Extended Total Temporomandibular Joint Replacement—A Feasible Option for Functional and Aesthetic Reconstruction of Mandibular Defects Involving the Temporomandibular Joint
Abstract
:Introduction
Patients and Methods
Results
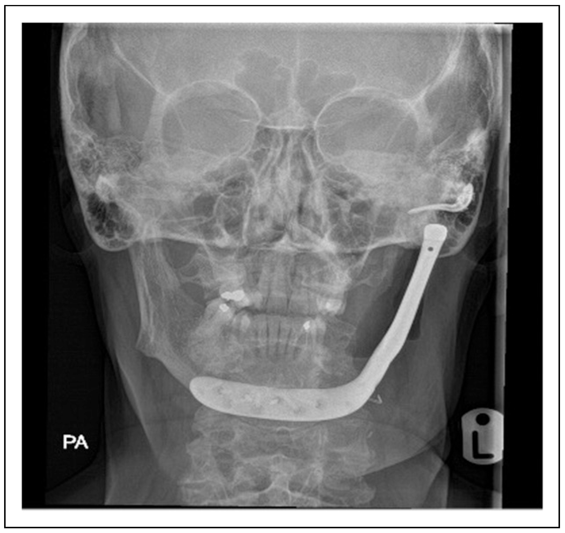
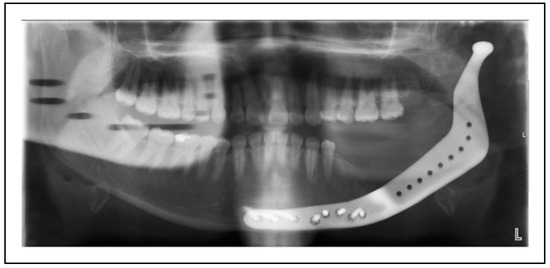
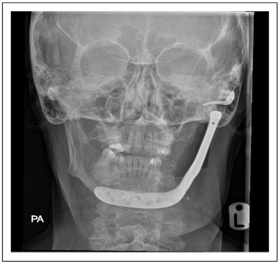
