Next Article in Journal
Deformation of a Titanium Calvarial Implant following Trauma: A Case Report
Previous Article in Journal
Condylar Fracture in a Child with Entrapment of the Inferior Alveolar Nerve
 
 
Craniomaxillofacial Trauma & Reconstruction is published by MDPI from Volume 18 Issue 1 (2025). Previous articles were published by another publisher in Open Access under a CC-BY (or CC-BY-NC-ND) licence, and they are hosted by MDPI on mdpi.com as a courtesy and upon agreement with Sage.
Font Type:
Arial Georgia Verdana
Font Size:
Aa Aa Aa
Line Spacing:
Column Width:
Background:
Case Report

Orbital Compartment Syndrome Leading to Visual Loss Following Orbital Floor Reconstruction

by
Srinivas M. Susarla
1,
Arthur J. Nam
2 and
Amir H. Dorafshar
1,*
1
Department of Plastic Surgery, Johns Hopkins Hospital, Baltimore, MD, USA
2
Department of Plastic Surgery, Shock Trauma Center, University of Maryland Medical System, Baltimore, MD, USA
*
Author to whom correspondence should be addressed.
Craniomaxillofac. Trauma Reconstr. 2016, 9(2), 152-157; https://doi.org/10.1055/s-0035-1558456
Submission received: 29 September 2014 / Revised: 1 March 2015 / Accepted: 1 March 2015 / Published: 24 July 2015

Abstract

Reconstruction of posttraumatic orbital defects carries the attendant risk of injury to the ocular adnexa, globe, and associated neurovascular structures. Blindness following repair of orbital fractures is an infrequent but well-documented phenomenon. Visual acuity loss can be related to direct intraoperative injury to the optic nerve, retinal arterial occlusion, or delayed presentation of acute optic nerve injury. In this report, we document a unique case of acute optic nerve infarction occurring 14 h following orbital floor exploration and repair in a 56-year-old man.

Orbital fractures are commonly encountered in patients with facial injuries and, as such, frequently managed by craniomaxillofacial surgeons.[1,2,3,4,5,6,7,8,9,10] High-energy mechanisms can cause significant disruption of the orbital skeletal framework, with a mean reported rate of acute visual loss on the order of 2%.[1,6,7,8,9,10] Ocular injuries are most frequently encountered in patients with periorbital and blowout fractures; blindness is most commonly associated with high-energy zygomaticomaxillary complex fractures.[6] The pathophysiology of blindness following orbital injury is related to damage of the globe or optic nerve and may occur as a component of the initial injury or as a complication of open repair. Direct injuries to the globe, central retinal vasculature, or optic neurovascular bundle, optic canal fractures, retrobulbar hemorrhage, retinal detachment, or intracranial injury may result in acute blindness. Blindness in the setting of acute orbital trauma is reported to occur in 2 to 5% of patients.[6,7,8,9,10] Following repair, blindness may result from direct injury to the optic nerve during orbital exploration, central retinal artery occlusion secondary to edema, or delayed presentation of an acute injury. Rates of blindness following orbital fracture repair are fortunately low, occurring in 0.2 to 0.4% of patients.[1,11]

