The New Ice Age of Musculoskeletal Intervention: Role of Percutaneous Cryoablation in Bone and Soft Tissue Tumors
Abstract
1. Introduction
2. Malignant Bone and Soft Tissue Tumors
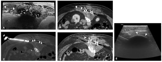
2.1. Recurrent Retroperitoneal Soft Tissue Tumors
2.2. Sacrococcygeal Tumors and Chordoma
3. Bone Metastases
3.1. Pain Palliation and Disease Control
3.2. Application to Spinal Metastases
3.3. Application to Sternal Metastases
3.4. Evaluation of Post-Ablation Area
3.5. Technical Consideration for Neuroprotection
3.6. Technical Consideration for Bone Reinforcement
3.7. Combination Treatment
3.8. Complications
4. Benign Bone Tumors
4.1. Osteoid Osteoma
| Author, Year | Reference | Number of Patients | Mean Age | Nidus Size (Mean) | NS/S | Success (%) | Follow-Up in Month | Complications | Results |
|---|---|---|---|---|---|---|---|---|---|
| Wu, 2011 | [67] | 6 | 12.6 | 6.3 | 6/0 | 100 | 28.7 | None | Mean VAS was 6.57 ± 0.55 prior to the procedure and 0.57 ± 0.10 after 1 month. |
| Coupal, 2014 | [73] | 10 | 27.9 | NR | 10/0 | 100 | 24 | None | Average pain scores were 7.4 before the procedure, 1.5 after the procedure, 0.5 at the primary follow-up, and 0.3 at the secondary follow-up. |
| Santiago, 2018 | [74] | 21 | 29.9 | 7.5 | 16/5 | 95.2 | 21 | 3 minor—1 mild skin burn, 2 soft tissue swelling and mechanical pain | Prior to the procedure, the median VAS score was 8 (range, 5–10), and at the primary and secondary follow-up, it was 0 (range, 0–2; p < 0.0001) and 0 (range, 0–7; p < 0.0001). |
| Whitmore, 2016 | [75] | 29 | 11.3 | 6.7 | 28/1 | 90.5 | 18.3 | 3 mild dermal blistering, 2 cases of weakness and pain, and 1 of transient numbness | 19 of 21 patients (90.5%) experienced long-term clinical success (cessation of pain and NSAID use for 4 to 12 months following the treatment). |
| Miyazaki, 2018 | [76] | 9 | 20 | 5.9 | 7/2 | 100 | 11.7 | No major; 5 pain | Before treatment, the mean NRS score was 7, and it was 0.6, 0.1, and 0 after 4 weeks, 6 months, and 1 year, respectively, after treatment. |
| Meng, 2021 | [72] | 15 | 16.1 | 14.6 | 12/3 | 100 | >12 | 1 mild numbness of the lower extremity, 2 mild postoperative pain | All post-procedure VAS scores improved compared to the pre-procedure scores. |
| Cazzato, 2019 | [78] | 10 | 21 | 16.5 | 5/5 | 100 | 12 | 1 major—permanent sensory deficit of the arm; 1 minor—transient right Horner syndrome | At 1 and 12 months of follow-up, primary clinical success was 100% and 78%, respectively, with 2 patients presenting recurrent pain. |
| Le Corroller, 2022 | [77] | 50 | 24 | 6.0 | 41/9 | 96% | 18–90 | 3 minor (2 transient pain and soft-tissue swelling and 1 mild skin burn) | Before the procedure, the mean VAS was 8, and after the procedure, it was 0 at both primary (6 weeks) and secondary (18–90 months) follow-up. |
4.2. Osteoblastoma
4.3. Bone Cyst and Aneurysmal Bone Cyst
5. Desmoid Tumors
5.1. Cryoablation for Disease Control
5.2. Ablation Margin
5.3. Pain Reduction
5.4. Patient Selection
6. Technical Consideration
6.1. Planning and Approach
6.2. Needle Placement and Hydro Dissection
6.3. Ablation and Monitoring
7. Discussion
Future Directions
8. Conclusions
Author Contributions
Funding
Conflicts of Interest
References
- Foster, R.C.; Stavas, J.M. Bone and Soft Tissue Ablation. Semin. Interv. Radiol. 2014, 31, 167–179. [Google Scholar] [CrossRef]
- Kurup, A.N.; Callstrom, M.R. Ablation of Musculoskeletal Metastases: Pain Palliation, Fracture Risk Reduction, and Oligometastatic Disease. Tech. Vasc. Interv. Radiol. 2013, 16, 253–261. [Google Scholar] [CrossRef] [PubMed]
- Garnon, J.; Koch, G.; Caudrelier, J.; Tsoumakidou, G.; Cazzato, R.; Gangi, A. Expanding the borders: Image-guided procedures for the treatment of musculoskeletal tumors. Diagn. Interv. Imaging 2017, 98, 635–644. [Google Scholar] [CrossRef] [PubMed]
- Mahnken, A.H.; König, A.M.; Figiel, J.H. Current Technique and Application of Percutaneous Cryotherapy. In RöFo-Fortschritte auf dem Gebiet der Röntgenstrahlen und der bildgebenden Verfahren; Georg Thieme Verlag KG: Stuttgart, Germany, 2018; Volume 190, pp. 836–846. [Google Scholar] [CrossRef]
- Cazzato, R.L.; Gantzer, J.; de Marini, P.; Garnon, J.; Koch, G.; Buy, X.; Autrusseau, P.-A.; Auloge, P.; Dalili, D.; Kurtz, J.-E.; et al. Sporadic Desmoid Tumours: Systematic Review with Reflection on the Role of Cryoablation. Cardiovasc. Interv. Radiol. 2022, 45, 613–621. [Google Scholar] [CrossRef] [PubMed]
- Cazzato, R.L.; Garnon, J.; Koch, G.; Dalili, D.; Rao, P.P.; Weiss, J.; Bauones, S.; Auloge, P.; De Marini, P.; Gangi, A. Musculoskeletal interventional oncology: Current and future practices. Br. J. Radiol. 2020, 93, 20200465. [Google Scholar] [CrossRef]
- Baust, J.M.; Santucci, K.L.; Van Buskirk, R.G.; Raijman, I.; Fisher, W.E.; Baust, J.G.; Snyder, K.K. An In Vitro Investigation into Cryoablation and Adjunctive Cryoablation/Chemotherapy Combination Therapy for the Treatment of Pancreatic Cancer Using the PANC-1 Cell Line. Biomedicines 2022, 10, 450. [Google Scholar] [CrossRef]
- Hayek, G.; Kastler, B. Interventional radiology for treatment of bone metastases. Cancer Radiother. 2020, 24, 374–378. [Google Scholar] [CrossRef]
- Chu, K.F.; Dupuy, D.E. Thermal ablation of tumours: Biological mechanisms and advances in therapy. Nat. Rev. Cancer 2014, 14, 199–208. [Google Scholar] [CrossRef]
- The ESMO/European Sarcoma Network Working Group. Soft tissue and visceral sarcomas: ESMO Clinical Practice Guidelines for diagnosis, treatment and follow-up. Ann. Oncol. 2014, 25, iii102–iii112. [Google Scholar] [CrossRef]
- Casali, P.G.; Blay, J.-Y.; ESMO/CONTICANET/EUROBONET Consensus Panel of Experts. Soft tissue sarcomas: ESMO Clinical Practice Guidelines for diagnosis, treatment and follow-up. Ann. Oncol. 2010, 21, v198–v203. [Google Scholar] [CrossRef]
- Lippa, N.; Sargos, P.; Italiano, A.; Kind, M.; Dallaudière, B.; Hauger, O.; Cornelis, F. Standardization of selection criteria for percutaneous image-guided cryoablation of recurrent soft-tissue sarcomas. Diagn. Interv. Imaging 2014, 95, 1071–1077. [Google Scholar] [CrossRef] [PubMed]
