Denitrification Process Enhancement and Diversity of the Denitrifying Community in the Full Scale Activated Sludge System after Adaptation to Fusel Oil
Abstract
:1. Introduction
2. Materials and Methods
2.1. Characterization of Fusel Oil Used as an External Carbon Source
2.2. The Wastewater Treatment Plant and Experiment Design
2.3. Analytical Methods
2.4. Microbial Analyses
2.4.1. Sampling and Genomic DNA Isolation
2.4.2. PCR-DGGE of 16S rRNA Gene
2.4.3. nirS and nirK Genes Clone Libraries
2.4.4. DNA Sequencing and Phylogenetic Analysis
3. Results and Discussion
3.1. Kinetics of Denitrification during the Acclimation Experiments Effect
3.2. Analysis of Activated Sludge Bacterial Community Composition during Adaptation to Fusel Oil
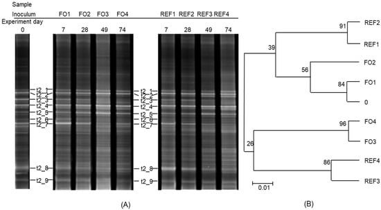
3.2.1. General Bacteria Population Structure
3.2.2. Diversity of nirS and nirK Gene Variants
4. Conclusions
Author Contributions
Funding
Institutional Review Board Statement
Informed Consent Statement
Data Availability Statement
Acknowledgments
Conflicts of Interest
References
- Regulation of the Minister of Maritime Economy and Inland Navigation of 12 July 2019 on Substances Particularly Harmful to the Aquatic Environment and the Conditions to Be Met When Discharging Sewage into Waters or Soil, as Well as When Discharging Rainwater or Meltwater into Waters or into Devices Aquatic. Available online: https://Isap.Sejm.Gov.Pl/Isap.Nsf/Download.Xsp/WDU20190001311/O/D20191311.Pdf (accessed on 6 August 2021).
- Wilinska-Lisowska, A.; Ossowska, M.; Czerwionka, K. The Influence of Co-Fermentation of Agri-Food Waste with Primary Sludge on Biogas Production and Composition of the Liquid Fraction of Digestate. Energies 2021, 14, 1907. [Google Scholar] [CrossRef]
- Urząd RegulacjiEnergetyki, Mapaodnawialnych Źródeł Energii [In Polish]. Available online: https://Www.Ure.Gov.Pl/Pl/Oze/Potencjal-Krajowy-Oze/8108,Instalacje-Odnawialnych-Zrodel-Energii-Stan-Na-31-Grudnia-2020-r.html (accessed on 6 August 2021).
- Sharif Shourjeh, M.; Kowal, P.; Lu, X.; Xie, L.; Drewnowski, J. Development of Strategies for AOB and NOB Competition Supported by Mathematical Modeling in Terms of Successful Deammonification Implementation for Energy-Efficient WWTPs. Processes 2021, 9, 562. [Google Scholar] [CrossRef]
- Makinia, J.; Czerwionka, K.; Oleszkiewicz, J.; Kulbat, E.; Fudala-Ksiazek, S. A Distillery By-Product as an External Carbon Source for Enhancing Denitrification in Mainstream and Sidestream Treatment Processes. Water Sci. Technol. 2011, 64, 2072–2079. [Google Scholar] [CrossRef]
- Craft Spirits Market Size, Share & Trends Analysis Report by Distiller Size (Large, Medium, Small), by Product (Whiskey, Vodka, Gin, Rum, Brandy, Liqueur), by Region, and Segment Forecasts, 2018–2025 h. Available online: Https://Www.Grandviewresearch.Com/Industry-Analysis/Craft-Spirits-Market (accessed on 6 August 2021).
- Kupczyk, A.; Mączyńska, J.; Redlarski, G.; Tucki, K.; Bączyk, A.; Rutkowski, D. Selected Aspects of Biofuels Market and the Electromobility Development in Poland: Current Trends and Forecasting Changes. Appl. Sci. 2019, 9, 254. [Google Scholar] [CrossRef] [Green Version]
- Directive 2008/98/EC of The European Parliament and of the Council 2008. Available online: https://eur-lex.europa.eu/legal-content/EN/TXT/?uri=celex%3A32008L0098 (accessed on 6 August 2021).
