Intercolonial Microdamage and Cracking Micromechanisms during Wire Drawing of Pearlitic Steel
Abstract
1. Introduction
2. Experimental Procedure
2.1. Materials
2.2. Methods
3. Microstructural Evolution during Cold Drawing of Pearlite
4. Microstructural Damage Analysis and Consequences on Cracking and Fracture
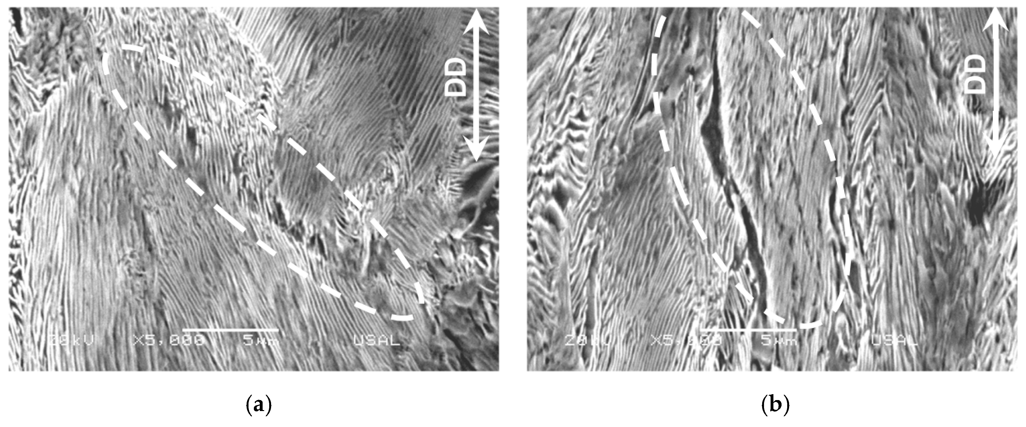
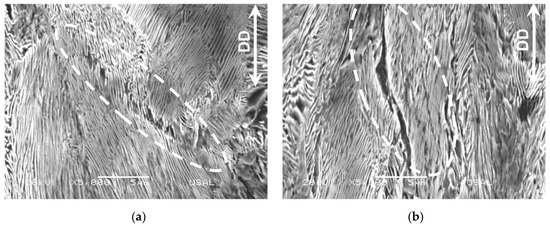
4.1. Intercolonial Microdamage (ICMD)
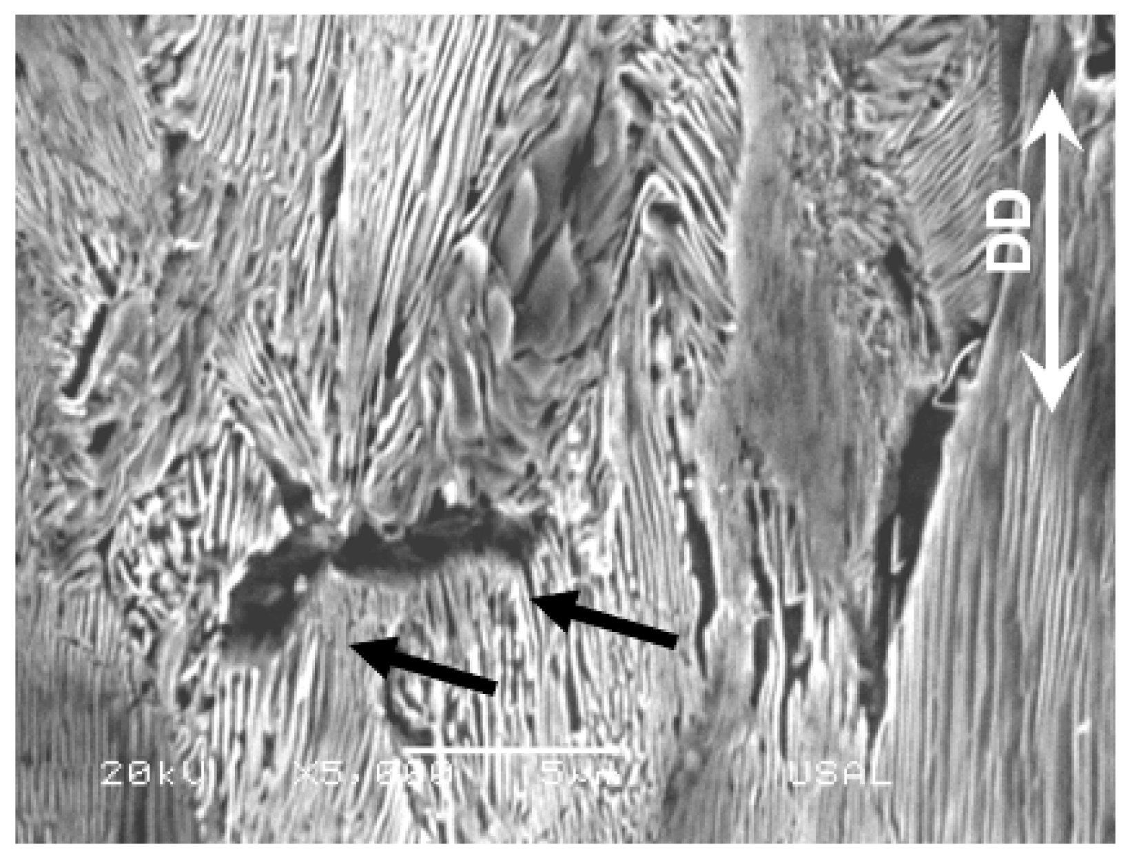
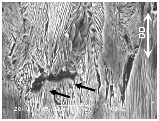
4.2. Cracking Micromechanisms
5. Conclusions
Author Contributions
Funding
Institutional Review Board Statement
Informed Consent Statement
Data Availability Statement
Conflicts of Interest
References
- Toribio, J. On the intrinsic character of the stress-strain curve of a prestressing steel. J. Test. Eval. 1992, 20, 357–362. [Google Scholar]
- Toribio, J. Cold drawn eutectoid pearlitic steel wires as high performance materials in structural engineering. Struct. Integr. Health Monit. 2006, 2, 239–247. [Google Scholar]
- Gil-Sevillano, J. Cleavage-limited maximum strength of work-hardened B.C.C. polycrystals. Acta Metall. 1986, 34, 1473–1485. [Google Scholar]
- Borchers, C.; Kirchheim, R. Cold-drawn pearlitic steel wires. Progress Mater. Sci. 2016, 82, 405–444. [Google Scholar] [CrossRef]
- Embury, J.D.; Fisher, R.M. The structure and properties of drawn pearlite. Acta Metall. 1966, 14, 147–159. [Google Scholar] [CrossRef]
- Langford, G. Deformation of Pearlite. Metall. Trans. A 1977, 8, 861–875. [Google Scholar] [CrossRef]
- Ridley, N. A review of the data on the interlamellar spacing of pearlite. Metall. Trans. A 1984, 15, 1019–1036. [Google Scholar] [CrossRef]
- Lewandowski, J.J.; Thompson, A.W. Effects of the prior austenite grain size on the ductility of fully pearlitic eutectoid steel. Metall. Trans. A 1986, 17, 461–472. [Google Scholar] [CrossRef]
- Nam, W.J.; Bae, C.M. Void initiation and microstructural changes during wire drawing of pearlitic steels. Mater. Sci. Eng. 1995, A203, 278–285. [Google Scholar] [CrossRef]
- Read, H.G.; Reynolds, W.T., Jr.; Hono, K.; Tarui, T. AFPIM and TEM studies of drawn pearlitic wire. Scripta Mater. 1997, 37, 1221–1230. [Google Scholar] [CrossRef]
- Toribio, J.; Ovejero, E. Microstructure evolution in a pearlitic steel subjected to progressive plastic deformation. Mater. Sci. Eng. 1997, 234–236, 579–582. [Google Scholar] [CrossRef]
- Toribio, J.; Ovejero, E. Effect of cumulative cold drawing on the pearlite interlamellar spacing in eutectoid steel. Scripta Mater. 1998, 39, 323–328. [Google Scholar] [CrossRef]