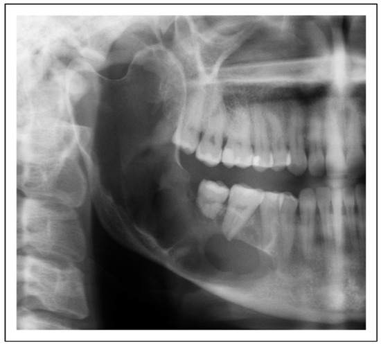
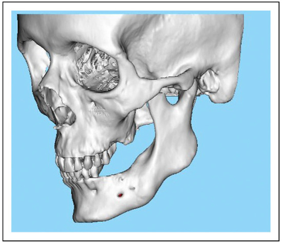
Case Examples
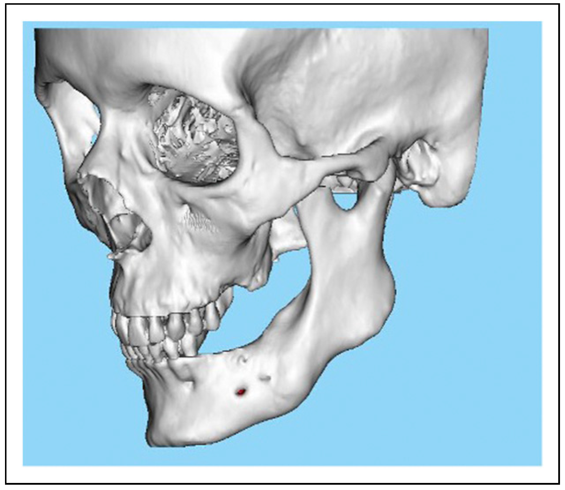
- Two-stage regime with simultaneous bone graft, patient 5
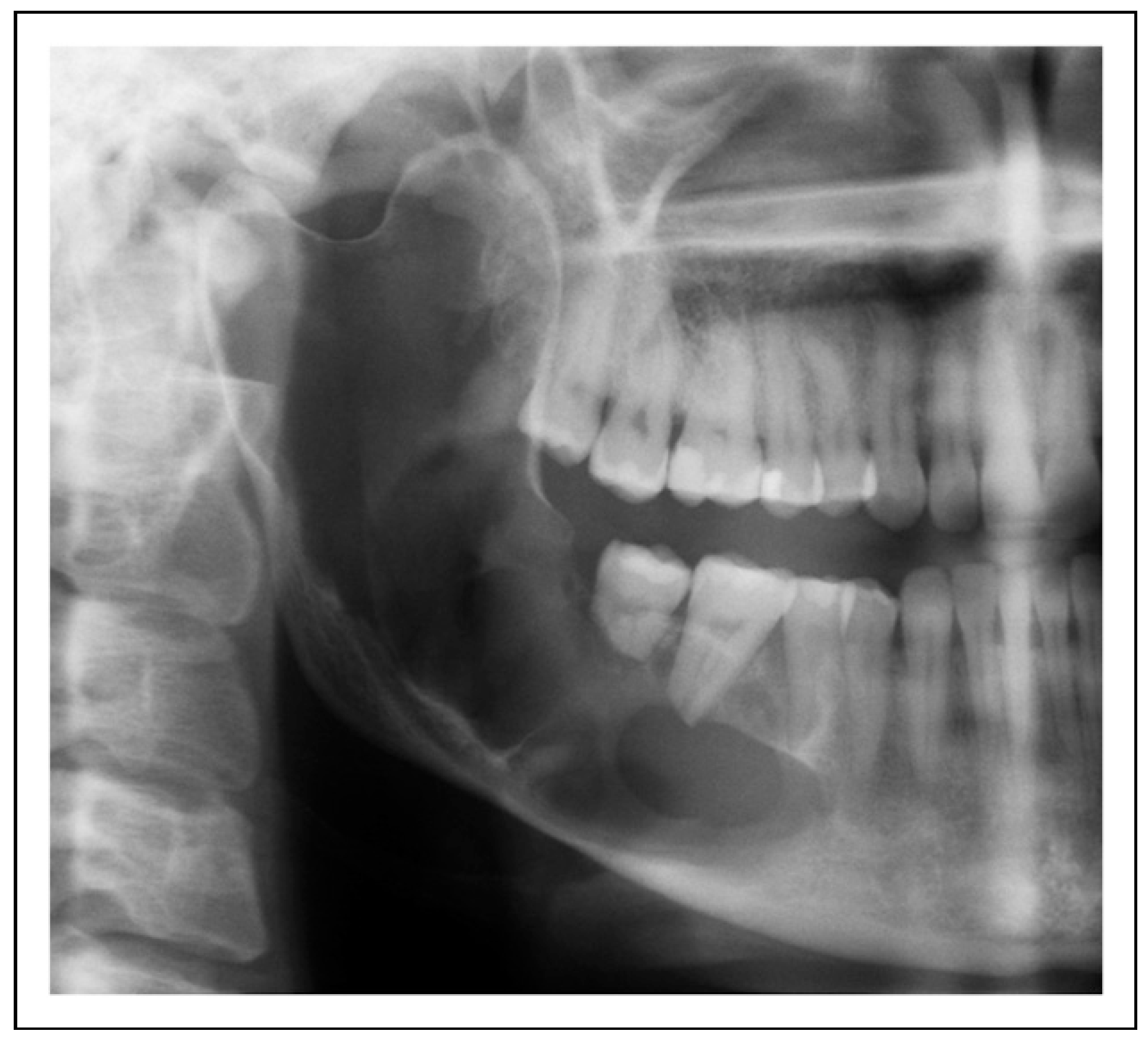
Two-Stage Regime, Patient 1
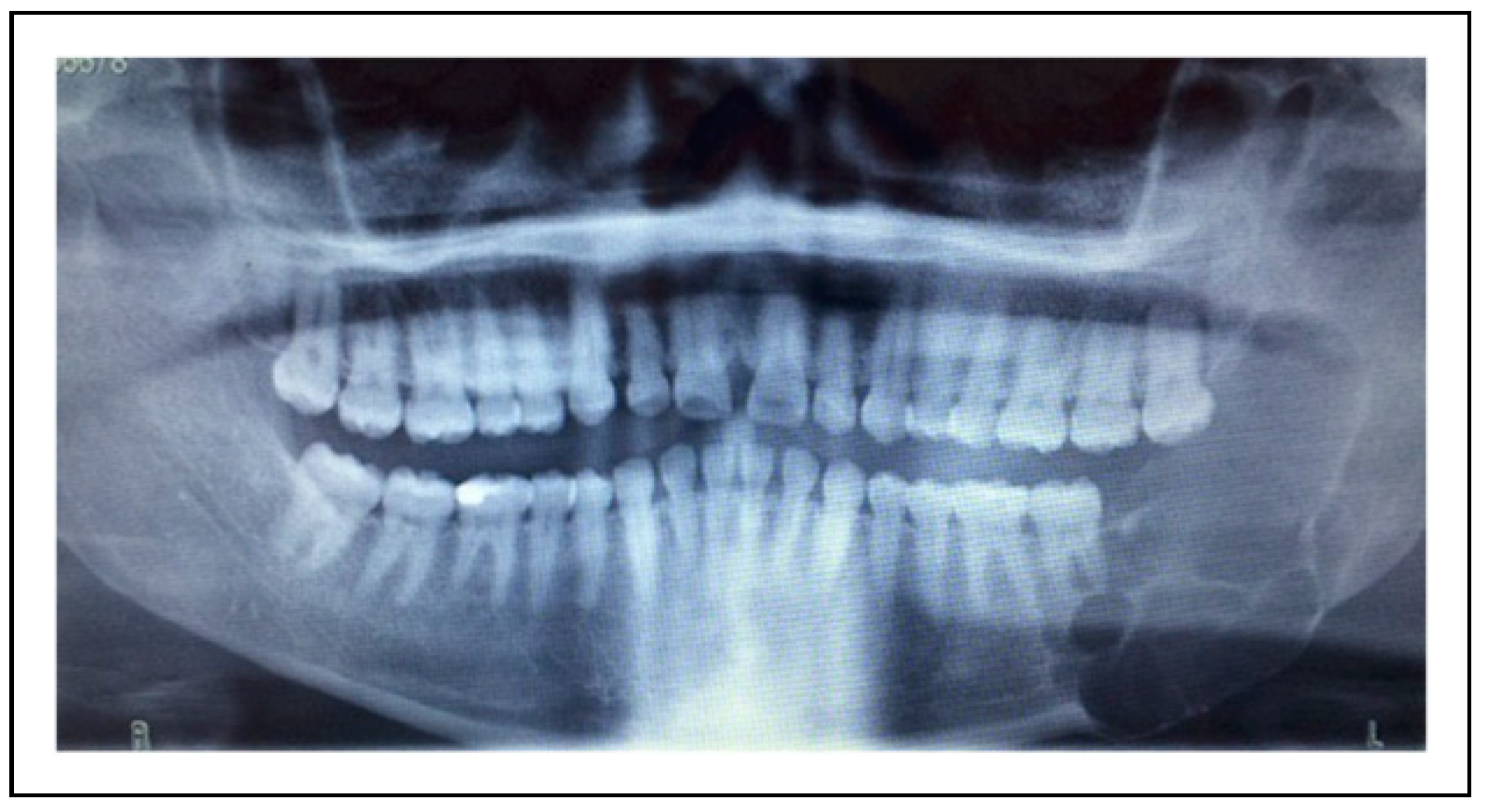
Single-Stage Regime, Patient 10
