Properties of Fibrous Concrete Made with Plastic Optical Fibers from E-Waste
Abstract
1. Introduction
2. Materials and Methods
2.1. Material Properties
- The Portland cement CEM I 42.5R (Cemex Poland), tested according to PN-EN 196-1:2016-07 [50]: specific gravity of 3070 kg/m3, specific surface of 4049 cm2/g, compressive strength after 2 days of 31 MPa and after 28 days of 60.5 MPa, initial setting of 190 min, loss on ignition of 5.0% by weight of cement. The chemical ingredients of the cement are presented in Table 2.
- Plastic optical fibers (POFs) originated from the manufacturing plants located in Lublin, Poland (LSN). They consist of approximately 60% polyethylene and 40% copper cables. Thin fibers were obtained after removing the thick plastic cable jacket (Figure 1a). The POF was cut (15–20 mm, Figure 1b) and then analyzed in terms of certain physical properties, including: density = 1430 kg/m3, water absorption after 24 h = 0.01%, static modulus of elasticity = 10,000 MPa, tensile strength = 720 MPa.
- Coarse aggregate–river gravel with 2–8 mm and 8–16 mm granulation. The gravel aggregate was characterized by the following properties: apparent density = 2625 kg/m3, water absorption = 2.7%, resistance to fragmentation = 25, compressive strength = 190 MPa, elastic modulus = 6750 MPa, resistance to wear = 2.
- Fine aggregate–quartz sand with 0–2 mm granulation and specific density of 2650 kg/m3, bulk density of 1650 kg/m3, absorptivity of 0.4%, and mineral dust content of 0.4%.
- An efficient superplasticizer based on Glenium® SKY 591 polycarboxylate ethers was used at the amount of 0.70% in relation to the weight of cement in order to obtain the same workability in all the concrete mixtures.
2.2. Methods
2.3. Static and Dynamic Modulus of Elasticity
2.4. Scanning Electron Microscopy Using Energy Dispersive Spectroscopy (SEM/EDS) Analysis
2.5. Ad Hoc Testing of Reinforced Concrete Beams at a Semitechnical Scale
3. Results
3.1. Physical and Mechanical Properties of Tested Concretes
3.2. Results of the Ad Hoc Testing
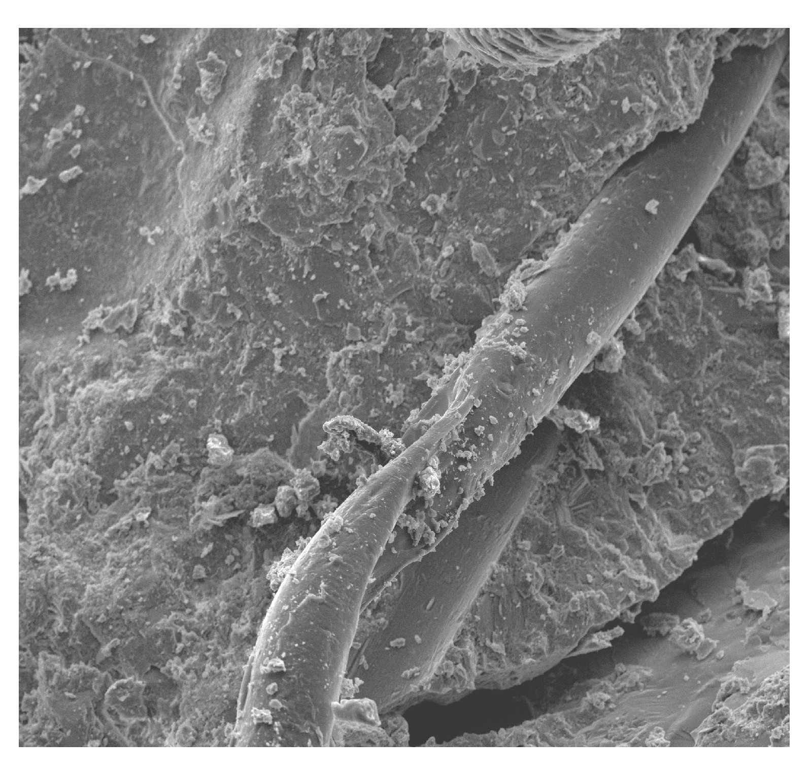
3.3. Microstructure of the Tested POF Concretes
4. Discussion
4.1. Discussion on the Physical and Mechanical Properties of the Tested Concretes
4.2. Discussion on the Ad Hoc Test Results
4.3. Discussion on the Microstructure of the Tested POF Concretes
5. Conclusions
- -
- POFs cause higher concrete porosity, lowering compressive strength, as well as the static and dynamic moduli, in turn lowering the durability. The SEM studies showed that this is connected with the ITZ structure, located between the POF and the matrix.
