How to Study Thermal Applications of Open-Cell Metal Foam: Experiments and Computational Fluid Dynamics
Abstract
:1. Introduction
1.1. Thermal Applications

1.2. Open-Cell Metal Foam


- High porosity (higher than 80%). Typically, the porosity can go up to 95%. High porosity results in a low weight application.
- High interstitial surface area per unit volume.
- Good impact energy absorption [17].
- Excellent fluid mixing due to tortuous flow paths [18].
- Hybrid manufacturability: different foam materials (e.g., Al, Cu) can be sandwiched into one foam panel [19].
- Shapeable in three dimensions (obtainable via casting and/or co-casting techniques).
- Visually appealing.
1.3. What Are the Thermal Cooling Applications with Open-Cell Foam?
- Type of open-cell metal foam: This includes the material and manufacturing technique, on the one hand, and the thickness of the foam, on the other hand. Both of these parameters will affect the effective solid conductivity and heat transferring surface area.
- Geometrical characterization [21]., as discussed later in this work.
- Orientation under which the metal foam sample is placed [22]: Metal foam is generally not isotropic, depending on the manufacturing technique.
- Bonding methods [23]: Commonly, this is achieved with a high conductive epoxy or by brazing/soldering. Although epoxy contact is the easiest to establish, it results in an inferior thermal contact resistance, as concluded by Sekulic et al. [24], which is especially problematic for forced convective applications.
- Cutting method [25]: Machining can result in plastic deformation of struts at the foam edges, creating a local porosity variation. This deformation will also influence the amount of struts that are available for contact with a substrate when bonded together.
