The Potential of PD-1 and PD-L1 as Prognostic and Predictive Biomarkers in Colorectal Adenocarcinoma Based on TILs Grading
Abstract
1. Introduction
2. Materials and Methods
2.1. Patients and Tissue Specimens
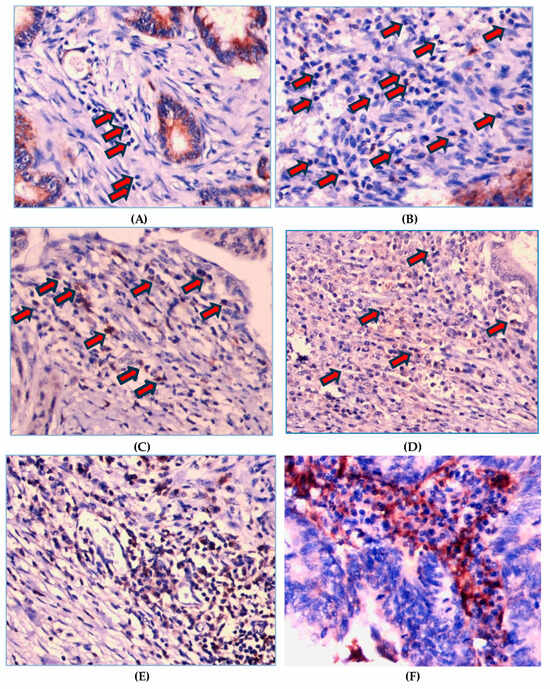
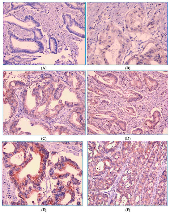
2.2. Assessment of Tumor-Infiltrating Lymphocytes (TILs)
2.3. Immunohistochemical (IHC) Staining
2.4. PD-1 and PD-L1 Expression Assessment
- PD-1 expression was analyzed using a semi-quantitative immunoreactive score (IRS) system, calculated by summing the proportion score (PS) and intensity score (IS). The PS was determined based on the percentage of positively stained lymphocytes: 0 (<5%), 1 (5–10%), 2 (11–25%), 3 (26–50%), and 4 (>50%). The IS was based on the intensity of lymphocyte membrane staining: 0 (no staining), 1 (weak staining), 2 (moderate staining), and 3 (strong staining). The total IRS ranged from 0 to 7, with strong PD-1 expression defined as IRS ≥ 3 [27]. To ensure consistency, the scores were confirmed by two independent pathologists.
- PD-L1 expression was also assessed using the IRS system. The PS was calculated based on the percentage of tumor cells with positive staining: 0 (none), 1 (<1%), 2 (1–10%), 3 (11–50%), and 4 (>50%). The IS for PD-L1 was based on the intensity of membrane staining on tumor cells: 0 (no staining), 1 (weak staining), 2 (moderate staining), and 3 (strong staining). The total IRS ranged from 0 to 7, with strong PD-L1 expression defined as IRS ≥ 3 [16]. The scoring process was similarly verified by two independent pathologists to minimize inter-observer variability.
