Brain Metastasis in Pediatric Patients with Osteosarcoma
Abstract
1. Introduction
2. Patients and Methods
3. Results
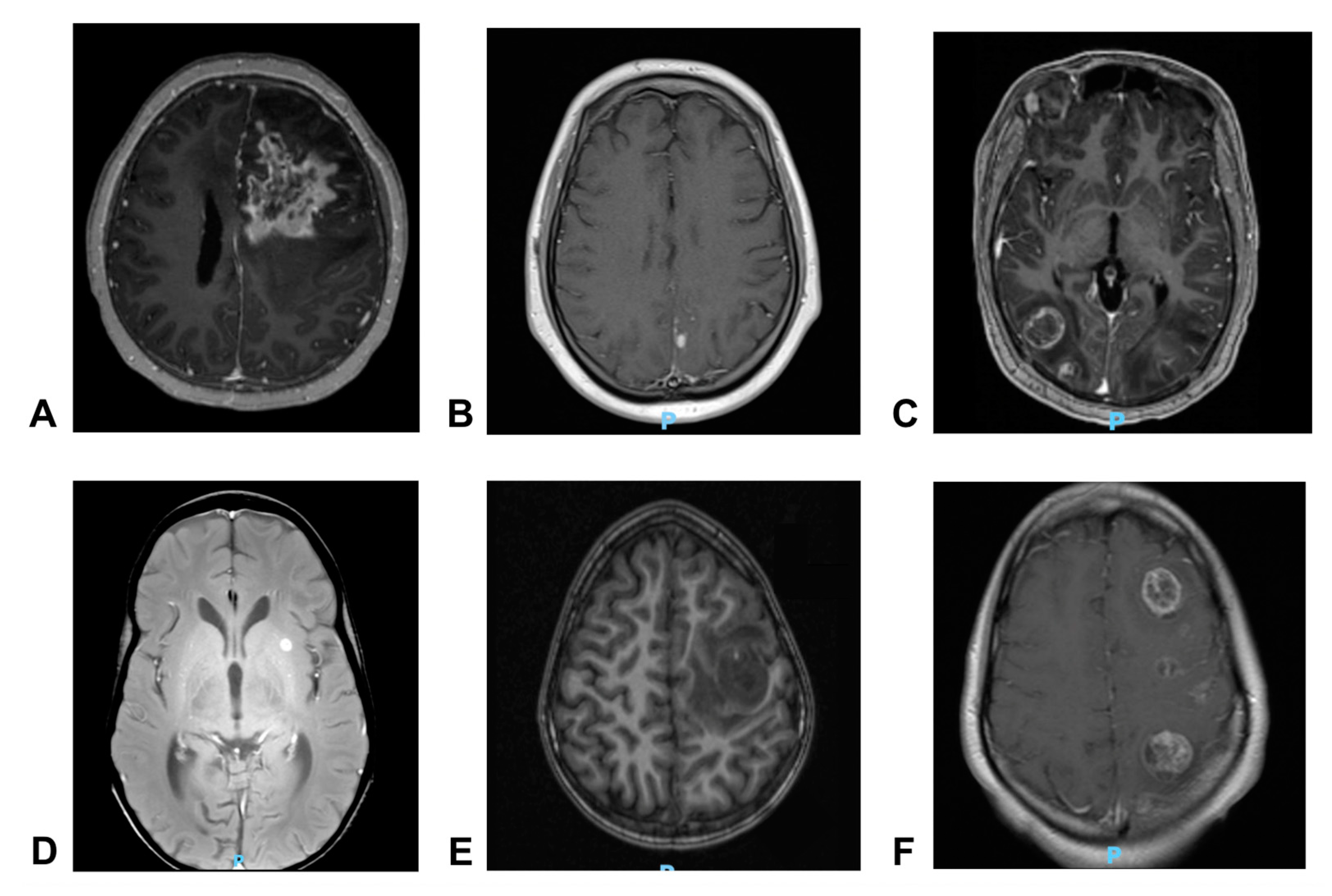
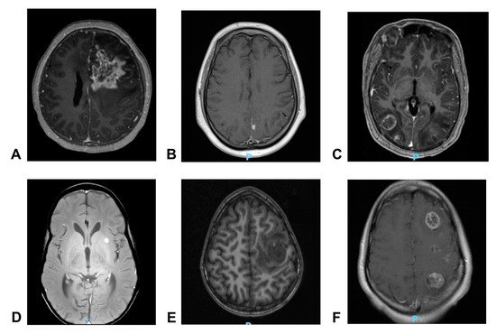
3.1. Patient #1
3.2. Patient #2
3.3. Patient #3
3.4. Patient #4
3.5. Patient #5
3.6. Patient #6
4. Discussion
5. Conclusions
Author Contributions
Funding
Institutional Review Board Statement
Informed Consent Statement
Data Availability Statement
Acknowledgments
Conflicts of Interest
References
- Stefanowicz, J.; Iżycka-Świeszewska, E.; Szurowska, E.; Bień, E.; Szarszewski, A.; Liberek, A.; Stempniewicz, M.; Kloc, W.; Adamkiewicz-Drożyńska, E. Brain metastases in paediatric patients: Characteristics of a patient series and review of the literature. Folia Neuropathol. 2011, 49, 271–281. [Google Scholar] [PubMed]
- Baram, T.Z.; van Tassel, P.; Jaffe, N.A. Brain metastases in osteosarcoma: Incidence, clinical and neuroradiological findings and management options. J. Neuro-Oncol. 1988, 6, 47–52. [Google Scholar] [CrossRef] [PubMed]
- Kebudi, R.; Ayan, İ.; Görgün, Ö.; Ağaoğlu, F.Y.; Vural, S.; Darendeliler, E. Brain metastasis in pediatric extracranial solid tumors: Survey and literature review. J. Neuro-Oncol. 2005, 71, 43–48. [Google Scholar] [CrossRef] [PubMed]
- Marina, N.M.; Pratt, C.B.; Meyer, W.H.; Shema, S.J.; Brooks, T.; Rao, B. Brain metastases in osteosarcoma. Report of a long-term survivor and review of the St. Jude Children’s Research Hospital experience. Cancer 1993, 71, 3656–3660. [Google Scholar] [CrossRef] [PubMed]
- Chou, Y.-S.; Liu, C.-Y.; Chen, W.-M.; Chen, T.-H.; Chen, P.C.-H.; Wu, H.-T.H.; Shiau, C.-Y.; Wu, Y.-C.; Liu, C.-L.; Chao, T.-C.; et al. Brain, the last fortress of sarcoma: Similar dismal outcome but discrepancy of timing of brain metastasis in bone and soft tissue sarcoma. J. Surg. Oncol. 2011, 104, 765–770. [Google Scholar] [CrossRef] [PubMed]
- Ogose, A.; Morita, T.; Hotta, T.; Kobayashi, H.; Otsuka, H.; Hirata, Y.; Yoshida, S. Brain Metastases in Musculoskeletal Sarcomas. Jpn. J. Clin. Oncol. 1999, 29, 245–247. [Google Scholar] [CrossRef] [PubMed]
- Yoshida, S.; Morii, K.; Watanabe, M.; Saito, T. Brain metastasis in patients with sarcoma. Surg. Neurol. 2000, 54, 160–164. [Google Scholar] [CrossRef] [PubMed]
- Elledge, C.R.; Krasin, M.J.; Ladra, M.M.; Alcorn, S.R.; Han, P.; Gibbs, I.C.; Hiniker, S.M.; Laack, N.N.; Terezakis, S.A. A multi-institutional phase 2 trial of stereotactic body radiotherapy in the treatment of bone metastases in pediatric and young adult patients with sarcoma. Cancer 2021, 127, 739–747. [Google Scholar] [CrossRef] [PubMed]