- Effects of boundary conditions at the interface of a foam; especially of importance when comparing lumped parameters like permeability determined from two test sections with a completely different cross-section.
- Specific construction of the test rig.
- Effect of radiation [26]: Determination of radiative properties is of great importance in buoyancy-driven convection and high temperature applications.
- Effect of fouling.
2. Experimental Metal Foam Studies
2.1. Usability of Experiments
2.2. Working with Bulk Properties

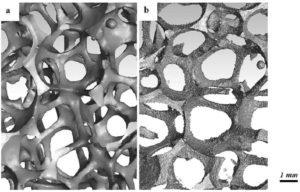
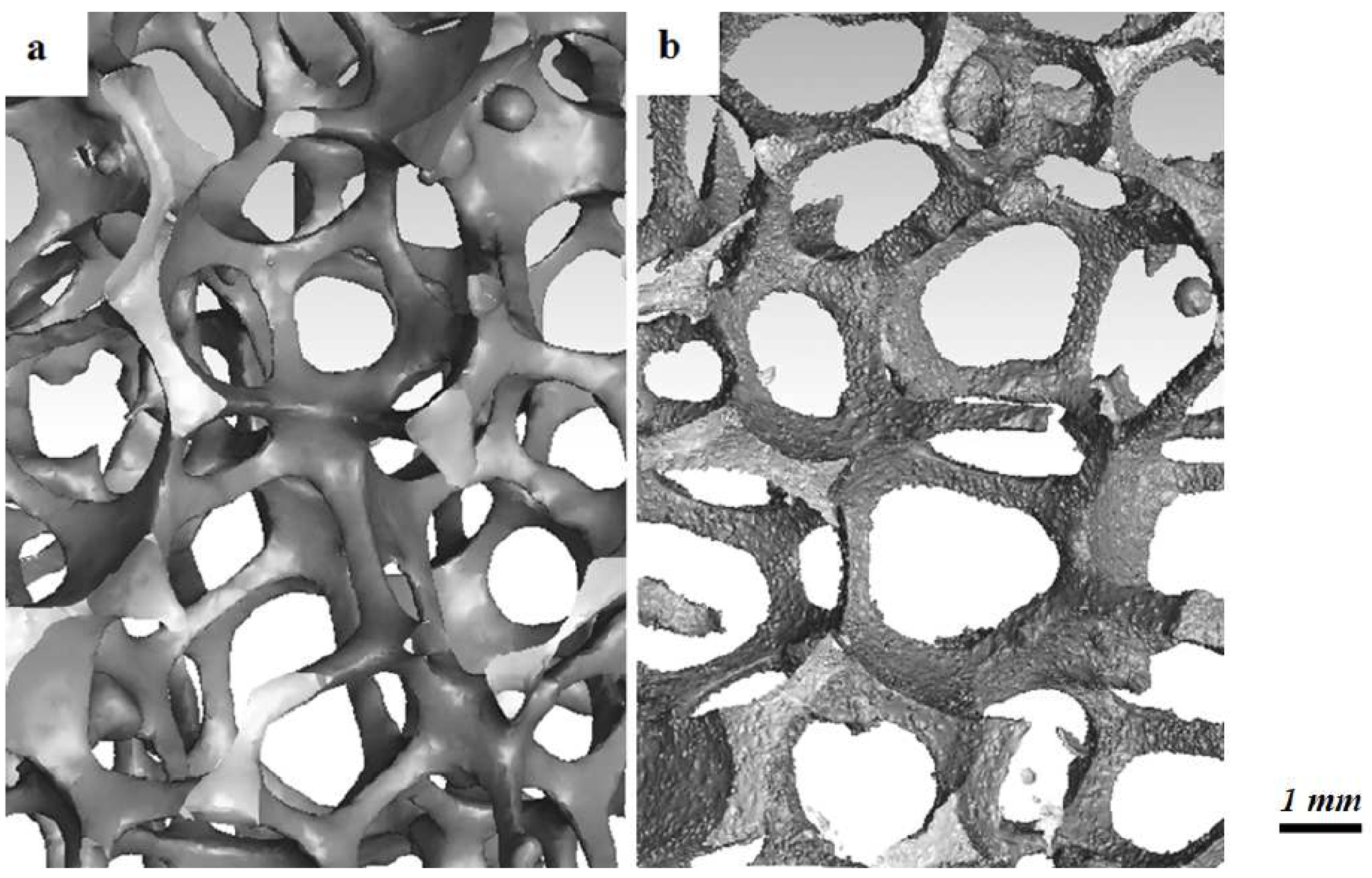
2.3. Working with Micro Tomography

2.4. Comparison of Correlations, Models and Full Characterization through Micro Tomography
| Foam | PPI | ϕ | |||||
|---|---|---|---|---|---|---|---|
| − | (mm) | (mm) | (mm) | (mm) | (m) | ||
| 1 | 10 | 0.932 ± 0.02 | 4.22 ± 0.18 | 6.23 ± 0.18 | 0.998 ± 0.08 | 462 ± 35 | 2.56 ± 0.13 |
| 2 | 10 | 0.951 ± 0.02 | 4.28 ± 0.13 | 6.42 ± 0.13 | 0.615 ± 0.13 | 380 ± 30 | 2.61 ± 0.11 |
| 3 | 20 | 0.913 ± 0.02 | 2.52 ± 0.06 | 3.78 ± 0.06 | 0.463 ± 0.04 | 860 ± 69 | 1.53 ± 0.05 |
| 4 | 20 | 0.937 ± 0.02 | 2.77 ± 0.05 | 4.15 ± 0.05 | 0.377 ± 0.05 | 720 ± 58 | 1.69 ± 0.05 |
| 5 | 20 | 0.967 ± 0.02 | 2.6 ± 0.05 | 3.67 ± 0.05 | 0.126 ± 0.02 | 580 ± 46 | 1.55 ± 0.05 |
| Foam | () | Calmidi and Mahajan [38] | Fourie and Du Plessis [36] | De Jaeger et al. [56] |
|---|---|---|---|---|
| (m) | (m) | (m) | (m) | |
| 1 | 462 ± 35 | 1062 | 528 | 482 |
| 2 | 380 ± 30 | 884 | 462 | 403 |
| 3 | 860 ± 69 | 2000 | 951 | 860 |
| 4 | 720 ± 58 | 1549 | 781 | 694 |
| 5 | 580 ± 46 | 1218 | 669 | 573 |
3. Numerical Work: The Volume Averaging Theory
3.1. From the Micro- to the Macro-Scale
3.2. Discussion of Closure Terms
- Momentum closure terms: permeability and inertial coefficient .
- Energy closure terms: thermal dispersion and interstitial heat transfer coefficient .