- Dalili, D.; Isaac, A.; Cazzato, R.L.; Åström, G.; Bergh, J.; Mansour, R.; Weber, M.-A.; Garnon, J.; Gangi, A. Interventional Techniques for Bone and Musculoskeletal Soft Tissue Tumors: Current Practices and Future Directions—Part II. Stabilization. Semin. Musculoskelet. Radiol. 2020, 24, 710–725. [Google Scholar] [CrossRef]
- Gronchi, A.; Guadagnolo, B.A.; Erinjeri, J.P. Local Ablative Therapies to Metastatic Soft Tissue Sarcoma. Am. Soc. Clin. Oncol. Educ. Book 2016, 35, e566–e575. [Google Scholar] [CrossRef] [PubMed]
- de Baere, T.; Tselikas, L.; Gravel, G.; Hakime, A.; Deschamps, F.; Honoré, C.; Mir, O.; Lecesne, A. Interventional radiology: Role in the treatment of sarcomas. Eur. J. Cancer 2018, 94, 148–155. [Google Scholar] [CrossRef]
- Lim, C.T.; Tan, L.B.K.; Nathan, S.S. Prospective evaluation of argon gas probe delivery for cryotherapy of bone tumours. Ann. Acad. Med. Singap. 2012, 41, 347–353. [Google Scholar] [CrossRef] [PubMed]
- Ahlmann, E.R.; Falkinstein, Y.; Fedenko, A.N.; Menendez, L.R. Cryoablation and resection influences patient survival for soft tissue sarcomas: Impact on survivorship and local recurrence. Clin. Orthop. Relat. Res. 2007, 459, 174–181. [Google Scholar] [CrossRef]
- Susa, M.; Kikuta, K.; Nakayama, R.; Nishimoto, K.; Horiuchi, K.; Oguro, S.; Inoue, M.; Yashiro, H.; Nakatsuka, S.; Nakamura, M.; et al. CT guided cryoablation for locally recurrent or metastatic bone and soft tissue tumor: Initial experience. BMC Cancer 2016, 16, 798. [Google Scholar] [CrossRef]
- Li, L.; Jiang, X.-F.; Sun, L.-J.; Fu, Y.-F.; Zhang, W. Computed tomography-guided argon-helium cryoablation for sacrum chordoma. Medicine 2020, 99, e22604. [Google Scholar] [CrossRef]
- Kurup, A.N.; Woodrum, D.A.; Morris, J.M.; Atwell, T.D.; Schmit, G.D.; Welch, T.J.; Yaszemski, M.J.; Callstrom, M.R. Cryoablation of Recurrent Sacrococcygeal Tumors. J. Vasc. Interv. Radiol. 2012, 23, 1070–1075. [Google Scholar] [CrossRef]
- Fan, W.; Niu, L.; Wang, Y.; Zhang, Y.; Yao, X.; Tan, G.; Yang, J.; Li, J. Percutaneous computed tomography-guided cryoablation for recurrent retroperitoneal soft tissue sarcoma: A study of safety and efficacy. Oncotarget 2016, 7, 42639–42649. [Google Scholar] [CrossRef]
- Fan, W.-Z.; Niu, L.-Z.; Wang, Y.; Yao, X.-H.; Zhang, Y.-Q.; Tan, G.-S.; Yang, J.-Y.; Li, J.-P. Initial Experience: Alleviation of Pain with Percutaneous CT–Guided Cryoablation for Recurrent Retroperitoneal Soft-Tissue Sarcoma. J. Vasc. Interv. Radiol. 2016, 27, 1798–1805. [Google Scholar] [CrossRef] [PubMed]
- Mendenhall, W.M.; Zlotecki, R.A.; Hochwald, S.N.; Hemming, A.W.; Grobmyer, S.R.; Cance, W.G. Retroperitoneal soft tissue sarcoma. Cancer 2005, 104, 669–675. [Google Scholar] [CrossRef]
- Errani, C.; Bazzocchi, A.; Spinnato, P.; Facchini, G.; Campanacci, L.; Rossi, G.; Mavrogenis, A.F. What’s new in management of bone metastases? Eur. J. Orthop. Surg. Traumatol. 2019, 29, 1367–1375. [Google Scholar] [CrossRef] [PubMed]
- Papalexis, N.; Parmeggiani, A.; Peta, G.; Spinnato, P.; Miceli, M.; Facchini, G. Minimally Invasive Interventional Procedures for Metastatic Bone Disease: A Comprehensive Review. Curr. Oncol. 2022, 29, 4155–4177. [Google Scholar] [CrossRef] [PubMed]
- Hong, S.; Youk, T.; Lee, S.J.; Kim, K.M.; Vajdic, C.M. Bone metastasis and skeletal-related events in patients with solid cancer: A Korean nationwide health insurance database study. PLoS ONE 2020, 15, e0234927. [Google Scholar] [CrossRef]
- Cazzato, R.L.; Auloge, P.; De Marini, P.; Boatta, E.; Koch, G.; Dalili, D.; Rao, P.P.; Garnon, J.; Gangi, A. Spinal Tumor Ablation: Indications, Techniques, and Clinical Management. Tech. Vasc. Interv. Radiol. 2020, 23, 100677. [Google Scholar] [CrossRef]
- Gallusser, N.; Goetti, P.; Becce, F.; Vauclair, F.; Rüdiger, H.A.; Bize, P.E.; Cherix, S. Percutaneous image-guided cryoablation of painful bone metastases: A single institution experience. Orthop. Traumatol. Surg. Res. 2019, 105, 369–374. [Google Scholar] [CrossRef]
- Gardner, C.S.; Ensor, J.E.; Ahrar, K.; Huang, S.Y.; Sabir, S.H.; Tannir, N.M.; Lewis, V.O.; Tam, A.L. Cryoablation of Bone Metastases from Renal Cell Carcinoma for Local Tumor Control. J. Bone Jt. Surg. 2017, 99, 1916–1926. [Google Scholar] [CrossRef]
- McArthur, T.A.; Narducci, C.A.; Lander, P.H.; Lopez-Ben, R. Percutane Image-Guided Cryoablation of Painful Osseous Metastases: A Retrospective Single-Center Review. Curr. Probl. Diagn. Radiol. 2017, 46, 282–287. [Google Scholar] [CrossRef]
- Di Staso, M.; Gravina, G.L.; Zugaro, L.; Bonfili, P.; Gregori, L.; Franzese, P.; Marampon, F.; Vittorini, F.; Moro, R.; Tombolini, V.; et al. Treatment of Solitary Painful Osseous Metastases with Radiotherapy, Cryoablation or Combined Therapy: Propensity Matching Analysis in 175 Patients. PLoS ONE 2015, 10, e0129021. [Google Scholar] [CrossRef]
- Thacker, P.G.; Callstrom, M.R.; Curry, T.B.; Mandrekar, J.N.; Atwell, T.D.; Goetz, M.P.; Rubin, J. Palliation of Painful Metastatic Disease Involving Bone with Imaging-Guided Treatment: Comparison of Patients’ Immediate Response to Radiofrequency Ablation and Cryoablation. Am. J. Roentgenol. 2011, 197, 510–515. [Google Scholar] [CrossRef]
- Munk, P.L.; Murphy, K.J.; Gangi, A.; Liu, D.M. Fire and Ice: Percutaneous Ablative Therapies and Cement Injection in Management of Metastatic Disease of the Spine. Semin. Musculoskelet. Radiol. 2011, 15, 125–134. [Google Scholar] [CrossRef] [PubMed]
- Mercadante, S.; Klepstad, P.; Kurita, G.P.; Sjøgren, P.; Pigni, A.; Caraceni, A. Minimally invasive procedures for the management of vertebral bone pain due to cancer: The EAPC recommendations. Acta Oncol. 2015, 55, 129–133. [Google Scholar] [CrossRef]
- Liu, H.; Song, C.; Zhang, B.; Luo, R.; Yang, J. Research trends and areas of focus on cryoablation and oncology: A bibliometric analysis from 2001 to 2020. Medicine 2022, 101, e32513. [Google Scholar] [CrossRef] [PubMed]
- Autrusseau, P.-A.; Schneegans, O.; Koch, G.; Weiss, J.; Caudrelier, J.; Dalili, D.; Perolat, R.; Auloge, P.; Cazzato, R.L.; Gangi, A.; et al. Safety and Efficacy of Percutaneous Cryoablation of Extraspinal Thyroid Cancer Bone Metastases with Curative Intent: Single-Center Experience with a Median Follow-up of More than 5 Years. J. Vasc. Interv. Radiol. 2022, 33, 797–804. [Google Scholar] [CrossRef] [PubMed]
