Histomorphometry of Bone after Intentionally Exposed Non-Resorbable d-PTFE Membrane or Guided Bone Regeneration for the Treatment of Post-Extractive Alveolar Bone Defects with Implant-Supported Restorations: A Pilot Randomized Controlled Trial
Abstract
:1. Introduction
2. Materials and Methods
2.1. Inclusion and Exclusion Criteria
- General contraindications to oral surgery (such as ASA III and IV);
- Heavy smokers (≥ 10 cigarettes/day);
- Addiction to alcohol or drugs;
- Acute and chronic infections in the site intended for implant placement;
- Poor oral hygiene (full mouth bleeding and full mouth plaque index higher than 25%);
- Pregnancy or nursing;
- Psychiatric therapy;
- Patients treated or under treatment with intravenous amino bisphosphonates;
- Previous radiotherapy of the oral and maxillofacial region within the last 5 years;
- Patients unable to commit to the scheduled follow-up.
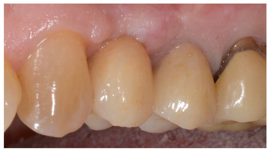
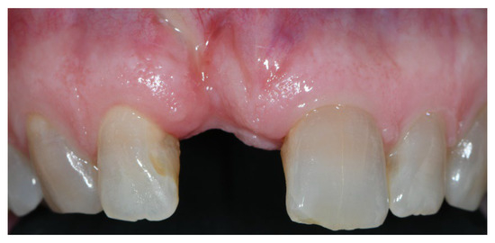
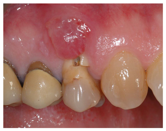
2.2. Clinical Procedures
2.3. Outcome Measures
- Implant failure was defined as implant mobility and/or any infection dictating implant removal, implant fracture, or any other mechanical complication that renders the implant useless. In addition, the stability of each implant was measured manually by tightening the abutment screw at delivery of definitive crowns, or by assessing the stability of the implant-supported crown using the handle of two metallic instruments at each follow-up.
- Any mechanical and biological complications were recorded during the entire follow-up by period. The same calibrated operators, who performed all the surgical and prosthetic procedures, evaluated implant failures and complications.
- Patient satisfaction was evaluated by blinded operators in each center, not previously involved in the study. At delivery of definitive crowns, the independent outcome assessor asked the patient the following questions (possible answers: “yes” or “no”):
- ○
- Are you satisfied with the function of your implant-supported tooth?
- ○
- Are you satisfied with the aesthetic outcome of your implant-supported tooth?
- ○
- Would you undergo the same therapy again?
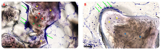
- Quantitative and qualitative analyses were performed on anonymized samples by blinded pathologist. Qualitative and histomorphometric evaluation. After collection, the bone samples were fixed in 10% formalin. The samples were dehydrated with an increasing ethanol scale. After dehydration, the samples were infiltrated with a methacrylate resin and subsequently embedded in resin (Technovit 7200, Bio Optica, Milan). All the specimens were polymerized using a polymerization machine (Exakt 520, Exakt Norderstedt, Germany). The obtained blocks were cut by means of a sawing machine with a diamond blade (Micromet, Remet, Bologna, Italy). The sections were mounted on plastic slides using a gluing machine (Exakt 402, Exakt Norderstedt, Germany) and a gluing resin (Technovit 7210, Bio Optica, Milan, Italy) and then ground to a thickness of 100 μm using a grinding machine (LS2 Remet, Bologna, Italy). Two representative longitudinal sections for each sample were obtained, stained with Toluidine Blue and Pyronine Yellow to highlight the different phases of bone mineralization, and digitally acquired at the total magnification of 400× using a high-resolution scanner (Nanozoomer S60, Hamamatsu) [19].
- The qualitative assessment aimed to detect the amount of inflammatory, fibrous, and fatty tissue infiltrate and eventual areas of necrosis following the indication reported by ISO standard 10993. The histomorphometric evaluation of tissue volume fractions were performed using the stereologic method. A digital counting grid was used on each section to calculate the intersection points that fall down on each kind of tissue (lamellar bone, woven bone, osteoid matrix, biomaterial, and medullary spaces), and the volume fraction percentages were obtained by the ratio between the intersection points that fall down on each type of tissue and the total intersection points of the grid.
