Antifreeze Evaluation of Two Dehydrin Proteins from Pseudotsuga menziesii and Larix principis-rupprechtii Mayr
Abstract
1. Introduction
2. Materials and Methods
2.1. Plant Materials and Bacterial Strains
2.2. Measurements of Physiological Indexes
2.3. Cold-Induced Dehydrin Gene Cloning from Pine Trees
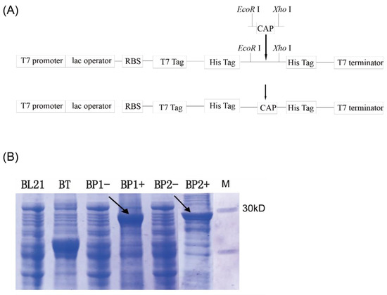
2.4. Prokaryotic Expression Vector Construction
2.5. Antifreeze Analysis of the Transgenic Strains
2.6. Extraction and Purification of Target Proteins
2.7. Thermal Hysteresis (TH) Assays of Target Proteins
3. Results
3.1. Antifreeze Evaluation of Pseudotsuga menziesii and Larix principis-rupprechtii Mayr
3.2. Cloning and Sequence Analysis of Cold-Induced Dehydrin Genes
3.3. Prokaryotic Expression of PmCAP and LpCAP Genes
3.4. Antifreeze Evaluation of Transgenic E. coli Containing PmCAP and LpCAP
3.5. Purification and Thermal Hysteresis (TH) Test of PmCAP and LpCAP Proteins
4. Discussion
5. Conclusions
Author Contributions
Funding
Data Availability Statement
Acknowledgments
Conflicts of Interest
References
- Aziz, M.A.; Sabeem, M.; Mullath, S.K.; Brini, F.; Masmoudi, K. Plant group ii lea proteins: Intrinsically disordered structure for multiple functions in response to environmental stresses. Biomolecules 2021, 11, 1662. [Google Scholar] [CrossRef]
- Close, T.J. Dehydrins: Emergence of a biochemical role of a family of plant dehydration proteins. Physiol. Plant. 1996, 97, 795–803. [Google Scholar] [CrossRef]
- Kim, E.C.; Lee, H.S.; Choi, D.W. Sequence variability and expression pattern of the dehydrin gene family in Populus tremula × Populus alba var. glandulosa. Plant Omics 2012, 5, 122–127. [Google Scholar]
- Hanin, M.; Brini, F.; Ebel, C.; Toda, Y.; Takeda, S.; Masmoudi, K. Plant dehydrins and stress tolerance: Versatile proteins for complex mechanisms. Plant Signal. Behav. 2011, 6, 1503–1509. [Google Scholar] [CrossRef]
- Sun, Z.; Li, S.; Chen, W.; Zhang, J.; Zhang, L.; Sun, W.; Wang, Z. Plant dehydrins: Expression, regulatory networks, and protective roles in plants challenged by abiotic stress. Int. J. Mol. Sci. 2021, 22, 12619. [Google Scholar] [CrossRef] [PubMed]
- Halder, T.; Upadhyaya, G.; Ray, S. YSK2 type dehydrin (SbDhn1) from sorghum bicolor showed improved protection under high temperature and osmotic stress condition. Front. Plant Sci. 2017, 8, 918. [Google Scholar] [CrossRef] [PubMed]
- Chiappetta, A.; Muto, A.; Bruno, L.; Woloszynska, M.; Lijsebettens, M.V.; Bitonti, M.B. A dehydrin gene isolated from Feral olive enhances drought tolerance in Arabidopsis transgenic plants. Front. Plant Sci. 2015, 6, 392. [Google Scholar] [CrossRef]
- Amar, S.B.; Safi, H.; Ayadi, M.; Azaza, J.; Brini, F. Analysis of the promoter activity of a wheat dehydrin gene (DHN-5) under various stress conditions. Aust. J. Crop Sci. 2013, 7, 1875. [Google Scholar]
- Agarwal, T.; Upadhyaya, G.; Halder, T.; Mukherjee, A.; Ray, S. Different dehydrins perform separate functions in Physcomitrella patens. Planta 2017, 245, 101–118. [Google Scholar] [CrossRef]
- Liu, J.; Xu, X.; Xu, Q.; Wang, S.; Xu, J. Transgenic tobacco plants expressing PicW gene from Picea wilsonii exhibit enhanced freezing tolerance. Plant Cell Tissue Organ Cult. 2014, 118, 391–400. [Google Scholar] [CrossRef]
- Cuevas-Velazquez, C.L.; Rendon-Luna, D.F.; Covarrubias, A.A. Dissecting the cryoprotection mechanisms for dehydrins. Front. Plant Sci. 2014, 5, 583. [Google Scholar] [CrossRef] [PubMed]
- Hara, M.; Terashima, S.; Fukaya, T.; Kuboi, T. Enhancement of cold tolerance and inhibition of lipid peroxidation by citrus dehydrin in transgenic tobacco. Planta 2003, 217, 290–298. [Google Scholar] [CrossRef] [PubMed]
