Next Article in Journal
A Rare Case of Fifth Metatarsophalangeal Joint Subluxation: A Case Report
Previous Article in Journal
Bilateral Distal Tibial Fractures with Preexisting Long-Stem Knee Prostheses Treated with Closed Retrograde Intramedullary Nails: A Case Report
 
 
Journal of the American Podiatric Medical Association is published by MDPI from Volume 116 Issue 1 (2026). Previous articles were published by another publisher in Open Access under a CC-BY (or CC-BY-NC-ND) licence, and they are hosted by MDPI on mdpi.com as a courtesy and upon agreement with American Podiatric Medical Association.
Font Type:
Arial Georgia Verdana
Font Size:
Aa Aa Aa
Line Spacing:
Column Width:
Background:
Case Report

Use of Antibiotic Spacer with Syndesmotic “Fin” for Treatment of Septic Ankle Joint: Two-Stage Approach or Definitive Management?

by
Samantha L. Williams
1,2,*,
Elizabeth Connolly
1 and
John Levin
1
1
Department of Podiatry, JFK Medical Center, 5301 S Congress Ave, Atlantis, Florida. Dr. Williams is now with Kaiser Permanente Medical Center, Santa Clara, CA
2
Kaiser Permanente Medical Center, 710 Lawrence Expy, Santa Clara, CA 94030
*
Author to whom correspondence should be addressed.
J. Am. Podiatr. Med. Assoc. 2025, 115(1), 22120; https://doi.org/10.7547/22-120
Published: 1 January 2025

Abstract

Septic ankle joint following orthopedic surgery is a rare but limb-threatening complication that requires emergent multi-modal management. Traditionally, spacers serve as stage one of a two-stage approach involving deep infections seeding to a joint. However, a paucity of literature exists regarding the outcomes and longevity of antibiotic spacers in patients who are poor candidates for a subsequent reoperation. We present a case of an 89-year-old female who sustained an open pilon fracture treated with external fixation, and a subsequent open reduction internal fixation following a fall from a height. The patient developed surgical site dehiscence that progressed to a septic ankle joint, confirmed via single-photon emission computed tomography and a three-phase bone scanning. The patient underwent a debridement with operative wash-out and fashioning of a methylmethacrylate antibiotic spacer containing 1 g of vancomycin and 1.2 g of tobramycin. This was positioned in the ankle joint with an adapted “fin” extending anteriorly and proximally in the tibiofibular syndesmosis, to provide stability to the spacer, and potentially increase its longevity interpositionally. With aggressive local wound care and an oral antibiotic course, the patient proceeded to complete reepithelialization of the sinus tract 6 weeks postoperatively. Serial imaging and computed tomographic scan confirmed a well-seated spacer, without evidence of migration or extrusion, 14 months after surgery. Outcome data regarding cement ankle arthroplasties are extremely limited. Retrospective case series have quantified average retention anywhere from 6 to 62 months with varying techniques. However, in the setting of multiple comorbidities, or other factors making a patient a poor candidate for reoperation, an antibiotic spacer may serve as a definitive treatment for such an infection with satisfactory outcomes. We believe the presented method, with use of a proximal fin articulating in the tibiofibular syndesmosis, not only improves implant retention, but also, maintains a functional, plantigrade ankle joint.

