Necrosis in Preoperative Cross-Sectional Imaging and Postoperative Histology Is a Diagnostic Marker for Malignancy of Adrenocortical Tumors
Abstract
1. Introduction
2. Materials and Methods
2.1. Patient Demographic and Clinical Data
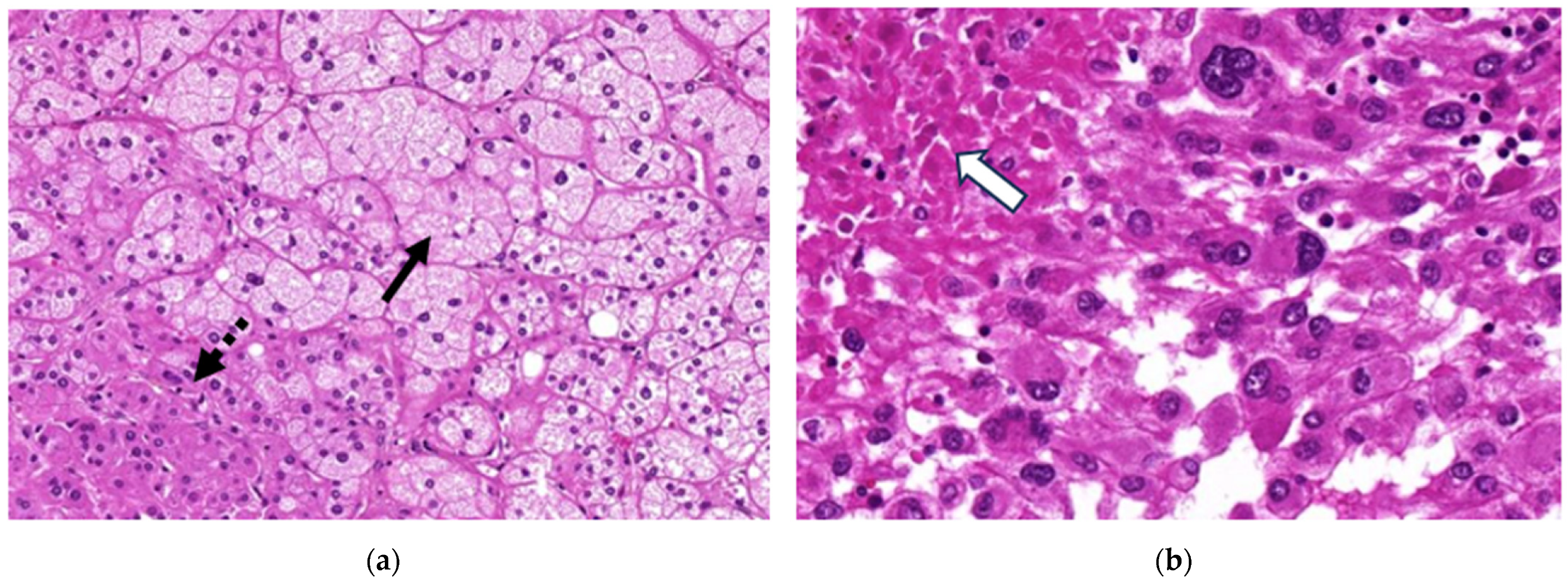
2.2. Histological Evaluation
2.3. Statistical Analysis
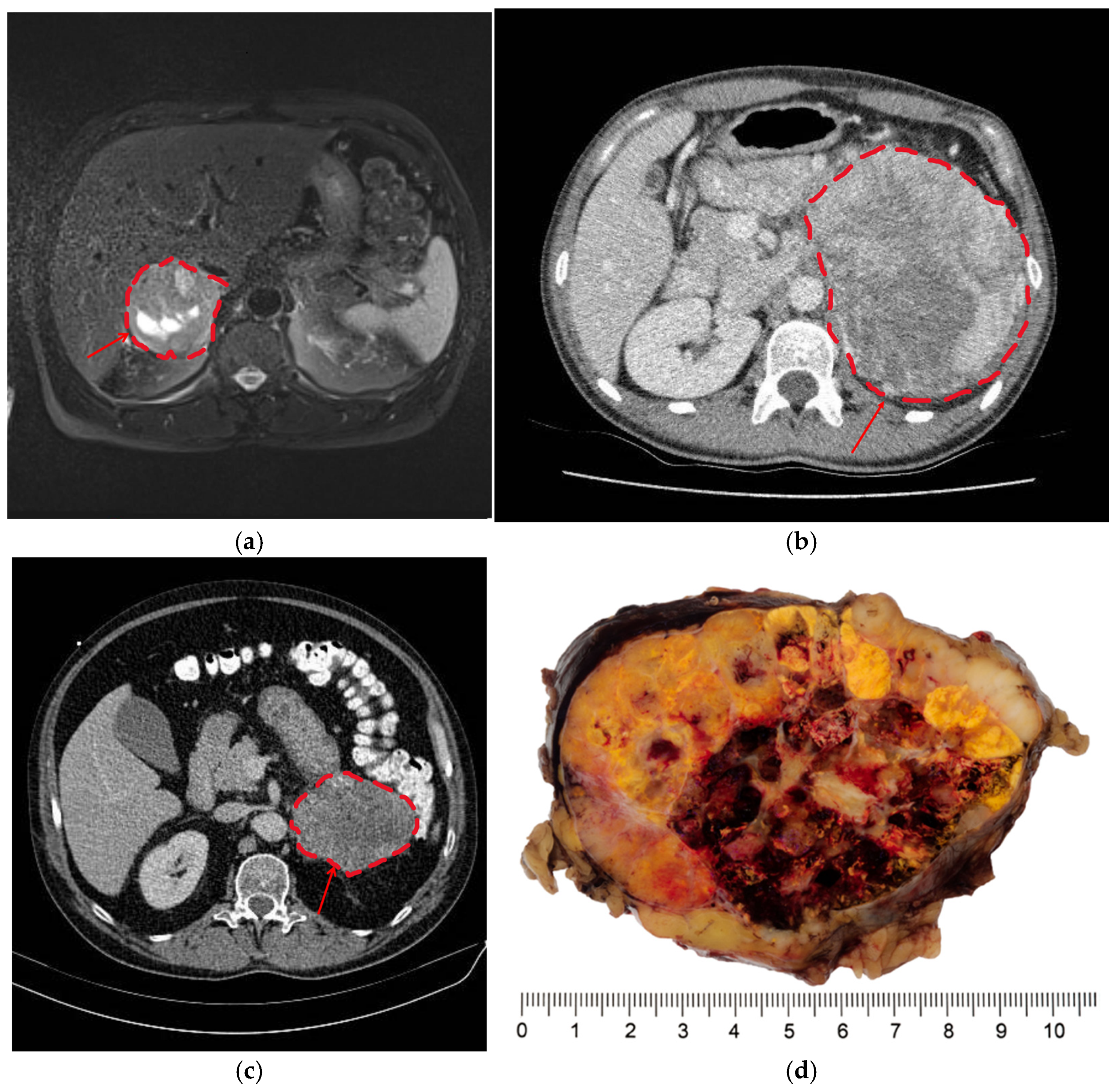
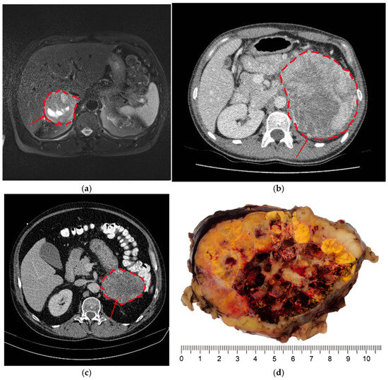
3. Results
4. Discussion
5. Conclusions
Author Contributions
Funding
Institutional Review Board Statement
Informed Consent Statement
Data Availability Statement
Conflicts of Interest
References
- Sherlock, M.; Scarsbrook, A.; Abbas, A.; Fraser, S.; Limumpornpetch, P.; Dineen, R.; Stewart, P.M. Adrenal Incidentaloma. Endocr. Rev. 2020, 41, 775–820. [Google Scholar] [CrossRef]
- Taya, M.; Paroder, V.; Bellin, E.; Haramati, L.B. The relationship between adrenal incidentalomas and mortality risk. Eur. Radiol. 2019, 29, 6245–6255. [Google Scholar] [CrossRef] [PubMed]
- Gaujoux, S.; Mihai, R.; Joint Working Group of ESES and ENSAT. European Society of Endocrine Surgeons (ESES) and European Network for the Study of Adrenal Tumours (ENSAT) recommendations for the surgical management of adrenocortical carcinoma. Br. J. Surg. 2017, 104, 358–376. [Google Scholar] [CrossRef]
- Fassnacht, M.; Arlt, W.; Bancos, I.; Dralle, H.; Newell-Price, J.; Sahdev, A.; Tabarin, A.; Terzolo, M.; Tsagarakis, S.; Dekkers, O.M. Management of adrenal incidentalomas: European Society of Endocrinology Clinical Practice Guideline in collaboration with the European Network for the Study of Adrenal Tumors. Eur. J. Endocrinol. 2016, 175, G1–G34. [Google Scholar] [CrossRef]
- Mihai, R.; De Crea, C.; Guerin, C.; Torresan, F.; Agcaoglu, O.; Simescu, R.; Walz, M.K. Surgery for advanced adrenal malignant disease: Recommendations based on European Society of Endocrine Surgeons consensus meeting. Br. J. Surg. 2024, 111, znad266. [Google Scholar] [CrossRef] [PubMed]
- Sorace, J.; Aberle, D.R.; Elimam, D.; Lawvere, S.; Tawfik, O.; Wallace, W.D. Integrating pathology and radiology disciplines: An emerging opportunity? BMC Med. 2012, 10, 100. [Google Scholar] [CrossRef] [PubMed]
- Berg, W.A.; Hruban, R.H.; Kumar, D.; Singh, H.R.; Brem, R.F.; Gatewood, O.M. Lessons from mammographic-histopathologic correlation of large-core needle breast biopsy. Radiographics 1996, 16, 1111–1130. [Google Scholar] [CrossRef] [PubMed]
