The Effects of Tricalcium-Silicate-Nanoparticle-Containing Cement: In Vitro and In Vivo Studies
Abstract
1. Introduction
2. Materials and Methods
2.1. In Vitro Studies
2.1.1. Cells
2.1.2. Cell Culture Medium
2.1.3. Cell Culture
2.1.4. Production of Material Disks Containing MTA and Biodentine
2.1.5. pH Measurement
2.1.6. Calcium Ion Release
2.1.7. Scanning Electron Microscope (SEM) Observations
2.1.8. Proliferation of HPLFs
2.1.9. Quantitative Reverse-Transcription Polymerase Chain Reaction (qRT-PCR)
2.1.10. Alizarin Red S (ARS) Staining
2.2. In Vivo Studies
2.2.1. Experimental Design
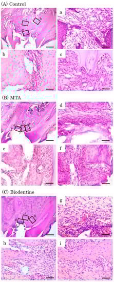
2.2.2. Histological Observations
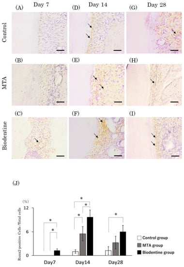
2.2.3. Immunohistochemical Staining of Runx2, and Ratio of Runx2-Positive Cells
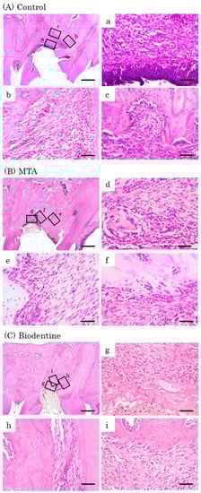
2.2.4. Tartrate-Resistant Acid Phosphate (TRAP)-Positive Staining, and the Number of TRAP-Positive Cells
2.2.5. Statistical Analysis
3. Results
3.1. In Vitro Studies
3.1.1. pH Measurement
3.1.2. Calcium Release
3.1.3. SEM Analysis
3.1.4. Proliferation of HPLFs
3.1.5. qRT-PCR
3.1.6. Mineralization and ARS Staining Analysis
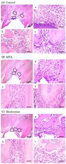
3.1.7. Histological Observations
3.1.8. Immunohistochemical Observations of Runx2, and the Ratio of Runx2-Positive Cells
3.1.9. Observations of TRAP Staining and the Number of TRAP-Positive Cells
4. Discussion
Limitations of the Study
5. Conclusions
Author Contributions
Funding
Institutional Review Board Statement
Informed Consent Statement
Data Availability Statement
Acknowledgments
Conflicts of Interest
References
- Mente, J.; Leo, M.; Panagidis, D.; Saure, D.; Pfefferle, T. Treatment outcome of mineral trioxide aggregate: Repair of root perforations-long-term results. J. Endod. 2014, 40, 790–796. [Google Scholar] [CrossRef]
- Morinaga, K. Histo-pathological studies of periodontal tissue reactions to perforations in the furcation of dogs’ teeth treated with various materials and agents. Shikwa Gakuho 1989, 89, 1107–1116. [Google Scholar]
- Shiraiwa, K. Ultrastructural studies of periodontal tissue reaction to Ca(OH)2 preparation and dentin chips for furcation perforations of dogs’ teeth. Jpn. J. Conserv. Dent. 1994, 37, 1800–1825. [Google Scholar]
- Lee, S.J.; Monsef, M.; Torabinejad, M. Sealing ability of a mineral trioxide aggregate for repair of lateral root perforations. J. Endod. 1993, 19, 541–544. [Google Scholar] [CrossRef] [PubMed]
- Bosso-Martelo, R.; Guerreiro-Tanomaru, J.M.; Viapiana, R.; Berbert, F.L.; Duarte, M.A.; Tanomaru-Filho, M. Physicochemical properties of calcium silicate cements associated with microparticulate and nanoparticulate radiopacifiers. Clin. Oral Investig. 2016, 20, 83–90. Available online: http://link.springer.com/10.1007/s00784-015-1483-7 (accessed on 8 January 2016). [CrossRef] [PubMed]
- Campi, L.B.; Rodrigues, E.M.; Torres, F.F.E.; Reis, J.M.D.S.N.; Guerreiro-Tanomaru, J.M.; Tanomaru-Filho, M. Physicochemical properties, cytotoxicity and bioactivity of a ready-to-use bioceramic repair material. Braz. Dent. J. 2023, 34, 29–38. Available online: https://pubmed.ncbi.nlm.nih.gov/36888842 (accessed on 7 November 2022). [CrossRef]