- -
- The increased volume of free pores in the concrete reinforced with POFs decreased the mass after the frost and salt crystallization test. It was observed that 180 freezing–thawing cycles caused a doubling of the concrete frost resistance with the addition of 3% volume POFs compared to the control concrete. The resistance to salt crystallization of C3 decreased by 55%. This was due to the increased porosity and absorptivity of concretes reinforced with POFs.
- -
- The deflection values for the beams with 3% POFs were 25% lower than in the beams with 1% POFs. The control beams were destroyed at half the force (20 kN) compared to the beams with POFs.
- -
- Microstructure studies illustrated that adding optical fibers to concrete considerably changes the microstructure. The presence of an increased amount of ettringite in the ITZ structure of the fiber-reinforced concrete can weaken the adhesion of the grout to the POFs; the microcracks are visible in this zone together with a larger number of pores, which decrease some of the strength parameters.
- -
- POFs have a significant effect on the splitting tensile and flexural strengths as compared to the compressive strength. Thus, considering economic and ecological aspects of decreasing e-waste, its application in concrete production to reinforce concrete is a reasonable choice.
- -
- Practical limitations in the application of concrete reinforced with POFs result from the fact that the frost resistance decreases with increasing POF content. Therefore, elements made of POF concrete should be used indoors. The second limitation is the decreased compressive strength, which to some extent is compensated for by the increase in splitting tensile and flexural strengths. Therefore, this concrete should rather be used in elements exposed to bending and tensile forces, rather than in elements exposed to compressive forces, such as columns or walls.
Author Contributions
Funding
Conflicts of Interest
References
- IEA; WBCSD; CSI. Technology Roadmap: Low-Carbon Transition in the Cement Industry; International Energy Agency, World Business Council on Sustainable Development, Cement Sustainability Initiative: Paris, France, 2018; pp. 1–60. [Google Scholar]
- Uddin, F.; Shaikh, A. Review of mechanical properties of short fibre reinforced geopolymer composites. Constr. Build. Mater. 2013, 43, 37–49. [Google Scholar] [CrossRef]
- Fallah, S.; Nematzadeh, M. Mechanical properties and durability of high-strength concrete containing macro-polymeric and polypropylene fibers with nano-silica and silica fume. Constr. Build. Mater. 2017, 132, 170–187. [Google Scholar] [CrossRef]
- Kalpana, M.; Tayu, A. Experimental investigation on lightweight concrete added with industrial waste (steel waste). Mater. Today Proc. 2020, 22, 887–891. [Google Scholar] [CrossRef]
- Mousavi, S.M.; Ranjbar, M.M.; Rahmat Madandoust, R. Combined effects of steel fibers and water to cementitious materials ratio on the fracture behavior and brittleness of high strength concrete. Eng. Fract. Mech. 2019, 216, 106517. [Google Scholar] [CrossRef]
- Merli, R.; Preziosi, M.; Acampor, A.; Lucchetti, M.C.; Petrucci, E. Recycled fibers in reinforced concrete: A systematic literature review. J. Clean. Prod. 2020, 248, 119207. [Google Scholar] [CrossRef]
- Chan, R.; Liu, X.; Galobardes, I. Parametric study of functionally graded concretes incorporating steel fibres and recycled aggregates. Constr. Build. Mater. 2020, 242, 118186. [Google Scholar] [CrossRef]
- Singh, S.P.; Kaushik, S.K. Fatigue strength of steel fibre reinforced concrete in flexure. Cem. Concr. Compos. 2003, 25, 779–786. [Google Scholar] [CrossRef]
- Deng, Z. The fracture and fatigue performance in flexure of carbon fiber reinforced concrete. Cem. Concr. Compos. 2005, 27, 131–140. [Google Scholar] [CrossRef]
