Comparison of CT-Guided Microwave Ablation of Liver Malignancies with and Without Intra-Arterial Catheter Placement for Contrast Administration
Abstract
1. Introduction
2. Materials and Methods
2.1. Study Design
2.2. Study Cohort
2.3. Arterial Catheterization
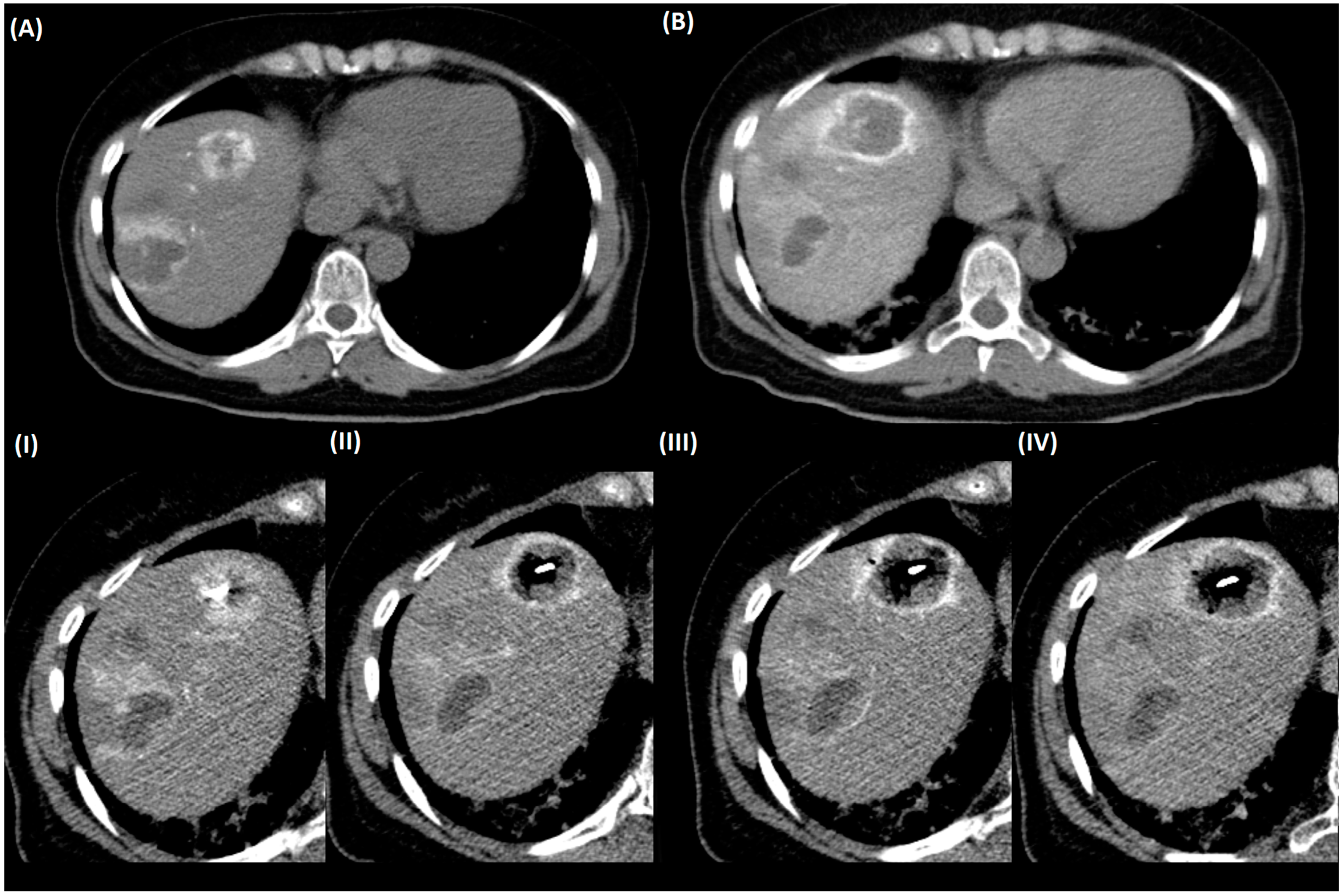
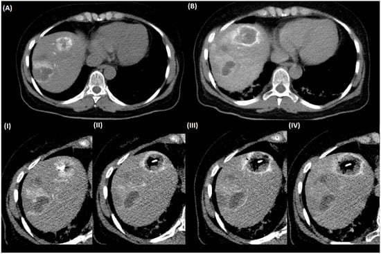
2.4. Percutaneous MWA
2.5. Statistical Analysis
3. Results
3.1. Study Cohort
3.2. Pre-Procedural Tumor Imaging Characteristics
3.3. Amounts of Contrast Medium
3.4. MWA Planning Scans
3.5. Periinterventional Control Scans for Needle Positioning
3.6. Post Ablation Control Scans
3.7. Outcome and Complication Rates
3.8. Kidney Function
4. Discussion
5. Conclusions
Author Contributions
Funding
Institutional Review Board Statement
Informed Consent Statement
Data Availability Statement
Conflicts of Interest
Abbreviations
References
- Filoni, E.; Musci, V.; Di Rito, A.; Inchingolo, R.; Memeo, R.; Mannavola, F. Multimodal Management of Colorectal Liver Metastases: State of the Art. Oncol. Rev. 2023, 17, 11799. [Google Scholar] [CrossRef]
- Wade, R.; South, E.; Anwer, S.; Sharif-Hurst, S.; Harden, M.; Fulbright, H.; Hodgson, R.; Dias, S.; Simmonds, M.; Rowe, I.; et al. Ablative and non-surgical therapies for early and very early hepatocellular carcinoma: A systematic review and network meta-analysis. Health Technol. Assess. 2023, 27, 1–172. [Google Scholar] [CrossRef]
- Crocetti, L.; de Baére, T.; Pereira, P.L.; Tarantino, F.P. CIRSE Standards of Practice on Thermal Ablation of Liver Tumours. Cardiovasc. Interv. Radiol. 2020, 43, 951–962. [Google Scholar] [CrossRef] [PubMed]
- Shi, Q.; Zhang, Z.; Zhang, W.; Ma, J.; Yang, M.; Luo, J.; Liu, L.; Yan, Z. Microwave ablation combined with transarterial chemoembolization containing doxorubicin hydrochloride liposome for treating primary and metastatic liver cancers. J. Interv. Med. 2023, 6, 121–125. [Google Scholar] [CrossRef] [PubMed]
- Biondetti, P.; Ierardi, A.M.; Casiraghi, E.; Caruso, A.; Grillo, P.; Carriero, S.; Lanza, C.; Angileri, S.A.; Sangiovanni, A.; Iavarone, M.; et al. Clinical Impact of a Protocol Involving Cone-Beam CT (CBCT), Fusion Imaging and Ablation Volume Prediction in Percutaneous Image-Guided Microwave Ablation in Patients with Hepatocellular Carcinoma Unsuitable for Standard Ultrasound (US) Guidance. J. Clin. Med. 2023, 12, 7598. [Google Scholar] [CrossRef]
