Stereotactic Body Radiotherapy for Hepatocellular Carcinoma: A Brief Overview
Abstract
1. Introduction
2. Outcomes after Definitive SBRT for HCC
3. Toxicities after SBRT for HCC
4. Comparison or Combination with Other Treatment Modalities
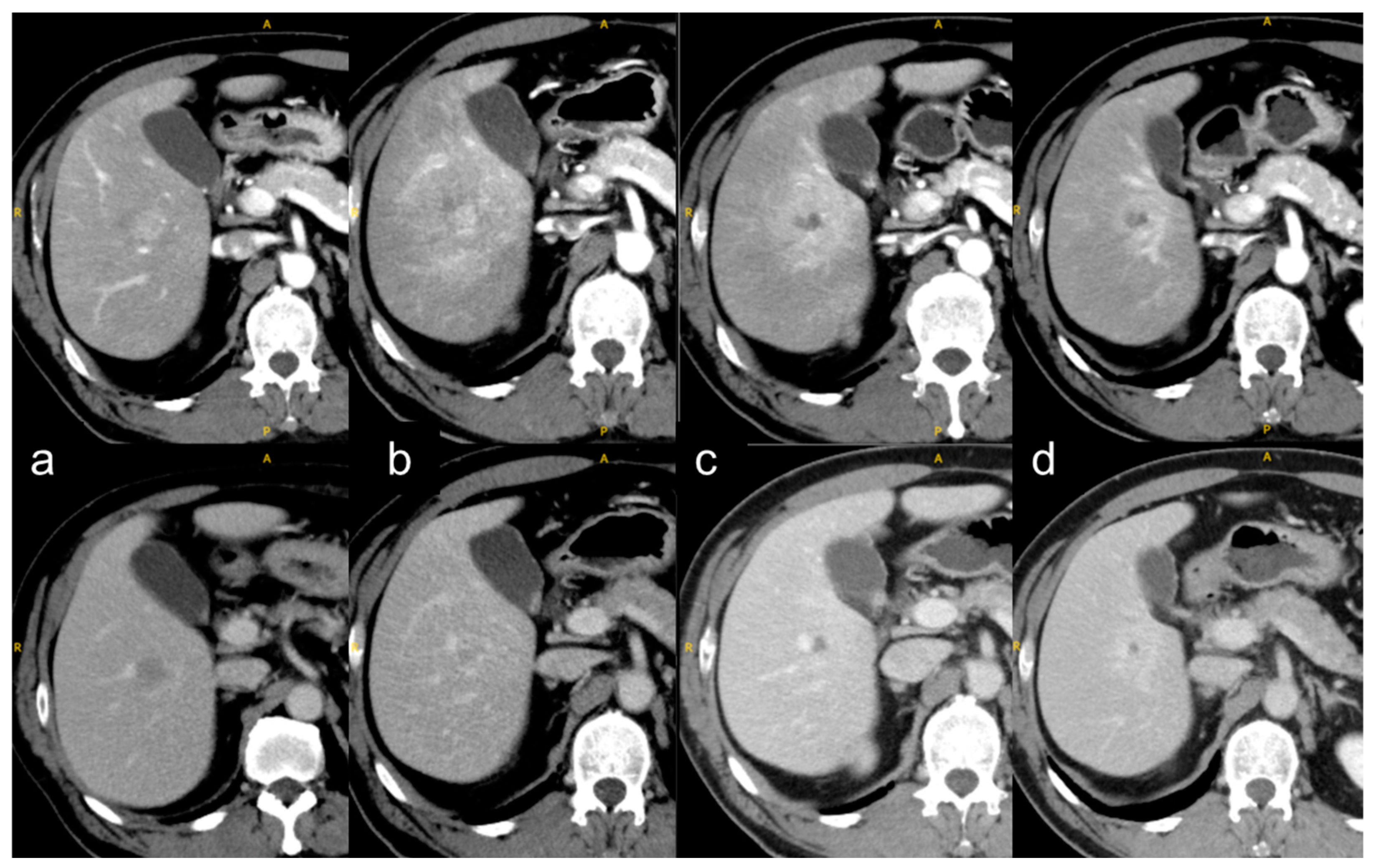
5. Imaging after SBRT for the Liver
6. Conclusions
Funding
Institutional Review Board Statement
Conflicts of Interest
References
- Sung, H.; Ferlay, J.; Siegel, R.L.; Laversanne, M.; Soerjomataram, I.; Jemal, A.; Bray, F. Global Cancer Statistics 2020: GLOBOCAN Estimates of incidence and mortality worldwide for 36 cancers in 185 countries. CA Cancer J. Clin. 2021, 71, 209–249. [Google Scholar] [CrossRef] [PubMed]
- Foundation for Promotion of Cancer Research Cancer Statistics in Japan. 2022. Available online: https://ganjoho.jp/public/qa_links/report/statistics/2022_en.html (accessed on 26 December 2022).
