A Rare Early-Onset Fatal Complication after Transarterial Chemoembolization: A Case Report and Review of the Literature
Abstract
1. Introduction
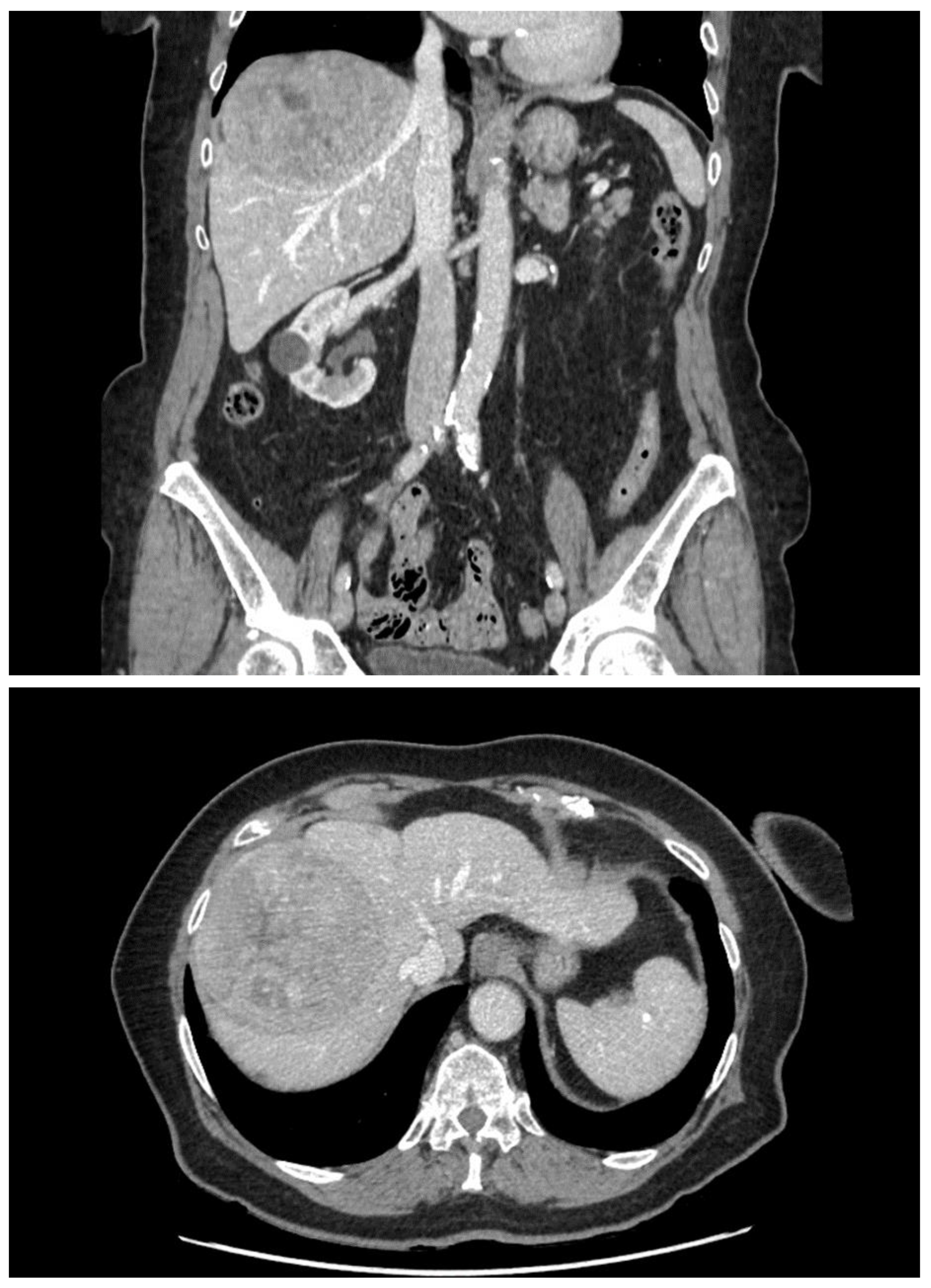
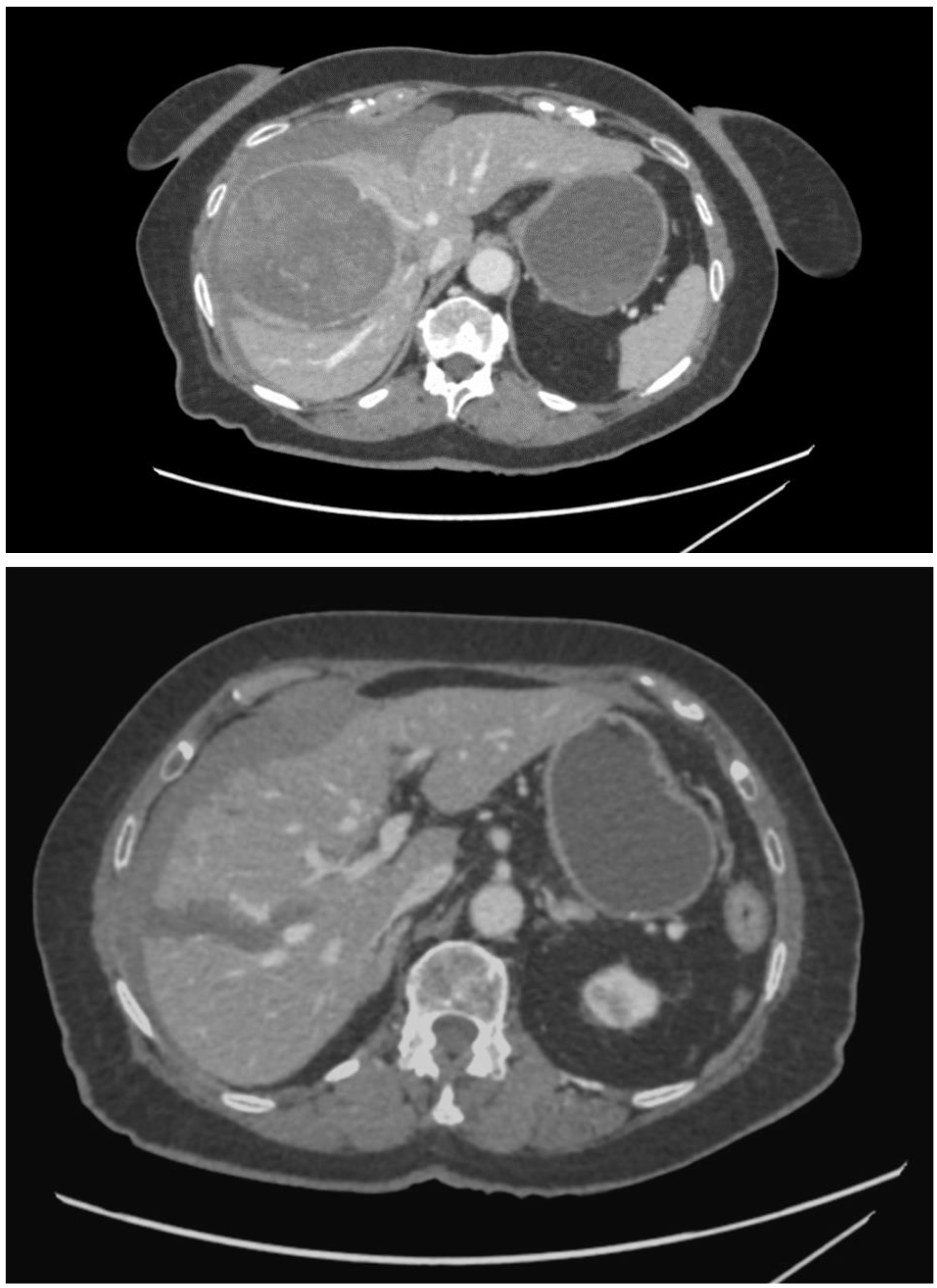
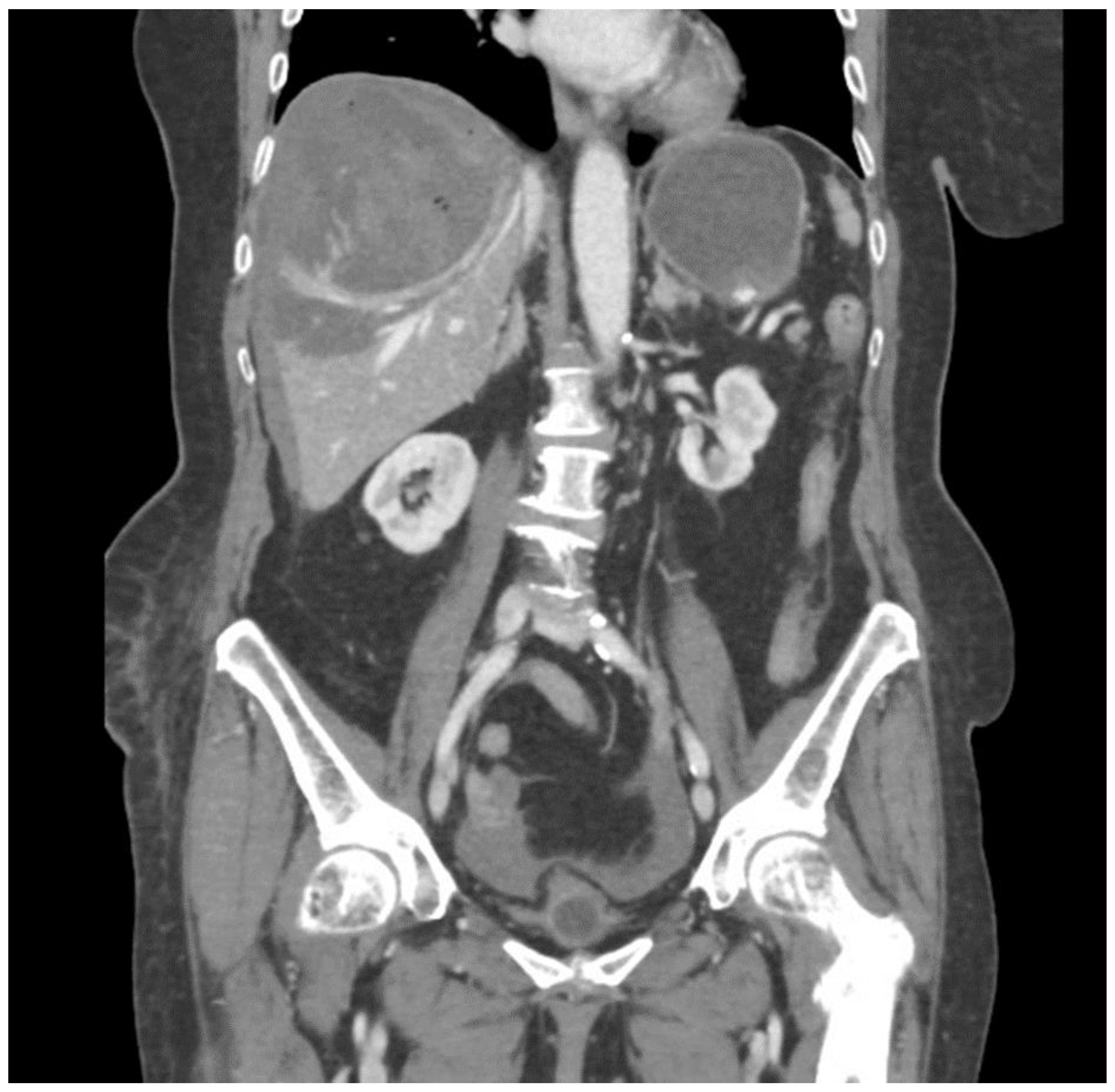
2. Case Report
3. Discussion
| Author | Sex (Age) | History | Tumor (Location and Size) | Time between TACE and Rupture | Treatment following Rupture | Outcome |
|---|---|---|---|---|---|---|
| Yeh (2002) [22] | Male (45) | HCV and cirrhosis | Left and right lobe (segment IV–VIII), size NA | 2 months | Laparotomy | Died |
| Battula (2007) [23] | Male (61) | Cirrhosis | Right lobe, 11 cm | 2 days | Laparotomy | Died |
| Male (69) | Cirrhosis | Right lobe, 13 cm | 24 days | Conservative | Alive | |
| Reichmann (2009) [24] | Male (53) | Cirrhosis and HBV | Right lobe (segment VII, VIII), 6 cm | 6 h | Laparotomy | Died |
| Reso (2009) [13] | Male (90) | - | Right lobe, close to the liver capsule | 4 h | Conservative | Died (respiratory failure) |
| Nawawi (2010) [25] | Male (66) | Cirrhosis | NA | NA | NA | Died |
| Sun (2010) [19] | Female (28) | - | Right lobe, 13 cm | 1 month | TAE | Alive |
| Female (42) | - | Right lobe, 11 cm | 3 days | TAE | Alive | |
| Female (83) | - | Right lobe, 14 cm | 5 months | TAE | Died | |
| Male (51) | - | Right lobe, 7 cm | 16 h | TAE | Alive | |
| Male (47) | - | Right lobe, 10 cm | 7 months | TAE | Alive | |
| Ritter (2011) [26] | Male (74) | Cirrhosis | Left lobe (segment III, IVb), 16 cm | 14 h | Conservative | Died |
| Bruls (2011) [27] | Male (78) | Cirrhosis | Left lobe (segment II, IV), 7 cm | 3 weeks | Conservative | Died |
| Park (2011) [28] | Male (52) | Cirrhosis | Right lobe (segment VII), 12.3 cm | 30 days | Conservative | Died |
| Jia (2013) [15] | Male (45) | Cirrhosis and HBV | Right lobe, 9 cm, near the liver capsule | 10 days | Conservative | Died |