Case Report

A 56-year-old man with a medical history notable for depression and hyperlipidemia was brought to the emergency department for evaluation of left-sided facial injuries sustained following blunt trauma. The patient sustained these injuries following a mechanical fall from a ladder, approximately 10 feet, striking the left side of his face on grass. On initial presentation, he complained of mild pain and swelling over his left eye and over his nasal dorsum. He denied pain with eye movement, blurred/double vision, tearing, difficulty breathing, nasal bleeding, facial numbness, headaches, or photophobia.
The patient’s vital signs were within the normal adult range on presentation, with a heart rate of 78, blood pressure of 125/88, respiratory rate of 12, and oxygen saturation of 96% on room air. Physical examination (Figure 1) was notable for moderate left-sided periorbital edema and ecchymosis, with abrasions over the nasal dorsum and infraorbital regions and a rightward deviated nasal tip. The nasal bones were tender to palpation, with associated crepitus. Intranasal speculum examination was notable for a rightward septal deviation without evidence of active hemorrhage or hematoma. Ocular movements were full in the right eye (OD), but restricted in superior and inferior gaze in the left eye (OS). An ophthalmologic evaluation demonstrated visual acuity of 20/30 in both eyes without anisocoria and symmetric bilateral pupillary response to light (4 mm → 2 mm). The intraocular pressures were 19 mm Hg OD and 23 mm Hg OS. There was no subconjunctival hemorrhage or hyphema noted in the right eye; there was mild subconjunctival hemorrhage in the left eye but no hyphema. There was no evidence of an afferent pupillary defect in either eye. The examination was otherwise unremarkable.
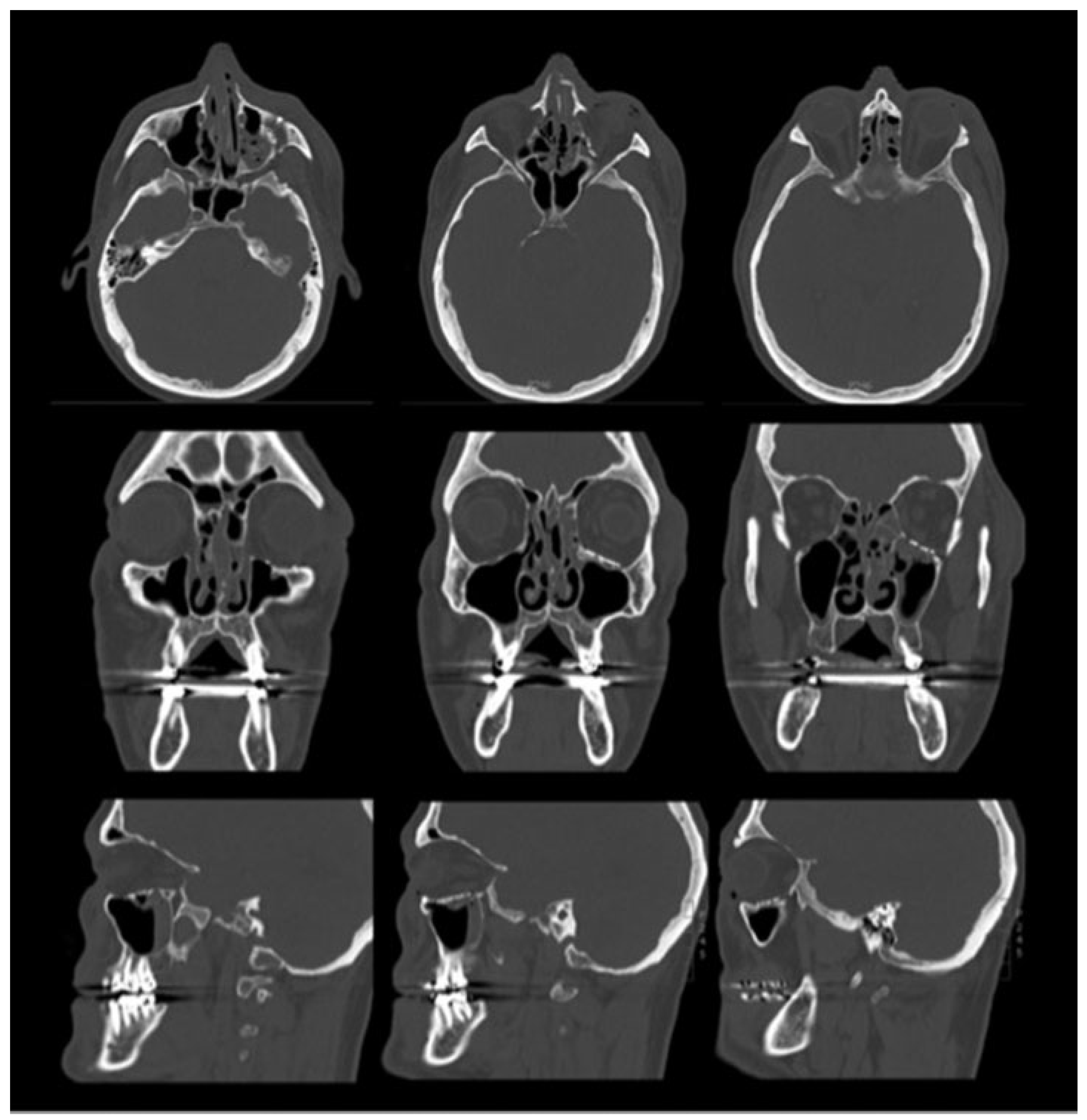
