Zein-layered hydroxide biohybrids: strategies of synthesis and characterization
Abstract
1. Introduction
2. Materials and Methods
2.1. Starting Materials and Reagents
2.2. Synthesis of the Layered Hosts
2.2.1. Synthesis of MgAl-Layered Double Hydroxides with Different Inorganic Anions in the Interlayer Space
2.2.2. Synthesis of Co-Layered Single Hydroxide
2.3. Zein-Layered Double Hydroxides
2.3.1. Ion-Exchange Method
2.3.2. Co-Precipitation Method
2.3.3. Reconstruction Method
2.4. Zein-Layered Single Hydroxide
2.4.1. Ion-exchange Method
2.4.2. Co-precipitation Method
2.5. Characterization
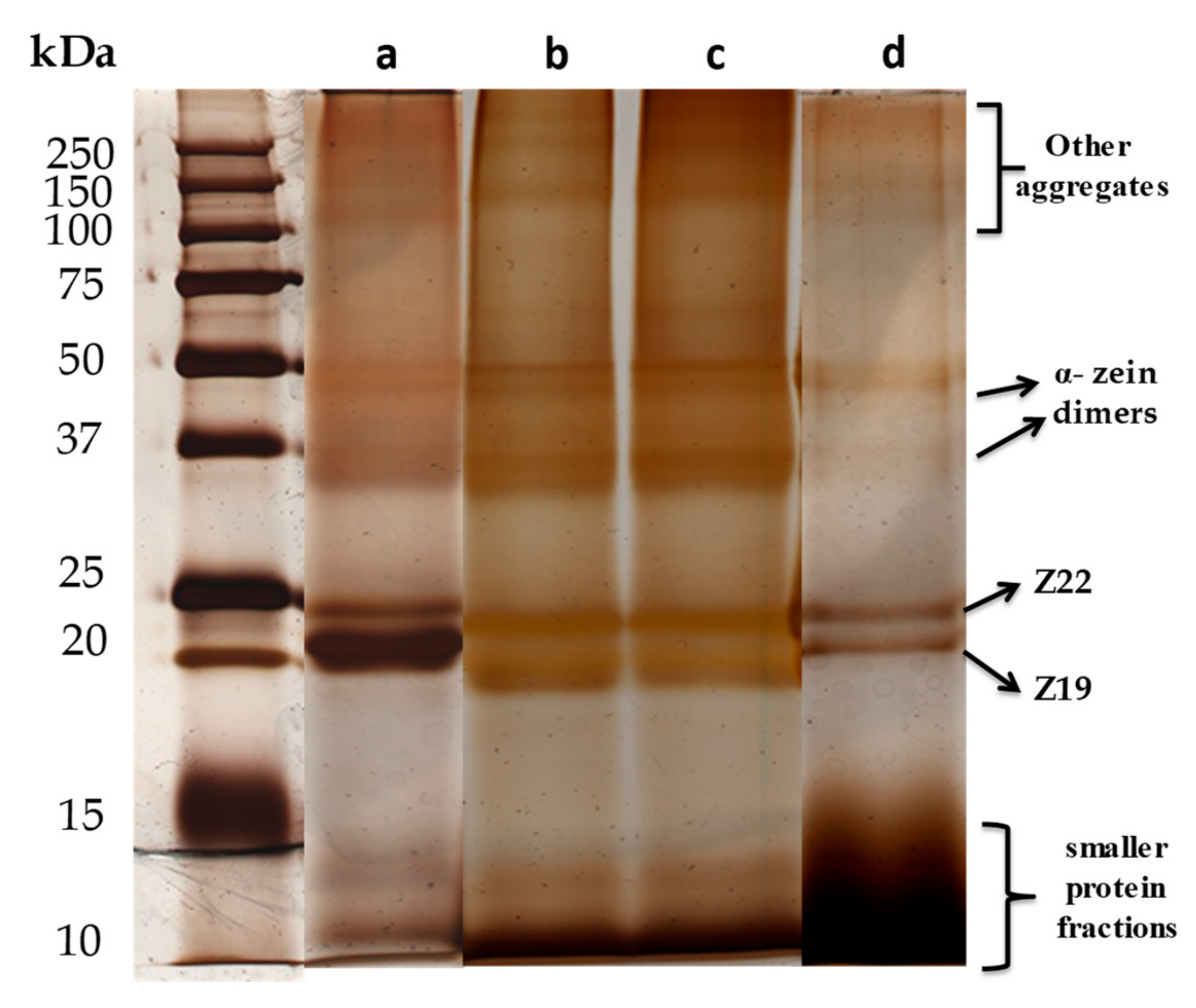
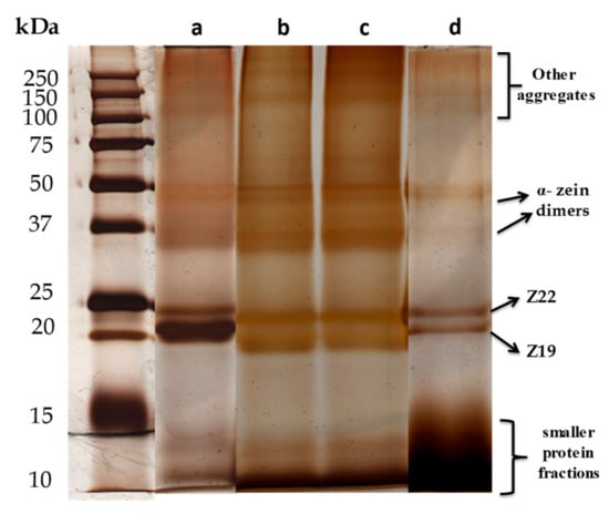
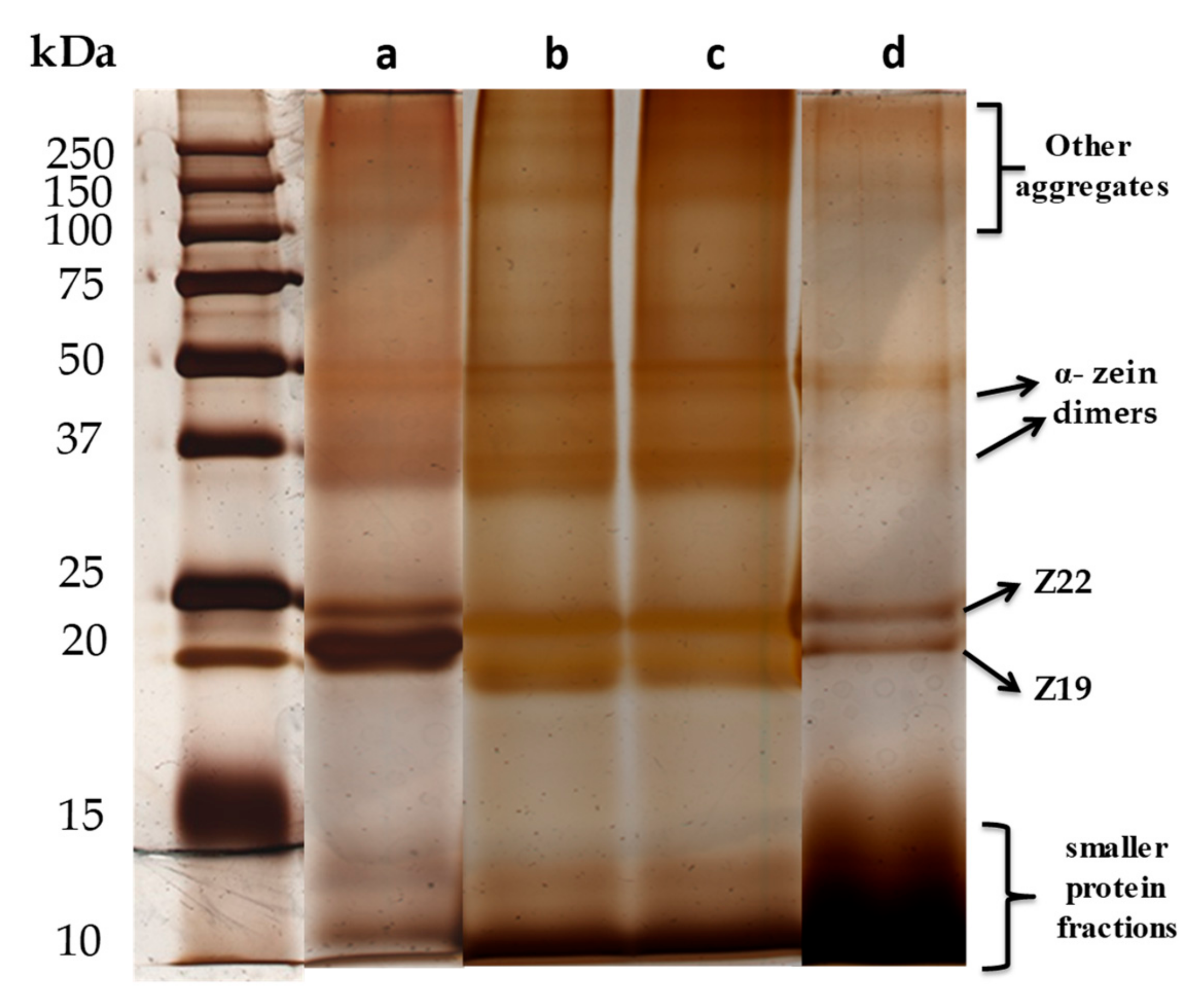
2.6. SDS-PAGE
3. Results and Discussion
3.1. Zein-Layered Double Hydroxides Biohybrids
3.2. Zein-Layered Single Hydroxide Biohybrids
4. Conclusions
Supplementary Materials
Author Contributions
Funding
Acknowledgments
Conflicts of Interest
References
- Ruiz-Hitzky, E.; Aranda, P.; Darder, M. Bionanocomposites. In Kirk-Othmer Encyclopedia of Chemical Technology; John Wiley & Sons: Hoboken, NJ, USA, 2008; pp. 1–28. [Google Scholar]
- Ruiz-Hitzky, E.; Darder, M.; Aranda, P. Functional biopolymer nanocomposites based on layered solids. J. Mater. Chem. 2005, 15, 3650–3662. [Google Scholar] [CrossRef]
- Avérous, L.; Pollet, E. Environmental Silicate Nano-Biocomposites; Springer: London, UK, 2012; p. 447. [Google Scholar]
- Chatterjee, A.; Bharadiya, P.; Hansora, D. Layered double hydroxide based bionanocomposites. Appl. Clay Sci. 2019, 177, 19–36. [Google Scholar] [CrossRef]
- Charradi, K.; Forano, C.; Prevot, V.; Madern, D.; Amara, A.B.H.; Mousty, C. Characterization of hemoglobin immobilized in MgAl-layered double hydroxides by the coprecipitation method. Langmuir 2010, 26, 9997–10004. [Google Scholar] [CrossRef] [PubMed]
- Assifaoui, A.; Huault, L.; Maissiat, C.; Roullier-Gall, C.; Jeandet, P.; Hirschinger, J.; Raya, J.; Jaber, M.; Lambert, J.-F.; Cayot, P.; et al. Structural studies of adsorbed protein (betalactoglobulin) on natural clay (montmorillonite). RSC Adv. 2014, 4, 61096–61103. [Google Scholar] [CrossRef]