2.5. Statistical Analysis
2.6. Data Availability and Ethics Approval
3. Results
3.1. Sample Characteristics
3.2. TILs Assessment in 130 CRCs
3.3. Expression of PD-1 on TILs and PD-L1 on Tumor in 130 CRCs
3.4. Correlation of PD-1 Expression of TILs with Grading of TILs
3.5. Correlation of Tumor PD-L1 Expression with Grading of TILs
3.6. The Correlation of PD-1 TILs and PD-L1 Tumor Expression with TILs Grade and Clinicopathological Parameters in 130 CRCs
4. Discussion
5. Conclusions
Author Contributions
Funding
Institutional Review Board Statement
Informed Consent Statement
Data Availability Statement
Acknowledgments
Conflicts of Interest
References
- Bray, F.; Laversanne, M.; Sung, H.; Ferlay, J.; Siegel, R.L.; Soerjomataram, I.; Jemal, A. Global cancer statistics 2022: GLOBOCAN estimates of incidence and mortality worldwide for 36 cancers in 185 countries. CA Cancer J. Clin. 2024, 74, 229–263. [Google Scholar] [CrossRef] [PubMed]
- Morgan, E.; Arnold, M.; Gini, A.; Lorenzoni, V.; Cabasag, C.J.; Laversanne, M.; Vignat, J.; Ferlay, J.; Murphy, N.; Bray, F. Global burden of colorectal cancer in 2020 and 2040: Incidence and mortality estimates from GLOBOCAN. Gut 2023, 72, 338–344. [Google Scholar] [CrossRef] [PubMed]
- Xi, Y.; Xu, P. Global colorectal cancer burden in 2020 and projections to 2040. Transl. Oncol. 2021, 14, 101174. [Google Scholar] [CrossRef]
- Nagtegaal, I.D.; Odze, R.D.; Klimstra, D.; Paradis, V.; Rugge, M.; Schirmacher, P.; Washington, K.M.; Carneiro, F.; Cree, I.A.; the WHO Classification of Tumours Editorial Board. The 2019 WHO classification of tumours of the digestive system. Histopathology 2020, 76, 182–188. [Google Scholar] [CrossRef]
- Kumar, V.; Abbas, A.K.; Aster, J.C.; Deyrup, A.T. Robbins & Kumar Basic Pathology, 11th ed.; Elsevier: Amsterdam, The Netherlands, 2022. [Google Scholar]
- Miskad, U.A.; Hamzah, N.; Cangara, M.H.; Nelwan, B.J.; Masadah, R.; Wahid, S. Programmed death-ligand 1 expression and tumor-infiltrating lymphocytes in colorectal adenocarcinoma. Minerva Med. 2020, 111, 337–343. [Google Scholar] [CrossRef]
- Yusuf, I.; Pardamean, B.; Baurley, J.W.; Budiarto, A.; Miskad, U.A.; Lusikooy, R.E.; Arsyad, A.; Irwan, A.; Mathew, G.; Suriapranata, I.; et al. Genetic risk factors for colorectal cancer in multiethnic Indonesians. Sci. Rep. 2021, 11, 9988. [Google Scholar] [CrossRef]
- Siegel, R.L.; Wagle, N.S.; Cercek, A.; Smith, R.A.; Jemal, A. Colorectal cancer statistics, 2023. CA Cancer J. Clin. 2023, 73, 233–254. [Google Scholar] [CrossRef] [PubMed]
- Grasso, C.S.; Giannakis, M.; Wells, D.K.; Hamada, T.; Mu, X.J.; Quist, M.; Nowak, J.A.; Nishihara, R.; Qian, Z.R.; Inamura, K.; et al. Genetic mechanisms of immune evasion in colorectal cancer. Cancer Discov. 2018, 8, 730–749. [Google Scholar] [CrossRef]
- Menon, G.; Recio-Boiles, A.; Lotfollahzadeh, S.; Cagir, B. Colon Cancer; StatPearls: Treasure Island, FL, USA, 2024. [Google Scholar]