- Kudo, M.; Izumi, N.; Kokudo, N.; Sakamoto, M.; Shiina, S.; Takayama, T.; Tateishi, R.; Nakashima, O.; Murakami, T.; Matsuyama, Y.; et al. Report of the 22nd nationwide follow-up survey of primary liver cancer in Japan (2012–2013). Hepatol. Res. 2022, 52, 5–66. [Google Scholar] [CrossRef] [PubMed]
- Llovet, J.M.; Kelley, R.K.; Villanueva, A.; Singal, A.G.; Pikarsky, E.; Roayaie, S.; Lencioni, R.; Koike, K.; Zucman-Rossi, J.; Finn, R.S. Hepatocellular Carcinoma. Nat. Rev. Dis. Prim. 2021, 7, 6. [Google Scholar] [CrossRef]
- Reig, M.; Forner, A.; Rimola, J.; Ferrer-Fàbrega, J.; Burrel, M.; Garcia-Criado, Á.; Kelley, R.K.; Galle, P.R.; Mazzaferro, V.; Salem, R.; et al. BCLC strategy for prognosis prediction and treatment recommendation: The 2022 update. J. Hepatol. 2022, 76, 681–693. [Google Scholar] [CrossRef] [PubMed]
- Kudo, M.; Kawamura, Y.; Hasegawa, K.; Tateishi, R.; Kariyama, K.; Shiina, S.; Toyoda, H.; Imai, Y.; Hiraoka, A.; Ikeda, M.; et al. Management of hepatocellular carcinoma in Japan: JSH consensus statements and recommendations 2021 update. Liver Cancer 2021, 10, 181–223. [Google Scholar] [CrossRef]
- Apisarnthanarax, S.; Barry, A.; Cao, M.; Czito, B.; DeMatteo, R.; Drinane, M.; Hallemeier, C.L.; Koay, E.J.; Lasley, F.; Meyer, J.; et al. External beam radiation therapy for primary liver cancers: An ASTRO clinical practice guideline. Pract. Radiat. Oncol. 2022, 12, 28–51. [Google Scholar] [CrossRef]
- Sanuki, N.; Takeda, A.; Oku, Y.; Mizuno, T.; Aoki, Y.; Eriguchi, T.; Iwabuchi, S.; Kunieda, E. Stereotactic body radiotherapy for small hepatocellular carcinoma: A retrospective outcome analysis in 185 patients. Acta Oncol. 2014, 53, 399–404. [Google Scholar] [CrossRef]
- Su, T.-S.; Liang, P.; Lu, H.-Z.; Liang, J.; Gao, Y.-C.; Zhou, Y.; Huang, Y.; Tang, M.-Y.; Liang, J.-N. Stereotactic body radiation therapy for small primary or recurrent hepatocellular carcinoma in 132 Chinese patients. J. Surg. Oncol. 2016, 113, 181–187. [Google Scholar] [CrossRef]
- Mathew, A.S.; Atenafu, E.G.; Owen, D.; Maurino, C.; Brade, A.; Brierley, J.; Dinniwell, R.; Kim, J.; Cho, C.; Ringash, J.; et al. Long term outcomes of stereotactic body radiation therapy for hepatocellular carcinoma without macrovascular invasion. Eur. J. Cancer 2020, 134, 41–51. [Google Scholar] [CrossRef]
- Kimura, T.; Takeda, A.; Sanuki, N.; Ariyoshi, K.; Yamaguchi, T.; Imagumbai, T.; Katoh, N.; Eriguchi, T.; Oku, Y.; Ozawa, S.; et al. Multicenter prospective study of stereotactic body radiotherapy for previously untreated solitary primary hepatocellular carcinoma: The STRSPH study. Hepatol. Res. 2021, 51, 461–471. [Google Scholar] [CrossRef] [PubMed]
- Yoon, S.M.; Kim, S.Y.; Lim, Y.-S.; Kim, K.M.; Shim, J.H.; Lee, D.; An, J.; Jung, J.; Kim, J.H.; Lee, H.C. Stereotactic body radiation therapy for small (≤5 cm) hepatocellular carcinoma not amenable to curative treatment: Results of a single-arm, phase II clinical trial. Clin. Mol. Hepatol. 2020, 26, 506–515. [Google Scholar] [CrossRef] [PubMed]