- Samiee, M.; Eghbal, M.; Parirokh, M.; Abbas, F.M.; Asgary, S. Repair of furcal perforation using a new endodontic cement. Clin. Oral Investig. 2010, 14, 653–658. Available online: http://link.springer.com/10.1007/s00784-009-0351-8 (accessed on 4 December 2010). [CrossRef]
- Zairi, A.; Lambrianidis, T.; Pantelidou, O.; Papadimitriou, S.; Tziafas, D. Periradicular tissue responses to biologically active molecules or MTA when applied in furcal perforation of dogs’ teeth. Int. J. Dent. 2012, 2012, 257832. Available online: http://www.hindawi.com/journals/ijd/2012/257832/ (accessed on 24 October 2011). [CrossRef]
- Silva, L.A.B.; Pieroni, K.A.; Nelson-Filho, P.; Silva, R.A.B.; Hernandéz-Gatón, P.; Lucisano, M.P. Furcation Perforation: Periradicular Tissue Response to Biodentine as a Repair Material by Histopathologic and Indirect Immunofluorescence Analyses. J. Endod. 2017, 43, 1137–1142. Available online: https://linkinghub.elsevier.com/retrieve/pii/S0099239917301577 (accessed on 2 May 2017). [CrossRef]
- Maeda, H.; Nakano, T.; Tomokiyo, A.; Fujii, S.; Wada, N.; Monnouchi, S.; Hori, K.; Akamine, A. Mineral trioxide aggregate induces bone morphogenetic protein-2 expression and calcification in human periodontal ligament cells. J. Endod. 2010, 36, 647–652. [Google Scholar] [CrossRef]
- Camiller, J.; Montesin, F.E.; Papaioannou, S.; McDonald, F.; Pitt Ford, T.R. Biocompatibility of two commercial forms of mineral trioxide aggregate. Int. Endod. J. 2004, 37, 699–704. Available online: https://onlinelibrary.wiley.com/doi/10.1111/j.1365-2591.2004.00859.x (accessed on 1 June 2004). [CrossRef] [PubMed]
- Grazziotin-Soares, R.; Nekoofar, M.H.; Davies, T.E.; Bafail, A.; Alhaddar, E.; Hübler, R.; Busato, A.L.S. Effect of bismuth oxide on white mineral trioxide aggregate: Chemical characterization and physical properties. Int. Endod. J. 2014, 47, 520–533. Available online: https://onlinelibrary.wiley.com/doi/10.1111/iej.12181 (accessed on 31 July 2013). [CrossRef] [PubMed]
- Malkondu, Ö.; Kazandaǧ, M.K.; Kazazoǧlu, E. A review on biodentine, a contemporary dentine replacement and repair material. Biomed. Res. Int. 2014, 2014, 160951. Available online: http://www.hindawi.com/journals/bmri/2014/160951/ (accessed on 16 June 2014). [CrossRef] [PubMed]
- Jung, Y.; Yoon, J.Y.; Patel, K.D.; Lee, H.H.; Ma, L.; Kim, J.; Lee, J.H.; Shin, J. Biological effects of tricalcium silicate nanoparticle-containing cement on stem cells from human exfoliated deciduous teeth. Nanomaterials 2020, 10, 1373. Available online: https://www.mdpi.com/2079-4991/10/7/1373 (accessed on 14 July 2020). [CrossRef]
- Jitaru, S.; Hodisan, I.; Timis, L.; Lucian, A.; Bud, M. The use of bioceramics in endodontics—Literature review. Clujul Med. 2016, 89, 470–473. Available online: https://www.medpharmareports.com/index.php/mpr/article/view/612 (accessed on 15 January 2016). [CrossRef]
- Zafar, K.; Jamal, S.; Ghafoor, R. Bio-active cements-mineral trioxide aggregate based calcium silicate materials: A narrative review. J. Pak. Med. Assoc. 2020, 70, 497–504. [Google Scholar] [CrossRef]
- Escobar-García, D.M.; Aguirre-López, E.; Méndez-González, V.; Pozos-Guillén, A. Cytotoxicity and initial biocompatibility of endodontic biomaterials (MTA and Biodentine™) used as root-end filling materials. Biomed. Res. Int. 2016, 2016, 7926961. Available online: http://www.hindawi.com/journals/bmri/2016/7926961/ (accessed on 13 June 2016). [CrossRef]