| Male (61) | - | Right lobe, 13 cm, near the liver capsule | 6 days | TAE/conservative * | Alive | |
| Male (53) | Cirrhosis and HBV | Right and left lobe, 11 cm, near the liver capsule | 7 days | Conservative | Died | |
| Male (57) | HBV | Right and left lobe, 14 cm, near the liver capsule | 9 days | TAE/conservative * | Alive | |
| Male (64) | - | Right and left lobe, 16 cm, near the liver capsule | 17 days | TAE/conservative * | Alive | |
| Male (67) | - | Right and left lobe, 16 cm, near the liver capsule | 13 days | TAE/conservative * | Alive | |
| Singh Bhinder (2015) [2] | Male (67) | HCV and cirrhosis | Right lobe (segment VII), 4 cm | 1 day | TAE | Alive |
| Tu (2016) [29] | Male (45) | HBV and cirrhosis | Right lobe, 9 cm | 10 days | Conservative | Died |
| Nishida (2018) [10] | Male (81) | Cirrhosis | Left and right lobe (segment II, VI, VIII), 6.5 cm and three lesions less than 2 cm, superficial | 5 weeks | Conservative | Alive |
| Gala (2020) [16] | Female (76) | AIH cirrhosis | Right lobe, 6 cm | 12 h | Conservative | Died (she developed HAP) |
| Zhao (2021) [17] | Male (63) | - | Right lobe (segment VIII), 3.2 cm | 16 h | TAE | Alive |
| Male (70) | - | Right lobe (segment V), 4.2 cm | 40 h | TAE | Died | |
| Female (44) | - | Right lobe (segment VIII), 8.8 cm | 7 days | TAE | Died | |
| Male (48) | - | Right lobe (segment VI), 9.1 cm | 4 days | TAE | Died | |
| Male (57) | - | Right lobe (segment V), 5.2 cm | 13 days | TAE | Died | |
| Male (60) | - | Right lobe (segment VI), 7 cm | 10 days | TAE | Died | |
| Female (58) | - | Right lobe (segment VIII), 7.3 cm | 3 days | TAE | Alive | |
| Male (51) | - | Right lobe (segment VII), 8.6 cm | 5 days | TAE | Alive | |
| Parthasarathy and Khan (2024) [30] | Male (66) | Alcohol-relater liver cirrhosis | Right lobe (segment VIII), 3.3 cm | 30 h | TAE | Alive |