- Arrigoni, F.; Bianchi, G.; Formiconi, F.; Palumbo, P.; Zugaro, L.; Gravina, G.L.; Barile, A.; Masciocchi, C. CT-guided cryoablation for management of bone metastases: A single center experience and review of the literature. Radiol. Med. 2021, 127, 199–205. [Google Scholar] [CrossRef]
- Jennings, J.W.; Prologo, J.D.; Garnon, J.; Gangi, A.; Buy, X.; Palussière, J.; Kurup, A.N.; Callstrom, M.; Genshaft, S.; Abtin, F. Cryoablation for Palliation of Painful Bone Metastases: The MOTION Multicenter Study. Radiol. Imaging Cancer 2021, 3, e200101. [Google Scholar] [CrossRef]
- Coupal, T.M.; Pennycooke, K.; I Mallinson, P.; Ouellette, A.H.; Clarkson, P.W.; Hawley, P.; Munk, P.L. The Hopeless Case? Palliative Cryoablation and Cementoplasty Procedures for Palliation of Large Pelvic Bone Metastases. Pain Physician 2017, 20, E1053–E1061. [Google Scholar] [CrossRef]
- Wallace, A.N.; McWilliams, S.R.; Connolly, S.E.; Symanski, J.S.; Vaswani, D.; Tomasian, A.; Vyhmeister, R.; Lee, A.M.; Madaelil, T.P.; Hillen, T.J. Percutaneous Image-Guided Cryoablation of Musculoskeletal Metastases: Pain Palliation and Local Tumor Control. J. Vasc. Interv. Radiol. 2016, 27, 1788–1796. [Google Scholar] [CrossRef]
- Tomasian, A.; Wallace, A.; Northrup, B.; Hillen, T.; Jennings, J. Spine Cryoablation: Pain Palliation and Local Tumor Control for Vertebral Metastases. Am. J. Neuroradiol. 2015, 37, 189–195. [Google Scholar] [CrossRef]
- Hegg, R.M.; Kurup, A.N.; Schmit, G.D.; Weisbrod, A.J.; Atwell, T.D.; Olivier, K.R.; Moynihan, T.J.; Callstrom, M.R. Cryoablation of Sternal Metastases for Pain Palliation and Local Tumor Control. J. Vasc. Interv. Radiol. 2014, 25, 1665–1670. [Google Scholar] [CrossRef] [PubMed]
- McMenomy, B.P.; Kurup, A.N.; Johnson, G.B.; Carter, R.E.; McWilliams, R.R.; Markovic, S.N.; Atwell, T.D.; Schmit, G.D.; Morris, J.M.; Woodrum, D.A.; et al. Percutaneous Cryoablation of Musculoskeletal Oligometastatic Disease for Complete Remission. J. Vasc. Interv. Radiol. 2013, 24, 207–213. [Google Scholar] [CrossRef] [PubMed]
- Ma, Y.; Wallace, A.N.; Waqar, S.N.; Morgensztern, D.; Madaelil, T.P.; Tomasian, A.; Jennings, J.W. Percutaneous Image-Guided Ablation in the Treatment of Osseous Metastases from Non-small Cell Lung Cancer. Cardiovasc. Interv. Radiol. 2017, 41, 726–733. [Google Scholar] [CrossRef] [PubMed]
- Cazzato, R.L.; Jennings, J.W.; Autrusseau, P.-A.; De Marini, P.; Auloge, P.; Tomasian, A.; Garnon, J.; Gangi, A. Percutaneous image-guided cryoablation of spinal metastases: Over 10-year experience in two academic centers. Eur. Radiol. 2022, 32, 4137–4146. [Google Scholar] [CrossRef]
- Yang, Y.; Li, Y.; Wu, Y.; Qiu, S.; Liu, C.; Wang, Q.; Hong, Y.; Lyu, J.; Zhang, Y.; Du, D. Retrospective analysis of CT-guided percutaneous cryoablation for treatment of painful osteolytic bone metastasis. Cryobiology 2020, 92, 203–207. [Google Scholar] [CrossRef]
- Prologo, J.D.; Patel, I.; Buethe, J.; Bohnert, N. Ablation Zones and Weight-Bearing Bones: Points of Caution for the Palliative Interventionalist. J. Vasc. Interv. Radiol. 2014, 25, 769–775.e2. [Google Scholar] [CrossRef]
- Prologo, J.D.; Passalacqua, M.; Patel, I.; Bohnert, N.; Corn, D. Image-guided cryoablation for the treatment of painful musculoskeletal metastatic disease: A single-center experience. Skelet. Radiol. 2014, 43, 1551–1559. [Google Scholar] [CrossRef]
- Cazzato, R.L.; Auloge, P.; De Marini, P.; Rousseau, C.; Chiang, J.B.; Koch, G.; Caudrelier, J.; Rao, P.; Garnon, J.; Gangi, A. Percutaneous image-guided ablation of bone metastases: Local tumor control in oligometastatic patients. Int. J. Hyperth. 2018, 35, 493–499. [Google Scholar] [CrossRef]
- De Marini, P.; Cazzato, R.L.; Auloge, P.; Koch, G.; Dalili, D.; Garnon, J.; Gangi, A. Percutaneous image-guided thermal ablation of bone metastases: A retrospective propensity study comparing the safety profile of radio-frequency ablation and cryo-ablation. Int. J. Hyperth. 2020, 37, 1386–1394. [Google Scholar] [CrossRef]
- Autrusseau, P.-A.; Cazzato, R.; De Marini, P.; Auloge, P.; Koch, G.; Dalili, D.; Weiss, J.; Mayer, T.; Garnon, J.; Gangi, A. Pain relief and local tumour control following percutaneous image-guided cryoablation for spine metastasis: A 12-year single-centre experience. Clin. Radiol. 2021, 76, 674–680. [Google Scholar] [CrossRef]
- Callstrom, M.R.; Atwell, T.D.; Charboneau, J.W.; Farrell, M.A.; Goetz, M.P.; Rubin, J.; Sloan, J.A.; Novotny, P.J.; Welch, T.J.; Maus, T.P.; et al. Painful Metastases Involving Bone: Percutaneous Image-guided Cryoablation—Prospective Trial Interim Analysis. Radiology 2006, 241, 572–580. [Google Scholar] [CrossRef] [PubMed]
- Gravel, G.; Tselikas, L.; Moulin, B.; Yevich, S.; Baudin, E.; Hakime, A.; Moalla, S.; Mihoubi, F.; Balleyguier, C.; de Baere, T.; et al. Early detection with MRI of incomplete treatment of spine metastases after percutaneous cryoablation. Eur. Radiol. 2019, 29, 5655–5663. [Google Scholar] [CrossRef] [PubMed]
- Li, F.; Wang, W.; Li, L.; Chang, Y.; Su, D.; Guo, G.; He, X.; Li, M. An Effective Therapy to Painful Bone Metastases: Cryoablation Combined with Zoledronic Acid. Pathol. Oncol. Res. 2014, 20, 885–891. [Google Scholar] [CrossRef]
- Khanmohammadi, S.; Noroozi, A.; Yekaninejad, M.S.; Rezaei, N. Cryoablation for the Palliation of Painful Bone Metastasis: A Systematic Review. Cardiovasc. Interv. Radiol. 2023, 1–14. [Google Scholar] [CrossRef]
- Grönemeyer, D.H.W.; Schirp, S.; Gevargez, A. Image-guided radiofrequency ablation of spinal tumors: Preliminary experience with an expandable array electrode. Cancer J. 2002, 8, 33–39. [Google Scholar] [CrossRef]
- Levy, J.; Hopkins, T.; Morris, J.; Tran, N.D.; David, E.; Massari, F.; Farid, H.; Vogel, A.; O’connell, W.G.; Sunenshine, P.; et al. Radiofrequency Ablation for the Palliative Treatment of Bone Metastases: Outcomes from the Multicenter OsteoCool Tumor Ablation Post-Market Study (OPuS One Study) in 100 Patients. J. Vasc. Interv. Radiol. 2020, 31, 1745–1752. [Google Scholar] [CrossRef] [PubMed]