- Paijens, S.T.; Vledder, A.; de Bruyn, M.; Nijman, H.W. Tumor-infiltrating lymphocytes in the immunotherapy era. Cell. Mol. Immunol. 2021, 18, 842–859. [Google Scholar] [CrossRef]
- Brummel, K.; Eerkens, A.L.; de Bruyn, M.; Nijman, H.W. Tumour-infiltrating lymphocytes: From prognosis to treatment selection. Br. J. Cancer 2022, 128, 451–458. [Google Scholar] [CrossRef]
- Lin, B.; Du, L.; Li, H.; Zhu, X.; Cui, L.; Li, X. Tumor-infiltrating lymphocytes: Warriors fight against tumors powerfully. Biomed. Pharmacother. 2020, 132, 110873. [Google Scholar] [CrossRef] [PubMed]
- Eiva, M.A.; Omran, D.K.; Chacon, J.A.; Powell, D.J. Systematic analysis of CD39, CD103, CD137, and PD-1 as biomarkers for naturally occurring tumor antigen-specific TILs. Eur. J. Immunol. 2022, 52, 96–108. [Google Scholar] [CrossRef] [PubMed]
- Fuchs, T.L.; Sioson, L.; Sheen, A.; Jafari-Nejad, K.; Renaud, C.J.; Andrici, J.; Ahadi, M.; Chou, A.; Gill, A.J. Assessment of Tumor-infiltrating Lymphocytes Using International TILs Working Group (ITWG) System Is a Strong Predictor of Overall Survival in Colorectal Carcinoma A Study of 1034 Patients. Am. J. Surg. Pathol. 2020, 44, 536–544. [Google Scholar] [CrossRef] [PubMed]
- Noh, B.J.; Kwak, J.Y.; Eom, D.W. Immune classification for the PD-L1 expression and tumour-infiltrating lymphocytes in colorectal adenocarcinoma. BMC Cancer 2020, 20, 58. [Google Scholar] [CrossRef] [PubMed]
- Pardoll, D.M. The blockade of immune checkpoints in cancer immunotherapy. Nat. Rev. Cancer 2012, 12, 252–264. [Google Scholar] [CrossRef]
- Lin, X.; Kang, K.; Chen, P.; Zeng, Z.; Li, G.; Xiong, W.; Yi, M.; Xiang, B. Regulatory mechanisms of PD-1/PD-L1 in cancers. Mol. Cancer 2024, 23, 108. [Google Scholar] [CrossRef]
- Wherry, E.J.; Kurachi, M. Molecular and cellular insights into T cell exhaustion. Nat. Rev. Immunol. 2015, 15, 486–499. [Google Scholar] [CrossRef]
- Pauken, K.E.; Wherry, E.J. Overcoming T cell exhaustion in infection and cancer. Trends Immunol. 2015, 36, 265–276. [Google Scholar] [CrossRef]
- Bengsch, B.; Ohtani, T.; Khan, O.; Setty, M.; Manne, S.; O’Brien, S.; Gherardini, P.F.; Herati, R.S.; Huang, A.C.; Chang, K.-M.; et al. Epigenomic-Guided Mass Cytometry Profiling Reveals Disease-Specific Features of Exhausted CD8 T Cells. Immunity 2018, 48, 1029–1045.e5. [Google Scholar] [CrossRef]
- Topalian, S.L.; Sznol, M.; McDermott, D.F.; Kluger, H.M.; Carvajal, R.D.; Sharfman, W.H.; Brahmer, J.R.; Lawrence, D.P.; Atkins, M.B.; Powderly, J.D.; et al. Survival, durable tumor remission, and long-term safety in patients with advanced melanoma receiving nivolumab. J. Clin. Oncol. 2014, 32, 1020–1030. [Google Scholar] [CrossRef]
- Tumeh, P.C.; Harview, C.L.; Yearley, J.H.; Shintaku, I.P.; Taylor, E.J.M.; Robert, L.; Chmielowski, B.; Spasic, M.; Henry, G.; Ciobanu, V.; et al. PD-1 blockade induces responses by inhibiting adaptive immune resistance. Nature 2014, 515, 568–571. [Google Scholar] [CrossRef] [PubMed]