- Durand-Labrunie, J.; Baumann, A.-S.; Ayav, A.; Laurent, V.; Boleslawski, E.; Cattan, S.; Bogart, E.; Le Deley, M.-C.; Steen, V.; Lacornerie, T.; et al. Curative irradiation treatment of hepatocellular carcinoma: A multicenter phase 2 trial. Int. J. Radiat. Oncol. Biol. Phys. 2020, 107, 116–125. [Google Scholar] [CrossRef] [PubMed]
- Jang, W.I.; Bae, S.H.; Kim, M.-S.; Han, C.J.; Park, S.C.; Kim, S.B.; Cho, E.-H.; Choi, C.W.; Kim, K.S.; Hwang, S.; et al. A phase 2 multicenter study of stereotactic body radiotherapy for hepatocellular carcinoma: Safety and efficacy. Cancer 2020, 126, 363–372. [Google Scholar] [CrossRef]
- Park, S.; Jung, J.; Cho, B.; Kim, S.Y.; Yun, S.-C.; Lim, Y.-S.; Lee, H.C.; Park, J.; Park, J.-H.; Kim, J.H.; et al. Clinical outcomes of stereotactic body radiation therapy for small hepatocellular carcinoma. J. Gastroenterol. Hepatol. 2020, 35, 1953–1959. [Google Scholar] [CrossRef] [PubMed]
- Kim, J.W.; Kim, D.Y.; Han, K.-H.; Seong, J. Phase I/II Trial of Helical IMRT-based stereotactic body radiotherapy for hepatocellular carcinoma. Dig. Liver Dis. 2019, 51, 445–451. [Google Scholar] [CrossRef]
- Takeda, A.; Sanuki, N.; Tsurugai, Y.; Iwabuchi, S.; Matsunaga, K.; Ebinuma, H.; Imajo, K.; Aoki, Y.; Saito, H.; Kunieda, E. Phase 2 study of stereotactic body radiotherapy and optional transarterial chemoembolization for solitary hepatocellular carcinoma not amenable to resection and radiofrequency ablation. Cancer 2016, 122, 2041–2049. [Google Scholar] [CrossRef]
- Lasley, F.D.; Mannina, E.M.; Johnson, C.S.; Perkins, S.M.; Althouse, S.; Maluccio, M.; Kwo, P.; Cárdenes, H. Treatment variables related to liver toxicity in patients with hepatocellular carcinoma, child-pugh class A and B enrolled in a phase 1-2 trial of stereotactic body radiation therapy. Pract. Radiat. Oncol. 2015, 5, e443–e449. [Google Scholar] [CrossRef] [PubMed]
- Bujold, A.; Massey, C.A.; Kim, J.J.; Brierley, J.; Cho, C.; Wong, R.K.S.; Dinniwell, R.E.; Kassam, Z.; Ringash, J.; Cummings, B.; et al. Sequential phase I and II trials of stereotactic body radiotherapy for locally advanced hepatocellular carcinoma. J. Clin. Oncol. 2013, 31, 1631–1639. [Google Scholar] [CrossRef]
- Kang, J.-K.; Kim, M.-S.; Cho, C.K.; Yang, K.M.; Yoo, H.J.; Kim, J.H.; Bae, S.H.; Jung, D.H.; Kim, K.B.; Lee, D.H.; et al. Stereotactic body radiation therapy for inoperable hepatocellular carcinoma as a local salvage treatment after incomplete transarterial chemoembolization. Cancer 2012, 118, 5424–5431. [Google Scholar] [CrossRef]
- Shanker, M.D.; Moodaley, P.; Soon, W.; Liu, H.Y.; Lee, Y.Y.; Pryor, D.I. Stereotactic ablative radiotherapy for hepatocellular carcinoma: A systematic review and meta-analysis of local control, survival and toxicity outcomes. J. Med. Imaging Radiat. Oncol. 2021, 65, 956–968. [Google Scholar] [CrossRef]
- Long, Y.; Liang, Y.; Li, S.; Guo, J.; Wang, Y.; Luo, Y.; Wu, Y. Therapeutic outcome and related predictors of stereotactic body radiotherapy for small liver-confined HCC: A systematic review and meta-analysis of observational studies. Radiat. Oncol. 2021, 16, 68. [Google Scholar] [CrossRef] [PubMed]