Maxillofacial computed tomography demonstrated a fracture of the left orbital floor, with herniation of fat into the maxillary antrum and left nasal bone fractures, as well as a deviated nasal septum (Figure 2). There was no evidence of retrobulbar hemorrhage, inferior rectus entrapment, or fracture into the orbital apex. Routine preoperative laboratory evaluations, including coagulation studies, were unremarkable.
The patient was taken to the operating room approximately 12 h following injury for open reduction and internal fixation. He was intubated orally and a corneal shield was placed for protection of the left globe. The orbital floor was subsequently exposed using a standard retroseptal trans-conjunctival approach. Subperiosteal dissection was performed to expose the limits of the orbital floor defect. No intraorbital hematoma or active hemorrhage was identified. There was minimal postseptal edema and the pertinent anatomical landmarks (anterior, medial, lateral, and posterior margins of the defect, lacrimal crest, prolapsed orbital fat, infraorbital nerve, etc.) were readily identifiable. The prolapsed orbital fat was reduced and the orbital floor reconstructed using a titanium mesh implant (Synthes, DePuy Synthes, West Chester, PA). Placement of the implant was confirmed by direct visualization of the implant on the posterior ledge of the fracture and with passive seating along the medial, lateral, and anterior ledges. The nasal bone fracture and displaced septum were reduced in a closed fashion and a malleable splint was applied. The margins of the transconjunctival incision were passively aligned; the wound was not closed.
Following completion of reduction and fixation, forced ductions were checked. There was no restriction noted. Pupillary examination was notable for bilateral reactivity to light, with consensual response. Neither globe appeared proptotic or tense. There was no afferent pupillary defect noted.
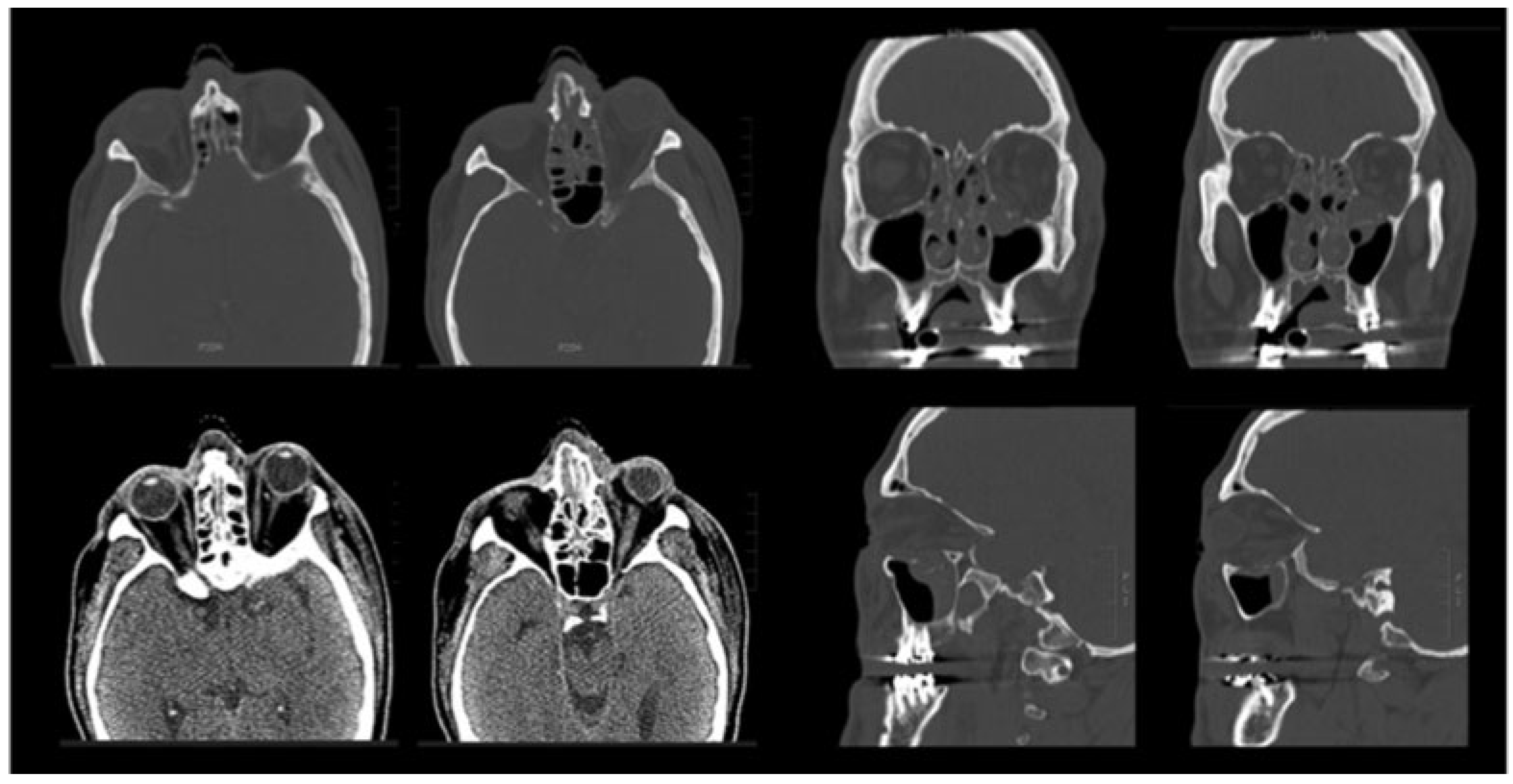
