Failure Analysis of a Humeral Shaft Locking Compression Plate—Surface Investigation and Simulation by Finite Element Method
Abstract
1. Introduction
2. Materials and Methods
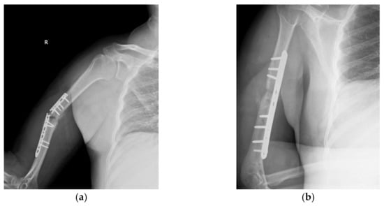
2.1. Clinical Details and Circumstances of Implant Failure
2.2. Structural Analysis Using FEM
2.3. Implant Retrieval and SEM Investigations
3. Results and Discussions
3.1. FEM Simulation
3.2. Implant Retrieval and Analysis
3.2.1. Fracture Surface Investigation by Optical Microscopy
3.2.2. Fracture Surface Investigation Using SEM
4. Conclusions
Author Contributions
Acknowledgments
Conflicts of Interest
Ethical Statement
References
- Konrad, G.; Bayer, J.; Hepp, P.; Voigt, C.; Oestern, H.; Kääb, M.; Luo, C.; Plecko, M.; Wendt, K.; Köstler, W.; Südkamp, N. Open reduction and internal fixation of proximal humeral fractures with use of the locking proximal humerus plate. Surgical technique. J. Bone Joint Surg. Am. 2010, 92, 85–95. [Google Scholar] [CrossRef]
- Pidhorz, L. Acute and chronic humeral shaft fractures in adults. Orthop. Traumatol. Surg. Res. 2015, 101, S41–S49. [Google Scholar] [CrossRef]
- Alexandru, L.; Haragus, H.; Deleanu, B.; Timar, B.; Poenaru, D.V.; Vlad, D.C. Haematology panel biomarkers for humeral, femoral, and tibial diaphyseal fractures. Int. Orthop. 2019, 43, 1–6. [Google Scholar] [CrossRef] [PubMed]
- Davidovitch, R. Fractures of the Humeral Shaft. Shoulder and Elbow, Decision Support in Medicine. Available online: https://www.cancertherapyadvisor.com/home/decision-support-in-medicine/shoulder-and-elbow/fractures-of-the-humeral-shaft/2017 (accessed on 21 March 2019).
- Kumar, V.; Rathinam, M. Fractures of the shaft of the humerus. J. Orthop. Trauma 2013, 27, 393–402. [Google Scholar] [CrossRef]
- Ramadani, F.; Härägus, H.; Radu, P.; Trieb, K.; Hofstaetter, S. Komplexe Rekonstruktionen mit winkelstabiler interner Plattenfixation bei Charcot-Arthropathie. Der Orthopäde 2015, 44, 33–38. [Google Scholar] [CrossRef] [PubMed]
- Burke, N.G.; Kennedy, J.; Green, C.; Dodds, M.K.; Mullett, H. Locking Plate Fixation for Proximal Humerus Fractures. Orthopedics 2012, 35, 250–254. [Google Scholar] [CrossRef] [PubMed][Green Version]
- Tarnita, D.; Tarnita, D.N.; Brizdoaca, N.; Tarnita, C.; Berceanu, C.; Boborelu, C. Modular adaptive bone plate for humerus bone osteosynthesis. Rom. J. Morphol. Embryol. 2009, 50, 447–452. [Google Scholar]
- Wali, M.G.; Baba, A.N.; Latoo, I.A.; Bhat, N.A.; Baba, O.K.; Sharma, S. Internal fixation of shaft humerus fractures by dynamic compression plate or interlocking intramedullary nail: A prospective, randomized study. Strateg. Trauma Limb Reconstr. 2014, 9, 133–140. [Google Scholar] [CrossRef] [PubMed]
