Evaluation of Different Patterns of Zygomaticoorbital Complex Fractures
Abstract
:Introduction
Material and Methods
Patient Collection
Data Collection
Demographics
- Patients’ age and gender
Injury details
- Etiology of trauma
- Fracture laterality (right/left side)
- Fracture location according to the anatomic sutures of the zygoma
- Radiologic involvement of maxillary sinus wall and paranasal buttress fractures.
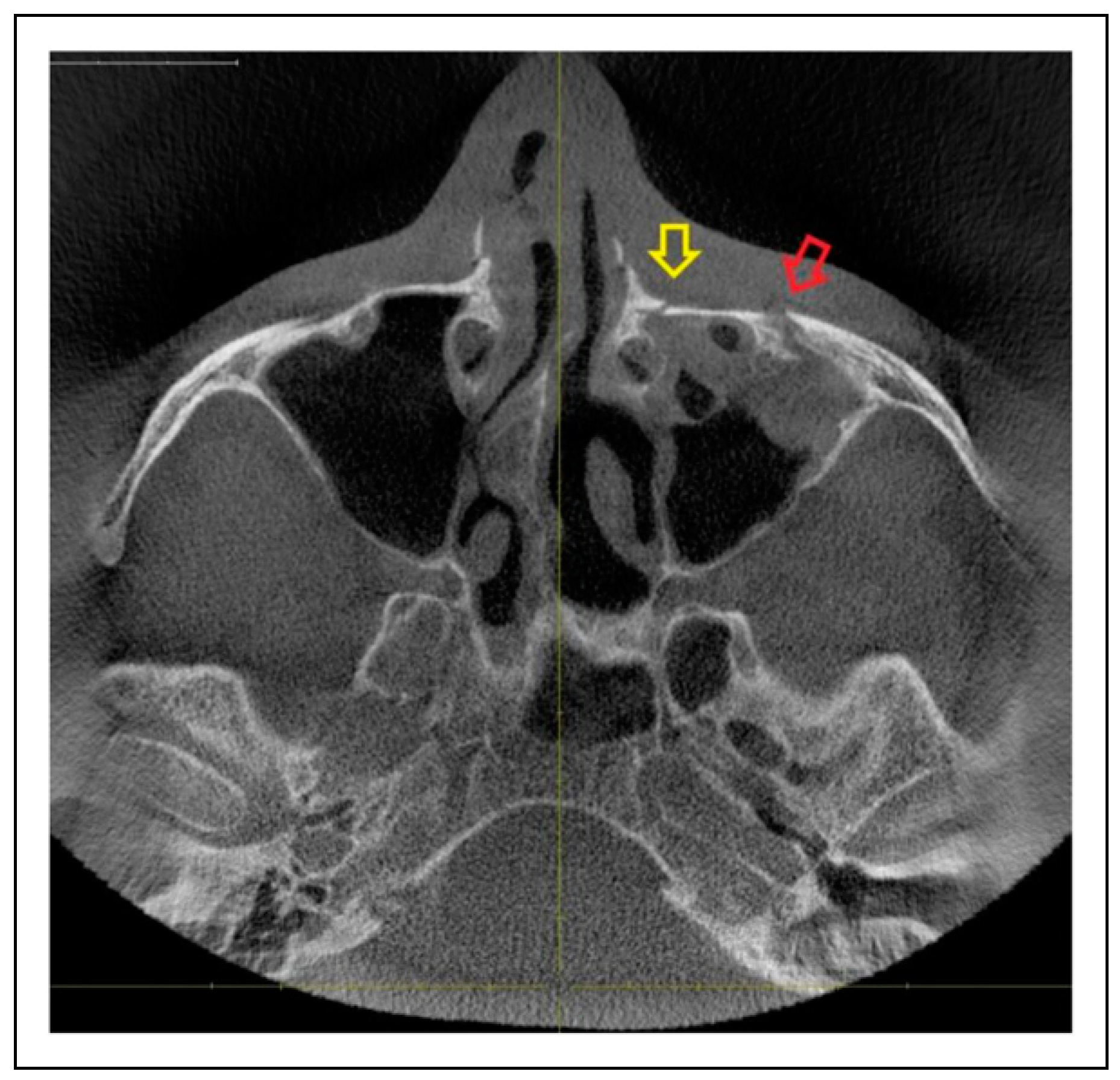
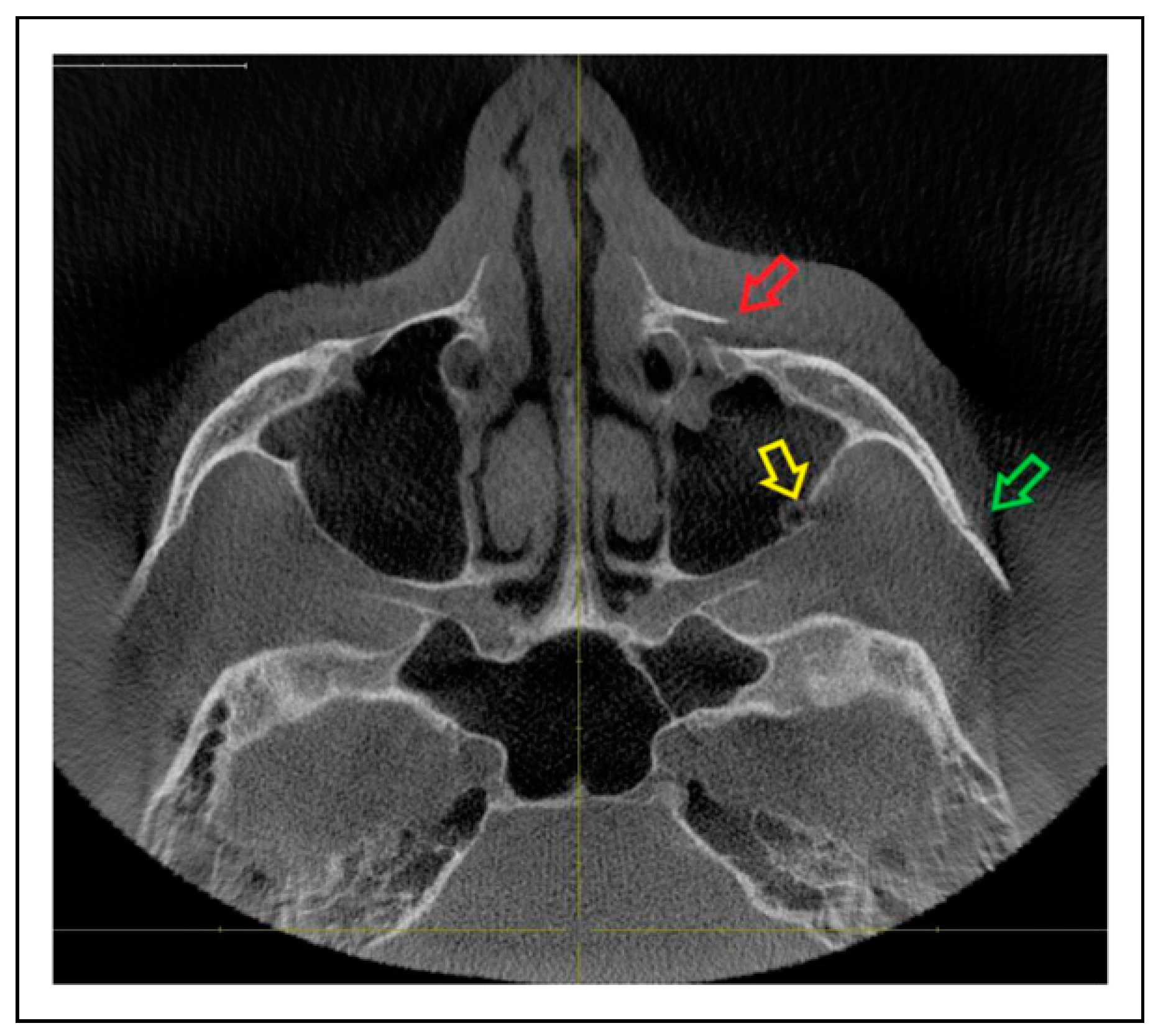
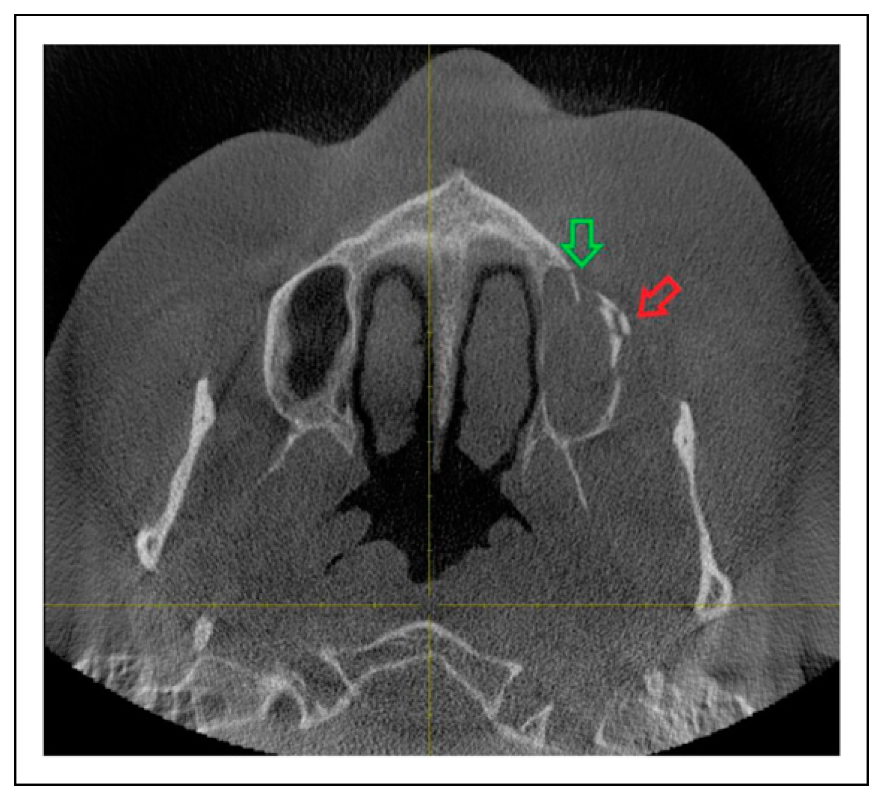
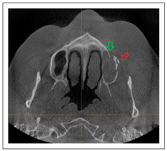
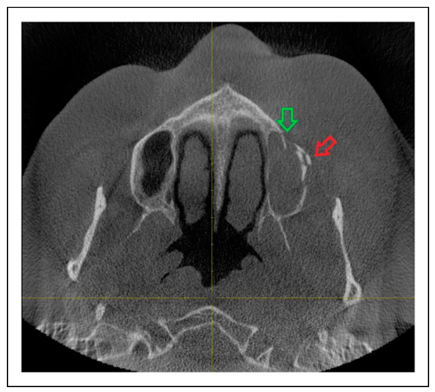
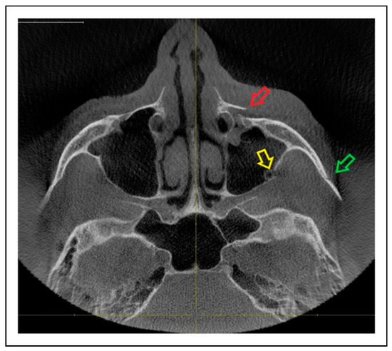
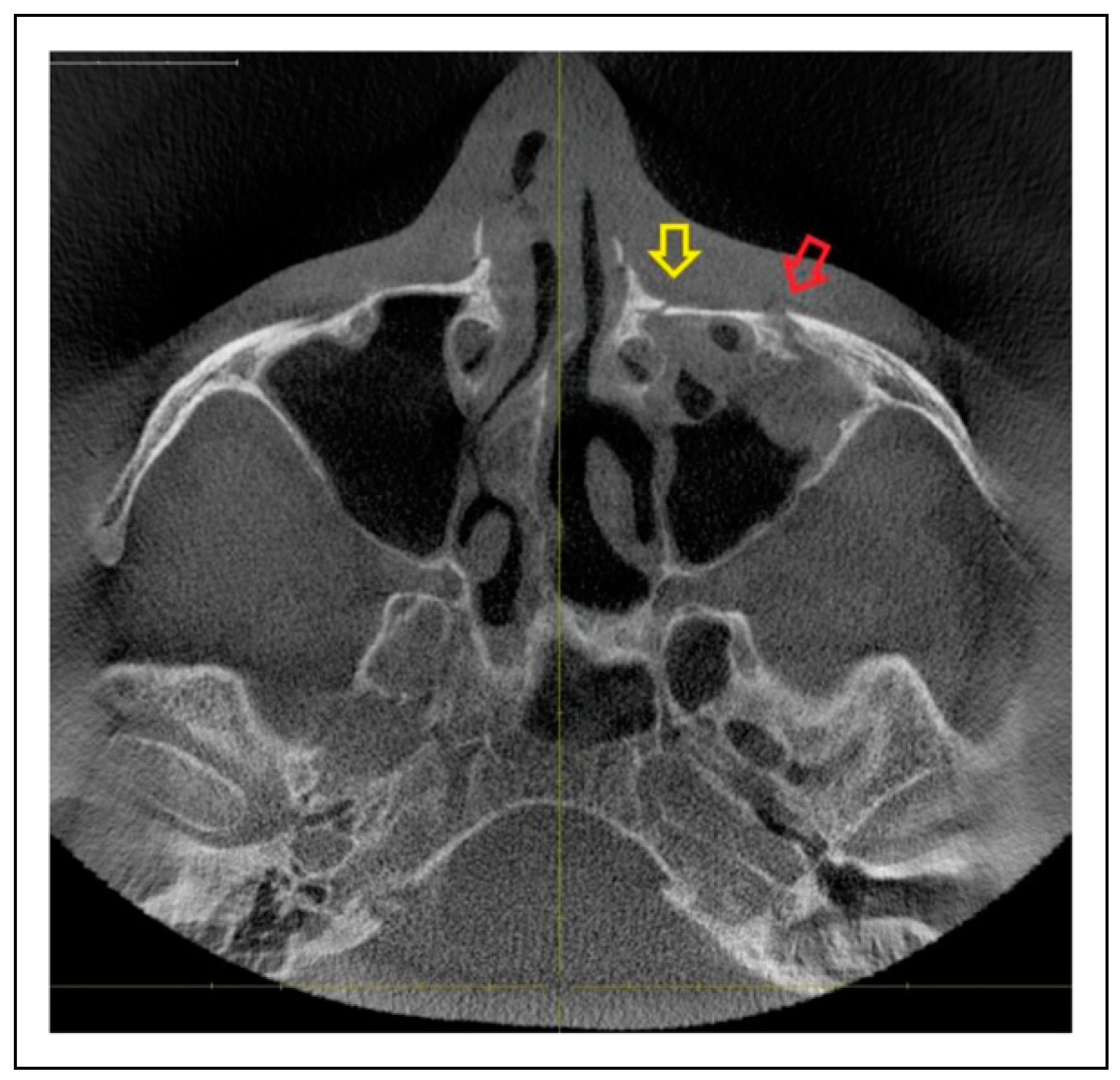
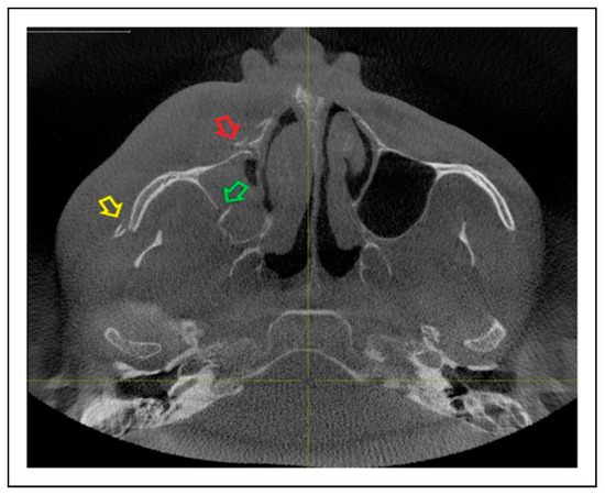
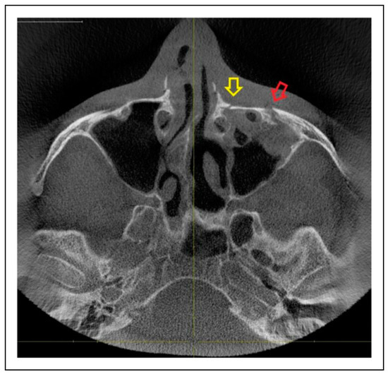
Patterns of ZMO Fractures Regarding the Anatomic Sutures of the Zygoma
- Unisutural fracture (isolated fracture of a single anatomic suture of the zygoma):
- -
- Zygomaticomaxillary suture (ZM)
- -
- Infraorbital rim (IOR)
- -
- Zygomaticofrontal suture (ZF)
- -
- Zygomaticosphenoidal suture (ZS)—the anterolateral orbital floor
- -
- Zygomaticotemporal suture (ZT)
- Bisutural fracture with the following fracture line combinations:
- -
- ZM suture + IOR
- -
- ZM suture + ZS suture
- -
- IOR + ZF suture
- -
- IOR + ZS suture
- -
- ZF suture + ZS suture
- Trisutural fracture with the following fracture line combinations:
- -
- ZM suture + IOR + ZS suture
- -
- ZM suture + ZF suture + ZS suture
- -