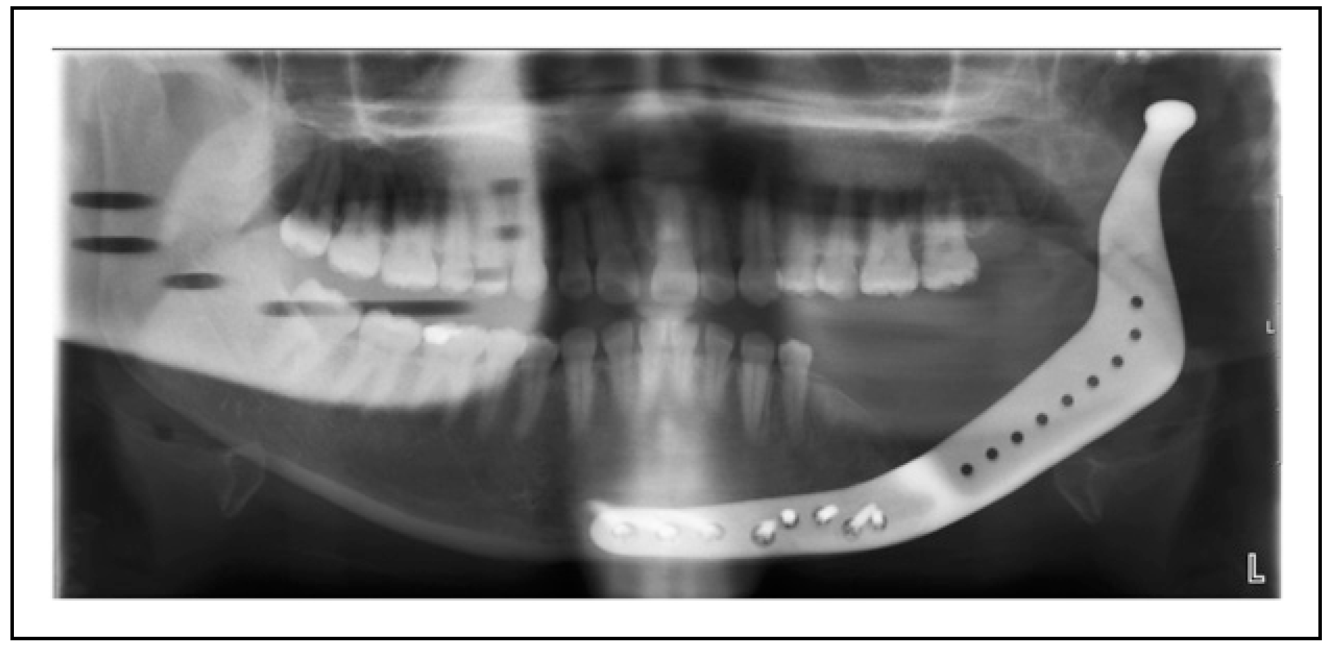
Bilateral TMJ Replacement With Complete Replacement of the Mandible, Patient 8
Discussion
Single-Stage Procedure
Two-Stage Procedure
The Authors Recommend
- If a spacer is used, it should be designed slightly smaller than the original mandible.
- Application of tight intermaxillary fixation at this stage for up to 3 months.
- Strict avoidance of solid, or insertion of a nasogastric tube may be considered.
- If pathology allows management as single stage is favoured.
- If dental rehabilitation is planned, simultaneous bone grafting at the time of TMJe insertion is recom- mended and should be considered in the planning of the device.