3.2.1. Foam Sample and Mesh
3.2.2. Momentum Closure Terms



3.2.3. Energy Closure Terms


3.3. Results from This Closure Term Modeling on Real Thermal Applications

4. Applications for Open-Cell Metal Foam


5. Conclusions
Acknowledgments
Author Contributions
Conflicts of Interest
References
- Shah, R.; Sekulic, D. Fundamentals of Heat Exchanger Design; Wiley: Hoboken, NJ, USA, 2003; pp. 1–458. [Google Scholar]
- He, J.; Liu, L.; Jacobi, A. Air-side heat transfer enchancement by a new winglet-type vortex generator array in a plain-fin round-tube heat exchanger. J. Heat Transf. 2010, 132, 071801. [Google Scholar] [CrossRef]
- De Schampheleire, S.; De Kerpel, K.; Deruyter, T.; De Jaeger, P.; De Paepe, M. Experimental study of small diameter fibers as wick material for capillary-driven heat pipes. Appl. Therm. Eng. 2015, 78, 258–267. [Google Scholar] [CrossRef]
- Huisseune, H.; T‘Joen, C.; De Jaeger, P.; Ameel, B.; De Schampheleire, S.; De Paepe, M. Performance enhancement of a louvered fin heat exchanger by using delta winglet vortex generators. Int. J. Heat Mass Transf. 2013, 56, 475–487. [Google Scholar] [CrossRef]
- Huisseune, H.; T‘Joen, C.; De Jaeger, P.; Ameel, B.; De Schampheleire, S.; De Paepe, M. Performance analysis of a compound heat exchanger by screening its design parameters. Appl. Therm. Eng. 2013, 51, 490–501. [Google Scholar] [CrossRef]
- Sparrow, E.; Vemuri, S. Orientation effects on natural convection/radiation heat transfer from pin-fin arrays. Int. J. Heat Mass Transf. 1986, 29, 359–368. [Google Scholar] [CrossRef]
- Dogan, M.; Sivrioglu, M.; Yılmaz, O. Numerical analysis of natural convection and radiation heat transfer from various shaped thin fin-arrays placed on a horizontal plate-a conjugate analysis. Energy Convers. Manag. 2014, 77, 78–88. [Google Scholar]
- CoolInnovations. Products available at CoolInnovations for natural convection purpose. Available online: http://www.coolinnovations.com/products/heatsinks/natural-convection/overview (accessed on 4 November 2015).
- Shaeri, M.; Yaghoubi, M. Numerical analysis of turbulent convection heat transfer from an array of perforated fins. Int. J. Heat Fluid Flow 2009, 30, 218–228. [Google Scholar] [CrossRef]
- Laguerre, O.; Ben Amara, S.; Alvarez, G.; Flick, D. Transient heat transfer by free convection in a packed bed of spheres: Comparison between two modeling approaches and experimental results. Appl. Therm. Eng. 2008, 28, 14–24. [Google Scholar] [CrossRef]
- Zhao, C.; Lu, T.; Hodson, H.; Jackson, J. The temperature dependence of effective thermal conductivity of open-celled steel alloy foams. Mater. Sci. Eng. A 2004, 367, 123–131. [Google Scholar] [CrossRef]
- Materials, E.; Aerospace. Duocel foam. Available online: http://www.ergaerospace.com/Aluminum-properties.html (accessed on 4 November 2015).
- Walz, D. Reticulated Foam Structure. U.S. Patent 3,946,039, 23 March 1976. [Google Scholar]
- M-Pore. Casted foam from M-Pore. Available online: http://www.m-pore.de/ (accessed on 4 November 2015).
- Alveotec. Information on how cast metal foam is produced with a stacked bed of solvable spheres. Available online: http://www.alveotec.fr/fr/innovation.html (accessed on 4 November 2015).
- Constellium. Foam made by constellium (production with stacked bed of solvable spheres). Available online: http://www.constellium.com/media/news-and-press-releases/press-releases-only/constellium-showcases-its-innovative-aluminum-technologies-at-the-duesseldorf-aluminum-trade-fair-from-vision-to-reality (accessed on 4 November 2015).