- Calori, G.M.; Colombo, M.; Bucci, M.S.; Fadigati, P.; Colombo, A.I.M.; Mazzola, S.; Cefalo, V.; Mazza, E. Complications in proximal humeral fractures. Injury 2016, 47, S54–S58. [Google Scholar] [CrossRef] [PubMed]
- Pantalone, A.; Vanni, D.; Guelfi, M.; Abate, M.; Belluati, A.; Salini, V. From plate to nail: A case-report of proximal humerus non-union. Injury 2015, 46, S48–S50. [Google Scholar] [CrossRef]
- Deen, K.M.; Farooq, A.; Sadiqui, N.A. Diagnosing the cause of dynamic compression plate premature failure. Eng. Fail. Anal. 2013, 34, 350–357. [Google Scholar] [CrossRef]
- Clavert, P.; Adam, P.; Bevort, A.; Bonnomet, F.; Kempf, J.F. Pitfalls and complications with locking plate for proximal humerus fracture. J. Shoulder Elbow Surg. 2010, 19, 489–494. [Google Scholar] [CrossRef] [PubMed]
- Zhang, Y.K.; Wei, H.W.; Lin, K.P.; Chen, W.C.; Tsai, C.L.; Lin, K.J. Biomechanical effect of the configuration of screw hole style on locking plate fixation in proximal humerus fracture with a simulated gap: A finite element analysis. Injury 2016, 47, 1191–1195. [Google Scholar] [CrossRef] [PubMed]
- Wang, Z.-Y.; Wang, Q.-Y.; Cao, M. Experimental Study on Fatigue Behaviour of Shot-Peened Open-Hole Steel Plates. Materials 2017, 10, 996. [Google Scholar] [CrossRef] [PubMed]
- Wang, W.; Yuan, H.; Li, X.; Shi, P. Stress Concentration and Damage Factor Due to Central Elliptical Hole in Functionally Graded Panels Subjected to Uniform Tensile Traction. Materials 2019, 12, 422. [Google Scholar] [CrossRef] [PubMed]
- Gervais, B.; Vadean, A.; Raison, M.; Brochu, M. Failure analysis of a 316L stainless steel femoral orthopedic implant. Case Stud. Eng. Fail. Anal. 2016, 5–6, 30–38. [Google Scholar] [CrossRef]
- Marinescu, R.; Antoniac, V.I.; Stoia, D.I.; Laptoiu, D.C. Clavicle anatomical osteosynthesis plate breakage-failure analysis report based on patient morphological parameters. Rom. J. Morphol. Embryol. 2017, 58, 593–598. [Google Scholar]
- Eliaz, N. Corrosion of Metallic Biomaterials: A Review. Materials 2019, 12, 407. [Google Scholar] [CrossRef]
- Magu, N.K.; Gogna, P.; Singh, A.; Singla, R.; Rohilla, R.; Batra, A. Long-term results after surgical management of posterior wall acetabular fractures. J. Orthop. Traumatol. 2014, 15, 173–179. [Google Scholar] [CrossRef]
- Ina, J.; Vallentyne, M.; Hamandi, F.; Shugart, K.; Boin, M.; Laughlin, R.; Goswami, T. Failure Analysis of PHILOS Plate Construct Used for Pantalar Arthrodesis Paper I—Analysis of the Plate. Metals 2018, 8, 180. [Google Scholar] [CrossRef]
- Hamandi, F.; Laughlin, R.; Goswami, T. Failure Analysis of PHILOS Plate Construct Used for Pantalar Arthrodesis Paper II—Screws and FEM Simulations. Metals 2018, 8, 279. [Google Scholar] [CrossRef]