- Vogelbaum, M.A.; Brown, P.D.; Messersmith, H.; Brastianos, P.K.; Burri, S.; Cahill, D.; Dunn, I.F.; Gaspar, L.E.; Gatson, N.T.N.; Gondi, V.; et al. Treatment for Brain Metastases: ASCO-SNO-ASTRO Guideline. J. Clin. Oncol. 2022, 40, 492–516. [Google Scholar] [CrossRef] [PubMed]
- Akshintala, S.; Widemann, B.C.; Barkauskas, D.A.; Hall, D.; Reid, J.M.; Voss, S.D.; Kim, A.; Fox, E.; Weigel, B. Phase 2 trial of cabozantinib in children and young adults with refractory Sarcomas, Wilms tumor, and rare tumors: Children’s Oncology Group Study (ADVL1622). J. Clin. Oncol. 2021, 39 (Suppl. 15), 10010. [Google Scholar] [CrossRef]
- Patchell, R.A.; Tibbs, P.A.; Regine, W.F.; Dempsey, R.J.; Mohiuddin, M.; Kryscio, R.J.; Markesbery, W.R.; Foon, K.A.; Young, B. Postoperative radiotherapy in the treatment of single metastases to the brain: A randomized trial. JAMA 1998, 280, 1485–1489. [Google Scholar] [CrossRef] [PubMed]
- Hall, W.A.; Djalilian, H.R.; Nussbaum, E.S.; Cho, K.H. Long-term survival with metastatic cancer to the brain. Med. Oncol. 2000, 17, 279–286. [Google Scholar] [CrossRef] [PubMed]
- Mahajan, A.; Ahmed, S.; McAleer, M.F.; Weinberg, J.S.; Li, J.; Brown, P.; Settle, S.; Prabhu, S.S.; Lang, F.F.; Levine, N.; et al. Post-operative stereotactic radiosurgery versus observation for completely resected brain metastases: A single-centre, randomised, controlled, phase 3 trial. Lancet Oncol. 2017, 18, 1040–1048, Erratum in: Lancet Oncol. 2017, 18, e433; Erratum in: Lancet Oncol. 2017, 18, e510. [Google Scholar] [CrossRef] [PubMed]
- Zhang, E.; Farag, S.; Dietz, H.; Wang, D.Y.; Hirbe, A.C.; Ganjoo, K.N.; Van Tine, B.A.; Miah, A.B.; Zaidi, S.H.; Keedy, V.L.; et al. Prognostic factors for patients with sarcoma with brain metastases. J. Clin. Oncol. 2024, 42 (Suppl. 16), e23542. [Google Scholar] [CrossRef]
- Italiano, A.; Mir, O.; Mathoulin-Pelissier, S.; Penel, N.; Piperno-Neumann, S.; Bompas, E.; Chevreau, C.; Duffaud, F.; Entz-Werlé, N.; Saada, E.; et al. Cabozantinib in patients with advanced Ewing sarcoma or osteosarcoma (CABONE): A multicentre, single-arm, phase 2 trial. Lancet Oncol. 2020, 21, 446–455. [Google Scholar] [CrossRef] [PubMed]
- Choueiri, T.K.; Fishman, M.N.; Escudier, B.; McDermott, D.F.; Drake, C.G.; Kluger, H.; Stadler, W.M.; Perez-Gracia, J.L.; McNeel, D.G.; Curti, B.; et al. Immunomodulatory Activity of Nivolumab in Metastatic Renal Cell Carcinoma. Clin. Cancer Res. 2016, 22, 5461–5471. [Google Scholar] [CrossRef] [PubMed] [PubMed Central]
- Yonemoto, T.; Tatezaki, S.; Ishii, T.; Osato, K.; Takenouchi, T. Longterm survival after surgical removal of solitary brain metastasis from osteosarcoma. Int. J. Clin. Oncol. 2003, 8, 340–342. [Google Scholar] [CrossRef] [PubMed]