- Borovinsek, M.; Ren, Z. Computational modeling of irregular open-cell foam behavior under impact loading. Materialswiss Werkst 2008, 39, 114–120. [Google Scholar] [CrossRef]
- T‘Joen, C.; De Jaeger, P.; Huisseune, H.; Van Herzeele, S.; Vorst, N.; De Paepe, M. Thermo-hydraulic study of a single row heat exchanger consisting of metal foam covered round tubes. Int. J. Heat Mass Transf. 2010, 53, 3262–3274. [Google Scholar] [CrossRef]
- Lev, T. Novel fabrication technology for metal foams. J. Adv. Mater. 2005, 37, 60–65. [Google Scholar]
- Loupi. Dissipateur pour led LOUPI. Available online: http://www.alveotec.fr/fr/nos-realisations/dissipateur-pour-led-loupi_10.html (accessed on 4 November 2015).
- De Schampheleire, S.; de Jaeger, P.; Reynders, R.; de Kerpel, K.; Ameel, B.; T‘Joen, C.; Huisseune, H.; Lecompte, S.; de Paepe, M. Experimental study of buoyancy-driven flow in open-cell aluminum foam heat sinks. Appl. Therm. Eng. 2013, 59, 30–40. [Google Scholar] [CrossRef]
- Billiet, M.; De Schampheleire, S.; Huisseune, H.; De Paepe, M. Influence of Orientation and Radiative Heat Transfer on Aluminum Foams in Buoyancy-Induced Convection. Materials 2015, 8, 6792–6805. [Google Scholar] [CrossRef]
- De Jaeger, P.; T‘Joen, C.; Huisseune, H.; Ameel, B.; De Schampheleire, S.; De Paepe, M. Assessing the influence of four bonding methods on the thermal contact resistance of open-cell aluminum foam. Int. J. Heat Mass Transf. 2012, 55, 6200–6210. [Google Scholar] [CrossRef]
- Sekulic, D.P.; Dakhoul, Y.M.; Zhao, H.; Liu, W. Aluminum foam compact heat exchangers: Brazing technology vs thermal performance. In Proceedings of the Cellmat 2008 Conference, Dresden, Germany, 22 September 2014; pp. 5–10.
- De Jaeger, P.; T‘Joen, C.; Huisseune, H.; Ameel, B.; De Schampheleire, S.; De Paepe, M. Assessing the influence of four cutting methods on the thermal contact resistance of open-cell aluminum foam. Int. J. Heat Mass Transf. 2012, 55, 6142–6151. [Google Scholar] [CrossRef]
- De Schampheleire, S.; de Kerpel, K.; De Jaeger, P.; Huisseune, H.; Ameel, B.; de Paepe, M. Buoyancy driven convection in open-cell metal foam using the volume averaging theory. Appl. Therm. Eng. 2015, 79, 225–233. [Google Scholar] [CrossRef]
- Zhao, C. Review on thermal transport in high porosity cellular metal foams with open cells. Int. J. Heat Mass Transf. 2012, 55, 3618–3632. [Google Scholar] [CrossRef]
- Bonnet, J.P.; Topin, F.; Tadrist, L. Flow Laws in Metal Foams: Compressibility and Pore Size Effects. Transp. Porous Media 2008, 73, 233–254. [Google Scholar] [CrossRef]
- Chumpia, A.; Hooman, K. Performance evaluation of single tubular aluminum foam heat exchangers. Appl. Therm. Eng. 2014, 66, 266–273. [Google Scholar] [CrossRef]
- Sertkaya, A.A.; Altinisik, K.; Dincer, K. Experimental investigation of thermal performance of aluminum finned heat exchangers and open-cell aluminum foam heat exchangers. Exp. Therm. Fluid Sci. 2012, 36, 86–92. [Google Scholar] [CrossRef]
- Hu, H.; Weng, X.; Zhuang, D.; Ding, G.; Lai, Z.; Xu, X. Heat transfer and pressure drop characteristics of wet air flow in metal foam under dehumidifying conditions. Appl. Therm. Eng. 2015, 93, 1124–1134. [Google Scholar] [CrossRef]
- Mahjoob, S.; Vafai, K. A synthesis of fluid and thermal transport models for metal foam heat exchangers. Int. J. Heat Mass Transf. 2008, 51, 3701–3711. [Google Scholar] [CrossRef]
- Jang, W.Y.; Kraynik, A.M.; Kyriakides, S. On the microstructure of open-cell foams and its effect on elastic properties. Int. J. Solids Struct. 2008, 45, 1845–1875. [Google Scholar] [CrossRef]