- Rim, C.H.; Kim, H.J.; Seong, J. Clinical feasibility and efficacy of stereotactic body radiotherapy for hepatocellular carcinoma: A systematic review and meta-analysis of observational studies. Radiother. Oncol. 2019, 131, 135–144. [Google Scholar] [CrossRef] [PubMed]
- Jang, W.I.; Kim, M.-S.; Bae, S.H.; Cho, C.K.; Yoo, H.J.; Seo, Y.S.; Kang, J.-K.; Kim, S.Y.; Lee, D.H.; Han, C.J.; et al. High-dose stereotactic body radiotherapy correlates increased local control and overall survival in patients with inoperable hepatocellular carcinoma. Radiat. Oncol. 2013, 8, 250. [Google Scholar] [CrossRef] [PubMed]
- Koay, E.J.; Owen, D.; Das, P. Radiation-induced liver disease and modern radiotherapy. Semin. Radiat. Oncol. 2018, 28, 321–331. [Google Scholar] [CrossRef]
- Cárdenes, H.R.; Price, T.R.; Perkins, S.M.; Maluccio, M.; Kwo, P.; Breen, T.E.; Henderson, M.A.; Schefter, T.E.; Tudor, K.; Deluca, J.; et al. Phase I feasibility trial of stereotactic body radiation therapy for primary hepatocellular carcinoma. Clin. Transl. Oncol. 2010, 12, 218–225. [Google Scholar] [CrossRef]
- Culleton, S.; Jiang, H.; Haddad, C.R.; Kim, J.; Brierley, J.; Brade, A.; Ringash, J.; Dawson, L.A. Outcomes following definitive stereotactic body radiotherapy for patients with child-pugh B or C hepatocellular carcinoma. Radiother. Oncol. 2014, 111, 412–417. [Google Scholar] [CrossRef]
- Mayo, C.S.; Moran, J.M.; Bosch, W.; Xiao, Y.; McNutt, T.; Popple, R.; Michalski, J.; Feng, M.; Marks, L.B.; Fuller, C.D.; et al. American Association of Physicists in medicine task group 263: Standardizing nomenclatures in radiation oncology. Int. J. Radiat. Oncol. Biol. Phys. 2018, 100, 1057–1066. [Google Scholar] [CrossRef]
- Lewis, S.; Dawson, L.; Barry, A.; Stanescu, T.; Mohamad, I.; Hosni, A. Stereotactic body radiation therapy for hepatocellular carcinoma: From infancy to ongoing maturity. JHEP Rep. 2022, 4, 100498. [Google Scholar] [CrossRef]
- Sanuki, N.; Takeda, A.; Kunieda, E. Role of stereotactic body radiation therapy for hepatocellular carcinoma. World J. Gastroenterol. 2014, 20, 3100–3111. [Google Scholar] [CrossRef]
- Hara, K.; Takeda, A.; Tsurugai, Y.; Saigusa, Y.; Sanuki, N.; Eriguchi, T.; Maeda, S.; Tanaka, K.; Numata, K. Radiotherapy for hepatocellular carcinoma results in comparable survival to radiofrequency ablation: A propensity score analysis. Hepatology 2019, 69, 2533–2545. [Google Scholar] [CrossRef]
- Kim, N.; Cheng, J.; Jung, I.; Liang, J.D.; Shih, Y.L.; Huang, W.-Y.; Kimura, T.; Lee, V.H.F.; Zeng, Z.C.; Zhenggan, R.; et al. Stereotactic body radiation therapy vs. radiofrequency ablation in asian patients with hepatocellular carcinoma. J. Hepatol. 2020, 73, 121–129. [Google Scholar] [CrossRef]
- Pan, Y.-X.; Fu, Y.-Z.; Hu, D.-D.; Long, Q.; Wang, J.-C.; Xi, M.; Liu, S.-L.; Xu, L.; Liu, M.-Z.; Chen, M.-S.; et al. Stereotactic body radiotherapy vs. radiofrequency ablation in the treatment of hepatocellular carcinoma: A meta-analysis. Front. Oncol. 2020, 10, 1639. [Google Scholar] [CrossRef] [PubMed]