- Valentini, A.M.; Di Pinto, F.; Cariola, F.; Guerra, V.; Giannelli, G.; Caruso, M.L.; Pirrelli, M. PD-L1 expression in colorectal cancer defines three subsets of tumor immune microenvironments. Oncotarget 2018, 9, 8584–8596. [Google Scholar] [CrossRef] [PubMed]
- Shiravand, Y.; Khodadadi, F.; Kashani, S.M.A.; Hosseini-Fard, S.R.; Hosseini, S.; Sadeghirad, H.; Ladwa, R.; O’byrne, K.; Kulasinghe, A. Immune Checkpoint Inhibitors in Cancer Therapy. Curr. Oncol. 2022, 29, 3044–3060. [Google Scholar] [CrossRef] [PubMed]
- Salgado, R.; Denkert, C.; Demaria, S.; Sirtaine, N.; Klauschen, F.; Pruneri, G.; Wienert, S.; Van den Eynden, G.; Baehner, F.L.; Penault-Llorca, F.; et al. The evaluation of tumor-infiltrating lymphocytes (TILS) in breast cancer: Recommendations by an international TILS working group 2014. Ann. Oncol. 2015, 26, 259–271. [Google Scholar] [CrossRef]
- Volaric, A.; Bacchi, C.E.; Gru, A.A. PD-1 and PD-L1 Immunohistochemistry as a Diagnostic Tool for Classic Hodgkin Lymphoma in Small-volume Biopsies. Am. J. Surg. Pathol. 2020, 44, 1353–1366. [Google Scholar] [CrossRef]
- Bally, A.P.R.; Austin, J.W.; Boss, J.M. Genetic and Epigenetic Regulation of PD-1 Expression. J. Immunol. 2016, 196, 2431–2437. [Google Scholar] [CrossRef]
- Bally, A.P.R.; Lu, P.; Tang, Y.; Austin, J.W.; Scharer, C.D.; Ahmed, R.; Boss, J.M. NF-κB Regulates PD-1 Expression in Macrophages. J. Immunol. 2015, 194, 4545–4554. [Google Scholar] [CrossRef]
- Austin, J.W.; Lu, P.; Majumder, P.; Ahmed, R.; Boss, J.M. STAT3, STAT4, NFATc1, and CTCF Regulate PD-1 through Multiple Novel Regulatory Regions in Murine T Cells. J. Immunol. 2014, 192, 4876–4886. [Google Scholar] [CrossRef] [PubMed]
- Woo, S.-R.; Fuertes, M.B.; Corrales, L.; Spranger, S.; Furdyna, M.J.; Leung, M.Y.K.; Duggan, R.; Wang, Y.; Barber, G.N.; Fitzgerald, K.A.; et al. STING-dependent cytosolic DNA sensing mediates innate immune recognition of immunogenic tumors. Immunity 2014, 41, 830–842. [Google Scholar] [CrossRef]
- Blank, C.U.; Haining, W.N.; Held, W.; Hogan, P.G.; Kallies, A.; Lugli, E.; Lynn, R.C.; Philip, M.; Rao, A.; Restifo, N.P.; et al. Defining ‘T cell exhaustion’. Nat. Rev. Immunol. 2019, 19, 665–674. [Google Scholar] [CrossRef]
- Lei, X.; Lei, Y.; Li, J.-K.; Du, W.-X.; Li, R.-G.; Yang, J.; Li, J.; Li, F.; Tan, H.-B. Immune cells within the tumor microenvironment: Biological functions and roles in cancer immunotherapy. Cancer Lett. 2020, 470, 126–133. [Google Scholar] [CrossRef] [PubMed]
- Veglia, F.; Sanseviero, E.; Gabrilovich, D.I. Myeloid-derived suppressor cells in the era of increasing myeloid cell diversity. Nat. Rev. Immunol. 2021, 21, 485–498. [Google Scholar] [CrossRef] [PubMed]
- Helmink, B.A.; Reddy, S.M.; Gao, J.; Zhang, S.; Basar, R.; Thakur, R.; Yizhak, K.; Sade-Feldman, M.; Blando, J.; Han, G.; et al. B cells and tertiary lymphoid structures promote immunotherapy response. Nature 2020, 577, 549–555. [Google Scholar] [CrossRef]