4. Conclusions
Author Contributions
Funding
Institutional Review Board Statement
Informed Consent Statement
Data Availability Statement
Conflicts of Interest
References
- West, H.; Jin, J.O. Transarterial Chemoembolization. JAMA Oncol. 2015, 1, 1178. [Google Scholar] [CrossRef] [PubMed]
- Singh Bhinder, N.; Zangan, S. Hepatocellular Carcinoma Rupture following Transarterial Chemoembolization. Semin. Interv. Radiol. 2015, 32, 049–053. [Google Scholar] [CrossRef][Green Version]
- Desai, A.; Sandhu, S.; Lai, J.-P.; Sandhu, D.S. Hepatocellular Carcinoma in Non-Cirrhotic Liver: A Comprehensive Review. World J. Hepatol. 2019, 11, 1. [Google Scholar] [CrossRef] [PubMed]
- Lee, D.H.; Lee, J.M. Primary Malignant Tumours in the Non-Cirrhotic Liver. Eur. J. Radiol. 2017, 95, 349–361. [Google Scholar] [CrossRef] [PubMed]
- Mittal, S.; El-Serag, H.B. Epidemiology of Hepatocellular Carcinoma: Consider the Population. J. Clin. Gastroenterol. 2013, 47 (Suppl. 1), S2–S6. [Google Scholar] [CrossRef] [PubMed]
- Kim, H.C.; Yang, D.M.; Jin, W.; Park, S.J. The Various Manifestations of Ruptured Hepatocellular Carcinoma: CT Imaging Findings. Abdom. Imaging 2008, 33, 633–642. [Google Scholar] [CrossRef] [PubMed]
- Xia, F.; Ndhlovu, E.; Zhang, M.; Chen, X.; Zhang, B.; Zhu, P. Ruptured Hepatocellular Carcinoma: Current Status of Research. Front. Oncol. 2022, 12, 848903. [Google Scholar] [CrossRef] [PubMed]
- Chintalapati, S.P.; Patel, A.; Conjeevaram, H. Gastric and Duodenal Ischaemia after Transarterial Chemoembolisation for Hepatocellular Carcinoma: An Unexpected but Significant Complication. BMJ Case Rep. 2018, 2018, bcr-2017-223339. [Google Scholar] [CrossRef]
- Chang, C.-J.; Hou, M.-C.; Tseng, H.-S.; Liao, W.-C.; Lin, H.-C.; Lee, S.-D. Bleeding Gastric Ulcer After Prophylactic Coiling of Transarterial Chemoembolization. J. Clin. Gastroenterol. 2010, 44, 588–591. [Google Scholar] [CrossRef]
