Next Article in Journal
Large Septal Perforation Repair with Pericranial Flap and Intraoperative Fluorescence Angiography
Previous Article in Journal
Malignant Peripheral Nerve Sheath Tumor of the Infraorbital Nerve
 
 
Craniomaxillofacial Trauma & Reconstruction is published by MDPI from Volume 18 Issue 1 (2025). Previous articles were published by another publisher in Open Access under a CC-BY (or CC-BY-NC-ND) licence, and they are hosted by MDPI on mdpi.com as a courtesy and upon agreement with Sage.
Font Type:
Arial Georgia Verdana
Font Size:
Aa Aa Aa
Line Spacing:
Column Width:
Background:
Case Report

The Big Bang: Facial Trauma Caused by Recreational Fireworks

by
Josher Molendijk
*,
Bob Vervloet
,
Eppo B. Wolvius
and
Maarten J. Koudstaal
Department of Oral and Maxillofacial Surgery, Erasmus Medical Center, 3015 CE Rotterdam, The Netherlands
*
Author to whom correspondence should be addressed.
Craniomaxillofac. Trauma Reconstr. 2016, 9(2), 175-180; https://doi.org/10.1055/s-0035-1566164
Submission received: 26 April 2015 / Revised: 19 June 2015 / Accepted: 19 June 2015 / Published: 17 November 2015

Abstract

In the Netherlands, it is a tradition of setting off fireworks to celebrate the turn of the year. In our medical facility, each year patients with severe skeletal maxillofacial trauma inflicted by recreational fireworks are encountered. We present two cases of patients with severe blast injury to the face, caused by direct impact of rockets, and thereby try to contribute to the limited literature on facial blast injuries, their treatment, and clinical outcome. These patients require multidisciplinary treatment, involving multiple reconstructive surgeries, and the overall recovery process is long. The severity of these traumas raises questions about the firework traditions and legislations not only in the Netherlands but also worldwide. Therefore, the authors support restrictive laws on personal use of fireworks in the Netherlands.

It is the Dutch tradition to celebrate the turn of the year with champagne, “oliebollen” (type of doughnut), and setting off fireworks. In contrast to fireworks, the first two are rather innocent, although a misplaced champagne cork can inflict serious damage [1]. The use of fireworks is a common way of celebrating a variety of religious, patriotic, and cultural events or holidays around the world, such as the Fourth of July in the United States, and Diwali in India [2]. The setting of celebrations and holidays, especially in combination with alcohol use, creates the optimal environment for accidents with fireworks, both for people using fireworks as for innocent observers and bystanders. Every year, hundreds of patients are treated in Dutch emergency departments for injuries caused by fireworks, which vary from first-degree burns to severe hand, ocular, and facial trauma [3,4,5,6,7]. Patients with severe skeletal facial trauma caused by accidents with fire-works are encountered in our facility every year. With the increasing use of illegal fireworks in the Netherlands, which often exceeds the legally allowed amount of explosive powder, these severe kinds of trauma are more common [4]. Reports on facial firework blast injuries are sporadic and large series are scarce [8,9,10,11]. In this article, we present two cases of major skeletal maxillofacial trauma treated at the Erasmus Medical Center, Rotterdam, to illustrate the destructive effects of accidents with recreational fireworks. The clinical presentation, management, and outcome are presented and, therefore, we try to contribute to the limited literature characterizing these injuries.