- Cherchi, C.; Onnis-Hayden, A.; El-Shawabkeh, I.; Gu, A.Z. Implication of Using Different Carbon Sources for Denitrification in Wastewater Treatments. Water Environ. Res. 2009, 81, 788–799. [Google Scholar] [CrossRef] [PubMed]
- Wang, X.; Xia, K.; Yang, X.; Tang, C. Growth Strategy of Microbes on Mixed Carbon Sources. Nat. Commun. 2019, 10, 1279. [Google Scholar] [CrossRef]
- Isaacs, S.H.; Henze, M.; Søeberg, H.; Kümmel, M. External Carbon Source Addition as a Means to Control an Activated Sludge Nutrient Removal Process. Water Res. 1994, 28, 511–520. [Google Scholar] [CrossRef]
- Ginige, M.P.; Hugenholtz, P.; Daims, H.; Wagner, M.; Keller, J.; Blackall, L.L. Use of Stable-Isotope Probing, Full-Cycle RRNA Analysis, and Fluorescence in Situ Hybridization-Microautoradiography To Study a Methanol-Fed Denitrifying Microbial Community. Appl. Environ. Microbiol. 2004, 70, 588–596. [Google Scholar] [CrossRef] [Green Version]
- Hwang, C.; Wu, W.-M.; Gentry, T.J.; Carley, J.; Carroll, S.L.; Schadt, C.; Watson, D.; Jardine, P.M.; Zhou, J.; Hickey, R.F.; et al. Changes in Bacterial Community Structure Correlate with Initial Operating Conditions of a Field-Scale Denitrifying Fluidized Bed Reactor. Appl. Microbiol. Biotechnol. 2006, 71, 748–760. [Google Scholar] [CrossRef]
- Kumar, P.; Singh, A.; Sachan, A.; Sachan, S.G. Molecular Tools for Microbial Diversity Analysis. In Wastewater Treatment; Elsevier: Amsterdam, The Netherlands, 2021. [Google Scholar]
- Heylen, K.; Gevers, D.; Vanparys, B.; Wittebolle, L.; Geets, J.; Boon, N.; de Vos, P. The Incidence of NirS and NirK and Their Genetic Heterogeneity in Cultivated Denitrifiers. Environ. Microbiol. 2006, 8, 2012–2021. [Google Scholar] [CrossRef]
- Zumft, W.G. Cell Biology and Molecular Basis of Denitrification. Microbiol. Mol. Biol. Rev. MMBR 1997, 61, 533–616. [Google Scholar] [CrossRef]
- Hallin, S.; Throbäck, I.N.; Dicksved, J.; Pell, M. Metabolic Profiles and Genetic Diversity of Denitrifying Communities in Activated Sludge after Addition of Methanol or Ethanol. Appl. Environ. Microbiol. 2006, 72, 5445–5452. [Google Scholar] [CrossRef] [PubMed] [Green Version]
- Tang, J.; Wang, X.C.; Hu, Y.; Pu, Y.; Huang, J.; Hao Ngo, H.; Zeng, Y.; Li, Y. Nitrogen Removal Enhancement Using Lactic Acid Fermentation Products from Food Waste as External Carbon Sources: Performance and Microbial Communities. Bioresour. Technol. 2018, 256, 259–268. [Google Scholar] [CrossRef] [PubMed]
- Tuszynska, A.; Kaszubowska, M.; Kowal, P.; Ciesielski, S.; Makinia, J. The Metabolic Activity of Denitrifying Microorganisms Accumulating Polyphosphate in Response to Addition of Fusel Oil. Bioprocess Biosyst. Eng. 2019, 42, 143–155. [Google Scholar] [CrossRef] [PubMed] [Green Version]
- Czerwionka, K.; Luczkiewicz, A.; Majtacz, J.; Kowal, P.; Jankowska, K.; Ciesielski, S.; Pagilla, K.; Makinia, J. Acclimation of Denitrifying Activated Sludge to a Single vs. Complex External Carbon Source during a Start-up of Sequencing Batch Reactors Treating Ammonium-Rich Anaerobic Sludge Digester Liquors. Biodegradation 2014, 25, 881–892. [Google Scholar] [CrossRef]
- Czerwionka, K.; Makinia, J.; Kaszubowska, M.; Majtacz, J.; Angowski, M. Distillery Wastes as External Carbon Sources for Denitrification in Municipal Wastewater Treatment Plants. Water Sci. Technol. 2012, 65, 1583–1590. [Google Scholar] [CrossRef]