The patient was subsequently extubated and visual acuity was noted to be intact, with pupillary light response present before leaving the operating room. A maxillofacial CT was performed immediately postoperatively and demonstrated reconstitution of the orbital volume, with adequate placement of the hardware and no evidence of retrobulbar hemorrhage or impingement of the orbital apex by the hardware (Figure 3). Of note, there were no documented episodes of hypo- or hypertension intraoperatively.
The patient was taken to the postanesthesia care unit, where he underwent visual acuity and light perception checks hourly. The first checks were performed by the surgical team and subsequent checks performed by the nursing staff. Light perception checks were performed hourly by completely obscuring the nonexamined eye while examining the other eye. Upon arrival in the recovery room, the patient was noted to have full light perception in both eyes, full ocular movements with mild pain OS on superior gaze, and pupillary size and response consistent with the baseline examination. Gross visual acuity was assessed 2 h postoperatively in both eyes by covering the nonexamined eye and having the patient read a clock on the wall, approximately 20 feet away and was noted to be intact in both eyes. The patient continued to have light perception and gross visual acuity checks every hour by the nursing staff, with a check by the surgical resident on call at 6 h postoperatively (4 h since the last check by a surgical house officer). The examination at these time points was otherwise notable for mild left periorbital swelling, without proptosis, and with preserved ocular movements. There was no evidence of an afferent pupillary defect during these initial checks. His vital signs remained stable, with no documented episodes of hypotension or hypertension.
Fourteen hours postoperatively, the patient experienced a sudden onset visual acuity loss in the left eye, as documented by the nursing staff. Bedside examination was notable for a mildly proptotic left globe, with full restriction on superior and inferior gaze, no light perception, and an afferent pupillary defect. Ophthalmoscopy was notable for trace hyperemia of the left optic nerve without evidence of papilledema. Intraocular pressures were 19 mm Hg OD and 53 mm Hg OS. The head of bed was elevated, intravenous steroid was given, and acetazolamide drops were administered OS.