- Lee, J.; Ahn, E.; Kissick, H.T.; Ahmed, R. Reinvigorating exhausted T cells by blockade of the PD-1 pathway. For. Immunopathol. Dis. Therap. 2015, 6, 7–18. [Google Scholar] [CrossRef]
- Bedard, P.L.; Hansen, A.R.; Ratain, M.J.; Siu, L.L. Tumour heterogeneity in the clinic. Nature 2013, 501, 355–364. [Google Scholar] [CrossRef]
- Youngblood, B.; Hale, J.S.; Ahmed, R. Memory CD8 T cell transcriptional plasticity. F1000Prime Rep. 2015, 7, 38. [Google Scholar] [CrossRef]
- McGranahan, N.; Swanton, C. Clonal Heterogeneity and Tumor Evolution: Past, Present, and the Future. Cell 2017, 168, 613–628. [Google Scholar] [CrossRef]
- Kumar, V.E.; Nambiar, R.; De Souza, C.; Nguyen, A.; Chien, J.; Lam, K.S. Targeting Epigenetic Modifiers of Tumor Plasticity and Cancer Stem Cell Behavior. Cells 2022, 11, 1403. [Google Scholar] [CrossRef] [PubMed]
- Yuan, Y. Spatial Heterogeneity in the Tumor Microenvironment. Cold Spring Harb. Perspect. Med. 2016, 6, a026583. [Google Scholar] [CrossRef]
- Whiteside, T.L. The tumor microenvironment and its role in promoting tumor growth. Oncogene 2008, 27, 5904–5912. [Google Scholar] [CrossRef]
- McLane, L.M.; Abdel-Hakeem, M.S.; Wherry, E.J. CD8 T Cell Exhaustion During Chronic Viral Infection and Cancer. Annu. Rev. Immunol. 2019, 37, 457–495. [Google Scholar] [CrossRef] [PubMed]
- Ribas, A.; Wolchok, J.D. Cancer immunotherapy using checkpoint blockade. Science 2018, 359, 1350–1355. [Google Scholar] [CrossRef] [PubMed]
- Marletta, S.; Fusco, N.; Munari, E.; Luchini, C.; Cimadamore, A.; Brunelli, M.; Querzoli, G.; Martini, M.; Vigliar, E.; Colombari, R.; et al. Atlas of PD-L1 for Pathologists: Indications, Scores, Diagnostic Platforms and Reporting Systems. J. Pers. Med. 2022, 12, 1073. [Google Scholar] [CrossRef]
- Cui, G. The Mechanisms Leading to Distinct Responses to PD-1/PD-L1 Blockades in Colorectal Cancers With Different MSI Statuses. Front. Oncol. 2021, 11, 1–10. [Google Scholar] [CrossRef]
- Lei, Q.; Wang, D.; Sun, K.; Wang, L.; Zhang, Y. Resistance Mechanisms of Anti-PD1/PDL1 Therapy in Solid Tumors. Front. Cell Dev. Biol. 2020, 8, 672. [Google Scholar] [CrossRef] [PubMed]
- Jiang, Y.; Chen, M.; Nie, H.; Yuan, Y. PD-1 and PD-L1 in cancer immunotherapy: Clinical implications and future considerations. Hum. Vaccines Immunother. 2019, 15, 1111–1122. [Google Scholar] [CrossRef]
- Ruan, H.; Leibowitz, B.J.; Zhang, L.; Yu, J. Immunogenic cell death in colon cancer prevention and therapy. Mol. Carcinog. 2020, 59, 783–793. [Google Scholar] [CrossRef]
- Pilard, C.; Ancion, M.; Delvenne, P.; Jerusalem, G.; Hubert, P.; Herfs, M. Cancer immunotherapy: It’s time to better predict patients’ response. Br. J. Cancer 2021, 125, 927–938. [Google Scholar] [CrossRef] [PubMed]
- Passardi, A.; Canale, M.; Valgiusti, M.; Ulivi, P. Immune checkpoints as a target for colorectal cancer treatment. Int. J. Mol. Sci. 2017, 18, 1324. [Google Scholar] [CrossRef]