- Tarnita, D.; Boborelu, C.; Popa, D.; Tarnita, C.; Rusu, L. The three-dimensional modeling of the complex virtual human elbow joint. Rom. J. Morphol. Embryol. 2010, 51, 489–495. [Google Scholar] [PubMed]
- Toth-Tascau, M.; Stoia, D.I. Modeling and numerical analysis of a cervical spine unit. In Biologically Responsive Biomaterials for Tissue Engineering; Antoniac, I.V., Ed.; Springer: New York, NY, US, 2013; Volume 1. [Google Scholar] [CrossRef]
- Dempster, W.T. Space Requirements of the Seated Operator: Geometrical, Kinematic, and Mechanical Aspects of the Body, with Special Reference to the Limbs; WADC Technical Report; University of Michigan: Ann Arbor, MI, USA, 1955; pp. 57–203. [Google Scholar]
- Veeger, H.E.J.; Van der Helm, F.C.T.; Van der Woude, L.H.V.; Pronk, G.M.; Rozendal, R.H. Inertia and muscle contraction parameters for musculoskeletal modelling of the shoulder mechanism. J. Biomech. 1991, 24, 615–629. [Google Scholar] [CrossRef]
- Maurel, W.; Thalmann, D.; Hoffmeyer, P.; Beylor, P.; Gingins, P.; Kalra, N.; Thalmann, N.M. A Biomechanical Musculoskeletal Model of Human Upper Limb for Dynamic Simulation. In Computer Animation and Simulation ’96; Boulic, R., Hégron, G., Eds.; Springer: Vienna, Austria, 1996; pp. 121–136. [Google Scholar] [CrossRef]
- Gautier, E.; Sommer, C. Guidelines for the clinical application of the LCP. Injury 2003, 34, 63–76. [Google Scholar] [CrossRef]
- ASM Aerospace Specification Metals Inc. Available online: http://asm.matweb.com/search/SpecificMaterial.asp?bassnum=MTU030 (accessed on 22 October 2018).
- Boyer, R.; Welsch, G.; Collings, E.W. Materials Properties Handbook: Titanium Alloys; ASM International: Materials Park, OH, USA, 1994; p. 1169. ISBN 978-0-87170-481-8. [Google Scholar]
- Pal, S. Mechanical Properties of Biological Materials. In Design of Artificial Human Joints & Organs; Springer: Boston, MA, USA, 2014. [Google Scholar] [CrossRef]
- Meyers, M.A.; Chen, P.Y.; Lin, A.Y.; Seki, Y. Biological materials: Structure and mechanical properties. Prog. Mater. Sci. 2008, 53, 1–206. [Google Scholar] [CrossRef]
- Wang, X.; Nyman, J.S.; Dong, X.; Leng, H.; Reyes, M. Mechanical Behavior of Bone. In Fundamental Biomechanics in Bone Tissue Engineering; Morgan & Claypool Publishers: London, UK, 2010; pp. 75–108. [Google Scholar]
- Hoffmeister, B.K.; Smith, S.R.; Handley, S.M.; Rho, J.Y. Anisotropy of Young’s modulus of human tibial cortical bone. Med. Biol. Eng. Comput. 2000, 38, 333–338. [Google Scholar] [CrossRef] [PubMed]
- Kemper, A.R.; Stitzel, J.D.; McNally, C.; Gabler, H.C.; Duma, S.M. Biomechanical Response of the Human Clavicle: The Effects of Loading Direction on Bending Properties. J. Appl. Biomech. 2009, 25, 165–174. [Google Scholar] [CrossRef][Green Version]
- Ansys Workbench 2013; Material property database; ANSYS Inc.: Canonsburg, PA, USA, 2018.