Case 1

A 29-year-old man was hit directly in the face by a rocket in the night of January 1, 2011. The patient was seen at the emergency department of our institution according to the Advanced Trauma Life Support protocol. His airway was threatened due to serious bleeding from extensive soft-tissue injury and the patient was immediately intubated with an endotracheal tube, under the use of etomidate as sedative and succinylcholine as paralytic agent. The patient was hemodynamically stable. Severe soft-tissue injuries to the right side of the face were observed (Figure 1). Adequate examination of vision and sensibility of the face could not be performed.
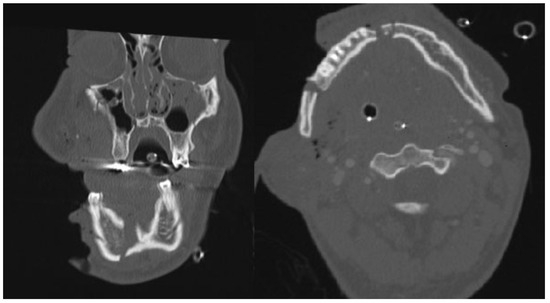
Computed tomography (CT) angiography images of the face, cranium, and the neck were obtained and revealed multiple fractures as follows: communitive fracture of the mandible; a Le Fort 2 fracture; a midline fracture of the maxilla; extensive fractures of the walls of the right maxillary sinus and both right and left orbital floor; a right zygomatic arch fracture; and fracture of the right temporal bone at the temporoman-dibular joint (Figure 2). Also noted were small hyperdense, spherical bodies, which correspond with remnants of explosive powder. Angiography revealed an arterial bleeding on the right side of the face. No intracranial or cervical injuries were found.
Oral and maxillofacial surgery, ophthalmology, and plastic surgery services were consulted and the patient was brought to the operating room immediately after presentation. Extensive debridement by the plastic surgeons was performed and large defects of facial musculature in the buccal region and lesions of the facial nerve and parotid duct were encountered. The facial artery was damaged and clipped intraoperatively. Much explosive powder residue was removed. After replacement of the oral endotracheal tube with a nasopharyngeal tube, the oral and maxillofacial surgeons approached the fractures of the mandible and maxilla through oral incisions. The fractures were reduced and fixated with titanium plates (Figure 3). Finally, the parotic duct was sutured back into the buccal mucosa and the soft tissue was closed.
The patient was brought to the intensive care for observation. The patient was discharged in good clinical condition on hospital day 9. He was readmitted on day 14 posttrauma, after developing a wound dehiscence in the right buccal region, with formation of an orofacial fistula. The plastic surgeon closed the defect with a supraclavicular artery island flap 33 days posttrauma. At 16 and 20 months posttrauma, multiple scar corrections were performed, to correct mutilating scars in the face and a trismus. Healing of the fractures was uncomplicated and vision was only slightly affected. Drooping of the right corner of the mouth persisted due to facial nerve injury, but did not bother the patient (Figure 4).

Case 2

A 27-year old man who presented at the emergency room after a rocket exploded on his right eye on January 1, 2012. The patient was hemodynamically stable on presentation. He could not remember the impact and according to bystanders, the patient was unconscious for several minutes. Substantial periorbital swelling and a laceration above the right eye was seen, and the sensibility of the right cheek was diminished. The ophthalmologist was not able to open his right eye and proper examination of vision was not possible at that moment. During further investigation, the CT scan showed an extensive blow-out fracture of the right orbit, with involvement of all orbital walls and the infraorbital canal (Figure 5). The right globe was completely ruptured. The fracture extended cranially into the frontal sinus, with fracturing of the internal and external wall. Multiple bone fragments were displaced intracranially, accompanied by a subarachnoidal hemorrhage and multiple cerebral contusions. Also, a zygomaticomaxillary complex fracture was described. Consultation of oral and maxillofacial surgery, neurosurgery, and ophthalmology was obtained. The patient was brought to the operating room instantly, and an evisceration of the right eye was performed by the ophthalmology team (Figure 6). On hospital day 4, the swelling was significantly less and management of the facial fractures was performed. Via a coronal incision, the right frontal sinus was approached. The neurosurgery service performed a craniotomy and closed several dura leaks. Next, the posterior wall of the frontal sinus was removed and the nasofrontal duct obliterated, thereby achieving cranialization of the right frontal sinus. Bone fragments of posterior wall were used for reconstruction of the anterior frontal sinus wall and the defects in the orbital walls (Figure 7). The zygoma fracture was reduced and fixated. Recovery was uncomplicated and patient was discharged after several days of observation. A month posttrauma, an acrylic ocular implant was placed by the ophthalmology team. The result was esthetically suboptimal, due to the acquired enophtalmic state of the right orbit. For this reason, reconstructive surgery was performed 18 months posttrauma, in which the right orbital floor was reconstructed using a titanium mesh plate. In the same session, an entropion correction was done by the ophthalmology service (Figure 8). Sensibility of the regions enervated by the second and third trigeminal branch remained disturbed due to damage of these nerves.

