Mixed Adenosquamous Cell Carcinoma of the Prostate with Paired Sequencing on the Primary and Liver Metastasis
Abstract
1. Introduction
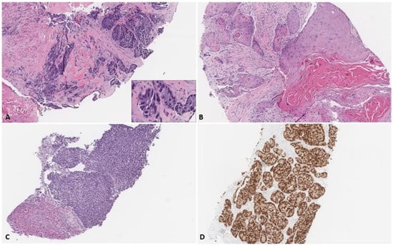
2. Case Report
3. Discussion
Author Contributions
Funding
Institutional Review Board Statement
Informed Consent Statement
Data Availability Statement
Conflicts of Interest
References
- Hsing, A.W.; Chokkalingam, A.P. Prostate Cancer Epidemiology. Front. Biosci. J. Virtual Libr. 2006, 11, 1388–1413. [Google Scholar] [CrossRef] [PubMed]
- Cancer of the Prostate—Cancer Stat Facts. Available online: https://seer.cancer.gov/statfacts/html/prost.html (accessed on 22 July 2023).
- Little, N.A.; Wiener, J.S.; Walther, P.J.; Paulson, D.F.; Anderson, E.E. Squamous Cell Carcinoma of the Prostate: 2 Cases of a Rare Malignancy and Review of the Literature. J. Urol. 1993, 149, 137–139. [Google Scholar] [CrossRef] [PubMed]
- Autio, K.; McBride, S. Oligometastatic Squamous Cell Transformation from Metastatic Prostate Adenocarcinoma Treated with Systemic and Focal Therapy: A Case Report. J. Immunother. Precis. Oncol. 2022, 5, 79–83. [Google Scholar] [CrossRef] [PubMed]
- Braslis, K.G.; David, R.C.; Nelson, E.; Civantos, F.; Soloway, M.S. Squamous Cell Carcinoma of the Prostate: A Transformation from Adenocarcinoma after the Use of a Luteinizing Hormone-Releasing Hormone Agonist and Flutamide. Urology 1995, 45, 329–331. [Google Scholar] [CrossRef] [PubMed]
- Graff, J. Advanced ChemoHormonal Therapy for Treatment Naïve Metastatic Prostate Cancer: Apalutamide and Abiraterone Acetate with Prednisone and Androgen Deprivation Therapy after Treatment with Docetaxel and Androgen Deprivation Therapy; clinicaltrials.gov; NIH: Bethesda, MD, USA, 2023. [Google Scholar]
- He, X.; Yang, K.; Chen, G.; Zheng, J. Squamous Cell Carcinoma of the Prostate with Lower Urinary Tract Symptoms: A Case Report. Urol. Case Rep. 2021, 39, 101796. [Google Scholar] [CrossRef]
- John, T.T.; Bashir, J.; Burrow, C.T.; Machin, D.G. Squamous Cell Carcinoma of the Prostate–A Case Report. Int. Urol. Nephrol. 2005, 37, 311–313. [Google Scholar] [CrossRef] [PubMed]
- Hutten, R.J.; Weil, C.R.; Tward, J.D.; Lloyd, S.; Johnson, S.B. Patterns of Care and Treatment Outcomes in Locoregional Squamous Cell Carcinoma of the Prostate. Eur. Urol. Open Sci. 2021, 23, 30–33. [Google Scholar] [CrossRef]
- Atagi, K.; Fukuhara, H.; Ishiguro, M.; Osakabe, H.; Satoshi, F.; Tamura, K.; Karashima, T.; Inoue, K. Successful Treatment with DCF Chemotherapy and Radiotherapy for Primary Squamous Cell Carcinoma of the Prostate. IJU Case Rep. 2021, 4, 421–424. [Google Scholar] [CrossRef]
- Li, J.; Wang, Z. The Pathology of Unusual Subtypes of Prostate Cancer. Chin. J. Cancer Res. Chung-Kuo Yen Cheng Yen Chiu 2016, 28, 130–143. [Google Scholar] [CrossRef]
- Malik, R.D.; Dakwar, G.; Hardee, M.E.; Sanfilippo, N.J.; Rosenkrantz, A.B.; Taneja, S.S. Squamous Cell Carcinoma of the Prostate. Rev. Urol. 2011, 13, 56–60. [Google Scholar]
- Arva, N.C.; Das, K. Diagnostic Dilemmas of Squamous Differentiation in Prostate Carcinoma Case Report and Review of the Literature. Diagn. Pathol. 2011, 6, 46. [Google Scholar] [CrossRef] [PubMed]