- Alhasan, A.S.; Daqqaq, T.S.; Alhasan, M.S.; Ghunaim, H.A.; Aboualkheir, M. Complication Rates and Risk of Recurrence After Percutaneous Radiofrequency Ablation and Microwave Ablation for the Treatment of Liver Tumors: A Meta-analysis. Acad. Radiol. 2023, 31, 1288–1301. [Google Scholar] [CrossRef] [PubMed]
- Izumi, H.; Yoshii, H.; Fujino, R.; Takeo, S.; Nomura, E.; Mukai, M.; Suda, S.; Tomita, K.; Kamei, S.; Ogawa, Y.; et al. Endovascular treatment of postoperative hemorrhage after pancreatectomy: A retrospective study. BMC Gastroenterol. 2023, 23, 379. [Google Scholar] [CrossRef] [PubMed]
- Vogel-Claussen, J.; Ley-Zaporozhan, J.; Agarwal, P.; Biederer, J.; Kauczor, H.-U.; Ley, S.; Kuehl, H.; Mueller-Lisse, U.; Persigehl, T.; Schlett, C.; et al. Recommendations of the Thoracic Imaging Section of the German Radiological Society for clinical application of chest imaging and structured CT reporting in the COVID-19 pandemic. Fortschr. Röntgenstr. 2020, 192, 633–640. [Google Scholar] [CrossRef] [PubMed]
- Unterrainer, M.; Deroose, C.M.; Herrmann, K.; Moehler, M.; Blomqvist, L.; Cannella, R.; Caramella, C.; Caruso, D.; Chouhan, M.D.; Denecke, T.; et al. Imaging standardisation in metastatic colorectal cancer: A joint EORTC-ESOI-ESGAR expert consensus recommendation. Eur. J. Cancer 2022, 176, 193–206. [Google Scholar] [CrossRef] [PubMed]
- Kim, Y.; Lee, W.J.; Rhim, H.; Lim, H.K.; Choi, D.; Lee, J.Y. The Minimal Ablative Margin of Radiofrequency Ablation of Hepatocellular Carcinoma (>2 and <5 cm) Needed to Prevent Local Tumor Progression: 3D Quantitative Assessment Using CT Image Fusion. Am. J. Roentgenol. 2010, 195, 758–765. [Google Scholar] [CrossRef]
- Wang, X.; Sofocleous, C.T.; Erinjeri, J.P.; Petre, E.N.; Gonen, M.; Do, K.G.; Brown, K.T.; Covey, A.M.; Brody, L.A.; Alago, W.; et al. Margin Size is an Independent Predictor of Local Tumor Progression After Ablation of Colon Cancer Liver Metastases. Cardiovasc. Interv. Radiol. 2013, 36, 166–175. [Google Scholar] [CrossRef]
- Yoon, J.H.; Park, J.Y.; Lee, S.M.; Lee, E.S.; Kim, J.H.; Lee, J.M. Renal protection CT protocol using low-dose and low-concentration iodine contrast medium in at-risk patients of HCC and with chronic kidney disease: A randomized controlled non-inferiority trial. Cancer Imaging 2023, 23, 100. [Google Scholar] [CrossRef] [PubMed]
