Primary Extra-Pleura Leiomyoma: A Case Report and Literature Review
Abstract
1. Background
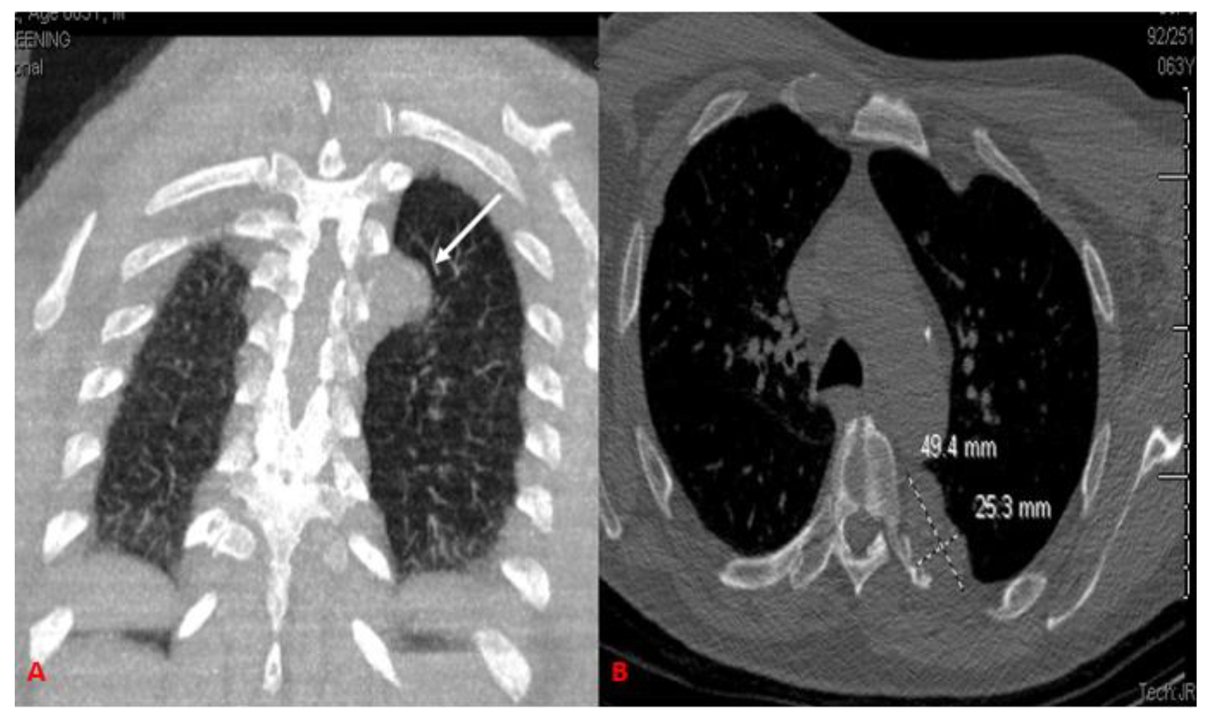
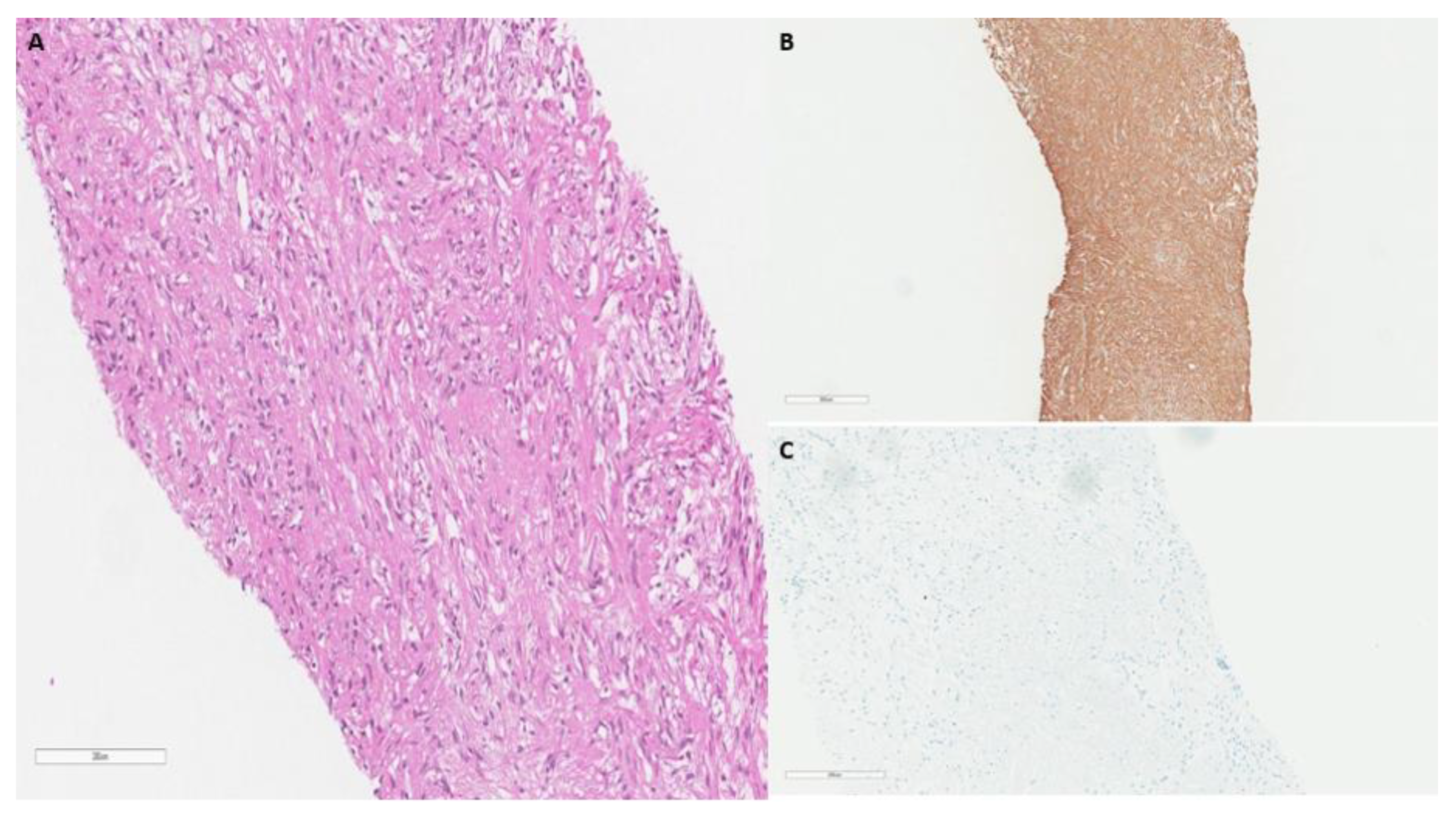
2. Case Report
3. Literature Analysis
4. Discussion
5. Conclusions
Author Contributions
Funding
Institutional Review Board Statement
Informed Consent Statement
Data Availability Statement
Conflicts of Interest
References
- Rodríguez, P.M.; Freixinet, J.L.; Plaza, M.L.; Camacho, R. Unusual primary pleural leiomyoma. Interact. Cardiovasc. Thorac. Surg. 2010, 10, 441–442. [Google Scholar] [CrossRef] [PubMed]
- Karpathiou, G.; Stefanou, D.; Froudarakis, M.E. Pleural neoplastic pathology. Respir. Med. 2015, 109, 931–943. [Google Scholar] [CrossRef] [PubMed]
- Haratake, N.; Shoji, F.; Kozuma, Y.; Okamoto, T.; Maehara, Y. Giant Leiomyoma Arising from the Mediastinal Pleura: A Case Report. Ann. Thorac. Cardiovasc. Surg. 2017, 23, 153–156. [Google Scholar] [CrossRef] [PubMed][Green Version]
- Nakada, T.; Akiba, T.; Inagaki, T.; Morikawa, T.; Ohki, T. A Rare Case of Primary Intercostal Leiomyoma: Complete Resection Followed by Reconstruction Using a Gore-Tex® Dual Mesh. Ann. Thorac. Cardiovasc. Surg. 2014, 20, 617–621. [Google Scholar] [CrossRef] [PubMed][Green Version]
- Qiu, X.; Zhu, D.; Wei, S.; Chen, G.; Chen, J.; Zhou, Q. Primary Leiomyoma of the pleura. World J. Surg. Oncol. 2011, 9, 76. [Google Scholar] [CrossRef] [PubMed]
- Arikura, J.; Adachi, H.; Kondo, K. A case of primary pleural leiomyoma. J. Jpn. Assoc. Chest Surg. 2011, 25, 789–793. [Google Scholar] [CrossRef][Green Version]
- Tanaka, H.; Matsuda, T.; Miyagantani, Y.; Yukioka, T.; Matsuda, H.; Shimazaki, S. Reduction of resuscitation fluid volumes in severely burned patients using ascorbic acid administration: A randomized, prospective study. Arch. Surg. 2000, 135, 326–331. [Google Scholar] [CrossRef] [PubMed]
- Moran, C.; Suster, S.; Koss, M.N. Smooth muscle tumours presenting as pleural neoplasms. Histopathology 1995, 27, 227–234. [Google Scholar] [CrossRef] [PubMed]
