Polylactide-Based Stent Coatings: Biodegradable Polymeric Coatings Capable of Maintaining Sustained Release of the Thrombolytic Enzyme Prourokinase
Abstract
1. Introduction
2. Materials and Methods
2.1. Polylactide Membrane Preparation
2.2. Examination of Mechanical Properties of Polylactide Films
2.3. Release of Prourokinase from Polylactide Films and Dissolution of the Polymer
2.4. Determination of the Proteolytic Activity of Prourokinase
2.5. Cell Culture Studies
2.6. Experimental Animals
2.7. Implantation Tests
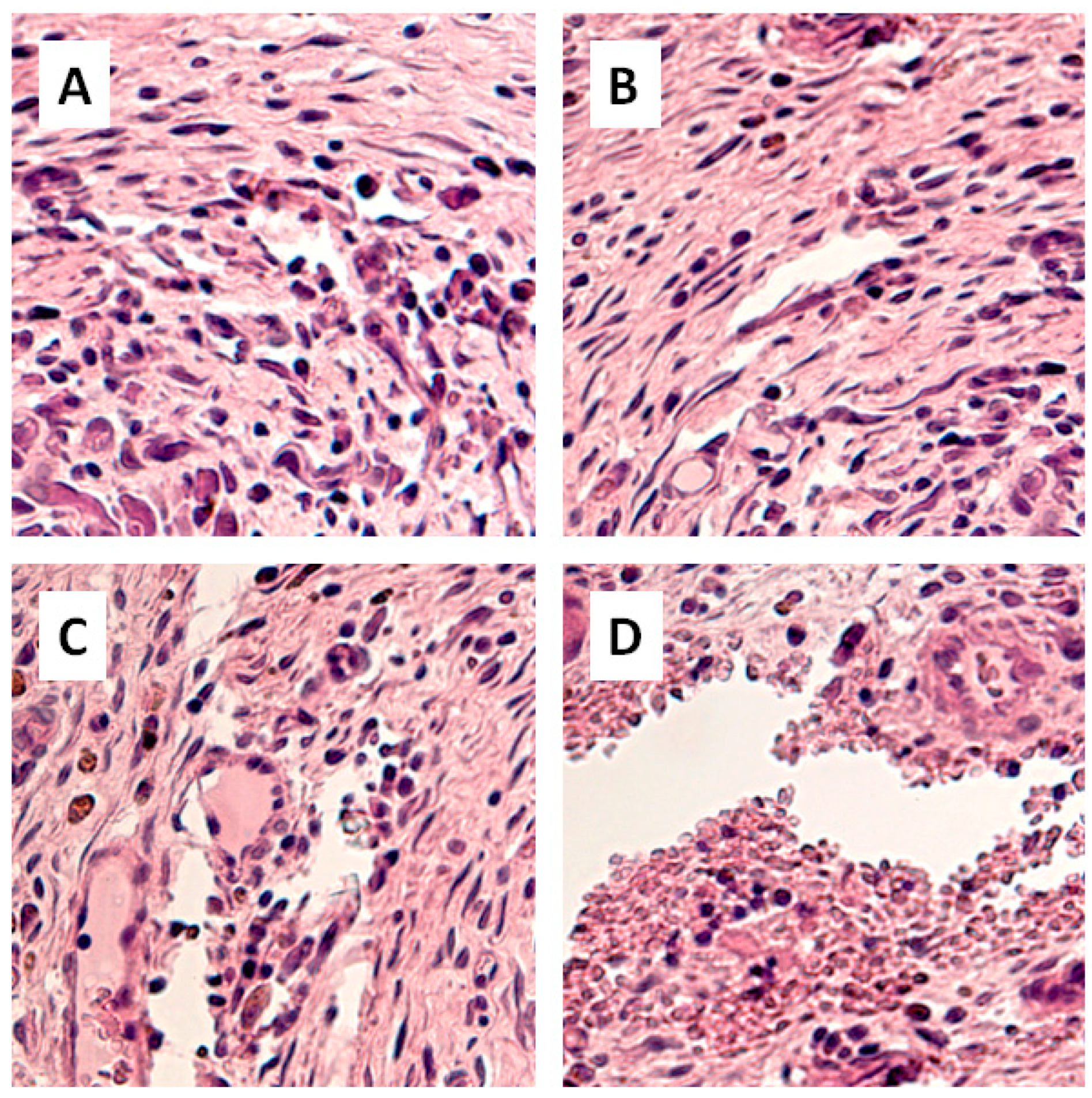
3. Results
4. Discussion
Author Contributions
Funding
Conflicts of Interest
References
- Doppalapudi, S.; Jain, A.; Domb, A.J.; Khan, W. Biodegradable polymers for targeted delivery of anti-cancer drugs. Expert Opin. Drug Deliv. 2016, 13, 891–909. [Google Scholar] [CrossRef] [PubMed]
- Echeverry-Rendon, M.; Allain, J.P.; Robledo, S.M.; Echeverria, F.; Harmsen, M.C. Coatings for biodegradable magnesium-based supports for therapy of vascular disease: A general view. Mater. Sci. Eng. C Mater. Biol. Appl. 2019, 102, 150–163. [Google Scholar] [CrossRef] [PubMed]
- Lanckohr, C.; Torsello, G.; Scheld, H.; Schieffer, B.; Theilmeier, G. Drug-eluting stents and perioperative risk—More than matters of the heart? Vasa 2012, 41, 410–418. [Google Scholar] [CrossRef] [PubMed]
- García-Gareta, E.; Davidson, C.; Levin, A.; Coathup, M.J.; Blunn, G.W. Biofilm formation in total hip arthroplasty: Prevention and treatment. RSC Adv. 2016, 6, 80244–80261. [Google Scholar] [CrossRef]
- Harvey, A.G.; Hill, E.W.; Bayat, A. Designing implant surface topography for improved biocompatibility. Expert Rev. Med. Devices 2013, 10, 257–267. [Google Scholar] [CrossRef]
- Peres, C.; Matos, A.I.; Conniot, J.; Sainz, V.; Zupančič, E.; Silva, J.M.; Graça, L.; Sá Gaspar, R.; Préat, V.; Florindo, H.F. Poly(lactic acid)-based particulate systems are promising tools for immune modulation. Acta Biomater. 2017, 48, 41–57. [Google Scholar] [CrossRef]
- Guang-Xin, C.; Hun-Sik, K.; Eung-Soo, K.; Jin-San, Y. Synthesis of high-molecular-weight poly(l-lactic acid) through the direct condensation polymerization of l-lactic acid in bulk state. Eur. Polym. J. 2006, 42, 468–472. [Google Scholar] [CrossRef]
- Singhvi, M.S.; Zinjarde, S.S.; Gokhale, D.V. Polylactic acid: Synthesis and biomedical applications. J. Appl. Microbiol. 2019. [Google Scholar] [CrossRef]
- Grigoras, A.G. Polymer-lipid hybrid systems used as carriers for insulin delivery. Nanomedicine 2017, 13, 2425–2437. [Google Scholar] [CrossRef]
- Gai, M.; Li, W.; Frueh, J.; Sukhorukov, G.B. Polylactic acid sealed polyelectrolyte complex microcontainers for controlled encapsulation and NIR-Laser based release of cargo. Colloids Surf. B Biointerfaces 2019, 173, 521–528. [Google Scholar] [CrossRef]