- Lee, J.; Shin, I.-S.; Yoon, W.S.; Koom, W.S.; Rim, C.H. Comparisons between radiofrequency ablation and stereotactic body radiotherapy for liver malignancies: Meta-analyses and a systematic review. Radiother. Oncol. 2020, 145, 63–70. [Google Scholar] [CrossRef]
- Wang, L.; Ke, Q.; Huang, Q.; Shao, L.; Chen, J.; Wu, J. Stereotactic body radiotherapy versus radiofrequency ablation for hepatocellular carcinoma: A systematic review and meta-analysis. Int. J. Hyperth. 2020, 37, 1313–1321. [Google Scholar] [CrossRef]
- Sapir, E.; Tao, Y.; Schipper, M.J.; Bazzi, L.; Novelli, P.M.; Devlin, P.; Owen, D.; Cuneo, K.C.; Lawrence, T.S.; Parikh, N.D.; et al. stereotactic body radiation therapy as an alternative to transarterial chemoembolization for hepatocellular carcinoma. Int. J. Radiat. Oncol. Biol. Phys. 2018, 100, 122–130. [Google Scholar] [CrossRef] [PubMed]
- Huo, Y.R.; Eslick, G.D. Transcatheter arterial chemoembolization plus radiotherapy compared with chemoembolization alone for hepatocellular carcinoma: A systematic review and meta-analysis. JAMA Oncol. 2015, 1, 756–765. [Google Scholar] [CrossRef] [PubMed]
- Finn, R.S.; Qin, S.; Ikeda, M.; Galle, P.R.; Ducreux, M.; Kim, T.-Y.; Kudo, M.; Breder, V.; Merle, P.; Kaseb, A.O.; et al. Atezolizumab plus bevacizumab in unresectable hepatocellular carcinoma. N. Engl. J. Med. 2020, 382, 1894–1905. [Google Scholar] [CrossRef] [PubMed]
- Dawson, L.A.; Winter, K.; Knox, J.; Zhu, A.X.; Krishnan, S.; Guha, C.; Kachnic, L.A.; Gillin, M.T.; Hong, T.S.; Craig, T.; et al. NRG/RTOG 1112: Randomized phase III study of sorafenib vs. stereotactic body radiation therapy (SBRT) followed by sorafenib in hepatocellular carcinoma (HCC) (NCT01730937). Int. J. Radiat. Oncol. Biol. Phys. 2022, 114, 1057. [Google Scholar] [CrossRef]
- Katz, A.W.; Chawla, S.; Qu, Z.; Kashyap, R.; Milano, M.T.; Hezel, A.F. Stereotactic hypofractionated radiation therapy as a bridge to transplantation for hepatocellular carcinoma: Clinical outcome and pathologic correlation. Int. J. Radiat. Oncol. Biol. Phys. 2012, 83, 895–900. [Google Scholar] [CrossRef] [PubMed]
- O’Connor, J.K.; Trotter, J.; Davis, G.L.; Dempster, J.; Klintmalm, G.B.; Goldstein, R.M. Long-term outcomes of stereotactic body radiation therapy in the treatment of hepatocellular cancer as a bridge to transplantation. Liver Transpl. 2012, 18, 949–954. [Google Scholar] [CrossRef]
- Moore, A.; Cohen-Naftaly, M.; Tobar, A.; Kundel, Y.; Benjaminov, O.; Braun, M.; Issachar, A.; Mor, E.; Sarfaty, M.; Bragilovski, D.; et al. Stereotactic body radiation therapy (SBRT) for definitive treatment and as a bridge to liver transplantation in early stage inoperable hepatocellular carcinoma. Radiat. Oncol. 2017, 12, 163. [Google Scholar] [CrossRef] [PubMed]
- Price, T.R.; Perkins, S.M.; Sandrasegaran, K.; Henderson, M.A.; Maluccio, M.A.; Zook, J.E.; Tector, A.J.; Vianna, R.M.; Johnstone, P.A.S.; Cardenes, H.R. Evaluation of response after stereotactic body radiotherapy for hepatocellular carcinoma. Cancer 2012, 118, 3191–3198. [Google Scholar] [CrossRef] [PubMed]