- van Erp, G.C.M.; Hendriks, P.; Broersen, A.; Verhagen, C.A.M.; Gholamiankhah, F.; Dijkstra, J.; Burgmans, M.C. Computational Modeling of Thermal Ablation Zones in the Liver: A Systematic Review. Cancers 2023, 15, 5684. [Google Scholar] [CrossRef]
- Frandon, J.; Akessoul, P.; Kammoun, T.; Dabli, D.; de Forges, H.; Beregi, J.-P.; Greffier, J. Microwave Ablation of Liver, Kidney and Lung Lesions: One-Month Response and Manufacturer’s Charts’ Reliability in Clinical Practice. Sensors 2022, 22, 3973. [Google Scholar] [CrossRef]
- Lamhamdi, M.; Esmaeili, A.; Layes, K.; El Maaroufi, Z.; Rose, G.; Brensing, A.; Schweizer, B. Determining of Ablation Zone in Ex Vivo Bovine Liver Using Time-Shift Measurements. Cancers 2023, 15, 5230. [Google Scholar] [CrossRef]
- Tsochatzis, A.; Charalampopoulos, G.; Tzelves, L.; Velonakis, G.; Kelekis, A.; Kelekis, N.; Filippiadis, D.K. Percutaneous microwave ablation of hepatic tumors: Is there an impact of cirrhotic liver parenchyma upon the volume and short-term assessment of the ablation zone? Br. J. Radiol. 2023, 96, 20230383. [Google Scholar] [CrossRef]
- Kostyrko, B.; Rubarth, K.; Althoff, C.; Poch, F.G.M.; Neizert, C.A.; Zibell, M.; Gebauer, B.; Lehmann, K.S.; Niehues, S.M.; Mews, J.; et al. Computed tomography-based thermography (CTT) in microwave ablation: Prediction of the heat ablation zone in the porcine liver. Insights Imaging 2023, 14, 189. [Google Scholar] [CrossRef]
- Young, S.; Abamyan, A.; Goldberg, D.; Hannallah, J.; Schaub, D.; Kalarn, S.; Fitzgerald, Z.; Woodhead, G. Cryoablation in the liver: How accurately does the iceball predict the ablation zone? Abdom. Radiol. 2023, 49, 625–630. [Google Scholar] [CrossRef]
- Crocetti, L.; Iezzi, R.; Goldberg, S.N.; Bilbao, J.I.; Sami, A.; Akhan, O.; Giuliante, F.; Pompili, M.; Malagari, K.; Valentini, V.; et al. The ten commandments of liver ablation: Expert discussion and report from Mediterranean Interventional Oncology (MIOLive) congress 2017. Eur. Rev. Med. Pharmacol. Sci. 2018, 22, 3896–3904. [Google Scholar] [CrossRef] [PubMed]
- Filippiadis, D.K.; Binkert, C.; Pellerin, O.; Hoffmann, R.T.; Krajina, A.; Pereira, P.L. Cirse Quality Assurance Document and Standards for Classification of Complications: The Cirse Classification System. Cardiovasc. Interv. Radiol. 2017, 40, 1141–1146. [Google Scholar] [CrossRef] [PubMed]