- Kimm, M.; Pico, D.; Gries, T. Investigation of surface modification and volume content of glass and carbon fibres from fibre reinforced polymer waste for reinforcing concrete. J. Hazard. Mater. 2019, 121797. [Google Scholar] [CrossRef]
- Ardanuy, M.; Claramunt, J.; Filho, R.D.T. Cellulosic fiber reinforced cement-based composites: A review of recent research. Constr. Build. Mater. 2015, 79, 115–128. [Google Scholar] [CrossRef]
- Sun, Z.; Xu, Q. Microscopic, physical and mechanical analysis of polypropylene fiber reinforced concrete. Mater. Sci. Eng. A 2009, 527, 198–204. [Google Scholar] [CrossRef]
- Shena, D.; Liua, X.; Zenga, X.; Zhaoa, X.; Jiang, G. Effect of polypropylene plastic fibers length on cracking resistance of high performance concrete at early age. Constr. Build. Mater. 2020, 244, 117874. [Google Scholar] [CrossRef]
- Li, Q.; Huang, B.; Xu, S.; Zhou, B.; Yu, R.C. Compressive fatigue damage and failure mechanism of fiber reinforced cementitious material with high ductility. Cem. Concr. Res. 2016, 90, 174–183. [Google Scholar] [CrossRef]
- Zheng, Z.; Feldman, D. Synthetic fibre-reinforced concrete. Prog. Polym. Sci. 1995, 20, 185–210. [Google Scholar] [CrossRef]
- Yazıcı, Ş.; Inan, G.; Tabak, V. Effect of aspect ratio and volume fraction of steel fiber on the mechanical properties of SFRC. Constr. Build. Mater. 2007, 21, 1250–1253. [Google Scholar] [CrossRef]
- Thomas, J.; Ramaswamy, A. Mechanical properties of steel fiber-reinforced concrete. J. Mater. Civ. Eng. 2007, 19, 385–392. [Google Scholar] [CrossRef]
- Soroushian, P.; Shah, Z.; Won, J.; Hsu, J. Durability and moisture sensitivity of recycled wastepaper-fiber-cement composites. Cem. Concr. Compos. 1994, 16, 115–128. [Google Scholar] [CrossRef]
- Yanga, L.; Lina, X.; Huiyun Lib, H.; Gravina, R.J. A new constitutive model for steel fibre reinforced concrete subjected to dynamic loads. Compos. Struct. 2019, 221, 110849. [Google Scholar] [CrossRef]
- Zollo, F.R. Fiber-reinforced concrete: An overview after 30 years of development. Cem. Concr. Compos. 1997, 19, 107–122. [Google Scholar] [CrossRef]
- Pujadas, P.; Blanco, A.; Cavalaro, S.; Mousavi, A.A.S.M.; Ranjbar, M.M.; Madandoust, R. Plastic fibres as the only reinforcement for flat suspended slabs: Experimental investigation and numerical simulation. Eng. Fract. Mech. 2019, 216, 106517. [Google Scholar] [CrossRef]
- Liu, Y.S. Researches on Mechanical Behaviors and Anti-Penetration Mechanism of Steel Fibre Reinforced Concrete. Ph.D. Thesis, University of Science and Technology of China, Hefei, Anhui, China, 2006. [Google Scholar]
- Shaikh, F.U.A.; Luhar, S.; Arel, H.S.; Luhar, I. Performance evaluation of Ultrahigh performance fibre reinforced concrete—A review. Constr. Build. Mater. 2020, 232, 117152. [Google Scholar] [CrossRef]
- Chen, B.; Liu, J. Residual strength of hybrid-fiber-reinforced high-strength concrete after exposure to high temperatures. Cem. Concr. Res. 2004, 34, 1065–1069. [Google Scholar] [CrossRef]
- Nobili, A.; Lanzoni, L.; Tarantino, A.M. Experimental investigation and monitoring of a polypropylene-based fiber reinforced concrete road pavement. Constr. Build. Mater. 2013, 47, 888–895. [Google Scholar] [CrossRef]
- Lanzoni, L.; Nobili, A.; Tarantino, A.M. Performance evaluation of a polypropylene-based draw-wired fibre for concrete structures. Constr. Build. Mater. 2012, 28, 798–806. [Google Scholar] [CrossRef]
- Beňoa, J.; Hilara, M. Steel fibre reinforced concrete for tunnel lining—Verification by extensive laboratory testing and numerical modelling. Acta Polytech. 2013, 53, 329–337. [Google Scholar]
- Shukla, S.K.; Kushwaha, C.S.; Guner, T.; Demir, M.M. Chemically modified optical fibers in advanced technology: An overview. Opt. Laser Technol. 2019, 115, 404–432. [Google Scholar] [CrossRef]
- Jenny, R.; Kittelberger, S.; Volpi, A.G.; Auburn, N.Y. Fundamentals of optics—An introduction for beginners. Int. J. Comput. Vis. 2000, 40, 142–167. [Google Scholar]
