolation | IHC_ | PCR (Copies/μL) | Virus Isolation | IHC_ |
| spleen | 3.6 × 102 | + | neg | 1.9 × 103 | + | neg |
| liver | neg | n.d. | n.d. | 2.6 × 101 | + | pos |
| kidney | neg | n.d. | n.d. | neg | n.d. | n.d. |
| urine bladder | neg | n.d. | n.d. | neg | n.d. | n.d. |
| pancreas | neg | n.d. | n.d. | neg | n.d. | n.d. |
| small intestine | neg | n.d. | n.d. | neg | n.d. | n.d. |
| lung | neg | n.d. | n.d. | neg | n.d. | n.d. |
| heart | neg | n.d. | n.d. | neg | n.d. | n.d. |
| brain | neg | n.d. | n.d. | neg | n.d. | n.d. |
| eye | neg | n.d. | n.d. | neg | n.d. | n.d. |
| ID 1740 (31 dpi) | ID 8653 (31 dpi) Mock Control | |||||
| Sample Type | PCR (Copies/μL) | Virus Isolation | IHC_ | PCR (Copies/μL) | Virus Isolation | IHC_ |
| spleen | 5.9 × 102 | neg | neg | neg | n.d. | n.d. |
| liver | neg | n.d. | n.d. | neg | n.d. | n.d. |
| kidney | neg | n.d. | n.d. | neg | n.d. | n.d. |
| urine bladder | neg | n.d. | n.d. | neg | n.d. | n.d. |
| pancreas | neg | n.d. | n.d. | neg | n.d. | n.d. |
| small intestine | neg | n.d. | n.d. | neg | n.d. | n.d. |
| lung | neg | n.d. | n.d. | neg | n.d. | n.d. |
| heart | neg | n.d. | n.d. | neg | n.d. | n.d. |
| brain | neg | n.d. | n.d. | neg | n.d. | n.d. |
| eye | neg | n.d. | n.d. | neg | n.d. | n.d. |
© 2018 by the authors. Licensee MDPI, Basel, Switzerland. This article is an open access article distributed under the terms and conditions of the Creative Commons Attribution (CC BY) license (http://creativecommons.org/licenses/by/4.0/).
Share and Cite
Balkema-Buschmann, A.; Rissmann, M.; Kley, N.; Ulrich, R.; Eiden, M.; Groschup, M.H. Productive Propagation of Rift Valley Fever Phlebovirus Vaccine Strain MP-12 in Rousettus aegyptiacus Fruit Bats. Viruses 2018, 10, 681. https://doi.org/10.3390/v10120681
Balkema-Buschmann A, Rissmann M, Kley N, Ulrich R, Eiden M, Groschup MH. Productive Propagation of Rift Valley Fever Phlebovirus Vaccine Strain MP-12 in Rousettus aegyptiacus Fruit Bats. Viruses. 2018; 10(12):681. https://doi.org/10.3390/v10120681
Chicago/Turabian StyleBalkema-Buschmann, Anne, Melanie Rissmann, Nils Kley, Reiner Ulrich, Martin Eiden, and Martin H. Groschup. 2018. "Productive Propagation of Rift Valley Fever Phlebovirus Vaccine Strain MP-12 in Rousettus aegyptiacus Fruit Bats" Viruses 10, no. 12: 681. https://doi.org/10.3390/v10120681
APA StyleBalkema-Buschmann, A., Rissmann, M., Kley, N., Ulrich, R., Eiden, M., & Groschup, M. H. (2018). Productive Propagation of Rift Valley Fever Phlebovirus Vaccine Strain MP-12 in Rousettus aegyptiacus Fruit Bats. Viruses, 10(12), 681. https://doi.org/10.3390/v10120681