Septic ankle joint following orthopedic surgery is a rare but limb-threatening complication that requires emergent multi-modal management. Delay in diagnosis and treatment results in irreversible damage to the joint and is exacerbated in patients with multiple comorbidities.[13] Accurate detection through diagnostic imaging and arthrocentesis with proper treatment is key in avoiding complications such as joint destruction, ankylosis, osteomyelitis, or loss of limb and/or life.[35] Intervention of septic arthritis is complex and difficult to manage, especially in the setting of the ankle in patients with multiple comorbidities. Unlike the hip or knee joint, the ankle has a frail soft-tissue envelope, which exacerbates the possibility of infection. Commonly, treatment entails one or two-stage exchange procedures with the use of polymethylmethacrylate antibiotic-eluting cement spacer (PMMA-AEC). First, the PMMA-AEC spacer is introduced to address infection, followed by secondary arthroplasty or arthrodesis.[2] The success rate of eliminating infections using antibiotic cement spacers constructed with PMMA ranges from 88% to 100% in the literature.[24,6,7] Although these outcomes are promising in the short term, little data addresses the longevity of these spacers after full elution of antibiotics has ensued.
Although PMMA-AEC demonstrate success for two-stage approach involving deep infections seeding to a joint, some patients have local, systemic, or a combination of factors that make them poor candidates for revision surgery. Therefore, the antibiotic cement spacer becomes plausible for definitive management.[2,8] However, outcome data regarding cement ankle arthroplasties are extremely limited. Retrospective case series have quantified average retention anywhere from 6 to 62 months with varying techniques.[24,6] Fabrication of mechanical modifications to the antibiotic spacer can also affect its longevity within the joint.[913] With permanent antibiotic spacers, the surgeon has the option to mold the implant either statically or dynamically within the joint.[9,10] The key characteristic of dynamic, or articulating, spacers is the maintained flexion and extension that can occur at the level of the ankle joint after implantation. Static spacers serve to maintain the joint space and prevent local extensor and flexor contraction. The method of prosthetic stems and extensions from the joint into the adjacent anatomy, although not reported in foot and ankle literature, has been reported similarly in the knee, elbow, and shoulder.[10,12,13] The purpose of these stems serves to prevent displacement or dislocation of the cement components, thereby preventing vascular and wound compromise. A paucity of literature exists denoting surgical approaches to improve the outcome and longevity of cement ankle arthroplasties in patients who are poor candidates for a subsequent reoperation. Within this case study, we demonstrate the use of a permanent PMMA-AEC spacer with a proximal articulating syndesmotic “fin” as a viable end-stage option in high-risk limb salvage patients.