- Głodek, M.; Bartoszewski, G.; Yin, Z.; Rorat, T.; Niemirowicz-Szczytt, K. Transformation of tomato with cold-induced Solanum sogarandinum Dhn24 dehydrin gene. Acta Hortic. 2008, 789, 309–314. [Google Scholar] [CrossRef]
- Houde, M.; Dallaire, S.; N’Dong, D.; Sarhan, F. Overexpression of the acidic dehydrin WCOR410 improves freezing tolerance in transgenic strawberry leaves. Plant Biotechnol. J. 2004, 2, 381–387. [Google Scholar] [CrossRef]
- Peng, Y.; Reyes, J.L.; Hui, W.; Yang, Y.; Karlson, D.; Covarrubias, A.A.; Krebs, S.L.; Fessehaie, A.; Arora, R. RcDhn5, a cold acclimation-responsive dehydrin from Rhododendron catawbiense rescues enzyme activity from dehydration effects in vitro and enhances freezing tolerance in RcDhn5-overexpressing Arabidopsis plants. Physiol. Plant. 2008, 134, 583–597. [Google Scholar] [CrossRef]
- Qiu, L.M.; Ma, J.; Wang, J.; Zhang, F.C.; Wang, Y. Thermal stability properties of an antifreeze protein from the desert beetle Microdera punctipennis. Cryobiology 2010, 60, 192–197. [Google Scholar] [CrossRef]
- Deng, L.Q.; Yu, H.Q.; Liu, Y.P.; Jiao, P.P.; Zhou, S.F.; Zhang, S.Z.; Li, W.C.; Fu, F.L. Heterologous expression of antifreeze protein gene AnAFP from Ammopiptanthus nanus enhances cold tolerance in Escherichia coli and tobacco. Gene 2014, 539, 132–140. [Google Scholar] [CrossRef]
- Hoagland, D.R.; Arnon, D.I. The water-culture method for growing plants without soil. Calif. Agric. Exp. Stn. Circ. 1950, 347, 357–359. [Google Scholar]
- Soto, A.; Allona, I.; Collada, C.; Guevara, M.A.; Casado, R.; Rodriguez-Cerezo, E.; Aragoncillo, C.; Gomez, L. Heterologous expression of a plant small heat-shock protein enhances Escherichia coli viability under heat and cold stress. Plant Physiol. 1999, 120, 521–528. [Google Scholar] [CrossRef]
- Bradford, M.M. A rapid sensitive method for the quantitation of microgram quantities of protein utilizing the principle of protein-dye binding. Anal. Biochem. 1976, 72, 248–254. [Google Scholar] [CrossRef]
- Zhang, C.; Zhang, H.; Wang, L.; Yao, H. Validation of antifreeze properties of glutathione based on its thermodynamic characteristics and protection of baker’s yeast during cryopreservation. J. Agric. Food Chem. 2007, 55, 4698–4703. [Google Scholar] [CrossRef] [PubMed]
- Zhao, Q.; Liu, J.; Xu, X.; Xu, Q.; Gao, W.; Xu, J. Picw orthologs from spruce with differential freezing tolerance in E. coli. Int. J. Biol. Macromol. 2017, 101, 595–602. [Google Scholar]
- Puhakainen, T.; Hess, M.W.; Pirjo, M.; Svensson, J.; Palva, E.T. Overexpression of multiple dehydrin genes enhances tolerance to freezing stress in Arabidopsis. Plant Mol. Biol. 2004, 54, 743–753. [Google Scholar] [CrossRef]
- Zhang, H.; Shi, Y.; Liu, X.; Wang, R.; Li, J.; Xu, J. Transgenic creeping bentgrass plants expressing a Picea wilsonii dehydrin gene (PicW) demonstrate improved freezing tolerance. Mol. Biol. Rep. 2018, 45, 1627–1635. [Google Scholar] [CrossRef]
- Hon, W.C.; Griffith, M.; Mlynarz, A.; Kwok, Y.C.; Yang, D.S.C. Antifreeze proteins in winter rye are similar to pathogenesis-related proteins. Plant Physiol. 1995, 109, 879–889. [Google Scholar] [CrossRef] [PubMed]
- Yu, S.O.; Brown, A.; Middleton, A.J.; Tomczak, M.M.; Walker, V.K.; Davies, P.L. Ice restructuring inhibition activities in antifreeze proteins with distinct differences in thermal hysteresis. Cryobiology 2010, 61, 327–334. [Google Scholar] [CrossRef]
- Wisniewski, M.; Webb, R.; Balsamo, R.; Close, T.J.; Griffith, M. Purification, immunolocalization, cryoprotective, and antifreeze activity of pca60: A dehydrin from peach (Prunus persica). Physiol. Plant. 2010, 105, 600–608. [Google Scholar] [CrossRef]