- Travis, W.D.; Brambilla, E.; Noguchi, M.; Nicholson, A.G.; Geisinger, K.R.; Yatabe, Y.; Beer, D.G.; Powell, C.A.; Riely, G.J.; Van Schil, P.E.; et al. International association for the study of lung cancer/american thoracic society/european respiratory society international multidisciplinary classification of lung adenocarcinoma. J. Thorac. Oncol. 2011, 6, 244–285. [Google Scholar] [CrossRef]
- Weiss, L.M. Comparative histologic study of 43 metastasizing and nonmetastasizing adrenocortical tumors. Am. J. Surg. Pathol. 1984, 8, 163–169. [Google Scholar] [CrossRef] [PubMed]
- Pennanen, M.; Heiskanen, I.; Sane, T.; Remes, S.; Mustonen, H.; Haglund, C.; Arola, J. Helsinki score-a novel model for prediction of metastases in adrenocortical carcinomas. Hum. Pathol. 2015, 46, 404–410. [Google Scholar] [CrossRef]
- Duregon, E.; Fassina, A.; Volante, M.; Nesi, G.; Santi, R.; Gatti, G.; Cappellesso, R.; Dalino Ciaramella, P.; Ventura, L.; Gambacorta, M.; et al. The reticulin algorithm for adrenocortical tumor diagnosis: A multicentric validation study on 245 unpublished cases. Am. J. Surg. Pathol. 2013, 37, 1433–1440. [Google Scholar] [CrossRef]
- Mete, O.; Erickson, L.A.; Juhlin, C.C.; de Krijger, R.R.; Sasano, H.; Volante, M.; Papotti, M.G. Overview of the 2022 WHO Classification of Adrenal Cortical Tumors. Endocr. Pathol. 2022, 33, 155–196. [Google Scholar] [CrossRef] [PubMed]
- Walz, M.K.; Metz, K.A.; Theurer, S.; Myland, C.; Alesina, P.F.; Schmid, K.W. Differentiating Benign from Malignant Adrenocortical Tumors by a Single Morphological Parameter-a Clinicopathological Study on 837 Adrenocortical Neoplasias. Indian. J. Surg. Oncol. 2020, 11, 705–710. [Google Scholar] [CrossRef]
- Bancos, I.; Taylor, A.E.; Chortis, V.; Sitch, A.J.; Jenkinson, C.; Davidge-Pitts, C.J.; Lang, K.; Tsagarakis, S.; Macech, M.; Riester, A.; et al. Urine steroid metabolomics for the differential diagnosis of adrenal incidentalomas in the EURINE-ACT study: A prospective test validation study. Lancet Diabetes Endocrinol. 2020, 8, 773–781. [Google Scholar] [CrossRef] [PubMed]
- Beddy, P.; Genega, E.M.; Ngo, L.; Hindman, N.; Wei, J.; Bullock, A.; Bhatt, R.S.; Atkins, M.B.; Pedrosa, I. Tumor necrosis on magnetic resonance imaging correlates with aggressive histology and disease progression in clear cell renal cell carcinoma. Clin. Genitourin. Cancer 2014, 12, 55–62. [Google Scholar] [CrossRef]