- Proca, D.M.; Ross, P.; Pratt, J.; Frankel, W.L. Smooth muscle tumor of the pleura. A case report and review of the literature. Arch. Pathol. Lab. Med. 2000, 124, 1688–1692. [Google Scholar] [CrossRef] [PubMed]
- Turhan, K.; Çakan, A.; Cagirici, U. Leiomyoma: An unusual pleural tumor: Report of a case. Turk. Resp. J. 2008, 9, 53–55. [Google Scholar]
- Ziyade, S.; Ugurlucan, M.; Soysal, O.; Akdemir, O.C. Leiomyoma of the extrapleural chest wall: An atypical location. Arch. Med. Sci. AMS 2011, 2, 356. [Google Scholar] [CrossRef] [PubMed]
- Nose, N.; Inoue, M.; Kodate, M.; Kawaguchi, M.; Yasumoto, K. Leiomyoma originating from the extrapleural tissue of the chest wall. Gen. Thorac. Cardiovasc. Surg. 2006, 54, 242–245. [Google Scholar] [CrossRef] [PubMed]
- Kuman, N.K.; Pabuscu, E.; Meteoglu, I. Leiomyomas requiring chest wall resection and reconstruction. Gen. Thorac. Cardiovasc. Surg. 2012, 62, 186–190. [Google Scholar] [CrossRef] [PubMed]
- Laughlin, S.K.; Baird, D.D.; Savitz, D.A.; Herring, A.H.; Hartmann, K.E. Prevalence of uterine leiomyomas in the first trimester of pregnancy: An ultrasound screening study. Obs. Gynecol. 2009, 113, 630. [Google Scholar] [CrossRef] [PubMed]
- Borgfeldt, C.; Andolf, E. Transvaginal ultrasonographic findings in the uterus and the endometrium: Low prevalence of leiomyoma in a random sample of women age 25–40 years. Acta Obs. Gynecol. Scand. 2000, 79, 202–207. [Google Scholar] [CrossRef]
- Karasick, S.; Lev-Toaff, A.S.; Toaff, M.E. Imaging of uterine leiomyomas. Am. J. Roentgenol. 1992, 158, 799–805. [Google Scholar] [CrossRef] [PubMed][Green Version]
- Ma, H.; Cao, J. Benign pulmonary metastasizing leiomyoma of the uterus: A case report. Oncol. Lett. 2015, 9, 1347–1350. [Google Scholar] [CrossRef] [PubMed]
- Jautzke, G.; Müller-Ruchholtz, E.; Thalmann, U. Immunohistological detection of estrogen and progesterone receptors in multiple and well differentiated leiomyomatous lung tumors in women with uterine leiomyomas (so-called benign metastasizing leiomyomas): A report on 5 cases. Pathol. Res. Pract. 1996, 192, 215–223. [Google Scholar] [CrossRef]
