Next Article in Journal
Superior Orbital Fissure Syndrome in Lateral Orbital Wall Fracture: Management and Classification Update
Previous Article in Journal
Persistent Upgaze Restriction After Orbital Floor Fracture Repair
 
 
Craniomaxillofacial Trauma & Reconstruction is published by MDPI from Volume 18 Issue 1 (2025). Previous articles were published by another publisher in Open Access under a CC-BY (or CC-BY-NC-ND) licence, and they are hosted by MDPI on mdpi.com as a courtesy and upon agreement with Sage.
Font Type:
Arial Georgia Verdana
Font Size:
Aa Aa Aa
Line Spacing:
Column Width:
Background:
Technical Note

Orbital Osteoblastoma: Technical Innovations in Resection and Reconstruction Using Virtual Surgery Simulation

by
Giorgio Novelli
1,*,
Marco Gramegna
1,
Gabriele Tonellini
1,
Gabriella Valente
2,
Pietro Boni
1,
Alberto Bozzetti
1 and
Davide Sozzi
2
1
Department of Maxillofacial Surgery, University of Milano-Bicocca, San Gerardo Hospital, Monza, Italy
2
Department of Pathology, San Gerardo Hospital, Monza, Italy
*
Author to whom correspondence should be addressed.
Craniomaxillofac. Trauma Reconstr. 2016, 9(3), 271-276; https://doi.org/10.1055/s-0036-1584397
Submission received: 15 September 2015 / Revised: 23 January 2016 / Accepted: 23 January 2016 / Published: 22 June 2016

Abstract

Osteoblastoma is a benign tumor of bone, representing less than 1% of bone tumors. Craniomaxillofacial localizations account for up to 15% of the total and frequently involve the posterior mandible. Endo-orbital localization is very rare, with most occurring in young patients. Very few of these tumors become malignant. Orbital localization requires radical removal of the tumor followed by careful surgical reconstruction of the orbit to avoid subsequent aesthetic or functional problems. Here, we present a clinical case of this condition and describe a surgical protocol that uses and integrates state-of-the art technologies to achieve orbital reconstruction.

Osteoblastoma is a benign tumor of bone. It is considered to be a single pathological unit together with osteoid osteoma, a prostaglandin-producing tumor that contains an abundance of peripheral nerve tissue in the tumor nest. The two forms can be distinguished based on the dimensions of the neoplasia: osteoid osteomas are less than 2 cm and osteoblastomas more than 2 cm in diameter. Both are rare, representing less than 1% of bone tumors. The most commonly affected areas are the spinal column, sacrum, cranial theca, and the long and short bones of the hands.
Craniomaxillofacial localizations account for up to 15% of all osteoblastomas, with the posterior mandible being the most frequently involved site. Endo-orbital tumors are very rare, occurring mostly in young people (<30 years) and arising as a solid tumefaction that causes local pain [1,2,3]. Endo-orbital localizations can produce a “mass effect,” with proptosis, ocular dystopia, and diplopia [4]. Radiologically, these tumors are radiopaque, roughly defined masses with irregular calcifications. Despite their rarity, progression to malignant neoplasia has been described, requiring a radical exeresis [5,6].
The anterior-posterior projection and vertical position of the ocular bulb as well as the functionality of the extrinsic muscles closely depend on the volume and shape of the orbital cavity. Thus, surgical reconstructions of the orbital walls must be particularly accurate. The integration of surgical navigation and rapid prototyping models provides surgeons with valuable support in their efforts to maintain correct orbital volume during both tumor resection and subsequent orbital reconstruction.
Manipulation of computed tomographic (CT) images using a new generation of software enables the virtualization and simulation of surgery. Moreover, using the software’s mirroring function, images of the healthy orbit can be superimposed on those of the pathological one, thereby achieving a virtual reconstruction. With surgical navigation, the surgeon can plan the surgery and then, in the operating theater, directly check the resection margins and control the orbital reconstruction [7,8].
Rapid prototyping consists of creating three-dimensional objects directly from digital data processed by specialized software. Hence, through the elaboration of CT data, a three- dimensional solid model made up of specific resins can be constructed. Currently, the error margin of the most commonly used prototyping methods is less than 1 mm [9].
Here, we present a clinical case of orbital osteoblastoma and describe a surgical protocol that uses and integrates state-of the-art technologies to achieve orbital reconstruction.