- Yalon, T.; Yalon, M.; Assaf, D.; Lenartowicz, K.; Foster, T.; Lyden, M.; Dy, B.; Bancos, I.; McKenzie, T. Differentiating between adrenocortical carcinoma and lipid-poor cortical adenoma: A novel cross-sectional imaging-based score. Surgery 2023, 173, 35–42. [Google Scholar] [CrossRef]
- Dwivedi, A.K.; Mallawaarachchi, I.; Alvarado, L.A. Analysis of small sample size studies using nonparametric bootstrap test with pooled resampling method. Stat. Med. 2017, 36, 2187–2205. [Google Scholar] [CrossRef]
- Yee, P.P.; Li, W. Tumor necrosis: A synergistic consequence of metabolic stress and inflammation. Bioessays 2021, 43, e2100029. [Google Scholar] [CrossRef] [PubMed]
- Hettler, M.; Kitz, J.; Seif Amir Hosseini, A.; Guhlich, M.; Panahi, B.; Ernst, J.; Conradi, L.C.; Ghadimi, M.; Ströbel, P.; Jakob, J. Comparing Apparent Diffusion Coefficient and FNCLCC Grading to Improve Pretreatment Grading of Soft Tissue Sarcoma-A Translational Feasibility Study on Fusion Imaging. Cancers 2022, 14, 4331. [Google Scholar] [CrossRef] [PubMed]
- Moon, S.W.; Kim, J.J.; Jeong, S.C.; Kim, Y.H.; Han, J.W. Clinical significance of tumor necrosis and viability in non-small cell lung cancer. J. Thorac. Dis. 2022, 14, 892–904. [Google Scholar] [CrossRef] [PubMed]
- Chen, J.; Li, Z.; Han, Z.; Kang, D.; Ma, J.; Yi, Y.; Fu, F.; Guo, W.; Zheng, L.; Xi, G. Prognostic value of tumor necrosis based on the evaluation of frequency in invasive breast cancer. BMC Cancer 2023, 23, 530. [Google Scholar] [CrossRef]
- Yen, Y.H.; Kuo, F.Y.; Eng, H.L.; Liu, Y.W.; Yong, C.C.; Li, W.F.; Wang, C.C.; Lin, C.Y. Tumor necrosis as a predictor of early tumor recurrence after resection in patients with hepatoma. PLoS ONE 2023, 18, e0292144. [Google Scholar] [CrossRef]
- Delahunt, B.; Eble, J.N.; Egevad, L.; Samaratunga, H. Grading of renal cell carcinoma. Histopathology 2019, 74, 4–17. [Google Scholar] [CrossRef] [PubMed]
- van Slooten, H.; Schaberg, A.; Smeenk, D.; Moolenaar, A.J. Morphologic characteristics of benign and malignant adrenocortical tumors. Cancer 1985, 55, 766–773. [Google Scholar] [CrossRef] [PubMed]