- Robertson, L.; Andras, A.; Colgan, F.; Jackson, R. Vascular closure devices for femoral arterial puncture site haemostasis. Cochrane Database Syst. Rev. 2016, 3, CD009541. [Google Scholar] [CrossRef]
- Pate, G.; Broderick, B. Variations in the usage and composition of a radial cocktail during radial access coronary angiography procedures. Ir. Med. J. 2011, 104, 280–281. [Google Scholar] [PubMed]
- Memarian, S.; Krokidis, M.; O’Sullivan, G.; Peynircioglu, B.; Rossi, M.; Kashef, E. CIRSE Standards of Practice on Arterial Access for Interventions. Cardiovasc. Interv. Radiol. 2023, 46, 302–309. [Google Scholar] [CrossRef]
- Guimaraes, M.; Fischman, A.; Yu, H.; Tasse, J.; Stewart, J.; Pereira, K. RAVI Registry Investigators The RAVI registry: Prospective, multicenter study of radial access in embolization procedures—30 days follow up. CVIR Endovasc. 2024, 7, 15. [Google Scholar] [CrossRef]
- Haserück, A.; Kurz, C.; Lau, T. Medizinische Versorgung: Chance Ambulantisierung. Dtsch. Ärzteblatt 2022, 119, A-1507. [Google Scholar]
- Paolucci, I.; Albuquerque Marques Silva, J.; Lin, Y.-M.; Fellman, B.M.; Jones, K.A.; Tatsui, C.E.; Weinberg, J.S.; Ruiz, J.; Tan, J.; Brock, K.K.; et al. Study Protocol STEREOLAB: Stereotactic Liver Ablation Assisted with Intra-Arterial CT Hepatic Arteriography and Ablation Confirmation Software Assessment. Cardiovasc. Interv. Radiol. 2023, 46, 1748–1754. [Google Scholar] [CrossRef]

| Cohort [n] | 148 | |
| Male [n/%] | 103/71% | |
| Female [n/%] | 45/29% | |
| Mean age [years] | 65.1 ± 14.9 | |
| Groups | Ablation with IA Catheter | Ablation without IA Catheter |
| [n] | 25 | 123 |
| Tumor entity [n] | ||
| HCC | 18 | 44 |
| CRLM | 6 | 61 |
| CCC | 0 | 11 |
| Melanoma | 1 | 3 |
| NET | 0 | 2 |
| Lung cancer | 0 | 2 |
| Liver cirrhosis [n/%] | 18 | 44 |
| Stadium Child–Pugh Stadium A [n] | 7 | 34 |
| Stadium Child–Pugh Stadium B [n] | 5 | 6 |
| Stadium Child–Pugh Stadium C [n] | 6 | 4 |
| Serum creatinine [µmol/L] | ||
| Pre-interventional | 87 ± 24 | 84 ± 19 |
| Post-interventional | 92 ± 31 | 96 ± 25 |
| After 3 months | 83 ± 29 | 80 ± 34 |
| Non-Contrast Scan | Intravenous CM | Intra-Arterial CM | ||
|---|---|---|---|---|
| Monophasic Scans | Bisphasic Scans | |||
| Number of Patients n | 37 | 48 | 38 | 25 |
| Amounts of CM [mL] | 0 | 80 + 30 mL NaCl | 10 + 30 mL NaCl | |
| No Dedicated Scan for Control of Needle Position | Intravenous CM | Intra-Arterial CM | |
|---|---|---|---|