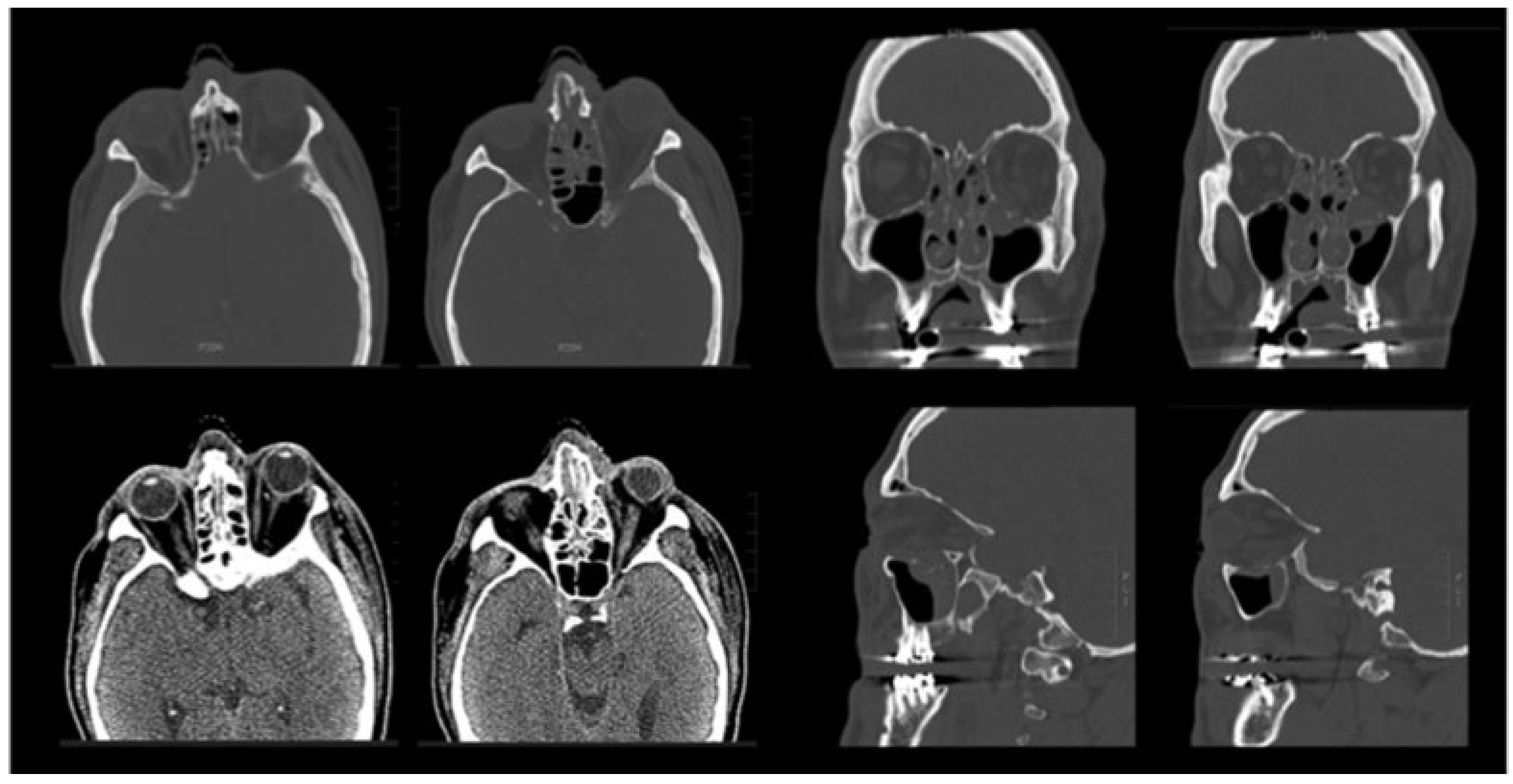
The patient was taken emergently (within 40 min of symptom onset) to the operating room for orbital decompression and hardware removal (no imaging was obtained at this time due to the clear clinical diagnosis and necessity of urgent operative management). This was accomplished via the same transconjunctival incision with an additional lateral canthotomy. Intraoperatively, there was no evidence of intraorbital hematoma, active hemorrhage, or old clot. The orbital floor plate was removed, and a portion of the orbital floor and medial wall excised to aid with decompression. Postoperative imaging was notable for removal of the hardware and bony decompression, without evidence of retrobulbar hemorrhage, but mild proptosis of the left globe (Figure 4). The optic nerve was noted to mildly stretched, secondary to intraorbital edema.
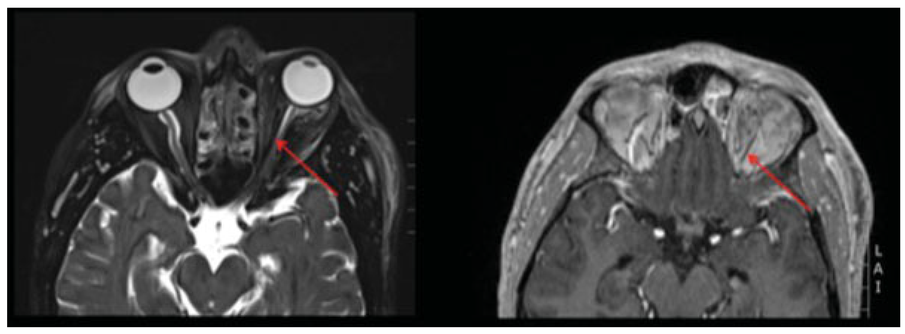
Immediately following decompression, the patient was noted to have a persistent afferent pupillary defect OS. Intraocular pressures were 11 mm Hg OD and 38 mm Hg OS. High-dose steroids were initiated to assist with edema control. The intraocular pressure in the left eye continued to improve following decompression and was 15 mm Hg 8 h after decompression. He continued to be examined serially by the surgical and ophthalmology teams. There was no improvement in light perception in the left eye. A subsequent magnetic resonance angiogram, taken on postoperative day 1, demonstrated infarction of the left optic nerve (Figure 5). The patient subsequently underwent bony decompression of the optic canal. He was followed and had no recovery of visual acuity at 6 months postdecompression (20/400 OS).