- Lippert, J.; Appenzeller, S.; Liang, R.; Sbiera, S.; Kircher, S.; Altieri, B.; Nanda, I.; Weigand, I.; Gehrig, A.; Steinhauer, S.; et al. Targeted Molecular Analysis in Adrenocortical Carcinomas: A Strategy Toward Improved Personalized Prognostication. J. Clin. Endocrinol. Metab. 2018, 103, 4511–4523. [Google Scholar] [CrossRef] [PubMed]
- Lippert, J.; Fassnacht, M.; Ronchi, C.L. The role of molecular profiling in adrenocortical carcinoma. Clin. Endocrinol. 2022, 97, 460–472. [Google Scholar] [CrossRef] [PubMed]
- Garay-Lechuga, D.; Pérez-Soto, R.H.; Hernández-Acevedo, J.D.; Butrón-Hernández, D.; Sierra-Salazar, M.; Pantoja-Millán, J.P.; Herrera, M.F.; Velázquez-Fernández, D. Computed tomography (CT) scan identified necrosis, but is it a reliable single parameter for discerning between malignant and benign adrenocortical tumors? Surgery 2022, 171, 104–110. [Google Scholar] [CrossRef] [PubMed]
- Pearlstein, S.S.; Conroy, P.C.; Menut, K.C.; Kim, J.; Graves, C.E.; Ruiz-Cordero, R.; Duh, Q.Y. Evaluation of Necrosis as a Diagnostic and Prognostic Indicator in Adrenocortical Carcinoma. JAMA Surg. 2021, 156, 1173–1174. [Google Scholar] [CrossRef]
- Herrmann, L.J.; Heinze, B.; Fassnacht, M.; Willenberg, H.S.; Quinkler, M.; Reisch, N.; Zink, M.; Allolio, B.; Hahner, S. TP53 germline mutations in adult patients with adrenocortical carcinoma. J. Clin. Endocrinol. Metab. 2012, 97, E476–E485. [Google Scholar] [CrossRef] [PubMed]
- Weksberg, R.; Shuman, C.; Beckwith, J.B. Beckwith-Wiedemann syndrome. Eur. J.Hum. Genet. 2010, 18, 8–14. [Google Scholar] [CrossRef] [PubMed] [PubMed Central]
- Raymond, V.M.; Everett, J.N.; Furtado, L.V.; Gustafson, S.L.; Jungbluth, C.R.; Gruber, S.B.; Hammer, G.D.; Stoffel, E.M.; Greenson, J.K.; Giordano, T.J.; et al. Adrenocortical carcinoma is a lynch syndrome-associated cancer. J. Clin. Oncol. 2013, 31, 3012–3018, Erratum in: J. Clin. Oncol. 2013, 31, 3612. [Google Scholar] [CrossRef] [PubMed]
- Gatta-Cherifi, B.; Chabre, O.; Murat, A.; Niccoli, P.; Cardot-Bauters, C.; Rohmer, V.; Young, J.; Delemer, B.; Du Boullay, H.; Verger, M.F.; et al. Adrenal involvement in MEN1. Analysis of 715 cases from the Groupe d’etude des Tumeurs Endocrines database. Eur. J. Endocrinol. 2012, 166, 269–279. [Google Scholar] [CrossRef] [PubMed]
- Mazzuco, T.L.; Durand, J.; Chapman, A.; Crespigio, J.; Bourdeau, I. Genetic aspects of adrenocortical tumours and hyperplasias. Clin. Endocrinol. 2012, 77, 1–10. [Google Scholar] [CrossRef] [PubMed]