- Yang, L.; Xue, R.; Pan, C. Prognostic and clinicopathological value of PD-L1 in colorectal cancer: A systematic review and meta-analysis. OncoTargets Ther. 2019, 12, 3671–3682. [Google Scholar] [CrossRef]
- Liu, J.; Li, J.; Luo, F.; Wu, S.; Li, B.; Liu, K. The Predictive Value of CD3+/CD8+ Lymphocyte Infiltration and PD-L1 Expression in Colorectal Cancer. Curr. Oncol. 2023, 30, 9647–9659. [Google Scholar] [CrossRef] [PubMed]
- Lewis, A.L.; Chaft, J.; Girotra, M.; Fischer, G.W. Immune checkpoint inhibitors: A narrative review of considerations for the anaesthesiologist. Br. J. Anaesth. 2020, 124, 251–260. [Google Scholar] [CrossRef] [PubMed]
- Jenkins, R.W.; Barbie, D.A.; Flaherty, K.T. Mechanisms of resistance to immune checkpoint inhibitors. Br. J. Cancer 2018, 118, 9–16. [Google Scholar] [CrossRef] [PubMed]
- Sun, Q.; Hong, Z.; Zhang, C.; Wang, L.; Han, Z.; Ma, D. Immune checkpoint therapy for solid tumours: Clinical dilemmas and future trends. Signal Transduct. Target. Ther. 2023, 8, 320. [Google Scholar] [CrossRef]



| Characteristics | Sample Quantity (n = 130) | Percentage (%) |
|---|---|---|
| Age | ||
| ≤ 50 years | 47 | 36.2 |
| >50 years | 83 | 63.8 |
| Gender | ||
| Male | 69 | 53.1 |
| Women | 61 | 46.9 |
| Histopathological Assessment | ||
| Low | 101 | 77.6 |
| High | 29 | 22.4 |
| TIL Assessment | ||
| Low | 43 | 33.1 |
| Intermediate | 67 | 51.5 |
| High | 20 | 15.4 |
| Lymphovascular Invasion | ||
| No. | 109 | 83.8 |
| Yes. | 21 | 16.2 |
| Lymph Node Metastasis | ||
| No. | 95 | 73.1 |
| Yes. | 35 | 26.9 |
| Tumor Budding | ||
| Low | 21 | 16.2 |
| Intermediate | 53 | 40.8 |
| High | 56 | 43.1 |
| Classification pT | ||
| pTis | 0 | 0 |
| pT1 | 0 | 0 |
| pT2 | 86 | 66.2 |
| pT3 | 42 | 32.3 |
| pT4 | 2 | 1.5 |
| Variable | TILs Assessment | Total N (%) | p | |||
|---|---|---|---|---|---|---|
| Low N (%) | Intermediate N (%) | High N (%) | ||||
| TIL PD-1 Immunostaining Score | Strong | 30 (27.5) | 60 (55.1) | 19 (17.4) | 109 (100.0) | 0.008 * |
| Weak | 13 (61.9) | 7 (33.3) | 1 (4.8) | 21 (100.0) | ||
| Variable | TILs Assessment | Total N (%) | p | |||
|---|---|---|---|---|---|---|
| Low N (%) | Intermediate N (%) | High N (%) | ||||
| TIL Proportion Score PD-1 | 0.00 | 10 (66.7) | 5 (33.3) | 0 (0.0) | 15 (100.0) | <0.001 * |
| 1.00 | 22 (35.5) | 35 (56.5) | 5 (8.1) | 62 (100.0) | ||
| 2.00 | 2 (15.4) | 11 (84.6) | 0 (0.0) | 13 (100.0) | ||
| 3.00 | 9 (25.7) | 16 (45.7) | 10 (28.6) | 35 (100.0) | ||
| 4.00 | 0 (0.0) | 0 (0.0) | 5 (100.0) | 5 (100.0) | ||
| Variable | TILs Assessment | Total N (%) | p | |||
|---|---|---|---|---|---|---|
| Low N (%) | Intermediate N (%) | High N (%) | ||||
| TILs Intensity Score PD-1 | Unstaining | 9 (69.2) | 4 (30.8) | 0 (0.0) | 13 (100.0) | 0.109 * |
| Weak | 4 (36.4) | 6 (54.5) | 1 (9.1) | 11 (100.0) | ||
| Moderate | 9 (31.0) | 16 (55.2) | 4 (13.8) | 29 (100.0) | ||
| Strong | 21 (27.3) | 41 (53.2) | 15 (19.5) | 77 (100.0) | ||
| Variable | TILs Assessment | Total N (%) | p | |||
|---|---|---|---|---|---|---|