- Akbulut, M.B.; Arpaci, P.U.; Eldeniz, A.U. Effects of four novel root-end filling materials on the viability of periodontal ligament fibroblasts. Restor. Dent. Endod. 2018, 43, e24. Available online: https://rde.ac/DOIx.php?id=10.5395/rde.2018.43.e24 (accessed on 24 March 2018). [CrossRef]
- Rajasekharan, S.; Martens, L.C.; Cauwels, R.G.E.C.; Anthonappa, R.P. Biodentine™ material characteristics and clinical applications: A 3-year literature review and update. Eur. Arch. Paediatr. Dent. 2018, 19, 1–22. [Google Scholar] [CrossRef]
- Alqassab, F.; Atmeh, A.R.; Aldossary, N.; Alzahrani, N.; Madi, M.; Omar, O. Inflammatory and differentiation cellular response to calcium silicate cements: An in vitro study. Int. Endod. J. 2023, 56, 593–607. Available online: https://onlinelibrary.wiley.com/doi/10.1111/iej.13894 (accessed on 27 June 2022). [CrossRef]
- Kim, J.M.; Choi, S.; Kwack, K.H.; Kim, S.Y.; Lee, H.W.; Park, K. G protein-coupled calcium-sensing receptor in a crucial mediator of MTA-induced biological activities. Biomaterials 2017, 127, 107–116. [Google Scholar] [CrossRef] [PubMed]
- Pedano, M.S.; Li, X.; Li, S.; Sun, Z.; Cokic, S.M.; Putzeys, E.; Yoshihara, K.; Yoshida, Y.; Chen, Z.; Van Landuyt, K.; et al. Freshly mixed and setting calcium-silicate cements stimulate human dental pulp cells. Dent. Mater. J. 2018, 34, 797–808. [Google Scholar] [CrossRef] [PubMed]
- Manaspon, C.; Jongwannasiri, C.; Chumprasert, S.; Sa-Ard-Iam, N.; Mahanonda, R.; Pavasant, P.; Porntaveetus, T.; Osathanon, T. Human dental pulp stem cell responses to different dental pulp capping materials. BMC Oral Health 2021, 21, 209. [Google Scholar] [CrossRef] [PubMed]
- Lee, B.N.; Lee, K.N.; Koh, J.T.; Min, K.S.; Chang, H.S.; Hwang, I.N.; Hwang, Y.C.; Oh, W.M. Effects of 3 endodontuc bioactive cements on osteogenic differentiation in mesenchymal stem cells. J. Endod. 2014, 40, 1217–1222. [Google Scholar] [CrossRef] [PubMed]
- Zeid, A.; OS, A.; MK, Y. Biodentine and mineral trioxide aggregate: An analysis of solubility, pH changes and leaching elements. J. Life Sci. Res. 2015, 12, 18–23. [Google Scholar]
- da Fonseca, T.S.; Silva, G.F.; Guerreiro-Tanomaru, J.M.; Delfino, M.M.; Sasso-Cerri, E.; Tanomaru-Filho, M. Biodentine and MTA modulate immunoinflammatory response favoring bone formation in sealing of furcation perforations in rat molars. Clin. Oral Investig. 2019, 23, 1237–1252. Available online: http://link.springer.com/10.1007/s00784-018-2550-7 (accessed on 7 July 2018). [CrossRef] [PubMed]
- Nakauchi, A.; Shintani, S.; Kokubu, E.; Nakajima, K.; Matsuzaka, K.; Inoue, T. Expression of Cytokeratin in Experimentally Created Inflammatory Cyst in Vivo and in Vitro. Bull. Tokyo Dent. Coll. 2019, 60, 267–277. Available online: https://www.jstage.jst.go.jp/article/tdcpublication/60/4/60_2018-0059/_article (accessed on 22 November 2019). [CrossRef]
- Han, L.; Okiji, T. Uptake of calcium and silicon released from calcium silicate-based endodontic materials into root canal dentine. Int. Endod. J. 2011, 44, 1081–1087. Available online: https://onlinelibrary.wiley.com/doi/10.1111/j.1365-2591.2011.01924.x (accessed on 27 June 2011). [CrossRef]