- Toribio, J.; Ovejero, E. Microstructure orientation in a pearlitic steel subjected to progressive plastic deformation. J. Mater. Sci. Lett. 1998, 17, 1037–1040. [Google Scholar] [CrossRef]
- Toribio, J.; Ovejero, E. Effect of cold drawing on microstructure and corrosion performance of high-strength steel. Mech. Time-Depend. Mater. 1998, 1, 307–319. [Google Scholar] [CrossRef]
- Languillaume, J.; Kapelski, G.; Baudelet, B. Cementite dissolution in heavily cold drawn pearlitic steel wires. Acta Mater. 1997, 45, 1201–1212. [Google Scholar] [CrossRef]
- Nam, W.J.; Bae, C.M.; Oh, S.J.; Kwon, S.J. Effect of interlamellar spacing on cementite dissolution during wire drawing of pearlitic steel wires. Scripta Mater. 2000, 42, 457–463. [Google Scholar] [CrossRef]
- Choi, H.C.; Park, K.T. The effect of carbon content on the Hall-Petch parameter in the cold drawn hypereutectoid steels. Scripta Mater. 1996, 34, 857–862. [Google Scholar] [CrossRef]
- Nam, W.J.; Bae, C.M.; Lee, C.S. Effect of carbon content on the Hall-Petch parameter in cold drawn pearlitic steel wires. J. Mater. Sci. 2002, 37, 2243–2249. [Google Scholar] [CrossRef]
- Toribio, J. Relationship between microstructure and strength in eutectoid steels. Mater. Sci. Eng. A 2004, 387–389, 227–230. [Google Scholar] [CrossRef]
- Toribio, J.; González, B.; Matos, J.C. Microstructure and mechanical properties in progressively drawn pearlitic steel. Mater. Trans. 2014, 55, 93–98. [Google Scholar] [CrossRef]
- Tarui, T.; Maruyama, N.; Takahashi, J.; Nishida, S.; Tashiro, H. Microstructure control and strengthening of high-carbon Steel wires. Nippon Steel Tech. Rep. 2005, 91, 56–61. [Google Scholar]
- Shiota, Y.; Tomota, Y.; Moriai, A.; Kamiyama, T. Structure and mechanical behavior of heavily drawn pearlite and martensite in a high carbon steel. Met. Mater. Int. 2005, 11, 371–376. [Google Scholar] [CrossRef]
- Song, H.R.; Kang, E.G.; Bae, C.M.; Lee, C.Y.; Lee, D.L.; Nam, W.J. The effect of a Cr addition and transformation temperature on the mechanical properties of cold drawn hyper-eutectoid steel wires. Met. Mater. Int. 2006, 12, 239–243. [Google Scholar] [CrossRef]
- Zhang, X.; Godfrey, A.; Huang, X.; Hansen, N.; Liu, Q. Microstructure and strengthening mechanisms in cold-drawn pearlitic steel wire. Acta Mater. 2011, 59, 3422–3430. [Google Scholar] [CrossRef]
- Li, Y.J.; Choi, P.; Goto, S.; Borchers, C.; Raabe, D.; Kirchheim, R. Evolution of strength and microstructure during annealing of heavily cold-drawn 6.3 GPa hypereutectoid pearlitic steel wire. Acta Mater. 2012, 60, 4005–4016. [Google Scholar] [CrossRef]
- Takahashi, J.; Kosaka, M.; Kawakami, K.; Tarui, T. Change in carbon state by low-temperature aging in heavily drawn pearlitic steel wires. Acta Mater. 2012, 60, 387–395. [Google Scholar] [CrossRef]