Case Report

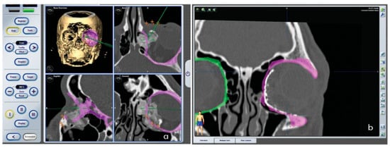
A 26-year-old male patient presented with a left endo-orbital mass associated with ocular bulb proptosis and diplopia. His medical history was negative for relevant chronic pathologies and he was not on any form of drug therapy. The physical examination highlighted the following: proptosis of the left eye, with upper-lateral dystopia of the ocular bulb (Figure 1), preserved extrinsic ocular movements, and diplopia. A CT scan showed an expansive mass (maximum diameter: 35 mm) with an irregular high-density structure suggestive of bone-like tissue. The mass, which originated in the wall of one of the posterior ethmoidal cells on the left, had an irregular morphology and lobate margins, extended to the medial wall of the left orbital cavity and occupied most of the medial and lower extraconal space. A small portion was insinuated between the medial and inferior rectus muscles. The tumor had benign radiological features and biopsy confirmed diagnosis. The ophthalmic and orthoptic evaluations, including a Hess-Lancaster test, showed no limitations in eye version and duction, a slight asymmetry of the palpebral fissures due to mild ptosis of the left eye and diplopia. Preoperative planning of the resection included the acquisition of a second CT scan with seven landmark points, necessary for surgical navigation [10]. Two titanium screws were placed in the patient’s upper orbital frame. In addition, an occlusal bite containing five screws was constructed for use during the CT scan [11,12]. Planning was performed using two software systems: iPlan 3.0 (Brainlab, Munich, Germany), for the mirroring process and surgical navigation, and PlastiCAD (3Diemme, Cantù, Italy), to virtually “subtract” the endo-orbital pathology (Figure 2a–d).
Prior to virtualization of the surgical procedure, virtual images of the patient’s orbit without the neoplasia were created. The rapid prototyping model made use of the 3D printing additive technique (3Diemme). The three phases of virtualization were as follows:
  • Triangulation of the 3D model for virtual navigation using the surface registration technique.
  • Definition of the area to be reconstructed relative to the resection.
  • Reconstruction using titanium meshes (Figure 3).
By performing the surgical navigation directly on the 3D model, we were able to evaluate the reconstruction position and confirm the match between mirroring and the positions of the meshes. Then the position of the screws and the orientation of the titanium meshes used in the reconstruction were imported into the navigation software. After completion of the planning phase, the patient underwent surgical resection and reconstruction procedures.
With the patient under general anesthesia and orotracheally intubated, a transconjunctival access with a retrocaruncular extension was made (Figure 4). We cut the inferior oblique tendon and sutured it at the end of the procedure. The retrocaruncolar extension, for optimal visualization of medial wall of the orbit, ensures protection of lacrimal sac which is anterior among the incision. The superior oblique trochlea is sacrificed with no functional effects on ocular motility. We preserved frontonasal and nasolacrimal duct.
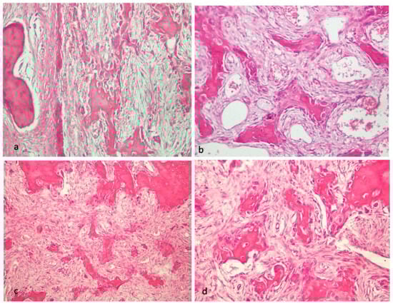
After patients’ registration, the neoplasia was resected using the piecemeal technique under navigational surgery control (Figure 5), followed by reconstruction of the orbital walls using the titanium mesh modeled during virtual simulation (Figure 6). Margins of excision were checked intraoperatively with navigation. Intraoperative extemporary histopathological examination confirmed radical exeresis (Figure 7a–d).
Reproduction of the position of the screws established during the planning phase allowed the correct orientation of the mesh as decided preoperatively.
Finally, for confirmation and accuracy purposes, the correct position of the meshes was further evaluated through navigation. The aim was to reproduce the resection and reconstruction designed during preoperative planning (Figure 8a).
The neoplasia was sent for histopathologic evaluation, which confirmed the diagnosis of osteoblastoma.
Immediately after surgery, a CT scan of the surgical site was obtained to verify the correct positioning of the reconstructive meshes. Based on the superimposed pre- and postoperative images, the virtual orbital profile obtained with mirroring perfectly matched that achieved with reconstruction (Figure 8b). There were no complications in early postoperative phase. Complete resolution of edema was in approximately 10 days. We medicated the patient daily, washing the eye with saline solution. Hospitalization lasted 3 days.
After resolution of the edema around the surgical site, the correct symmetry of the position and projection of the ocular bulbs and the complete resolution of the proptosis and diplopia were confirmed (Figure 9). At 36 months of follow-up, the patient was recurrence free and without further clinical disorders.