Discussion

The described cases in this article demonstrate that firework blast injuries of the face are complex cases and are associated with soft and hard-tissue injuries with loss of tissue, extensive fractures, ocular injuries, and the presence of foreign bodies, such as explosive powder residue. In the first case, the airway was threatened by bleeding and immediate intubation was successfully performed. Stabilizing the patient is essential before treatment of facial injuries. More life-threatening injuries and casualties caused by firework-related injuries have been reported [10].
Adequate management of facial blast injuries requires a multidisciplinary approach. After life-threatening injuries are treated first, consultation of the different services should be obtained. The specialties generally involved are plastic surgery; oral and maxillofacial surgery; neurosurgery; ear-, nose-, and throat surgery; ophthalmology; and anesthesiology. The goal of treatment is restoring oral, ocular, and facial function and esthetics. Secondary reconstructive surgeries, cosmetic procedures, and, in the second case of our report, prosthetic treatment were performed to achieve these goals. Overall, the process of recovery is long and often requires multiple surgeries and follow-up visits. Attention should be given to the social and psychological effects this has on the patient. Mutilating scars on the face are often present, wherefore possibilities for psychological guidance should be offered. Also, the intense and multidisciplinary treatments of these injuries and the possible lifelong impairment create substantial costs for society. The incidence, treatment, and outcome of firework-related ocular and hand trauma in the Netherlands are well described and documented each year [3,4,5,6]. A comparison that exemplifies the seriousness of the situation is that the incidence of ocular injury during New Years for 2 consecutive years in the Netherlands exceeded the amount of ocular trauma seen in American soldiers during a period of 3.5 years in Iraq and Afghanistan [12]. Despite the amount of published work on ocular firework injuries, literature characterizing other facial firework trauma is scarce and mostly exists of case reports [8,9,10]. Tadisina et al. [10]. presented a case series of four patients with facial blast injuries caused by firework and reported on their treatment and clinical outcome. During New Year 2012–2013, the Dutch Society of Plastic Surgery (NVPC) reported 62 patients managed by plastic surgeons for firework-related injuries, from which 3 had a facial trauma [5]. Unfortunately, these where not further defined.
Illegal fireworks, such as homemade fireworks or fireworks originating from countries with less rigid firework legislation, can contain significantly more explosive powder than consumer types and therefore can cause more severe injuries. The explosive power of certain illegal fireworks equals that of a hand grenade [13] At the Dutch New Year 2014–2015, 39% of the firework-related visits to the emergency room were due to illegal fireworks, which is around two times the amount of the previous year [3,4]. Of these patients, 50% required hospitalization, versus the 14% of patients injured by legal fireworks [4]. The specific types of fireworks involved in our cases were not available, due to the retrospective nature of this report. The force needed to create these severe trauma suggests that these were inflicted by illegal fireworks. With the increasing use of dangerous illegal fireworks, the number of patients with severe injury is also expected to increase.
Victims of firework injuries are predominantly young males and the portion of patients who were innocent bystanders has been reported as high as 50% [2,3,4,5,6,7]. Both of the described patients in our article were involved in setting off fireworks themselves.
Owing to the potential devastating effect of these injuries, prevention of firework accidents is of profound importance. In the Netherlands, educational campaigns are used to explain the danger of fireworks and to advocate safe use of fireworks. Besides these national governmental campaigns, ophthalmologists and plastic surgeons are pleading for a total ban on recreational fireworks [5,6]. Wisse et al concluded in a systematic review of the literature that the incidence rate ofocular trauma is 87% lower in countries and regions with restrictive laws on personal use of fireworks [7].
Facial blast injuries are devastating injuries and can lead to impairment of ocular, oral, and facial function, and require long-term multidisciplinary treatment. These injuries can have serious psychological, social, and financial consequences for that patient and the community. Therefore, the authors support a ban on personal use of fireworks in the Netherlands.

Financial Disclosure

The authors have no financial interest to declare in relation to the content of this article.