| Low N (%) | Intermediate N (%) | High N (%) | ||||
| PD-L1 Tumor Immunostaining Score | Strong | 42 (36.5) | 64 (55.7) | 9 (7.8) | 115 (100.0) | <0.001 * |
| Weak | 1 (6.7) | 3 (20) | 11 (73.3) | 15 (100.0) | ||
| Variable | TILs Assessment | Total N (%) | p | |||
|---|---|---|---|---|---|---|
| Low N (%) | Intermediate N (%) | High N (%) | ||||
| Tumor PD-L1 Proportion Score | 0.00 | 1 (7.1) | 3 (21.4) | 10 (71.4) | 14 (100) | <0.001 * |
| 1.00 | 0 (0) | 0 (0) | 1 (100) | 1 (100) | ||
| 2.00 | 10 (52.6) | 9 (47.4) | 0 (0) | 19 (100) | ||
| 3.00 | 13 (27.1) | 29 (60.4) | 6 (12.5) | 48 (100) | ||
| 4.00 | 19 (39.6) | 26 (54.2) | 3 (6.3) | 48 (100) | ||
| Variable | TILs Assessment | Total N (%) | p | |||
|---|---|---|---|---|---|---|
| Low N (%) | Intermediate N (%) | High N (%) | ||||
| Tumor PD-L1 Intensity Score | Unstaining | 1 (7.1) | 3 (21.4) | 10 (71.4) | 14 (100.0) | <0.001 * |
| Weak | 10 (33.3) | 17 (56.7) | 3 (10) | 30 (100.0) | ||
| Moderate | 14 (40) | 20 (57.1) | 1 (2.9) | 35 (100.0) | ||
| Strong | 18 (35.3) | 27 (52.9) | 6 (11.8) | 51 (100.0) | ||
| Variable | PD-1 TILs | p | PD-L1 Tumor | p | TILs | p | Total | ||||
|---|---|---|---|---|---|---|---|---|---|---|---|
| Strong | Weak | Strong | Weak | Low | Intermediate | High | |||||
| N (%) | N (%) | N (%) | N (%) | N (%) | N (%) | N (%) | N (%) | ||||
| Age | |||||||||||
| ≤50 y.o | 42 (89.4) | 5 (10.6) | 0.299 | 43 (91.5) | 4 (8.5) | 0.598 | 18 (38.3) | 26 (55.3) | 3 (6.4) | 0.096 | 47 (100) |
| >50 y.o | 67 (80.7) | 16 (19.3) | 72 (86.7) | 11 (13.3) | 25 (30.1) | 41 (49.4) | 17 (20.5) | 83 (100) | |||
| Gender | |||||||||||
| Male | 58 (84.1) | 11 (15.9) | 1.000 | 63 (91.3) | 6 (8.7) | 0.421 | 23 (33.3) | 34 (49.3) | 12 (17.4) | 0.766 | 69 (100) |
| Female | 51 (83.6) | 10 (16.4) | 52 (85.2) | 9 (14.8) | 20 (32.8) | 33 (54.1) | 8 (13.1) | 61 (100) | |||
| Histological Grade | |||||||||||
| Low | 83 (82.2) | 18 (17.8) | 0.406 | 92 (91.1) | 9 (8.9) | 0.100 | 35 (34.7) | 54 (53.5) | 12 (11.9) | 0.118 | 101 (100) |
| High | 26 (89.7) | 3 (10.3) | 23 (79.3) | 6 (20.7) | 8 (27.6) | 13 (44.8) | 8 (27.6) | 29 (100) | |||
| Histological Type | |||||||||||
| Adenocarcinoma | 102 (85.7) | 17 (14.3) | 0.253 | 104 (87.4) | 15 (12.6) | 0.236 | 38 (31.9) | 61 (51.2) | 20 (16.8) | 0.396 | 119 (100) |
| Mucinous Adenocarcinoma | 7 (63.6) | 4 (36.4) | 11 (100) | 0 (0.0) | 5 (45.5) | 6 (54.5) | 0 (0.0) | 11 (100) | |||
| Lymph Node Metastasis | |||||||||||
| Yes | 28 (80) | 7 (20) | 0.649 | 30 (85.7) | 5 (14.3) | 0.547 | 11 (31.4) | 16 (45.7) | 8 (22.9) | 0.351 | 35 (100) |
| No | 81 (85.3) | 14 (14.7) | 85 (89.5) | 10 (10.5) | 32 (33.7) | 51 (53.7) | 12 (12.6) | 95 (100) | |||
| Lymphovascular Invasion | |||||||||||
| Yes | 15 (71.4) | 6 (28.6) | 0.108 | 19 (90.5) | 2 (9.5) | 1.000 | 7 (33.3) | 9 (42.9) | 5 (23.8) | 0.467 | 21 (100) |
| No | 94 (86.2) | 15 (13.8) | 96 (88.1) | 13 (11.9) | 36 (33.0) | 58 (53.2) | 15 (13.8) | 109 (100) | |||