- Khanarian, G.; Celanese, H. Optical properties of cyclic olefin copolymers. Opt. Eng. 2001, 40, 1024–1029. [Google Scholar] [CrossRef]
- Nielsen, K.; Rasmussen, A.J.L.; Planken, P.C.M.; Bang, O.; Jepsen, P.U. Bendable, low-loss Topas fibers for the terahertz frequency range. Opt. Express 2009, 17, 8592–8601. [Google Scholar] [CrossRef]
- Iftekhar, S.; Grins, J.; Eden, M. Composition-property relationships of the La2O3- Al2O3-SiO2 glass system. J. Non-Cryst. Solids 2010, 356, 1043–1048. [Google Scholar] [CrossRef]
- Rajesh, M.; Nampoori, V.P.N. Fabrication and Characterisation of Polymer Optical Fibers for Smart Sensing and Optical Amplification. Ph.D. Thesis, Cochin University of Science & Technology, Kerala, India, 2006. [Google Scholar]
- Luo, Y.; Yan, B.; Zhang, Q.; Peng, G.-D.; Wen, J.; Zhang, J. Fabrication of Polymer Optical Fibre (POF) Gratings. Sensors 2017, 17, 511. [Google Scholar] [CrossRef] [PubMed]
- Starecki, F.; Charpentier, F.; Doualan, J.L.; Quetel, L.; Michel, K.; Chahal, R.; Troles, J.; Bureau, B.; Braud, A.; Camy, P. Mid-IR optical sensor for CO2 detection based on fluorescence absorbance of Dy3+: Ga5Ge20Sb10S65 fibers. Sens. Actuators B Chem. 2015, 207, 518–525. [Google Scholar] [CrossRef]
- Baldini, F.; Giannetti, A.; Mencaglia, A.A.; Trono, C. Fiber Optic sensors for biomedical applications. Curr. Anal. Chem. 2008, 4, 378390. [Google Scholar] [CrossRef]
- Mignani, A.G.; Baldini, F. Biomedical sensors using optical fibres. Rep. Progress Phys. 1996, 59, 1–28. [Google Scholar] [CrossRef]
- Yang, C.; Zhao, C.; Wold, L.; Kaufman, K.R. Biocompatibility of a physiological pressure sensor. Biosens. Bioelectron. 2003, 19, 51–58. [Google Scholar] [CrossRef]
- Zou, X.; Wu, N.; Tian, Y.; Wang, X. Broadband miniature fiber optic ultrasound generator. Opt. Express 2014, 22, 18119–181127. [Google Scholar] [CrossRef] [PubMed]
- Zubia, J.; Arrue, J. Plastic optical fibers: An introduction to their technological processes and applications. Opt. Fiber Technol. 2001, 7, 101–140. [Google Scholar] [CrossRef]
- Taffoni, F.; Formica, D.; Saccomandi, P.; Pino, G.D.; Schena, E. Optical fiber-based MR-cozpatible sensors for medical applications: An overview. Sensors 2013, 13, 14105–14120. [Google Scholar] [CrossRef]
- Bao, Y.; Meng, W.; Chen, Y.; Chen, G. Measuring mortar shrinkage and cracking by pulse pre-pump Brillouin optical time domain analysis with a single optical fiber. Mater. Lett. 2015, 145, 344–346. [Google Scholar] [CrossRef]
- Bao, Y.; Huang, Y.; Hoehler, M.S.; Chen, G. Review of Fiber Optic Sensors for Structural Fire Engineering. Sensors 2019, 19, 877. [Google Scholar] [CrossRef]
- Bertram, M.; Graedel, T.E.; Rechberger, H.; Spatari, S. The contemporary European cooper cycle: Waste management Subsystem. Ecol. Econ. 2002, 42, 43–57. [Google Scholar] [CrossRef]
- TEPCO. Available online: https://www.tepco.co.jp/en/index-e.html (accessed on 21 May 2020).
- Zackrisson, M. Recycling Production Cable Waste—Environmental and Economic Aspects; Swarea IVF Report 13003; Swarea IVF: Mölndal, Sweden, 2012. [Google Scholar]
- Eijkelenborg, M.A.; Argyros, A.; Barton, G.; Bassett, I.M.; Fellew, M.; Geoffrey, H.G.; Issa, N.A.; Large, M.C.J.; Manos, S.; Padden, W.; et al. Recent progress in microstructured polymer optical fibre fabrication and characterization. Opt. Fiber Technol. 2003, 9, 199–209. [Google Scholar] [CrossRef]
- Díaza, S.; Ortegab, Z.; McCourtc, M.; Kearnsc, M.P.; Benítezb, A.N. Recycling of polymeric fraction of cable waste by rotational moulding. Waste Manag. 2018, 76, 199–206. [Google Scholar] [CrossRef] [PubMed]
- Rajendran, S.; Scelsi, L.; Hodzic, A.; Soutis, C.; Al-Maadeed, M.A. Environmental impact assessment of composites containing recycled plastics. Resour. Conserv. Recycl. 2012, 60, 131–139. [Google Scholar] [CrossRef]
- PN-B-19707: 2013-10. In Cement-Special Cement-Composition, Requirements and Compliance Criteria; PKN: Warsaw, Poland, 2013.