- Nishida, K.; Lefor, A.K.; Funabiki, T. Rupture of Hepatocellular Carcinoma after Transarterial Chemoembolization Followed by Massive Gastric Bleeding. Case Rep. Hepatol. 2018, 2018, 4576276. [Google Scholar] [CrossRef]
- Xia, J.; Ren, Z.; Ye, S.; Sharma, D.; Lin, Z.; Gan, Y.; Chen, Y.; Ge, N.; Ma, Z.; Wu, Z.; et al. Study of Severe and Rare Complications of Transarterial Chemoembolization (TACE) for Liver Cancer. Eur. J. Radiol. 2006, 59, 407–412. [Google Scholar] [CrossRef] [PubMed]
- Marcacuzco Quinto, A.; Nutu, O.-A.; San Román Manso, R.; Justo Alonso, I.; Calvo Pulido, J.; Manrique Municio, A.; García-Sesma, Á.; Loinaz Segurola, C.; Martínez Caballero, J.; Jiménez Romero, L.C. Complicaciones de la quimioembolización transarterial (QETA) en el tratamiento de los tumores hepáticos. Cir. Esp. 2018, 96, 560–567. [Google Scholar] [CrossRef] [PubMed]
- Reso, A.; Ball, C.G.; Sutherland, F.R.; Bathe, O.; Dixon, E. Rupture and Intra-Peritoneal Bleeding of a Hepatocellular Carcinoma after a Transarterial Chemoembolization Procedure: A Case Report. Cases J. 2009, 2, 68. [Google Scholar] [CrossRef] [PubMed]
- Zhu, L. Elasticity of Small Artery in Patient with Spontaneous Rupture of Hepatocellular Carcinoma. Hepatol. Res. 2004, 29, 13–17. [Google Scholar] [CrossRef] [PubMed]
- Jia, Z.; Tian, F.; Jiang, G. Ruptured Hepatic Carcinoma after Transcatheter Arterial Chemoembolization. Curr. Ther. Res. 2013, 74, 41–43. [Google Scholar] [CrossRef] [PubMed]
- Gala, K.; Guardiola-Bright, J.; McGee, S. Post-Transarterial Chemoembolization Tumor Rupture in a Patient with Autoimmune Hepatitis Cirrhosis and Hepatocellular Carcinoma. Cureus 2020, 12, e7750. [Google Scholar] [CrossRef] [PubMed]