Case Report

An 89-year-old white female, with past medical history significant for hypertension and osteoporosis, presented to an outpatient clinic with the chief complaint of left ankle pain and wound after sustaining an open pilon fracture treated operatively 5 months prior. While performing yardwork, she fell from a roof and incurred an impaction injury to the left ankle. She was transferred to the emergency room, where she was diagnosed with an open pilon fracture and urgently underwent an initial wash-out with external-fixation stabilization and advanced imaging. The external fixation was removed at postoperative day 7, and an open reduction internal fixation of the distal tibia and fibula was performed. Since the injury, she was admitted to a rehabilitation facility and experienced a surgical site dehiscence. With local wound care and oral antibiotics, the wound fully epithelialized 3 months prior to presentation, but subsequently, dehisced again 6 weeks prior to presentation. She presented to us for further management.
On physical examination, she was noted to be neurovascularly intact. There was nonpitting edema with a moderate joint effusion encompassing the anterior ankle. On inspection, a 10-cm cicatrix was apparent to the anterior ankle and a superficial abscess with central sinus tract noted to the anterolateral ankle (Fig. 1). Ankle range of motion was noted to be restricted with grating and crepitation present. There was tenderness to palpation of the distal tibia, fibula, and medial and lateral ankle gutters. Preoperative radiographs revealed an axial screw fixation of the fibular fracture with periosteal bone formation, as well as an anterolateral buttress plate with evidence of subsidence of the distal tibia with intra-articular screw migration to the talocrural joint (Fig. 2). The tibial fracture appeared consolidated, but hardware lucency along the metaphysis suggested chronic osteitis. Three-phase bone scan and single-photon emission computed tomography revealed focal radiotracer uptake to the left ankle suggestive of osteomyelitis (Fig. 3).
Figure 1. Initial clinical picture on presentation demonstrating a superficial abscess with central sinus tract noted to the anterolateral ankle.
Figure 1. Initial clinical picture on presentation demonstrating a superficial abscess with central sinus tract noted to the anterolateral ankle.
Japma 115 22120 g001
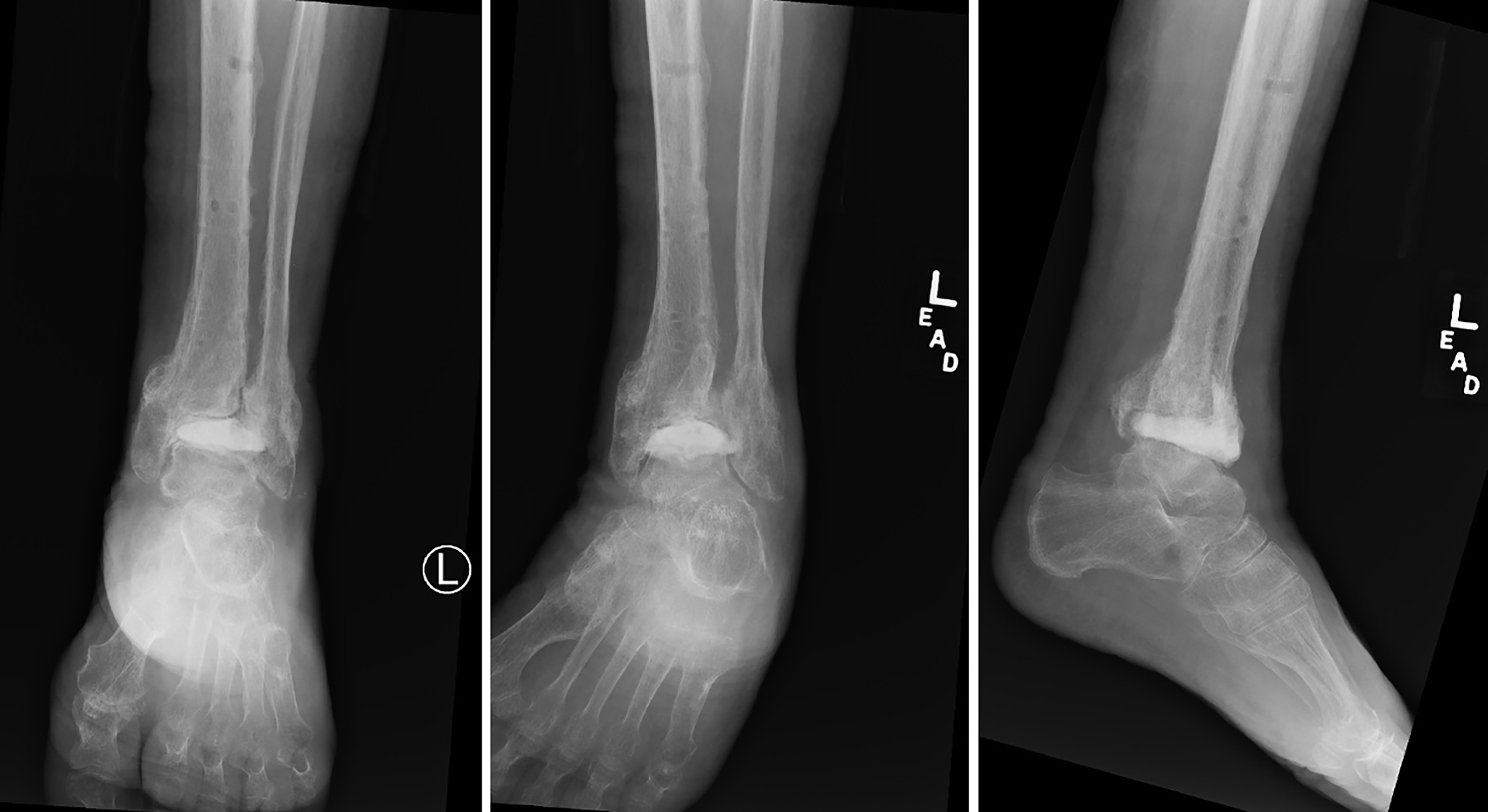
Figure 2. Preoperative radiographs demonstrating significant subsidence of the tibial buttress plate with axial screw fixation of the fibula.
Figure 2. Preoperative radiographs demonstrating significant subsidence of the tibial buttress plate with axial screw fixation of the fibula.
Japma 115 22120 g002
Figure 3. Three-phase bone scan with standard (A) and inverted (B) images demonstrating focal radiotracer uptake in blood flow, blood pool, and delayed imaging phases across the ankle suspicious of osteomyelitis. Anteroposterior (C) and lateral (D), SPECT imaging demonstrating maximal radiotracer uptake localized to the left ankle joint suggestive of osteomyelitis.
Figure 3. Three-phase bone scan with standard (A) and inverted (B) images demonstrating focal radiotracer uptake in blood flow, blood pool, and delayed imaging phases across the ankle suspicious of osteomyelitis. Anteroposterior (C) and lateral (D), SPECT imaging demonstrating maximal radiotracer uptake localized to the left ankle joint suggestive of osteomyelitis.
Japma 115 22120 g003