- BSI. EN 12350-3:2009. In Testing Fresh Concrete. Vebe Test; BSI: London, UK, 2009. [Google Scholar]
- ASTM. C666 Standard Test Method for Resistance of Concrete to Rapid Freezing and Thawing; ASTM International: West Conshohocken, PA, USA, 2015. [Google Scholar]
- ASTM. C215-85 Standard Test method for fundamental transverse, longitudinal and torsional frequencies of concrete specimens. In Annual Book of ASTM Standard; ASTM: West Conshohocken, PA, USA, 1985; Volume 4, pp. 117–120. [Google Scholar]
- BSI. EN 12350-6:2009. In Testing Fresh Concrete. Density; BSI: London, UK, 2009. [Google Scholar]
- BSI. EN 12390-3:2002. In Testing Hardened Concrete—Part 3: Compressive Strength of Test Specimens; BSI: London, UK, 2002. [Google Scholar]
- European Committee for Standardization. EN 12390-7.2019-08. In Concrete Testing. Part 7: Concrete Density; European Committee for Standardization: London, UK, 2019. [Google Scholar]
- BSI. EN 12 390-5:2011. In Testing Hardened Concrete—Part 5: Flexural Strength of Test Specimens; BSI: London, UK, 2011. [Google Scholar]
- PKN. PN-B-06250:1988. In Normal Concrete; PKN: Warsaw, Poland, 1988. [Google Scholar]
- BSI. EN 12390-6:2001. In Testing Hardened Concrete—Part 6: Tensile Splitting Strength of Test Specimens; BSI: London, UK, 2001. [Google Scholar]
- BSI. BS EN 12370:1999. In Natural Stone Test Methods. Determination of Resistance to Salt Crystallization; BSI: London, UK, 1999. [Google Scholar]
- ASTM. C 469-02:2004 Standard Test Method for Static Modulus of Elasticity and Poisson’s Ratio of Concrete in Compression; ASTM: West Conshohocken, PA, USA, 2004. [Google Scholar]
- BSI. EN 196-1:2016-07. In Methods of Testing Cement—Part 1: Determination of Strength; BSI: London, UK, 2016. [Google Scholar]
- ASTM. C 78, “Standard Test Method for Flexural Strength of Concrete (Using Simple Beam with Third-Point Loading, (Four-Point Bending))”; American Society for Testing and Materials: West Conshohocken, PA, USA, 2002. [Google Scholar]
- Barnat-Hunek, D.; Góra, J.; Andrzejuk, W.; Łagód, G. The Microstructure-Mechanical Properties of Hybrid Fibres-Reinforced Self-Compacting Lightweight Concrete with Perlite Aggregate. Materials 2018, 11, 1093. [Google Scholar] [CrossRef]
- Barnat-Hunek, D.; Łagód, G.; Fic, S.; Jarosz-Hadam, M. Effect of polysiloxanes on roughness and durability of basalt fibres-reinforced cement mortar. Polymers 2018, 10, 420. [Google Scholar] [CrossRef] [PubMed]
- Quattrociocchi, G.; Albe, M.; Tirillo, J.; Sarasini, F.; Valente, M.; Santarelli, M.L. Basalt fibers as a sustainable reinforcement for cement based mortars: Preliminary study. Mater. Charact. VII 109 WIT Trans. Eng. Sci. 2015, 90, 109–120. [Google Scholar] [CrossRef]
- Ma, J.; Zhang, M.; Zhao, G. Experimental research on basalt fiber reinforced cementitious composites. Appl. Mech. Mater. 2013, 253–255, 533–536. [Google Scholar] [CrossRef]
- Glinicki, M.A. Efektywność mechaniczna makrowłókien syntetycznych w betonie. Bud. Technol. Archit. 2009, 2, 46–49. [Google Scholar]
- Zhu, Y.G.; Kou, S.C.; Poon, C.S.; Dai, J.G.; Li, Q.Y. Influence of silane-based water repellent on the durability properties of recycled aggregate concrete. Cem. Concr. Compos. 2013, 35, 32–38. [Google Scholar] [CrossRef]
- Afroughsabet, V.; Ozbakkaloglu, T. Mechanical and durability properties of high-strength concrete containing steel and polypropylene fibers. Constr. Build. Mater. 2015, 94, 73–82. [Google Scholar] [CrossRef]
- Song, P.S.; Hwang, S.; Sheu, B.C. Strength properties of nylon-and polypropylene-fiber-reinforced concretes. Cem. Concr. Res. 2015, 35, 1546–1550. [Google Scholar] [CrossRef]
