The Effect of Bisphasic Calcium Phosphate Block Bone Graft Materials with Polysaccharides on Bone Regeneration
Abstract
:1. Introduction
2. Materials and Methods
2.1. Materials
2.2. Physical Characterization
2.2.1. Scanning Electron Microscope Surface Analysis
2.2.2. Compressive Strength Analysis
2.2.3. In Vitro Cell Test; Assessment of Cytotoxicity
2.2.4. Statistical Analysis
2.3. In Vivo Experiments
2.3.1. Experimental Animals
2.3.2. Surgical Procedure
2.3.3. Postoperative Care and Sacrifice
2.3.4. Micro-Computed Tomography Analysis
2.3.5. Histomorphometric Analysis
2.3.6. Statistical Analysis
3. Results
3.1. Physical Characterization
3.1.1. Scanning Electron Microscope Surface Analysis
3.1.2. Compressive Strength Analysis
3.1.3. In Vitro Assessment of Cytotoxicity
3.2. In Vivo Results
3.2.1. Clinical Findings
3.2.2. Micro-Computed Tomography Findings
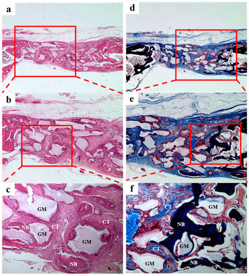
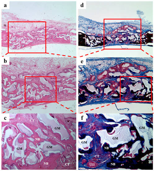
3.2.3. Histologic Findings
3.2.4. Histometric Findings
4. Discussion
5. Conclusions
Acknowledgments
Author Contributions
Conflicts of Interest
References
- Liu, J.; Kerns, D.G. Mechanisms of guided bone regeneration: A review. Open Dent. J. 2014, 8, 56–65. [Google Scholar] [CrossRef] [PubMed]
- Bernhardt, A.; Lode, A.; Peters, F.; Gelinsky, M. Comparative evaluation of different calcium phosphate-based bone graft granules—An in vitro study with osteoblast-like cells. Clin. Oral Implants Res. 2013, 24, 441–449. [Google Scholar] [CrossRef] [PubMed]
- Yip, I.; Ma, L.; Mattheos, N.; Dard, M.; Lang, N.P. Defect healing with various bone substitutes. Clin. Oral Implants Res. 2015, 26, 606–614. [Google Scholar] [CrossRef] [PubMed]
- Elliot, J.C. Structure and Chemistry of the Apatites and Other Calcium Orthophosphates, 1st ed.; Elsevier: Amsterdam, The Netherlands, 1994. [Google Scholar]
- Misch, C.E.; Dietsh, F. Bone-grafting materials in implant dentistry. Implant Dent. 1993, 2, 158–167. [Google Scholar] [CrossRef] [PubMed]
- Holmes, R.E.; Bucholz, R.W.; Mooney, V. Porous hydroxyapatite as a bone graft substitute in diaphyseal defects: A histometric study. J. Orthop. Res. 1987, 5, 114–121. [Google Scholar] [CrossRef] [PubMed]
- Barralet, J.; Akao, M.; Aoki, H.; Aoki, H. Dissolution of dense carbonate apatite subcutaneously implanted in Wistar rats. J. Biomed. Mater. Res 2000, 49, 176–182. [Google Scholar] [CrossRef]
- Jensen, S.S.; Broggini, N.; Hjørting-Hansen, E.; Schenk, R.; Buser, D. Bone healing and graft resorption of autograft, anorganic bovine bone and beta-tricalcium phosphate. A histologic and histomorphometric study in the mandibles of minipigs. Clin. Oral Implants Res. 2006, 17, 237–243. [Google Scholar] [CrossRef] [PubMed]
- Knowles, J.C. Phosphate based glasses for biomedical applications. J. Mater. Chem. 2003, 13, 2395–2401. [Google Scholar] [CrossRef]
- Greenwald, A.S.; Boden, S.D.; Goldberg, V.M.; Khan, Y.; Laurencin, C.T.; Rosier, R.N. Bone-graft substitutes: Facts, fictions, and applications. J. Bone Jt. Surg. Am. 2001, 83, 98–103. [Google Scholar] [CrossRef]