Discussion

The introduction and implementation of modern techniques such as software systems that enable surgical navigation, visualization, and planning, as well as rapid prototyping are changing the management and preoperative approach to surgical procedures in maxillofacial surgery [12,13]. In particular, the use of surgical navigation for the treatment of maxillofacial pathologies has led to major improvements in the accuracy of bone reconstruction, including in the orbital region.
The case presented in this report demonstrates the value of integrating currently available technologies. Virtualization of the resection and reconstruction phases outside the operating theater using image-processing software was followed by the actual surgical intervention. Then the two procedures were united to verify the results and confirmed the perfect match between planning and execution. Nonetheless, despite the advantages provided by virtualization, the manual skill of the surgeon continues to be of utmost importance [9,12,13].
Our example was based on a benign bone tumor that allowed us to provide a detailed illustration of the protocol’s complete range of possibilities. However, it can no doubt be applied to other maxillofacial pathologies, such as trauma, reconstructive surgery, and malformations, and adapted according to the surgical needs of the patient.
The advantages are a dramatic reduction in operation time and the ability to double check the resection and reconstruction, with a margin of error of ≤1 mm. In our department, it is common practice to use this protocol in orbital traumatology, post–oncological reconstructive surgery, and orbital and other pathologies, benign or malignant, whenever a bone reconstruction is necessary·
The potential disadvantages are the high cost and lengthy planning time. Regarding the cost, a distinction must be made between equipment and software costs, which are substantial and material costs, such as the stereographic model and titanium meshes. Nonetheless, we believe that extending the indications and therefore the use of this technology offers important advantages for patients, which is the primary consideration in any surgical innovation. Moreover, because maximum results can be obtained within a single round of surgery, the need for further reintervention—which inevitably leads to an increase in biological costs for the patient and economic costs for the community—is avoided. Finally, as for the planning times, with suitable integration of the technology and the surgery, the procedures can be planned within an acceptable amount of time, typically approximately 1 hour. Furthermore, the time invested in the preoperative phase is extensively compensated for by the shortened intervention, with benefits for the patient and in terms of the cost.

Conclusion

Using the protocol described herein, both the resective and the reconstructive surgical steps could be planned with extreme accuracy, which in turn reduced the risk of aesthetic (exophthalmos and enophthalmos) or functional deficits due to the complexity of the intervention. The proposed protocol is highly reproducible and can be used in a wide range of clinical situations. Its application to other surgical environments will further validate the benefits of this integrated approach.
  • Financial Disclosure
Authors have no proprietary or commercial interest in materials discussed in this article. None of the authors has any conflicts of interest to disclose
  • Note
The language in this document has been checked by at least two professional editors, both native speakers. For a certificate, please see: http://www.textcheck.com/certificate/s5rbnu.