- Meng, W.; Khayat, K.H. Mechanical properties of ultra-high-performance concrete enhanced with graphite nanoplatelets and carbon nanofibers. Compos. B Eng. 2016, 107, 113–122. [Google Scholar] [CrossRef]
- Meng, W.; Khayat, K.H. Effect of graphite nanoplatelets and carbon nanofibers on rheology, hydration, shrinkage, mechanical properties, and microstructure of UHPC. Cem. Concr. Res. 2018, 105, 64–71. [Google Scholar] [CrossRef]
- Smarzewski, P.; Barnat-Hunek, D. Property Assessment of Hybrid Fiber-Reinforced Ultra-High-Performance Concrete. Int. J. Civ. Eng. 2018, 16, 593–606. [Google Scholar] [CrossRef]
- Kim, S.B.; Yi, N.H.; Kim, H.Y.; Kim, J.-H.J.; Song, Y.-C. Material and structural performance evaluation of recycled PET fiber reinforced concrete. Cem. Concr. Compos. 2010, 32, 232–240. [Google Scholar] [CrossRef]
- Palou, M.T.; Bagel, L.; Zivica, V.; Kuliffayova, M.; Kozankova, J. Influence of hydrothermal curing regimes on the hydration of fiber-reinforced cement composites. J. Therm. Anal. Calorim. 2013, 113, 219–229. [Google Scholar] [CrossRef]
- Naaman, A.E.; Reinhardt, H.-W. Report of the RILEM International Workshop on High Performance Fiber Reinforced Cement Composites (HPFRCC-4)-Ann Arbor, Michigan, June 16-18, 2003. Mater. Struct. 2003, 36, 710–712. [Google Scholar] [CrossRef]
- Grzymski, F.; Musiał, M. Testing methodology of fiber- reinforced concrete mechanical properties. Builder 2017, 6, 90–93. (In Polish) [Google Scholar]
- Ou, Y.-C.; Tsai, M.-S.; Liu, K.-Y.; Chang, K.-C. Compressive Behavior of Steel-Fiber-Reinforced Concrete with a High Reinforcing Index. J. Mater. Civ. Eng. 2012, 24, 207–215. [Google Scholar] [CrossRef]
- Eisa, A.S.; Elshazli, M.T.; Nawar, M.T. Experimental investigation on the effect of using crumb rubber and steel fibers on the structural behavior of reinforced concrete beams. Constr. Build. Mater. 2020, 252, 119078. [Google Scholar] [CrossRef]
- Semenov, V.; Rozovskaya, T.; Gubsckiy, A.; Gareeva, R. Effective light-weight masonry mortars with dispersed reinforcement. Procedia Eng. 2016, 153, 630–637. [Google Scholar] [CrossRef][Green Version]
- Fenu, L.; Forni, D.; Cadoni, E. Dynamic behaviour of cement mortars reinforced with glass and basalt fibres. Compos. B. Eng. 2016, 92, 142–150. [Google Scholar] [CrossRef]
- Jiang, C.; Huang, S.; Zhu, Y.; Lin, Y.; Chen, D. Effect of polypropylene and basalt fiber on the behavior of mortars for repair applications. Adv. Mater. Sci. Eng. 2016, 2016, 1–11. [Google Scholar] [CrossRef]
- Smarzewski, P.; Barnat-Hunek, D. Effect of Fiber Hybridization on Durability Related Properties of Ultra-High Performance Concrete. Int. J. Concr. Struct. Mater. 2017, 11, 315–325. [Google Scholar] [CrossRef]
- Pająk, M.; Ponikiewski, T. Flexural behavior of self-compacting concrete reinforced with different types of steel fibers. Constr. Build. Mater. 2013, 47, 397–408. [Google Scholar] [CrossRef]
- Stachniewicz, J.; Kosior-Kazberuk, M.; Krassowska, J. Nośność na ścinanie belek wykonanych z włóknobetonu. Civ. Environ. Eng. 2017, 8, 55–62. [Google Scholar]
- Sadaqat, U.K.; Tehmina, A. Flexure and shear behaviour of self-compacting reinforced concrete beams with polyethylene terephthalate fibres and strips. Structures 2020, 25, 200–211. [Google Scholar] [CrossRef]
- Yu, R.; Spiesz, P.; Brouwers, H. Mix design and properties assessment of ultrahigh performance fibre reinforced concrete (UHPFRC). Cem. Concr. Res. 2014, 56, 29–39. [Google Scholar] [CrossRef]
- Głodkowska, W.; Kobaka, J. Modelling of properties and distribution of steel fibres within a fine aggregate concrete. Constr. Build. Mater. 2013, 44, 645–653. [Google Scholar] [CrossRef]