The patient was admitted to the hospital where deep wound cultures of the sinus tract grew Enterobacter cloacae. Admission labs revealed mild leukocytosis; the erythrocyte sedimentation rate and C-reactive protein were not elevated. Antibiotics were held in anticipation of acquisition of deep operative soft-tissue and bone cultures. Once medically optimized, the patient underwent hardware retrieval, bone biopsy, and cement ankle arthroplasty with a PMMA-AEC spacer.
Intraoperatively, the sinus tract to the anterolateral ankle was excised in a 3:1 elliptical fashion and all nonviable tissue was removed. The ankle joint was then exposed through the prior incision. There was extensive liquefactive necrosis and an apparent biofilm coating over the hardware, which was debrided in its entirety. Complete osteolysis of the distal tibial epiphysis was evident, such that there was wear artifact on the talus indicative of intra-articular screw migration. Following debridement and hardware removal, an antibiotic spacer was fashioned with PMMA including 1 g of vancomycin and 1.2 g of tobramycin. Prior to insertion, fabrication of a small anterior fin extending from the lateral caudal portion of the spacer was constructed. This anterior fin was placed interpositionally in the tibiofibular syndesmosis to the level of the incisura once the cement started to harden. This was performed to increase stability and potentially improve its longevity (Fig. 4).
Figure 4. Postoperative radiographs exhibiting a PMMA-AEC spacer fabricated with an anterior syndesmotic “fin” stabilized in the tibiofibular syndesmosis.
Figure 4. Postoperative radiographs exhibiting a PMMA-AEC spacer fabricated with an anterior syndesmotic “fin” stabilized in the tibiofibular syndesmosis.
Japma 115 22120 g004
Postoperatively, surgical soft-tissue and bone cultures grew Enterobacter cloacae, for which infectious disease placed the patient on 1 g ertapenem IV daily for 6 weeks. The wound to the anterolateral ankle re-epithelialized 1.5 months postoperatively with negative pressure wound therapy followed by saline wet-to-dry dressing changes. She remained nonweightbearing for 6 weeks and progressed to a controlled ankle motion boot with protective weightbearing at week 7. Based on stable radiographs without migration or extrusion of the antibiotic spacer, she was transitioned to an ankle-foot orthosis 3 months postoperatively as an alternative to a septic fusion. Based on her age, functional activity, and morbidity associated with two-stage surgery, if the interpositional arthroplasty remained stable, long-term functional bracing was deemed reasonable. At 12 months, a computed tomography scan was ordered, confirming a stable prosthesis with the anterior syndesmotic “fin” extending 25 mm proximal to the syndesmotic articulation (Fig. 5). The patient maintains a functional, plantigrade foot with adequate ankle range of motion for gait 16 months postoperatively (Fig. 6).
Figure 5. Final clinical picture 16 months after cement ankle arthroplasty demonstrating a stable soft-tissue envelope with a functional ankle joint.
Figure 5. Final clinical picture 16 months after cement ankle arthroplasty demonstrating a stable soft-tissue envelope with a functional ankle joint.
Japma 115 22120 g005
Figure 6. Postoperative computed tomography scan illustrating a stable PMMA-AEC spacer without evidence of migration or extrusion. The anterior “fin” extends 25 mm proximally into the tibiofibular syndesmotic articulation.
Figure 6. Postoperative computed tomography scan illustrating a stable PMMA-AEC spacer without evidence of migration or extrusion. The anterior “fin” extends 25 mm proximally into the tibiofibular syndesmotic articulation.
Japma 115 22120 g006