| Tumor Budding | |||||||||||
| Low | 18 (85.7) | 3 (14.3) | 0.960 | 19 (90.5) | 2 (9.5) | 0.573 | 4 (19.0) | 12 (57.1) | 5 (23.8) | 0.333 | 21 (100) |
| Intermediate | 44 (83.0) | 9 (17.0) | 45 (84.9) | 8 (15.1) | 16 (30.2) | 28 (52.8) | 9 (17.0) | 53 (100) | |||
| High | 47 (83.9) | 9 (16.1) | 51 (91.1) | 5 (8.9) | 23 (41.1) | 27 (48.2) | 6 (10.7) | 56 (100) | |||
| pT | |||||||||||
| pT1 | 0 (0) | 0 (0) | 0.821 | 0 (0) | 0 (0) | 0.461 | 0 (0) | 0 (0) | 0 (0) | 0.164 | 0 (0) |
| pT2 | 72 (83.7) | 14 (16.3) | 74 (86.0) | 12 (14.0) | 25 (29.1) | 43 (50) | 18 (20.9) | 86 (100) | |||
| pT3 | 35 (83.3) | 7 (16.7) | 39 (92.9) | 3 (7.1) | 17 (40.5) | 23 (54.8) | 2 (4.8) | 42 (100) | |||
| pT4 | 2 (100) | 0 (0) | 2 (100) | 0 (0) | 1 (50) | 1 (50) | 0 (0) | 2 (100) | |||
| TILs | |||||||||||
| Low | 38 (37.3) | 5 (17.9) | 0.008 * | 42 (36.5) | 1 (6.7) | <0.001 * | / | / | / | / | 43 (100) |
| Intermediate | 53 (52.0) | 14 (50.0) | 64 (55.7) | 3 (20.0) | / | / | / | 67 (100) | |||
| High | 11 (10.8) | 9 (32.1) | 9 (7.8) | 11 (73.3) | / | / | / | 20 (100) | |||
Disclaimer/Publisher’s Note: The statements, opinions and data contained in all publications are solely those of the individual author(s) and contributor(s) and not of MDPI and/or the editor(s). MDPI and/or the editor(s) disclaim responsibility for any injury to people or property resulting from any ideas, methods, instructions or products referred to in the content. |
© 2024 by the authors. Licensee MDPI, Basel, Switzerland. This article is an open access article distributed under the terms and conditions of the Creative Commons Attribution (CC BY) license (https://creativecommons.org/licenses/by/4.0/).
Share and Cite
Rasyid, N.R.; Miskad, U.A.; Cangara, M.H.; Wahid, S.; Achmad, D.; Tawali, S.; Mardiati, M. The Potential of PD-1 and PD-L1 as Prognostic and Predictive Biomarkers in Colorectal Adenocarcinoma Based on TILs Grading. Curr. Oncol. 2024, 31, 7476-7493. https://doi.org/10.3390/curroncol31120552
Rasyid NR, Miskad UA, Cangara MH, Wahid S, Achmad D, Tawali S, Mardiati M. The Potential of PD-1 and PD-L1 as Prognostic and Predictive Biomarkers in Colorectal Adenocarcinoma Based on TILs Grading. Current Oncology. 2024; 31(12):7476-7493. https://doi.org/10.3390/curroncol31120552
Chicago/Turabian StyleRasyid, Nur Rahmah, Upik Anderiani Miskad, Muhammad Husni Cangara, Syarifuddin Wahid, Djumadi Achmad, Suryani Tawali, and Mardiati Mardiati. 2024. "The Potential of PD-1 and PD-L1 as Prognostic and Predictive Biomarkers in Colorectal Adenocarcinoma Based on TILs Grading" Current Oncology 31, no. 12: 7476-7493. https://doi.org/10.3390/curroncol31120552
APA StyleRasyid, N. R., Miskad, U. A., Cangara, M. H., Wahid, S., Achmad, D., Tawali, S., & Mardiati, M. (2024). The Potential of PD-1 and PD-L1 as Prognostic and Predictive Biomarkers in Colorectal Adenocarcinoma Based on TILs Grading. Current Oncology, 31(12), 7476-7493. https://doi.org/10.3390/curroncol31120552