Conclusion
Funding
Ethical Approval
Conflicts of Interest
References
- Sidebottom, A.J.; surgeons, U.T.r.; Maxillofacial, S.; British Association of O. Guidelines for the replacement of temporomandibular joints in the United Kingdom. Br. J. Oral Maxillofac. Surg. 2008, 46, 146–147. [Google Scholar] [CrossRef] [PubMed]
- Mercuri, L.G.; Wolford, L.M.; Sanders, B.; White, R.D.; Hurder, A.; Henderson, W. Custom CAD/CAM total temporomandibular joint reconstruction system: Preliminary multicenter report. J. Oral Maxillofac. Surg. 1995, 53, 106–115, discussion 15-6. [Google Scholar] [CrossRef] [PubMed]
- Mercuri, L.G. Subjective and objective outcomes in patients reconstructed with a custom-fitted alloplastic temporomandibular joint prosthesis. J. Oral Maxillofac. Surg. 1999, 57, 1427–1430. [Google Scholar] [CrossRef]
- Bredell, M.; Gratz, K.; Obwegeser, J.; Gujer, A.K. Management of the temporomandibular joint after ablative surgery. Craniomaxillofac. Trauma. Reconstr. 2014, 7, 271–279. [Google Scholar] [CrossRef]
- Hidalgo, D.A. Fibula free flap: A new method of mandible reconstruction. Plast. Reconstr. Surg. 1989, 84, 71–79. [Google Scholar] [CrossRef] [PubMed]
- Disa, J.J.; Cordeiro, P.G. Mandible reconstruction with microvascular surgery. Semin. Surg. Oncol. 2000, 19, 226–234. [Google Scholar] [CrossRef]
- Petrovic, I.; Baser, R.; Blackwell, T.; et al. Long-Term Functional and Esthetic Outcomes after Fibula Free Flap Reconstruction of the Mandible; Head & Neck: Hoboken, NJ, USA, 2019. [Google Scholar]
- Zaid, W.Y.; Alshehry, S.; Zakhary, G.; Yampolsky, A.; Kim, B. Use of Vascularized myo-osseous fibula free flap to reconstruct a hemimandibular defect with a concomitant skull defect arising from stock condylar prosthesis displacement into the middle cranial fossa. J. Oral Maxillofac. Surg. 2018, 77, 1316.e1–1316.e12. [Google Scholar] [CrossRef]
- Chao, J.W.; Rohde, C.H.; Chang, M.M.; Kutler, D.I.; Friedman, J.; Spector, J.A. Oral rehabilitation outcomes after free fibula reconstruction of the mandible without condylar restoration. J. Craniofac. Surg. 2014, 25, 415–417. [Google Scholar] [CrossRef]
- Taristano, A.; Battaglia, S.; Ramieri, V. , et al. Short-term outcomes of mandibular reconstruction in oncological patients using a CAD/CAM prosthesis including a condyle supporting a fibular free flap. J. Cranio-Maxillo-Fac. Surg. 2017, 45, 330–337. [Google Scholar] [CrossRef]
- Mercuri, L.G. Costochondral graft versus total alloplastic joint for temporomandibular joint reconstruction. Oral Maxillofac. Surg. Clin. N. Am. 2018, 30, 335–342. [Google Scholar] [CrossRef]
- Mercuri, L.G.; Edibam, N.R.; Giobbie-Hurder, A. Fourteen-year follow-up of a patient-fitted total temporomandibular joint reconstruction system. J. Oral Maxillofac. Surg. 2007, 65, 1140–1148. [Google Scholar] [PubMed]
- Leandro, L.F.; Ono, H.Y.; Loureiro, C.C.; Marinho, K.; Guevara, H.A. A ten-year experience and follow-up of three hundred patients fitted with the Biomet/Lorenz Microfixation TMJ replacement system. Int. J. Oral Maxillofac. Surg. 2013, 42, 1007–1013. [Google Scholar] [PubMed]
- Wolford, L.M.; Mercuri, L.G.; Schneiderman, E.D.; Movahed, R.; Allen, W. Twenty-year follow-up study on a patient-fitted temporomandibular joint prosthesis: The Technedica/TMJ Concepts device. J. Oral Maxillofac. Surg. 2015, 73, 952–960. [Google Scholar]
- Mercuri, L.G. Prevention and detection of prosthetic temporomandibular joint infections-update. Int. J. Oral Maxillofac. Surg. 2019, 48, 217–224. [Google Scholar]
