Spinal Metastases in Non-Seminomatous Germ Cell Testicular Tumors: Prognosis and Integrated Therapeutic Approaches—A Systematic Review with an Institutional Case Illustration
Abstract
1. Introduction
2. Materials and Methods
2.1. Literature Search
2.2. Study Selection
- Studies involving patients with spinal or vertebral metastases secondary to testicular NSGCTs.
- Articles written in English.
- Case reports, case series, or larger studies with detailed patient data, including demographics, clinical presentation, and treatment outcomes.
- Studies involving primary extra-gonadal (e.g., mediastinal, cerebral) NSGCTs.
- Studies focusing on non-spinal/vertebral metastases, such as mediastinal or cerebral metastases.
- Articles lacking original patient data, including narrative reviews, commentaries, or editorials.
- A PRISMA 2020 flow diagram was used to depict the study selection process, beginning with the identification of articles through database searching, the screening of abstracts and titles, and applying the inclusion/exclusion criteria (Figure 1). Additionally, a PRISMA 2020 checklist (Supplementary S1) was completed to ensure comprehensive reporting and adherence to systematic review guidelines. An initial search returned 43 articles. After removing duplicates, 35 unique studies were screened based on title and abstract. Of these, 25 articles underwent full-text review. Ultimately, 11 studies (six case reports and five case series) met the inclusion criteria and were incorporated into the final analysis. These studies were selected based on their relevance and completeness of patient data.
2.3. Data Extraction
- Authors and publication year.
- Number of patients described in each study.
- Patient demographics, including age.
- Histological classification of the testicular germ cell tumor (e.g., yolk sac tumor, embryonal carcinoma, teratoma).
- Spinal site of metastasis (cervical, thoracic, lumbar).
- Symptoms associated with spinal metastases (e.g., pain, neurological impairment).
- Surgical interventions, if applicable (e.g., laminectomy, vertebral arthrodesis), along with details of any adjuvant therapies (chemotherapy, radiotherapy).
- Outcomes, including the response to treatment, postoperative recovery, and long-term prognosis.
- Follow-up data, where available, to assess survival duration and recurrence of metastatic disease.
3. Results
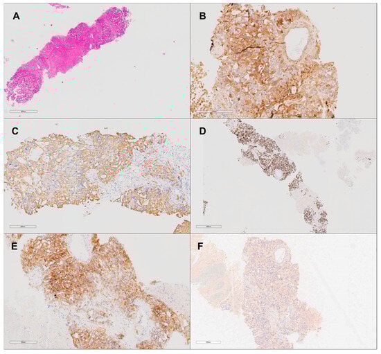
Case Illustration
4. Discussion
4.1. Epidemiology and Clinical Presentation
4.2. Therapeutic Approaches and Outcomes
4.3. Role of Radiotherapy
4.4. Prognostic Factors and Long-Term Outcomes
4.5. Limitations
4.6. Future Directions and the Importance of Multidisciplinary Care
5. Conclusions
Supplementary Materials
Author Contributions
Funding
Conflicts of Interest
References
- Mai, P.L.; Chen, B.E.; Tucker, K.; Friedlander, M.; Phillips, K.A.; Hogg, D.; Jewett, M.A.; Bodrogi, I.; Geczi, L.; Olah, E.; et al. Younger age-at-diagnosis for familial malignant testicular germ cell tumor. Fam. Cancer 2009, 8, 451–456. [Google Scholar] [CrossRef] [PubMed]
- Smith, Z.L.; Werntz, R.P.; Eggener, S.E. Testicular Cancer: Epidemiology, Diagnosis, and Management. Med. Clin. N. Am. 2018, 102, 251–264. [Google Scholar] [CrossRef]