- Liang, C.; Ristic, R.; Jiranek, V.; Jeffery, D.W. Chemical and Sensory Evaluation of Magnetic Polymers as a Remedial Treatment for Elevated Concentrations of 3-Isobutyl-2-methoxypyrazine in Cabernet Sauvignon Grape Must and Wine. J. Agric. Food Chem. 2018, 66, 7121–7130. [Google Scholar] [CrossRef] [PubMed]
- Ruiz-Ruiz, F.; Mancera-Andrade, E.I.; Parra-Saldivar, R.; Keshavarz, T.; Iqbal, H.M.N. Drug Delivery and Cosmeceutical Applications of Poly- Lactic Acid Based Novel Constructs—A Review. Curr. Drug Metab. 2017, 18, 914–925. [Google Scholar] [CrossRef] [PubMed]
- Mäkelä, P.; Pohjonen, T.; Törmälä, P.; Waris, T.; Ashammakhi, N. Strength retention properties of self-reinforced poly L-lactide (SR-PLLA) sutures compared with polyglyconate (Maxon) and polydioxanone (PDS) sutures. An in vitro study. Biomaterials 2002, 23, 2587–2592. [Google Scholar] [CrossRef]
- Sadick, N.S. Poly-L-lactic acid: A perspective from my practice. J. Cosmet. Dermatol. 2008, 7, 55–60. [Google Scholar] [CrossRef]
- Brockmeyer, P.; Krohn, S.; Thiemann, C.; Schulz, X.; Kauffmann, P.; Tröltzsch, M.; Schlottig, F.; Schliephake, H.; Gruber, R.M. Primary stability and osseointegration of dental implants in polylactide modified bone—A pilot study in Goettingen minipigs. J. Cranio maxillofac. Surg. 2016, 44, 1095–1103. [Google Scholar] [CrossRef]
- Tyler, B.; Gullotti, D.; Mangraviti, A.; Utsuki, T.; Brem, H. Polylactic acid (PLA) controlled delivery carriers for biomedical applications. Adv. Drug Deliv. Rev. 2016, 107, 163–175. [Google Scholar] [CrossRef]
- Oda, M.; Shiraishi, A.; Hasegawa, M. Analysis of the ternary complex formation of human urokinase with the separated two domains of its receptor. Eur. J. Biochem. 1998, 256, 411–418. [Google Scholar] [CrossRef]
- Furlan, A.; Higashida, R.; Wechsler, L. Intra-arterial prourokinase for acute ischemic stroke: The PROACT II study; a randomized controlled trial. Prolyse in Acute Cerebral Thromboembolism. JAMA 1999, 282, 2003–2011. [Google Scholar] [CrossRef]
- Sevost’yanov, M.A.; Fedotov, A.Y.; Nasakina, E.O.; Teterina, A.Y.; Baikin, A.S.; Sergienko, K.V.; Kolmakov, A.G.; Komlev, V.S.; Ivanov, V.E.; Karp, O.E.; et al. Kinetics of the release of antibiotics from chitosan-based biodegradable biopolymer membranes. Dokl. Chem. 2015, 465, 278–280. [Google Scholar] [CrossRef]
- Wolf, B.B.; Vasudevan, J.; Henkin, J.; Gonias, S.L. Nerve growth factor-gamma activates soluble and receptor-bound single chain urokinase-type plasminogen activator. J. Biol. Chem. 1993, 268, 16327–16331. [Google Scholar]
- Biedler, J.L.; Roffler-Tarlov, S.; Schachner, M.; Freedman, L.S. Multiple neurotransmitter synthesis by human neuroblastoma cell lines and clones. Cancer Res. 1978, 38, 3751–3757. [Google Scholar] [PubMed]
- Chernov, A.S.; Reshetnikov, D.A.; Kovalitskaya, Y.A.; Manokhin, A.A.; Gudkov, S.V. Influence of wideband visible light with an padding red component on the functional state of mice embryos and embryonic stem cells. J. Photochem. Photobiol. B. 2018, 188, 77–86. [Google Scholar] [CrossRef] [PubMed]
