Effect of Manganese on the Strength–Toughness Relationship of Low-Carbon Copper and Nickel-Containing Hull Steel
Abstract
1. Introduction
2. Experimental Procedure
3. Results
3.1. Mechanical Properties
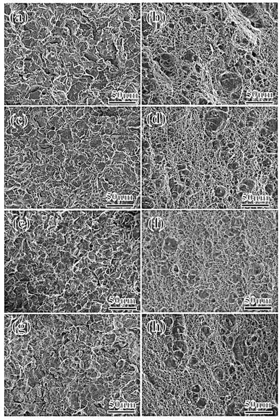
3.2. Oscillographic Shock
3.3. Microstructural Characterization
4. Discussion
4.1. Effect of Mn Content on the Stability of RA and Work Hardening
4.2. Effect of Mn Content on Low-Temperature Toughness
5. Conclusions
Author Contributions
Funding
Institutional Review Board Statement
Informed Consent Statement
Data Availability Statement
Acknowledgments
Conflicts of Interest
References
- Li, D.C. The present situation and development trend of hull structural steel. Wuhan Shipbuild. 1995, 3, 28–35. [Google Scholar]
- Pan, T. Study on low temperature toughening mechanism and fine structure of 9Ni steel for liquefied natural gas engineering. Gen. Inst. Iron Steel Res. 2015, 74–84. [Google Scholar]
- Glover, A.; Speer, J.G.; De Moor, E. Tempering and Austempering of Double Soaked Medium Manganese Steels. Front. Mater. 2021, 7, 622131. [Google Scholar] [CrossRef]
- Mueller, J.J.; Glover, A.G. Austenite Formation and Manganese Partitioning during Double Soaking of an Ultralow Carbon Medium-Manganese Steel. Steel Res. Int. 2023, 94, 2200947. [Google Scholar] [CrossRef]
- Hu, J.; Du, L.; Liu, H.; Sun, G.; Xie, H.; Yi, H.; Misra, R. Structure–mechanical property relationship in a low-C medium-Mn ultrahigh strength heavy plate steel with austenite-martensite submicro-laminate structure. Mater. Sci. Eng. A 2015, 647, 144–151. [Google Scholar] [CrossRef]
- Yang, Y.H.; Zhang, X.J.; Yuan, S.Q. Effect of reversed austenite on low temperature fracture mechanism of 9Ni steel. Trans. Mater. Heat Treat. 2014, 35, 101–105. [Google Scholar]
- Liu, S.; Xiong, Z.; Guo, H.; Shang, C.; Misra, R.D.K. The significance of multi-step partitioning: Processing-structure-property relationship in governing high strength-high ductility combination in medium-manganese steels. Acta Mater. 2017, 124, 159–172. [Google Scholar] [CrossRef]
- Wang, X.; Xu, Y.B.; Gao, Y.J.; Wang, Y.; Misra, R.D.K. Enhancing strength-ductility combination in a novel Cu–Ni bearing Q&P steel by tailoring the characteristics of fresh martensite. J. Mater. Res. Technol. 2023, 24, 9015–9029. [Google Scholar]
- Hu, J.; Zhang, J.M.; Sun, G.S.; Du, L.X.; Liu, Y.; Dong, Y.; Misra, R.D.K. High strength and ductility combination in nano-/ultrafine-grained medium-Mn steel by tuning the stability of reverted austenite involving intercritical annealing. J. Mater. Sci. 2019, 54, 6565–6578. [Google Scholar] [CrossRef]
- Mueller, J.J.; Matlock, D.K.; Speer, J.G.; De Moor, E. Accelerated Ferrite-to-Austenite Transformation During Intercritical Annealing of Medium-Manganese Steels Due to Cold-Rolling. Metals 2019, 9, 926. [Google Scholar] [CrossRef]
- Luo, H.; Dong, H. New ultrahigh-strength Mn-alloyed TRIP steels with improved formability manufactured by intercritical annealing. Mater. Sci. Eng. A. 2015, 626, 207–212. [Google Scholar] [CrossRef]
- Lee, S.; Lee, S.J.; De Cooman, B.C. Austenite stability of ultrafme-grained transformation-induced plasticity steel with Mn partitioning. Scr. Mater. 2011, 65, 225–228. [Google Scholar] [CrossRef]