Discussion

Orbital injuries are common among patients who sustain blunt trauma to the face. Fractures of the orbital skeleton occur because of energy transfer to the orbital framework, presumably to avoid injury to the globe and ocular adnexa. Although injuries to the orbital skeleton are not infrequent in patients with facial trauma seen at major trauma centers, acute visual impairment and blindness are fortunately rare, occurring in 2 to 5% of patients.[1,6,7,8,9,10] However, due to the potential for significant morbidity associated with an unrecognized ocular injury, ophthalmologic evaluation of patients with orbital trauma is the accepted standard of care.
Injury to the optic nerve or globe can conversely occur during operative management of orbital fractures. Orbital exploration can result in traction injuries to the optic nerve, central retinal vascular occlusion, direct injury to the optic nerve from aggressive dissection or impingement from hardware, or compression syndromes involving the orbital apex from retrobulbar hemorrhage or overcorrection of volume deformities. The craniomaxillofacial surgeon treating orbital fractures must be aware of these potential complications and perform meticulous assessments of vision and globe function pre-, intra-, and postoperatively.
In the case described herein, the patient was noted to have light perception and gross visual acuity in the operative eye up to 14 h postoperatively. This was followed by sudden onset visual loss, prompting emergent decompression. The patient subsequently was found to have an optic nerve infarction.
This case represents an acute evolution of visual impairment following orbital floor repair. In many instances of visual impairment after orbital exploration, the impairment is apparent intraoperatively or immediately postoperatively. The delay, in this case, of several hours makes this case unusual. There are several potential explanations for the observed clinical course.
It is possible that the patient sustained an optic nerve injury during the operation and that the injury was either (1) not recognized by the care providers postoperatively or (2) was in evolution during the postoperative course and not apparent by clinical examination until fully evolved. The first scenario is unlikely, as the patient was examined by several different examiners, all of whom have significant experience with visual assessment in maxillofacial trauma patients. As a tertiary referral center for patients with traumatic injuries, the surgical nursing and resident staffs at our institution are well trained to assess visual acuity and light perception among patients with facial trauma. Although it is possible that a single examiner would potentially fail to identify an optic nerve injury, the likelihood that several examiners, at different time points, would fail to identify such an injury or that the patient would not complain of such an injury is unlikely. The second scenario may represent a threshold phenomenon, whereby the pathology in evolution would not be clinically apparent until a threshold was crossed.
Empirically, this is consistent with an “orbital compartment syndrome,” possibly related to postsurgical edema superimposed over the postinjury edema. As the intraorbital pressure increases, the pressure on the ophthalmic neurovascular bundle increases. This will be first manifest by loss of nerve function, as is typical in progression of compartment syndrome. Doppler measurements of the mean arterial pressure of the ophthalmic artery have demonstrated mean ophthalmic artery pressure indices (ophthalmic artery pressure/systolic blood pressure) of 0.6 to 0.7.[12,13] At the time of visual loss, the patient’s systolic blood pressure was 110 mm Hg. Extrapolating from known data in healthy subjects, this would correspond to an ophthalmic systolic pressure of 66 to 77 mm Hg.[12,13] Using the intraocular pressure as a proxy for intraorbital pressure, at the time of visual loss, the intraorbital pressure was potentially on the order of 53 mm Hg, potentially in excess of the mean arterial pressure for the ophthalmic artery. In this setting, an argument could be made for routine postoperative ophthalmologic evaluation of patients with orbital injuries undergoing surgical repair. However, a recent work by Peacock et al. demonstrated that routine postoperative ophthalmologic assessments in patients with orbital trauma did not identify ocular injuries requiring a change in management.[14] Finally, one could argue that delayed management is a more judicious approach, to allow time for swelling to resolve and avoid the potential overlap of surgical edema over pre-existing posttraumatic edema. Although this may be empirically sound, this is contrary to historical evidence from our institution, which demonstrated no significant increase in adverse ocular events in a population of patients undergoing immediate extended open reduction of midface and orbital fractures.[2]
An alternative explanation is that the patient suffered from an ischemic infarct to the optic nerve unrelated to direct trauma or swelling. It is possible that local embolic phenomena resulted in a critical occlusion of the ophthalmic artery, resulting in optic nerve infarction and that this was either related to a carotid atheroma (most common cause), trauma, surgical manipulation, or an incidental finding. Although the patient had a known history of hyperlipidemia, there was no documented evidence of carotid artery stenosis. In addition, embolic phenomena would be unlikely to case an intraocular pressure of 53 mm Hg. The time course of sudden visual loss is consistent with this pattern of injury, as is the magnetic resonance angiography finding of ipsilateral ophthalmic artery signal loss. Although this is a potential explanation for the findings, the ophthalmologic examination at the time of acute vision loss was not consistent with findings associated with central retinal artery occlusion (retinal pallor, “cherry” red spot). A hypotensive episode could potentially cause ischemia, but there was no relative hypotension in this patient without known hypertensive disease and a documented history of normal outpatient systolic blood pressure.
Though the etiology of blindness in this case remains elusive, it is imperative that the craniomaxillofacial surgeon be vigilant about pre-, intra-, and postoperative assessment of visual acuity in the patient with orbital trauma. Although fortunately rare, the consequences of optic nerve injury can be devastating.