- Li, X.; Yoshihara, K.; De Munck, J.; Cokic, S.; Pongprueksa, P.; Putzeys, E.; Pedano, M.; Chen, Z.; Van Landuyt, K.; Van Meerbeek, B. Modified tricalcium silicate cement formulations with added zirconium oxide. Clin. Oral Investig. 2017, 3, 895–905. Available online: http://link.springer.com/10.1007/s00784-016-1843-y (accessed on 7 May 2016). [CrossRef]
- Ürkmez, E.Ş.; Pınar Erdem, A. Bioactivity evaluation of calcium silicate-based endodontic materials used for apexification. Aust. Endod. J. 2020, 46, 60–67. Available online: https://onlinelibrary.wiley.com/doi/10.1111/aej.12367 (accessed on 22 July 2019). [CrossRef]
- Muramatsu, T.; Kashiwagi, S.; Ishizuka, H.; Matsuura, Y.; Furusawa, M.; Kimura, M.; Shibukawa, Y. Alkaline extracellular conditions promote the proliferation and mineralization of a human cementoblast cell line. Int. Endod. J. 2019, 52, 639–645. Available online: https://onlinelibrary.wiley.com/doi/10.1111/iej.13044 (accessed on 13 November 2018). [CrossRef] [PubMed]
- Giovanna, M.G.; Perut, F.; Ciapetti, G.; Mongiorgi, R.; Prati, C. New Portland cement-based materials for endodontics mixed with articaine solution: A study of cellular response. J. Endod. 2008, 34, 39–44. [Google Scholar]
- Chung, M.; Lee, S.; Chen, D.; Kim, U.; Kim, Y.; Kim, S.; Kim, E. Effects of different calcium silicate cements on the inflammatory response and odontogenic differentiation of lipopolysaccharide-stimulated human dental pulp stem cells. Materials 2019, 12, 1259. Available online: http://www.ncbi.nlm.nih.gov/pubmed/30999582 (accessed on 17 April 2019). [CrossRef]
- Bortoluzzi, E.A.; Broon, N.J.; Bramante, C.M.; Felippe, W.T.; Tanomaru Filho, M.; Esberard, R.M. The influence of calcium chloride on the setting time, solubility, disintegration, and pH of mineral trioxide aggregate and white Portland cement with a radiopacifier. J. Endod. 2009, 35, 550–554. [Google Scholar] [CrossRef] [PubMed]
- Al-Sa’eed, O.R.; Al-Hiyasat, A.S.; Darmani, H. The effects of six root-end filling materials and their leachable components on cell viability. J. Endod. 2008, 34, 1410–1414. [Google Scholar] [CrossRef] [PubMed]
- Akbulut, M.B.; Uyar Arpaci, P.; Unverdi Eldeniz, A. Effects of novel root repair materials on attachment and morphological behaviour of periodontal ligament fibroblasts: Scanning electron microscopy observation. Microsc. Res. Tech. 2016, 79, 1214–1221. Available online: https://onlinelibrary.wiley.com/doi/10.1002/jemt.22780 (accessed on 2 September 2016). [CrossRef]
- Theodoro, L.H.; Caiado, R.C.; Longo, M.; Novaes, V.C.N.; Zanini, N.A.; Ervolino, E.; de Almeida, J.M. Effectiveness of the diode laser in the treatment of ligature-induced periodontitis in rats: A histopathological, histometric, and immunohistochemical study. Lasers Med. Sci. 2015, 30, 1209–1218. Available online: http://link.springer.com/10.1007/s10103-014-1575-7 (accessed on 15 April 2014). [CrossRef]
- Camilleri, S.; McDonald, F. Runx2 and dental development. Eur. J. Oral Sci. 2006, 114, 361–373. [Google Scholar] [CrossRef]