- De Jaeger, P. Thermal and Hydraulic Characterisation and Modeling of Open-Cell Aluminum Foam. Ph.D. Thesis, Ghent University, Ghent, Belgium, December 2013. [Google Scholar]
- Du Plessis, P.; Montillet, A.; Comiti, J.; Legrand, J. Pressure drop prediction for flow through high porosity metallic foams. Chem. Eng. Sci. 1994, 49, 3545–3553. [Google Scholar] [CrossRef]
- Fourie, J.G.; Du Plessis, J.P. Pressure drop modeling in cellular metallic foams. Chem. Eng. Sci. 2002, 57, 2781–2789. [Google Scholar] [CrossRef]
- Calmidi, V. Transport Phenomena in High Porosity Metal Foams. Ph.D. Thesis, University of Colorado, Colorado, CO, USA, 1998. [Google Scholar]
- Calmidi, V.; Mahajan, R. Forced convection in high porosity metal foams. J. Heat Transf. 2000, 122, 557–565. [Google Scholar] [CrossRef]
- Li, W.; Qu, Z.; He, Y.; Tao, W. Experimental and numerical studies on melting phase change heat transfer in open-cell metallic foams filled with paraffin. Appl. Therm. Eng. 2012, 37, 1–9. [Google Scholar] [CrossRef]
- Qu, Z.; Xu, H.; Tao, W. Fully developed forced convective heat transfer in an annulus partially filled with metallic foams: An analytical solution. Int. J. Heat Mass Transf. 2012, 55, 7508–7519. [Google Scholar] [CrossRef]
- Sauret, E.; Hooman, K. Particle size distribution effects on preferential deposition areas in metal foam wrapped tube bundle. Int. J. Heat Mass Transf. 2014, 79, 905–915. [Google Scholar] [CrossRef]
- Brunauer, S.; Emmett, P.; Teller, E. Adsorption of gases in multimolecular layers. J. Am. Chem. Soc. 1938, 60, 309–319. [Google Scholar] [CrossRef]
- Sobhan, C.B.; Peterson, G.P. Microscale and Nanoscale Heat Transfer: Fundamentals And Engineering Applications; CRC Press: Boca Raton, FL, USA, 2008. [Google Scholar]
- Sing, K.; Everett, D.; Haul, R.; Moscou, L.; Pierotti, R.; Rouquerol, J.; Siemieniewska, T. IUPAC Recommendations 1984: Reporting physisorption data for gas/solid systems with special reference to the determination of surface area and porosity. Pure Appl. Chem. 1985, 57, 603–619. [Google Scholar] [CrossRef]
- Ozmat, B.; Leyda, B.; Benson, B. Thermal Applications of Open-Cell Metal Foams. Mater. Manuf. Process. 2004, 19, 839–862. [Google Scholar] [CrossRef]
- Bodla, K.K.; Murthy, J.Y.; Garimella, S.V. Microtomography-Based Simulation of Transport through Open-Cell Metal Foams. Numer. Heat Transf. A 2010, 58, 527–544. [Google Scholar] [CrossRef]
- Cunsolo, S.; Oliviero, M.; Harris, W.M.; Andreozzi, A.; Bianco, N.; Chiu, W.K.; Naso, V. Monte Carlo determination of radiative properties of metal foams: Comparison between idealized and real cell structures. Int. J. Therm. Sci. 2015, 87, 94–102. [Google Scholar] [CrossRef]
- Veyhl, C.; Belova, I.; Murch, G.; Fiedler, T. Finite element analysis of the mechanical properties of cellular aluminum based on micro-computed tomography. Mater. Sci. Eng. A Struct. 2011, 528, 4550–4555. [Google Scholar] [CrossRef]
- Fiedler, T.; Solórzano, E.; Garcia-Moreno, F.; Öchsner, A.; Belova, I.; Murch, G. Computed tomography based finite element analysis of the thermal properties of cellular aluminum. Materialwiss Werkst 2009, 40, 139–143. [Google Scholar] [CrossRef]
- Brun, E. De l‘imagérie 3D des Structures a L‘étude Des Mécanismes De Transport en Milieux Cellulaires. Ph.D. Thesis, Aix Marseille Université, Marseille, France, 2009. [Google Scholar]
- Lindquist, W.B. Quantitative analysis of three dimensional X-ray tomographic images. In Proceedings of the SPIE 4503, Developments in X-Ray Tomography III, San Diego, CA, USA, 29 July 2001; pp. 103–115.
