A Rare Case of Plasmablastic Lymphoma in a Patient with HIV and SARS-CoV-2 Infections
Abstract
:1. Introduction
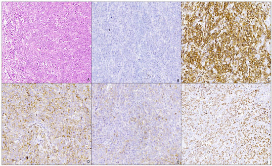
2. Case Presentation
3. Discussions
4. Conclusions
Author Contributions
Funding
Institutional Review Board Statement
Informed Consent Statement
Data Availability Statement
Conflicts of Interest
References
- Nokta, M. Oral manifestations associated with HIV infection. Curr. HIV/AIDS Rep. 2008, 5, 5–12. [Google Scholar] [CrossRef] [PubMed]
- Ablanedo-Terrazas, Y.; Romero-Mora, K.; Gómez-Palacio, M.; Alvarado-de la Barrera, C.; Ruiz-Cruz, M.; Hernández-Juan, R.; Reyes-Terán, G. Prevalence and risk factors for oral human papillomavirus infection in Mexican HIV-infected men. Salud Publica Mex. 2018, 60, 653–657. [Google Scholar] [CrossRef] [PubMed]
- Britto, G.R.; Augustine, M. Mucocutaneous manifestations of human immunodeficiency virus (HIV) infection in children in relation to the degree of immunosuppression. Int. J. Dermatol. 2019, 58, 1165–1171. [Google Scholar] [CrossRef] [PubMed]
- Bajpai, S.; Pazare, A.R. Oral manifestations of HIV. Contemp. Clin. Dent. 2010, 1, 1–5. [Google Scholar] [CrossRef] [PubMed]
- Nittayananta, W.; Tao, R.; Jiang, L.; Peng, Y.; Huang, Y. Oral innate immunity in HIV infection in HAART era. J. Oral Pathol. Med. 2016, 45, 3–8. [Google Scholar] [CrossRef] [Green Version]
- Hodgson, T.A.; Rachanis, C.C. Oral fungal and bacterial infections in HIV-infected individuals: An overview in Africa. Oral Dis. 2002, 8, 80–87. [Google Scholar] [CrossRef]
- Reid, E.; Suneja, G.; Ambinder, R.F.; Ard, K.; Baiocchi, R.; Barta, S.K.; Carchman, E.; Cohen, A.; Crysler, O.V.; Gupta, N.; et al. AIDS-Related Kaposi Sarcoma, Version 2.2019, NCCN Clinical Practice Guidelines in Oncology. J. Natl. Compr. Cancer Netw. 2019, 17, 171–189. [Google Scholar] [CrossRef] [Green Version]
- Dumitru, I.M.; Cozaru, G.C.; Dumitru, E.; Cernat, R.C.; Rugina, S. Risk factors for Kaposi Sarcoma in HIV infected patients. Acta Med. Mediterr. 2014, 30, 209–212. [Google Scholar]
- Aschie, M.; Stoica, A.G.; Mitroi, A.F.; Cozaru, G.C.; Stanciu, G.; Chisoi, A. Synchronous association of two types of indolent lymphomas. Rev. Chim. 2018, 69, 3653–3655. [Google Scholar] [CrossRef]
- Rodríguez Arrondo, F.; von Wichmann, M.Á.; Camino, X.; Goenaga, M.Á.; Ibarguren, M.; Azcune, H.; Bustinduy, M.J.; Ferrero, O.; Muñoz, J.; Ibarra, S.; et al. A case-control study of non-AIDS-defining cancers in a prospective cohort of HIV-infected patients. Med. Clin. 2018, 150, 291–296. [Google Scholar] [CrossRef]
- Corti, M.; Villafañe, M.; Bistmans, A.; Narbaitz, M.; Gilardi, L. Primary Extranodal Non-hodgking Lymphoma of the Head and Neck in Patients with Acquired Immunodeficiency Syndrome: A clinicopathologic Study of 24 patients in a Single Hospital of Infectious Diseases in Argentina. Int. Arch. Otorhinolaryngol. 2015, 19, 354–358. [Google Scholar] [PubMed] [Green Version]