- Zhao, T.Z.; Zhang, S.H.; Zhang, G.L.; Song, H.W.; Cheng, M. Hardening and softening mechanisms of pearlitic steel wire under torsion. Mater. Des. 2014, 59, 397–405. [Google Scholar] [CrossRef]
- Rastegari, H.; Kermanpur, A.; Najafizadeh, A. Effect of initial microstructure on the work hardening behavior of plain eutectoid steel. Mater. Sci. Eng. A 2015, 632, 103–109. [Google Scholar] [CrossRef]
- Porter, D.A.; Easterling, K.E.; Smith, G.D.W. Dynamic studies of the tensile deformation and fracture of pearlite. Acta Metall. 1978, 26, 1405–1422. [Google Scholar] [CrossRef]
- Hyzak, J.M.; Bernstein, I.M. The role of microstructure on the strength and toughness of fully pearlitic steels. Metall. Trans. A 1976, 7, 1217–1224. [Google Scholar] [CrossRef]
- Park, Y.J.; Bernstein, I.M. The process of crack initiation and effective grain size for cleavage fracture in pearlitic eutectoid steel. Metall. Trans. A 1979, 10, 1653–1664. [Google Scholar] [CrossRef]
- Alexander, D.J.; Bernstein, I.M. The cleavage plane of pearlite. Metall. Trans. A 1982, 13, 1865–1868. [Google Scholar] [CrossRef]
- Dollar, M.; Bernstein, I.M.; Thompson, A.W. Influence of deformation substructure on flow and fracture of fully pearlitic steel. Acta Metall. 1988, 36, 311–320. [Google Scholar] [CrossRef]
- Toribio, J.; Ayaso, F.J.; González, B.; Matos, J.C.; Vergara, D.; Lorenzo, M. Tensile fracture behavior of progressively-drawn pearlitic steels. Metals 2016, 6, 114. [Google Scholar] [CrossRef]
- Zhao, T.Z.; Zhang, G.L.; Zhang, S.H.; Zhang, L.Y. Fracture characteristics of fully pearlitic steel wire in tension and torsión. J. Iron & Steel Res. Int. 2016, 23, 1206–1212. [Google Scholar]
- Zhao, T.Z.; Zhang, G.L.; Zhang, S.H.; Zhang, L.Y. Influence of lamellar direction in pearlitic steel wire on mechanical properties and microstructure evolution. J. Iron Steel Res. Int. 2016, 23, 1290–1296. [Google Scholar] [CrossRef]
- Khiratkar, V.N.; Mishra, K.; Srinivasulu, P.; Singh, A. Effect of inter-lamellar spacing and test temperature on the Charpy impact energy of extremely fine pearlite. Mater. Sci. Eng. A 2019, 754, 622–627. [Google Scholar] [CrossRef]
- Lu, X. Correlation between microstructural evolution and mechanical properties of 2000 MPa cold-drawn pearlitic steel wires during galvanizing simulated annealing. Metals 2019, 9, 326. [Google Scholar] [CrossRef]
- Jung, J.Y.; An, K.S.; Park, P.Y.; Nam, W.J. Correlation between microstructures and ductility parameters of cold drawn hyper-eutectoid steel wires with different drawing strains and post-deformation annealing conditions. Metals 2021, 11, 178. [Google Scholar] [CrossRef]