- Ohser, J.; Schladitz, K. 3D Images of Materials Structures: Processing and Analysis; WILEY-VCH: Weinheim, Germany, 2009. [Google Scholar]
- Vlassenbroeck, J.; Direrick, M.; Masschaele, B.; Cnudde, V.; Hoorebeke, L.V.; Jacobs, P. Software tools for quantification of X-ray microtomography at the UGCT. Nucl. Instrum. Meth. A 2007, 580, 442–445. [Google Scholar] [CrossRef]
- Gülich, J.F. Centrifugal Pumps; Springer: Berlin, Germany, 2008. [Google Scholar]
- Schmierer, E.N.; Razani, A. Self-consistent open-celled metal foam model for thermal applications. J. Heat Transf. 2006, 128, 1194–1203. [Google Scholar] [CrossRef]
- De Jaeger, P.; T‘Joen, C.; Huisseune, H.; Ameel, B.; De Paepe, M. An experimentally validated and parameterized periodic unit-cell reconstruction of open-cell foams. J. Appl. Phy. 2011, 109, 103519. [Google Scholar] [CrossRef]
- Zhou, J.; Mercer, C.; Soboyejo, W. An investigation of the microstructure and strength of open-cell 6101 aluminum foams. Metall. Mater. Trans. A 2002, 33, 1413–1427. [Google Scholar] [CrossRef]
- Lindblad, J. Surface area estimation of digitized 3D objects using weighted local configurations. Image Vision Comput. 2005, 23, 111–122. [Google Scholar] [CrossRef]
- Moffat, R.J. Describing the uncertainties in experimental results. Exp. Therm. Fluid Sci. 1998, 3–17. [Google Scholar] [CrossRef]
- Phanikumar, M.; Mahajan, R. Non-Darcy natural convection in high porosity metal foams. Int. J. Heat Mass Transf. 2002, 45, 3781–3793. [Google Scholar] [CrossRef]
- Yang, X.; Lu, T.J.; Kim, T. An analytical model for permeability of isotropic porous media. Phys. Lett. A 2014, 378, 2308–2311. [Google Scholar] [CrossRef]
- Kopanidis, A.; Theodorakakos, A.; Gavaises, E.; Bouris, D. 3D numerical simulation of flow and conjugate heat transfer through a pore scale model of high porosity open cell metal foam. Int. J. Heat Mass Transf. 2010, 53, 2539–2550. [Google Scholar] [CrossRef]
- Quintard, M. Transfers in porous media. In Proceedings of the 15th International Heat Transfer Conference, Kyoto, Japan, 10–15 August 2014. [CrossRef]
- Whitaker, S. The Method of Volume Averaging; Springer: Dordrecht, The Netherlands, 1999; Volumn 13. [Google Scholar]
- Bear, J. Dynamics oF Fluids in Porous Media; Elsevier: Amsterdam, The Netherlands, 1988. [Google Scholar]
- Cushman, J.H.; Bennethum, L.S.; Hu, B.X. A primer on upscaling tools for porous media. Adv. Water Resour. 2002, 25, 1043–1067. [Google Scholar] [CrossRef]
- Versteeg, H.; Malalasekera, W. An Introduction to Computational Fluid Dynamics; Pearson Education Limited: New York, NY, USA, 2007. [Google Scholar]
- Minkowycz, W.; Haji-Sheikh, A.; Vafai, K. On departure from local thermal equilibrium in porous media due to a rapidly changing heat source: The Sparrow number. Int. J. Heat Mass Transf. 1999, 42, 3373–3385. [Google Scholar] [CrossRef]
- Haussener, S.; Coray, P.; Lipinski, W.; Wyss, P.; Steinfeld, A. Tomography-based heat and mass transfer characterization of reticulate porous ceramics for high-temperature processing. J. Heat Transf. 2010, 132, 1–10. [Google Scholar] [CrossRef]
- Le, L.H.; Zhang, C.; Ta, D.; Lou, E. Measurement of tortuosity in aluminum foams using airborne ultrasound. Ultrasonics 2010, 50, 1–5. [Google Scholar] [CrossRef] [PubMed]