- Kimura, T.; Takahashi, S.; Kenjo, M.; Nishibuchi, I.; Takahashi, I.; Takeuchi, Y.; Doi, Y.; Kaneyasu, Y.; Murakami, Y.; Honda, Y.; et al. Dynamic computed tomography appearance of tumor response after stereotactic body radiation therapy for hepatocellular carcinoma: How should we evaluate treatment effects? Hepatol. Res. 2013, 43, 717–727. [Google Scholar] [CrossRef] [PubMed]
- Sanuki, N.; Takeda, A.; Mizuno, T.; Oku, Y.; Eriguchi, T.; Iwabuchi, S.; Kunieda, E. Tumor response on CT following hypofractionated stereotactic ablative body radiotherapy for small hypervascular hepatocellular carcinoma with cirrhosis. AJR Am. J. Roentgenol. 2013, 201, W812–W820. [Google Scholar] [CrossRef] [PubMed]
- Takeda, A.; Oku, Y.; Sanuki, N.; Kunieda, E.; Koike, N.; Aoki, Y.; Ohashi, T.; Iwabuchi, S.; Takatsuka, K.; Takeda, T.; et al. Dose volume histogram analysis of focal liver reaction in follow-up multiphasic CT following stereotactic body radiotherapy for small hepatocellular carcinoma. Radiother. Oncol. 2012, 104, 374–378. [Google Scholar] [CrossRef]
- Sanuki-Fujimoto, N.; Takeda, A.; Ohashi, T.; Kunieda, E.; Iwabuchi, S.; Takatsuka, K.; Koike, N.; Shigematsu, N. CT evaluations of focal liver reactions following stereotactic body radiotherapy for small hepatocellular carcinoma with cirrhosis: Relationship between imaging appearance and baseline liver function. Br. J. Radiol. 2010, 83, 1063–1071. [Google Scholar] [CrossRef]
- Herfarth, K.K.; Hof, H.; Bahner, M.L.; Lohr, F.; Höss, A.; van Kaick, G.; Wannenmacher, M.; Debus, J. Assessment of focal liver reaction by multiphasic CT after stereotactic single-dose radiotherapy of liver tumors. Int. J. Radiat. Oncol. Biol. Phys. 2003, 57, 444–451. [Google Scholar] [CrossRef]
- Kimura, T.; Takahashi, S.; Takahashi, I.; Nishibuchi, I.; Doi, Y.; Kenjo, M.; Murakami, Y.; Honda, Y.; Aikata, H.; Chayama, K.; et al. The time course of dynamic computed tomographic appearance of radiation injury to the cirrhotic liver following stereotactic body radiation therapy for hepatocellular carcinoma. PLoS One 2015, 10, e0125231. [Google Scholar] [CrossRef]
- Lencioni, R.; Llovet, J.M. Modified RECIST (MRECIST) assessment for hepatocellular carcinoma. Semin. Liver Dis. 2010, 30, 52–60. [Google Scholar] [CrossRef]
- Kudo, M.; Ikeda, M.; Ueshima, K.; Sakamoto, M.; Shiina, S.; Tateishi, R.; Nouso, K.; Hasegawa, K.; Furuse, J.; Miyayama, S.; et al. Response evaluation criteria in cancer of the liver version 6 (response evaluation criteria in cancer of the liver 2021 revised version). Hepatol. Res. 2022, 52, 329–336. [Google Scholar] [CrossRef]

| Authors (Year) | Study Type | No. of Patients (Lesions) | Age (Years) * | BCLC Stage | Tumor Size (mm) * | Child–Pugh Class | Prior Tx |
|---|---|---|---|---|---|---|---|
| Kimura et al. (2021) [11] | Phase II | 36 (36) | 73.5 (57–85) | 0: 12 A: 16 C: 8 | 23 (10–50) | A: 33 B7: 2 B8: 1 | 0% |
| Yoon et al. (2020) [12] | Phase II | 50 (53) | 64 (41–74) | NA | 13 (7–31) | A: 50 | 96% |
| Durand–Labrunie et al. (2020) [13] | Phase II | 43 (43) | 72 (43–91) | NA | 28 (10–60) | A: 37 B7: 3 B8-9: 2 | 0% |