Discussion

The use of PMMA-AEC spacers for septic ankle joints have demonstrated success in eradication of infection in stage-one of two-stage procedures.[24,6,7] However, in the setting of multiple comorbidities or other factors that label the patient a poor candidate for subsequent reoperation, the antibiotic spacer can serve as definitive treatment for such infections with appropriate modifications. Increased antibiotic concentration within the spacer, for example, affects the overall mechanical properties.[14,15] Therefore, when intending to use the PMMA-AEC spacer for definitive management, the compositional ratio of antibiotic to cement should reflect this. In one study, the highest antibiotic-to-cement ratio to retain functional mechanics was reported to be 8/40 (weight/weight).[16,17] In the present study, the senior surgeon used 1 g of vancomycin and 1.2 g of tobramycin, which falls within the guidelines of low-dose antibiotics to maintain the structural integrity for long-term use.
Although this case report involves only one patient, it would be beneficial to have a larger study population with longer-term follow-up to evaluate the efficacy of syndesmotic extensions of PMMA-AEC spacers for cement ankle arthroplasties. Currently in foot and ankle literature, retrospective case series have quantified average retention anywhere from 6 to 62 months with varying techniques.[24,6] In one study by Elmarsafi et al,[2] of 30 patients treated with antibiotic spacers, an overall success rate of 66.7% was reported, with the average retention of 20.9 months. Another study by Ferrao et al[3] retrospectively examined nine patients with treated PMMA-AEC spacers for infected total ankle arthroplasty or ankle arthrodesis noted the average retention was 20.1 months. Of the nine patients, two experienced anterior migration of the spacer in the postoperative course.[3] Similarly, in a retrospective study of 16 patients by Lee et al,[18] 16 patients were treated with cement ankle arthroplasty for treatment of infection, nonunion, or large bone defect or tumor. Average retention was 39 months and more than 50% of patients reported improvement in overall function compared to pre-operative state.[8] Of note, seven out of 16 patients (43.75%) had some degree of peripheral neuropathy.[8] If the surgeon intends to implant the antibiotic spacer permanently, it is key to consider characteristics that will increase its stability within the joint. Although both static and dynamic implantation techniques have been described in literature,[9,10] one study found superior functional and patient-reported outcomes and similar rates of eradication of infection in the dynamic implantation group.[11] The investigators of this study found full mobility of the ankle attributed to the adapted “fin” technique.
In the present study, the investigators used an adapted “fin” articulating proximally in the tibiofibular syndesmosis to stabilize the spacer within the joint. The method of fabricated extensions of an antibiotic spacer, although not described in foot or ankle literature, has been reported similarly in the knee, elbow, and shoulder. Mazzucchelli et al[10] described a technique for treatment of a septic knee joint with antibiotic cement-loaded intramedullary wires to act as prosthetic stems in the femoral and tibial intramedullary canal. Functional spacers can also be used in the shoulder, where humeral hemiarthroplasty stems coated in antibiotic cement is mounted into the metaphyseal bone of the humeral canal.[12] Similarly, hinged-antibiotic spacers with two Ilizarov rods contoured to the intramedullary stems of the ulna and humerus is also described.[13] The purpose of these stems serve to prevent displacement or dislocation of the cement components, thereby preventing wound and vascular compromise. In this case, the senior surgeon used antibiotic cement to fabricate an anterior fin from the lateral caudal portion of the block, paralleling a similar purpose to unicompartmental stems of larger joints. Without introducing contamination into the medullary canal of the tibia, the stem served to stabilize the ankle joint through the tibiofibular syndesmosis to prevent dislocation of the spacer.

Conclusion

We believe this articulating tibiofibular syndesmotic “fin” extending from the antibiotic spacer could act as a potential hallmark for treatment of septic arthritis of the ankle. This technique permits a stable interpositional arthroplasty, while decreasing contracture, increasing range of motion, and preserving limb length. In concert with techniques described in orthopedic literature, it provides another option in the treatment of segmental bone loss and limb salvage for the lower extremity. In the setting of multiple comorbidities where reoperation is not feasible, this procedure may serve as a definitive treatment for such infection with satisfactory outcomes. Stabilization of the antibiotic spacer in the tibiofibular syndesmosis not only improved implant retention, but maintained a functional, plantigrade ankle joint.
Financial Disclosure: None reported.
Conflict of Interest: None reported.