- Huyghe, E.; Matsuda, T.; Thonneau, P. Increasing Incidence of Testicular Cancer Worldwide: A Review. J. Urol. 2003, 170, 5–11. [Google Scholar] [CrossRef] [PubMed]
- Rejlekova, K.; Cursano, M.C.; De Giorgi, U.; Mego, M. Severe Complications in Testicular Germ Cell Tumors: The Choriocarcinoma Syndrome. Front. Endocrinol. 2019, 10, 218. [Google Scholar] [CrossRef] [PubMed]
- Al-Jumaily, U.; Al-Hussaini, M.; Ajlouni, F.; Abulruz, A.; Sultan, I. Ovarian germ cell tumors with rhabdomyosarcomatous components and later development of growing teratoma syndrome: A case report. J. Med. Case Rep. 2012, 6, 13. [Google Scholar] [CrossRef] [PubMed] [PubMed Central]
- De Giorgi, U.; Demirer, T.; Wandt, H.; Taverna, C.; Siegert, W.; Bornhauser, M.; Kozak, T.; Papiani, G.; Ballardini, M.; Rosti, G.; et al. Second-line high-dose chemotherapy in patients with mediastinal and retroperitoneal primary non-seminomatous germ cell tumors: The EBMT experience. Ann. Oncol. 2005, 16, 146–151. [Google Scholar] [CrossRef] [PubMed]
- Jamal-Hanjani, M.; Karpathakis, A.; Kwan, A.; Mazhar, D.; Ansell, W.; Shamash, J.; Harper, P.; Rudman, S.; Powles, T.; Chowdhury, S. Bone metastases in germ cell tumours: Lessons learnt from a large retrospective study. BJU Int. 2013, 112, 176–181. [Google Scholar] [CrossRef]
- Biebighauser, K.C.; Gao, J.; Rao, P.; Landon, G.; Pagliaro, L.; Dinney, C.P.N.; Karam, J.; Navai, N. Non-seminomatous germ cell tumor with bone metastasis only at diagnosis: A rare clinical presentation. Asian J. Urol. 2017, 4, 124–127. [Google Scholar] [CrossRef]
- Borni, M.; Kolsi, F.; Kammoun, B.; Kallel, R.; Souissi, G.; Boudawara, M.Z. Testicular non-seminomatous germ cell tumors (NSGCT) and brain metastases: About a rare location of the posterior fossa. Urol. Case Rep. 2018, 21, 61–63. [Google Scholar] [CrossRef]
- Jayram, G.; Szmulewitz, R.Z.; Eggener, S.E. Management of good-risk metastatic nonseminomatous germ cell tumors of the testis: Current concepts and controversies. Indian J. Urol. 2010, 26, 92–97. [Google Scholar] [CrossRef] [PubMed] [PubMed Central]
- Page, M.J.; McKenzie, J.E.; Bossuyt, P.M.; Boutron, I.; Hoffmann, T.C.; Mulrow, C.D.; Shamseer, L.; Tetzlaff, J.M.; Akl, E.A.; Brennan, S.E.; et al. The PRISMA 2020 statement: An updated guideline for reporting systematic reviews. BMJ 2021, 372, n71. [Google Scholar] [CrossRef] [PubMed] [PubMed Central]
- Hitchins, R.N.; Philip, P.A.; Wignall, B.; Newlands, E.S.; Begent, R.H.; Rustin, G.J.; Bagshawe, K.D. Bone disease in testicular and extragonadal germ cell tumours. Br. J. Cancer 1988, 58, 793–796. [Google Scholar] [CrossRef] [PubMed] [PubMed Central]
- Berglund, R.K.; Lyden, S.P.; Tsai, E.C.; Lieberman, I.; Klein, E.A. Nonseminomatous germ cell tumor after chemotherapy with residual mass invading the spine. Eur. Urol. 2006, 50, 372–374. [Google Scholar] [CrossRef] [PubMed]
- Aldejmah, A.; Soulières, D.; Saad, F. Isolated solitary bony metastasis of a nonseminomatous germ cell tumor. Can. J. Urol. 2007, 14, 3458–3460. [Google Scholar] [PubMed]
- Grommes, C.; Bosl, G.J.; DeAngelis, L.M. Treatment of epidural spinal cord involvement from germ cell tumors with chemotherapy. Cancer 2011, 117, 1911–1916. [Google Scholar] [CrossRef] [PubMed] [PubMed Central]