- ZM suture + IOR + ZT
- -
- IOR + ZF suture + ZS suture
- -
- IOR + ZF suture + ZT
- -
- IOR + ZS suture + ZT
- Tetrasutural fracture with the following fracture line combinations:
- -
- ZM suture + IOR + ZF suture + ZS suture
- -
- ZM suture + IOR + ZS suture + ZT
- -
- IOR + ZF suture + ZS suture + ZT
- Complete ZMO fracture involving all 5 anatomic sutures of the zygoma:
- -
- ZM suture + IOR + ZF suture + ZS suture + ZT
Surgical Treatment
Statistical Analysis
Results
Demographic Distribution
Trauma Etiology
Patterns of ZMO Fractures Regarding the Anatomic Sutures of the Zygoma
Fracture Prevalence of Maxillary Sinus Wall and Paranasal Buttress as Concomitance to the ZMO
Discussion
Conclusion
Ethical Statement
Funding
Acknowledgments
Declaration of Conflicting Interests
Ethical Approval
References
- Alharbi, F.A.; Makrami, A.M.; Ali, F.M.; Maghdi, A.A. Patterns and etiology of maxillofacial fractures: A 5-year retrospective study. J Contemp Dent Pract. 2020, 21, 445–452. [Google Scholar] [PubMed]
- Gadkari, N.; Bawane, S.; Chopra, R.; Bhate, K.; Kulkarni, D. Comparative evaluation of 2-point vs 3-point fixation in the treatment of zygomaticomaxillary complex fractures—A systematic review. J Cranio-Maxillo-Fac Surg. 2019, 47, 1542–1550. [Google Scholar] [CrossRef]
- Rothweiler, R.; Bayer, J.; Zwingmann, J.; et al. Outcome and complications after treatment of facial fractures at different times in polytrauma patients. J Cranio-Maxillo-Fac Surg. 2018, 46, 283–287. [Google Scholar] [CrossRef]