- Zhao, W.; Hou, X.; Li, H.; Guo, J.; Cai, L.; Duan, Y.; Du, H.; Shao, X.; Diao, Z.; Li, C. Imaging Features and Outcomes in Patients with Ruptured Hepatocellular Carcinoma following Transcatheter Arterial Chemoembolization: A Retrospective Clinical Study. J. Int. Med. Res. 2021, 49, 030006052110077. [Google Scholar] [CrossRef] [PubMed]
- Xu, X.; Chen, C.; Liu, Q.; Huang, X. A Meta-Analysis of TAE/TACE versus Emergency Surgery in the Treatment of Ruptured HCC. Cardiovasc. Intervent. Radiol. 2020, 43, 1263–1276. [Google Scholar] [CrossRef]
- Sun, J.-H.; Wang, L.-G.; Bao, H.-W.; Lou, J.-L.; Cai, L.-X.; Wu, C.; Chen, L.-M.; Zheng, S.-S. Emergency Embolization in the Treatment of Ruptured Hepatocellular Carcinoma following Transcatheter Arterial Chemoembolization. Hepatogastroenterology 2010, 57, 616–619. [Google Scholar]
- Lee, C.-Y.; Chau, G.-Y.; Wei, C.-Y.; Chao, Y.; Huang, Y.-H.; Huo, T.-I.; Hou, M.-C.; Su, Y.-H.; Wu, J.-C.; Su, C.-W. Surgical Resection Could Provide Better Outcomes for Patients with Hepatocellular Carcinoma and Tumor Rupture. Sci. Rep. 2022, 12, 8343. [Google Scholar] [CrossRef]
- Cheng, H.-M.; Tanaka, T.; Nishiofuku, H.; Chanoki, Y.; Horiuchi, K.; Masada, T.; Tatsumoto, S.; Matsumoto, T.; Marugami, N.; Kichikawa, K. Safety and Prognosis of Transarterial Chemoembolization for Octogenarians with Hepatocellular Carcinoma. Cardiovasc. Intervent. Radiol. 2019, 42, 1413–1419. [Google Scholar] [CrossRef] [PubMed]
- Yeh, C.-N.; Chen, H.-M.; Chen, M.-F.; Chao, T.-C. Peritoneal Implanted Hepatocellular Carcinoma with Rupture after TACE Presented as Acute Appendicitis. Hepatogastroenterology 2002, 49, 938–940. [Google Scholar] [PubMed]
- Battula, N.; Srinivasan, P.; Madanur, M.; Chava, S.P.; Priest, O.; Rela, M.; Heaton, N. Ruptured Hepatocellular Carcinoma following Chemoembolization: A Western Experience. Hepatobiliary Pancreat. Dis. Int. HBPD INT 2007, 6, 49–51. [Google Scholar] [PubMed]