- Bafkary, R.; Qazvini, N.T.; Mahdavi, H. Gelatin/montmorillonite biohybrid films prepared via a novel photocrosslinking method: Structure–properties investigations. J. Iran. Chem. Soc. 2017, 14, 2599–2606. [Google Scholar] [CrossRef]
- Fernandes, F.M.; Ruiz, A.I.; Darder, M.; Aranda, P.; Ruiz-Hitzky, E. Gelatin-clay bio-nanocomposites: Structural and functional properties as advanced materials. J. Nanosci. Nanotechnol. 2009, 9, 221–229. [Google Scholar] [CrossRef]
- Kumar, P.; Sandeep, K.P.; Alavi, S.; Truong, V.D.; Gorga, R.E. Preparation and characterization of bio-nanocomposite films based on soy protein isolate and montmorillonite using melt extrusion. J. Food Eng. 2010, 100, 480–489. [Google Scholar] [CrossRef]
- Kumar, P.; Sandeep, K.P.; Alavi, S.; Truong, V.D.; Gorga, R.E. Effect of Type and Content of Modified Montmorillonite on the Structure and Properties of Bio-Nanocomposite Films Based on Soy Protein Isolate and Montmorillonite. J. Food Sci. 2010, 75, N46–N56C. [Google Scholar] [CrossRef]
- Fan, C.; Zhuang, Y.; Li, G.; Zhu, J.; Zhu, D. Direct Electrochemistry and Enhanced Catalytic Activity for Hemoglobin in a Sodium Montmorillonite Film. Electroanalysis 2000, 12, 1156–1158. [Google Scholar] [CrossRef]
- Talibudeen, O. Interlamellar adsorption of protein monolayers on pure montmorillonoid clays. Nature 1950, 166, 236. [Google Scholar] [CrossRef]
- Rives, V. Layered Double Hydroxides—Present and Future, 1st ed.; Nova Science Publishers: Hauppauge, NY, USA, 2011. [Google Scholar]
- Oh, J.-M.; Biswick, T.T.; Choy, J.-H. Layered nanomaterials for green materials. J. Mater. Chem. 2009, 19, 2553–2563. [Google Scholar] [CrossRef]
- O‘Hare, D.; Wang, Q. Recent Advances in the Synthesis and Application of Layered Double Hydroxide (LDH) Nanosheets. Chem. Rev. 2012, 112, 4124–4155. [Google Scholar]
- Leroux, F.; Taviot-Gueho, C. Fine tuning between organic and inorganic host structure: New trends in layered double hydroxide hybrid assemblies. J. Mater. Chem. 2005, 15, 3628–3642. [Google Scholar] [CrossRef]
- Gondim, D.R.; Cecilia, J.A.; Santos, S.O.; Rodrigues, T.N.B.; Aguiar, J.E.; Villarrasa-Garcia, E.; Rodriguez-Castellón, E.; Azevedo, D.C.S.; Silva, I.J., Jr. Influence of buffer solutions in the adsorption of human serum proteins onto layered double hydroxide. Int. J. Biol. Macromol. 2018, 106, 396–409. [Google Scholar] [CrossRef]