References

  1. Girotto, J.A.; Gamble, W.B.; Robertson, B.; et al. Blindness after reduction of facial fractures. Plast Reconstr Surg 1998, 102, 1821–1834. [Google Scholar] [CrossRef] [PubMed]
  2. Manson, P.N.; Crawley, W.A.; Yaremchuk, M.J.; Rochman, G.M.; Hoopes, J.E.; French, J.H., Jr. Midface fractures: Advantages of immediate extended open reduction and bone grafting. Plast Reconstr Surg 1985, 76, 1–12. [Google Scholar] [CrossRef]
  3. Kallela, I.; Hyrkäs, T.; Paukku, P.; Iizuka, T.; Lindqvist, C. Blindness after maxillofacial blunt trauma. Evaluation of candidates for optic nerve decompression surgery. J Craniomaxillofac Surg 1994, 22, 220–225. [Google Scholar] [CrossRef]
  4. Vaca, E.E.; Mundinger, G.S.; Kelamis, J.A.; et al. Facial fractures with concomitant open globe injury: Mechanisms and fracture patterns associated with blindness. Plast Reconstr Surg 2013, 131, 1317–1328. [Google Scholar] [CrossRef]
  5. Berestka, J.S.; Rizzo, J.F., III. Controversy in the management of traumatic optic neuropathy. Int Ophthalmol Clin 1994, 34, 87–96. [Google Scholar] [CrossRef]
  6. Magarakis, M.; Mundinger, G.S.; Kelamis, J.A.; Dorafshar, A.H.; Bojovic, B.; Rodriguez, E.D. Ocular injury, visual impairment, and blindness associated with facial fractures: A systematic literature review. Plast Reconstr Surg 2012, 129, 227–233. [Google Scholar] [CrossRef] [PubMed]
  7. Holt, J.E.; Holt, G.R. Ocular injuries in craniofacial trauma. Facial Plast Surg 1988, 5, 237–242. [Google Scholar] [CrossRef]
  8. Holt, G.R.; Holt, J.E. Incidence of eye injuries in facial fractures: An analysis of 727 cases. Otolaryngol Head Neck Surg 1983, 91, 276–279. [Google Scholar] [CrossRef] [PubMed]
  9. Holt, J.E.; Holt, G.R.; Blodgett, J.M. Ocular injuries sustained during blunt facial trauma. Ophthalmology 1983, 90, 14–18. [Google Scholar] [CrossRef]
  10. Zachariades, N.; Papavassiliou, D.; Christopoulos, P. Blindness after facial trauma. Oral Surg Oral Med Oral Pathol Oral Radiol Endod 1996, 81, 34–37. [Google Scholar] [CrossRef] [PubMed]
  11. Ord, R.A. Post-operative retrobulbar haemorrhage and blindness complicating trauma surgery. Br J Oral Surg 1981, 19, 202–207. [Google Scholar] [CrossRef]
  12. Strauss, A.L.; Kedra, A.W. Experiences with a new procedure for the measurement of the ophthalmic artery pressure: Ophthalmomanometry-Doppler. Med Instrum 1987, 21, 255–261. [Google Scholar] [PubMed]
  13. Strauss, A.L.; Kedra, A.W. Non-invasive measurement of ophthalmic artery pressure by ophthalmomanometry-Doppler. Lancet 1986, 2, 870. [Google Scholar] [CrossRef]
  14. Peacock, Z.S.; Boulos, T.; Miller, J.B.; Gardiner, M.F.; Chuang, S.K.; Troulis, M.J. Orbital fractures and ocular injury: Is a postoperative ophthalmology examination necessary? J Oral Maxillofac Surg 2014, 72, 1533–1540. [Google Scholar] [CrossRef] [PubMed]
Figure 1. A 56-year-old man who sustained fall from a ladder, resulting in a left orbital floor fracture and left nasal bone fracture. On presentation, he had moderate periorbital edema and ecchymosis.
Figure 1. A 56-year-old man who sustained fall from a ladder, resulting in a left orbital floor fracture and left nasal bone fracture. On presentation, he had moderate periorbital edema and ecchymosis.
Cmtr 09 9i152 g001
Figure 2. Preoperative computed tomography. Axial (top row), coronal (middle row), and sagittal (bottom row) images show a sizeable orbital floor defect with herniation of soft tissue contents into the maxillary antrum, without evidence of extraocular muscle entrapment, globe injury, or retrobulbar hemorrhage.
Figure 2. Preoperative computed tomography. Axial (top row), coronal (middle row), and sagittal (bottom row) images show a sizeable orbital floor defect with herniation of soft tissue contents into the maxillary antrum, without evidence of extraocular muscle entrapment, globe injury, or retrobulbar hemorrhage.
Cmtr 09 9i152 g002
Figure 3. Immediate postoperative computed tomography. Axial (top row), coronal (middle row), and sagittal (bottom row) images show reconstruction of the orbital floor with a titanium mesh implant. The orbital volume is almost fully restored. There is no evidence of impingement of the hardware on the optic canal and no retrobulbar hemorrhage.
Figure 3. Immediate postoperative computed tomography. Axial (top row), coronal (middle row), and sagittal (bottom row) images show reconstruction of the orbital floor with a titanium mesh implant. The orbital volume is almost fully restored. There is no evidence of impingement of the hardware on the optic canal and no retrobulbar hemorrhage.
Cmtr 09 9i152 g003
Figure 4. Postdecompression computed tomography. There has been interval removal of the orbital floor implant and some of the bony floor, with significant edema and proptosis of the left globe.
Figure 4. Postdecompression computed tomography. There has been interval removal of the orbital floor implant and some of the bony floor, with significant edema and proptosis of the left globe.
Cmtr 09 9i152 g004
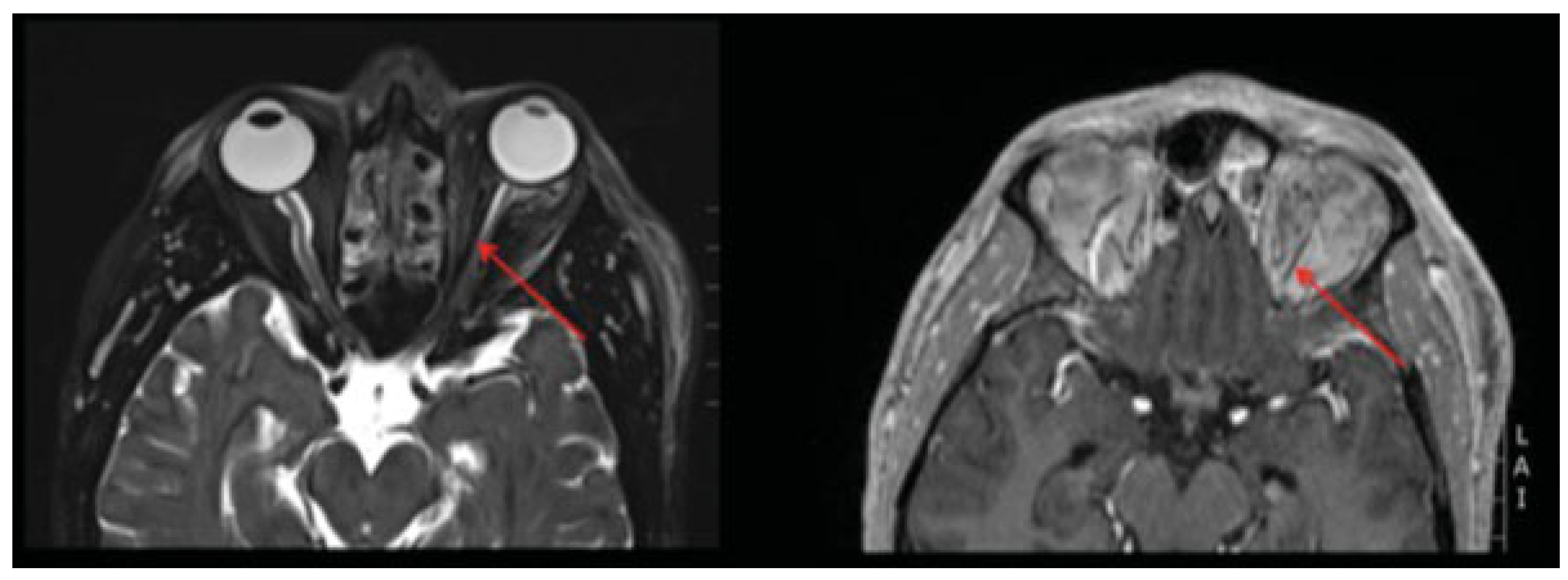
Figure 5. Postdecompression magnetic resonance angiography. T2-weighted image (left) and fat saturated image (right) infarction of the optic nerve (arrows).
Figure 5. Postdecompression magnetic resonance angiography. T2-weighted image (left) and fat saturated image (right) infarction of the optic nerve (arrows).
Cmtr 09 9i152 g005

