Production, Characterization and Application of Oxide Nanotubes on Ti–6Al–7Nb Alloy as a Potential Drug Carrier
Abstract
:1. Introduction
2. Materials and Methods
2.1. Material Preparation
2.2. Production of ONTs on Ti–6Al–7Nb Alloy
2.3. Physicochemical Characteristics of ONTs
2.4. Gentamicin Sulfate Loading and Release from ONTs on Ti–6Al–7Nb Alloy
3. Results and Discussion
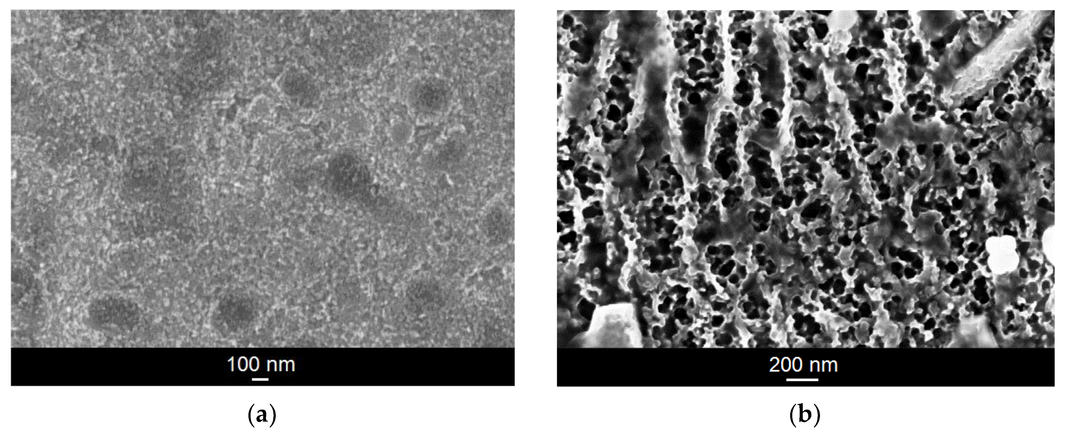
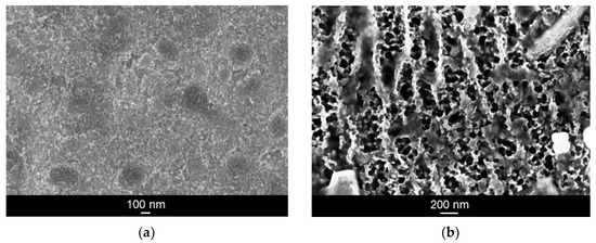
3.1. SEM Studies of Microstructure
3.2. EDAX Study of Chemical Composition
3.3. XPS Study of Chemical States
3.4. Mechanism of ONT Formation on Ti–6Al–7Nb Alloy
3.5. Kinetics of Gentamicin Sulfate Release from ONTs
4. Conclusions
Author Contributions
Funding
Institutional Review Board Statement
Informed Consent Statement
Data Availability Statement
Conflicts of Interest
References
- Ti-Based Biomaterials. In Ti-Based Biomaterials; MDPI: Basel, Switzerland, 2020.
 - Anene, F.; Jaafar, C.A.; Zainol, I.; Hanim, M.A.; Suraya, M. Biomedical materials: A review of titanium based alloys. Proc. Inst. Mech. Eng. Part C J. Mech. Eng. Sci. 2020, 0954406220967694. [Google Scholar] [CrossRef]
 - Titanium in Medical and Dental Applications; Elsevier BV: Amsterdam, The Netherlands, 2018.