- Rathinam, E.; Rajasekharan, S.; Chitturi, R.T.; Martens, L.; De Coster, P. Gene expression profiling and molecular signaling of dental pulp cells in response to tricalcium silicate cements: A Systematic Review. J. Endod. 2015, 41, 1805–1817. [Google Scholar] [CrossRef]
- Hiraga, T.; Ninomiya, T.; Hosoya, A.; Takahashi, M.; Nakamura, H. Formation of bone-like mineralized matrix by periodontal ligament cells in vivo: A morphological study in rats. J. Bone Miner. Metab. 2009, 27, 149–157. Available online: http://link.springer.com/10.1007/s00774-009-0039-9 (accessed on 13 February 2009). [CrossRef]
- Takayanagi, H. New developments in osteoimmunology. Nat. Rev. Rheumatol. 2012, 8, 684–689. [Google Scholar] [CrossRef] [PubMed]
- Petean, I.B.F.; Küchler, E.C.; Soares, I.M.V.; Segato, R.A.B.; Silva, L.A.B.; Lívia, A.A. Genetic polymorphisms in RANK and RANKL are associated with persistent apical periodontitis. J. Endod. 2019, 45, 526–531. [Google Scholar] [CrossRef]
- Terpos, E.; Ntanasis-Stathopoulos, I.; Gavriatopoulou, M.; Dimopoulos, M.A. Pathogenesis of bone disease in multiple myeloma: From bench to bedside. Blood Cancer J. 2018, 8, 7. [Google Scholar] [CrossRef] [PubMed]
- Eraković, M.; Duka, M.; Bekić, M.; Tomić, S.; Ismaili, B.; Vučević, D.; Čolić, M. Anti-inflammatory and immunomodulatory effects of Biodentine on human periapical lesion cells in culture. Int. Endod. J. 2020, 53, 1398–1412. Available online: https://onlinelibrary.wiley.com/doi/10.1111/iej.13351 (accessed on 19 June 2020). [CrossRef] [PubMed]












| pH (Day 3) | |
|---|---|
| Group | Mean ± SD |
| Control | 8.28 ± 0.01 |
| MTA | 8.88 ± 0.01 * |
| Biodentine | 8.82 ± 0.00 * |
Disclaimer/Publisher’s Note: The statements, opinions and data contained in all publications are solely those of the individual author(s) and contributor(s) and not of MDPI and/or the editor(s). MDPI and/or the editor(s) disclaim responsibility for any injury to people or property resulting from any ideas, methods, instructions or products referred to in the content. |
© 2023 by the authors. Licensee MDPI, Basel, Switzerland. This article is an open access article distributed under the terms and conditions of the Creative Commons Attribution (CC BY) license (https://creativecommons.org/licenses/by/4.0/).
Share and Cite
Ezawa, N.; Akashi, Y.; Nakajima, K.; Kokubun, K.; Furusawa, M.; Matsuzaka, K. The Effects of Tricalcium-Silicate-Nanoparticle-Containing Cement: In Vitro and In Vivo Studies. Materials 2023, 16, 4451. https://doi.org/10.3390/ma16124451
Ezawa N, Akashi Y, Nakajima K, Kokubun K, Furusawa M, Matsuzaka K. The Effects of Tricalcium-Silicate-Nanoparticle-Containing Cement: In Vitro and In Vivo Studies. Materials. 2023; 16(12):4451. https://doi.org/10.3390/ma16124451
Chicago/Turabian StyleEzawa, Naho, Yoshihiko Akashi, Kei Nakajima, Katsutoshi Kokubun, Masahiro Furusawa, and Kenichi Matsuzaka. 2023. "The Effects of Tricalcium-Silicate-Nanoparticle-Containing Cement: In Vitro and In Vivo Studies" Materials 16, no. 12: 4451. https://doi.org/10.3390/ma16124451
APA StyleEzawa, N., Akashi, Y., Nakajima, K., Kokubun, K., Furusawa, M., & Matsuzaka, K. (2023). The Effects of Tricalcium-Silicate-Nanoparticle-Containing Cement: In Vitro and In Vivo Studies. Materials, 16(12), 4451. https://doi.org/10.3390/ma16124451