- Rebitiski, E.P.; Darder, M.; Aranda, P. Layered double hydroxide/sepiolite hybrid nanoarchitectures for the controlled release of herbicides. Beilstein J. Nanotechnol. 2019, 10, 1679–1690. [Google Scholar] [CrossRef]
- Hintze-Bruening, H.; Troutier-Thuilliez, A.-L.; Leroux, F. Layered particle-based polymer composites for coatings: Part II-Stone chip resistant automotive coatings. Prog. Org. Coat. 2009, 64, 193–204. [Google Scholar] [CrossRef]
- Cunha, V.R.R.; Ferreira, A.M.D.; Constantino, V.R.L.; Tronto, J.; Valim, J.B. Layered double hydroxides: Inorganic nanoparticles for storage and release of species of biological and therapeutic interest. Químca Nova 2010, 33, 159–171. [Google Scholar] [CrossRef]
- Rogez, G.; Massobrio, C.; Rabu, P.; Drillon, M. Layered hydroxide hybrid nanostructures: A route to multifunctionality. Chem. Soc. Rev. 2011, 40, 1031–1058. [Google Scholar] [CrossRef]
- Rabu, P.; Delahaye, E.; Rogez, G. Hybrid interfaces in layered hydroxides: Magnetic and multifunctional superstructures by design. Nanotechnol. Rev. 2017, 4, 557–580. [Google Scholar] [CrossRef]
- Daud, M.; Kamal, M.S.; Shehzad, F.; Al-Harthi, M.A. Graphene/layered double hydroxides nanocomposites: A review of recent progress in synthesis and applications. Carbon 2016, 104, 241–252. [Google Scholar] [CrossRef]
- Forano, C.; Bruna, F.; Mousty, C.; Prevot, V. Interactions between Biological Cells and Layered Double Hydroxides: Towards Functional Materials. Chem. Rec. 2018, 18, 1150–1166. [Google Scholar] [CrossRef] [PubMed]
- Choi, G.; Eom, S.; Vinu, A.; Choy, J.-H. 2D Nanostructured Metal Hydroxides with Gene Delivery and Theranostic Functions; a Comprehensive Review. Chem. Rec. 2018, 18, 1033–1053. [Google Scholar] [CrossRef] [PubMed]
- Ahmed, S.; Ashiq, N.M.; Li, D.Q.; Tang, P.G.; Leroux, F.; Feng, Y.F. Recent Progress on Adsorption Materials for Phosphate Removal. Recent Pat. Nanotechnol. 2019, 13, 3–16. [Google Scholar] [CrossRef] [PubMed]