- Chuxiang, Q.; Patnaikuni, I. Properties of high-strength steel fiber-reinforced concrete beams in bending. Cem. Concr. Compos. 1999, 21, 73–81. [Google Scholar] [CrossRef]
- Dinh, H.H.; Parra-Montesinos, G.J.; Wight, J.K. Shear behavior of steel fiber-reinforced concrete beams without stirrup reinforcement. ACI Struct. J. 2010, 107, 597–606. [Google Scholar]
- Fraternali, F.; Ciancia, V.; Chechile, R.; Rizzano, G.; Feo, L.; Incarnato, L. Experimental study of the thermo-mechanical properties of recycled PET fiber-reinforced concrete. Compos. Struct. 2011, 93, 2368–2374. [Google Scholar] [CrossRef]
- Brandt, A.M. Fibre reinforced cement-based (FRC) composites after over 40 years of development in building and civil engineering. Compos. Struct. 2008, 86, 3–9. [Google Scholar] [CrossRef]
- Zanuy, C.; Ulzurrún, G.S.D. Rate effects of fiber-reinforced concrete specimens in impact regime. Procedia Eng. 2017, 193, 501–508. [Google Scholar] [CrossRef]
- Wang, S.; Zhang, M.-H.; Quek, S.T. Mechanical behavior of fiber-reinforced high-strength concrete subjected to high strain-rate compressive loading. Constr. Build. Mater. 2012, 31, 1–11. [Google Scholar] [CrossRef]
- Wu, Z.; Shi, C.; He, W.; Wang, D. Static and dynamic compressive properties of ultrahigh performance concrete (UHPC) with hybrid steel fiber reinforcements. Cem. Concr. Compos. 2017, 79, 148–157. [Google Scholar] [CrossRef]
- Kruszka, L.; Moćko, W.; Fenu, L.; Cadoni, E. Comparative experimental study of dynamic compressive strength of mortar with glass and basalt fibres. EPJ Web Conf. 2015, 94, 5008. [Google Scholar] [CrossRef][Green Version]
- Hao, Y.; Hao, H. Dynamic compressive behaviour of spiral steel fibre reinforced concrete in split Hopkinson pressure bar tests. Constr. Build. Mater. 2013, 48, 521–532. [Google Scholar] [CrossRef]
- Diamond, S. Considerations in image analysis as applied to investigations of the ITZ in concrete. Cem. Concr. Compos. 2001, 23, 171–178. [Google Scholar] [CrossRef]
- Mukharjee, B.B.; Barai, S.V. Influence of nano-silica on the properties of recycled aggregate concrete. Constr. Build. Mater. 2014, 55, 29–37. [Google Scholar] [CrossRef]
- Glinicki, M.A.; Litorowicz, A. Crack system evaluation in concrete elements at mesoscale. Bull. Pol. Acad. Sci. Tech. Sci. 2006, 54, 371–379. [Google Scholar]
- Golewski, L.G. Evaluation of morphology and size of cracks of the Interfacial Transition Zone (ITZ) in concrete containing fly ash (FA). J. Hazard. Mater. 2018, 357, 298–304. [Google Scholar] [CrossRef] [PubMed]
- Barnat-Hunek, D.; Szymańska-Chargot, M.; Jarosz-Hadam, M.; Łagód, G. Effect of cellulose nanofibrils and nanocrystals on physical properties of concrete. Constr. Build. Mater. 2019, 223, 1–11. [Google Scholar] [CrossRef]
- Angst, U.M.; Geiker, M.R.; Michel, A.; Gehlen, C.; Wong, H.; Isgor, O.B.; Elsener, B.; Hansson, C.M.; François, R.; Hornbostel, K. The steel-concrete interface. Mater. Struct. 2017, 50. [Google Scholar] [CrossRef]
- Lo, T.; Cui, H. Effect of porous lightweight aggregate on strength of concrete. Mater. Lett. 2004, 58, 916–919. [Google Scholar] [CrossRef]
- Mehta, P. Concrete: Structure, Properties, and Materials; Prentice Hall: Englewood Cliffs, NJ, USA, 1986. [Google Scholar]
- Smarzewski, P.; Barnat-Hunek, D. Mechanical and durability related properties of high performance concrete made with coal cinder and waste foundry sand. Constr. Build. Mater. 2016, 121, 9–17. [Google Scholar] [CrossRef]























| Component | Unit | C0 | C1 | C2 | C3 |
|---|---|---|---|---|---|