- Sun, B.; Fazeli, F.; Scott, C.; Guo, B.; Aranas, C., Jr.; Chu, X.; Jahazi, M.; Yue, S. Microstructural characteristics and tensile behavior of medium manganese steels with different manganese additions. Mater. Sci. Eng. A 2018, 729, 496–507. [Google Scholar] [CrossRef]
- Shi, J.; Sun, X.J.; Wang, M.Q.; Hui, W.J.; Dong, H.; Cao, W.Q. Enhanced work-hardening behavior and mechanical properties in ultrafine-grained steels with large-fractioned metastable austenite. Scr. Mater. 2010, 63, 815–818. [Google Scholar] [CrossRef]
- Morawiec, M.; Grajcar, A.; Krawczyk, J.; Gronostajski, Z.; Petrov, R.H. Microstructure and Dynamic Mechanical Behavior of Thermomechanically Rolled 3Mn–Al and 5Mn–Al Sheet Steels. Steel Res. Int. 2023, 94, 2200908. [Google Scholar] [CrossRef]
- Druschitz, A.P.; Seigler, A.; Hall, O.; Kluesener, L.; Zippel, J. Cast Medium-Manganese FeMnAlSiC Steel. Int. J. Met. 2023, 17, 2413–2420. [Google Scholar] [CrossRef]
- Poling, W.A.; Moor, E.D.; Speer, J.G.; Findley, K.O. Temperature Effects on Tensile Deformation Behavior of a Medium Manganese TRIP Steel and a Quenched and Partitioned Steel. Metals 2021, 11, 375. [Google Scholar] [CrossRef]
- Gramlich, A.; Bleck, W. Tempering and Intercritical Annealing of Air-Hardening 4 wt% Medium Manganese Steels. Steel Res. Int. 2021, 92, 2100180. [Google Scholar] [CrossRef]
- Blankart, C.; Wesselmecking, S.; Krupp, U. Influence of Quenching and Partitioning Parameters on Phase Transformations and Mechanical Properties of Medium Manganese Steel for Press-Hardening Application. Metals 2021, 11, 1879. [Google Scholar] [CrossRef]
- Allam, T.; Bleck, W.; Klinkenberg, C.; Kintscher, B.; Krupp, U.; Rudnizki, J. The continuous casting behavior of medium manganese steels. J. Mater. Res. Technol. 2021, 15, 292–305. [Google Scholar] [CrossRef]
- Mohapatra, S.; Kumar, S.; Das, S.; Das, K. Effect of strain rate on the microstructure evolution and tensile behavior of medium manganese steel. Mater. Lett. 2023, 330, 133243. [Google Scholar] [CrossRef]
- Gibbs, P.J.; De Cooman, B.C.; Brown, D.W.; Clausen, B.; Schroth, J.G.; Merwin, M.J.; Matlock, D.K. Strain partitioning in ultra-fine grained medium-manganese transformation induced plasticity steel. Mater. Sci. Eng. A. 2014, 609, 323–333. [Google Scholar] [CrossRef]
- Lambert, P.K.; Hustedt, C.J.; Casem, D.T. Strain-Rate Dependence of the Martensitic Transformation Behavior in a 10 Pct Ni Multi-phase Steel Under Compression. Metall. Mater. Trans. A 2020, 51, 5101–5109. [Google Scholar] [CrossRef]
- Mueller, J.; Hu, X.; Sun, X.; Ren, Y.; Choi, K.; Barker, E.; Speer, J.; Matlock, D.; De Moor, E. Austenite formation and cementite dissolution during intercritical annealing of a medium-manganese steel from a martensitic condition. Mater. Des. 2021, 203, 109598. [Google Scholar] [CrossRef]
- Niu, G.; Zurob, H.S.; Misra, R.; Tang, Q.; Zhang, Z.; Nguyen, M.-T.; Wang, L.; Wu, H.; Zou, Y. Superior fracture toughness in a high-strength austenitic steel with heterogeneous lamellar microstructure. Acta Mater. 2022, 226, 117642. [Google Scholar] [CrossRef]
- Huang, L.; Deng, X.T.; Liu, J.; Wang, Z.D. Relationship Between Retained Austenite Stability and Cryogenic Impact Toughness in 0.12C-3.0Mn Low Carbon Medium Manganese Steel. Acta Metall. Sin. 2017, 53, 316–324. [Google Scholar]