- Oechsle, K.; Bokemeyer, C.; Kollmannsberger, C.; Mayer, F.; Berger, L.A.; Oing, C.; Honecker, F. Bone metastases in germ cell tumor patients. J. Cancer Res. Clin. Oncol. 2012, 138, 947–952. [Google Scholar] [CrossRef] [PubMed]
- Oing, C.; Oechsle, K.; Necchi, A.; Loriot, Y.; De Giorgi, U.; Fléchon, A.; Daugaard, G.; Fedyanin, M.; Faré, E.; Bokemeyer, C. Impact of primary metastatic bone disease in germ cell tumors: Results of an International Global Germ Cell Tumor Collaborative Group G3 Registry Study. Ann. Oncol. 2017, 28, 576–582. [Google Scholar] [CrossRef] [PubMed]
- Di Gregorio, M.; Pochet, C.; Dupont, M.; Nollevaux, M.C.; Lorge, F.; D’Hondt, L. Spinal cord compression caused by metastasis of a non-seminomatous testicular tumour with a predominant Yolk sac component in a 26-year-old man. J. Cancer Sci. Ther. 2020, 12, 6–9. [Google Scholar]
- Chebli, N.; Dahiri, M.; Ahmut, H.; El Aamraoui, M.; Lannaz, S.; El Ghissassi, I.; Boutayeb, S.; Mrabti, H.; Errihani, H. Symptomatic spinal cord compression in spinal epidural metastasis of a testicular germ cell tumor: A case report with review of the literature. Ann. Transl. Med. 2022, 10, 1286. [Google Scholar] [CrossRef] [PubMed] [PubMed Central]
- Gille, R.; Allignet, B.; Izarn, F.; Peyrat, P.; Boyle, H.; Fléchon, A. Bone Metastases in Non-Seminomatous Germ Cell Tumors: A 20-Year Retrospective Analysis. J. Clin. Med. 2024, 13, 3280. [Google Scholar] [CrossRef] [PubMed] [PubMed Central]
- International Germ Cell Cancer Collaborative Group. International Germ Cell Consensus Classification: A prognostic factor-based staging system for metastatic germ cell cancers. J. Clin. Oncol. 1997, 15, 594–603. [Google Scholar] [CrossRef] [PubMed]
- Cheng, L.; Albers, P.; Berney, D.M.; Feldman, D.R.; Daugaard, G.; Gilligan, T.; Looijenga, L.H.J. Testicular cancer. Nat. Rev. Dis. Primers 2018, 4, 29. [Google Scholar] [CrossRef] [PubMed]
- Höltl, L.; Peschel, R.; Knapp, R.; Janetschek, G.; Steiner, H.; Hittmair, A.; Rogatsch, H.; Bartsch, G.; Hobisch, A. Primary lymphatic metastatic spread in testicular cancer occurs ventral to the lumbar vessels. Urology 2002, 59, 114–118. [Google Scholar] [CrossRef] [PubMed]
- Einhorn, L.H. Treatment of testicular cancer: A new and improved model. J. Clin. Oncol. 1990, 8, 1777–1781. [Google Scholar] [CrossRef]
- Ganjoo, K.N.; Rieger, K.M.; Kesler, K.A.; Sharma, M.; Heilman, D.K.; Einhorn, L.H. Results of modern therapy for patients with mediastinal nonseminomatous germ cell tumors. Cancer 2000, 88, 1051–1056. [Google Scholar] [CrossRef]
- Cheriyan, S.K.; Nicholson, M.; Aydin, A.M.; Azizi, M.; Peyton, C.C.; Sexton, W.J.; Gilbert, S.M. Current management and management controversies in early- and intermediate-stage of nonseminoma germ cell tumors. Transl. Androl. Urol. 2020, 9 (Suppl. S1), S45–S55. [Google Scholar] [CrossRef] [PubMed]
- Goldberg, H.; Klaassen, Z.; Chandrasekar, T.; Fleshner, N.; Hamilton, R.J.; Jewett, M.A.S. Germ Cell Testicular Tumors-Contemporary Diagnosis, Staging and Management of Localized and Advanced disease. Urology 2019, 125, 8–19. [Google Scholar] [CrossRef]