 - Costa, B.C.; Tokuhara, C.; Rocha, L.A.; Oliveira, R.C.; Lisboa-Filho, P.N.; Pessoa, J. Vanadium ionic species from degradation of Ti-6Al-4V metallic implants: In vitro cytotoxicity and speciation evaluation. Mater. Sci. Eng. C 2019, 96, 730–739. [Google Scholar] [CrossRef] [PubMed]
 - Łosiewicz, B.; Osak, P.; Maszybrocka, J.; Kubisztal, J.; Stach, S. Effect of autoclaving time on corrosion resistance of sandblasted Ti G4 in artificial saliva. Materials 2020, 13, 4154. [Google Scholar] [CrossRef]
 - Stróż, A.; Dercz, G.; Chmiela, B.; Stróż, D.; Łosiewicz, B. Electrochemical formation of second generation TiO2 Nanotubes on Ti13Nb13Zr alloy for biomedical applications. Acta Phys. Pol. A 2016, 130, 1079–1080. [Google Scholar] [CrossRef]
 - Smołka, A.; Dercz, G.; Rodak, K.; Losiewicz, B. Evaluation of corrosion resistance of nanotubular oxide layers on the Ti13Zr13Nb alloy in physiological saline solution/ocena odporności korozyjnej nanotubularnych struktur tlenkowych Na stopie Ti13Zr13Nb Wśrodowisku płynów ustrojowych. Arch. Met. Mater. 2015, 60, 2681–2686. [Google Scholar] [CrossRef]
 - Smołka, A.; Rodak, K.; Dercz, G.; Dudek, K.; Łosiewicz, B. Electrochemical formation of self-organized nanotubular oxide layers on Ti13Zr13Nb alloy for biomedical applications. Acta Phys. Pol. A 2014, 125, 932–935. [Google Scholar] [CrossRef]
 - Stróż, A.; Goryczka, T.; Łosiewicz, B. Electrochemical formation of self-organized nanotubular oxide layers on niobium (review). Curr. Nanosci. 2018, 15, 42–48. [Google Scholar] [CrossRef]
 - Stróż, A.; Łosiewicz, B.; Zubko, M.; Chmiela, B.; Balin, K.; Dercz, G.; Gawlikowski, M.; Goryczka, T. Production, structure and biocompatible properties of oxide nanotubes on Ti13Nb13Zr alloy for medical applications. Mater. Charact. 2017, 132, 363–372. [Google Scholar] [CrossRef]
 - Szklarska, M.; Dercz, G.; Rak, J.; Simka, W.; Łosiewicz, B. The influence of passivation type on corrosion resistance of Ti15Mo alloy in simulated body fluids/wpływ rodzaju pasywacji powierzchni stopu Ti15Mo Na jego odporność korozyjną W środowisku płynów ustrojowych. Arch. Met. Mater. 2015, 60, 2687–2694. [Google Scholar] [CrossRef]
 - Li, G.-Z.; Zhao, Q.-M.; Tang, H.-P.; Li, G.; Chi, Y.-D. Fabrication, characterization and biocompatibility of TiO2 nanotubes via anodization of Ti6Al7Nb. Compos. Interfaces 2016, 23, 223–230. [Google Scholar] [CrossRef]
 - Michalska-Domańska, M.; Łazińska, M.; Łukasiewicz, J.; Mol, J.M.C.; Durejko, T. Self-organized anodic oxides on titanium alloys prepared from glycol- and glycerol-based electrolytes. Materials 2020, 13, 4743. [Google Scholar] [CrossRef] [PubMed]
 - Stępień, M.; Handzlik, P.; Fitzner, K. Electrochemical synthesis of oxide nanotubes on Ti6Al7Nb alloy and their interaction with the simulated body fluid. J. Solid State Electrochem. 2016, 20, 2651–2661. [Google Scholar] [CrossRef] [Green Version]
 - Rafieerad, A.R.; Bushroa, A.R.; Nasiri-Tabrizi, B.; Vadivelu, J.; Baradaran, S.; Zalnezhad, E.; Amiri, A. Optimized fabrication and characterization of TiO2–Nb2O5–Al2O3 mixed oxide nanotube arrays on Ti–6Al–7Nb. RSC Adv. 2016, 6, 10527–10540. [Google Scholar] [CrossRef]