- Perré, D.S.; Wirowski, D.D.; Schwarz, K. Nebennierentumoren. Allg.-Und Visz. Up2date 2013, 7, 323–350. [Google Scholar] [CrossRef]





| All Adrenocortical Tumors (n = 67) | Adrenocortical Adenoma (n = 40) | Adrenocortical Carcinoma (n = 27) | p Value | ||
|---|---|---|---|---|---|
| Gender 1 | Female Male | 44 (66%) 23 (34%) | 27 (67.5%) 13 (32.5%) | 17 (63%) 10 (37%) | 0.794 |
| Age (years) 2 | 58 (5–86) | 59 (5–86) | 58 (18–76) | 0.720 | |
| Largest tumor diameter (mm) 2 | 60 (40–220) | 50 (40–100) | 100 (50–220) | <0.001 | |
| Tumor volume (cm3) 2 | 98.838 (2.496–4353.720) | 63.901 (2.496–530.100) | 378.288 (21.450–4353.720) | <0.001 | |
| Tumor side 1 | Right Left | 29 (43%) 38 (57%) | 17 (42.5%) 23 (57.5%) | 12 (44%) 15 (56%) | 0.867 |
| Hormonal activity 1 | Yes No | 39 (45%) 28 (55%) | 21 (52.5%) 19 (47.5%) | 18 (67%) 9 (33%) | 0.669 |
| Areas suspicious of necrosis in cross-sectional imaging 1 | Yes No | 32 (48%) 35 (52%) | 10 (25%) 30 (75%) | 22 (81%) 5 (19%) | <0.001 |
| Areas suspicious of necrosis in histology 1 | Yes No | 27 (40%) 40 (60%) | 1 (2.5%) 39 (97.5%) | 26 (96%) 1 (4%) | <0.001 |
| Preoperative Cross-Sectional Imaging | All Adrenocortical Tumors (n = 67) | Adrenocortical Adenoma (n = 40) | Adrenocortical Carcinoma (n = 27) |
|---|---|---|---|
| CT 1 | 54 (81%) | 30 (75%) | 24 (89%) |
| MRI 1 | 26 (39%) | 14 (35%) | 12 (44%) |
| Both CT and MRI 1 | 14 (21%) | 4 (10%) | 10 (37%) |
| Coefficients | Estimate | (Standard Error) | p-Value |
|---|---|---|---|
| Sex | 0.15327 | 1.01103 | 0.880 |
| Age | 0.04550 | 0.03419 | 0.183 |
| Tumor diameter (mm) | 0.07963 | 0.02533 | 0.002 |
| Side | −0.06626 | 0.89744 | 0.941 |
| Hormonal activity | 1.42177 | 1.02056 | 0.164 |
| Areas suspicious of necrosis in cross-sectional imaging | 3.09420 | 1.06739 | 0.004 |
| (Intercept) | −11.32123 | 3.48231 | 0.001 |
| All Adrenocortical Tumors (n = 67) | Adrenocortical Adenoma (n = 40) | Adrenocortical Carcinoma (n = 27) | p Value | ||
|---|---|---|---|---|---|
| Hyperaldosteronism 1 | Yes No | 5 (7%) 62 (93%) | 2 (5%) 38 (95%) | 3 (11%) 24 (89%) | 0.775 |
| Hypercortisolism 1 | Yes No | 30 (45%) 37 (55%) | 19 (47.5%) 21 (52.5%) | 11 (41%) 16 (59%) | 0.775 |
| Overproduction of steroid hormones 1 | Yes No | 8 (12%) 59 (88%) | 0 (0%) 40 (100%) | 8 (30%) 19 (70%) | <0.001 |