- Autrusseau, P.-A.; Garnon, J.; Auloge, P.; Weiss, J.; Dalili, D.; Caudrelier, J.; Cazzato, R.L.; Koch, G.; Gangi, A. Hydrodissection of the Retro-Sternal Space to Protect the Pericardium During Sternal Cryoablation. Cardiovasc. Interv. Radiol. 2020, 43, 1371–1377. [Google Scholar] [CrossRef] [PubMed]
- Kurup, A.N.; Morris, J.M.; Boon, A.J.; Strommen, J.A.; Schmit, G.D.; Atwell, T.D.; Carter, R.E.; Brown, M.J.; Wass, C.T.; Rose, P.S.; et al. Motor Evoked Potential Monitoring during Cryoablation of Musculoskeletal Tumors. J. Vasc. Interv. Radiol. 2014, 25, 1657–1664. [Google Scholar] [CrossRef] [PubMed]
- Masala, S.; Chiocchi, M.; Taglieri, A.; Bindi, A.; Nezzo, M.; De Vivo, D.; Simonetti, G. Combined use of percutaneous cryoablation and vertebroplasty with 3D rotational angiograph in treatment of single vertebral metastasis: Comparison with vertebroplasty. Neuroradiology 2012, 55, 193–200. [Google Scholar] [CrossRef] [PubMed]
- Kurup, A.N.; Morris, J.M.; Schmit, G.D.; Atwell, T.D.; Schmitz, J.J.; Rose, P.S.; Callstrom, M.R. Balloon-Assisted Osteoplasty of Periacetabular Tumors following Percutaneous Cryoablation. J. Vasc. Interv. Radiol. 2015, 26, 588–594. [Google Scholar] [CrossRef]
- Kurup, A.N.; Schmit, G.D.; Atwell, T.D.; Sviggum, E.B.; Castaneda, W.R.; Rose, P.S.; Callstrom, M.R. Palliative Percutaneous Cryoablation and Cementoplasty of Acetabular Metastases: Factors Affecting Pain Control and Fracture Risk. Cardiovasc. Interv. Radiol. 2018, 41, 1735–1742. [Google Scholar] [CrossRef] [PubMed]
- Sundararajan, S.H.; Calamita, S.; Girgis, P.; Ngo, G.; Ranganathan, S.; Giglio, M.; Gendel, V.; Goyal, S.; Nosher, J.; Roychowdhury, S. Sequential Interventional Management of Osseous Neoplasms via Embolization, Cryoablation, and Osteoplasty. J. Oncol. 2019, 2019, 5247837. [Google Scholar] [CrossRef] [PubMed]
- Auloge, P.; Cazzato, R.L.; Rousseau, C.; Caudrelier, J.; Koch, G.; Rao, P.; Chiang, J.B.; Garnon, J.; Gangi, A. Complications of Percutaneous Bone Tumor Cryoablation: A 10-year Experience. Radiology 2019, 291, 521–528. [Google Scholar] [CrossRef]
- Bazzocchi, A.; Gómez, M.P.A.; Tomassoni, M.T.; Napoli, A.; Filippiadis, D.; Guglielmi, G. Musculoskeletal oncology and thermal ablation: The current and emerging role of interventional radiology. Skelet. Radiol. 2022, 52, 447–459. [Google Scholar] [CrossRef]
- Tepelenis, K.; Skandalakis, G.P.; Papathanakos, G.; Kefala, M.A.; Kitsouli, A.; Barbouti, A.; Tepelenis, N.; Varvarousis, D.; Vlachos, K.; Kanavaros, P.; et al. Osteoid Osteoma: An Updated Review of Epidemiology, Pathogenesis, Clinical Presentation, Radiological Features, and Treatment Option. In Vivo 2021, 35, 1929–1938. [Google Scholar] [CrossRef]
- Wu, B.; Xiao, Y.-Y.; Zhang, X.; Zhao, L.; Carrino, J.A. CT-guided percutaneous cryoablation of osteoid osteoma in children: An initial study. Skelet. Radiol. 2011, 40, 1303–1310. [Google Scholar] [CrossRef]
- Shanmugasundaram, S.; Nadkarni, S.; Kumar, A.; Shukla, P.A. Percutaneous Ablative Therapies for the Management of Osteoid Osteomas: A Systematic Review and Meta-Analysis. Cardiovasc. Interv. Radiol. 2021, 44, 739–749. [Google Scholar] [CrossRef]
- Parmeggiani, A.; Martella, C.; Ceccarelli, L.; Miceli, M.; Spinnato, P.; Facchini, G. Osteoid osteoma: Which is the best mininvasive treatment option? Eur. J. Orthop. Surg. Traumatol. 2021, 31, 1611–1624. [Google Scholar] [CrossRef] [PubMed]
- Parvinian, A.; Welch, B.T.; Callstrom, M.R.; Kurup, A.N. Trends in Musculoskeletal Ablation: Emerging Indications and Techniques. Tech. Vasc. Interv. Radiol. 2020, 23, 100678. [Google Scholar] [CrossRef]
- Izzo, A.; Zugaro, L.; Fascetti, E.; Bruno, F.; Zoccali, C.; Arrigoni, F. Management of Osteoblastoma and Giant Osteoid Osteoma with Percutaneous Thermoablation Techniques. J. Clin. Med. 2021, 10, 5717. [Google Scholar] [CrossRef]
- Meng, L.; Zhang, X.; Xu, R.; Wu, B.; Wei, Y.; Li, J.; Shan, H.; Xiao, Y. A preliminary comparative study of percutaneous CT-guided cryoablation with surgical resection for osteoid osteoma. PeerJ 2021, 9, e10724. [Google Scholar] [CrossRef] [PubMed]
- Coupal, T.M.; Mallinson, P.I.; Munk, P.L.; Liu, D.; Clarkson, P.; Ouellette, H. CT-Guided Percutaneous Cryoablation for Osteoid Osteoma: Initial Experience in Adults. Am. J. Roentgenol. 2014, 202, 1136–1139. [Google Scholar] [CrossRef]
- Santiago, E.; Pauly, V.; Brun, G.; Guenoun, D.; Champsaur, P.; Le Corroller, T. Percutaneous cryoablation for the treatment of osteoid osteoma in the adult population. Eur. Radiol. 2018, 28, 2336–2344. [Google Scholar] [CrossRef] [PubMed]
- Whitmore, M.J.; Hawkins, C.M.; Prologo, J.D.; Marshall, K.W.; Fabregas, J.A.; Yim, D.B.; Monson, D.; Oskouei, S.V.; Fletcher, N.D.; Williams, R.S. Cryoablation of Osteoid Osteoma in the Pediatric and Adolescent Population. J. Vasc. Interv. Radiol. 2015, 27, 232–237. [Google Scholar] [CrossRef] [PubMed]
- Miyazaki, M.; Saito, K.; Yanagawa, T.; Chikuda, H.; Tsushima, Y. Phase I clinical trial of percutaneous cryoablation for osteoid osteoma. Jpn. J. Radiol. 2018, 36, 669–675. [Google Scholar] [CrossRef] [PubMed]
- Le Corroller, T.; Vives, T.; Mattei, J.-C.; Pauly, V.; Guenoun, D.; Rochwerger, A.; Champsaur, P. Osteoid Osteoma: Percutaneous CT-guided Cryoablation Is a Safe, Effective, and Durable Treatment Option in Adults. Radiology 2022, 302, 392–399. [Google Scholar] [CrossRef]
- Cazzato, R.L.; Auloge, P.; Dalili, D.; DE Marini, P.; Di Marco, A.; Garnon, J.; Gangi, A. Percutaneous Image-Guided Cryoablation of Osteoblastoma. Am. J. Roentgenol. 2019, 213, 1157–1162. [Google Scholar] [CrossRef]
- Lokiec, F.; Wientroub, S. Simple bone cyst: Etiology, classification, pathology, and treatment modalities. J. Pediatr. Orthop. B 1998, 7, 262–273. [Google Scholar] [CrossRef]
- Boriani, S.; Tumor, A.K.F.; Lo, S.-F.L.; Puvanesarajah, V.; Fisher, C.G.; Varga, P.P.; Rhines, L.D.; Germscheid, N.M.; Luzzati, A.; Chou, D.; et al. Aneurysmal bone cysts of the spine: Treatment options and considerations. J. Neuro-Oncol. 2014, 120, 171–178. [Google Scholar] [CrossRef]