- Toribio, J.; González, B.; Matos, J.C.; Kharin, V. Evaluation by sharp indentation of anisotropic plastic behaviour in progressively drawn pearlitic steel. ISIJ Int. 2011, 51, 843–848. [Google Scholar] [CrossRef]
- Toribio, J.; Ovejero, E.; Toledano, M. Microstructural bases of anisotropic fracture behaviour of heavily drawn steel. Int. J. Fracture 1997, 87, L83–L88. [Google Scholar]
- Toribio, J.; Toledano, M. Fatigue and fracture performance of cold drawn wires for prestressed concrete. Constr. Build. Mater. 2000, 14, 47–53. [Google Scholar] [CrossRef]
- Toribio, J.; Ayaso, F.J. Fracture Performance of progressively drawn pearlitic steel under triaxial stress states. Mater. Sci. 2001, 37, 707–717. [Google Scholar] [CrossRef]
- Toribio, J.; Ayaso, F.J. Micromechanics of fracture in notched samples of heavily drawn steel. Int. J. Fract. 2002, 115, L29–L34. [Google Scholar] [CrossRef]
- Toribio, J.; Ayaso, F.J. Anisotropic fracture behaviour of cold drawn steel: A materials science approach. Mater. Sci. Eng. A 2003, 343, 265–272. [Google Scholar] [CrossRef]
- Toribio, J.; Matos, J.C.; González, B. A macro- and micro-approach to the anisotropic fatigue behaviour of hot-rolled andcold-drawn pearlitic steel. Eng. Fract. Mech. 2014, 123, 70–76. [Google Scholar] [CrossRef]
- Toribio, J.; González, B.; Matos, J.C. Strength anisotropy and mixed mode fracture in heavily drawn pearlitic steel. Fatigue Fract. Eng. Mater. Struct. 2013, 36, 1178–1186. [Google Scholar] [CrossRef]
- He, Y.; Xiang, S.; Shi, W.; Liu, J.; Ji, X.; Yu, W. Effect of microstructure evolution on anisotropic fracture behaviors of cold drawing pearlitic steels. Mater. Sci. Eng. A 2017, 683, 153–163. [Google Scholar] [CrossRef]
- Roh, Y.H.; Cho, D.; Choi, H.C.; Yang, Z.; Lee, Y. Process condition diagram predicting onset of microdefects and fracture in cold bar drawing. Metals 2021, 11, 479. [Google Scholar] [CrossRef]
- Toribio, J.; Ayaso, F.J. Investigation of the type of cleavage related to anisotropic fracture in heavily drawn steels. J. Mater. Sci. Lett. 2002, 21, 1509–1512. [Google Scholar] [CrossRef]
- Toribio, J.; Ayaso, F.J. Image analysis of exfoliation fracture in cold drawn steel. Mater. Sci. Eng. A 2004, 387–389, 438–441. [Google Scholar] [CrossRef]
- Tanaka, M.; Saito, H.; Yasumaru, M.; Higashida, K. Nature of delamination cracks in pearlitic steels. Scripta Mater. 2016, 112, 32–36. [Google Scholar] [CrossRef]
- Bae, C.M.; Nam, W.J.; Lee, C.S. Effect of interlamellar spacing on the delamination of pearlitic steel wires. Scripta Mater. 1996, 35, 641–646. [Google Scholar] [CrossRef]