- Reichman, T.W.; Anthony, T.; Millis, J.M.; Testa, G. Uncharacteristically Early Fatal Intraperitoneal Rupture of Hepatocellular Carcinoma following Transarterial Chemoembolization. Dig. Liver Dis. 2009, 41, 175–176. [Google Scholar] [CrossRef] [PubMed]
- Nawawi, O.; Hazman, M.; Abdullah, B.; Vijayananthan, A.; Manikam, J.; Mahadeva, S.; Goh, K. Transarterial Embolisation of Hepatocellular Carcinoma with Doxorubicin-Eluting Beads: Single Centre Early Experience. Biomed. Imaging Interv. J. 2010, 6, e7. [Google Scholar] [CrossRef] [PubMed]
- Ritter, C.O.; Wartenberg, M.; Mottok, A.; Steger, U.; Goltz, J.P.; Hahn, D.; Kickuth, R. Spontaneous Liver Rupture after Treatment with Drug-Eluting Beads. Cardiovasc. Intervent. Radiol. 2012, 35, 198–202. [Google Scholar] [CrossRef] [PubMed]
- Bruls, S.; Joskin, J.; Chauveau, R.; Delwaide, J.; Meunier, P. Ruptured Hepatocellular Carcinoma following Transcatheter Arterial Chemoembolization. J. Belg. Soc. Radiol. 2011, 94, 68–70. [Google Scholar] [CrossRef][Green Version]
- Park, Y.H.; Kang, S.H.; Kim, S.U.; Kim, D.Y.; Park, J.Y.; Ahn, S.H.; Han, K.-H.; Chon, C.Y. A Case of Hepaticoduodenal Fistula Development after Transarterial Chemoembolization in Patient with Hepatocellular Carcinoma. Korean J. Gastroenterol. 2011, 58, 149. [Google Scholar] [CrossRef][Green Version]
- Tu, J.; Jia, Z.; Ying, X.; Zhang, D.; Li, S.; Tian, F.; Jiang, G. The Incidence and Outcome of Major Complication following Conventional TAE/TACE for Hepatocellular Carcinoma. Medicine 2016, 95, e5606. [Google Scholar] [CrossRef]
- Parthasarathy, P.; Khan, M. A299 Acute Tumour Rupture Post-Transarterial Chemoembolization in a Patient with Hepatocellular Carcinoma. J. Can. Assoc. Gastroenterol. 2024, 7 (Suppl. S1), 243–244. [Google Scholar] [CrossRef]