 - Kaczmarek, A.; Klekiel, T.; Krasicka-Cydzik, E. Fluoride concentration effect on the anodic growth of self-aligned oxide nanotube array on Ti6Al7Nb alloy. Surf. Interface Anal. 2010, 42, 510–514. [Google Scholar] [CrossRef]
 - Aniołek, K.; Łosiewicz, B.; Kubisztal, J.; Osak, P.; Stróż, A.; Barylski, A.; Kaptacz, S. Mechanical properties, corrosion resistance and bioactivity of oxide layers formed by isothermal oxidation of Ti-6Al-7Nb alloy. Coatings 2021, 11, 505. [Google Scholar] [CrossRef]
 - Alzubaydi, T.L.; AlHilfi, M.S. Corrosion and structure characterization of anodized Ti−6Al−7Nb alloy. Eng. Tech. J. 2014, 32, 568–576. [Google Scholar]
 - Ulfah, I.M.; Bachtiar, B.M.; Murnandityas, A.R. Slamet Synthesis and characterization of Ag-doped TiO2 nanotubes on Ti-6Al-4V and Ti-6Al-7Nb alloy. In Proceedings of the AIP Conference Proceedings (ISMM2017), Jakarta, Indonesia, 15 May 2018; AIP Publishing: Melville, NY, USA; Volume 1964, p. 020008. [Google Scholar]
 - Roman, I.; Trusca, R.D.; Soare, M.-L.; Fratila, C.; Krasicka-Cydzik, E.; Stan, M.-S.; Dinischiotu, A. Titanium dioxide nanotube films. Mater. Sci. Eng. C 2014, 37, 374–382. [Google Scholar] [CrossRef]
 - Campanelli, L.; Bortolan, C.C.; da Silva, P.S.C.P.; Bolfarini, C.; Oliveira, N.T.C. Effect of an amorphous titania nanotubes coating on the fatigue and corrosion behaviors of the biomedical Ti-6Al-4V and Ti-6Al-7Nb alloys. J. Mech. Behav. Biomed. Mater. 2017, 65, 542–551. [Google Scholar] [CrossRef]
 - Kapoor, N.; Nagpal, A.; Verma, R. Surface Treatment of Titanium Implant and Dental Implant Design: Titanium as Bio-material and Method Used for Surface Treatment to Increase Bone and Soft Tissue Integration; LAP LAMBERT Academic Publishing: Port Louis, Mauritius, 2020; ISBN 978-620-2-55638-5. [Google Scholar]
 - Maher, S.; Mazinani, A.; Barati, M.R.; Losic, D. Engineered titanium implants for localized drug delivery: Recent advances and perspectives of Titania nanotubes arrays. Expert Opin. Drug Deliv. 2018, 15, 1021–1037. [Google Scholar] [CrossRef] [PubMed]
 - Gulati, K.; Aw, M.S.; Losic, D. Drug-eluting Ti wires with titania nanotube arrays for bone fixation and reduced bone infection. Nanoscale Res. Lett. 2011, 6, 571. [Google Scholar] [CrossRef] [PubMed] [Green Version]
 - Roy, P.; Berger, S.; Schmuki, P. TiO2 Nanotubes: Synthesis and applications. Angew. Chem. Int. Ed. 2011, 50, 2904–2939. [Google Scholar] [CrossRef] [PubMed]
 - Minagar, S.; Berndt, C.; Wang, J.; Ivanova, E.; Wen, C. A review of the application of anodization for the fabrication of nanotubes on metal implant surfaces. Acta Biomater. 2012, 8, 2875–2888. [Google Scholar] [CrossRef] [PubMed]
 - İzmir, M.; Ercan, B. Anodization of titanium alloys for orthopedic applications. Front. Chem. Sci. Eng. 2019, 13, 28–45. [Google Scholar] [CrossRef]
 - Aïnouche, L.; Hamadou, L.; Kadri, A.; Benbrahim, N.; Bradai, D. Interfacial barrier layer properties of three generations of TiO2 nanotube arrays. Electrochimica Acta 2014, 133, 597–609. [Google Scholar] [CrossRef]
 - Barfeie, A.; Wilson, J.; Rees, J. Implant surface characteristics and their effect on osseointegration. Br. Dent. J. 2015, 218, E9. [Google Scholar] [CrossRef]