References

  1. Shahpari O, Mousavian A, Elahpour N, et al: The use of antibiotic impregnated cement spacers in the treatment of infected total joint replacement: Challenges and achievements. Arch Bone Jt Surg 8: 11, 2020.
  2. Elmarsafi T, Oliver NG, Steinberg JS, et al: Long-term outcomes of permanent cement spacers in the infected foot. J Foot Ankle Surg 56: 287, 2017.
  3. Ferrao P, Myerson MS, Schuberth JM, et al: Cement spacer as definitive management for postoperative ankle infection. Foot Ankle Int 33: 173, 2012.
  4. Short A, Penrose C, Adams S: A novel technique for creating an articulating cement spacer for ankle prosthetic joint infections. J Foot Ankle Surg 59: 216, 2020.
  5. Seltzer A, Xiao R, Fernandez M, et al. Role of nuclear medicine imaging in evaluation of orthopedic infections, current concepts. J Clin Orthop Trauma 10: 721, 2019.
  6. Elmarsafi T, Steinberg JS, Kim PJ, et al: Viability of permanent PMMA spacer with combined free fasciocutaneous tissue transfer for failed charcot reconstruction: A 38 month prospective case report. Int J Surg Case Rep 41: 174, 2017.
  7. Ferrand J, El Samad Y, Brunschweiler B, et al: Morbimortality in adult patients with septic arthritis: a three-year hospital-based study. BMC Infect Dis 16: 239, 2016.
  8. Blaha JD, Calhoun JH, Nelson CL, et al: Comparison of the clinical efficacy and tolerance of gentamicin PMMA beads on surgical wire versus combined and systemic therapy for osteomyelitis. Clin Orthop Relat Res 295: 8, 1993.
  9. Fink B, Vogt S, Reinsch M, et al: Sufficient release of antibiotic by a spacer 6 weeks after implantation in two-stage revision of infected hip prostheses. Clin Orthop Relat Res 469: 3141, 2011.
  10. Mazzucchelli L, Rosso F, Marmotti A, et al: The use of spacers (static and mobile) in infection knee arthroplasty. Curr Rev Musculoskelet Med 8: 373, 2015.
  11. Vasarhelyi E, Sidhu SP, Somerville L, et al: Static vs articulating spacers for two-stage revision total knee arthroplasty: Minimum five-year review. Arthroplast Today 13: 171, 2022.
  12. Levy JC, Triplet J, Everding N: Use of a functional antibiotic spacer in treating infected shoulder arthroplasty. Orthopedics 38: e512, 2015.
  13. Liporace FA, Kaplan D, Stickney W, et al: Use of a Hinged antibiotic-loaded cement spacer for an infected periprosthetic fracture in a total elbow arthroplasty: A novel construct utilizing ilizarov rods: a case report. JBJS Case Connect 4: e122, 2014.
  14. Baleani M, Persson C, Zolezzi C, et al: Biological and biomechanical effects of vancomycin and meropenem in acrylic bone cement. J Arthroplasty 23: 1232, 2008.
  15. Masri BA, Duncan CP, Beauchamp CP: Long-term elution of antibiotics form bone-cement: an in vivo study using the prosthesis of antibiotic-loaded acrylic cement (PROSTALAC) system. J Arthroplasty 13: 331, 1998.
  16. Shahpari O, Mousavian A, Elahpour N, et al: The use of antibiotic impregnated cement spacers in the treatment of infected total joint replacement: challenges and achievements. Arch Bone Jt Surg 8: 11, 2020.
  17. Romanò CL, Gala L, Logoluso N, et al: Two-stage revision of septic knee prosthesis with articulating knee spacers yields better infection eradication rate than one-stage or two-stage revision with static spacers. Knee Surg Sports Traumatol Arthrosc 20: 2445, 2012.
  18. Lee HS, Ahn JY, Lee JS, et al: Cement arthroplasty for ankle joint destruction. J Bone Joint Surg Am 96: 1468, 2014.

Share and Cite

MDPI and ACS Style

Williams, S.L.; Connolly, E.; Levin, J. Use of Antibiotic Spacer with Syndesmotic “Fin” for Treatment of Septic Ankle Joint: Two-Stage Approach or Definitive Management? J. Am. Podiatr. Med. Assoc. 2025, 115, 22120. https://doi.org/10.7547/22-120

AMA Style

Williams SL, Connolly E, Levin J. Use of Antibiotic Spacer with Syndesmotic “Fin” for Treatment of Septic Ankle Joint: Two-Stage Approach or Definitive Management? Journal of the American Podiatric Medical Association. 2025; 115(1):22120. https://doi.org/10.7547/22-120

Chicago/Turabian Style

Williams, Samantha L., Elizabeth Connolly, and John Levin. 2025. "Use of Antibiotic Spacer with Syndesmotic “Fin” for Treatment of Septic Ankle Joint: Two-Stage Approach or Definitive Management?" Journal of the American Podiatric Medical Association 115, no. 1: 22120. https://doi.org/10.7547/22-120

APA Style

Williams, S. L., Connolly, E., & Levin, J. (2025). Use of Antibiotic Spacer with Syndesmotic “Fin” for Treatment of Septic Ankle Joint: Two-Stage Approach or Definitive Management? Journal of the American Podiatric Medical Association, 115(1), 22120. https://doi.org/10.7547/22-120

Article Metrics

Back to TopTop