- Fu, Y.; Li, H.; Tian, B.; Hu, B. Pulmonary benign metastasizing leiomyoma: A case report and review of the literature. World J. Surg. Oncol. 2012, 10, 268. [Google Scholar] [CrossRef] [PubMed]
- Greenspan, B.S. Role of PET/CT for precision medicine in lung cancer: Perspective of the Society of Nuclear Medicine and Molecular Imaging. Transl. Lung Cancer Res. 2017, 6, 617–620. [Google Scholar] [CrossRef] [PubMed]


| Author | Age/Sex | Chief Complaint | Size (cm) | Treatment | Outcome |
|---|---|---|---|---|---|
| Nakada et al. [4] (2013) | 28/F | Chest pain | 4.2 × 3.3 × 3.2 | Complete surgical resection | 2-month follow-up, no recurrence |
| Qiu et al. [5] (2011) | 45/M | Chest pain | 5.9 × 8.0 × 6.2 | Complete surgical resection | 15-month follow-up, no recurrence |
| Rodríguez et al. [1] (2010) | 48/F | Pleuritic chest pain | 18 × 14 × 11 | Complete surgical resection | 18-month follow-up, no recurrence |
| Arikura et al. [6] (2011) | 52/F | N/A | 6.5 × 5.5 | Complete surgical resection | N/A |
| Tanaka et al. [7] (2000) | 40/F | Asymptomatic | 3.5 × 3.0 | Complete surgical resection | No recurrence noted |
| Moran et al. [8] (1995) | 21/F | Asymptomatic | Fragments of varying size | Observation | 4-month follow-up, alive |
| Moran et al. [8] (1995) | 23/F | Asymptomatic | 10 × 9 × 5.5 | Observation | 6-month follow up, alive |
| Proca et al. [9] (1995) | 32/M | Asymptomatic | 4.3 × 7.0 | Complete surgical resection | 12-month follow up, alive with no recurrence |
| Turhan et al. [10] (2008) | 50/F | Chest pain | 4.0 × 4.0 | Complete surgical resection | 53-month follow up, alive with no recurrence |
| Ziyade et al. [11] (2011) | 33/F | Chest pain and heartburn | 5.3 × 4.0 × 3.4 | Complete surgical resection | 14-month follow up, symptom-free with no recurrence |
| Nose et al. [12] (2006) | 55/F | Asymptomatic | 1.5 × 1.5 | Complete surgical resection | 26-month follow up, symptom-free with no recurrence |