- Kunz, C.; Audigé, L.; Cornelius, C.P.; et al. The comprehensive AOCMF classification system: Midface fractures—level 2 tutorial. Craniomaxillofac Trauma Reconstr. 2014, 7, S059–S067. [Google Scholar] [CrossRef] [PubMed]
- Haworth, S.; Bates, A.; Beech, A.; Knepil, G. A clinical decision rule to predict zygomatico-maxillary fractures. J Cranio-Maxillo-Fac Surg. 2017, 45, 1333–1337. [Google Scholar] [CrossRef] [PubMed]
- van Hout, W.M.M.T.; Van Cann, E.M.; Koole, R.; Rosenberg, A.J.W.P. Surgical treatment of unilateral zygomaticomaxillary complex fractures: A 7-year observational study assessing treatment outcome in 153 cases. J Cranio-Maxillo-Fac Surg. 2016, 44, 1859–1865. [Google Scholar] [CrossRef]
- Bartoli, D.; Fadda, M.T.; Battisti, A.; et al. Retrospective analysis of 301 patients with orbital floor fracture. J Cranio-Maxillo-Fac Surg. 2015, 43, 244–247. [Google Scholar] [CrossRef]
- Ellis, E. , 3rd.; Perez, D. An algorithm for the treatment of isolated zygomatico-orbital fractures. J Oral Maxillofac Surg. 2014, 72, 1975–1983. [Google Scholar] [CrossRef]
- Raschke, G.F.; Rieger, U.M.; Bader, R.D.; et al. The zygomaticomaxillary complex fracture-an anthropometric appraisal of surgical outcomes. J Cranio-Maxillo-Fac Surg. 2013, 41, 331–337. [Google Scholar] [CrossRef]
- Audigé, L.; Cornelius, C.P.; Di Ieva, A.; Prein, J.; CMF Classification Group 6. The first AO classification system for fractures of the craniomaxillofacial skeleton: Rationale, methodological background, developmental process, and objectives. Craniomaxillofac Trauma Reconstr. 2014, 7, S006–S014. [Google Scholar]