2.4. Statistical Analysis
3. Results
3.1. Implant Failure, Complications, and Patients’ Satisfaction
3.2. Histomorphometric Analysis
4. Discussion
5. Conclusions
Author Contributions
Funding
Institutional Review Board Statement
Informed Consent Statement
Data Availability Statement
Conflicts of Interest
References
- Marcus, S.; Drury, T.; Brown, L.; Zion, G. Tooth Retention and Tooth Loss in the Permanent Dentition of Adults: United States, 1988–1991. J. Dent. Res. 1996, 75, 684–695. [Google Scholar] [CrossRef] [PubMed]
- Mecall, A.R.; Rosenfeld, A.L. Influence of residual ridge resorption patterns on implant fixture placement and tooth position. Int. J. Periodontics Restor. Dent. 1991, 11, 8–23. [Google Scholar]
- Van der Weijden, F.; Dell’Acqua, F.; Slot, D.E. Alveolar bone dimensional changes of post-extraction sockets in humans: A sys-tematic review. J. Clin. Periodontol. 2009, 36, 1048–1058. [Google Scholar] [CrossRef] [PubMed]
- Meloni, S.M.; Jovanovic, S.A.; Pisano, M.; De Riu, G.; Baldoni, E.; Tallarico, M. One-stage horizontal guided bone regeneration with autologous bone, anorganic bovine bone and collagen membranes: Follow-up of a prospective study 30 months after loading. Eur. J. Oral Implant. 2018, 11, 89–95. [Google Scholar]
- Kan, J.Y.K.; Rungcharassaeng, K.; Lozada, J.L.; Zimmerman, G. Facial gingival tissue stability following immediate placement and provisionalization of maxillary anterior single implants: A 2-to 8-year follow-up. Int. J. Oral Maxillofac. Implant. 2011, 26, 179–187. [Google Scholar]
- Zubillaga, G.; Von Hagen, S.; Simon, B.I.; Deasy, M.J. Changes in Alveolar Bone Height and Width Following Post-Extraction Ridge Augmentation Using a Fixed Bioabsorbable Membrane and Demineralized Freeze-Dried Bone Osteoinductive Graft. J. Periodontol. 2003, 74, 965–975. [Google Scholar] [CrossRef]
- Darby, I.; Chen, S.T.; Buser, D. Ridge preservation techniques for implant therapy. Int. J. Oral Maxillofac. Implant. 2009, 24, 260–271. [Google Scholar]
- Tallarico, M.; Xhanari, E.; Pisano, M.; Gatti, F.; Meloni, S.M. Molar replacement with 7 mm-wide diameter implants: To place the implant immediately or to wait 4 months after socket preservation? 1 year after loading results from a randomised controlled trial. Eur. J. Oral Implant. 2017, 10, 169–178. [Google Scholar]
- Canullo, L.; Marin, G.W.; Tallarico, M.; Canciani, E.; Musto, F.; Dellavia, C. Histological and Histomorphometrical Evaluation of Postextractive Sites Grafted with Mg-Enriched Nano-Hydroxyapatite: A Randomized Controlled Trial Comparing 4 Versus 12 Months of Healing. Clin. Implant. Dent. Relat. Res. 2015, 18, 973–983. [Google Scholar] [CrossRef]
- Meloni, S.M.; Tallarico, M.; Lolli, F.M.; Deledda, A.; Pisano, M.; Jovanovic, S.A. Post-extraction socket preservation using epithelial connective tissue graft versus porcine collagen matrix. One-year results of a randomised controlled trial. Eur. J. Oral Implant. 2015, 8, 39–48. [Google Scholar]
- Papi, P.; Di Murro, B.; Tromba, M.; Passarelli, P.C.; D’Addona, A.; Pompa, G. The Use of a Non-Absorbable Membrane as an Occlusive Barrier for Alveolar Ridge Preservation: A One Year Follow-Up Prospective Cohort Study. Antibiotics 2020, 9, 110. [Google Scholar] [CrossRef] [PubMed]
- Sun, D.-J.; Lim, H.-C.; Lee, D.-W. Alveolar ridge preservation using an open membrane approach for sockets with bone deficiency: A randomized controlled clinical trial. Clin. Implant Dent. Relat. Res. 2018, 21, 175–182. [Google Scholar] [CrossRef] [PubMed]