- Joung, S.W.; Kang, U.G.; Hong, S.P.; Kim, Y.W.; Nam, W.J. Aging behavior and delamination in cold drawn and post- deformation annealed hyper-eutectoid steel wires. Mater. Sci. Eng. A 2013, 586, 171–177. [Google Scholar] [CrossRef]
- Joung, S.; Nam, W. Effects of Alloying Elements, Si and Cr, on aging and delamination behaviors in cold-drawn and subsequently annealed hyper-eutectoid steel wires. Met. Mater. Int. 2019, 25, 34–44. [Google Scholar] [CrossRef]
- Toribio, J. Unconventional pearlitic pseudocolonies affecting macro–, micro– and nano–structural integrity of cold–drawn pearlitic steel wires: Resembling van Gogh, Bernini, Mantegna and Picasso. Procedia Struct. Integr. 2020, 28, 2404–2409. [Google Scholar] [CrossRef]











| C | Mn | Si | P | S | Al | Cr | V |
|---|---|---|---|---|---|---|---|
| 0.79 | 0.68 | 0.21 | 0.01 | 0.01 | 0.003 | 0.22 | 0.06 |
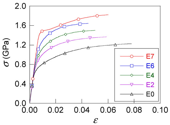
| Steel | D (mm) | εPcum | E (GPa) | σY (GPa) | σR (GPa) | %RA |
|---|---|---|---|---|---|---|
| E0 | 11.03 | 0.00 | 199 | 0.72 | 1.23 | 31.24 |
| E2 | 8.95 | 0.42 | 194 | 0.91 | 1.36 | 35.07 |
| E4 | 7.49 | 0.78 | 196 | 1.02 | 1.50 | 41.67 |
| E6 | 6.26 | 1.13 | 200 | 1.16 | 1.62 | 38.04 |
| E7 | 5.04 | 1.57 | 208 | 1.49 | 1.83 | 23.05 |
Disclaimer/Publisher’s Note: The statements, opinions and data contained in all publications are solely those of the individual author(s) and contributor(s) and not of MDPI and/or the editor(s). MDPI and/or the editor(s) disclaim responsibility for any injury to people or property resulting from any ideas, methods, instructions or products referred to in the content. |
© 2023 by the authors. Licensee MDPI, Basel, Switzerland. This article is an open access article distributed under the terms and conditions of the Creative Commons Attribution (CC BY) license (https://creativecommons.org/licenses/by/4.0/).
Share and Cite
Toribio, J.; Ayaso, F.-J.; Rodríguez, R. Intercolonial Microdamage and Cracking Micromechanisms during Wire Drawing of Pearlitic Steel. Materials 2023, 16, 1822. https://doi.org/10.3390/ma16051822
Toribio J, Ayaso F-J, Rodríguez R. Intercolonial Microdamage and Cracking Micromechanisms during Wire Drawing of Pearlitic Steel. Materials. 2023; 16(5):1822. https://doi.org/10.3390/ma16051822
Chicago/Turabian StyleToribio, Jesús, Francisco-Javier Ayaso, and Rocío Rodríguez. 2023. "Intercolonial Microdamage and Cracking Micromechanisms during Wire Drawing of Pearlitic Steel" Materials 16, no. 5: 1822. https://doi.org/10.3390/ma16051822
APA StyleToribio, J., Ayaso, F.-J., & Rodríguez, R. (2023). Intercolonial Microdamage and Cracking Micromechanisms during Wire Drawing of Pearlitic Steel. Materials, 16(5), 1822. https://doi.org/10.3390/ma16051822