- Cornelius, C.P.; Audigé, L.; Kunz, C.; et al. The comprehensive AOCMF classification system: midface fractures—level 3 tutorial. Craniomaxillofac Trauma Reconstr. 2014, 7, S068–S091. [Google Scholar] [CrossRef] [PubMed]
- World Medical Association Declaration of Helsinki. World Medical Association Declaration of Helsinki. Ethical principles for medical research involving human subjects. Bull World Health Organ. 2001, 79, 373–374. [Google Scholar]
- Brucoli, M.; Boffano, P.; Broccardo, E.; et al. The “European zygomatic fracture” research project: The epidemiological results from a multicenter European collaboration. J Cranio-Maxillo-Fac Surg. 2019, 47, 616–621. [Google Scholar] [CrossRef] [PubMed]
- Blumer, M.; Kumalic, S.; Gander, T.; et al. Retrospective analysis of 471 surgically treated zygomaticomaxillary complex fractures. J Cranio-Maxillo-Fac Surg. 2018, 46, 269–273. [Google Scholar] [CrossRef]
- Mijiti, A.; Ling, W.; Tuerdi, M.; et al. Epidemiological analysis of maxillofacial fractures treated at a university hospital, Xinjiang, China: A 5-year retrospective study. J Cranio-Maxillo-Fac Surg. 2014, 42, 227–233. [Google Scholar] [CrossRef]
- Salentijn, E.G.; Boverhoff, J.; Heymans, M.W.; van den Bergh, B.; Forouzanfar, T. The clinical and radiographical characteristics of zygomatic complex fractures: A comparison between the surgically and non-surgically treated patients. J Cranio-Maxillo-Fac Surg. 2014, 42, 492–497. [Google Scholar] [CrossRef]