Disclaimer/Publisher’s Note: The statements, opinions and data contained in all publications are solely those of the individual author(s) and contributor(s) and not of MDPI and/or the editor(s). MDPI and/or the editor(s) disclaim responsibility for any injury to people or property resulting from any ideas, methods, instructions or products referred to in the content. |
© 2024 by the authors. Licensee MDPI, Basel, Switzerland. This article is an open access article distributed under the terms and conditions of the Creative Commons Attribution (CC BY) license (https://creativecommons.org/licenses/by/4.0/).
Share and Cite
Péčová, M.; Benko, J.; Péč, M.J.; Jurica, J.; Horná, S.; Bolek, T.; Hurtová, T.; Sýkora, J.; Zeleňák, K.; Samoš, M.; et al. A Rare Early-Onset Fatal Complication after Transarterial Chemoembolization: A Case Report and Review of the Literature. Curr. Oncol. 2024, 31, 1961-1970. https://doi.org/10.3390/curroncol31040147
Péčová M, Benko J, Péč MJ, Jurica J, Horná S, Bolek T, Hurtová T, Sýkora J, Zeleňák K, Samoš M, et al. A Rare Early-Onset Fatal Complication after Transarterial Chemoembolization: A Case Report and Review of the Literature. Current Oncology. 2024; 31(4):1961-1970. https://doi.org/10.3390/curroncol31040147
Chicago/Turabian StylePéčová, Monika, Jakub Benko, Martin Jozef Péč, Jakub Jurica, Simona Horná, Tomáš Bolek, Tatiana Hurtová, Ján Sýkora, Kamil Zeleňák, Matej Samoš, and et al. 2024. "A Rare Early-Onset Fatal Complication after Transarterial Chemoembolization: A Case Report and Review of the Literature" Current Oncology 31, no. 4: 1961-1970. https://doi.org/10.3390/curroncol31040147
APA StylePéčová, M., Benko, J., Péč, M. J., Jurica, J., Horná, S., Bolek, T., Hurtová, T., Sýkora, J., Zeleňák, K., Samoš, M., & Sokol, J. (2024). A Rare Early-Onset Fatal Complication after Transarterial Chemoembolization: A Case Report and Review of the Literature. Current Oncology, 31(4), 1961-1970. https://doi.org/10.3390/curroncol31040147