- Biswas, T.; Podder, T.; Lepera, P.A.; Walker, P. Primary Squamous Cell Carcinoma of the Prostate: A Case Report of a Rare Clinical Entity. Future Sci. OA 2015, 1, FSO18. [Google Scholar] [CrossRef] [PubMed]
- Thompson, G.J.; Albers, D.D.; Broders, A.C. Unusual Carcinomas Involving the Prostate Gland. J. Urol. 1953, 69, 416–425. [Google Scholar] [CrossRef] [PubMed]
- Corder, M.P.; Cicmil, G.A. Effective Treatment of Metastatic Squamous Cell Carcinoma of the Prostate with Adriamycin. J. Urol. 1976, 115, 222. [Google Scholar] [CrossRef]
- Horan, A.H. Sequential Cryotherapy for Prostatic Carcinoma: Does It Palliate the Bone Pain? Conn. Med. 1975, 39, 81–83. [Google Scholar]
- Berbis, P.; Andrac, L.; Daou, N.; Privat, Y. Single Nodule on the Glans Penis: Metastatic Lesion from an Unusual Carcinoma of the Prostate. Dermatologica 1987, 175, 152–155. [Google Scholar] [CrossRef] [PubMed]
- Gray, G.F.; Marshall, V.F. Squamous Carcinoma of the Prostate. J. Urol. 1975, 113, 736–738. [Google Scholar] [CrossRef] [PubMed]
- Moskovitz, B.; Munichor, M.; Bolkier, M.; Livne, P.M. Squamous Cell Carcinoma of the Prostate. Urol. Int. 1993, 51, 181–183. [Google Scholar] [CrossRef] [PubMed]
- Pérez García, F.J.; Veiga González, M.; Rodríguez Martínez, J.J.; Rabade Rey, C.J.; Fernández Gómez, J.M.; Escaf, S.; Martín Benito, J.L. Squamous cell carcinoma of the prostate. Presentation of a case and review of the literature. Actas Urol. Esp. 1997, 21, 931–935. [Google Scholar]
- Sarma, D.P.; Weilbaecher, T.G.; Moon, T.D. Squamous Cell Carcinoma of Prostate. Urology 1991, 37, 260–262. [Google Scholar] [CrossRef]
- Sharma, S.K.; Malik, A.K.; Bapna, B.C. Squamous Cell Carcinoma of Prostate. Indian J. Cancer 1980, 17, 134–135. [Google Scholar] [PubMed]
- Uchibayashi, T.; Hisazumi, H.; Hasegawa, M.; Shiba, N.; Muraishi, Y.; Tanaka, T.; Nonomura, A. Squamous Cell Carcinoma of the Prostate. Scand. J. Urol. Nephrol. 1997, 31, 223–224. [Google Scholar] [CrossRef] [PubMed]
- Dizman, N.; Salgia, M.; Ali, S.M.; Wu, H.; Arvanitis, L.; Chung, J.H.; Pal, S.K. Squamous Transformation of Prostate Adenocarcinoma: A Report of Two Cases with Genomic Profiling. Clin. Genitourin. Cancer 2020, 18, e289–e292. [Google Scholar] [CrossRef] [PubMed]
- Ghafouri-Fard, S.; Noie Alamdari, A.; Noee Alamdari, Y.; Abak, A.; Hussen, B.M.; Taheri, M.; Jamali, E. Role of PI3K/AKT Pathway in Squamous Cell Carcinoma with an Especial Focus on Head and Neck Cancers. Cancer Cell Int. 2022, 22, 254. [Google Scholar] [CrossRef] [PubMed]
- Carver, B.S.; Chapinski, C.; Wongvipat, J.; Hieronymus, H.; Chen, Y.; Chandarlapaty, S.; Arora, V.K.; Le, C.; Koutcher, J.; Scher, H.; et al. Reciprocal Feedback Regulation of PI3K and Androgen Receptor Signaling in PTEN-Deficient Prostate Cancer. Cancer Cell 2011, 19, 575–586. [Google Scholar] [CrossRef] [PubMed]
- Taylor, B.S.; Schultz, N.; Hieronymus, H.; Gopalan, A.; Xiao, Y.; Carver, B.S.; Arora, V.K.; Kaushik, P.; Cerami, E.; Reva, B.; et al. Integrative Genomic Profiling of Human Prostate Cancer. Cancer Cell 2010, 18, 11–22. [Google Scholar] [CrossRef] [PubMed]