- Boffano, P.; Roccia, F.; Zavattero, E.; et al. Assault-related maxillofacial injuries: The results from the European Maxillofacial Trauma (EURMAT) multicenter and prospective collaboration. Oral Surg Oral Med Oral Pathol Oral Radiol. 2015, 119, 385–391. [Google Scholar] [CrossRef]
- Jin, K.S.; Lee, H.; Sohn, J.B.; et al. Fracture patterns and causes in the craniofacial region: an 8-year review of 2076 patients. Maxillofac Plast Reconstr Surg. 2018, 40, 29. [Google Scholar] [CrossRef]
- Sharma, R.; Muralidharan, C.G.; Roy, I.D.; Jain, N.K.; Patrikar, S. Radiological evaluation of sphenozygomatic suture fixation for restoration of orbital volume: A retrospective study. J Cranio-Maxillo-Fac Surg. 2016, 44, 1903–1908. [Google Scholar] [CrossRef]
- Ho, J.P.T.F.; Schreurs, R.; Aydi, S.; et al. Natural variation of the zygomaticomaxillary complex symmetry in normal individuals. J Cranio-Maxillo-Fac Surg. 2017, 45, 1927–1933. [Google Scholar] [CrossRef]
- Buller, J.; Zirk, E.; Kreppel, M.; et al. Radiomorphometric analysis of isolated zygomatic arch fractures: A comparison of classifications and reduction outcomes. J Cranio-Maxillo-Fac Surg. 2018, 46, 1252–1257. [Google Scholar] [CrossRef] [PubMed]
- Nasr, W.F.; ElSheikh, E.; El-Anwar, M.W.; Sweed, A.H.; Bessar, A.; Ezzeldin, N. Two- versus three-point internal fixation of displaced zygomaticomaxillary complex fractures. Cranio-maxillofac Trauma Reconstr. 2018, 11, 256–264. [Google Scholar] [CrossRef]