- Liu, G.; Su, J.; Wang, A.; Yang, Z.; Ding, Y.; Ning, J.; Gao, Q. A novel Fe-Cr-Ni-Co-Mo maraging stainless steel with enhanced strength and cryogenic toughness: Role of austenite with core-shell structures. Mater. Sci. Eng. A 2023, 863, 144537. [Google Scholar] [CrossRef]
- Kwok, T.W.J.; Worsnop, F.F.; Douglas, J.O.; Dye, D. Carbon in Solution and the Charpy Impact Performance of Medium Mn Steels. Metall. Mater. Trans. A 2023, 54, 4128–4137. [Google Scholar] [CrossRef]
- Mohapatra, S.; Poojari, G.; Satpathy, B.; Das, S.; Das, K. A Comprehensive Study on the Effect of Annealing Temperature on the Tensile and Impact Behavior of Automotive-Grade Medium Manganese Steel (Fe-6.22Mn-0.18C). J. Mater. Eng. Perform. 2023. [Google Scholar] [CrossRef]
- Jiao, Z.B.; Luan, J.H.; Guo, W.; Poplawsky, J.D.; Liu, C.T. Atom-probe study of Cu and NiAl nanoscale precipitation and interfacial segregation in a nanoparticle-strengthened steel. Mater. Res. Lett. 2017, 5, 562–568. [Google Scholar] [CrossRef]
- Varanasi, R.S.; Zaefferer, S.; Sun, B.; Ponge, D. Localized deformation inside the Luders front of a medium manganese steel. Mater. Sci. Eng. A 2021, 824, 141816. [Google Scholar] [CrossRef]
- Hu, B.; Rong, X.; Tian, C.; Yu, Y.; Guo, H.; Misra, R.; Shang, C. Nanoscale precipitation and ultrafine retained austenite induced high strength-ductility combination in a newly designed low carbon Cu-bearing medium-Mn steel. Mater. Sci. Eng. A 2021, 822, 141685. [Google Scholar] [CrossRef]
- Zhou, Q.; Qian, L.; Tan, J.; Meng, J.; Zhang, F. Inconsistent effects of mechanical stability of retained austenite on ductility and toughness of transformation- induced plasticity steels. Mater. Sci. Eng. A 2013, 578, 370–376. [Google Scholar] [CrossRef]
- Mishra, G.; Chandan, A.K. Effect of cold deformation extent and ART annealing duration on the microstructure and mechanical properties of a medium manganese steel. Mater. Chem. Phys. 2021, 271, 124940. [Google Scholar] [CrossRef]
- Bagliani, E.P.; Santofimia, M.J.; Zhao, L.; Sietsma, J.; Anelli, E. Microstructure, tensile and toughness properties after quenching and partitioning treatments of a medium-carbon steel. Mater. Sci. Eng. A 2013, 559, 486–495. [Google Scholar] [CrossRef]
- Hu, J.; Du, L.X.; Sun, G.S.; Xie, H.; Misra, R.D.K. The determining role of reversed austenite in enhancing toughness of a novel ultra-low carbon medium manganese high strength steel. Scr. Mater. 2015, 104, 87–90. [Google Scholar] [CrossRef]
- Yang, Y.G.; Mi, Z.L.; Xu, M.; Xiu, Q.; Li, J.; Jiang, H.T. Impact of intercritical annealing temperature and strain state on mechanical stability of retained austenite in medium Mn steel. Mater. Sci. Eng. A 2018, 725, 389–397. [Google Scholar] [CrossRef]
- Mohapatra, S.; Das, K.; Das, S. Significance of intercritical annealing temperature on the impact behavior of Fe-7Mn-4Al-0.18C steel. Mater. Lett. 2023, 344, 134418. [Google Scholar] [CrossRef]
- Field, D.M.; Magagnosc, D.J.; Hornbuckle, B.C.; Lloyd, J.T.; Limmer, K.R. Tailoring γ-austenite Stability to Improve Strength and Toughness of a Medium-Mn Steel. Metall. Mater. Trans. A 2022, 53, 2530–2543. [Google Scholar] [CrossRef]