| Jang et al. (2020) [14] | Phase II | 65 (73) | 61 (44–84) | 0: 25 A: 32 B: 4, C: 4 | 24 (10–99) | A: 64 B7: 1 | 100% |
| Park et al. (2020) [15] | Phase II | 290 (319) | 61 (36–90) | NA | 17 (7–60) | A: 250 B: 40 | 97% |
| Kim et al. (2019) [16] | Phase I/II | 32 (35) | 59.5 (42–83) | A: 31 C: 1 | 21 (10–45) | A: 32 | 16% |
| Takeda et al. (2016) [17] | Phase II | 90 (90) | 73 (48–85) | 0: 31 A: 45 C: 16 | 23 (10–40) | A: 82 B7: 7 B8: 1 | 64% |
| Lasley et al. (2015) [18] | Phase I/II | 59 (65) | 61 (24–86) | NA | NA | A: 38 B7: 17 B8+: 4 | 15% |
| Bujold et al. (2013) [19] | Phase I/II | 102 | 69 (40–90) | A/B: 35 C: 67 | 72 (14–231) | A: 102 | 52% |
| Kang et al. (2012) [20] | Phase II | 47 (55) | NA | A: 8 B: 31 C: 8 | 29 | A: 41 B7: 6 | 57% |
| Authors | SBRT Dose | Median Follow-Up [Months] | Local Control at 2 Years | Overall Survival at 2 Years | Toxicity (Grade 3+) |
|---|---|---|---|---|---|
| Kimura et al. [11] | 40 Gy/5 fr | 20.8 | 90% | 84% | 11% |
| Yoon et al. [12] | 45 Gy/3 fr | 47.8 | 100% | 96% | 4% |
| Durand–Labrunie et al. [13] | 45 Gy/3 fr | 48 | 94% | 69% | 31% |
| Jang et al. [14] | 45–60 Gy/3 fr | 41 | 97% | 84% | 3% (1 year) |
| Park et al. [15] | 30–60 Gy/3 fr | 38.2 | 91.3% (5 years) | 44.9% (5 years) | 2.8% |
| Kim et al. [16] | 36–60 Gy/4 fr | 27 | 25–94% | 81.3% | 28% |
| Takeda et al. [17] | 35–40 Gy/5 fr | 41.7 | 96.3% (3 years) | 66.7% (3 years) | 8.9% |
| Lasley et al. [18] | 48 Gy/3 fr (CP-A), 40 Gy/3 fr (CP-B) | 33.3 (CP-A), 46.3 (CP-B) | 91% (CP-A), 82% (CP-B) | 72% (CP-A), 32.7% (CP-B) | 11% (CP-A), 38% (CP-B) |
| Bujold et al. [19] | 24–56 Gy/6 fr | 31.4 | 87% (1 year) | MST 17 months | 10% |
| Kang et al. [20] | 42–60 Gy/3 fr | 17 | 94.6% | 68.7% | 15% |
Disclaimer/Publisher’s Note: The statements, opinions and data contained in all publications are solely those of the individual author(s) and contributor(s) and not of MDPI and/or the editor(s). MDPI and/or the editor(s) disclaim responsibility for any injury to people or property resulting from any ideas, methods, instructions or products referred to in the content. |
© 2023 by the author. Licensee MDPI, Basel, Switzerland. This article is an open access article distributed under the terms and conditions of the Creative Commons Attribution (CC BY) license (https://creativecommons.org/licenses/by/4.0/).
Share and Cite
Matsuo, Y. Stereotactic Body Radiotherapy for Hepatocellular Carcinoma: A Brief Overview. Curr. Oncol. 2023, 30, 2493-2500. https://doi.org/10.3390/curroncol30020190
Matsuo Y. Stereotactic Body Radiotherapy for Hepatocellular Carcinoma: A Brief Overview. Current Oncology. 2023; 30(2):2493-2500. https://doi.org/10.3390/curroncol30020190
Chicago/Turabian StyleMatsuo, Yukinori. 2023. "Stereotactic Body Radiotherapy for Hepatocellular Carcinoma: A Brief Overview" Current Oncology 30, no. 2: 2493-2500. https://doi.org/10.3390/curroncol30020190
APA StyleMatsuo, Y. (2023). Stereotactic Body Radiotherapy for Hepatocellular Carcinoma: A Brief Overview. Current Oncology, 30(2), 2493-2500. https://doi.org/10.3390/curroncol30020190