 - Sołtysiak, M. Functionalization of the Ti6Al7Nb Alloy. Surface for Uses in Medicine. Engineering Thesis, The University of Silesia in Katowice, Chorzów, Poland, 2019. [Google Scholar]
 - Watts, J.F.; Wolstenholme, J. An Introduction to Surface Analysis by XPS and AES, 2nd ed.; Wiley: New York, NY, USA, 2019; ISBN 978-1-119-41758-3. [Google Scholar]
 - Mencer, D.E. Surface reactivity of titanium–aluminum alloys: Ti3Al, TiAl, and TiAl3. J. Vac. Sci. Technol. A 1991, 9, 1610–1615. [Google Scholar] [CrossRef]
 - Gonzalez-Elipe, A.; Munuera, G.; Espinos, J.P.; Sanz, J.M. Compositional changes induced by 3.5 keV Ar+ ion bombardment in Ni-Ti oxide systems: A comparative study. Surf. Sci. 1989, 220, 368–380. [Google Scholar] [CrossRef]
 - Kuznetsov, M.; Zhuravlev, J.; Gubanov, V. XPS analysis of adsorption of oxygen molecules on the surface of Ti and TiNx films in vacuum. J. Electron. Spectrosc. Relat. Phenom. 1992, 58, 169–176. [Google Scholar] [CrossRef]
 - Wagner, C.D.; Naumkin, A.V.; Kraut-Vass, A.; Allison, J.W.; Powell, C.J.; Rumble, J.R., Jr. NIST Standard Reference Database 20, Version 3.4 (web version). Available online: http:/srdata.nist.gov/xps/2003 (accessed on 10 September 2021).
 - Nefedov, V.; Salyn, Y.; Leonhardt, G.; Scheibe, R. A comparison of different spectrometers and charge corrections used in X-ray photoelectron spectroscopy. J. Electron. Spectrosc. Relat. Phenom. 1977, 10, 121–124. [Google Scholar] [CrossRef]
 - Taylor, J.A. An XPS study of the oxidation of AlAs thin films grown by MBE. J. Vac. Sci. Technol. 1982, 20, 751–755. [Google Scholar] [CrossRef]
 - Darlinski, A.; Halbritter, J. Angle-resolved XPS studies of oxides at NbN, NbC, and Nb surfaces. Surf. Interface Anal. 1987, 10, 223–237. [Google Scholar] [CrossRef]
 - McGuire, G.E.; Schweitzer, G.K.; Carlson, T.A. Core electron binding energies in some Group IIIA, VB, and VIB compounds. Inorg. Chem. 1973, 12, 2450–2453. [Google Scholar] [CrossRef]
 - Nefedov, V. A comparison of results of an ESCA study of nonconducting solids using spectrometers of different constructions. J. Electron. Spectrosc. Relat. Phenom. 1982, 25, 29–47. [Google Scholar] [CrossRef]
 - Da Silva, V.T.; Schmal, M.; Oyama, S. Niobium carbide synthesis from niobium oxide: Study of the synthesis conditions, kinetics, and solid-state transformation mechanism. J. Solid State Chem. 1996, 123, 168–182. [Google Scholar] [CrossRef]
 - Halim, J.; Cook, K.M.; Naguib, M.; Eklund, P.; Gogotsi, Y.; Rosen, J.; Barsoum, M.W. X-ray photoelectron spectroscopy of select multi-layered transition metal carbides (MXenes). Appl. Surf. Sci. 2016, 362, 406–417. [Google Scholar] [CrossRef] [Green Version]
 - Dwivedi, C.; Pandey, H.; Pandey, A.; Ramteke, P. Fabrication and assessment of gentamicin loaded electrospun nanofibrous scaffolds as a quick wound healing dressing material. Curr. Nanosci. 2015, 11, 222–228. [Google Scholar] [CrossRef]
 - Visan, A.I.; Popescu-Pelin, G.; Gherasim, O.; Grumezescu, V.; Socol, M.; Zgura, I.; Florica, C.; Popescu, R.C.; Savu, D.; Holban, A.M.; et al. Laser processed antimicrobial nanocomposite based on polyaniline grafted lignin loaded with gentamicin-functionalized magnetite. Polymer 2019, 11, 283. [Google Scholar] [CrossRef] [PubMed] [Green Version]