- Elledge, R.; Mercuri, L.G.; Speculand, B. Extended total temporomandibular joint replacements: A classification system. Br. J. Oral Maxillofac. Surg. 2018, 56, 578–581. [Google Scholar] [CrossRef]
- Westermark, A.; Heden, P.; Aagaard, E.; Cornelius, C.P. The use of TMJ Concepts prostheses to reconstruct patients with major temporomandibular joint and mandibular defects. Int. J. Oral Maxillofac. Surg. 2011, 40, 487–496. [Google Scholar] [PubMed]
- Mommaerts, M.Y.N.I.; Dorobantu, M.; De Meurechy, N. Extended total temporomandibular joint replacement with occlusal adjustments: Pitfalls, patient-reported outcomes, subclassification, and a new paradigm. Ann. Maxillofac. Surg. 2020, 10, 73–79. [Google Scholar]
- Green, J.M., 3rd; Lawson, S.T.; Liacouras, P.C.; Wise, E.M.; Gentile, M.A.; Grant, G.T. Custom anatomical 3D spacer for temporomandibular joint resection and reconstruction. Craniomaxillofac. Trauma. Reconstr. 2016, 9, 82–87. [Google Scholar]
- Gonzalez-Garcia, R.; Naval-Gias, L.; Rodriguez-Campo, F.J.; Martinez-Chacon, J.L.; Gil-Diez Usandizaaga, J.L. Vascularized fibular flap for reconstruction of the condyle after mandibular ablation. J. Oral Maxillofac. Surg. 2008, 66, 1133–1137. [Google Scholar]
- Merritt, K.; Brown, S.A. Distribution of cobalt chromium wear and corrosion products and biologic reactions. Clin. Orthop. Relat. Res. 1996, 329 (Supp 1), S233–S243. [Google Scholar]
- Wolford, L.M. Factors to consider in joint prosthesis systems. Bayl. Univ. Med. Cent. Proc. 2006, 19, 232–238. [Google Scholar] [CrossRef] [PubMed]
- Vega, L.a.M.D. Mandibular Replacement Utilizing TMJ TJR Devices. In Temporomandibular Joint Total Joint Replacement—TMJ TJR; Mercuri, L.G., Ed.; Springer: Cham/Heidelberg, New York, Dordrecht, London, 2016. [Google Scholar]





































![]() |
© 2022 by the authors. Multimed Inc.
Share and Cite
Schlabe, J.; Davies, R.O.H.L.; Aagaard, E.; Cousin, G.; Edwards, A.I.; McAlister, K.; Cascarini, L. Extended Total Temporomandibular Joint Replacement—A Feasible Option for Functional and Aesthetic Reconstruction of Mandibular Defects Involving the Temporomandibular Joint. Craniomaxillofac. Trauma Reconstr. 2023, 16, 180-194. https://doi.org/10.1177/19433875221094971
Schlabe J, Davies ROHL, Aagaard E, Cousin G, Edwards AI, McAlister K, Cascarini L. Extended Total Temporomandibular Joint Replacement—A Feasible Option for Functional and Aesthetic Reconstruction of Mandibular Defects Involving the Temporomandibular Joint. Craniomaxillofacial Trauma & Reconstruction. 2023; 16(3):180-194. https://doi.org/10.1177/19433875221094971
Chicago/Turabian StyleSchlabe, Juergen, Rhodri O. H. L. Davies, Esben Aagaard, Gary Cousin, Andrew Ian Edwards, Kenneth McAlister, and Luke Cascarini. 2023. "Extended Total Temporomandibular Joint Replacement—A Feasible Option for Functional and Aesthetic Reconstruction of Mandibular Defects Involving the Temporomandibular Joint" Craniomaxillofacial Trauma & Reconstruction 16, no. 3: 180-194. https://doi.org/10.1177/19433875221094971
APA StyleSchlabe, J., Davies, R. O. H. L., Aagaard, E., Cousin, G., Edwards, A. I., McAlister, K., & Cascarini, L. (2023). Extended Total Temporomandibular Joint Replacement—A Feasible Option for Functional and Aesthetic Reconstruction of Mandibular Defects Involving the Temporomandibular Joint. Craniomaxillofacial Trauma & Reconstruction, 16(3), 180-194. https://doi.org/10.1177/19433875221094971