References

  1. Neville, B.W.; et al. Oral and Maxillofacial Pathology; Saunders Elsevier: St. Louis, MO, USA, 2009; Chapter 14; pp. 653–655. [Google Scholar]
  2. Akhaddar, A.; Gazzaz, M.; Rimani, M.; Mostarchid, B.; Labraimi, A.; Boucetta, M. Benign fronto-orbital osteoblastoma arising from the orbital roof: Case report and literature review. Surg Neurol 2004, 61, 391–397; discussion 397. [Google Scholar] [PubMed]
  3. Bilkay, U.; Erdem, O.; Ozek, C.; et al. A rare location of benign osteoblastoma: Review of the literature and report of a case. J Craniofac Surg 2004, 15, 222–225. [Google Scholar] [PubMed]
  4. Batay, F.; Savaş, A.; Uğur, H.C.; Kanpolat, Y.; Kuzu, I. Benign osteoblastoma of the orbital part of the frontal bone: Case report. Acta Neurochir (Wien) 1998, 140, 729–730. [Google Scholar] [PubMed]
  5. Vara-Thorbeck, R.; Morales, O.I.; Rosell, J.; Gomez, M. Benign osteoblastoma of vertebral column and skull. Report of two cases. Zentralbl Neurochir 1990, 51, 216–218. [Google Scholar] [PubMed]
  6. Leone, C.R., Jr.; Lawton, A.W.; Leone, R.T. Benign osteoblastoma of the orbit. Ophthalmology 1988, 95, 1554–1558. [Google Scholar] [PubMed]
  7. Gellrich, N.C.; Schramm, A.; Hammer, B.; et al. Computer-assisted secondary reconstruction of unilateral posttraumatic orbital deformity. Plast Reconstr Surg 2002, 110, 1417–1429. [Google Scholar] [PubMed]
  8. Schmelzeisen, R.; Gellrich, N.C.; Schoen, R.; Gutwald, R.; Zizelmann, C.; Schramm, A. Navigation-aided reconstruction of medial orbital wall and floor contour in cranio-maxillofacial reconstruction. Injury 2004, 35, 955–962. [Google Scholar] [PubMed]
  9. Schico, K.; Figl, M.; Evers, R.; et al. Accuracy of treatment planning based on stereolithography in computer assisted surgery. Med Phys 2006, 33. [Google Scholar]
  10. Luebbers, H.T.; Messmer, P.; Obwegeser, J.A.; et al. Comparison of different registration methods for surgical navigation in cranio-maxillofacial surgery. J Craniomaxillofac Surg 2008, 36, 109–116. [Google Scholar] [PubMed]
  11. Novelli, G.; Tonellini, G.; Mazzoleni, F.; Sozzi, D.; Bozzetti, A. Surgical navigation recording systems in orbitozygomatic traumatology. J Craniofac Surg 2012, 23, 890–892. [Google Scholar] [PubMed]
  12. Novelli, G.; Tonellini, G.; Mazzoleni, F.; Bozzetti, A.; Sozzi, D. Virtual surgery simulation in orbital wall reconstruction: Integration of surgical navigation and stereolithographic models. J Craniomax-illofac Surg 2014, 42, 2025–2034. [Google Scholar] [CrossRef] [PubMed]
  13. Lübbers, H.T.; Jacobsen, C.; Könü, D.; Matthews, F.; Grätz, K.W.; Obwe-geser, J.A. Surgical navigation in cranio-maxillofacial surgery: An evaluation on a child with a cranio-facio-orbital tumour. Br J Oral Maxillofac Surg 2011, 49, 532–537. [Google Scholar] [CrossRef] [PubMed]
Figure 1. Preoperative clinical details.
Figure 1. Preoperative clinical details.
Cmtr 09 i3f271 g001
Figure 2. (a) CT scan showed an expansive mass, (b) orbital tumor, (c) the mirroring process, (d) to virtually “subtract” the endo-orbital pathology using PlastiCAD (3Diemme, Cantù, Italy).
Figure 2. (a) CT scan showed an expansive mass, (b) orbital tumor, (c) the mirroring process, (d) to virtually “subtract” the endo-orbital pathology using PlastiCAD (3Diemme, Cantù, Italy).
Cmtr 09 i3f271 g002
Figure 3. Rapid prototyping model without neoplasia, definition of the area to be reconstructed and preoperative virtual navigation after reconstruction.
Figure 3. Rapid prototyping model without neoplasia, definition of the area to be reconstructed and preoperative virtual navigation after reconstruction.
Cmtr 09 i3f271 g003
Figure 4. Transconjunctival access with a retrocaruncular extension.
Figure 4. Transconjunctival access with a retrocaruncular extension.
Cmtr 09 i3f271 g004
Figure 5. Tumor resection by piecemeal technique.
Figure 5. Tumor resection by piecemeal technique.
Cmtr 09 i3f271 g005
Figure 6. Intraoperative mesh positioning using the titanium mesh.
Figure 6. Intraoperative mesh positioning using the titanium mesh.
Cmtr 09 i3f271 g006
Figure 7. (ad) Histopathological details.
Figure 7. (ad) Histopathological details.
Cmtr 09 i3f271 g007
Figure 8. (a) Real-time navigation imaging; (b) postoperative CT scan superimposition on preoperative planning.
Figure 8. (a) Real-time navigation imaging; (b) postoperative CT scan superimposition on preoperative planning.
Cmtr 09 i3f271 g008
Figure 9. Clinical results 12 month after surgery.
Figure 9. Clinical results 12 month after surgery.
Cmtr 09 i3f271 g009

Share and Cite

MDPI and ACS Style

Novelli, G.; Gramegna, M.; Tonellini, G.; Valente, G.; Boni, P.; Bozzetti, A.; Sozzi, D. Orbital Osteoblastoma: Technical Innovations in Resection and Reconstruction Using Virtual Surgery Simulation. Craniomaxillofac. Trauma Reconstr. 2016, 9, 271-276. https://doi.org/10.1055/s-0036-1584397

AMA Style

Novelli G, Gramegna M, Tonellini G, Valente G, Boni P, Bozzetti A, Sozzi D. Orbital Osteoblastoma: Technical Innovations in Resection and Reconstruction Using Virtual Surgery Simulation. Craniomaxillofacial Trauma & Reconstruction. 2016; 9(3):271-276. https://doi.org/10.1055/s-0036-1584397

Chicago/Turabian Style

Novelli, Giorgio, Marco Gramegna, Gabriele Tonellini, Gabriella Valente, Pietro Boni, Alberto Bozzetti, and Davide Sozzi. 2016. "Orbital Osteoblastoma: Technical Innovations in Resection and Reconstruction Using Virtual Surgery Simulation" Craniomaxillofacial Trauma & Reconstruction 9, no. 3: 271-276. https://doi.org/10.1055/s-0036-1584397

APA Style

Novelli, G., Gramegna, M., Tonellini, G., Valente, G., Boni, P., Bozzetti, A., & Sozzi, D. (2016). Orbital Osteoblastoma: Technical Innovations in Resection and Reconstruction Using Virtual Surgery Simulation. Craniomaxillofacial Trauma & Reconstruction, 9(3), 271-276. https://doi.org/10.1055/s-0036-1584397

Article Metrics

Back to TopTop