| Portland cement CEM I 42.5 R | kg/m3 | 365 | 365 | 365 | 365 |
| Coarse aggregate 2–8 mm | kg/m3 | 480 | 480 | 480 | 480 |
| Coarse aggregate 8–16 mm | kg/m3 | 704 | 704 | 704 | 704 |
| Fine aggregate/sand 0–2 mm | kg/m3 | 710 | 710 | 710 | 710 |
| POF 15–20 mm | % m/v | 0 | 1 | 2 | 3 |
| kg/m3 | 0 | 14.3 | 28.6 | 42.9 | |
| Superplasticizer | L/m3 | 2.55 | 2.55 | 2.55 | 2.55 |
| Water | L/m3 | 165 | 165 | 165 | 165 |
| Ingredient | CaO | SiO2 | Al2O3 | Fe2O3 | MgO | Na2O | K2O | Na2Oeq |
|---|---|---|---|---|---|---|---|---|
| Content | 65.61 | 20.73 | 4.41 | 3.34 | 2.40 | 0.33 | 0.51 | 0.51 |
| Properties | Method | Properties | Method |
|---|---|---|---|
| Consistency of fresh mixture | EN 12350-3 [51] | Dynamic modulus of elasticity | ASTM C666 [52] ASTM C215-85 [53] |
| Density of mixtures | PN-EN 12350-6 [54] | Compressive strength | EN 12390-3 [55] |
| Bulk density | EN 12390-7:2019 [56] | Flexural tensile strength | EN 12390-5 [57] |
| Open porosity | PN-B-06250 [58] | Frost resistance | PN-B-06250 [58] |
| Water absorptivity | PN-B-06250 [58] | Splitting tensile strength | EN 12390-6:2001 [59] |
| Salt crystallization resistance | BS EN 12370:1999 [60] ASTM C215. A | Static modulus of elasticity | ASTM C469-02 02:2004 [61] |
| Parameter | C0 | C1 | C2 | C3 |
|---|---|---|---|---|
| Density of mixture (kg/m3) | 2590 | 2560 | 2450 | 2342 |
| CV | 3.4 | 2.6 | 3.7 | 4.1 |
| Consistency time (s) | 21 | 24 | 28 | 31 |
| CV | 1.0 | 0.3 | 1.0 | 0.5 |
| Class | V1 | V1 | V1 | V0 |
| Bulk density ρ (kg/m3) | 2536 | 2450 | 2319 | 2240 |
| CV | 2.3 | 2.3 | 2.1 | 2.2 |
| Open porosity (%) | 8.89 | 9.35 | 9.40 | 10.21 |
| CV | 0.5 | 0.5 | 0.6 | 0.7 |
| Water absorption (%) | 3.21 | 3.56 | 4.06 | 4.98 |
| CV | 0.60 | 0.54 | 0.23 | 0.31 |
| Parameter | C0 | C1 | C2 | C3 |
|---|---|---|---|---|
| Compressive strength (MPa) | 54.2 | 45.5 | 42.5 | 40.7 |
| CV | 5.3 | 5.1 | 6.1 | 4.1 |
| Flexural tensile strength (MPa) | 5.35 | 5.92 | 6.31 | 6.53 |
| CV | 1.5 | 0.75 | 0.76 | 0.81 |
| Splitting tensile strength (MPa) | 5.10 | 5.28 | 5.45 | 5.96 |
| CV | 0.77 | 0.71 | 0.43 | 0.89 |
| Frost resistance-mass loss after 180 cycles F-T (%) | 1.03 | 1.15 | 1.43 | 2.11 |
| CV | 0.09 | 0.09 | 0.02 | 0.23 |
| Salt crystallization resistance-loss mass after test (%) | 1.00 | 1.02 | 1.34 | 1.79 |
| CV | 0.03 | 0.04 | 0.07 | 0.08 |
| Static modulus of elasticity (GPa) | 12.93 | 12.26 | 11.34 | 10.91 |
| CV | 2.22 | 1.25 | 2.31 | 1.89 |
| Dynamic modulus of elasticity (GPa) | 15.47 | 14.92 | 13.65 | 13.12 |
| CV | 1.45 | 1.67 | 2.32 | 2.71 |
© 2020 by the authors. Licensee MDPI, Basel, Switzerland. This article is an open access article distributed under the terms and conditions of the Creative Commons Attribution (CC BY) license (http://creativecommons.org/licenses/by/4.0/).
Share and Cite
Suchorab, Z.; Franus, M.; Barnat-Hunek, D. Properties of Fibrous Concrete Made with Plastic Optical Fibers from E-Waste. Materials 2020, 13, 2414. https://doi.org/10.3390/ma13102414
Suchorab Z, Franus M, Barnat-Hunek D. Properties of Fibrous Concrete Made with Plastic Optical Fibers from E-Waste. Materials. 2020; 13(10):2414. https://doi.org/10.3390/ma13102414
Chicago/Turabian StyleSuchorab, Zbigniew, Małgorzata Franus, and Danuta Barnat-Hunek. 2020. "Properties of Fibrous Concrete Made with Plastic Optical Fibers from E-Waste" Materials 13, no. 10: 2414. https://doi.org/10.3390/ma13102414
APA StyleSuchorab, Z., Franus, M., & Barnat-Hunek, D. (2020). Properties of Fibrous Concrete Made with Plastic Optical Fibers from E-Waste. Materials, 13(10), 2414. https://doi.org/10.3390/ma13102414