- Nevins, M.; Nevins, M.L.; Schupbach, P.; Kim, S.W.; Lin, Z.; Kim, D.M. A prospective, randomized controlled preclinical trial to evaluate different formulations of biphasic calcium phosphate in combination with a hydroxyapatite collagen membrane to reconstruct deficient alveolar ridges. J. Oral Implantol. 2013, 39, 133–139. [Google Scholar] [CrossRef] [PubMed]
- LeGeros, R.Z.; Lin, S.; Rohanizadeh, R.; Mijares, D.; LeGeros, J.P. Biphasic calcium phosphate bioceramics: Preparation, properties and applications. J. Mater. Sci. Mater. Med. 2003, 14, 201–209. [Google Scholar] [CrossRef] [PubMed]
- Buser, D.; Dula, K.; Belser, U.; Hirt, H.P.; Berthold, H. Localized ridge augmentation using guided bone regeneration. 1. Surgical procedure in the maxilla. Int. J. Periodontics Restor. Dent. 1993, 13, 29–45. [Google Scholar]
- Gu, S.J.; Sohn, J.Y.; Lim, H.C.; Um, Y.J.; Jung, U.W.; Kim, C.S.; Choi, S.H. The effects of bone regeneration in rabbit calvarial defect with particulated and block type of hydroxyapatite. J. Korean Acad. Periodontol. 2009, 39, 321–329. [Google Scholar] [CrossRef]
- Le, B.T.; Borzabadi-Farahani, A. Simultaneous implant placement and bone grafting with particulate mineralized allograft in sites with buccal wall defects, a three-year follow-up and review of literature. J. Craniomaxillofac. Surg. 2014, 42, 552–559. [Google Scholar] [CrossRef] [PubMed]
- Seibert, J.S.; Salama, H. Alveolar ridge preservation and reconstruction. Periodontol 2000 1996, 11, 69–84. [Google Scholar] [CrossRef] [PubMed]
- Choi, B.H.; Im, C.J.; Huh, J.Y.; Suh, J.J.; Lee, S.H. Effect of platelet-rich plasma on bone regeneration in autogenous bone graft. Int. J. Oral Maxillofac. Surg. 2004, 33, 56–59. [Google Scholar] [CrossRef] [PubMed]
- Wong, R.W.; Rabie, A.B. Effect of bio-oss collagen and collagen matrix on bone formation. Open Biomed. Eng. J. 2010, 4, 71–76. [Google Scholar] [CrossRef] [PubMed]
- Torres, J.; Tamimi, F.; Tresguerres, I.F.; Alkhraisat, M.H.; Khraisat, A.; Blanco, L.; Lopez-Cabarcos, E. Effect of combining platelet-rich plasma with anorganic bovine bone on vertical bone regeneration: Early healing assessment in rabbit calvariae. Int. J. Oral Maxillofac. Implants 2010, 25, 123–129. [Google Scholar] [PubMed]
- Dung, S.Z.; Tu, Y.K. Effect of different alloplast materials on the stability of vertically augmented new tissue. Int. J. Oral Maxillofac. Implants 2012, 27, 1375–1381. [Google Scholar] [PubMed]
- Kato, E.; Lemler, J.; Sakurai, K.; Yamada, M. Biodegradation property of beta-tricalcium phosphate-collagen composite in accordance with bone formation: A comparative study with Bio-Oss Collagen® in a rat critical-size defect model. Clin. Implant Dent. Relat. Res. 2014, 16, 202–211. [Google Scholar] [CrossRef] [PubMed]
- Araújo, M.; Linder, E.; Wennström, J.; Lindhe, J. The influence of Bio-Oss Collagen on healing of an extraction socket: An experimental study in the dog. Int. J. Periodontics Restor. Dent. 2008, 28, 123–135. [Google Scholar]