- Makinia, J.; Czerwionka, K.; Kaszubowska, M.; Majtacz, J. Distillery Fusel Oil as an Alternative Carbon Source for Denitrification—from Laboratory Experiments to Full-Scale Applications. Water Sci. Technol. 2014, 69, 1626–1633. [Google Scholar] [CrossRef]
- Nübel, U.; Garcia-Pichel, F.; Muyzer, G. PCR Primers to Amplify 16S RRNA Genes from Cyanobacteria. Appl. Environ. Microbiol. 1997, 63, 3327–3332. [Google Scholar] [CrossRef] [Green Version]
- Nei, M.; Li, W.H. Mathematical Model for Studying Genetic Variation in Terms of Restriction Endonucleases. Proc. Natl. Acad. Sci. USA 1979, 76, 5269–5273. [Google Scholar] [CrossRef] [Green Version]
- Van Hannen, E.J.; Zwart, G.; van Agterveld, M.P.; Gons, H.J.; Ebert, J.; Laanbroek, H.J. Changes in Bacterial and Eukaryotic Community Structure after Mass Lysis of Filamentous Cyanobacteria Associated with Viruses. Appl. Environ. Microbiol. 1999, 65, 795–801. [Google Scholar] [CrossRef] [Green Version]
- Shannon, C.E. A Mathematical Theory of Communication. Bell Syst. Tech. J. 1948, 27, 379–423. [Google Scholar] [CrossRef] [Green Version]
- Throbäck, I.N.; Enwall, K.; Jarvis, Ã.; Hallin, S. Reassessing PCR Primers Targeting NirS, NirK and NosZ Genes for Community Surveys of Denitrifying Bacteria with DGGE. FEMS Microbiol. Ecol. 2004, 49, 401–417. [Google Scholar] [CrossRef]
- Hallin, S.; Lindgren, P.-E. PCR Detection of Genes Encoding Nitrite Reductase in Denitrifying Bacteria. Appl. Environ. Microbiol. 1999, 65, 1652–1657. [Google Scholar] [CrossRef] [Green Version]
- Tamura, K.; Stecher, G.; Peterson, D.; Filipski, A.; Kumar, S. MEGA6: Molecular Evolutionary Genetics Analysis Version 6.0. Mol. Biol. Evol. 2013, 30, 2725–2729. [Google Scholar] [CrossRef] [Green Version]
- Thompson, J.D.; Higgins, D.G.; Gibson, T.J. CLUSTAL W: Improving the Sensitivity of Progressive Multiple Sequence Alignment through Sequence Weighting, Position-Specific Gap Penalties and Weight Matrix Choice. Nucleic Acids Res. 1994, 22, 4673–4680. [Google Scholar] [CrossRef] [Green Version]
- Altschul, S.F.; Gish, W.; Miller, W.; Myers, E.W.; Lipman, D.J. Basic Local Alignment Search Tool. J. Mol. Biol. 1990, 215, 403–410. [Google Scholar] [CrossRef]
- Saitou, N.; Nei, M. The Neighbor-Joining Method: A New Method for Reconstructing Phylogenetic Trees. Mol. Biol. Evol. 1987, 4, 406–425. [Google Scholar] [CrossRef]
- Kim, E.; Shin, S.G.; Jannat, M.A.H.; Tongco, J.V.; Hwang, S. Use of Food Waste-Recycling Wastewater as an Alternative Carbon Source for Denitrification Process: A Full-Scale Study. Bioresour. Technol. 2017, 245, 1016–1021. [Google Scholar] [CrossRef]
- Her, J.-J.; Huang, J.-S. Influences of Carbon Source and C/N Ratio on Nitrate/Nitrite Denitrification and Carbon Breakthrough. Bioresour. Technol. 1995, 54, 45–51. [Google Scholar] [CrossRef]
- Peng, Y.; Ma, Y.; Wang, S. Denitrification Potential Enhancement by Addition of External Carbon Sources in a Pre-Denitrification Process. J. Environ. Sci. 2007, 19. [Google Scholar] [CrossRef]
- Queiroz, L.M.; Aun, M.V.; Morita, D.M.; Alem Sobrinho, P. Biological Nitrogen Removal over Nitritation/Denitritation Using Phenol as Carbon Source. Braz. J. Chem. Eng. 2011, 28, 197–207. [Google Scholar] [CrossRef]
- Gong, L.; Huo, M.; Yang, Q.; Li, J.; Ma, B.; Zhu, R.; Wang, S.; Peng, Y. Performance of Heterotrophic Partial Denitrification under Feast-Famine Condition of Electron Donor: A Case Study Using Acetate as External Carbon Source. Bioresour. Technol. 2013, 133, 263–269. [Google Scholar] [CrossRef]