- Magagnosc, D.J.; Field, D.M.; Meredith, C.S.; Walter, T.R.; Limmer, K.R.; Lloyd, J.T. Superior strength and ductility in a low density duplex steel studied by in situ neutron diffraction. Mater. Sci. Eng. A 2021, 799, 140252. [Google Scholar] [CrossRef]
- Nakada, N.; Tsuchiyama, T.; Takaki, S.; Hashizume, S. Variant selection of re-versed austenite in lath martensite. ISIJ Int. 2007, 47, 1527. [Google Scholar] [CrossRef]
- Liu, Z.; Liang, J.; Su, J.; Wang, X.; Sun, Y.; Wang, C.; Yang, Z. Research and Application Progress in Ultra-High Strength Stainless Steel. Acta Metall. Sin. 2020, 56, 549–557. [Google Scholar]
- Knijf, D.D.; Föjer, C.; Kestens, L.A.I.; Petrov, R. Factors influencing the austenite stability during tensile testing of Quenching and Partitioning steel determined via in-situ Electron Backscatter Diffraction. Mater. Sci. Eng. A 2015, 638, 219–227. [Google Scholar] [CrossRef]
- Chen, J.; Lv, M.; Tang, S.; Liu, Z.; Wang, G. Correlation between mechanical properties and retained austenite characteristics in a low-carbon medium manganese alloyed steel plate. Mater. Charact. 2015, 106, 108–111. [Google Scholar] [CrossRef]
- Elbeltagy, A.; Xu, Z.; Shen, X.; Krupp, U.; Song, W. Yield Strength Enhancement Without Ductility Loss Through Controlling the Intercritical Annealing Time in Medium-Mn Steels. Adv. Eng. Mater. 2023, 25, 2300067. [Google Scholar] [CrossRef]
- Chen, J.; Lv, M.Y.; Liu, Z.Y.; Wang, G.D. Combination of ductility and toughness by the design of fine ferrite/tempered martensite–austenite microstructure in a low carbon medium manganese alloyed steel plate. Mater. Sci. Eng. A 2015, 648, 51–56. [Google Scholar] [CrossRef]
- Jimenez-Melero, E.; van Dijk, N.H.; Zhao, L.; Sietsma, J.; Offerman, S.E.; Wright, J.P.; van der Zwaag, S. Characterization of individual retained austenite grains and their stability in low-alloyed TRIP steels. Acta Mater. 2007, 55, 6713–6723. [Google Scholar] [CrossRef]
- Heo, N.H.; Nam, J.W.; Heo, Y.U.; Kim, S.J. Grain boundary embrittlement by Mn and eutectoid reaction in binary Fe–12Mn steel. Acta Mater. 2013, 61, 4022–4034. [Google Scholar] [CrossRef]
- Zhong, L.; Wu, R.; Freeman, A.J.; Olson, G.B. Effects of Mn additions on the P embrittlement of the Fe grain boundary. Phys. Rev. B Condens. Matter. 1997, 55, 11133–11137. [Google Scholar]
- Magagnosc, D.; Field, D.; Meredith, C.; An, K.; Walter, T.; Limmer, K.; Lloyd, J. Temperature and stress dependent twinning behavior in a fully austenitic medium-Mn steel. Acta Mater. 2022, 231, 117864. [Google Scholar] [CrossRef]
- Shyamal, S.; Farahani, M.G.; Allam, T.; Hamada, A.S.; Haase, C.; Kömi, J.I.; Chakraborti, P.C.; Sahu, P. Activation of a hybrid twinning mechanism in a Cr-Ni-Si-V-N medium manganese austenitic steel containing precipitates. Scr. Mater. 2021, 192, 83–88. [Google Scholar] [CrossRef]
- Allam, T.; Ali, M.; Guo, X.F. Simultaneous enhancement of mechanical properties and resistance to hydrogen-assisted degradation by multiple precipitation and nano-twinning in medium manganese steel. Mater. Sci. Eng. A 2023, 877, 145203. [Google Scholar] [CrossRef]












| Steel | C | Si | Mn | Al | Ni | Cu | Nb | Ti |
|---|---|---|---|---|---|---|---|---|