- Gupta, R.; Deswal, R. Antifreeze proteins enable plants to survive in freezing conditions. J. Biosci. 2014, 39, 931–944. [Google Scholar] [CrossRef]
- Zhang, S.H.; Wei, Y.; Liu, J.L.; Yu, H.M.; Yin, J.H.; Pan, H.Y.; Baldwin, T.C. An apoplastic chitinase CpCHT1 isolated from the corolla of wintersweet exhibits both antifreeze and antifungal activities. Biol. Plant. 2011, 55, 141–148. [Google Scholar] [CrossRef]
- Sabala, I.; Egertsdotter, U.; Fircks, H.; Arnold, S. Abscisic acid-induced secretion of an antifreeze-like protein in embryogenic cell lines of Picea abies. J. Plant Physiol. 1996, 149, 163–170. [Google Scholar] [CrossRef]
- Jarząbek, M.; Pukacki, P.M.; Nuc, K. Cold-regulated proteins with potent antifreeze and cryoprotective activities in spruces (Picea spp.). Cryobiology 2009, 58, 268–274. [Google Scholar] [CrossRef] [PubMed]
- Fei, Y.B.; Cao, P.X.; Gao, S.Q.; Wang, B.; Wei, L.B.; Zhao, J.; Chen, G.; Wang, B.H. Purification and structure analysis of antifreeze proteins from Ammopiptanthus mongolicus. Prep. Biochem. Biotechnol. 2008, 38, 172–183. [Google Scholar] [CrossRef]
- Chakrabartty, A.; Hew, C.L. The effect of enhanced α-helicity on the activity of a winter flounder antifreeze polypeptide. Eur. J. Biochem. 1991, 202, 1057–1063. [Google Scholar] [CrossRef] [PubMed]
- Fairley, K.; Westman, B.J.; Pham, L.H.; Haymet, A.D.J.; Harding, M.M.; Mackay, J.P. Type I Shorthorn sculpin antifreeze protein recombinant synthesis, solution conformation, and ice growth inhibition studies. J. Biol. Chem. 2002, 277, 24073–24080. [Google Scholar] [CrossRef] [PubMed]










| DSC Characters | BSA | PmCAP | LpCAP |
|---|---|---|---|
| Retention temperature (Th/°C) | −0.2 | −0.42 | −0.8 |
| Recrystallization temperature (T0/°C) | −0.25 | −0.69 | −1.52 |
| Ice enthalpy (ΔHf/J·g−1) | 215.42 | 132.96 | 131.75 |
| Total heat enthalpy (ΔHm/J·g−1) | 222.5 | 137.28 | 137.28 |
| Ice nucleation (Nuclei/%) * | 3.18 | 3.15 | 4.03 |
| Thermal hysteresis ability (THA/°C) | 0.05 | 0.27 | 0.72 |
Disclaimer/Publisher’s Note: The statements, opinions and data contained in all publications are solely those of the individual author(s) and contributor(s) and not of MDPI and/or the editor(s). MDPI and/or the editor(s) disclaim responsibility for any injury to people or property resulting from any ideas, methods, instructions or products referred to in the content. |
© 2023 by the authors. Licensee MDPI, Basel, Switzerland. This article is an open access article distributed under the terms and conditions of the Creative Commons Attribution (CC BY) license (https://creativecommons.org/licenses/by/4.0/).
Share and Cite
Liu, X.; Zhao, Q.; Li, M.; Zhang, J.; Wang, L.; Xu, J. Antifreeze Evaluation of Two Dehydrin Proteins from Pseudotsuga menziesii and Larix principis-rupprechtii Mayr. Forests 2023, 14, 1632. https://doi.org/10.3390/f14081632
Liu X, Zhao Q, Li M, Zhang J, Wang L, Xu J. Antifreeze Evaluation of Two Dehydrin Proteins from Pseudotsuga menziesii and Larix principis-rupprechtii Mayr. Forests. 2023; 14(8):1632. https://doi.org/10.3390/f14081632
Chicago/Turabian StyleLiu, Xiao, Qihong Zhao, Mengtian Li, Junkang Zhang, Lei Wang, and Jichen Xu. 2023. "Antifreeze Evaluation of Two Dehydrin Proteins from Pseudotsuga menziesii and Larix principis-rupprechtii Mayr" Forests 14, no. 8: 1632. https://doi.org/10.3390/f14081632
APA StyleLiu, X., Zhao, Q., Li, M., Zhang, J., Wang, L., & Xu, J. (2023). Antifreeze Evaluation of Two Dehydrin Proteins from Pseudotsuga menziesii and Larix principis-rupprechtii Mayr. Forests, 14(8), 1632. https://doi.org/10.3390/f14081632