- Zhang, Y.; Wang, X.C.; Cheng, Z.; Li, Y.; Tang, J. Effect of Fermentation Liquid from Food Waste as a Carbon Source for Enhancing Denitrification in Wastewater Treatment. Chemosphere 2016, 144, 689–696. [Google Scholar] [CrossRef]
- Wang, Q.; Chen, Q.; Chen, J. Optimizing External Carbon Source Addition in Domestics Wastewater Treatment Based on Online Sensoring Data and a Numerical Model. Water Sci. Technol. 2017, 75, 2716–2725. [Google Scholar] [CrossRef] [PubMed]
- Philippot, L.; Bru, D.; Saby, N.P.A.; Čuhel, J.; Arrouays, D.; Šimek, M.; Hallin, S. Spatial Patterns of Bacterial Taxa in Nature Reflect Ecological Traits of Deep Branches of the 16S RRNA Bacterial Tree. Environ. Microbiol. 2009, 11, 3096–3104. [Google Scholar] [CrossRef]
- Braker, G.; Zhou, J.; Wu, L.; Devol, A.H.; Tiedje, J.M. Nitrite Reductase Genes (NirK and NirS) as Functional Markers To Investigate Diversity of Denitrifying Bacteria in Pacific Northwest Marine Sediment Communities. Appl. Environ. Microbiol. 2000, 66, 2096–2104. [Google Scholar] [CrossRef] [Green Version]
- Herold, M.B.; Giles, M.E.; Alexander, C.J.; Baggs, E.M.; Daniell, T.J. Variable Response of NirK and NirS Containing Denitrifier Communities to Long-Term PH Manipulation and Cultivation. FEMS Microbiol. Lett. 2018, 365, fny035. [Google Scholar] [CrossRef]
- Shi, R.; Xu, S.; Qi, Z.; Huang, H.; Liang, Q. Seasonal Patterns and Environmental Drivers of NirS- and NirK-Encoding Denitrifiers in Sediments of Daya Bay, China. Oceanologia 2019, 61, 308–320. [Google Scholar] [CrossRef]
- Che, Y.; Liang, P.; Gong, T.; Cao, X.; Zhao, Y.; Yang, C.; Song, C. Elucidation of Major Contributors Involved in Nitrogen Removal and Transcription Level of Nitrogen-Cycling Genes in Activated Sludge from WWTPs. Sci. Rep. 2017, 7, srep44728. [Google Scholar] [CrossRef] [PubMed]
- Philippot, L.; Hallin, S. Finding the Missing Link between Diversity and Activity Using Denitrifying Bacteria as a Model Functional Community. Curr. Opin. Microbiol. 2005, 8, 234–239. [Google Scholar] [CrossRef]
- Juretschko, S.; Loy, A.; Lehner, A.; Wagner, M. The Microbial Community Composition of a Nitrifying-Denitrifying Activated Sludge from an Industrial Sewage Treatment Plant Analyzed by the Full-Cycle RRNA Approach. Syst. Appl. Microbiol. 2002, 25, 84–99. [Google Scholar] [CrossRef]
- Hagman, M.; Nielsen, J.L.; Nielsen, P.H.; Jansen, J.L.C. Mixed Carbon Sources for Nitrate Reduction in Activated Sludge-Identification of Bacteria and Process Activity Studies. Water Res. 2008, 42, 1539–1546. [Google Scholar] [CrossRef]
- Thomsen, T.R.; Kong, Y.; Nielsen, P.H. Ecophysiology of Abundant Denitrifying Bacteria in Activated Sludge. FEMS Microbiol. Ecol. 2007, 60, 370–382. [Google Scholar] [CrossRef] [Green Version]
- Heylen, K.; Vanparys, B.; Gevers, D.; Wittebolle, L.; Boon, N.; de Vos, P. Nitric Oxide Reductase (NorB) Gene Sequence Analysis Reveals Discrepancies with Nitrite Reductase (Nir) Gene Phylogeny in Cultivated Denitrifiers. Environ. Microbiol. 2007, 9, 1072–1077. [Google Scholar] [CrossRef]
- Beaumont, H.J.E.; Lens, S.I.; Westerhoff, H.V.; van Spanning, R.J.M. Novel NirK Cluster Genes in Nitrosomonas Europaea Are Required for NirK-Dependent Tolerance to Nitrite. J. Bacteriol. 2005, 187, 6849–6851. [Google Scholar] [CrossRef] [PubMed] [Green Version]
- Baldrian, P. The Known and the Unknown in Soil Microbial Ecology. FEMS Microbiol. Ecol. 2019, 95, fiz005. [Google Scholar] [CrossRef]