- Wilde, F.; Schramm, A. Intraoperative imaging in orbital and midface reconstruction. Facial Plast Surg. 2014, 30, 545–553. [Google Scholar] [PubMed]
- Jazayeri, H.E.; Khavanin, N.; Yu, J.W.; et al. Fixation points in the treatment of traumatic zygomaticomaxillary complex fractures: A systematic review and meta-analysis. J Oral Maxillofac Surg. 2019, 77, 2064–2073. [Google Scholar] [CrossRef] [PubMed]
- Ali-Alsuliman, D.; Ibrahim, E.H.; Braimah, R.O. Patterns of zygomatic complex bone fracture in Saudi Arabia. J Emerg Trauma Shock. 2018, 11, 170–174. [Google Scholar]
- Lee, C.W.; Foo, Q.C.; Wong, L.V.; Leung, Y.Y. An overview of maxillofacial trauma in Oral and Maxillofacial Tertiary Trauma Centre, Queen Elizabeth Hospital, Kota Kinabalu, Sabah. Craniomaxillofac Trauma Reconstr. 2017, 10, 16–21. [Google Scholar] [CrossRef]
- Starch-Jensen, T.; Linnebjerg, L.B.; Jensen, J.D. Treatment of zygomatic complex fractures with surgical or nonsurgical intervention: A retrospective study. Open Dent J. 2018, 12, 377–387. [Google Scholar] [CrossRef]
- Strong, E.B.; Gary, C. Management of zygomaticomaxillary complex fractures. Facial Plast Surg Clin North Am. 2017, 25, 547–562. [Google Scholar] [CrossRef]
- Farber, S.J.; Nguyen, D.C.; Skolnick, G.B.; Woo, A.S.; Patel, K.B. Current management of zygomaticomaxillary complex fractures: A multidisciplinary survey and literature review. Craniomaxillofac Trauma Reconstr. 2016, 9, 313–322. [Google Scholar] [CrossRef]