- Forano, C.; Prevot, V. Enzyme-based Bioinorganic Materials. In Bio-inorganic Hybrid Nanomaterials—Strategies, Syntheses, Characterization and Application, 1st ed.; Ruiz-Hitzky, E., Ariga, K., Lvov, Y.M., Eds.; Wiley-VCH: Weinheim, Germany, 2007; pp. 443–484. [Google Scholar]
- Aisawa, S.; Takahashi, S.; Ogasawara, W.; Umetsu, Y.; Narita, E. Direct Intercalation of Amino Acids into Layered Double Hydroxides by Coprecipitation. J. Solid State Chem. 2001, 162, 52–62. [Google Scholar] [CrossRef]
- Nakayama, H.; Wada, N.; Tsuhako, M. Intercalation of amino acids and peptides into Mg–Al layered double hydroxide by reconstruction method. Int. J. Pharm. 2004, 269, 469–478. [Google Scholar] [CrossRef]
- Yu, B.; Bian, H.; Plank, J. Self-assembly and characterization of Ca-Al-LDH nanohybrids containing casein proteins as guest anions. J. Phys. Chem. Solids 2010, 71, 468–472. [Google Scholar] [CrossRef]
- Darder, M.; Lopez-Blanco, M.; Aranda, P.; Leroux, F.; Ruiz-Hitzky, E. Bio-nanocomposites based on layered double hydroxides. Chem. Mater. 2005, 17, 1969–1977. [Google Scholar] [CrossRef]
- Choy, J.H.; Kwak, S.Y.; Park, J.S.; Jeong, Y.J.; Portier, J. Intercalative Nanohybrids of Nucleoside Monophosphates and DNA in Layered Metal Hydroxide. J. Am. Chem. Soc. 1999, 121, 1399–1400. [Google Scholar] [CrossRef]
- Choy, J.H.; Kwak, S.Y.; Jeong, Y.J.; Park, J.S. Inorganic Layered Double Hydroxides as Nonviral Vectors. Angew. Chem. Int. Ed. 2000, 39, 4042–4045. [Google Scholar] [CrossRef]
- Masarudin, M.J.; Yusoff, K.; Rahim, R.A.; Hussein, M.Z. Successful transfer of plasmid DNA into in vitro cells transfected with an inorganic plasmid–Mg/Al-LDH nanobiocomposite material as a vector for gene expression. Nanotechnology 2009, 20, 045602. [Google Scholar] [CrossRef]
- Hussein, M.Z.; Rahman, N.S.S.A.; Sarijo, S.H.; Zaina, Z. Herbicide-intercalated zinc layered hydroxide nanohybrid for a dual-guest controlled release formulation. Int. J. Mol. Sci. 2012, 13, 7328–7342. [Google Scholar] [CrossRef] [PubMed]
- Si, S.; Taubert, A.; Mantion, A.; Rogeza, G.; Rabu, P. Peptide-intercalated layered metal hydroxides: Effect of peptide chain length and side chain functionality on structural, optical and magnetic properties. Chem. Sci. 2012, 3, 1945–1957. [Google Scholar] [CrossRef]