- Janeček, M.; Nový, F.; Harcuba, P.; Stráský, J.; Trško, L.; Mhaede, M.; Wagner, L. The Very High Cycle Fatigue Behavior of Ti-6Al-4V Alloy. Acta. Physica Polonica A 2015, 128, 497–502. [Google Scholar]
- Narayan, R.; Burt, V.; Lampman, S.; Marken, K.; Marquard, E.; Riley, B. ASM Handbook. Materials for Medical Devices; ASM International: Materials Park, OH, USA, 2012; Volume 23. [Google Scholar]
- Donachie, M.J. Titanium: A Technical Guide, 2nd ed.; ASM International: Materials Park, OH, USA, 2000; pp. 104–108. [Google Scholar]
- Chen, L.; He, H.; Li, Y.-M.; Li, T.; Guo, X.P.; Wang, R.F. Finite Element Analysis of the Stress at Implant-Bone Interface of Dental Implants with Different Structures. T. Nonferr. Metal Soc. 2011, 21, 1602–1610. [Google Scholar] [CrossRef]
- Kim, W.H.; Song, E.S.; Ju, K.W.; Lee, J.-H.; Kim, M.Y.; Lim, D.; Kim, B. Finite Element Analysis of Novel Separable Fixture for Easy Retrievement in Case with Peri-Implantitis. Materials 2019, 12, 235. [Google Scholar] [CrossRef]
- Tarnita, D.; Popa, D.; Tarnita, D.N.; Grecu, D. CAD method for three-dimensional model of the tibia bone and study of stresses using the finite element method. Rom. J. Morphol. Embryol. 2006, 47, 181–186. [Google Scholar]
- Marsavina, L.; Tomlinson, R.A. A review of using thermoelasticity for structural integrity assessment. Frattura ed IntegritàStrutturale 2014, 8, 13–20. [Google Scholar] [CrossRef]
- Saunders, E.A.; Chapman, C.P.; Walker, A.R.M.; Lindley, T.C.; Chater, R.J.; Vorontsov, V.A.; Rugg, D.; Dye, D. Understanding the “blue spot”: Sodium chloride hot salt stress-corrosion cracking in titanium-6246 during fatigue testing at low pressure. Eng. Fail. Anal. 2016, 61, 2–20. [Google Scholar] [CrossRef]
- Thapa, N.; Prayson, M.; Goswami, T. A failure study of a locking compression plate implant. Eng. Fail. Anal. 2015, 3, 68–72. [Google Scholar] [CrossRef]
- Sadowski, T.; Marsavina, L.; Peride, N.; Craciun, E.M. Cracks propagation and interaction in an orthotropic elastic material: Analytical and numerical methods. Comp. Mater. Sci. 2009, 46, 687–693. [Google Scholar] [CrossRef]
- Bathini, U.; Srivatsan, T.S.; Patnaik, A.K.; Menzemer, C.C. Mechanisms Governing Fatigue, Damage, and Fracture of Commercially Pure Titanium for Viable Aerospace Applications. J. Aerosp. Eng. 2011, 24, 415–424. [Google Scholar] [CrossRef]
- Tolat, A.R.; Amis, A.; Crofton, S.; Sinha, J. Failure of humeral fracture fixation plate in a young patient using the Philos system: Case report. J. Shoulder Elb. Surg. 2006, 15, 44–51. [Google Scholar] [CrossRef]
- Kanchanomai, C.; Phiphobmongkoi, V.; Muarjan, P. Fatigue failure of an orthopedic implant—A locking compression plate. Eng. Fail. Anal. 2008, 15, 521–530. [Google Scholar] [CrossRef]
- Nukui, Y.; Kubozono, H.; Kikuchi, S.; Nakai, Y.; Ueno, A.; K, M.O.; Smeyama, K. Fractographic analysis of fatigue crack initiation and propagation in CP titanium with a bimodal harmonic structure. Mat. Sci. Eng. A 2018, 716, 228–234. [Google Scholar] [CrossRef]
- Azevedo, C.R.F.; dos Santos, A.P. Environmental effects during fatigue testing: Fractographic observation of commercially pure titanium plate for cranio-facial fixation. Eng. Fail. Anal. 2003, 10, 431–442. [Google Scholar] [CrossRef]



















| Loading Scenario | Movement Tendency | Muscle Activation | Loadings Fm, Mt | Force/Moment Insertion | Fixed Support |