- Araújo, M.G.; Linder, E.; Lindhe, J. Bio-Oss collagen in the buccal gap at immediate implants: A 6-month study in the dog. Clin. Oral Implants Res. 2011, 22, 1–8. [Google Scholar] [CrossRef] [PubMed]
- Shim, J.H.; Moon, T.S.; Yun, M.J.; Jeon, Y.C.; Jeong, C.M.; Cho, D.W.; Huh, J.B. Stimulation of healing within a rabbit calvarial defect by a PCL/PLGA scaffold blended with TCP using solid freeform fabrication technology. J. Mater. Sci. Mater. Med. 2012, 23, 2993–3002. [Google Scholar] [CrossRef] [PubMed]
- Shim, J.H.; Won, J.W.; Sung, S.J.; Lim, D.H.; Yun, W.S.; Jeon, Y.C.; Huh, J.B. Comparative efficacies of a 3D-printed PCL/PLGA/β-TCP membrane and a titanium membrane for guided bone regeneration in beagle dogs. Polymers 2015, 7, 2067–2077. [Google Scholar] [CrossRef]
- Won, J.Y.; Park, C.Y.; Bae, J.H.; Ahn, G.; Kim, C.; Lim, D.H.; Cho, D.W.; Yun, W.S.; Shim, J.H.; Huh, J.B. Evaluation of 3D printed PCL/PLGA/β-TCP versus collagen membranes for guided bone regeneration in a beagle implant model. Biomed. Mater. 2016, 7, 1–15. [Google Scholar] [CrossRef] [PubMed]
- Salama, A.; Abou-Zeid, R.E.; El-Sakhawy, M.; El-Gendy, A. Carboxymethyl cellulose/silica hybrids as templates for calcium phosphate biomimetic mineralization. Int. J. Biol. Macromol. 2015, 74, 155–161. [Google Scholar] [CrossRef] [PubMed]
- Collins, M.N.; Birkinshaw, C. Hyaluronic acid based scaffolds for tissue engineering-a review. Carbohydr. Polym. 2013, 92, 1262–1279. [Google Scholar] [CrossRef] [PubMed]
- Lisignoli, G.; Fini, M.; Giavaresi, G.; Nicoli, A.N.; Toneguzzi, S.; Facchini, A. Osteogenesis of large segmental radius defects enhanced by basic fibroblast growth factor activated bone marrow stromal cells grown on non-woven hyaluronic acid-based polymer scaffold. Biomaterials 2002, 23, 1043–1051. [Google Scholar] [CrossRef]
- Schwartz, Z.; Goldstein, M.; Raviv, E.; Hirsch, A.; Ranly, D.M.; Boyan, B.D. Clinical evaluation of demineralized bone allograft in a hyaluronic acid carrier for sinus lift augmentation in humans: A computed tomography and histomorphometric study. Clin. Oral Implants Res. 2007, 18, 204–211. [Google Scholar] [CrossRef] [PubMed]
- Lee, J.H.; Jeong, B.O. The effect of hyaluronate-carboxymethyl cellulose on bone graft substitute healing in a rat spinal fusion model. J. Korean Neurosurg. Soc. 2011, 50, 409–414. [Google Scholar] [CrossRef] [PubMed]
- Hesaraki, S.; Nezafati, N. In vitro biocompatibility of chitosan/hyaluronic acid-containing calcium phosphate bone cements. Bioprocess Biosyst. Eng. 2014, 37, 1507–1516. [Google Scholar] [CrossRef] [PubMed]
- El Kady, A.M.; Mohamed, K.R.; El-Bassyouni, G.T. Fabrication, characterization and bioactivity evaluation of calcium pyrophosphate/polymeric biocomposites. Ceram. Int. 2009, 35, 2933–2942. [Google Scholar] [CrossRef]
- Paknejad, M.; Rokn, A.R.; Yaghobee, S.; Moradinejad, P.; Heidari, M.; Mehrfard, A. Effects of two types of anorganic bovine bone on bone regeneration: A histological and histomorphometric study of rabbit calvaria. J. Dent. (Tehran) 2014, 11, 687–695. [Google Scholar]