- Chatzopoulos, G.S.; Koidou, V.P.; Sonnenberger, M.; Johnson, D.; Chu, H.; Wolff, L.F. Postextraction ridge preservation by using dense PTFE membranes: A systematic review and meta-analysis. J. Prosthet. Dent. 2022. [Google Scholar] [CrossRef] [PubMed]
- Carbonell, J.M.; Martin, I.S.; Santos, A.; Pujol, A.; Sanz-Moliner, J.D.; Nart, J. High-density polytetrafluoroethylene membranes in guided bone and tissue regeneration procedures: A literature review. Int. J. Oral Maxillofac. Surg. 2014, 43, 75–84. [Google Scholar] [CrossRef]
- Atieh, M.A.; Alsabeeha, N.H.M.; Payne, A.G.T.; Duncan, W.; Faggion, C.M.; Esposito, M. Interventions for replacing missing teeth: Alveolar ridge preservation techniques for dental implant site development. Cochrane Database Syst. Rev. 2021, CD010176. [Google Scholar] [CrossRef]
- Corbella, S.; Taschieri, S.; Francetti, L.; Weinstein, R.; Del Fabbro, M. Histomorphometric Results After Postextraction Socket Healing with Different Biomaterials: A Systematic Review of the Literature and Meta-Analysis. Int. J. Oral Maxillofac. Implant. 2017, 32, 1001–1017. [Google Scholar] [CrossRef]
- Elian, N.; Cho, S.-C.; Froum, S.; Smith, R.B.; Tarnow, D.P. A simplified socket classification and repair technique. Pract. Proced. Aesthetic Dent. 2007, 19, 99–104. [Google Scholar]
- Buser, D.; Chappuis, V.; Belser, U.C.; Chen, S. Implant placement post extraction in esthetic single tooth sites: When immediate, when early, when late? Periodontology 2000 2017, 73, 84–102. [Google Scholar] [CrossRef]
- Canciani, E.; Ragone, V.; Biffi, C.A.; Valenza, F.; D’Ambrosi, R.; Olimpo, M.; Cristofalo, A.; Galliera, E.; Dellavia, C. Understanding the Role of Surface Modification of Randomized Trabecular Titanium Structures in Bone Tissue Regeneration: An Experimental Study. Medicina 2022, 58, 315. [Google Scholar] [CrossRef]
- Kan, J.Y.K.; Rungcharassaeng, K.; Lozada, J.L. Immediate placement and provisionalization of maxillary anterior single implants: 1-year prospective study. Int. J. Oral Maxillofac. Implant. 2003, 18, 31–39. [Google Scholar]
- Bambini, F.; Orilisi, G.; Quaranta, A.; Memè, L. Biological Oriented Immediate Loading: A New Mathematical Implant Vertical Insertion Protocol, Five-Year Follow-Up Study. Materials 2021, 14, 387. [Google Scholar] [CrossRef]
- Chen, S.T.; Buser, D. Esthetic Outcomes Following Immediate and Early Implant Placement in the Anterior Maxilla—A Systematic Review. Int. J. Oral Maxillofac. Implant. 2014, 29, 186–215. [Google Scholar] [CrossRef] [PubMed]
- Bartee, B.K. A simplified technique for ridge preservation after tooth extraction. Dent. Today 1995, 14, 62–67. [Google Scholar] [PubMed]
- Laurito, D.; Cugnetto, R.; Lollobrigida, M.; Guerra, F.; Vestri, A.; Gianno, F.; Bosco, S.; Lamazza, L.; De Biase, A. Socket Preservation with d-PTFE Membrane: Histologic Analysis of the Newly Formed Matrix at Membrane Removal. Int. J. Periodontics Restor. Dent. 2016, 36, 877–883. [Google Scholar] [CrossRef] [PubMed]
- Beck, T.M.; Mealey, B.L. Histologic Analysis of Healing After Tooth Extraction with Ridge Preservation Using Mineralized Human Bone Allograft. J. Periodontol. 2010, 81, 1765–1772. [Google Scholar] [CrossRef]
- Borg, T.D.; Mealey, B.L. Histologic Healing Following Tooth Extraction with Ridge Preservation Using Mineralized Versus Combined Mineralized-Demineralized Freeze-Dried Bone Allograft: A Randomized Controlled Clinical Trial. J. Periodontol. 2015, 86, 348–355. [Google Scholar] [CrossRef]