- Amendola, L.; Simonetti, L.; Simoes, C.E.; Bandiera, S.; De Iure, F.; Boriani, S. Aneurysmal bone cyst of the mobile spine: The therapeutic role of embolization. Eur. Spine J. 2012, 22, 533–541. [Google Scholar] [CrossRef]
- Terzi, S.; Gasbarrini, A.; Fuiano, M.; Barbanti Brodano, G.; Ghermandi, R.; Bandiera, S.; Boriani, S. Efficacy and Safety of Selective Arterial Embolization in the Treatment of Aneurysmal Bone Cyst of the Mobile Spine: A Retrospective Observational Study. Spine 2017, 42, 1130–1138. [Google Scholar] [CrossRef]
- Alkuhaimi, T.S.; Alduraywish, I.; Alghamdi, T.; Alawaji, A.; Aljefri, A.; Alshaya, O.; Bauones, S. Feasibility of Percutaneous Image-Guided Combined Treatment of Symptomatic Bone Cyst Using Cryoablation and Bone Graft Substitute. Cardiovasc. Interv. Radiol. 2023, 46, 512–518. [Google Scholar] [CrossRef]
- Arleo, T.L.; Hawkins, C.M.; Fabregas, J.A.; Gill, A.E. Percutaneous image-guided treatment of aneurysmal bone cysts: Is there a superior treatment option? Pediatr. Radiol. 2022, 52, 1539–1549. [Google Scholar] [CrossRef]
- Walczak, B.E.; Rose, P.S. Desmoid: The Role of Local Therapy in an Era of Systemic Options. Curr. Treat. Options Oncol. 2013, 14, 465–473. [Google Scholar] [CrossRef]
- Kurtz, J.-E.; Buy, X.; Deschamps, F.; Sauleau, E.; Bouhamama, A.; Toulmonde, M.; Honoré, C.; Bertucci, F.; Brahmi, M.; Chevreau, C.; et al. CRYODESMO-O1: A prospective, open phase II study of cryoablation in desmoid tumour patients progressing after medical treatment. Eur. J. Cancer 2020, 143, 78–87. [Google Scholar] [CrossRef] [PubMed]
- Kasper, B.; Baumgarten, C.; Garcia, J.; Bonvalot, S.; Haas, R.; Haller, F.; Hohenberger, P.; Penel, N.; Messiou, C.; van Der Graaf, W.T.; et al. An update on the management of sporadic desmoid-type fibromatosis: A European Consensus Initiative between Sarcoma PAtients EuroNet (SPAEN) and European Organization for Research and Treatment of Cancer (EORTC)/Soft Tissue and Bone Sarcoma Group (STBSG). Ann. Oncol. 2017, 28, 2399–2408. [Google Scholar] [CrossRef] [PubMed]
- Yan, Y.Y.; Walsh, J.P.; Munk, P.L.; Mallinson, P.I.; Simmons, C.; Clarkson, P.W.; Jayaram, P.R.; Heran, M.K.; Ouellette, H.A. A Single-Center 10-Year Retrospective Analysis of Cryoablation for the Management of Desmoid Tumors. J. Vasc. Interv. Radiol. 2021, 32, 1277–1287. [Google Scholar] [CrossRef] [PubMed]
- Errani, C.; Mavrogenis, A.F.; Tsukamoto, S. What’s new in musculoskeletal oncology. BMC Musculoskelet. Disord. 2021, 22, 704. [Google Scholar] [CrossRef]
- Zhou, M.Y.; Bui, N.Q.; Charville, G.W.; Ghanouni, P.; Ganjoo, K.N. Current management and recent progress in desmoid tumors. Cancer Treat. Res. Commun. 2022, 31, 100562. [Google Scholar] [CrossRef]
- Havez, M.; Lippa, N.; Al-Ammari, S.; Kind, M.; Stoeckle, E.; Italiano, A.; Gangi, A.; Hauger, O.; Cornelis, F. Percutaneous Image-Guided Cryoablation in Inoperable Extra-abdominal Desmoid Tumors: A Study of Tolerability and Efficacy. Cardiovasc. Interv. Radiol. 2014, 37, 1500–1506. [Google Scholar] [CrossRef]
- Saltiel, S.; Bize, P.E.; Goetti, P.; Gallusser, N.; Cherix, S.; Denys, A.; Becce, F.; Tsoumakidou, G. Cryoablation of Extra-Abdominal Desmoid Tumors: A Single-Center Experience with Literature Review. Diagnostics 2020, 10, 556. [Google Scholar] [CrossRef] [PubMed]
- Vora, B.M.K.; Munk, P.L.; Somasundaram, N.; Ouellette, H.A.; Mallinson, P.I.; Sheikh, A.; Kadir, H.A.; Tan, T.J.; Yan, Y.Y. Cryotherapy in extra-abdominal desmoid tumors: A systematic review and meta-analysis. PLoS ONE 2021, 16, e0261657. [Google Scholar] [CrossRef] [PubMed]
- Auloge, P.; Garnon, J.; Robinson, J.M.; Thenint, M.-A.; Koch, G.; Caudrelier, J.; Weiss, J.; Cazzato, R.L.; Kurtz, J.E.; Gangi, A. Percutaneous cryoablation for advanced and refractory extra-abdominal desmoid tumors. Int. J. Clin. Oncol. 2021, 26, 1147–1158. [Google Scholar] [CrossRef]
- Schmitz, J.J.; Schmit, G.D.; Atwell, T.D.; Callstrom, M.R.; Kurup, A.N.; Weisbrod, A.J.; Morris, J.M. Percutaneous Cryoablation of Extraabdominal Desmoid Tumors: A 10-Year Experience. Am. J. Roentgenol. 2016, 207, 190–195. [Google Scholar] [CrossRef]
- Redifer Tremblay, K.; Lea, W.B.; Neilson, J.C.; King, D.M.; Tutton, S.M. Percutaneous cryoablation for the treatment of extra-abdominal desmoid tumors. J. Surg. Oncol. 2019, 120, 366–375. [Google Scholar] [CrossRef] [PubMed]
- Testa, S.; Bui, N.Q.; Charville, G.W.; Avedian, R.S.; Steffner, R.; Ghanouni, P.; Mohler, D.G.; Ganjoo, K.N. Management of Patients with Newly Diagnosed Desmoid Tumors in a First-Line Setting. Cancers 2022, 14, 3907. [Google Scholar] [CrossRef] [PubMed]
- Mandel, J.E.; Kim, D.; Yarmohammadi, H.; Ziv, E.; Keohan, M.L.; D’angelo, S.P.; Gounder, M.M.; Whiting, K.; Qin, L.-X.; Singer, S.; et al. Percutaneous Cryoablation Provides Disease Control for Extra-Abdominal Desmoid-Type Fibromatosis Comparable with Surgical Resection. Ann. Surg. Oncol. 2021, 29, 640–648. [Google Scholar] [CrossRef]
- Bouhamama, A.; Lame, F.; Mastier, C.; Cuinet, M.; Thibaut, A.; Beji, H.; Ricoeur, A.; Blay, J.-Y.; Pilleul, F. Local Control and Analgesic Efficacy of Percutaneous Cryoablation for Desmoid Tumors. Cardiovasc. Interv. Radiol. 2019, 43, 110–119. [Google Scholar] [CrossRef]
- Ryan, A.; Byrne, C.; Pusceddu, C.; Buy, X.; Tsoumakidou, G.; Filippiadis, D. CIRSE Standards of Practice on Thermal Ablation of Bone Tumours. Cardiovasc. Interv. Radiol. 2022, 45, 591–605. [Google Scholar] [CrossRef]
- Cornelis, F.; Havez, M.; Lippa, N.; Al-Ammari, S.; Verdier, D.; Carteret, T.; Amoretti, N.; Gangi, A.; Palussiere, J.; Hauger, O.; et al. Radiologically guided percutaneous cryotherapy for soft tissue tumours: A promising treatment. Diagn. Interv. Imaging 2013, 94, 364–370. [Google Scholar] [CrossRef]
- Tacke, J.; Speetzen, R.; Heschel, I.; Hunter, D.W.; Rau, G.; Günther, R.W. Imaging of interstitial cryotherapy—An in vitro comparison of ultrasound, computed tomography, and magnetic resonance imaging. Cryobiology 1999, 38, 250–259. [Google Scholar] [CrossRef] [PubMed]
- Castañeda Rodriguez, W.R.; Callstrom, M.R. Effective pain palliation and prevention of fracture for axial-loading skeletal metastases using combined cryoablation and cementoplasty. Tech. Vasc. Interv. Radiol. 2011, 14, 160–169. [Google Scholar] [CrossRef] [PubMed]
