Infraorbital Nerve Decompression for Infraorbital Neuralgia/Causalgia following Blowout Orbital Fractures: A Case Series
Abstract
:Patients and Methods
Assessment and Operative Procedure
Results
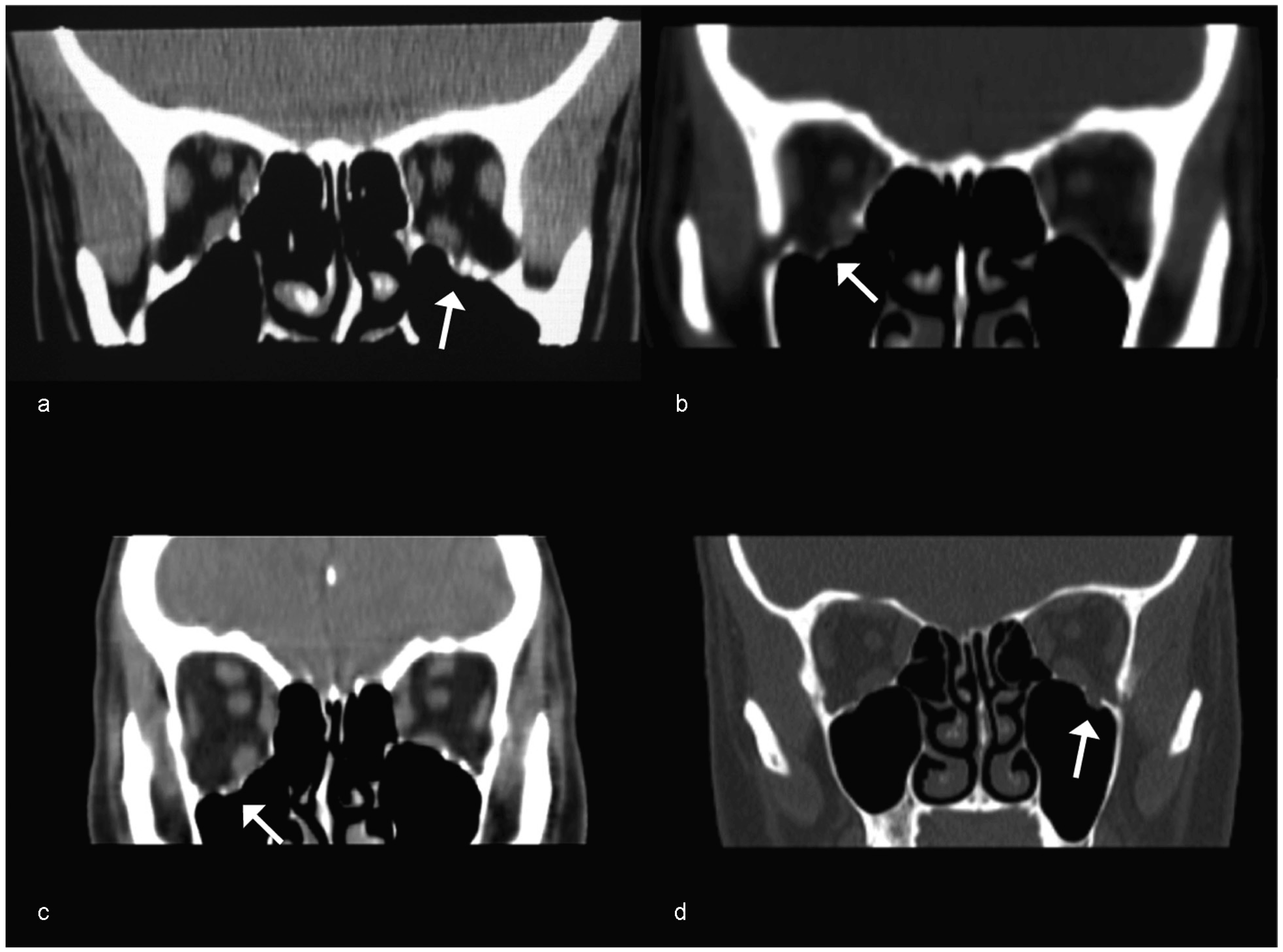
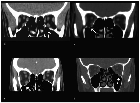
Representative Cases
Case 1
Case 5
![]() |
![]() |


Case 9
Discussion
References
- Putterman, A.M.; Stevens, T.; Urist, M.J. Nonsurgical management of blow-out fractures of the orbital floor. Am J Ophthalmol 1974, 77, 232–239. [Google Scholar] [PubMed]
- Burnstine, M.A. Clinical recommendations for repair of orbital facial fractures. Curr Opin Ophthalmol 2003, 14, 236–240. [Google Scholar] [PubMed]
- Freeman, B.S. Post-traumatic infraorbital neuralgia. Tex State J Med 1961, 57, 352–354. [Google Scholar] [PubMed]
- Boush, G.A.; Lemke, B.N. Progressive infraorbital nerve hypesthesia as a primary indication for blow-out fracture repair. Ophthal Plast Reconstr Surg 1994, 10, 271–275. [Google Scholar] [CrossRef] [PubMed]
- Beigi, B.; Khandwala, M.; Gupta, D. Management of pure orbital floor fractures: A proposed protocol to prevent unnecessary or early surgery. Orbit 2014, 33, 336–342. [Google Scholar] [PubMed]
- Ellis, E.I.I.I.; el-Attar, A.; Moos, K.F. An analysis of 2067 cases of zygomatico-orbital fracture. J Oral Maxillofac Surg 1985, 43, 417–428. [Google Scholar] [PubMed]
- Peltomaa, J.; Rihkanen, H. Infraorbital nerve recovery after minimally dislocated facial fractures. Eur Arch Otorhinolaryngol 2000, 257, 449–452. [Google Scholar] [PubMed]
- Taicher, S.; Ardekian, L.; Samet, N.; Shoshani, Y.; Kaffe, I. Recovery of the infraorbital nerve after zygomatic complex fractures: A preliminary study of different treatment methods. Int J Oral Maxillofac Surg 1993, 22, 339–341. [Google Scholar] [CrossRef]
- Tengtrisorn, S.; McNab, A.A.; Elder, J.E. Persistent infra-orbital nerve hyperaesthesia after blunt orbital trauma. Aust N Z J Ophthalmol 1998, 26, 259–260. [Google Scholar] [CrossRef] [PubMed]