| Patient | Age/Sex | Initial Site | Metastasis at Initial Diagnosis | % Necrosis After Chemo | Months to Initial Progression | Months to Brain Metastasis | Overall Survival (Months) | Survival from Brain Metastasis (Months) |
|---|---|---|---|---|---|---|---|---|
| 1 | 8/M | Femur | No | 85 | 9.5 | 26.4 | 31.4 | 5 |
| 2 | 20/M | L5/Sacrum | No | 0 | 5.6 | 7.7 | 8.1 | 0.4 |
| 3 | 16/M | Femur | Yes (lungs) | 55 | 6.4 | 10.4 | 13.8 | 3.4 |
| 4 | 11/M | Tibia | Yes (lungs) | 50 | 21.3 | 38.3 | 39.9 | 1.6 |
| 5 | 9/M | Femur | No | 90 | 14.9 | 30.8 | 44 | 13.2 |
| 6 | 17/F | Femur | Yes (lungs) | 15 | 3.7 | 8.6 | 11.3 | 2.6 |
| Median: | 13.5 | - | - | 52.5 | 7.95 | 18.2 | 22.6 | 2.5 |
Disclaimer/Publisher’s Note: The statements, opinions and data contained in all publications are solely those of the individual author(s) and contributor(s) and not of MDPI and/or the editor(s). MDPI and/or the editor(s) disclaim responsibility for any injury to people or property resulting from any ideas, methods, instructions or products referred to in the content. |
© 2024 by the authors. Licensee MDPI, Basel, Switzerland. This article is an open access article distributed under the terms and conditions of the Creative Commons Attribution (CC BY) license (https://creativecommons.org/licenses/by/4.0/).
Share and Cite
Murphy, J.; Sundby, R.T.; Resch, E.E.; Rahnama, R.; Lemberg, K.M.; Maalouf, A.; Suru, A.; Fixler, J.; Ladle, B.H.; Rhee, D.S.; et al. Brain Metastasis in Pediatric Patients with Osteosarcoma. Curr. Oncol. 2024, 31, 7014-7022. https://doi.org/10.3390/curroncol31110516
Murphy J, Sundby RT, Resch EE, Rahnama R, Lemberg KM, Maalouf A, Suru A, Fixler J, Ladle BH, Rhee DS, et al. Brain Metastasis in Pediatric Patients with Osteosarcoma. Current Oncology. 2024; 31(11):7014-7022. https://doi.org/10.3390/curroncol31110516
Chicago/Turabian StyleMurphy, Jacob, R. Taylor Sundby, Erin E. Resch, Ruyan Rahnama, Kathryn M. Lemberg, Alexandre Maalouf, Aditya Suru, Jason Fixler, Brian H. Ladle, Daniel S. Rhee, and et al. 2024. "Brain Metastasis in Pediatric Patients with Osteosarcoma" Current Oncology 31, no. 11: 7014-7022. https://doi.org/10.3390/curroncol31110516
APA StyleMurphy, J., Sundby, R. T., Resch, E. E., Rahnama, R., Lemberg, K. M., Maalouf, A., Suru, A., Fixler, J., Ladle, B. H., Rhee, D. S., Levin, A. S., Pallavajjala, A., Gocke, C., Ladra, M. M., Groves, M. L., Acharya, S., Gross, J. M., Llosa, N. J., & Pratilas, C. A. (2024). Brain Metastasis in Pediatric Patients with Osteosarcoma. Current Oncology, 31(11), 7014-7022. https://doi.org/10.3390/curroncol31110516