- Moynagh, M.R.; Schmit, G.D.; Thompson, R.H.; Boorjian, S.A.; Woodrum, D.A.; Curry, T.B.; Atwell, T.D. Percutaneous cryoablation of clinical T2 (>7 cm) renal masses: Technical considerations, complications, and short-term outcomes. J. Vasc. Interv. Radiol. 2015, 26, 800–806. [Google Scholar] [CrossRef] [PubMed]
- Allaf, M.E.; Varkarakis, I.M.; Bhayani, S.B.; Inagaki, T.; Kavoussi, L.R.; Solomon, S.B. Pain control requirements for percutaneous ablation of renal tumors: Cryoablation versus radio frequency ablation–initial observations. Radiology 2005, 237, 366–370. [Google Scholar] [CrossRef]





| Author, Year | Reference | Tumor | Number of Patients | Tumor Size (Mean) | Mean Age | Follow-Up in Month | Complications | Results |
|---|---|---|---|---|---|---|---|---|
| Lippa et al., 2014 | [12] | Local recurrence soft tissue sarcomas | 13 | 4.8 cm | 63.4 | NR | 2 (15.4%) minor, 4 mild (30.8%), 7 (53.8%) severe | Maximum diameter ≤ 10 cm, distance to skin > 5 mm, distance to neurovascular structures > 3 mm, absence of articular involvement, and planned cryoablation covering the entire lesion volume were used to determine eligibility for cryoablation. These criteria were assessed by two radiologists with perfect agreement (k coefficient 0.83 to 0.98). |
| Susa, 2016 | [18] | Malignant bone and soft tissue tumors | 9 | NR | 74.8 | 24.1 | 1 urinary retention, 1 transient nerve palsy, 1 minor wound complication | Median survival time was 35 months. |
| Li et al., 2020 | [19] | Sacral chordoma | 9 | NR | 53.6 | 33 | NR | After treatment, the mean VAS score decreased from 7.3 to 4.2 (p = 0.001). Before treatment, the mean function score was 3.2; after treatment, it was 1.4 (p = 0.001). PFS was 36.8 months. |
| Kurup et al., 2012 | [20] | Recurrent sacrococcygeal tumors | 6 | 2 cm | 58 | 15 | 1 minor—pain. No major complications | There was no sign of a recurrence in 4 tumors that had LTC treatment. For the two palliation patients, one had total pain relief (pain returned after 6 weeks), while the other had an instantaneous decrease in pain (from a score of 6 to a score of 2 on a scale of 10. |
| Lim et al., 2012 | [16] | Bone tumors | 32 | NR | 48 | 16.5 | 2 major—fractures | There were no recurrences in the primary bone tumor group. There were 3 cases of radiological relapses (p = 0.02) and 2 cases of clinical relapses in the metastases group. In the metastatic group, the median time for relapse-free survival was 17 months (p = 0.01). |
| Fan et al., 2016 | [21] | Retroperitoneal soft tissue sarcomas | 72 | 12.9 cm | 49 | NR | 19 fever, 11 local pain, 10 emesis, 6 frostbite, 1 nerve injury | Mean PFS and OS were 37.0 ± 7.7 months and 43.0 ± 5.9 months. The difference in PFS and OS between the small tumor group and the large tumor group was statistically significant (p = 0.011 and p = 0.015, respectively), while the response rate (82.7% vs. 72.8%, p = 0.240) was not different. |
| Fan et al., 2016 | [22] | Retroperitoneal soft tissue sarcomas | 49 | 12.9 cm | 50.3 | 18.5 | fever (17), emesis (7), frostbite (5), local pain (4) | The median PFS was 13.4 months. At the end of follow-up, 13 patients had died and 26 were living. Significant differences between mean severe local pain scores in pre-treatment vs. post-treatment days were reported. |
| Ahlmann, 2007 | [17] | Soft tissue sarcomas | 38 | NR | 59 | 37 | superficial wound infections (3), seroma (8), peripheral nerve palsies (5) | At 2 and 5 years, the DFS for patients with more than 95% necrosis was 85%. Disease-free survival for patients with less than 95% necrosis dropped to 60% at 2 years and 50% at 5 years. |
| Author, Year | Reference | Pa/LTC | Median Tumor Size | Mean Age | Primary Tumor | Technique | Treatment Number | Follow-Up | Complications | Results |
|---|---|---|---|---|---|---|---|---|---|---|
| Autrusseau, 2022 | [36] | LTC | 1.9 cm | 61 | Thyroid cancer | CA | 18 | 68 months | 1 delayed fracture | Local tumor PFS at 1, 2, 3, 4, and 5 years was, respectively, 93.3%, 84.6%, 76.9%, 75%, and 72.7%. |
| Arrigoni, 2021 | [37] | Pa, LTC | 3–4 cm | 62 | Various | CA | 28 | 3 months (Pa) and 22.4 (LTC) | 1 grade 3 (bleeding) | LTC was 91% (10/11); mean VAS decreased from 6.9 (SD: 1.3) to 3.5 (SD: 2.6); p = 0.0001. |
| Jennings, 2021 | [38] | Pa | NR | 60.8 | Various | CA | 66 | 6 months | 3 major—abdominal pain, hematoma, and skin burn or frostbite | Mean pain score reached clinically significant levels after 8 weeks. |
| Gallusser, 2019 | [28] | Pa, LTC | NR | 62 | Various | CA (+5 long bone fixation) | 18 | 12 months | 1 delayed fracture | LTC was 63% (10/16); NRS score dropped significantly from 3.3 to 1.2 (p = 0.0024). |
| Gardner, 2017 | [29] | LTC | 3.4 cm | 62 | Renal cell carcinoma | CA | 50 | 21.4 months | 3 grade 3, 1 grade 4, and 5 delayed fractures | LTC was 82% (41/50). |
| Coupal, 2017 | [39] | Pa | >5 cm | 77.5 | Various | CA | 48 | 2.25 months | none | After the intervention, the mean pain score dropped from 7.9 to 1.2 (p = 0.001). |
| McArthur, 2017 | [30] | Pa, LTC | NR | 52.3 | Various | CA | 16 | 3 months | 1 grade 1 | Mean pain score improved for all patients; LTC was 93.8%. |
| Susa, 2016 | [18] | LTC | 3.9 cm | 74.8 | Various | CA | 11 | 36 months | 1 grade 1, 2 grade 2 | 2 patients had local recurrence. |
| Wallace, 2016 | [40] | Pa, LTC | 13 cm | 53.9 | Various | CA (+cementoplasty in 28% of the cases) | 92 | 6 months | 1 grade 1, 1 grade 3 (transient foot drop), and 2 grade 4 (hemothorax) | For 1 day, 1 week, 1 month, and 3 months, there were decreased median pain scores. LTC at 3 months was 90% (37/41); at 6 months it was 86% (32/37); and at 12 months it was 79% (26/33). |
| Tomasian, 2015 | [41] | Pa, LTC | NR | 53 | Various | CA (1 cementoplasty and 1 vertebroplasty) | 31 | 10 months | 2 grade 1 (transient postprocedural radiculopathy and weakness) | LTC was 96.7% (30/31); at one week, one month, and three months, the numerical rating scale statistically significantly decreased (p = 0.001 for all). |