- Forster, P.M.; Tafoya, M.M.; Cheetham, A.K. Synthesis and characterization of Co7(OH)12(C2H4S2O6)(H2O)2—A single crystal structural study of a ferrimagnetic layered cobalt hydroxide. J. Phys. Chem. Solids 2004, 65, 11–16. [Google Scholar] [CrossRef]
- Delahaye, E.; Eyele-Mezui, S.; Diop, M.; Leuvrey, C.; Rabu, P.; Rogez, G. Rational synthesis of chiral layered magnets by functionalization of metal simple hydroxides with chiral and non-chiral Ni(II) Schiff base complexes. Dalton Trans. 2010, 39, 10577–10580. [Google Scholar] [CrossRef] [PubMed]
- Wang, Q.; Wang, J.-F.; Geil, P.H.; Padua, G.W. Zein Adsorption to Hydrophilic and Hydrophobic Surfaces Investigated by Surface Plasmon Resonance. Biomacromolecules 2004, 5, 1356–1361. [Google Scholar] [CrossRef]
- Auerbach, S.M.; Carrado, K.A.; Dutra, P. Handbook of Layered Materials, 1st ed.; Marcel Dekker: New York, NY, USA, 2004. [Google Scholar]
- Alcântara, A.C.S.; Darder, M.; Aranda, P.; Ruiz-Hitzky, E. Effective intercalation of zein into Na-montmorillonite: Role of the protein components and use of the developed biointerfaces. Beilstein J. Nanotechnol. 2016, 7, 1772–1782. [Google Scholar] [CrossRef]
- Cabra, V.; Arreguin, R.; Galvez, A.; Quirasco, M.; Vazques-Duhalt, R.; Farres, A. Characterization of 19 kDa α-zein of high purity. J. Agric. Food Chem 2005, 53, 725–729. [Google Scholar] [CrossRef]
- Ofelt, C.W.; Evans, C.B. Aqueous zein dispersion. Ind. Eng. Chem. 1949, 41, 830–833. [Google Scholar] [CrossRef]
- Shukla, R.; Cheryan, M. Zein: The industrial protein from corn. Ind. Crops Prod. 2001, 13, 171–192. [Google Scholar] [CrossRef]
- Cabra, V.; Arregin, R.; Vazquez-Duhalt, R.; Farres, A. Effect of alkaline deamidation on the structure, surface hydrophobicity, and emulsifying properties of Z19 alpha-zein. J. Agric. Food Chem. 2007, 55, 439–455. [Google Scholar] [CrossRef]
- Zhang, B.; Luo, Y.; Wang, Q. Effect of acid and base treatments on structural, rheological, and antioxidant properties of α-zein. Food Chem. 2001, 124, 210–220. [Google Scholar] [CrossRef]