- Fekrazad, R.; Sadeghi Ghuchani, M.; Eslaminejad, M.B.; Taghiyar, L.; Kalhori, K.A.; Pedram, M.S.; Shayan, A.M.; Aghdami, N.; Abrahamse, H. The effects of combined low level laser therapy and mesenchymal stem cells on bone regeneration in rabbit calvarial defects. J. Photochem. Photobiol. B 2015, 151, 180–185. [Google Scholar] [CrossRef] [PubMed]
- Schmidlin, P.R.; Nicholls, F.; Kruse, A.; Zwahlen, R.A.; Weber, F.E. Evaluation of moldable, in situ hardening calcium phosphate bone graft substitutes. Clin. Oral Implants Res. 2013, 24, 149–157. [Google Scholar] [CrossRef] [PubMed]
- Brunner, E.; Langer, F. Nonparametric analysis of ordered categorical data in designs with longitudinal observations and small sample sizes. Biom. J. 2000, 42, 663–675. [Google Scholar] [CrossRef]
- Moses, O.; Shemesh, A.; Aboodi, G.; Tal, H.; Weinreb, M.; Nemcovsky, C.E. Systemic tetracycline delays degradation of three different collagen membranes in rat calvaria. Clin. Oral Implants Res. 2009, 20, 189–195. [Google Scholar] [CrossRef] [PubMed]
- Kozlovsky, A.; Aboodi, G.; Moses, O.; Tal, H.; Artzi, Z.; Weinreb, M.; Nemcovsky, C.E. Bio-degradation of a resorbable collagen membrane (Bio-Gide) applied in a double-layer technique in rats. Clin. Oral Implants Res. 2009, 20, 1116–1123. [Google Scholar] [CrossRef] [PubMed]
- Sela, M.N.; Babitski, E.; Steinberg, D.; Kohavi, D.; Rosen, G. Degradation of collagen-guided tissue regeneration membranes by proteolytic enzymes of Porphyromonas gingivalis and its inhibition by antibacterial agents. Clin. Oral Implants Res. 2009, 20, 496–502. [Google Scholar] [CrossRef] [PubMed]
- Rothamel, D.; Schwarz, F.; Sager, M.; Herten, M.; Sculean, A.; Becker, J. Biodegradation of differently cross-linked collagen membranes: An experimental study in the rat. Clin. Oral Implants Res. 2005, 16, 369–378. [Google Scholar] [CrossRef] [PubMed]
- Cui, J.; Liang, J.; Wen, Y.; Sun, X.; Li, T.; Zhang, G.; Sun, K.; Xu, X. In vitro and in vivo evaluation of chitosan/β-glycerol phosphate composite membrane for guided bone regeneration. J. Biomed. Mater. Res. A 2014, 102, 2911–2917. [Google Scholar] [CrossRef] [PubMed]
- Schanté, C.E.; Zuber, G.; Herlin, C.; Vandamme, T.F. Chemical modifications of hyaluronic acid for the synthesis of derivatives for a broad range of biomedical applications. Carbohydr. Polym. 2011, 85, 469–489. [Google Scholar] [CrossRef]
- Zecha, P.J.; Schortinghuis, J.; van der Wal, J.E.; Nagursky, H.; van den Broek, K.C.; Sauerbier, S.; Vissink, A.; Raghoebar, G.M. Applicability of equine hydroxyapatite collagen (eHAC) bone blocks for lateral augmentation of the alveolar crest. A histological and histomorphometric analysis in rats. Int. J. Oral Maxillofac. Surg. 2011, 40, 533–542. [Google Scholar] [CrossRef] [PubMed]
- Rothamel, D.; Schwarz, F.; Herten, M.; Ferrari, D.; Mischkowski, R.A.; Sager, M.; Becker, J. Vertical ridge augmentation using xenogenous bone blocks: A histomorphometric study in dogs. Int. J. Oral Maxillofac. Implants 2009, 24, 243–250. [Google Scholar] [PubMed]