| Hegg, 2014 | [42] | Pa, LTC | 3.8 cm | 57 | Various | CA | 12 | 5.7 months (Pa), 8.4 (LTC) | 1 grade 2 (infection) | LTC was 80%; mean pain scores dropped from 7.0 +/− 1.9 at baseline to 1.8 +/− 1.2 (p = 0.00049). |
| Callstrom, 2013 | [2] | Pa | 4.8 cm | 61 | Various | CA | 69 | 44 months | 1 grade 3 (infection) | The mean pain score dropped from 7.1/10 to 5.1/10, 4.0/10, 3.6/10, and 1.4/10, respectively, at 1, 4, 8, and 24 weeks (p = 0.0001 for all). |
| McMenomy, 2013 | [43] | LTC | 2 cm | 64 | Various | CA | 52 | 21 months | 2 grade 3 (avascular necrosis and collapse of the femoral head and ureteral stricture) | LTC was 87% (45/52); 47 months was the median overall survival time; 1 and 2-year DFS rates were 7% and 22%, respectively. The median DFS was 7 months. |
| Ma, 2018 | [44] | LTC | NR | NR | Non-small Cell Lung Cancer | CA | 22 | 3, 6, and 12-month (LTC),1 month (Pa) | 1 grade 3 and 1 grade 4 (pathologic fracture) | At 4 weeks of follow-up, there was a reduction in NRS pain scores from pre- to post-procedure (p < 0.01). |
| Cazzato, 2022 | [45] | Pa, LTC | NR | 61 | Various | 105 | 8 months | 9 (2 major and 7 minor) | At the last follow-up, 34 patients (53.1%) reported being entirely pain-free. LTC was 82.1%. | |
| Coupal, 2017 | [39] | Pa | NR | 77.5 | Various | CA + cementoplasty | 48 | 4.1 weeks (mean) | None | Following the intervention, there was a significant reduction in pain levels. Post-intervention pain ratings were stable for 1 to 9 weeks (mean: 4.1 weeks). |
| Yang, 2020 | [46] | Pa | 4.3 cm | 67 | Various | CA | 36 | 20 months | 3 complications (skin frostbite, nerve injury, pathologic fracture) | At 1 day, 1 month, 3 months, and 6 months following cryoablation, the response rates were 91.7%, 94.4%, 91.7%, and 94.4%, with CR occurring in 22.2%, 41.7%, 36.1%, and 22.2% of cases, respectively. |
| Susa, 2016 | [18] | Pa | NR | 78.7 | Various | CA | 11 | 24.1 months | 1 case of urinary retention in a patient with sacral chordoma, 1 transient femoral nerve palsy | At the final follow-up, 4 patients had no signs of the disease, 2 were still living with the disease, and 3 died of the disease. |
| Prologo, 2014 | [47] | Pa | 1.7–12 cm | NR | Various | CA (+cementoplasty in 18 patients) | 54 | 3 months | 1 minor wound complication, 2 grade 1, 1 grade 3, and 3 grade 4 | At 24 h and 3 months of follow-up, there was a significantly decreased median VAS and narcotic usage. (p < 0.000). |
| Prologo, 2014 | [48] | Pa | NR | 60.7 | Various | CA | 61 | NR | 2 minor complications and 4 major complications | * They only described cases with painful osseous metastatic/disease with adverse outcomes. |
| Cazzato, 2018 | [49] | LTC | 27.7 * RF and CA together | 59 | Various | CA | 37 | 34.1 | pain, partial anesthesia of buttock and difficulty urinating, fracture scapula, and seeding | 28.5% of cases had local progression at the treated site; the 1- and 2-year LPFS were 76.8% and 71.7%, respectively. Local tumor growth was predicted by BM size (>2 cm) (p = 002). DFS at the same time interval was 86.3% and 61.5%. |
| De Marini, 2020 | [50] | Pa, LTC | 4.5 cm | 61.5 | Various | CA | 301 | 19.5 | 18 minor and 8 major (4 fractures, 1 tumor seeding, 1 infection, 1 arterial bleeding, and 1 hypotension) | With RFA and CA of BM, similar low rates of major complications are expected. RFA seems to be more painful after procedure than CA. |
| Autrusseau, 2021 | [51] | Pa, LTC | 3.5 cm | 59.7 | Various | CA | 41 | 16.5 (Pa) and 25 (LTC) | 1 major—intraoperative cardiac arrhythmia 3 minor—pain, brachial plexus injury with spontaneous resolution, distended bladder | Clinical success was reached in 93.8% for palliation. At a median follow-up of 25 months, primary clinical success for LTC was achieved in 60% of spinal metastases. |
| Callstrom, 2006 | [52] | Pa | 1–11 cm | 54 | Various | CA | 14 | 18 | No major complications | The mean rating for the worst 24 h period of pain prior to cryoablation was 6.7; four weeks later, it was 3.8 (p = 0.003). Before therapy, the average level of pain interference with daily activities was 5.5 of 10, and it was 3.2 (p = 0.004) 4 weeks later. |
| Gravel et al., 2019 | [53] | Pa | 1.8 cm | 54 | Various | CA | 54 | 12 | 2 grade 3 (1 persistent paraparesis and 1 Takotsubo cardiomyopathy) and 2 grade 2 (transitory radiculopathy with persistent dysesthesia in 1) | All 54 metastases had a 1-year complete treatment rate of 59.3%. The 1-year complete treatment rate per metastasis was 23 of 24 (95.8%) for lesions measuring less than 25 mm and farther than 2 mm from the spinal canal. |
| Staso, 2015 | [31] | Pa | 4–5 cm | 69 | Various | RT vs. CA RT vs. CA | 25 | 3 months | 1 humerus fracture, 7 injury to encased sacral plexus, 2 transient injury to adjacent peripheral nerve | In comparison to patients treated by radiotherapy alone (11.2%), a greater percentage of subjects treated with cryoablation (32%) or cryoablation followed by RT (72%;) experienced a complete response. |
| Mc Arthur et al., 2017 | [30] | Pa | NR | 52.3 | Various | CA | 16 | 436 days | short-term neuropraxia, which resolved within 48 h no major complications | After one week following the procedure and a 3-month clinical follow-up, all 16 patients reported improvement in pain. On follow-up CT scans, there was a total of 6.2% tumor growth and 93.8% tumor arrest or shrinkage, while all study patients progressed with non-cryoablated metastases at other sites in spite of systemic therapy. |
| Thacker et al., 2011 | [32] | Pa | 4.4 cm | 60 | Various | CA | 36 | 24 h | 1 temporary S1 vertebra dysesthesia 1 thermal injury over the ablation site | On a scale of 0 to 10, the pre-treatment pain scores for the two groups—6.5 for cryoablation and 6.0 for RFA—were not substantially different (p = 0.78). Following cryoablation, analgesic use in the first 24 h significantly decreased whereas following RFA, it increased (p = 0.03). Individuals who underwent cryoablation typically spent 2.5 fewer days in the hospital overall than individuals who received RFA (p = 0.003). |