- Vandenbroucke, J.P.; von Elm, E.; Altman, D.G.; et al. Strengthening the reporting of observational studies in epidemiology (STROBE): Explanation and elaboration. Int J Surg 2014, 12, 1500–1524. [Google Scholar] [CrossRef]















© 2023 by the author. The Author(s) 2023.
Share and Cite
Sakkas, A.; Weiß, C.; Pietzka, S.; Wilde, F.; Thiele, O.C.; Mischkowski, R.A. Evaluation of Different Patterns of Zygomaticoorbital Complex Fractures. Craniomaxillofac. Trauma Reconstr. 2024, 17, 92-103. https://doi.org/10.1177/19433875231161906
Sakkas A, Weiß C, Pietzka S, Wilde F, Thiele OC, Mischkowski RA. Evaluation of Different Patterns of Zygomaticoorbital Complex Fractures. Craniomaxillofacial Trauma & Reconstruction. 2024; 17(2):92-103. https://doi.org/10.1177/19433875231161906
Chicago/Turabian StyleSakkas, Andreas, Christel Weiß, Sebastian Pietzka, Frank Wilde, Oliver Christian Thiele, and Robert Andreas Mischkowski. 2024. "Evaluation of Different Patterns of Zygomaticoorbital Complex Fractures" Craniomaxillofacial Trauma & Reconstruction 17, no. 2: 92-103. https://doi.org/10.1177/19433875231161906
APA StyleSakkas, A., Weiß, C., Pietzka, S., Wilde, F., Thiele, O. C., & Mischkowski, R. A. (2024). Evaluation of Different Patterns of Zygomaticoorbital Complex Fractures. Craniomaxillofacial Trauma & Reconstruction, 17(2), 92-103. https://doi.org/10.1177/19433875231161906