References

  1. Keunen, J.E.E.; Storimans, C.W.J.M. With an eye on. the champagne cork [in Dutch]. Ned Tijdschr Geneeskd 1994, 138, 2594–2596. [Google Scholar] [PubMed]
  2. Puri, V.; Mahendru, S.; Rana, R.; Deshpande, M. Firework injuries: a ten-year study. J Plast Reconstr Aesthet Surg 2009, 62, 1103–1111. [Google Scholar] [CrossRef]
  3. Veiligheid, N.L. Vuurwerkongevallen 2013–2014. Amsterdam. Available online: http://www.veiligheid.nl/csi/veiligheidnl.nsf/0/D5008D18820C51E3C1257C7E004D7191/$file/Vuurwerkonge-vallen%202013-2014.pdf (accessed on 10 January 2015).
  4. Veiligheid, N.L. Beperking afsteektijden zorgt voor minder vuurwerkslachtoffers. Amsterdam. Available online: http://www.veiligheid.nl/nieuws/beperking-afsteektijden-zorgt-voor-minder-vuurwerkslach-toffers (accessed on 10 January 2015).
  5. Edskes, S.N.; Smeulders, M.J.C.; van der Zee, C.W.; Zophel, O.T.; Van de Kar, A.L. Jaarwisseling 2012–2013: Vuurwerkletsels behandeld door plastisch chirurgen. Ned Tijdschr Plastische Chirurgie 2014, 5, 63–65. [Google Scholar]
  6. de Faber, J.T.H.N. Fireworks injuries treated by Dutch ophthalmologists New Year 2008/’09 [in Dutch]. Ned Tijdschr Geneeskd 2009, 153, A507. [Google Scholar] [PubMed]
  7. Wisse, R.P.; Bijlsma, W.R.; Stilma, J.S. Ocular firework trauma: a systematic review on incidence, severity, outcome and prevention. Br J Ophthalmol 2010, 94, 1586–1591. [Google Scholar] [PubMed]
  8. Romano, F.; Catalfamo, L.; Siniscalchi, E.N.; et al. Complex craniofacial trauma resulting from fireworks blast. J Craniofac Surg 2008, 19, 322–327. [Google Scholar] [PubMed]
  9. Di Benedetto, G.; Grassetti, L.; Forlini, W.; Bertani, A. An explosion in the mouth caused by a firework. J Plast Reconstr Aesthet Surg 2009, 62, e145–e146. [Google Scholar]
  10. Tadisina, K.K.; Abcarian, A.; Omi, E. Facial firework injury: a case series. West J Emerg Med 2014, 15, 387–393. [Google Scholar] [PubMed]
  11. Nam, S.M. An explosion in the oral cavity by a firecracker. J Craniofac Surg 2013, 24, e510–e512. [Google Scholar] [PubMed]
  12. Weichel, E.D.; Colyer, M.H.; Ludlow, S.E.; Bower, K.S.; Eiseman, A.S. Combat ocular trauma visual outcomes during operations Iraqi and enduring freedom. Ophthalmology 2008, 115, 2235–2245. [Google Scholar] [PubMed]
  13. NOS. Vuurwerk heeft kracht handgranaat. Available online: http://nos.nl/artikel/590986-vuurwerk-heeft-kracht-handgranaat.html (accessed on 15 January 2015).
Figure 1. Severe facial soft-tissue injury after firework blast to the face in patient 1.
Figure 1. Severe facial soft-tissue injury after firework blast to the face in patient 1.
Cmtr 09 i2f175 g001
Figure 3. Postoperative three-dimensional computed tomography reconstruction image of patient 1 after reconstructive surgery.
Figure 3. Postoperative three-dimensional computed tomography reconstruction image of patient 1 after reconstructive surgery.
Cmtr 09 i2f175 g002
Figure 2. Preoperative computed tomography scan of patient 1, coronal and transversal plane, respectively.
Figure 2. Preoperative computed tomography scan of patient 1, coronal and transversal plane, respectively.
Cmtr 09 i2f175 g003
Figure 4. Clinical photograph of patient 1 after the reconstructive surgeries. Drooping of the right corner of the mouth is seen due to facial nerve injury.
Figure 4. Clinical photograph of patient 1 after the reconstructive surgeries. Drooping of the right corner of the mouth is seen due to facial nerve injury.
Cmtr 09 i2f175 g004
Figure 5. Preoperative three-dimensional reconstruction image (left) and computed tomography scan (right) of patient 2.
Figure 5. Preoperative three-dimensional reconstruction image (left) and computed tomography scan (right) of patient 2.
Cmtr 09 i2f175 g005
Figure 6. Clinical photograph of patient 2 after evisceration of the right eye.
Figure 6. Clinical photograph of patient 2 after evisceration of the right eye.
Cmtr 09 i2f175 g006
Figure 7. Postoperative three-dimensional reconstruction image (left) and computed tomography scan (right) of patient 1 after reconstructive surgery, coronal plane (above) and sagittal plane (below).
Figure 7. Postoperative three-dimensional reconstruction image (left) and computed tomography scan (right) of patient 1 after reconstructive surgery, coronal plane (above) and sagittal plane (below).
Cmtr 09 i2f175 g007
Figure 8. Clinical photograph of patient 2 after reconstructive surgery of the right orbital floor and a correction of an entropion.
Figure 8. Clinical photograph of patient 2 after reconstructive surgery of the right orbital floor and a correction of an entropion.
Cmtr 09 i2f175 g008

Share and Cite

MDPI and ACS Style

Molendijk, J.; Vervloet, B.; Wolvius, E.B.; Koudstaal, M.J. The Big Bang: Facial Trauma Caused by Recreational Fireworks. Craniomaxillofac. Trauma Reconstr. 2016, 9, 175-180. https://doi.org/10.1055/s-0035-1566164

AMA Style

Molendijk J, Vervloet B, Wolvius EB, Koudstaal MJ. The Big Bang: Facial Trauma Caused by Recreational Fireworks. Craniomaxillofacial Trauma & Reconstruction. 2016; 9(2):175-180. https://doi.org/10.1055/s-0035-1566164

Chicago/Turabian Style

Molendijk, Josher, Bob Vervloet, Eppo B. Wolvius, and Maarten J. Koudstaal. 2016. "The Big Bang: Facial Trauma Caused by Recreational Fireworks" Craniomaxillofacial Trauma & Reconstruction 9, no. 2: 175-180. https://doi.org/10.1055/s-0035-1566164

APA Style

Molendijk, J., Vervloet, B., Wolvius, E. B., & Koudstaal, M. J. (2016). The Big Bang: Facial Trauma Caused by Recreational Fireworks. Craniomaxillofacial Trauma & Reconstruction, 9(2), 175-180. https://doi.org/10.1055/s-0035-1566164

Article Metrics

Back to TopTop