- Arranz Arija, J.A.; Del Muro, X.G.; Caro, R.L.; Méndez-Vidal, M.J.; Pérez-Valderrama, B.; Aparicio, J.; Climent Durán, M.Á.; Caballero Díaz, C.; Durán, I.; González-Billalabeitia, E. SEOM-GG clinical guidelines for the management of germ-cell testicular cancer (2023). Clin. Transl. Oncol. 2024, 26, 2783–2799. [Google Scholar] [CrossRef] [PubMed]
- Reddy, B.V.; Sivakanth, A.; Naveen Babu, G.; Swamyvelu, K.; Basavana Goud, Y.; Madhusudhana, B.; Challa, V.R. Role of chemotherapy prior to orchiectomy in metastatic testicular cancer-is testis really a sanctuary site? Ecancermedicalscience 2014, 8, 407. [Google Scholar] [CrossRef] [PubMed] [PubMed Central]
- Kita, Y.; Imamura, M.; Mizowaki, T.; Norihisa, Y.; Yoshimura, K.; Hiraoka, M.; Ogawa, O. Late recurrence of nonseminomatous germ cell tumor successfully treated with intensity-modulated radiation therapy. Jpn. J. Clin. Oncol. 2013, 43, 835–837. [Google Scholar] [CrossRef] [PubMed]
- Jonska-Gmyrek, J.; Peczkowski, P.; Michalski, W.; Poniatowska, G.; Zolciak-Siwinska, A.; Kotowicz, B.; Wiechno, P.; Golawska, M.; Kowalska, M.; Demkow, T. Radiotherapy in testicular germ cell tumours—A literature review. Contemp. Oncol. 2017, 21, 203–208. [Google Scholar] [CrossRef] [PubMed] [PubMed Central]
- Francolini, G.; Trodella, L.E.; Marvaso, G.; Matrone, F.; Nicosia, L.; Timon, G.; Ognibene, L.; Vinciguerra, A.; Franzese, C.; Borghetti, P.; et al. Radiotherapy role in non-seminomatous germ cell tumors, radiobiological and technical issues of an unexplored scenario. Int. J. Clin. Oncol. 2021, 26, 1777–1783. [Google Scholar] [CrossRef] [PubMed]
- Albers, P.; Siener, R.; Kliesch, S.; Weissbach, L.; Krege, S.; Sparwasser, C.; Schulze, H.; Heidenreich, A.; de Riese, W.; Loy, V.; et al. Risk factors for relapse in clinical stage I nonseminomatous testicular germ cell tumors: Results of the German Testicular Cancer Study Group Trial. J. Clin. Oncol. 2003, 21, 1505–1512. [Google Scholar] [CrossRef]
- Daugaard, G.; Gundgaard, M.G.; Mortensen, M.S.; Agerbæk, M.; Holm, N.V.; Rørth, M.; von der Maase, H.; Christensen, I.J.; Lauritsen, J. Surveillance for stage I nonseminoma testicular cancer: Outcomes and long-term follow-up in a population-based cohort. J. Clin. Oncol. 2014, 32, 3817–3823. [Google Scholar] [CrossRef] [PubMed]
- Feldman, D.R.; Bosl, G.J.; Sheinfeld, J.; Motzer, R.J. Medical treatment of advanced testicular cancer. JAMA 2008, 299, 672–684. [Google Scholar] [CrossRef]
- Stephenson, A.J.; Bosl, G.J.; Motzer, R.J.; Kattan, M.W.; Stasi, J.; Bajorin, D.F.; Sheinfeld, J. Retroperitoneal lymph node dissection for nonseminomatous germ cell testicular cancer: Impact of patient selection factors on outcome. J. Clin. Oncol. 2005, 23, 2781–2788. [Google Scholar] [CrossRef]
- Milose, J.C.; Filson, C.P.; Weizer, A.Z.; Hafez, K.S.; Montgomery, J.S. Role of biochemical markers in testicular cancer: Diagnosis, staging, and surveillance. Open Access J. Urol. 2011, 4, 1–8. [Google Scholar] [CrossRef] [PubMed] [PubMed Central]
- Pearce, S.M.; Golan, S.; Gorin, M.A.; Luckenbaugh, A.N.; Williams, S.B.; Ward, J.F.; Montgomery, J.S.; Hafez, K.S.; Weizer, A.Z.; Pierorazio, P.M.; et al. Safety and Early Oncologic Effectiveness of Primary Robotic Retroperitoneal Lymph Node Dissection for Nonseminomatous Germ Cell Testicular Cancer. Eur. Urol. 2017, 71, 476–482. [Google Scholar] [CrossRef] [PubMed]