| Li, 2014 | [54] | Pa | 5.8 (CA + ZA) 6.0 (CA) | 51.8 (CA + ZA) 54.8 (CA) | Various | CA + zoledronic acid vs. CA vs. zoledronic acid | 84 | 6 months | no major complications 1 frostbite, 8 pathological fractures | In the group receiving cryoablation treatment, the mean response of the worst and average pain considerably decreased at week 2 (all p = 0.05), whereas it did so at week 4 (all p = 0.05) in the group receiving zoledronic acid treatment. When compared to cryoablation, zoledronic acid treatments exhibited a more durable response to the worst and average pain between weeks 16 and 24 (all p = 0.05). In comparison to zoledronic acid alone, the cryoablation + zoledronic acid regimen significantly reduced the worst and average pain between weeks 1 and 4 (all p = 0.05) and had a longer-lasting effect on bone metastatic pain between weeks 12 and 24 (all p < 0.05) compared to cryoablation alone. |
| Author, Year | Reference | Number of Patients | Tumor Size | Mean Age | Follow-Up in Month | Complications | Results |
|---|---|---|---|---|---|---|---|
| Auloge et al., 2021 | [94] | 30 | 8.7 cm | 39 | 18.5 | 4 major: 2 skin necrosis, 1 infection, and 1 brachial plexopathy; 7 minor: edema and temporary increase in pain | The PFS was 85.1% and 77.3% at 1 year and 3 years, respectively; 43% patients obtained a complete response, and 96.7% obtained a reduction in pain. |
| Kurtz et al., 2021 | [86] | 50 | 10 cm | 41 | 12 | 31 grade 1; 29 grade 2; 15 grade 3, and 11 grade 4 | At +12 months, the rate of non-progressing disease was 86%. Functional status and pain scores were significantly improved by cryoablation. |
| Yan et al., 2021 | [95] | 25 | 236.6 cm3 | 32 | 12 | 1 major: nerve palsy; 3 minor: pain, swelling | 96.9% of patients achieved symptomatic relief. Symptomatic recurrence was 21.2% in the cohort (median time: 8 months). The median time for symptom improvement was 2.5 months. |
| Tremblay et al., 2019 | [96] | 23 | 6.9 cm | 40.5 | 15.4 | 2 major: nerve injuries; 4 minor: hematoma, skin injuries | Symptomatic improvement was demonstrated in 89% of patients. At 12 months, the mRECIST response rate was CR 36%, PR was 36%, and SD was 28%. After cryoablation, no patients experienced rapid development of the residual disease. |
| Schmitz et al., 2016 | [95] | 18 | 6.4 cm | 39.9 | 16.2 | major: none; 3 minor: pain, emesis | In 9 of 23 tumors (39.1%), no residual viable EAD tumor was found; 22 of 23 tumors (95.7%) showed evidence of volume reduction; 1 of 23 tumors (4.3%) had progressive disease. |
| Efrima, 2021 | [88] | 11 | 258.6 cm3 | 35.3 | 48 | minor: mild frostbite, limitation in range of motion, swelling | 9/11 patients (82%) had a reduction in tumor volume and improved symptomatology. Tumor volume and viable segment reductions were, respectively, 36.7% (p = 0.0397) and 63.3% (p = 0.0477). |
| Havez, 2014 | [91] | 13 | 5.3 cm | 39.5 | 11.3 | 1 major—transient peroneal nerve injury | DFS rate was stable at 6, 12, and 24 months at 82.3%. At 6, 12, and 24 months, the local tumor progression rate was 0%. Local recurrence was detected in 2 cases (12%). |
| Testa, 2022 | [97] | 20 | NR | 36.5 | 18 | 2 minor—pain at the ablation site | Active surveillance had a shorter 5-year PFS than cryoablation (p = 0.008). Patients who had cryoablation as their initial course of treatment had comparable 5-year PFS to patients who underwent surgery or surgery plus systemic therapy. |
| Saltiel, 2020 | [92] | 10 | 63.6 cm3 | 33 | 53.7 | 2 major—1 grade 3 (colo-cutaneous fistula) and 1 grade 4 (peroneal nerve palsy) | At 3, 6, and 12 months for patients who received curative treatment, the mean ET-V change was −97 ± 7%, −44 ± 143%, and +103 ± 312%, respectively. At 3, 6, and 12 months, the mean ET-V change for debulking patients was −98 ± 4%, +149 ± 364%, and +192 ± 353%, respectively. |
| Mandel, 2022 | [98] | 22 | NR | NR | 16.3 | 1 major—pneumothorax; 22 minor—pain | After cryoablation, the two-year local recurrence-free survival rate was 59%, and the median LRFS was 26.6 months. |
| Bouhamama, 2019 | [99] | 34 | 5.8 cm | 38 | 6 | 2 hematoma grade 2; 2 grade 4 complications involving palsy of the common fibular nerve | At 3 years, DFS was 42.2%. The mean VAS was 5.7 and 2.4 at pre-treatment and 6 months, respectively. All measured tumor dimensions were lower than pre-treatment at 6 months. |
Disclaimer/Publisher’s Note: The statements, opinions and data contained in all publications are solely those of the individual author(s) and contributor(s) and not of MDPI and/or the editor(s). MDPI and/or the editor(s) disclaim responsibility for any injury to people or property resulting from any ideas, methods, instructions or products referred to in the content. |
© 2023 by the authors. Licensee MDPI, Basel, Switzerland. This article is an open access article distributed under the terms and conditions of the Creative Commons Attribution (CC BY) license (https://creativecommons.org/licenses/by/4.0/).
Share and Cite
Papalexis, N.; Savarese, L.G.; Peta, G.; Errani, C.; Tuzzato, G.; Spinnato, P.; Ponti, F.; Miceli, M.; Facchini, G. The New Ice Age of Musculoskeletal Intervention: Role of Percutaneous Cryoablation in Bone and Soft Tissue Tumors. Curr. Oncol. 2023, 30, 6744-6770. https://doi.org/10.3390/curroncol30070495
Papalexis N, Savarese LG, Peta G, Errani C, Tuzzato G, Spinnato P, Ponti F, Miceli M, Facchini G. The New Ice Age of Musculoskeletal Intervention: Role of Percutaneous Cryoablation in Bone and Soft Tissue Tumors. Current Oncology. 2023; 30(7):6744-6770. https://doi.org/10.3390/curroncol30070495
Chicago/Turabian StylePapalexis, Nicolas, Leonor Garbin Savarese, Giuliano Peta, Costantino Errani, Gianmarco Tuzzato, Paolo Spinnato, Federico Ponti, Marco Miceli, and Giancarlo Facchini. 2023. "The New Ice Age of Musculoskeletal Intervention: Role of Percutaneous Cryoablation in Bone and Soft Tissue Tumors" Current Oncology 30, no. 7: 6744-6770. https://doi.org/10.3390/curroncol30070495
APA StylePapalexis, N., Savarese, L. G., Peta, G., Errani, C., Tuzzato, G., Spinnato, P., Ponti, F., Miceli, M., & Facchini, G. (2023). The New Ice Age of Musculoskeletal Intervention: Role of Percutaneous Cryoablation in Bone and Soft Tissue Tumors. Current Oncology, 30(7), 6744-6770. https://doi.org/10.3390/curroncol30070495