- Krauser, J.T. High-density PTFE membranes: Uses with root-form implants. Dent. Implant. Update 1996, 7, 65–69. [Google Scholar]
- Fotek, P.D.; Neiva, R.F.; Wang, H.-L. Comparison of Dermal Matrix and Polytetrafluoroethylene Membrane for Socket Bone Augmentation: A Clinical and Histologic Study. J. Periodontol. 2009, 80, 776–785. [Google Scholar] [CrossRef]













| Group A (n = 8) | Group B (n = 10) | p Value | |
|---|---|---|---|
| Age | 58.1 ± 13.2 | 56 ± 11.6 | 0.735 |
| Female/male | 4/4 | 7/3 | 0.631 |
| Smockers | 0 | 0 | 1.0 |
| Maxilla/Mandible | 6/8 | 8/2 | 1.0 |
| Maxillary central incisor | 3/8 | 4/10 | 1.0 |
| Maxillary Canine | 1/8 | 1/10 | 1.0 |
| Maxillary premolars | 2/8 | 3/10 | 1.0 |
| Mandibular incisors | 0/8 | 1/10 | 1.0 |
| Mandibular premolars | 2/8 | 1/10 | 0.559 |
| Mean implant length (mm) | 11.5 ± 0.0 | 11.1 ± 0.7 | 0.300 |
| Mean implant diameter (mm) | 3.8 ± 0.0 | 3.8 ± 0.0 | N/A |
| Group A (n = 8) | Group B (n = 10) | p-Value | |
|---|---|---|---|
| Lamellar bone | 16.81 ± 9.61 | 35.16 ± 12.36 | 0.077 |
| Woven bone | 16.03 ± 4.71 | 10.12 ± 4.68 | 0.160 |
| Osteoid matrix | 20.78 ± 16.45 | 11.10 ± 4.13 | 0.375 |
| Biomaterial | 19.92 ± 9.13 | 13.85 ± 8.31 | 0.409 |
| Medullary spaces | 26.46 ± 18.05 | 29.77 ± 3.67 | 0.772 |
Publisher’s Note: MDPI stays neutral with regard to jurisdictional claims in published maps and institutional affiliations. |
© 2022 by the authors. Licensee MDPI, Basel, Switzerland. This article is an open access article distributed under the terms and conditions of the Creative Commons Attribution (CC BY) license (https://creativecommons.org/licenses/by/4.0/).
Share and Cite
Luongo, R.; Tallarico, M.; Canciani, E.; Graziano, D.; Dellavia, C.; Gargari, M.; Ceruso, F.M.; Melodia, D.; Canullo, L. Histomorphometry of Bone after Intentionally Exposed Non-Resorbable d-PTFE Membrane or Guided Bone Regeneration for the Treatment of Post-Extractive Alveolar Bone Defects with Implant-Supported Restorations: A Pilot Randomized Controlled Trial. Materials 2022, 15, 5838. https://doi.org/10.3390/ma15175838
Luongo R, Tallarico M, Canciani E, Graziano D, Dellavia C, Gargari M, Ceruso FM, Melodia D, Canullo L. Histomorphometry of Bone after Intentionally Exposed Non-Resorbable d-PTFE Membrane or Guided Bone Regeneration for the Treatment of Post-Extractive Alveolar Bone Defects with Implant-Supported Restorations: A Pilot Randomized Controlled Trial. Materials. 2022; 15(17):5838. https://doi.org/10.3390/ma15175838
Chicago/Turabian StyleLuongo, Roberto, Marco Tallarico, Elena Canciani, Daniele Graziano, Claudia Dellavia, Marco Gargari, Francesco Mattia Ceruso, Dario Melodia, and Luigi Canullo. 2022. "Histomorphometry of Bone after Intentionally Exposed Non-Resorbable d-PTFE Membrane or Guided Bone Regeneration for the Treatment of Post-Extractive Alveolar Bone Defects with Implant-Supported Restorations: A Pilot Randomized Controlled Trial" Materials 15, no. 17: 5838. https://doi.org/10.3390/ma15175838
APA StyleLuongo, R., Tallarico, M., Canciani, E., Graziano, D., Dellavia, C., Gargari, M., Ceruso, F. M., Melodia, D., & Canullo, L. (2022). Histomorphometry of Bone after Intentionally Exposed Non-Resorbable d-PTFE Membrane or Guided Bone Regeneration for the Treatment of Post-Extractive Alveolar Bone Defects with Implant-Supported Restorations: A Pilot Randomized Controlled Trial. Materials, 15(17), 5838. https://doi.org/10.3390/ma15175838