- De Roy, A.; Forano, C.; Besse, J.B. Layered Double Hydroxides: Synthesis and post-synthesis modifications. In Layered Double Hydroxides—Present and Future, 1st ed.; Rives, V., Ed.; Nova Science Publishers: Hauppauge, NY, USA, 2006; pp. 1–39. [Google Scholar]
- Miyata, S. Physico-Chemical properties of synthetic hydrotalcites in relation to composition. Clays Clay Miner. 1980, 28, 50–56. [Google Scholar] [CrossRef]
- Kielland, J. Individual Activity Coefficients of Ions in Aqueous Solutions. J. Am. Chem. Soc. 1937, 59, 1675–1678. [Google Scholar] [CrossRef]
- Rives, V. Characterisation of layered double hydroxides and their decomposition products. Mater. Chem. Phys. 2002, 75, 19–25. [Google Scholar] [CrossRef]
- Leroux, F.; Besse, J.P. Polymer Interleaved Layered Double Hydroxide: A New Emerging Class of Nanocomposites. Chem. Mater. 2001, 13, 3507–3515. [Google Scholar] [CrossRef]
- Cavani, F.; Trifito, F.; Vaccari, A. Hydrotalcite-type anionic clays: Preparation, properties and applications. Catal. Today 1991, 11, 173–301. [Google Scholar] [CrossRef]
- Velu, S.; Suzuki, K.; Okaki, T.; Tomura, S.; Ohashi, F. Synthesis of new Sn-incorporated layered double hydroxides and their thermal evolution to mixed oxides. Chem. Mater. 1999, 11, 2163–2172. [Google Scholar] [CrossRef]
- Miller, F.A.; Wilkins, C.H. Infrared spectra and characteristic frequencies of inorganic ions their use in qualitative analysis. Anal. Chem. 1952, 24, 1253–1294. [Google Scholar]
- Camacho, D.I.; Morales, R.; Arizaga, G.G.C.; Wypych, F.; Krieger, N. Immobilization of laccase on hybrid layered double hydroxide. Quim. Nova 2009, 32, 1495–1499. [Google Scholar] [CrossRef]
- Leroux, F.; Gachon, J.; Besse, J.P. Biopolymer immobilization during the crystalline growth of layered double hydroxide. J. Solid State Chem 2004, 177, 245–250. [Google Scholar] [CrossRef]
- Dujardin, E.; Mann, S. Bio-inspired Materials Chemistry. Adv. Mater. 2002, 14, 775–788. [Google Scholar] [CrossRef]
- Laget, V.; Hornick, C.; Rabu, P.; Drillon, M. Hybrid organic-inorganic layered compounds prepared by anion exchange reaction: Correlation between structure and magnetic properties. J. Mater. Chem. 1999, 9, 169–174. [Google Scholar] [CrossRef]