- Bernardes Silva, T.D.; Tavares Ferreira, C.B.; Boehmer Leite, G.; Menezes Pontes, H.R.; Antunes, H. Oral manifestations of lymphoma: A systematic review. Ecancermedicalscience 2016, 10, 665. [Google Scholar]
- Tazi, I.; Lahlimi, F.Z. Human immunodeficiency virus and lymphoma. Bull. Cancer 2021, 108, 953–962. [Google Scholar] [CrossRef] [PubMed]
- Qunaj, L.; Castillo, J.J.; Olszewski, A.J. Survival of patients with CD20-negative variants of large B-cell lymphoma: An analysis of the National Cancer Data Base. Leuk. Lymphoma 2018, 59, 1375–1383. [Google Scholar] [CrossRef]
- McClain, K.L. Epstein-Barr virus and HIV-AIDS-associated diseases. Biomed. Pharmacother. 2001, 55, 348–352. [Google Scholar] [CrossRef]
- Chen, T.; Song, J.; Liu, H.; Zheng, H.; Chen, C. Positive Epstein-Barr virus detection in coronavirus disease 2019 (COVID-19) patients. Sci. Rep. 2021, 11, 10902. [Google Scholar] [CrossRef]
- Lopez, A.; Abrisqueta, P. Plasmablastic lymphoma: Current perspectives. Blood Lymphat. Cancer 2018, 8, 63–70. [Google Scholar] [CrossRef] [Green Version]
- Deacu, M.; Tuţă, L.A.; Boşoteanu, M.; Aşchie, M.; Mitroi, A.F.; Nicolau, A.A.; Enciu, M.; Cojocaru, O.; Petcu, L.C.; Bălţătescu, G.I. Assessment of programmed death-ligand 1 receptor immunohistochemical expression and its association with tumor-infiltrating lymphocytes and p53 status in triple-negative breast cancer. Rom. J. Morphol. Embryol. 2021, 62, 63–71. [Google Scholar] [CrossRef]
- Tchernonog, E.; Faurie, P.; Coppo, P.; Monjanel, H.; Bonnet, A.; Génin, M.A.; Mercier, M.; Dupuis, J.; Bijou, F.; Herbaux, C.; et al. Clinical characteristics and prognostic factors of plasmablastic lymphoma patients: Analysis of 135 patients from the LYSA group. Ann. Oncol. 2017, 28, 843–848. [Google Scholar] [CrossRef]
- Achenbach, C.J.; Buchanan, A.L.; Cole, S.R.; Hou, L.; Mugavero, M.J.; Crane, H.M.; Moore, R.D.; Haubrich, R.H.; Gopal, S.; Eron, J.J.; et al. HIV Viremia and Incidence of Non-Hodgkin Lymphoma in Patients Successfully Treated with Antiretroviral Therapy. Clin. Infect. Dis. 2014, 58, 1599–1606. [Google Scholar] [CrossRef] [Green Version]
- Silverberg, M.J.; Chao, C.; Leyden, W.A.; Xu, L.; Horberg, M.A.; Klein, D.; Towner, W.J.; Dubrow, R.; Quesenberry, C.P., Jr.; Neugebauer, R.S.; et al. HIV infection, immunodeficiency, viral replication, and the risk of cancer. Cancer Epidemiol. Biomark. Prev. 2011, 20, 2551–2559. [Google Scholar] [CrossRef] [PubMed] [Green Version]
- Cardozo, C.M.; Hainaut, P. Viral strategies for circumventing p53: The case of severe acute respiratory syndrome coronavirus. Curr. Opin. Oncol. 2021, 33, 149–158. [Google Scholar] [CrossRef] [PubMed]
- Habibzadeh, P.; Dastsooz, H.; Eshraghi, M.; Łos, M.J.; Klionsky, D.J.; Ghavami, S. Autophagy: The Potential Link between SARS-CoV-2 and Cancer. Cancers 2021, 13, 5721. [Google Scholar] [CrossRef]
- Pasin, F.; Calveri, M.M.; Pizzarelli, G.; Calabrese, A.; Andreoli, M.; Bongiovanni, I.; Cattaneo, C.; Rignanese, G. Oncolytic effect of SARS-CoV2 in a patient with NK lymphoma. Acta Biomed. 2020, 91, e2020047. [Google Scholar]