Share and Cite

MDPI and ACS Style

Susarla, S.M.; Nam, A.J.; Dorafshar, A.H. Orbital Compartment Syndrome Leading to Visual Loss Following Orbital Floor Reconstruction. Craniomaxillofac. Trauma Reconstr. 2016, 9, 152-157. https://doi.org/10.1055/s-0035-1558456

AMA Style

Susarla SM, Nam AJ, Dorafshar AH. Orbital Compartment Syndrome Leading to Visual Loss Following Orbital Floor Reconstruction. Craniomaxillofacial Trauma & Reconstruction. 2016; 9(2):152-157. https://doi.org/10.1055/s-0035-1558456

Chicago/Turabian Style

Susarla, Srinivas M., Arthur J. Nam, and Amir H. Dorafshar. 2016. "Orbital Compartment Syndrome Leading to Visual Loss Following Orbital Floor Reconstruction" Craniomaxillofacial Trauma & Reconstruction 9, no. 2: 152-157. https://doi.org/10.1055/s-0035-1558456

APA Style

Susarla, S. M., Nam, A. J., & Dorafshar, A. H. (2016). Orbital Compartment Syndrome Leading to Visual Loss Following Orbital Floor Reconstruction. Craniomaxillofacial Trauma & Reconstruction, 9(2), 152-157. https://doi.org/10.1055/s-0035-1558456

Article Metrics

Back to TopTop