- Ranut, P. On the effective thermal conductivity of aluminum metal foams: Review and improvement of the available empirical and analytical models. Appl. Therm. Eng. 2015. [Google Scholar] [CrossRef]
- Ochoa-Tapia, J.; Whitaker, S. Momentum transfer at the boundary between a porous medium and a homogeneous fluid–I. Theoretical development. Int. J. Heat Mass Transf. 1995, 38, 2635–2646. [Google Scholar] [CrossRef]
- Ochoa-Tapia, J.; Whitaker, S. Momentum transfer at the boundary between a porous medium and a homogeneous fluid–II. Comparison with experiment. Int. J. Heat Mass Transf. 1995, 38, 2647–2655. [Google Scholar] [CrossRef]
- Magnico, P. Analysis of permeability and effective viscosity by CFD on isotropic and anisotropic metallic foams. Chem. Eng. Sci. 2009, 64, 3564–3575. [Google Scholar] [CrossRef]
- Taheri, M. Analytical and Numerical Modeling of Fluid Flow and Heat Transfer Through Open-Cell Metal Foam Heat Exchangers. Ph.D. Thesis, University of Toronto, Toronto, ON, Canada, 2015. [Google Scholar]
- Feng, S.; Shi, M.; Li, Y.; Lu, T.J. Pore-scale and volume-averaged numerical simulations of melting phase change heat transfer in finned metal foam. Int. J. Heat Mass Transf. 2015, 90, 838–847. [Google Scholar] [CrossRef]
- Zhao, C.; Lu, T.; Hodson, H. Natural convection in metal foams with open cells. Int. J. Heat Mass Transf. 2005, 48, 2452–2463. [Google Scholar] [CrossRef]
- DeGroot, C.T.; Straatman, A.G.; Betchen, L.J. Modeling Forced Convection in Finned Metal Foam Heat Sinks. J. Electron. Packag. 2009, 131, 021001. [Google Scholar] [CrossRef]
- Ansys Fluent Theory Guide. Available online: https://uiuc-cse.github.io/me498cm-fa15/lessons/fluent/refs/ANSYS%20Fluent%20Theory%20Guide.pdf (accessed on 1 February 2016).
- Whitaker, S. The Forchheimer equation: A theoretical development. Transp. Porous Media 1996, 25, 27–61. [Google Scholar] [CrossRef]
- Gray, W.G. A derivation of the equations for multi-phase transport. Chem. Eng. Sci. 1975, 30, 229–233. [Google Scholar] [CrossRef]
- Whitaker, S. Flow in porous media I: A theoretical derivation of Darcy’s law. Transp. Porous Media 1986, 1, 3–25. [Google Scholar] [CrossRef]
- Dupuit, J. Etudes theoriques et practiques sur le mouvement des eaux; Dunond: Paris, France, 1863. [Google Scholar]
- Forchheimer, P. Wasserbewegung durch boden. Zeitschrift Vereines Deutscher Ingenieure 1901, 45, 1782–1788. [Google Scholar]
- Hugo, J.M.; Topin, F. Metal Foams Design for Heat Exchangers: Structure and Effectives Transport Properties; Springer: Berlin-Heidelberg, Germany, 2012; Volume 13, pp. 219–244. [Google Scholar]
- Niu, Y.; Simon, T.; Gedeon, D.; Ibrahim, M. Direct measurments of eddy transport and thermal dispersion in a high porosity matrix. J. Thermophys. Heat Transf. 2006, 20, 101–106. [Google Scholar] [CrossRef]
- Kaviany, M. Principles of Heat Transfer in Porous Media, 2nd ed.; Springer: New York, NY, USA, 1995. [Google Scholar]
- Steven, M.; Mach, A.; von Issendorff, F.; Altendorfner, M.; Delgado, A. Numerical simulation of combustion of a low caloric gas mixture in a porous inert medium taking anisotropic dispersion into account. In Proceedings of the Third European Combustion Meeting ECM 2007, Chania, Greece, 11–13 April 2007.