- Liang, J.; Ma, R.; Iyi, N.; Ebina, Y.; Takada, K.; Sasaki, T. Topochemical Synthesis, Anion Exchange, and Exfoliation of Co-Ni Layered Double Hydroxides: A Route to Positively Charged Co-Ni Hydroxide Nanosheets with Tunable Composition. Chem. Mater. 2010, 22, 371–378. [Google Scholar] [CrossRef]
- Liu, Z.; Ma, R.; Osada, M.; Iyi, N.; Ebina, Y.; Takada, K.; Sasaki, T. Synthesis, Anion Exchange, and Delamination of Co-Al Layered Double Hydroxide: Assembly of the ExfoliatedNanosheet/Polyanion Composite Films and Magneto-Optical Studies. J. Am. Chem. Soc. 2006, 128, 4872–4880. [Google Scholar] [CrossRef] [PubMed]
- Alcântara, A.C.S.; Darder, M.; Aranda, P.; Ruiz-Hitzky, E. Zein-fibrous-clays biohybrids materials. Eur. J. Inorg. Chem. 2012, 2012, 5216–5224. [Google Scholar] [CrossRef]











| Z-LDH Biohybrid Samples | Carbon Content | Nitrogen Content | C/N Ratio | Zein Content (g Z/100 g of LDH) |
|---|---|---|---|---|
| Z-LDH-Nit_ie-US | 5.16 | 2.02 | 2.55 | 13.0 |
| Z-LDH-Cl_cppt-US | 15.2 | 4.71 | 3.22 | 40.0 |
| Z-LDH-Nit_cppt | 16.1 | 5.12 | 3.14 | 43.2 |
| Z-LDH-Nit_cppt-US | 21.3 | 5.54 | 3.84 | 57.5 |
| Z-LDH_rec-US | 13.6 | 3.82 | 3.56 | 36.0 |
© 2020 by the authors. Licensee MDPI, Basel, Switzerland. This article is an open access article distributed under the terms and conditions of the Creative Commons Attribution (CC BY) license (http://creativecommons.org/licenses/by/4.0/).
Share and Cite
Alcântara, A.C.S.; Darder, M.; Aranda, P.; Ruiz-Hitzky, E. Zein-layered hydroxide biohybrids: strategies of synthesis and characterization. Materials 2020, 13, 825. https://doi.org/10.3390/ma13040825
Alcântara ACS, Darder M, Aranda P, Ruiz-Hitzky E. Zein-layered hydroxide biohybrids: strategies of synthesis and characterization. Materials. 2020; 13(4):825. https://doi.org/10.3390/ma13040825
Chicago/Turabian StyleAlcântara, Ana C. S., Margarita Darder, Pilar Aranda, and Eduardo Ruiz-Hitzky. 2020. "Zein-layered hydroxide biohybrids: strategies of synthesis and characterization" Materials 13, no. 4: 825. https://doi.org/10.3390/ma13040825
APA StyleAlcântara, A. C. S., Darder, M., Aranda, P., & Ruiz-Hitzky, E. (2020). Zein-layered hydroxide biohybrids: strategies of synthesis and characterization. Materials, 13(4), 825. https://doi.org/10.3390/ma13040825