- Kalavska, K.; Schmidtova, S.; Chovanec, M.; Mego, M. Immunotherapy in Testicular Germ Cell Tumors. Front. Oncol. 2020, 10, 573977. [Google Scholar] [CrossRef] [PubMed] [PubMed Central]
- Boccellino, M.; Vanacore, D.; Zappavigna, S.; Cavaliere, C.; Rossetti, S.; D’aniello, C.; Chieffi, P.; Amler, E.; Buonerba, C.; Di Lorenzo, G.; et al. Testicular cancer from diagnosis to epigenetic factors. Oncotarget 2017, 8, 104654–104663. [Google Scholar] [CrossRef]
- Andreassen, K.E.; Kristiansen, W.; Karlsson, R.; Aschim, E.L.; Dahl, O.; Fossa, S.D.; Adami, H.O.; Wiklund, F.; Haugen, T.B.; Grotmol, T. Genetic variation in AKT1, PTEN and the 8q24 locus, and the risk of testicular germ cell tumor. Hum. Reprod. 2013, 28, 1995–2002. [Google Scholar] [CrossRef]
- Litchfield, K.; Loveday, C.; Levy, M.; Dudakia, D.; Rapley, E.; Nsengimana, J.; Bishop, D.T.; Reid, A.; Huddart, R.; Broderick, P.; et al. Large-scale Sequencing of Testicular Germ Cell Tumour (TGCT) Cases Excludes Major TGCT Predisposition Gene. Eur. Urol. 2018, 73, 828–831. [Google Scholar] [CrossRef] [PubMed]
- Sperger, J.M.; Chen, X.; Draper, J.S.; Antosiewicz, J.E.; Chon, C.H.; Jones, S.B.; Brooks, J.D.; Andrews, P.W.; Brown, P.O.; Thomson, J.A. Gene expression patterns in human embryonic stem cells and human pluripotent germ cell tumors. Proc. Natl. Acad. Sci. USA 2003, 100, 13350–13355. [Google Scholar] [CrossRef] [PubMed]
- Rajpert-De Meyts, E. Developmental model for the pathogenesis of testicular carcinoma in situ: Genetic and environmental aspects. Hum. Reprod. Update 2006, 12, 303–323. [Google Scholar] [CrossRef] [PubMed]
- Turnbull, C.; Rapley, E.A.; Seal, S.; Pernet, D.; Renwick, A.; Hughes, D.; Ricketts, M.; Linger, R.; Nsengimana, J.; Deloukas, P.; et al. Variants near DMRT1, TERT and ATF7IP are associated with testicular germ cell cancer. Nat. Genet. 2010, 42, 604–607. [Google Scholar] [CrossRef]
- Kanetsky, P.A.; Mitra, N.; Vardhanabhuti, S.; Li, M.; Vaughn, D.J.; Letrero, R.; Ciosek, S.L.; Doody, D.R.; Smith, L.M.; Weaver, J.; et al. Common variation in KITLG and at 5q31.3 predisposes to testicular germ cell cancer. Nat. Genet. 2009, 41, 811–815. [Google Scholar] [CrossRef]
- Rapley, E.A.; Turnbull, C.; Al Olama, A.A.; Dermitzakis, E.T.; Linger, R.; Huddart, R.A.; Renwick, A.; Hughes, D.; Hines, S.; Seal, S.; et al. A genome-wide association study of testicular germ cell tumor. Nat. Genet. 2009, 41, 807–810. [Google Scholar] [CrossRef]
- Looijenga, L.H.J.; Gillis, A.J.M.; Stoop, H.; Hersmus, R.; Oosterhuis, J.W. Relevance of microRNAs in normal and malignant development, including human testicular germ cell tumours. Int. J. Androl. 2007, 30, 304–314, discussion 314–315. [Google Scholar] [CrossRef] [PubMed]
- Spiekermann, M.; Belge, G.; Winter, N.; Ikogho, R.; Balks, T.; Bullerdiek, J.; Dieckmann, K. MicroRNA miR-371a-3p in serum of patients with germ cell tumours: Evaluations for establishing a serum biomarker. Andrology 2015, 3, 78–84. [Google Scholar] [CrossRef]
- Badia, R.R.; Abe, D.; Wong, D.; Singla, N.; Savelyeva, A.; Chertack, N.; Woldu, S.L.; Lotan, Y.; Mauck, R.; Ouyang, D.; et al. Real-World Application of Pre-Orchiectomy miR-371a-3p Test in Testicular Germ Cell Tumor Management. J. Urol. 2021, 205, 137–144. [Google Scholar] [CrossRef]