- Crumbaker, M.; Khoja, L.; Joshua, A.M. AR Signaling and the PI3K Pathway in Prostate Cancer. Cancers 2017, 9, 34. [Google Scholar] [CrossRef] [PubMed]
- Pearson, H.B.; Li, J.; Meniel, V.S.; Fennell, C.M.; Waring, P.; Montgomery, K.G.; Rebello, R.J.; Macpherson, A.A.; Koushyar, S.; Furic, L.; et al. Identification of Pik3ca Mutation as a Genetic Driver of Prostate Cancer That Cooperates with Pten Loss to Accelerate Progression and Castration-Resistant Growth. Cancer Discov. 2018, 8, 764–779. [Google Scholar] [CrossRef] [PubMed]
- Sweeney, C.; Bracarda, S.; Sternberg, C.N.; Chi, K.N.; Olmos, D.; Sandhu, S.; Massard, C.; Matsubara, N.; Alekseev, B.; Parnis, F.; et al. Ipatasertib plus Abiraterone and Prednisolone in Metastatic Castration-Resistant Prostate Cancer (IPATential150): A Multicentre, Randomised, Double-Blind, Phase 3 Trial. Lancet Lond. Engl. 2021, 398, 131–142. [Google Scholar] [CrossRef]
- AstraZeneca. A Phase III Double-Blind, Randomised, Placebo-Controlled Study Assessing the Efficacy and Safety of Capivasertib + Abiraterone versus Placebo+Abiraterone as Treatment for Patients with DeNovo Metastatic Hormone-Sensitive Prostate Cancer Characterised by PTEN Deficiency; clinicaltrials.gov; NIH: Bethesda, MD, USA, 2023. [Google Scholar]
- Visakorpi, T.; Hyytinen, E.; Koivisto, P.; Tanner, M.; Keinänen, R.; Palmberg, C.; Palotie, A.; Tammela, T.; Isola, J.; Kallioniemi, O.P. In Vivo Amplification of the Androgen Receptor Gene and Progression of Human Prostate Cancer. Nat. Genet. 1995, 9, 401–406. [Google Scholar] [CrossRef]
- Grasso, C.S.; Wu, Y.-M.; Robinson, D.R.; Cao, X.; Dhanasekaran, S.M.; Khan, A.P.; Quist, M.J.; Jing, X.; Lonigro, R.J.; Brenner, J.C.; et al. The Mutational Landscape of Lethal Castration-Resistant Prostate Cancer. Nature 2012, 487, 239–243. [Google Scholar] [CrossRef]
- Robinson, D.; Van Allen, E.M.; Wu, Y.-M.; Schultz, N.; Lonigro, R.J.; Mosquera, J.-M.; Montgomery, B.; Taplin, M.-E.; Pritchard, C.C.; Attard, G.; et al. Integrative Clinical Genomics of Advanced Prostate Cancer. Cell 2015, 161, 1215–1228. [Google Scholar] [CrossRef]
- Djusberg, E.; Jernberg, E.; Thysell, E.; Golovleva, I.; Lundberg, P.; Crnalic, S.; Widmark, A.; Bergh, A.; Brattsand, M.; Wikström, P. High Levels of the AR-V7 Splice Variant and Co-Amplification of the Golgi Protein Coding YIPF6 in AR Amplified Prostate Cancer Bone Metastases. Prostate 2017, 77, 625–638. [Google Scholar] [CrossRef]
- Cancer Genome Atlas Research Network. The Molecular Taxonomy of Primary Prostate Cancer. Cell 2015, 163, 1011–1025. [Google Scholar] [CrossRef]
- Azad, A.A.; Volik, S.V.; Wyatt, A.W.; Haegert, A.; Le Bihan, S.; Bell, R.H.; Anderson, S.A.; McConeghy, B.; Shukin, R.; Bazov, J.; et al. Androgen Receptor Gene Aberrations in Circulating Cell-Free DNA: Biomarkers of Therapeutic Resistance in Castration-Resistant Prostate Cancer. Clin. Cancer Res. Off. J. Am. Assoc. Cancer Res. 2015, 21, 2315–2324. [Google Scholar] [CrossRef]
- Romanel, A.; Gasi Tandefelt, D.; Conteduca, V.; Jayaram, A.; Casiraghi, N.; Wetterskog, D.; Salvi, S.; Amadori, D.; Zafeiriou, Z.; Rescigno, P.; et al. Plasma AR and Abiraterone-Resistant Prostate Cancer. Sci. Transl. Med. 2015, 7, 312re10. [Google Scholar] [CrossRef]