| Monophasic Scans | |||
| Number of patients [n] | 94 | 29 | 25 |
| Amounts of CM [mL] | 0 | 80 | 19.3 ± 4.1 |
| Intravenous CM | Intra-Arterial CM | |
|---|---|---|
| Monophasic Scans | ||
| Numer of patients [n] | 123 | 25 |
| Amounts of CM [mL] | 80 + 30 mL NaCl | 10 + 30 mL NaCl |
Disclaimer/Publisher’s Note: The statements, opinions and data contained in all publications are solely those of the individual author(s) and contributor(s) and not of MDPI and/or the editor(s). MDPI and/or the editor(s) disclaim responsibility for any injury to people or property resulting from any ideas, methods, instructions or products referred to in the content. |
© 2025 by the authors. Licensee MDPI, Basel, Switzerland. This article is an open access article distributed under the terms and conditions of the Creative Commons Attribution (CC BY) license (https://creativecommons.org/licenses/by/4.0/).
Share and Cite
Beeskow, A.B.; Gößmann, H.; Meyer, H.-J.; Seehofer, D.; Berg, T.; van Bömmel, F.; Schindler, A.; Struck, M.F.; Denecke, T.; Ebel, S. Comparison of CT-Guided Microwave Ablation of Liver Malignancies with and Without Intra-Arterial Catheter Placement for Contrast Administration. Curr. Oncol. 2025, 32, 28. https://doi.org/10.3390/curroncol32010028
Beeskow AB, Gößmann H, Meyer H-J, Seehofer D, Berg T, van Bömmel F, Schindler A, Struck MF, Denecke T, Ebel S. Comparison of CT-Guided Microwave Ablation of Liver Malignancies with and Without Intra-Arterial Catheter Placement for Contrast Administration. Current Oncology. 2025; 32(1):28. https://doi.org/10.3390/curroncol32010028
Chicago/Turabian StyleBeeskow, Anne Bettina, Holger Gößmann, Hans-Jonas Meyer, Daniel Seehofer, Thomas Berg, Florian van Bömmel, Aaron Schindler, Manuel Florian Struck, Timm Denecke, and Sebastian Ebel. 2025. "Comparison of CT-Guided Microwave Ablation of Liver Malignancies with and Without Intra-Arterial Catheter Placement for Contrast Administration" Current Oncology 32, no. 1: 28. https://doi.org/10.3390/curroncol32010028
APA StyleBeeskow, A. B., Gößmann, H., Meyer, H.-J., Seehofer, D., Berg, T., van Bömmel, F., Schindler, A., Struck, M. F., Denecke, T., & Ebel, S. (2025). Comparison of CT-Guided Microwave Ablation of Liver Malignancies with and Without Intra-Arterial Catheter Placement for Contrast Administration. Current Oncology, 32(1), 28. https://doi.org/10.3390/curroncol32010028