- Taş, N.; de Jong, A.E.; Li, Y.; Trubl, G.; Xue, Y.; Dove, N.C. Metagenomic Tools in Microbial Ecology Research. Curr. Opin. Biotechnol. 2021, 67, 184–191. [Google Scholar] [CrossRef]
- Chaudhary, D.K.; Khulan, A.; Kim, J. Development of a Novel Cultivation Technique for Uncultured Soil Bacteria. Sci. Rep. 2019, 9, 6666. [Google Scholar] [CrossRef] [PubMed]
- Guo, J.; Ni, B.-J.; Han, X.; Chen, X.; Bond, P.; Peng, Y.; Yuan, Z. Data on Metagenomic Profiles of Activated Sludge from a Full-Scale Wastewater Treatment Plant. Data Brief 2017, 15, 833–839. [Google Scholar] [CrossRef] [PubMed]







| Parameter | Unit | Concentration |
|---|---|---|
| Influent | ||
| COD | g COD/m3 | 851 ± 120 |
| NTN | g N/m3 | 72 ± 6.5 |
| PTP | g P/m3 | 10.1 ± 2.1 |
| Effluent | ||
| COD | g COD/m3 | 26.2 ± 10.1 |
| NO3-N | g NO3-N/m3 | 5.4 ± 0.6 |
| NH4-N | g NH4-N/m3 | 0.3 ± 0.2 |
| NTN | g N/m3 | 7.8 ± 1.2 |
| PTP | g P/m3 | 0.5 ± 0.1 |
| Marker Gene | Primer Name | Primer Sequence |
|---|---|---|
| nirS | GC-R3cd | 5′-GGC GGC GCG CCG CCC GCC CCG CCC CCG TCG CCC GA(C/G) TTC GG(A/G) TG(C/G) GTC TTG A-3′ |
| cd3aF | 5′-GT(C/G) AAC GT(C/G) AAG GA(A/G) AC(C/G) GG-3′ | |
| nirK | GC-R3Cu | 5′-GGC GGC GCG CCG CCC GCC CCG CCC CCG TCG CCC GCC TCG ATC AG(A/G) TTG TGG TT-3′ |
| F1aCu | 5′-ATC ATG GT(C/G) CTG CCG CG-3′ |
| Sample Origination | Positively Verified Clones Number | Unique Gene Variant | Intra-Group Distance | General Genetic Distance |
|---|---|---|---|---|
| Experimental reactor | 35 | 32 | 0.33 | 0.34 |
| Reference reactor | 34 | 31 | 0.34 |
| Sample Origin | Positively Verified Clones Number | Unique Gene Variant | Intra-Group Distance | General Genetic Distance |
|---|---|---|---|---|
| Experimental line | 15 | 15 | 0.33 | 0.33 |
| Reference line | 19 | 16 | 0.33 |
Publisher’s Note: MDPI stays neutral with regard to jurisdictional claims in published maps and institutional affiliations. |
© 2021 by the authors. Licensee MDPI, Basel, Switzerland. This article is an open access article distributed under the terms and conditions of the Creative Commons Attribution (CC BY) license (https://creativecommons.org/licenses/by/4.0/).
Share and Cite
Kowal, P.; Ciesielski, S.; Otieno, J.; Majtacz, J.B.; Czerwionka, K.; Mąkinia, J. Denitrification Process Enhancement and Diversity of the Denitrifying Community in the Full Scale Activated Sludge System after Adaptation to Fusel Oil. Energies 2021, 14, 5225. https://doi.org/10.3390/en14175225
Kowal P, Ciesielski S, Otieno J, Majtacz JB, Czerwionka K, Mąkinia J. Denitrification Process Enhancement and Diversity of the Denitrifying Community in the Full Scale Activated Sludge System after Adaptation to Fusel Oil. Energies. 2021; 14(17):5225. https://doi.org/10.3390/en14175225
Chicago/Turabian StyleKowal, Przemysław, Sławomir Ciesielski, Jeremiah Otieno, Joanna Barbara Majtacz, Krzysztof Czerwionka, and Jacek Mąkinia. 2021. "Denitrification Process Enhancement and Diversity of the Denitrifying Community in the Full Scale Activated Sludge System after Adaptation to Fusel Oil" Energies 14, no. 17: 5225. https://doi.org/10.3390/en14175225
APA StyleKowal, P., Ciesielski, S., Otieno, J., Majtacz, J. B., Czerwionka, K., & Mąkinia, J. (2021). Denitrification Process Enhancement and Diversity of the Denitrifying Community in the Full Scale Activated Sludge System after Adaptation to Fusel Oil. Energies, 14(17), 5225. https://doi.org/10.3390/en14175225