| Authors, Year | Age (Years) | Spinal Site | Associated Signs/Symptoms | Histological Subtypes | Surgery/Adjuvant Therapy | Patient Outcome | Follow-Up (Months) |
|---|---|---|---|---|---|---|---|
| Hitchins et al., 1988 [12] | 39 | lumbar (multiple) | Spinal cord compression related symptoms | Malignant teratoma undifferentiated (MTU) | Surgical reconstruction of lumbar spine; Chemotherapy | Disease free | 3 months |
| 25 | L2 | lumbar back pain | Malignant teratoma undifferentiated (MTU) | Chemotherapy | Progressive improvement | Not specified | |
| Berglund et al., 2006 [13] | 25 | L2 | lumbar back pain and bilateral sciatica | Mixed NSGCT with elements of embryonal carcinoma, choriocarcinoma, and teratoma | Radical right inguinal orchiectomy; laminectomy, anterior corpectomy and spinal fixation in two stages; chemotherapy | Progressive improvement | Not specified |
| Aldejmah et al., 2007 [14] | 29 | lumbar | Spinal cord compression related symptoms | Not specified | Left orchiectomy; Chemotherapy | Disease free | Not specified |
| Grommes et. al., 2011 [15] | (19 patients) median 32 | cervical, thoracic and lumbar spine | Spinal cord compression related symptoms and lumbar back pain | Not specified | In 9 patients chemotherapy, 8 patients chemotherapy and radiotherapy, 2 patients palliative care | Progressive improvement | median 26 months |
| Oechsle, et al., 2012 [16] | (25 patients) median 33 | lumbar | lumbar back pain | Mixed NSGCT with elements of embryonal carcinoma, choriocarcinoma, and teratoma | Chemotherapy in all 25 patients; Chemotherapy + radiotherapy in 8 patients | Complete remission in 2%, marker negative remission in 50%, and marker positive remission in 33% of patients. Disease stabilization was achieved in 13% of patients, but one patient (2%) showed progression during high-dose chemotherapy | Median PFS: 11 months Median OS: 24 months |
| Jamal-Hanjani et al., 2013 [7] | (11 patients) mean 40 | lumbar | Spinal cord compression related symptoms; cauda equina syndrome | Not specified | First line chemotherapy; in 4 patients with spinal cord compression, a palliative radiotherapy and a decompressive laminectomy | 53% Alive; 32% died | median 18 months |
| Biebighauser et al., 2017 [8] | 37 | lumbar, sacrum | cauda equina syndrome | Mixed NSGCT (85% MTU) | Radical right inguinal orchiectomy; Chemotherapy | Stable disease | 8 months |
| Oing et al., 2017 [17] | (65 patients) median 31 | lumbar | lumbar back pain and bilateral sciatica | Not specified | Chemotherapy; Radiotherapy in 9 patients | 38% Alive; 28% disease free; 9% had stable disease | median 18 months |
| Di Gregorio et al., 2020 [18] | 26 | L1 | Spinal cord compression related symptoms | Not specified | Right orchiectomy; laminectomy; vertebroplasty; chemotherapy and radiotherapy | Disease progression (CNS involvement) | 4 months |
| Chebli et al., 2022 [19] | 23 | Th5, L5 | cauda equina syndrome | Mixed NSGST | Unilateral left inguinal orchiectomy; Chemotherapy and radiotherapy | Clinical improvement, stable disease | Not specified |
| Gille et al., 2024 [20] | (37 patients) median 32 | lumbar | lumbar back pain and bilateral sciatica | Not specified | Chemotherapy; vertebrectomy (6 patients) | Partial response in 97.5% of cases | median 93 months |