 - Wilson, D. Ribosome-targeting antibiotics and mechanisms of bacterial resistance. Nat. Rev. Genet. 2014, 12, 35–48. [Google Scholar] [CrossRef]
 - World Health Organization Model. List of Essential Medicines: 21st list 2019; World Health Organization: Geneva, Switzerland, 2019; WHO/MVP/EMP/IAU/2019.06. [Google Scholar]
 - Hua, S. Advances in oral drug delivery for regional targeting in the gastrointestinal tract—Influence of physiological, pathophysiological and pharmaceutical factors. Front. Pharmacol. 2020, 11, 524. [Google Scholar] [CrossRef] [PubMed]
 - Reza Rezaie, H.; Esnaashary, M.; Aref arjmand, A.; Öchsner, A. Classification of drug delivery systems. In A Review of Biomaterials and their Applications in Drug Delivery; SpringerBriefs in Applied Sciences and Technology Springer-Verlag GmbH: Heidelberg, Germany, 2018; pp. 9–25. [Google Scholar] [CrossRef]
 


















| Sample Number | E | t | Di | D0 | L | As | 
|---|---|---|---|---|---|---|
| (V) | (min) | (nm) | (nm) | (μm) | (cm2 cm−2) | |
| 1 | 15 | 60 | 45(5) | 69(8) | 2.02(32) | 268 | 
| 2 | 30 | 60 | 55(10) | 89(9) | 7.50(48) | 327 | 
| 3 | 50 | 60 | 94(16) | 144(17) | 10.85(25) | 600 | 
| 4 | 70 | 60 | 105(21) | 146(19) | 4.27(20) | 333 | 
| 5 | 100 | 60 | 155(25) | 285(36) | 2.40(24) | 63 | 
| 6 | 30 | 45 | 92(13) | 135(15) | 0.75(1) | 106 | 
| 7 | 50 | 30 | 115(14) | 151(18) | 0.28(1) | 21 | 
| 8 | 70 | 20 | 135(29) | 209(40) | 0.50(4) | 18 | 
Publisher’s Note: MDPI stays neutral with regard to jurisdictional claims in published maps and institutional affiliations.  | 
© 2021 by the authors. Licensee MDPI, Basel, Switzerland. This article is an open access article distributed under the terms and conditions of the Creative Commons Attribution (CC BY) license (https://creativecommons.org/licenses/by/4.0/).
Share and Cite
Łosiewicz, B.; Stróż, A.; Osak, P.; Maszybrocka, J.; Gerle, A.; Dudek, K.; Balin, K.; Łukowiec, D.; Gawlikowski, M.; Bogunia, S. Production, Characterization and Application of Oxide Nanotubes on Ti–6Al–7Nb Alloy as a Potential Drug Carrier. Materials 2021, 14, 6142. https://doi.org/10.3390/ma14206142
Łosiewicz B, Stróż A, Osak P, Maszybrocka J, Gerle A, Dudek K, Balin K, Łukowiec D, Gawlikowski M, Bogunia S. Production, Characterization and Application of Oxide Nanotubes on Ti–6Al–7Nb Alloy as a Potential Drug Carrier. Materials. 2021; 14(20):6142. https://doi.org/10.3390/ma14206142
Chicago/Turabian StyleŁosiewicz, Bożena, Agnieszka Stróż, Patrycja Osak, Joanna Maszybrocka, Anna Gerle, Karolina Dudek, Katarzyna Balin, Dariusz Łukowiec, Maciej Gawlikowski, and Sylwia Bogunia. 2021. "Production, Characterization and Application of Oxide Nanotubes on Ti–6Al–7Nb Alloy as a Potential Drug Carrier" Materials 14, no. 20: 6142. https://doi.org/10.3390/ma14206142
APA StyleŁosiewicz, B., Stróż, A., Osak, P., Maszybrocka, J., Gerle, A., Dudek, K., Balin, K., Łukowiec, D., Gawlikowski, M., & Bogunia, S. (2021). Production, Characterization and Application of Oxide Nanotubes on Ti–6Al–7Nb Alloy as a Potential Drug Carrier. Materials, 14(20), 6142. https://doi.org/10.3390/ma14206142
        
                                                