| 2Mn | 0.046 | 0.25 | 2.09 | 0.042 | 3.53 | 2.1 | 0.018 | 0.020 |
| 3Mn | 0.046 | 0.25 | 3.10 | 0.042 | 3.54 | 2.1 | 0.018 | 0.017 |
| 4Mn | 0.043 | 0.25 | 4.11 | 0.038 | 3.60 | 2.11 | 0.018 | 0.018 |
| 5Mn | 0.046 | 0.24 | 5.04 | 0.025 | 3.51 | 2.05 | 0.017 | 0.018 |
| Phase Change Point/Sample | 2Mn | 3Mn | 4Mn | 5Mn |
|---|---|---|---|---|
| Ac3 | 790 | 770 | 770 | 758 |
| Ac1 | 658 | 645 | 630 | 625 |
| Ms | 475 | 410 | 375 | 355 |
| Mf | 270 | 242 | 200 | 155 |
| Sample | Rm/MPa | Rp0.2/MPa | A/% | Z/% | Rp0.2/Rm |
|---|---|---|---|---|---|
| 2Mn | 817 ± 3 | 785 ± 5 | 23.3 ± 0.3 | 79.0 ± 1.0 | 0.961 |
| 3Mn | 840 ± 5 | 796 ± 8 | 23.5 ± 0.0 | 79.5 ± 0.5 | 0.948 |
| 4Mn | 870 ± 2 | 794 ± 10 | 23.8 ± 0.3 | 78.5 ± 0.5 | 0.913 |
| 5Mn | 910 ± 2 | 818 ± 4 | 23.3 ± 0.3 | 75.0 ± 0.5 | 0.899 |
| Sample | Volume Fraction of RA/% | Impact Work/J | ||
|---|---|---|---|---|
| −40 °C | −60 °C | −84 °C | ||
| 2Mn | 13 | 234 ± 30 | 191 ± 17 | 169 ± 5 |
| 3Mn | 17 | 168 ± 10 | 154 ± 6 | 103 ± 20 |
| 4Mn | 27 | 108 ± 7 | 65 ± 5 | 47 ± 3 |
| 5Mn | 43 | 71 ± 4 | 53 ± 1 | 41 ± 4 |
| Sample | 2Mn | 3Mn | 4Mn | 5Mn |
|---|---|---|---|---|
| Volume fraction of RA/% | 7 | 12 | 41 | 45 |
| Grain size of RA/μm | 0.85 ± 0.34 | 0.90 ± 0.39 | 1.38 ± 0.35 | 1.46 ± 0.50 |
| Sample | Crystal Structure | X | Y | Z |
|---|---|---|---|---|
| 2Mn | bcc | 55% | 61% | 60% |
| fcc | 62% | 60% | 63% | |
| 3Mn | bcc | 58% | 55% | 62% |
| fcc | 62% | 48% | 46% | |
| 4Mn | bcc | 57% | 50% | 61% |
| fcc | 51% | 60% | 58% | |
| 5Mn | bcc | 53.8% | 54% | 64% |
| fcc | 60% | 45% | 36% |
Disclaimer/Publisher’s Note: The statements, opinions and data contained in all publications are solely those of the individual author(s) and contributor(s) and not of MDPI and/or the editor(s). MDPI and/or the editor(s) disclaim responsibility for any injury to people or property resulting from any ideas, methods, instructions or products referred to in the content. |
© 2024 by the authors. Licensee MDPI, Basel, Switzerland. This article is an open access article distributed under the terms and conditions of the Creative Commons Attribution (CC BY) license (https://creativecommons.org/licenses/by/4.0/).
Share and Cite
Zhan, Z.; Shi, Z.; Wang, Z.; Lu, W.; Chen, Z.; Zhang, D.; Chai, F.; Luo, X. Effect of Manganese on the Strength–Toughness Relationship of Low-Carbon Copper and Nickel-Containing Hull Steel. Materials 2024, 17, 1012. https://doi.org/10.3390/ma17051012
Zhan Z, Shi Z, Wang Z, Lu W, Chen Z, Zhang D, Chai F, Luo X. Effect of Manganese on the Strength–Toughness Relationship of Low-Carbon Copper and Nickel-Containing Hull Steel. Materials. 2024; 17(5):1012. https://doi.org/10.3390/ma17051012
Chicago/Turabian StyleZhan, Zhide, Zhongran Shi, Zemin Wang, Wenjing Lu, Zuoning Chen, Dian Zhang, Feng Chai, and Xiaobing Luo. 2024. "Effect of Manganese on the Strength–Toughness Relationship of Low-Carbon Copper and Nickel-Containing Hull Steel" Materials 17, no. 5: 1012. https://doi.org/10.3390/ma17051012
APA StyleZhan, Z., Shi, Z., Wang, Z., Lu, W., Chen, Z., Zhang, D., Chai, F., & Luo, X. (2024). Effect of Manganese on the Strength–Toughness Relationship of Low-Carbon Copper and Nickel-Containing Hull Steel. Materials, 17(5), 1012. https://doi.org/10.3390/ma17051012