- Sevostyanov, M.A.; Baikin, A.S.; Shatova, L.A.; Nasakina, E.O.; Berezhnov, A.V.; Gudkov, S.V.; Sergienko, K.V.; Konushkin, S.V.; Baskakova, M.I.; Kolmakov, A.G. Biocompatibility of the Ti81Nb13Ta3Zr3 Alloy. Dokl. Chem. 2018, 482, 204–206. [Google Scholar] [CrossRef]
- Lee, C.H.; Vyavahare, N.; Zand, R.; Kruth, H.; Schoen, F.J.; Bianco, R.; Levy, R.J. Inhibition of aortic wall calcification in bioprosthetic heart valves by ethanol pretreatment: Biochemical and biophysical mechanisms. J. Biomed. Mater. Res. 1998, 42, 30–37. [Google Scholar] [CrossRef]
- Sevost’yanov, M.A.; Nasakina, E.O.; Baikin, A.S.; Sergienko, K.V.; Konushkin, S.V.; Kaplan, M.A.; Seregin, A.V.; Leonov, A.V.; Kozlov, V.A.; Shkirin, A.V.; et al. Biocompatibility of new materials based on nano-structured nitinol with titanium and tantalum composite surface layers: Experimental analysis in vitro and in vivo. J. Mater. Sci. Mater. Med. 2018, 29, 33. [Google Scholar] [CrossRef]
- Treloar, L.R.G. Physics of Rubber Elasticity; Oxford University Press: Oxford, UK, 1975; ISBN 9780198570271. [Google Scholar]
- Sevostyanov, M.A.; Baikin, A.S.; Nasakina, E.O.; Sergienko, K.V.; Kaplan, M.A.; Leonov, A.V.; Kolmakova, A.A.; Danilova, E.A.; Shatova, L.A.; Leonova, N.P. Study of the effect of the introduction of heparin on the mechanical properties of polylactide. IOP Conf. Ser. Mater. Sci. Eng. 2019, 525, 012098. [Google Scholar] [CrossRef]
- Bolbasov, E.N.; Maryin, P.V.; Stankevich, K.S.; Kozelskaya, A.I.; Shesterikov, E.V.; Khodyrevskaya, Y.I.; Nasonova, M.V.; Shishkova, D.K.; Kudryavtseva, Y.A.; Anissimov, Y.G.; et al. Surface modification of electrospun poly-(l-lactic) acid scaffolds by reactive magnetron sputtering. Colloids Surf. B Biointerfaces 2018, 162, 43–51. [Google Scholar] [CrossRef]
- Baikin, A.S.; Sevostyanov, M.A.; Nasakina, E.O.; Sergienko, K.V.; Kaplan, M.A.; Konushkin, S.V.; Kolmakova, A.A.; Yakubov, A.D.; Kolmakov, A.G. Investigation of the influence of the composition on mechanical properties of polylactide. IOP Conf. Ser. Mater. Sci. Eng. 2018, 347, 012026. [Google Scholar] [CrossRef]
- Ozdemir, E.; Hacaloglu, J. Thermal degradation of Polylactide/Poly(ethylene glycol) fibers and composite fibers involving organoclay. J. Anal. Appl. Pyrolysis 2018, 129, 181–188. [Google Scholar] [CrossRef]
- Lemmouchi, Y.; Schacht, E.; Lootens, C. In vitro release of trypanocidal drugs from biodegradable implants based on poly(epsilon-caprolactone) and poly(D.,L-lactide). J. Control Release 1998, 55, 79–85. [Google Scholar] [CrossRef]
- Du, J.; Dong, H.; Liao, L.; Liu, L. New superamolecular polymer micelles of α-cyclodextrin and poly(l-lactide), poly (l-lactide)/poly (ε-caprolactone) copolymer. J. Control Release 2011, 152, e17–e18. [Google Scholar] [CrossRef] [PubMed]