- Sweeney, P.L.; Lanka, S.M.; Jang, A.; Gupta, K.; Caputo, S.; Casado, C.; Huang, M.; Pocha, O.; Hawkins, M.; Lieberman, A.; et al. Analysis of TP53 Gain of Function Mutations in Metastatic Castration-Resistant Prostate Cancer. J. Clin. Oncol. 2023, 41, 246. [Google Scholar] [CrossRef]
- Maxwell, K.N.; Cheng, H.H.; Powers, J.; Gulati, R.; Ledet, E.M.; Morrison, C.; Le, A.; Hausler, R.; Stopfer, J.; Hyman, S.; et al. Inherited TP53 Variants and Risk of Prostate Cancer. Eur. Urol. 2022, 81, 243–250. [Google Scholar] [CrossRef]
- Evans, M.J.; Smith-Jones, P.M.; Wongvipat, J.; Navarro, V.; Kim, S.; Bander, N.H.; Larson, S.M.; Sawyers, C.L. Noninvasive Measurement of Androgen Receptor Signaling with a Positron-Emitting Radiopharmaceutical That Targets Prostate-Specific Membrane Antigen. Proc. Natl. Acad. Sci. USA 2011, 108, 9578–9582. [Google Scholar] [CrossRef]
- Sartor, O.; de Bono, J.; Chi, K.N.; Fizazi, K.; Herrmann, K.; Rahbar, K.; Tagawa, S.T.; Nordquist, L.T.; Vaishampayan, N.; El-Haddad, G.; et al. Lutetium-177-PSMA-617 for Metastatic Castration-Resistant Prostate Cancer. N. Engl. J. Med. 2021, 385, 1091–1103. [Google Scholar] [CrossRef]



Disclaimer/Publisher’s Note: The statements, opinions and data contained in all publications are solely those of the individual author(s) and contributor(s) and not of MDPI and/or the editor(s). MDPI and/or the editor(s) disclaim responsibility for any injury to people or property resulting from any ideas, methods, instructions or products referred to in the content. |
© 2024 by the authors. Licensee MDPI, Basel, Switzerland. This article is an open access article distributed under the terms and conditions of the Creative Commons Attribution (CC BY) license (https://creativecommons.org/licenses/by/4.0/).
Share and Cite
Oyogoa, E.; Sonpatki, M.; Brinkerhoff, B.T.; Andeen, N.; Meyer, H.; Ryan, C.; Sokolova, A.O. Mixed Adenosquamous Cell Carcinoma of the Prostate with Paired Sequencing on the Primary and Liver Metastasis. Curr. Oncol. 2024, 31, 2393-2399. https://doi.org/10.3390/curroncol31050178
Oyogoa E, Sonpatki M, Brinkerhoff BT, Andeen N, Meyer H, Ryan C, Sokolova AO. Mixed Adenosquamous Cell Carcinoma of the Prostate with Paired Sequencing on the Primary and Liver Metastasis. Current Oncology. 2024; 31(5):2393-2399. https://doi.org/10.3390/curroncol31050178
Chicago/Turabian StyleOyogoa, Emmanuella, Maya Sonpatki, Brian T. Brinkerhoff, Nicole Andeen, Haley Meyer, Christopher Ryan, and Alexandra O. Sokolova. 2024. "Mixed Adenosquamous Cell Carcinoma of the Prostate with Paired Sequencing on the Primary and Liver Metastasis" Current Oncology 31, no. 5: 2393-2399. https://doi.org/10.3390/curroncol31050178
APA StyleOyogoa, E., Sonpatki, M., Brinkerhoff, B. T., Andeen, N., Meyer, H., Ryan, C., & Sokolova, A. O. (2024). Mixed Adenosquamous Cell Carcinoma of the Prostate with Paired Sequencing on the Primary and Liver Metastasis. Current Oncology, 31(5), 2393-2399. https://doi.org/10.3390/curroncol31050178