| Simultaneous hypercortisolism and overproduction of steroid hormones 1 | Yes No | 6 (9%) 61 (91%) | 0 (0%) 40 (100%) | 6 (22%) 21 (78%) | 0.014 |
Disclaimer/Publisher’s Note: The statements, opinions and data contained in all publications are solely those of the individual author(s) and contributor(s) and not of MDPI and/or the editor(s). MDPI and/or the editor(s) disclaim responsibility for any injury to people or property resulting from any ideas, methods, instructions or products referred to in the content. |
© 2025 by the authors. Licensee MDPI, Basel, Switzerland. This article is an open access article distributed under the terms and conditions of the Creative Commons Attribution (CC BY) license (https://creativecommons.org/licenses/by/4.0/).
Share and Cite
Dukaczewska, A.; Marticorena Garcia, S.R.; Ponsel, S.; Webster, A.; Butz, F.; Dobrindt, E.M.; Pratschke, J.; Goretzki, P.E.; Horst, D.; Mogl, M.T.; et al. Necrosis in Preoperative Cross-Sectional Imaging and Postoperative Histology Is a Diagnostic Marker for Malignancy of Adrenocortical Tumors. Curr. Oncol. 2025, 32, 25. https://doi.org/10.3390/curroncol32010025
Dukaczewska A, Marticorena Garcia SR, Ponsel S, Webster A, Butz F, Dobrindt EM, Pratschke J, Goretzki PE, Horst D, Mogl MT, et al. Necrosis in Preoperative Cross-Sectional Imaging and Postoperative Histology Is a Diagnostic Marker for Malignancy of Adrenocortical Tumors. Current Oncology. 2025; 32(1):25. https://doi.org/10.3390/curroncol32010025
Chicago/Turabian StyleDukaczewska, Agata, Stephan R. Marticorena Garcia, Simon Ponsel, Alexandra Webster, Frederike Butz, Eva M. Dobrindt, Johann Pratschke, Peter E. Goretzki, David Horst, Martina T. Mogl, and et al. 2025. "Necrosis in Preoperative Cross-Sectional Imaging and Postoperative Histology Is a Diagnostic Marker for Malignancy of Adrenocortical Tumors" Current Oncology 32, no. 1: 25. https://doi.org/10.3390/curroncol32010025
APA StyleDukaczewska, A., Marticorena Garcia, S. R., Ponsel, S., Webster, A., Butz, F., Dobrindt, E. M., Pratschke, J., Goretzki, P. E., Horst, D., Mogl, M. T., & Kunze, C. A. (2025). Necrosis in Preoperative Cross-Sectional Imaging and Postoperative Histology Is a Diagnostic Marker for Malignancy of Adrenocortical Tumors. Current Oncology, 32(1), 25. https://doi.org/10.3390/curroncol32010025