- Challenor, S.; Tucker, D. SARS-CoV-2-induced remission of Hodgkin lymphoma. Br. J. Haematol. 2021, 192, 415. [Google Scholar] [CrossRef] [PubMed]
- Ottaiano, A.; Scala, S.; D’Alterio, C.; Trotta, A.; Bello, A.; Rea, G.; Picone, C.; Santorsola, M.; Petrillo, A.; Nasti, G. Unexpected tumor reduction in metastatic colorectal cancer patients during SARS-Cov-2 infection. Ther. Adv. Med. Oncol. 2021, 13, 17588359211011455. [Google Scholar] [CrossRef] [PubMed]
- Streinu-Cercel, A.; Săndulescu, O.; Poiană, C.; Dorobanțu, M.; Mircescu, G.; Lăzureanu, V.E.; Dumitru, I.M.; Chirilă, O.; Streinu-Cercel, A. Extended Consensus Group. Consensus statement on the assessment of comorbidities in people living with HIVin Romania. Germs 2019, 9, 198–210. [Google Scholar] [CrossRef]


| October 2020 | November 2020 | December 2020 | February 2021 | July–August 2021 | September 2021 |
|---|---|---|---|---|---|
| COVID-19 | Ulcer-vegetative tumor lesion in the oral cavity HIV | Plasmablastic lymphoma Start ART (genvoya) | Dose-adjusted-EPOCH chemotherapy (six cures) | Radiotherapy | PETT–CT favorable evolution |
| CD4: 197 cells/μL; CD8: 1137 cells/μL; CD4/CD8: 0.17 | CD4: 439 cells/μL; CD8: 1510 cells/μL; CD4/CD8: 0.29 | CD4: 542 cells/μL; CD8: 1420 cells/μL; CD4/CD8: 0.38 | |||
| HIVRNA: 965,584 copies/mL | HIVRNA: 272 copies/mL | HIVRNA < 200 copies/mL |
Publisher’s Note: MDPI stays neutral with regard to jurisdictional claims in published maps and institutional affiliations. |
© 2022 by the authors. Licensee MDPI, Basel, Switzerland. This article is an open access article distributed under the terms and conditions of the Creative Commons Attribution (CC BY) license (https://creativecommons.org/licenses/by/4.0/).
Share and Cite
Campeanu, A.T.; Dumea, E.; Rus, M.; Fodor, C.; Ionescu, A.C.; Mocanu, E.; Botnarciuc, M.; Dumitru, I.M. A Rare Case of Plasmablastic Lymphoma in a Patient with HIV and SARS-CoV-2 Infections. Curr. Oncol. 2022, 29, 1537-1543. https://doi.org/10.3390/curroncol29030129
Campeanu AT, Dumea E, Rus M, Fodor C, Ionescu AC, Mocanu E, Botnarciuc M, Dumitru IM. A Rare Case of Plasmablastic Lymphoma in a Patient with HIV and SARS-CoV-2 Infections. Current Oncology. 2022; 29(3):1537-1543. https://doi.org/10.3390/curroncol29030129
Chicago/Turabian StyleCampeanu, Adriana Teodora, Elena Dumea, Mihaela Rus, Claudia Fodor, Anita Cristina Ionescu, Elena Mocanu, Mihaela Botnarciuc, and Irina Magdalena Dumitru. 2022. "A Rare Case of Plasmablastic Lymphoma in a Patient with HIV and SARS-CoV-2 Infections" Current Oncology 29, no. 3: 1537-1543. https://doi.org/10.3390/curroncol29030129
APA StyleCampeanu, A. T., Dumea, E., Rus, M., Fodor, C., Ionescu, A. C., Mocanu, E., Botnarciuc, M., & Dumitru, I. M. (2022). A Rare Case of Plasmablastic Lymphoma in a Patient with HIV and SARS-CoV-2 Infections. Current Oncology, 29(3), 1537-1543. https://doi.org/10.3390/curroncol29030129