- Lundgren, D.; Nyman, S.; Mathisen, T.; Isaksson, S.; Klinge, B. Guided bone regeneration of cranial defects, using biodegradable barriers: An experimental pilot study in the rabbit. J. Craniomaxillofac. Surg. 1992, 20, 257–260. [Google Scholar] [CrossRef]
- Zornow, M.H.; Scheller, M.S.; Sheehan, P.B.; Strnat, M.A.; Matsumoto, M. Intracranial pressure effects of dexmedetomidine in rabbits. Anesth. Analg. 1992, 75, 232–237. [Google Scholar] [CrossRef] [PubMed]
- Sculean, A.; Chiantella, G.C.; Windisch, P.; Arweiler, N.B.; Brecx, M.; Gera, I. Healing of intra-bony defects following treatment with a composite bovine-derived xenograft (Bio-Oss Collagen) in combination with a collagen membrane (Bio-Gide PERIO). J. Clin. Periodontol. 2005, 32, 720–724. [Google Scholar] [CrossRef] [PubMed]














| Elements | Chemical Compositions (wt %) | |||
|---|---|---|---|---|
| BCP (Control) | BCP/CMC | BCP/c-CMC | BCP/HyA | |
| C | 4.2 | 25.5 | 30.4 | 26.5 |
| O | 35.7 | 35.1 | 36.2 | 36.3 |
| Na | - | 4.3 | 5.6 | - |
| P | 19.4 | 11.5 | 8.6 | 13.6 |
| S | - | - | 6.6 | - |
| Ca | 40.9 | 23.5 | 12.7 | 24.0 |
| Group | Mean ± SD | Median |
|---|---|---|
| BCP (control) | 11.45 ± 1.87 | 11.69 c |
| BCP/CMC | 11.95 ± 2.13 | 11.96 c |
| BCP/c-CMC | 15.35 ± 2.39 | 14.80 a,b,d |
| BCP/HyA | 9.83 ± 3.39 | 10.87 c |
| p value | <0.05 | |
| Group | Mean ± SD | Median |
|---|---|---|
| BCP (control) | 14.27 ± 2.92 | 15.09 c |
| BCP/CMC | 13.52 ± 3.56 | 12.17 c |
| BCP/c-CMC | 17.43 ± 2.59 | 16.61 a,b,d |
| BCP/HyA | 12.68 ± 5.49 | 13.42 c |
| p value | 0.033 | |
© 2017 by the authors. Licensee MDPI, Basel, Switzerland. This article is an open access article distributed under the terms and conditions of the Creative Commons Attribution (CC-BY) license ( http://creativecommons.org/licenses/by/4.0/).
Share and Cite
Yoo, H.-S.; Bae, J.-H.; Kim, S.-E.; Bae, E.-B.; Kim, S.-Y.; Choi, K.-H.; Moon, K.-O.; Jeong, C.-M.; Huh, J.-B. The Effect of Bisphasic Calcium Phosphate Block Bone Graft Materials with Polysaccharides on Bone Regeneration. Materials 2017, 10, 17. https://doi.org/10.3390/ma10010017
Yoo H-S, Bae J-H, Kim S-E, Bae E-B, Kim S-Y, Choi K-H, Moon K-O, Jeong C-M, Huh J-B. The Effect of Bisphasic Calcium Phosphate Block Bone Graft Materials with Polysaccharides on Bone Regeneration. Materials. 2017; 10(1):17. https://doi.org/10.3390/ma10010017
Chicago/Turabian StyleYoo, Hyun-Sang, Ji-Hyeon Bae, Se-Eun Kim, Eun-Bin Bae, So-Yeun Kim, Kyung-Hee Choi, Keum-Ok Moon, Chang-Mo Jeong, and Jung-Bo Huh. 2017. "The Effect of Bisphasic Calcium Phosphate Block Bone Graft Materials with Polysaccharides on Bone Regeneration" Materials 10, no. 1: 17. https://doi.org/10.3390/ma10010017
APA StyleYoo, H.-S., Bae, J.-H., Kim, S.-E., Bae, E.-B., Kim, S.-Y., Choi, K.-H., Moon, K.-O., Jeong, C.-M., & Huh, J.-B. (2017). The Effect of Bisphasic Calcium Phosphate Block Bone Graft Materials with Polysaccharides on Bone Regeneration. Materials, 10(1), 17. https://doi.org/10.3390/ma10010017