- Norman, J.E.; Dan, N.G.; Rogers, P.A. Post-traumatic infraorbital neuropathy. Orbit 1982, 1, 259–266. [Google Scholar]
- Bailey, K.; Ng, J.D.; Hwang, P.H.; Saulny, S.M.; Holck, D.E.; Rubin, P.A. Infraorbital nerve surgical decompression for chronic infraorbital nerve hyperesthesia. Ophthal Plast Reconstr Surg 2007, 23, 49–51. [Google Scholar] [PubMed]
- Fogaçc, W.; Ferreira, M.C.; Dellon, A.L. Neurosensory testing in evaluation of infraorbital nerve injuries associated with zygoma fracture. Plast Reconstr Surg 2004, 113, 834–838. [Google Scholar]
© 2016 by the author. The Author(s) 2016.
Share and Cite
Beigi, B.; Beigi, M.; Niyadurupola, N.; Saldana, M.; El-Hindy, N.; Gupta, D. Infraorbital Nerve Decompression for Infraorbital Neuralgia/Causalgia following Blowout Orbital Fractures: A Case Series. Craniomaxillofac. Trauma Reconstr. 2017, 10, 22-28. https://doi.org/10.1055/s-0036-1592095
Beigi B, Beigi M, Niyadurupola N, Saldana M, El-Hindy N, Gupta D. Infraorbital Nerve Decompression for Infraorbital Neuralgia/Causalgia following Blowout Orbital Fractures: A Case Series. Craniomaxillofacial Trauma & Reconstruction. 2017; 10(1):22-28. https://doi.org/10.1055/s-0036-1592095
Chicago/Turabian StyleBeigi, Bijan, Mazda Beigi, Nuwan Niyadurupola, Manuel Saldana, Nabil El-Hindy, and Deepak Gupta. 2017. "Infraorbital Nerve Decompression for Infraorbital Neuralgia/Causalgia following Blowout Orbital Fractures: A Case Series" Craniomaxillofacial Trauma & Reconstruction 10, no. 1: 22-28. https://doi.org/10.1055/s-0036-1592095
APA StyleBeigi, B., Beigi, M., Niyadurupola, N., Saldana, M., El-Hindy, N., & Gupta, D. (2017). Infraorbital Nerve Decompression for Infraorbital Neuralgia/Causalgia following Blowout Orbital Fractures: A Case Series. Craniomaxillofacial Trauma & Reconstruction, 10(1), 22-28. https://doi.org/10.1055/s-0036-1592095