| Haratake et al. [3] (2016) | 42/F | N/A | 15.0 × 12.0 | Complete surgical resection | 60-month follow up, symptom-free with no recurrences |
| Kuman et al. [13] (2014) | 32/F | Chest pain | N/A | Complete surgical resection | 45 month follow up, symptom-free with no recurrences |
| Kuman et al. [13] (2014) | 43/M | Chest pain | 2.0 | Complete surgical resection | 40-month follow up, symptom-free with no recurrences |
| Present case (2022) | 52/M | Dyspnea on exertion | 4.9 × 3.9 × 2.5 | Complete surgical resection | 6-month follow up, symptom-free with no recurrences |
Publisher’s Note: MDPI stays neutral with regard to jurisdictional claims in published maps and institutional affiliations. |
© 2022 by the authors. Licensee MDPI, Basel, Switzerland. This article is an open access article distributed under the terms and conditions of the Creative Commons Attribution (CC BY) license (https://creativecommons.org/licenses/by/4.0/).
Share and Cite
Ullah, A.; Patterson, G.T.; Ghleilib, I.; Elhelf, I.A.; Patel, N.G.; Karim, N.A. Primary Extra-Pleura Leiomyoma: A Case Report and Literature Review. Curr. Oncol. 2022, 29, 2935-2940. https://doi.org/10.3390/curroncol29050240
Ullah A, Patterson GT, Ghleilib I, Elhelf IA, Patel NG, Karim NA. Primary Extra-Pleura Leiomyoma: A Case Report and Literature Review. Current Oncology. 2022; 29(5):2935-2940. https://doi.org/10.3390/curroncol29050240
Chicago/Turabian StyleUllah, Asad, G. Taylor Patterson, Intisar Ghleilib, Islam A. Elhelf, Nikhil G. Patel, and Nagla A. Karim. 2022. "Primary Extra-Pleura Leiomyoma: A Case Report and Literature Review" Current Oncology 29, no. 5: 2935-2940. https://doi.org/10.3390/curroncol29050240
APA StyleUllah, A., Patterson, G. T., Ghleilib, I., Elhelf, I. A., Patel, N. G., & Karim, N. A. (2022). Primary Extra-Pleura Leiomyoma: A Case Report and Literature Review. Current Oncology, 29(5), 2935-2940. https://doi.org/10.3390/curroncol29050240