- Koch, D.; Brady, J. The effective diffusivity of fibrous media. AIChE J. 1986, 32, 575–591. [Google Scholar] [CrossRef]
- Kurtbas, I.; Celik, N. Experimental investigation of forced and mixed convection heat transfer in a foam-filled horizontal rectangular channel. Int. J. Heat Mass Transf. 2009, 52, 1313–1325. [Google Scholar] [CrossRef]
- Jeng, T.M.; Tzeng, S.C.; Hung, Y.H. An analytical study of local thermal equilibrium in porous heat sinks using fin theory. Int. J. Heat Mass Transf. 2006, 49, 1907–1914. [Google Scholar] [CrossRef]
- Zukauskas, A. Heat Transfer From Tubes in Crossflow; Academic Press: New York, NY, USA, 1972; Volume 8, pp. 93–160. [Google Scholar]
- Ghosh, I. Heat transfer correlation for high-porosity open-cell foam. Int. J. Heat Mass Transf. 2009, 52, 1488–1494. [Google Scholar] [CrossRef]
- Tamayol, A.; Hooman, K. Thermal assessment of forced convection through metal foam heat exchangers. J. Heat Transf. 2011, 133, 111801. [Google Scholar] [CrossRef]
- Von Rickenbach, J.; Lucci, F.; Narayanan, C.; Eggenschwiler, P.D.; Poulikakos, D. Multi-scale modeling of mass transfer limited heterogeneous reactions in open cell foams. Int. J. Heat Mass Transf. 2014, 75, 337–346. [Google Scholar] [CrossRef]
- Suter, S.; Steinfeld, A.; Haussener, S. Pore-level engineering of macroporous media for increased performance of solar-driven thermochemical fuel processing. Int. J. Heat Mass Transf. 2014, 78, 688–698. [Google Scholar] [CrossRef]
- De Schampheleire, S.; De Kerpel, K.; Huisseune, H.; De Jaeger, P.; Ameel, B.; De Paepe, M. Applying the volume averaging theory to open-cell metal foam in natural convection/radiation. In Proceedings of the 11th International Conference on Heat Transfer, Fluid Mechanics and Thermodynamics, Kruger Park, South Africa, 20–23 July 2015; pp. 159–167.
© 2016 by the authors; licensee MDPI, Basel, Switzerland. This article is an open access article distributed under the terms and conditions of the Creative Commons by Attribution (CC-BY) license (http://creativecommons.org/licenses/by/4.0/).
Share and Cite
De Schampheleire, S.; De Jaeger, P.; De Kerpel, K.; Ameel, B.; Huisseune, H.; De Paepe, M. How to Study Thermal Applications of Open-Cell Metal Foam: Experiments and Computational Fluid Dynamics. Materials 2016, 9, 94. https://doi.org/10.3390/ma9020094
De Schampheleire S, De Jaeger P, De Kerpel K, Ameel B, Huisseune H, De Paepe M. How to Study Thermal Applications of Open-Cell Metal Foam: Experiments and Computational Fluid Dynamics. Materials. 2016; 9(2):94. https://doi.org/10.3390/ma9020094
Chicago/Turabian StyleDe Schampheleire, Sven, Peter De Jaeger, Kathleen De Kerpel, Bernd Ameel, Henk Huisseune, and Michel De Paepe. 2016. "How to Study Thermal Applications of Open-Cell Metal Foam: Experiments and Computational Fluid Dynamics" Materials 9, no. 2: 94. https://doi.org/10.3390/ma9020094
APA StyleDe Schampheleire, S., De Jaeger, P., De Kerpel, K., Ameel, B., Huisseune, H., & De Paepe, M. (2016). How to Study Thermal Applications of Open-Cell Metal Foam: Experiments and Computational Fluid Dynamics. Materials, 9(2), 94. https://doi.org/10.3390/ma9020094