| Statistical Measure | Value |
|---|---|
| Total Number of Cases | 164 |
| Mean Age of Patients | 31.0 years |
| Median Age of Patients | 31.5 years |
| Age Range | 23–40 years |
| Age Standard Deviation | 5.66 years |
| Number of Lumbar Spine Involvement | 164 (100%) |
| Number of Spinal Cord Compression Cases | 98 |
| Percentage of Patients with Spinal Cord Compression | 59.8% |
| Percentage of Patients Treated with Chemotherapy | 100% |
| Percentage of Patients Achieving Complete Remission | 2.4% |
| Percentage of Patients Disease-Free Post-Treatment | Not Specified |
| Percentage of Alive Patients at 18 Months | 38% |
| Most Common Treatment Modality | Chemotherapy (Cisplatin-based regimens) |
| Percentage of Patients Treated with Radiotherapy | 32.3% |
| Number of Patients Undergoing Surgical Intervention | Laminectomy (4.3%), Vertebrectomy (3.7%) |
Disclaimer/Publisher’s Note: The statements, opinions and data contained in all publications are solely those of the individual author(s) and contributor(s) and not of MDPI and/or the editor(s). MDPI and/or the editor(s) disclaim responsibility for any injury to people or property resulting from any ideas, methods, instructions or products referred to in the content. |
© 2024 by the authors. Licensee MDPI, Basel, Switzerland. This article is an open access article distributed under the terms and conditions of the Creative Commons Attribution (CC BY) license (https://creativecommons.org/licenses/by/4.0/).
Share and Cite
Scalia, G.; Ferini, G.; Shams, Z.; Graziano, F.; Ponzo, G.; Giurato, E.; Galasso, M.G.; Pumo, V.; Caruso, M.; Galvano, G.; et al. Spinal Metastases in Non-Seminomatous Germ Cell Testicular Tumors: Prognosis and Integrated Therapeutic Approaches—A Systematic Review with an Institutional Case Illustration. Curr. Oncol. 2024, 31, 7459-7475. https://doi.org/10.3390/curroncol31120551
Scalia G, Ferini G, Shams Z, Graziano F, Ponzo G, Giurato E, Galasso MG, Pumo V, Caruso M, Galvano G, et al. Spinal Metastases in Non-Seminomatous Germ Cell Testicular Tumors: Prognosis and Integrated Therapeutic Approaches—A Systematic Review with an Institutional Case Illustration. Current Oncology. 2024; 31(12):7459-7475. https://doi.org/10.3390/curroncol31120551
Chicago/Turabian StyleScalia, Gianluca, Gianluca Ferini, Zubayer Shams, Francesca Graziano, Giancarlo Ponzo, Eliana Giurato, Maria Grazia Galasso, Vitalinda Pumo, Martina Caruso, Gianluca Galvano, and et al. 2024. "Spinal Metastases in Non-Seminomatous Germ Cell Testicular Tumors: Prognosis and Integrated Therapeutic Approaches—A Systematic Review with an Institutional Case Illustration" Current Oncology 31, no. 12: 7459-7475. https://doi.org/10.3390/curroncol31120551
APA StyleScalia, G., Ferini, G., Shams, Z., Graziano, F., Ponzo, G., Giurato, E., Galasso, M. G., Pumo, V., Caruso, M., Galvano, G., Marrone, S., Naimo, J., Nicoletti, G. F., & Umana, G. E. (2024). Spinal Metastases in Non-Seminomatous Germ Cell Testicular Tumors: Prognosis and Integrated Therapeutic Approaches—A Systematic Review with an Institutional Case Illustration. Current Oncology, 31(12), 7459-7475. https://doi.org/10.3390/curroncol31120551