- Zhang, X.; Yang, L.; Zhang, C.; Liu, D.; Meng, S.; Zhang, W.; Meng, S. Effect of Polymer Permeability and Solvent Removal Rate on In Situ Forming Implants: Drug Burst Release and Microstructure. Pharmaceutics 2019, 11, 520. [Google Scholar] [CrossRef] [PubMed]
- Garvin, K.; Feschuk, C. Polylactide-polyglycolide antibiotic implants. Clin. Orthop. Relat. Res. 2005, 437, 105–110. [Google Scholar] [CrossRef] [PubMed]
- Ramot, Y.; Haim-Zada, M.; Domb, A.J.; Nyska, A. Biocompatibility and safety of PLA and its copolymers. Adv. Drug Deliv. Rev. 2016, 107, 153–162. [Google Scholar] [CrossRef] [PubMed]
- Harrigan, M.R.; Deveikis, J.P. Treatment of Acute Ischemic Stroke. In Handbook of Cerebrovascular Disease and Neurointerventional Technique; Humana Press: Totowa, NJ, USA, 2018; pp. 431–500. [Google Scholar]
- Marian, B.; Harvey, S.; Infante, D.; Markus, G.; Winawer, S.; Friedman, E. Urokinase secretion from human colon carcinomas induced by endogenous diglycerides. Cancer Res. 1990, 50, 2245–2250. [Google Scholar] [PubMed]
- Kim, J.S.; Kang, J.K.; Chang, H.C.; Lee, M.; Kim, G.S.; Lee, D.K. The thrombolytic effect of lumbrokinase is not as potent as urokinase in a rabbit cerebral embolism model. J. Korean Med. Sci. 1993, 8, 117–120. [Google Scholar] [CrossRef]











© 2019 by the authors. Licensee MDPI, Basel, Switzerland. This article is an open access article distributed under the terms and conditions of the Creative Commons Attribution (CC BY) license (http://creativecommons.org/licenses/by/4.0/).
Share and Cite
Baikin, A.S.; Kolmakov, A.G.; Shatova, L.A.; Nasakina, E.O.; Sharapov, M.G.; Baymler, I.V.; Gudkov, S.V.; Sevostyanov, M.A. Polylactide-Based Stent Coatings: Biodegradable Polymeric Coatings Capable of Maintaining Sustained Release of the Thrombolytic Enzyme Prourokinase. Materials 2019, 12, 4107. https://doi.org/10.3390/ma12244107
Baikin AS, Kolmakov AG, Shatova LA, Nasakina EO, Sharapov MG, Baymler IV, Gudkov SV, Sevostyanov MA. Polylactide-Based Stent Coatings: Biodegradable Polymeric Coatings Capable of Maintaining Sustained Release of the Thrombolytic Enzyme Prourokinase. Materials. 2019; 12(24):4107. https://doi.org/10.3390/ma12244107
Chicago/Turabian StyleBaikin, Alexander S., Alexey G. Kolmakov, Lyudmila A. Shatova, Elena O. Nasakina, Mars G. Sharapov, Ilya V. Baymler, Sergey V. Gudkov, and Mikhail A. Sevostyanov. 2019. "Polylactide-Based Stent Coatings: Biodegradable Polymeric Coatings Capable of Maintaining Sustained Release of the Thrombolytic Enzyme Prourokinase" Materials 12, no. 24: 4107. https://doi.org/10.3390/ma12244107
APA StyleBaikin, A. S., Kolmakov, A. G., Shatova, L. A., Nasakina, E. O., Sharapov, M. G., Baymler, I. V., Gudkov, S. V., & Sevostyanov, M. A. (2019). Polylactide-Based Stent Coatings: Biodegradable Polymeric Coatings Capable of Maintaining Sustained Release of the Thrombolytic Enzyme Prourokinase. Materials, 12(24), 4107. https://doi.org/10.3390/ma12244107