|---|---|---|---|---|---|
| I | Humerus flexion | Anterior deltoid | 130; 390; 650; 1040; 1300 (N) | Deltoid tuberosity of humerus (YoZ) | Humeral head |
| II | Humerus abduction | Middle deltoid | 130; 390; 650; 1040; 1300 (N) | Deltoid tuberosity of humerus (XoZ) | Humeral head |
| III | Humerus rotation | Rotator cuff + anterior and posterior deltoid | 1; 2; 3; 4; 5 (N·m) | Long. axis of humerus (Z) | Humeral head |
| IV | Extension/flexion | Biceps/triceps –joint reaction | 10; 30; 50; 100; 200 (N) | Distal head of humerus (YoZ) | Humeral head |
| Assembly Parts | Elements | Nodes |
|---|---|---|
| LCP | 19,122 | 35,662 |
| Proximal humerus | 31,875 | 52,012 |
| Distal humerus | 29,916 | 50,408 |
| Locking screw | 1181 | 2284 |
| Compression screw | 1941 | 3693 |
| Properties | Humerus Bone [31,32] | Titanium CP [29,30] |
|---|---|---|
| Young Modulus in tension | 15.3 GPa (equivalent) | 105 GPa |
| Poisson’s Ratio | 0.31 | 0.37 |
| Density | 1.85 g/cm3 | 4.51 g/cm3 |
| Compressive Yield Strength | - | 450 MPa |
| Tensile Strength, Yield | - | 377–520 MPa |
| Tensile Strength, Ultimate | - | 440 MPa |
| Elongation to Break | - | 18% |
| Reduction of Area | - | 35% |
| Loading Scenario I (Humerus Flexion) | |||||
| Force (N) | 130 | 390 | 650 | 1040 | 1300 |
| Cycles to failure | >2.0 × 107 | 2.0 × 107 | 6.8 × 106 | 7.1 × 104 | 0 |
| Loading Scenario II (Humerus Abduction) | |||||
| Force (N) | 130 | 390 | 650 | 1040 | 1300 |
| Cycles to failure | >2.0 × 107 | >2.0 × 107 | >2.0 × 107 | >2.0 × 107 | 2.0 × 107 |
| Loading Scenario III (Humerus Rotation) | |||||
| Torque (N·m) | 1.0 | 2.0 | 3.0 | 4.0 | 5.0 |
| Cycles to failure | >2.0 × 107 | >2.0 × 107 | >2.0 × 107 | 1.3 × 107 | 6.8 × 105 |
| Loading Scenario IV (Extension-Flexion) | |||||
| Force (N) | 10 | 30 | 50 | 100 | 200 |
| Cycles to failure | >2.0 × 107 | >2.0 × 107 | 2.0 × 107 | 2.0 × 106 | 0 |
© 2019 by the authors. Licensee MDPI, Basel, Switzerland. This article is an open access article distributed under the terms and conditions of the Creative Commons Attribution (CC BY) license (http://creativecommons.org/licenses/by/4.0/).
Share and Cite
Antoniac, I.V.; Stoia, D.I.; Ghiban, B.; Tecu, C.; Miculescu, F.; Vigaru, C.; Saceleanu, V. Failure Analysis of a Humeral Shaft Locking Compression Plate—Surface Investigation and Simulation by Finite Element Method. Materials 2019, 12, 1128. https://doi.org/10.3390/ma12071128
Antoniac IV, Stoia DI, Ghiban B, Tecu C, Miculescu F, Vigaru C, Saceleanu V. Failure Analysis of a Humeral Shaft Locking Compression Plate—Surface Investigation and Simulation by Finite Element Method. Materials. 2019; 12(7):1128. https://doi.org/10.3390/ma12071128
Chicago/Turabian StyleAntoniac, Iulian Vasile, Dan Ioan Stoia, Brandusa Ghiban, Camelia Tecu, Florin Miculescu, Cosmina Vigaru, and Vicentiu Saceleanu. 2019. "Failure Analysis of a Humeral Shaft Locking Compression Plate—Surface Investigation and Simulation by Finite Element Method" Materials 12, no. 7: 1128. https://doi.org/10.3390/ma12071128
APA StyleAntoniac, I. V., Stoia, D. I., Ghiban, B., Tecu, C., Miculescu, F., Vigaru, C., & Saceleanu, V. (2019). Failure Analysis of a Humeral Shaft Locking Compression Plate—Surface Investigation and Simulation by Finite Element Method. Materials, 12(7), 1128. https://doi.org/10.3390/ma12071128

